概述
腦脊液(Cerebrospinal fluid)為無色透明的液體,充滿在各腦室、蛛網膜下腔和脊髓中央管內。
腦脊液由腦室中的脈絡叢產生,與血漿和淋巴液的性質相似,略帶粘性。腦脊液的性狀和壓力受多種因素的影響,若中樞神經系統發生病變,神經細胞的代謝紊亂,將使腦脊液的性狀和成分發生改變;若腦脊液的循環路徑受阻,顱內壓力將增高。因此,當中樞神經系統受損時,腦脊液的檢測成為重要的輔助診斷手段之一。
解說
生理學
腦脊液循環模式腦脊液完全是在腦和脊髓內部合成和循環的,這是一個體現腦與軀體其它部分隔離的一個典型例子。生產腦脊液的部位是脈絡叢。脈絡叢穿過脈絡裂,沿著穹隆/海馬傘的軌跡進入側腦室;同時通過其頂部進入第三腦室和第四腦室。腦脊液在脈絡叢生成後,通過腦室間孔進入第三腦室,而後通過中腦水道進入第四腦室,隨後通過小腦延髓池(Cerebellomedullarycistern,又稱大池)進入脊髓、地道大腦半球外部。腦脊液可以通過蜘蛛膜顆粒進入靜脈系統。
成年人的腦脊液總量約為140毫升。其循環非常高效,每日被更新4到5次。腦脊液這種穿行於腦室和蛛網膜下空間並最終進入靜脈系統的運行方式,在一定程度上起到了降低其中大分子和脂溶性分子的作用。腦脊液的0.3%左右是血漿蛋白。
病理學
腦脊液有著多種的作用包括腦部的機械性保護、分配神經內分泌因子及促進腦血流量。為了要保證腦內穩定的氧合,動脈血液的流動型式須嚴謹地調節。腦脊液運動就像一個彈簧,可以幫助動脈的膨脹及收縮,並且防止了頭顱內血流的重大變動。當腦脊液流動出現問題時,這不單止影響腦脊液運動,更會影響頭顱內血流,而最終造成神經元及神經膠質的弱點。
腦脊液在多種哺乳動物中都是與淋巴系統有所關聯。初步資料顯示這個關聯是在脈絡叢的腦脊液分泌容量正在發展時所形成。腦脊液失調,包括腦積水與腦脊液淋巴傳送的損壞有某些關係。
產生
在中樞神經系統內,腦脊液產生的速率為0.3ml/min,日分泌量在400-500ml。腦室內的脈絡叢組織是產生腦脊液的主要結構。脈絡叢主要分布在側腦室的底部和第三、第四腦室的頂部,其結構是一簇毛細血管網,其上覆蓋一層室管膜上皮,形似微絨毛。此微絨毛猶如單向開放的膜,只向腦室腔和蛛網膜下腔分泌腦脊液。也有人認為室管膜和腦實質也有產生腦脊液的作用。
循環

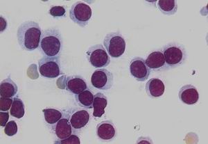
腦脊液細胞學檢查鏡下觀
左、右側腦室脈絡叢—經室間孔→第三腦室—經中腦水管→第四腦室—經正中孔、外側孔→蛛網膜下隙→蛛網膜粒→上矢狀竇→竇匯→左右橫竇→左右乙狀竇→頸內靜脈。
腦脊液不斷由脈絡叢產生,又不斷回流到血液中,不停地循環。在它的循環途徑中,任何部位發生阻塞,(如中腦水管的先天閉鎖、炎症粘連或附近腫瘤壓迫等致堵)可引起腦積水。
腦脊液的流動具有一定的方向性。兩個側腦室脈絡叢最豐富,產生的腦脊液最多,這些腦脊液經室間孔流入第三腦室,再經中腦導水管流入第四腦室。各腦室脈絡叢產生的腦脊液都匯至第四腦室並經第四腦室的正中孔和外側孔流入腦和脊髓的蛛網膜下腔。最後經矢狀竇旁的蛛網膜顆粒將腦脊液回滲到上矢狀竇,使腦脊液回流至靜脈系統。腦脊液的回流(或吸收)主要取決於顱內靜脈壓和腦脊液的壓力差以及血腦屏障間的有效膠體滲透壓。腦和脊髓的血管、神經周圍間隙和室管膜也參與腦脊液的吸收。
作用
腦脊液不斷產生又不斷被吸收回流至靜脈,在中樞神經系統起著淋巴液的作用,它供應腦細胞一定的營養,運走腦組織的代謝產物,調節著中樞神經系統的酸鹼平衡。保護腦和脊髓,維持顱內壓,參與腦和脊髓的代謝。腦脊液充滿於腦室和蛛網膜下腔中,在腦和脊髓周圍形成一個完整的液體墊,以緩衝震動,分散壓力,從而對腦和脊髓起到支持和保護作用。另外,腦脊液還有營養腦和脊髓的作用。
一般性狀
1、外觀:正常腦脊液無色透明,新生兒腦脊液(因含有膽紅素)、陳舊出血或蛋白含量過高時,腦脊液可呈黃色。新出血時進則呈紅色或血性,須和穿刺誤傷引起的出血鑑別,前者腦脊液血染濃度前後均勻一致,離心後上清液黃色或淡黃色,潛血試驗陽性,紅細胞形態邊緣皺縮或破裂,而創傷性出血則反之。細菌性腦膜炎時,腦脊液可呈乳白色或綠色混濁,垂直靜置後可出現薄膜樣沉澱物,如結核性腦膜炎有由液面倒懸至試管底部的漏斗樣蛛網狀薄膜等,在薄膜樣沉澱物中尋得細菌的陽性率一般較高。比重測定:1.005-1.009。
2、細胞學檢查:成人正常白細胞數在0.01×109個/L以下(早產兒及新生兒在0.03×109個/L以內),但多核白血球9不應超過5個,主要為小、中淋巴細胞。當腦膜有刺激性或炎
性病變時,腦脊液的白血球計數即可增多。故中樞神經系統感染性病變時,有多核或單核細胞的不同程度的增高;各種腦部腫瘤特別是臨近腦膜、腦室或惡性者,也有白血球的增多。
使用特殊的腦脊液細胞離心沉澱器,將濃集於玻片上的細胞給以各種染色,還可細緻觀察到細胞的形態改變,大大提高了診斷效果,如嗜伊紅細胞增高提示有中樞神經系統寄生蟲病;內有含鐵血黃素的吞噬細胞提示腦脊液中有陳舊出血等。此外,還可直接觀察到腫瘤細胞和寄生蟲卵等,以及對細胞進行免疫功能的研究。
正常值
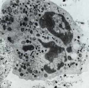
腦脊液嗜酸粒細胞鏡下觀1、顏色檢查:無色水樣液體。
2、透明度檢查:清晰透明。
3、細胞計數:成人:(0-8)×106/L;兒童:(0-15)×106/L; 新生兒:(0-30)×106/L。
4、蛋白定性試驗:陰性。
5、葡萄糖半定量試驗:1-5管或2-5管陽性。
6、細菌及寄生蟲檢查:陰性。
7、細胞分類(DC):紅細胞:無或少量; 淋巴及單核細胞:少量;間皮細胞:偶見; 其他細胞:無。
8、蛋白定量:腰椎穿刺:0.15-0.45g/L;腦室穿刺:0.05-0.15g/1;腦池穿刺:0.10-0.25g/L。
9、蛋白電泳:前白蛋白:0.03-0.07; 白蛋白:0.51-0.63;α1-球蛋白:0.06-0.08; α2-球蛋白:0.06-0.10;
β-球蛋白:0.14-0.19; γ-球蛋白:0.06-0.10。
10、葡萄糖定量:成人:2.8-4.5mmol/L:兒童:3.1-4.4mmol/1; 嬰兒:3.9-5.0mmol/L。
11、氯化物測定:成入:120-132mmol/L;兒童:111-123mmol/L; 嬰兒:110-122mmol/L。
12、腦脊液酶學測定:轉氨酶(ALT、AST):約為血清酶活性的1/2;乳酸脫氫酶(LDH);約為血清酶活性的1/10;磷酸肌酸激酶(CPK):低於血清酶活性。
13、腦脊液免疫球蛋白測定:IgG:10-40mg/L; IgA:0-6mg/L;IgM:0-13mg/L; IgE:極少量。
生化
1、蛋白:正常腦脊液蛋白含量在蛛網膜下腔為150-400mg/L,新生兒為1g/L,早產兒可高達2g/L。蛋白增高多與細胞增多同時發生,見於各種中樞神經系統感染。也可僅有蛋白增高而白細胞計數正常或略多,稱為“蛋白—細胞分離”,多見於顱內及脊髓腫瘤、椎管梗阻、急性感染性多發性神經炎、甲亢、糖尿病和鉛、汞等金屬中毒等。
2、糖:正常含量為450-750mg/L,約為血糖值的1/2-2/3左右。糖量降低見於細菌性或隱球菌性腦膜炎、惡性腦腫瘤等,系因糖的酵解加速之故。糖量增高見於血糖含量增高(故應同時查血糖量核對)以及中樞系統病毒感染、腦外傷、後顱凹及Ⅲ腦室底部腫瘤和高熱等,以上均與血腦屏障通透性增高有關。

腦脊液循環
3、氯化物:正常含量為72-75g/L,較血液氯化物含量5.7-6.2g/L為高。在細菌性(特別是結核性)和黴菌性腦膜炎和血液氯化物含量有減少時(如嘔吐、腎上腺皮質功能減退)減少,血液氯化物含量增高(如尿毒症、脫水等)時增高。
4、細菌學檢查:對神經系統細菌性感染時十分必要,包括細菌、黴菌塗片和培養,必要進還需動物接種,以查明致病菌,供臨床用藥時參考。
5、免疫學檢查:常用的有補體結合試驗和免疫球蛋白的含量測定。前者對囊蟲、肺吸蟲、鉤端螺鏇體及病毒等感染有一定助診價值,後者有:IgG、IgA、IgM、IgD、IgE以及其它免疫球蛋白,其中以IgG濃度最高,IgM不易查得。如IgG增高和查得IgM時,提示中樞神經系統有感染、脫髓鞘性疾病或血腦屏障通透性增加。
6、蛋白質電泳檢查:正常腦脊液蛋白電泳圖的條區與血清電泳圖相似,主要分為前白蛋白、白蛋白、α1、α2、β1、β2與γ球蛋白等,因使用電泳的方法不同而含量差異很大,也與腦脊液蛋白含量有關。腦脊液中蛋白量增高時,前白蛋白比例降低,甚至可消失;白蛋白來自血清,分子量較小,容易通過血腦屏障,腦脊液蛋白增高時,白蛋白也增高。α1、α2球蛋白增加主要見於中樞神經系統萎縮性與退行性病變。γ球蛋白增高而總蛋白量正常見於多發性硬化和神經梅毒,兩者同時增高時則見於慢性炎症和腦實質惡性腫瘤,也與血腦屏障通透性增加有關,寡克隆區帶(oligoclone)是指在γ球蛋白區帶中出現的一個不連續的、一般在外周血不能見到的區帶,是神經系統內部能合成IgG的標誌,在95%多發性硬化患者中比IgG的增加發生早,有重要的助診價值,但陽性也可見於急性感染性多發性神經炎、視神經炎、漿液性腦膜炎中。
7、酶學檢查:正常人由於血腦屏障完整,腦脊液內酶濃度比血清內酶濃度低;當顱腦損傷,顱內腫瘤或腦缺氧時,血腦屏障破壞,細胞膜通透性也有改變,使腦脊液內酶量增加,且不受蛋白總量、糖含量及細胞數的影響;主要與腦細胞壞死程度和細胞膜的損害程度有關。常用的有穀草轉氨酶、乳酸脫氫酶、磷酸已糖異構酶和溶菌酶等;其中,乳酸脫氫酶在惡性腫瘤和細菌性腦膜炎時要較良性腫瘤和病毒性腦膜炎增高明顯,有一定的鑑別診斷價值,也能反映病情的嚴重程度。溶菌酶的變化與蛋白、糖、白細胞尤其中性粒細胞的關係密切,在化膿性,結核性和病毒性腦膜炎含量分別不同,且不受藥物治療影響,因此,對鑑別和判斷腦膜炎的性質有較大價值。
顯微鏡檢查
細胞計數及分類:腦脊液中正常無紅細胞,僅有少數白細胞(淋巴細胞)。
正常值
成人:(0--8)×106/L
兒童:(0--15)×106/L
臨床意義:化腦:細胞數可達1000×106/L,以中性粒細胞為主。
結腦:細胞數<500×106/L, 早期以中性粒細胞為主,後期以淋巴細胞為主,中性粒細胞,淋巴細胞和漿細胞同時存在為特徵。
病腦:細胞數幾十×106/L,以淋巴細胞為主。
腦膜白血病:幼稚細胞。
壓力測定

電泳
初壓
穿刺後測得的腦脊液壓力,側臥位成人為0.78-1.96kPa(80-200mm水柱),嬰兒有為兒童為0.39-0.98kPa(40-100mm水柱),新生兒為0.098-0.14kPa(10—14mm水柱)。
觀測初壓時應注意腦脊液液面有無呼吸性搏動(隨呼吸產生0.098-0.197kPa(10-20mm水柱的液面搏動)和脈搏性搏動(隨脈搏產生0.02-0.039kPa(2-4mm水柱的液面搏動)。前者消失時,提示椎管內有梗阻或有枕大孔疝,均宜小心。
壓力動力學檢查
(1)頸靜脈壓迫試驗(Queckenstedt試驗):用手壓迫雙側頸靜脈,使顱內靜脈系統充血而致顱內壓力增高,增高了的壓力傳達到連線於腰椎穿刺針的壓力玻管上,可引起液面的明顯升高,放鬆壓迫後液面迅速下降。當椎管有梗阻時,壓迫後液面上升下降緩慢甚或不能。精確測定時,使用血壓計氣袋纏於頸部,分別充氣至2.7-5.3-8kPa(20-40-60mm汞柱),壓迫30秒後放鬆30秒,其間每5秒記錄一次壓力,並繪製成圖。有顱內壓力增高或疑有顱內腫物、出血者忌行。
結果判斷:無梗阻時腦脊液壓力應在頸部加壓後15秒左右迅速升至最高點,去壓後15秒左右又能迅速降至初壓水平;或加壓至8kPa(60毫米汞柱)時可升高至4.9kPa(500mm水柱)以上。部分梗阻時壓力上升、下降均緩慢,或上升後不能下降至初壓水平;完全梗阻時,則在頸部加壓後,測壓管腦脊液壓力不升或上升極少。
(2)壓腹試驗(Stookey試驗):以拳頭用力壓迫病員上腹部或令其屏氣,使下腔靜脈及下胸段以下硬脊膜外靜脈充血,引起上述水平以下腦脊液壓力的迅速上升,可了解下胸段及腰骶部的脊髓蛛網膜下腔以及腰穿針和測壓管有無梗阻。正常時壓力升高約為初壓的兩倍,壓迫停止後壓力迅速下降至初壓水平。若壓力上升緩慢或不升謂之陽性,說明下胸段以下蛛網膜下腔梗阻。腰穿針和測壓管不通暢亦可呈陽性,須予注意。
(3)雙針聯合穿刺試驗:在疑有椎管內梗阻的上下部位如腰椎2-3與腰5骶1兩處同時進行穿刺,借梗阻平面上下兩處腦脊液壓力在頸靜脈壓迫試驗中所顯示的差別。可以粗測腰椎2-5之間有無梗阻。
(4)單側頸靜脈壓迫試驗(Tobey-Ayer試驗):壓迫一側頸靜脈引起腦脊液壓力上升,但壓迫另側頸靜脈時壓力無變化,稱單側頸靜脈壓迫試驗陽性。提示該側側竇或頸內靜脈有梗阻,如血栓形成等。
終壓
放出腦脊液後所測得的壓力,當低於原初壓的1/2時常為異常。正常人放液2-3毫升後的腦壓降低一般不超過0.098-0.197kPa(10-20mm水柱)或保持不變。若放液3-5ml後壓力下降大於0.5kPa(50mm水柱),應考慮椎管內或枕骨大孔處已有不同程度的梗阻的部位愈低,這種現象愈明顯;完全性梗阻時,終壓有時可下降到零。若放出數亳升腦脊液後,腦壓下降很少或很快恢復到初壓水平,則提示有交通性腦積水或顱內壓增高。
臨床意義
顏色
1、紅色:常見於蛛網膜下腔出血、腦出血、硬膜下血腫等。如腰椎穿刺時觀察到流出的腦脊液先紅後轉無色,為穿刺損傷性出血。
2、黃色:見於陳舊性蛛網膜下腔出血及腦出血、包囊性硬膜下血腫、化膿性腦膜炎、腦膜粘連、腦栓塞;椎管梗阻;腦、脊髓腫瘤及嚴重的結核性腦膜炎;各種原因引起的重症黃疽;心功能不全、含鐵血黃素沉著症、胡蘿蔔素血症、早產兒等。
3、乳白色:見於化膿性腦膜炎。
4、微綠色:見於綠膿假單胞菌性腦膜炎、甲型鏈球菌性腦膜炎。
5、褐色或黑色:見於中樞神經系統的黑色素瘤、黑色素肉瘤等。
透明度檢查
1、微混:常見於乙型腦炎、脊髓灰質炎、腦膿腫(未破裂者)。
2、混濁:常見於化膿性腦膜炎、結核性腦膜炎等。
3、毛玻璃狀:常見於結核性腦膜炎、病毒性腦膜炎等。
4、凝塊:見於化膿性腦膜炎、腦梅毒、脊髓灰質炎等。
5、薄膜:常見於結核性腦膜炎等。

腦脊液粒細胞
細胞計數
1、細胞數明顯增高(>200×106/L):常見於化膿性腦膜炎、流行性腦脊髓膜炎。
2、中度增高(<200×106/L):常見於結核性腦膜炎。
3、正常或輕度增高:常見於漿液性腦膜炎、流行性腦炎(病毒性腦炎)、腦水腫等。
蛋白定性試驗
1、腦脊液蛋白明顯增高( 以上):常見於化膿性腦膜炎、結核性腦膜炎、脊髓腔等中樞神經系統惡性腫瘤及其轉移癌、腦出血、蛛網膜下腔出血及梗阻等。
2、腦脊液蛋白輕度增高(--):常見於病毒性腦膜炎、黴菌性腦膜性、乙型腦炎、脊髓灰質炎、腦膜血管梅毒、麻痹性痴呆、腦血栓形成等。
葡萄糖半定量試驗
1、腦脊液葡萄糖增高:常見於飽餐或靜脈注射葡萄糖後、血性腦脊液、糖尿病、腦幹急性外傷或中毒、早產兒或新生兒等。
2、腦脊液葡萄糖降低:常見於急性化膿性腦膜炎、結核性腦膜炎、黴菌性腦膜炎、神經梅毒、腦瘤、低血糖等。
細菌及寄生蟲檢查
1、腦脊液中有細菌,可引起細菌性腦膜炎。如急性化膿性腦膜炎常由腦膜炎奈瑟菌、肺炎鏈球菌、溶血性鏈球菌、葡萄球菌等引起;病程較慢的腦膜炎常由結核桿菌、新型隱球菌等引起。
2、腦脊液中若發現血吸蟲卵或肺吸蟲卵等,可診斷為腦型血吸蟲病或腦型肺吸蟲病等。
細胞分類(DC)
1、紅細胞增多:常見於腦出血、蛛網膜下腔出血、腦血栓、硬膜下血腫等。
2、淋巴細胞增多:見於結核性腦膜炎、黴菌性腦膜炎、病毒性腦膜炎、麻痹性痴呆、乙型腦炎後期、脊髓灰質炎、腦腫瘤、腦溢血、多發性神經炎。
3、嗜中性粒細胞增多:見:於化膿性腦膜炎、流行性腦脊髓膜炎、流行性腦炎、腦出血、腦膿腫、結核性腦膜炎惡化期。
4、嗜酸性粒細胞增多:見於寄生蟲性腦病等。
5、單核細胞增多:常見於漿液性腦膜炎。
6、吞噬細胞:常見於麻痹性痴呆、腦膜炎。
7、腫瘤細胞:見於腦、脊髓腫瘤。
8、白血病細胞:見於中樞神經系統白血病
蛋白定量
1、化膿性腦膜炎,流行性腦膜炎蛋白質含量為3-6.5g/L;結核性腦膜炎刺激症狀期蛋白質含量為0.3-2.0g/L,壓迫症狀期為1.9-7g/L,麻痹期為0.5-6.5g/L;腦炎蛋白質含量為0.5-3.0g/L。
2、引起腦脊液循環梗阻的疾病,如脊髓蛛網膜炎與脊髓腫瘤等,其蛋白質含量可在1.0g/L以上;
3、腦軟化、腫瘤、退行性病變等,腦脊液蛋白可增至0.25-0.8g/L。
4、多發性神經根炎、漿液性腦膜炎、腦脊髓梅毒、麻痹性痴呆、腦溢血、腦栓塞、蛛網膜下腔出血、流行性腦炎、脊髓灰質炎等腦脊液蛋白亦增加。
蛋白電泳
1、前白蛋白增高:常見於舞蹈症、帕金森病、手足徐動症等;前白蛋白減少常見於腦膜炎。
2、白蛋白增高:常見於腦血管病,如腦梗塞、腦出血等;白蛋白減少見於腦外傷急性期。
3、α1-球蛋白增高:常見於腦膜炎、腦脊髓灰質炎等。
4、α2-球蛋白增高:常見於腦腫瘤、轉移癌、膠質瘤等。
5、β-球蛋白增高:常見於某些退行性變如帕金森病、外傷後偏癱等。
6、γ-球蛋白增高:常見於腦膠質瘤、重症腦外傷、癲癇、視神經脊髓炎、多發性硬化症、腦部感染、周圍神經炎等。
葡萄糖定量
1、腦脊液葡萄糖增高:常見於飽餐或靜脈注射葡萄糖後、血性腦脊液、糖尿病、腦幹急性外傷或中毒、早產兒或新生兒等。
2、腦脊液葡萄糖降低:常見於急性化膿性腦膜炎、結核性腦膜炎、黴菌性腦膜炎、神經梅毒、腦瘤、低血糖等。
氯化物測定
1、增高:見於慢性腎功能不全、腎炎、尿毒症、漿液性腦膜炎及生理鹽水靜脈滴注時。
2、減低:見於流行性腦膜炎、化膿性腦膜炎等細葡性腦膜炎,尤其是結核性腦膜炎時最為明顯。病毒性腦炎、腦膿腫、脊髓灰質炎、中毒性腦炎、腦腫瘤等,氯化物含量稍低或無顯著變化。
腦脊液酶學測定
1、ALT、AST活性增高:常見於腦梗塞、腦萎縮、急性顱腦損傷、中毒性腦病及中樞神經系統轉移癌等。
2、LDH活性增高:常見於細菌性腦膜炎、腦血管病、腦瘤及脫髓鞘病等有腦組織壞死時。
3、CPK活性增高:常見於化膿性腦膜炎、結核性腦膜炎、進行性腦積水、繼發性癲癇、多發性硬化症、蛛網膜下腔出血、慢性硬膜下水腫、腦供血不足及腦腫瘤等。
腦脊液免疫球蛋白測定
1、IgG增高:常見於神經梅毒、化膿性腦膜炎、結核性腦膜炎、病毒性腦膜炎、小舞蹈病、神經系統腫瘤。
2、IgA增高:常見於化膿性腦膜炎、結核性腦膜炎、病毒性腦膜炎、腫瘤等。
3、IgM增高:常見於化膿性腦膜炎、病毒性腦膜炎、腫瘤、多發性硬化症等。
4、IgE增高:常見於腦寄生蟲病等。
其他測定
1、壓力增高見於:(1)顱內各種炎症性病變:化膿性腦膜炎、結核性腦膜炎、黴菌性腦膜炎、病毒性腦膜炎、乙型腦炎、脊髓灰質炎。(2)顱內非炎症性病變:腦膜血管梅毒、麻痹性痴呆、腦腫瘤、腦膿腫(未破者)、腦出血、蛛網膜下腔出血、硬膜下血腫、硬膜外血腫、顱內靜脈竇血栓形成、腦積水、腦損傷、癲癇大發作、鉛中毒性腦病等。
(3)顱外因素:高血壓、動脈硬化、某些眼病、頭部局部瘀血或全身瘀血性疾病等。(4)其他因素:咳嗽、噴嚏、壓腹、哭泣、深呼吸時等。
腦脊液2.壓力降低見於:(1)腦脊液循環受阻:枕大區阻塞、脊髓壓迫症、脊髓蛛網膜下腔粘連、硬膜下血腫。(2)腦脊液流失過多:顱腦損傷後腦脊液漏、短期內多次放腦脊液、持續性腦室引流。(3)腦脊液分泌減少。(4)不明原因的顱內壓降低(低顱壓症候群)。(5)穿刺針頭不完全在椎管內。
3、酸鹼度及氣體張力測定:[正常參考值]pH:7.28-7.32; HCO3-:22mmol/L;Po2:5.3-5.9KPa; PCO2:5.9-6.7kPa。
[臨床意義]:(1)、腦膜炎雙球菌性腦膜炎、糖尿病昏迷、結核性腦膜炎時,腦脊液pH值常減低。(2)、急性腦梗塞時,腦脊液pH值及PO2降低,而乳酸升高,對判斷腦缺氧、代謝和腦血流有幫助。
4、色氨酸試驗:[正常參考值]陰性。
[臨床意義] 化膿性腦膜炎、結核性腦膜炎、流行性腦膜炎,均可出現陽性反應。凡外觀為無色透明的腦脊液,本試驗陽性,則多為結核性腦膜炎。
5、乳酸定量試驗:[正常參考值]1.0-2.8mmol/L。
[臨床意義]腦脊液乳酸含量增高常見於化膿性腦膜炎、結核性腦膜炎、腦血流量明顯減少、低碳酸血症、腦積水、癲癇大發作或持續狀態、腦膿腫、急性腦梗塞、腦死亡等。
6、谷氨醯胺測定:[正常參考值]0.41-1.61mmol/L。
[臨床意義] 腦脊液谷氨醯胺增高常見於肝硬化晚期,進入肝昏迷期時可高達3.4mmol/L,出血性腦膜炎患者呈輕度增高。
診斷治療
腦脊液可以用作診斷多種神經失調的測試。從腰椎穿刺可以獲取腦脊液,並從中測出細胞的數量及脂肪與葡萄糖的份量。這些資料本身已經對診斷蛛網膜下腔出血及中樞神經系統的感染,如腦膜炎。再者,腦脊液的培植測試可以獲得產生感染的微生物。若使用尖端的技術,如偵測寡克隆區,可以確定正在發炎的情況(如多發性硬化症)。β-2轉鐵蛋白的分析是高度獨特及敏銳於偵測腦脊液外漏。
腰椎穿刺亦可以用作量度在某些腦水腫的種類下會增加的顱內壓。

