腎上腺皮質癌是發生於腎上腺皮質的惡性腫瘤,分為有內分泌功能性和無內分泌功能性兩種類型,可發生於任何年齡,約50%為有內分泌功能性腫瘤[2,3]。根據文獻[3]對腎上腺皮質癌提出的TMRD分期法,本組T-2為7例,T-3為7例。
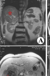
隨著B超、CT的廣泛套用,腎上腺皮質癌檢出率有增高趨勢,二者對診斷腎上腺皮質癌具有非常重要的價值。腎上腺皮質癌的CT主要表現為一般瘤體較大,直徑可達7~20cm,多數有包膜,呈分葉狀,瘤內可有廣泛出血、壞死和鈣化,表現為多種不同密度的混合性腫塊。又因為腫瘤較大,常對周圍組織和器官造成擠壓推移現象。若同時看到腹膜後的淋巴結腫大,或在肝、腎內出現轉移灶,對判斷腫瘤的良、惡性更有意義。
功能性腎上腺皮質癌臨床表現為庫興綜合徵、原發性醛固酮增多症或性徵異常,其中以庫興綜合徵表現最為常見。在我國庫興綜合徵患者中,腎上腺皮質癌的發生率很低[4]。強萬明等[5]報導庫興綜合徵患者223例,其中腺瘤引起者87例,皮質癌僅占5例。本組8例患者中,6例為庫興綜合徵表現。患者病史短,病情進展較快,有典型的表現及體徵是癌的特點。血尿皮質醇水平均高於正常值數倍,大劑量地塞米松試驗不能被抑制。24小時尿17酮測定對鑑別腫瘤良、惡性有特殊價值,惡性腫瘤可超過正常值數倍。
腎上腺皮質癌表現為性徵異常比較罕見,臨床表現為:男性性早熟、男性女性化或女性男性化。若性徵異常合併庫興綜合徵預後多不良。本組2例小兒患者,年齡為6歲和8歲,病程分別為2個月和1年,表現為典型的向心性肥胖、滿月臉、水牛背、面部痤瘡、陰毛髮育及全身毛髮增多,陰莖發育明顯早於同齡兒童,檢查血尿皮質醇增高且伴有17羥和17酮升高。1例因腫瘤較大且與周圍粘連未能切除,1年死亡。另1例腫瘤切除1年復發,再次手術後1年死亡。本組1例男性女性化患者52歲,主因雙側乳房增大伴睪丸萎縮,性功能減退而就診,CT示左腎上腺巨大占位性病變。術中見腫瘤侵及胰尾、膈肌,腫瘤下極與腎臟粘連,與腎臟一併切除。
腎上腺皮質癌伴有醛固酮分泌增高、低血鉀,臨床更為罕見。腎上腺惡性醛固酮瘤約占低腎素醛固酮增多症的1%[4]。我院自1978年以來收治原發性醛固酮增多症146例,其中腺瘤占76%,僅1例報告為腎上腺皮質癌。
在功能性腎上腺皮質腺瘤診斷中,患者出現下例情況應高度懷疑腎上腺皮質癌的可能:(1)病程短,進展快,病程多少於1年;(2)庫興綜合徵或原發性醛固酮增多症同時伴有17酮明顯升高者;(3)腫瘤大於4cm,內部回聲不均勻。
無功能性腎上腺皮質癌臨床表現隱匿,缺乏特徵性,患者多以腰痛、腹痛就診,早期診斷困難,腫瘤多為行B超、CT檢查時偶然發現。目前B超和CT為腫瘤早期定位診斷的主要手段,對臨床分期、手術難易程度、預後判斷有重要意義,但對確定腫瘤性質仍有一定困難。一般來說,腫瘤越大惡性變的可能性越大。在臨床上,對於偶發性腫瘤,如直徑大於3.5cm,均應手術處理。對於腫瘤直徑小於3.5cm,如果腫瘤外形光滑,邊緣清晰,呈圓形或卵圓形低密度影,與鄰近組織界限清楚,表現為良性生物學行為,可行B超、CT隨診,暫不行手術治療[6,7]。B超作為一項簡便的影像學檢查方法,可作為健康人查體的首選項目。一旦發現腹膜後腫物,再結合CT等檢查方法,可達早期治療的目的。本組1例女性患者於查體行B超檢查時偶然發現右腎上腺腫物,行手術切除,報告為腎上腺皮質癌,現術後1年無復發。
腎上腺是腫瘤轉移的好發部位,在腫瘤轉移好發部位中占第4位[8]。轉移癌一般體積不大,直徑約3cm左右。肺癌在腎上腺轉移癌中最常見,約占腎上腺轉移癌發病率的55.6%,其次為乳腺癌、肝癌等。對於雙側腎上腺占位病變,更應考慮轉移癌所致。本組1例雙側腎上腺皮質癌患者經證實原發灶為肺癌。腎上腺皮質癌手術切除是唯一有效的治療手段。本組1例患者手術後7年未見復發。然而對於已有轉移的患者,雖手術不能治癒,但可使腫瘤體積縮小及減輕臨床症狀。患者行腫瘤切除術後,如有皮質醇分泌再次增加或術後持續有不能被抑制的皮質醇分泌,則提示腫瘤已復發、轉移。本組1例患者手術後症狀完全消失,術後10個月庫興綜合徵表現再次出現,再次手術檢查證實為腫瘤復發並廣泛轉移,1年後死亡。腎上腺皮質癌惡性度高,易復發。Swamy等[1]對110例腎上腺皮質癌隨診,5年存活率23%,10年存活率10%,腫瘤復發率約占118%。本組15例患者除2例失訪外,5年內死亡6例,5例腫瘤復發,腫瘤復發率為33%。本組病例術後均輔以放療,部分患者給予化療、生物治療,對延長壽命起到一定作用。


