疾病概述
室管膜瘤來源於腦室與脊髓中央管的室管膜細胞或腦內白質室管膜細胞巢的中樞神經系統腫瘤。男多於女,多見於兒童及青年。疾病描述室管膜瘤來源於腦室與脊髓中央管的室管膜細胞或腦內白質室管膜細胞巢的中樞神經系統腫瘤。在膠質瘤中占18.2%,男多於女,多見於兒童及青年,約75%位於幕下,幕上僅占25%。腫瘤大多位於腦室內,少數瘤主體在腦組織內。症狀體徵
頭痛間變性室管膜瘤由於腫瘤生長較為迅速,患者病程較短,顱高壓症狀明顯,約40%室管膜下室管膜瘤患者出現症狀。腫瘤位於透明隔、Monro孔、導水管、第四腦室及脊髓者常引起症狀。患者主要表現為頭痛、視物模糊、走路不穩、記憶力減退、腦神經症狀、眼球震顫、眩暈及噁心、嘔吐。88%的患者有腦積水。
2.不同部位腫瘤的表現由於腫瘤所在部位的不同,室管膜瘤病人表現的臨床症狀有很大的差別,噁心、嘔吐和頭疼相對沒有特異性,對幕上和幕下都是最常見的臨床症狀。一般來說,後顱凹腫瘤表現有顱內壓增高症狀(嘔吐和頭疼)的同時也伴有步態不穩;幕上腫瘤多表現有局部運動功能障礙、視力障礙和癲癇,癲癇症狀的出現占幕上室管膜瘤患兒的25%,頸部疼痛、僵硬也是後顱凹室管膜瘤常見的症狀,可能與腫瘤侵犯頸神經根有關。在任何部位的室管膜瘤患兒中最常見的體徵是視盤水腫,其他的體徵根據腫瘤的部位變化,眼震、腦膜征和測距不良在後顱凹病變最常見,而偏癱、腱反射亢進和視野異常是幕上腫瘤最常見的徵象,共濟失調在幕上和幕下病變均可見到。
在明確診斷前,症狀持續期在1.5-36個月,多數患兒病程持續大約12個月,病程的長短根據腫瘤的部位和級別變化。幕上腫瘤的平均病程為7個月(2周-3年),而後顱凹室管膜瘤的平均病程為9個月(2周-2年),一般來說,良性病變比惡性病變有較長的病程,對周圍結構有侵犯的後顱凹室管膜瘤出現症狀需5.4個月,而大體上沒有侵犯的腫瘤出現症狀需11個月;有鈣化的幕上室管膜瘤比沒有鈣化的腫瘤的症狀出現期限要長,但是後顱凹室管膜瘤中表現有鈣化和無鈣化者的症狀持續期沒有顯著差異。
(1)第四腦室室管膜瘤:由於腫瘤位於腦室內,極易阻塞腦脊液循環通路,常早期出現顱內壓增高症狀。當腫瘤壓迫第四腦室底部諸腦神經核或向側方壓迫小腦腳時,臨床上可引起腦神經損害及小腦症狀。
①顱內壓增高症狀:其特點是間歇性、與頭位變化有關。晚期常呈強迫頭位,頭多前屈或前側屈。由於體位改變可刺激第四腦室底部的神經核團,尤其是迷走神經及前庭神經核,表現為劇烈的頭疼、眩暈、嘔吐、脈搏、呼吸改變,意識突然喪失及由於展神經核受影響而產生復視、眼球震顫等症狀,稱為Brun征。由於腫瘤的活動,可突然阻塞正中孔或導水管引起腦脊液循環受阻,因而可呈發作性顱內壓增高,此現象多由於體位突然改變時發生。嚴重的顱內壓增高可發生小腦危象。
②腦幹症狀和腦神經損害症狀:腦幹症狀較少,當腫瘤壓迫或向第四腦室底部浸潤生長時,可以出現腦橋和延髓諸神經核受累症狀,多發生在顱內壓增高之後,少數也有以腦神經症狀為首發症狀。腦神經損害症狀的出現、受累過程和範圍與腫瘤的發生部位和延伸方向有密切關係。腫瘤在第四腦室底上部多影響第Ⅴ、Ⅵ、Ⅶ、Ⅷ腦神經核,沿中線生長影響內側縱束,可出現眼球向患側注視麻痹,還可產生眼球運動偏斜扭轉,第四腦室底下部的腫瘤則主要影響第Ⅸ、Ⅹ、Ⅺ、Ⅻ腦神經核,常以嘔吐、呃逆為首發症狀,隨之出現吞咽困難、聲音嘶啞及因迷走神經刺激而出現的內臟症狀,有時甚至產生括約肌功能障礙和呼吸困難;起始於第四腦室側隱窩的腫瘤,常向同側腦橋小腦角發展,以第Ⅴ、Ⅶ、Ⅷ腦神經受累為主,主要表現為顏面部感覺障礙、聽力和前庭功能減退和眩暈等症狀。腦幹長傳導束受累時,多是腫瘤或慢性枕大孔疝壓迫腦幹所致,可有肢體力弱,腱反射低下或消失,病理反射常為雙側性。四腦室的室管膜瘤常向下經枕大孔而發展到上頸髓,最低可達頸2-3水平,有時可繞上頸髓一周,表現為頸部
共濟失調③小腦症狀:小腦症狀一般較輕,因腫瘤沿側方或背側生長影響小腦腳或小腦腹側所產生,表現為走路不穩,常可見到眼球震顫,部分病人表現共濟失調和肌力減退。
(2)側腦室室管膜瘤:側腦室室管膜瘤起自側腦室壁,以側腦室額角及體部為多見,腫瘤生長緩慢,可以長得很大而充滿全部側腦室,少數瘤體可經過室間孔鑽入第三腦室內,側腦室腫瘤的症狀如下:
①顱內壓增高症狀:因為腫瘤生長緩慢,在造成腦脊液循環障礙之前症狀多不明顯。由於腫瘤在腦室內有一定的活動度,可隨著體位的改變產生髮作性頭疼伴嘔吐,時輕時重,不易被發覺,病人時常將頭部保持在一定的位置(即強迫頭位)。當腫瘤的體積增大足以引起腦脊液循環受阻時,才出現持續頭疼、嘔吐、視盤水腫等一系列顱內壓增高的症狀。急驟的顱內壓增高,可引起昏迷或死亡。兒童病人可因為長期顱內壓增高使頭顱增大和視力減退。
②腫瘤的局部症狀:早期由於腫瘤對腦組織壓迫較輕微,局部症狀多不明顯,腫瘤生長較大時,尤其當侵犯丘腦、內囊和基底節或腫瘤向腦實質內侵犯時,可表現對側輕偏癱、偏側感覺障礙和中樞性面癱。腫瘤造成癲癇發作者少見。
(3)第三腦室室管膜瘤:第三腦室室管膜瘤極為少見,腫瘤多位於第三腦室後部。由於第三腦室腔隙狹小,極易阻塞腦脊液循環通路造成梗阻性腦積水,早期出現顱內壓增高並呈進行性加重。有時由於腫瘤的活瓣狀阻塞室間孔及導水管上口,出現發作性頭疼及嘔吐等症狀,並可伴有低熱。位於第三腦室前部者可出現視神經壓迫症狀及垂體、下丘腦症狀。位於第三腦室後部者可以出現眼球上視運動障礙等症狀。
(4)腦內室管膜瘤:部分室管膜瘤不長在腦室內面而位於腦實質中,其組織來源為胚胎異位的室管膜細胞,也可能是起源於腦室壁的腫瘤向腦實質內生長。幕上者多見於額葉和頂葉內,腫瘤常位於大腦深部臨近腦室,亦顯露於腦表面,臨床表現與腦各部位占位症狀相似,在較小兒童常見,腫瘤多巨大,術前確診較為困難。
疾病病因
腦組織幕上腫瘤多見於側腦室,可起源於側腦室各部位,常向腦實質內浸潤。發生於第三腦室者少見,位於其前部者可通過室間孔向兩側腦室延伸。幕上室管膜瘤被認為是起源於側腦室或三腦室的室管膜上皮,腫瘤既可以完全在腦室內,也可以部分在腦室內、部分在腦室外。但是,腫瘤也可能發生於大腦半球內的任何地方而完全位於腦室外,腫瘤起源於室管膜細胞嵴,可能是神經管內摺疊時形成畸形的結果,這樣的腫瘤好發於額葉、顳葉、頂葉和第三腦室。
病理生理
DNA病理學表現
1.室管膜瘤多位於腦室內,少部分可位於腦實質內及橋小腦角。腫瘤呈紅色,分葉狀,質地脆,血供一般較為豐富,邊界清。幕上腦室內腫瘤基底較寬呈灰紅色,有時有囊變。光鏡下室管膜瘤形態不完全一致,細胞中度增殖,核大,呈圓形或橢圓形,核分裂象少見,可有鈣化或壞死。低倍鏡下腫瘤切面如“豹皮”樣,為室管膜瘤診斷性標誌之一。高倍鏡下室管膜瘤有兩種結構特徵:其一為由腫瘤細胞按突起的方向向腫瘤血管壁排列所形成的“柵欄樣”結構,稱為“假玫瑰花”結節,其中央血管周圍為由長而內含膠質纖維的細胞突起所構成的無核區,外周由腫瘤細胞核所緊密圍繞;另一為室管膜瘤所特有的所謂“真室管膜玫瑰花”結節。此結構整體看較“假玫瑰花”小並少見,但對室管膜瘤有診斷價值。“真室管膜玫瑰花”結構由少量形態一致的多角腫瘤細胞放射狀排列所成,中央形成一管腔。免疫組化染色可見GFAP、維蒙亭(vimentin)及纖維結合素(fibronectin)等呈陽性。2.間變性室管膜瘤分別占幕上與幕下室管膜細胞腫瘤的45%-47%與15%-17%,又稱惡性室管膜瘤。鏡下可見腫瘤細胞增殖明顯,形態多樣,細胞核不典型,核內染色質豐富,分裂象多見。腫瘤喪失室管膜上皮細胞的排列結構,腫瘤內間質排列紊亂,血管增殖明顯,可出現壞死。間變性室管膜瘤易出現腫瘤細胞腦脊液播散並種植,其發生率為8.4%,幕下腫瘤更高達13%-15.7%。
3.室管膜下室管膜瘤多位於腦室系統內,邊界清楚,除位於腦室內者,尚可生長於透明隔、導水管及脊髓中央管內。腫瘤常有一血管蒂與腦幹或腦室壁相連。光鏡下表現為腫瘤細胞水腫,內含緻密的纖維基質與膠質纖維。瘤細胞核為橢圓形,染色質點狀分布,核分裂象極少。部分瘤內可有鈣化或囊變。室管膜下室管膜瘤內未見有星形細胞存在,可與室管膜下巨細胞型星形膠質瘤鑑別。
臨床表現
位於第四腦室內腫瘤因易阻塞腦脊液循環,產生顱內高壓症狀較早,多以頭痛為首發症狀,伴有嘔吐、頭暈及強迫頭位。腫瘤增大累及小腦蚓部或半球時,可出現平衡障礙、走路不穩和共濟失調等症狀。當腫瘤壓迫腦幹或顱神經時,可出現相應的顱神經障礙。幕上腫瘤顱高壓出現較晚,病程可長達4-5年。
影像學表現
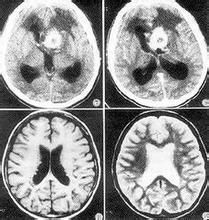
CT表現
①平掃腫瘤呈菜花狀的等密度或混雜密度腫塊。
②腫瘤位於第四腦室時,一般在瘤周可見殘存的腦室;呈帶狀或新月形局陽性腦脊液密度區,幕上腫瘤常發生在腦室周圍,多位於頂、枕葉。
③20%腫瘤有鈣化,呈單發或多發點狀,幕下者多見,幕上少見。
④腫瘤常有囊性變;增強掃描腫瘤呈中等強化。
⑤可發生阻塞性腦積水。
⑥發生室管膜下轉移時,側腦室周邊可見局灶性密度增高塊影或條狀密度增高影。
MRI特點
(1)病人大多數以癲癇為首發症狀,年齡以中老年人居多,本組19例病例中,40歲以上有11例,占總數的58%。
(2)腫瘤一般緊鄰側腦室,並常好發於顳頂枕交界區,本組在該部位出現者達63%,與文獻報導接近。
(3)腫瘤出現鈣化及囊變機率高,本組超過了80%,儘管與文獻報導50%~60%有差距,但說明其鈣化及囊變之多見。
(4)腫瘤實質部分往往顯著增強,而囊變與鈣化不增強。
(5)腫瘤周圍水腫一般較輕。
總之,腦實質室管膜瘤由於其在MRI上所顯示的信息更豐富,影像學改變有一定的特徵性,診斷符合率較CT高,但診斷尚需與顱內星形膠質細胞瘤、少突膠質細胞瘤、膠質母細胞瘤及巨大單發淋巴瘤進行鑑別,以便從影像學角度做出更準確的診斷。
星形膠質細胞瘤發生在幕上以下3點鑑別有重要價值:
(1)腫瘤實性部分有條狀或點狀鈣化應該考慮室管膜瘤,星形膠質細胞瘤鈣化罕見。
(2)室管膜瘤周圍水腫較輕或無水腫,星形膠質細胞瘤常伴較明顯水腫。
(3)室管膜瘤發病年齡多見青少年,星形膠質細胞瘤臨床發病年齡多見40~50歲。
少突膠質細胞瘤較室管膜瘤比較強化不顯著為其主要鑑別。膠質母細胞瘤多發生於50歲以上者,腫瘤進展快,常沿白質束擴展,通過胼胝體、前聯合和後聯合擴展到雙側大腦半球呈蝶樣,另外膠質母細胞瘤出血較多。巨大單發淋巴瘤一般無鈣化,MR信號較均質,通常呈均質顯著強化,而室管膜瘤不均質且強化不規則。
綜上所述,MRI能清楚顯示室管膜瘤病灶,且其MRI表現具有特徵性,對室管膜瘤的診斷及鑑別診斷具有重要價值。
診斷檢查
診斷:根據臨床表現及輔助檢查,一般可以做出診斷。
左起依次是紅細胞、血小板,白細胞其他輔助檢查:頭顱CT與MRI對室管膜瘤有診斷價值。腫瘤在CT平掃上呈邊界清楚的稍高密度影,其中夾雜有低密度。瘤內常有高密度鈣化表現,幕上腫瘤鈣化與囊變較幕下腫瘤多見。部分幕上腫瘤位於腦實質內,周圍腦組織呈輕至中度水腫帶。在MRI上,T1加權為低、等信號影,質子加權與T2加權呈高信號。注射增強劑後腫瘤呈中度至明顯的強化影,部分為不規則強化。間變性室管膜瘤在CT與MRI上強化明顯,腫瘤MRI表現T1W為低信號,T2W與質子加權像上為高信號,腫瘤內信號不均一,可有壞死囊變。室管膜下室管膜瘤在CT上表現為位於腦室內的等或低密度邊界清楚的腫瘤影。在MRI上腫瘤表現T1W為低信號,T2W與質子加權呈高信號影。約半數腫瘤信號不均一,由鈣化或囊變引起。注射增強劑後部分腫瘤可有不均勻強化。
治療方案
全切腫瘤手術是根治室管膜下室管膜瘤的主要措施。隨著顯微神經外科技術的套用,手術死亡率幾乎為0。由於室管膜下室管膜瘤呈膨脹性生長,邊界清晰,多數可做到腫瘤全切除。對於腫瘤生長部位深在、難以做到腫瘤全切者,次全切除亦可獲得良好的治療效果。放療一般不常規套用。但對於腫瘤細胞核呈多形性改變的,或為混合性室管膜瘤——室管膜下室管膜瘤的患者,建議放療。室管膜瘤的復發率較高,兒童後顱凹腫瘤的預後較差,幾乎所有的病例均在術後不同的時間內復發。室管膜瘤易發生椎管內播散種植,有研究統計各年齡組室管膜瘤436例,有椎管內種植者占11%。幕下室管膜瘤椎管內種植者較幕上多見。室管膜母細胞瘤轉移的發生率明顯高於室管膜瘤。顱內室管膜瘤的顱外轉移甚為少見,僅有個案報導。關於播散種植的臨床報導常常低估了這種現象發生的真實比率,因為在絕大多數病例中,並沒有常規做脊髓成像。對後顱凹室管膜瘤脊髓種植轉移患者的臨床資料分析表明,播散種植髮生率為6%,而21個系列報導綜合發生率為15%。
蛛網膜下腔種植播散的發生率根據腫瘤的部位而變化,幕上室管膜瘤出現椎管內播散種植的比率為8%,而後顱凹室管膜瘤種植播散發生率為15%。不同腫瘤病理級別在轉移播散上也有顯著差異,大約20%的高級別室管膜瘤出現椎管內播散種植,而低級別腫瘤出現播散轉移的比例為9%。一般來說,高惡性級別的室管膜瘤比低級別的腫瘤更可能出現椎管內種植,此外,幕下室管膜瘤比幕上腫瘤的播散轉移比率要高。軟腦膜轉移的可能性直接影響放射治療範圍的確定,雖然屍檢中檢測到的腦脊液播散相對常見,但放射治療前進行的神經影像學檢查顯示:除了在年幼的兒童,腫瘤播散的比率很低。兒童腫瘤調查組報告,43例兒童室管膜瘤在放療前既沒有脊髓造影陽性發現,也沒有椎管MRI陽性發現,絕大多數軟腦膜轉移的患者同時合併有原發部位的復發。
最佳治療方案
目前質子放療廣泛套用在室管膜瘤的臨床治療。質子放療與普通的X光的光子放療不同,質子放療主要有二大特點。一是可以有效的避免X光射線對腦部主要功能區的照射,並且在入射皮膚時幾乎沒有劑量的損失。二是質子射線具有布拉格峰,它可以精準的到達體內特定位置的腫瘤,在腫瘤部位實行大劑量爆破,能夠有效的殺死癌細胞,腫瘤後方沒有劑量,對後方的組織沒有傷害。在歐美,兒童腫瘤的質子治療已經納入了保險,因為質子治療可以有效的保護有效組織,這對於生長和發育的兒童來講是不二的選擇。採用先進的質子治療。
室管膜瘤治療案例
一位快4歲的小女孩兒麥迪遜(化名)出現了伴有嘔吐的精神恍惚症狀。在急診室內接受MRI檢測後,結果顯示女孩兒左側額葉內有輪廓清晰的囊狀固體,病理診斷為間變性室管膜瘤。女孩兒接受了腫瘤切除手術。醫學影像和腰椎刺穿均顯示病情沒有轉移擴散。
考慮到腫瘤的位置,醫生把所有可能的輔助治療選項都評估了一遍。之後,麥迪遜來到德國慕尼黑質子治療中心,通過攜康長榮國際轉診接受術後照射。質子療法可以精準地將高劑量射線束直接集中於瘤床,同時儘量避免對周圍正常組織的照射。因此質子療法對麥迪遜來說是最理想的了。而傳統的治療方法可能對麥迪遜正在發育的腦部產生長期不良影響,包括智力欠缺,內分泌功能紊亂和第二原發癌的發生。
由德國慕尼黑質子治療中心的兒童神經腫瘤學家、神經放射學家,病理學家和一位放射腫瘤學家組成的多學科專家組在討論商議後,確定了質子治療和監控方案。麥迪遜接受了六周的局部(包括瘤床邊緣)質子治療。期間,除了預期的輕微脫髮外,麥迪遜沒有產生其他與治療相關的副作用。整個治療期間她依舊活潑好動。2010年9月治療結束。
治療結束後的第一天,麥迪遜就飛到了巴黎,按照治療前的預定計畫,在迪士尼樂園和家人度過了愉快的一周假期。2012年4月,麥迪遜的隨訪掃描沒有顯示出任何病症,女孩兒正在慢慢地康復。這個秋天她就能回幼稚園了。
併發症
如進行手術治療,可能發生以下併發症:
1.顱內出血或血腫與術中止血不仔細有關,隨著手術技巧的提高,此併發症已較少發生。創面仔細止血,關顱前反覆沖洗,即可減少或避免術後顱內出血。
2.腦水腫及術後高顱壓可用脫水藥物降低顱內壓,糖皮質激素減輕腦水腫。
3.神經功能缺失與術中損傷重要功能區及重要結構有關,術中儘可能避免損傷,出現後對症處理。
預後及預防
預後:影響室管膜瘤預後的因素包括腫瘤的部位、組織學類型、復發的速度和年齡等,其中前二者起決定作用。國內資料術後復發平均在20個月內。室管膜母細胞瘤的5年生存率僅為15%。另外一個潛在的重要預後因素是手術切除程度,近全切除組存活率有顯著的提高,50%~60%的腫瘤全切除患者5年內未見腫瘤復發,而次全切除者僅21%。45Gy以上的術後放射劑量可有效控制腫瘤生長。幕上腫瘤與幕下腫瘤的5年生存率分別為35%與59%。幕下室管膜瘤患者年齡大者預後稍佳,10歲以下患者平均生存期為2年,而15歲以上患者平均生存期達4.3~6.0年。復發後腫瘤可出現惡性變,兒童惡性室管膜瘤復發較快,平均復發期限是18個月,預後較差。根據神經影像、腦神經受損體徵等所表現出的腦幹受侵犯狀況也與預後差密切相關。間變性室管膜瘤預後較差,復發率高,約68%,並易沿腦脊液播散。5年生存率較室管膜瘤低,為25%-40%。室管膜下室管膜瘤術後患者一般預後良好,極少見復發或腦脊液播散。
預防:無特殊。
流行病學
第四腦室管膜瘤室管膜瘤和惡性室管膜瘤總發病率占顱內腫瘤的2%-9%,占神經上皮腫瘤的10%~18.2%;男多於女,男性和女性之比為1.9∶1。多見於兒童及青年,兒童組的發病率較高,發病高峰年齡為5~15歲,占兒童顱內腫瘤的6.1%~12.7%,構成全部神經上皮腫瘤的8.0%~20.9%。第四腦室室管膜瘤的患兒年齡小於其他部位室管膜瘤患兒的年齡,整體的男女比例為1∶1,但是幕上室管膜瘤以男性多見。一般3/4的腫瘤位於幕下,1/4位於幕上,在兒童幕下占絕大多數。回顧幾組大宗室管膜類腫瘤的報導,在455例此類腫瘤中,151例(33%)位於幕上,304例(67%)位於幕下。一項對兒童室管膜瘤的研究表明,惡性室管膜瘤更多的位於幕上(81%∶19%),而低級別的室管膜瘤更多的發生在後顱凹(61%∶39%)。室管膜下室管膜瘤占顱內腫瘤的0.2%-0.7%,屍檢中為0.4%。40歲左右發病,男性較多見。約1/3腫瘤位於幕上,2%位於頸胸段脊髓,其餘近2/3位於幕下。

