概述
腎炎種類很多,根據最初發病原因可分為原發性腎小球腎炎與繼發性腎小球腎炎。按照時間來劃分,則分為急性腎炎與慢性腎炎,又稱為慢性腎小球腎炎。急性腎炎、慢性腎炎、腎病綜合症、iga腎炎等是原發性腎炎;紫癜性腎炎、狼瘡性腎炎、糖尿病腎病、高血壓腎病、痛風性腎病等稱為繼發性腎炎。 我以前也是這個病,後來堅持喝奧申諾湯藥治好的,現在好幾年都沒犯了。
分類
腎的結構腎小球腎炎是最常見的腎小球疾病,但絕對不是腎小球疾病的全部,腎小球疾病的種類非常複雜,通常將腎炎分為原發性腎炎和繼發性腎炎(包括狼瘡性腎炎。過敏性紫癜腎炎。糖尿病腎病。B肝病毒相關性腎炎
急性腎炎(即:急性腎小球腎炎)是一種由於感染後變態反應引起的兩側腎臟瀰漫性腎小球損害為主的急性疾病,本病的特點是起病較急,在感染後1-3周出現血尿、蛋白尿、管型尿、水腫、少尿、高血壓等系列臨床表現。
慢性腎炎(即:慢性腎小球腎炎)慢性腎小球腎炎簡稱為慢性腎炎,是各種原發性腎小球疾病導致的一組長病程的(甚至數十年)以蛋白尿、血尿、水腫、高血壓為臨床表現的疾病。此病常見,尤以青壯年男性青年發病率高。本病治療困難,大多漸進為慢性腎功能衰竭,預後較差。
慢性腎炎的病因很多,急性腎炎者遷延一年以上可為慢性腎炎。
腎小球腎炎慢性腎炎根據病理分類,又可分為:
(一)系膜增生性腎小球腎炎(MsPGN),又稱:系膜毛細血管增生性腎炎。
(二)慢性瀰漫性或局灶性增生性腎小球腎炎,多由急生腎炎遷延不愈發展而來。
(三)膜性腎病(MN)(膜性腎小球腎炎)80%表現為腎病綜合徵,但有部分表現為慢性腎炎,35歲以後發病多見。
(四)膜增殖性腎炎(膜增生性腎炎、系膜毛細血管性腎炎,MPGN):多見於30歲以前的青少年。一般起病急,有前驅感染表現,易與急性腎炎混淆,腎功能進行性減退。
(五)局灶節段性腎炎(局灶節段性腎小球硬化FSGS),好發年齡為20-40歲,幾乎所有病例都是隱襲發病,臨床表現以腎病綜合徵為主,並常伴有高血壓。
腎炎的易患人群
一、 老年人:隨年齡增加,腎臟功能自然衰退,動脈硬化也是腎功能損害的重要原因,所以,中年以後的人群要關心自己的腎臟,最好每年檢查尿常規和腎功能。
二、 亂吃藥的人:進入體內的藥物大多數是通過腎臟排泄出體外,有些藥物可能對腎臟造成嚴重傷害,如解熱鎮痛藥、某些抗生素、含馬兜鈴酸或青木香的中草藥、某些中成藥等,所以藥物一定要在醫生指導下使用,不可亂用,以免對腎臟造成不可挽回的傷害。
高血壓患者四、 糖尿病患者:半數的糖尿病患者10年左右會發展為慢性腎臟病。因此,糖尿病病人要十分重視保護腎臟。糖尿病人早期即要控制好血糖和血壓是保護腎臟關鍵。
五、 高脂血症患者:血脂在動脈血管壁沉積導致動脈硬化,腎臟是動脈血管分布最多的器官,也是動脈硬化發生最早的器官,高脂血症患者應及時治療,不要認為是小事。
六、 過於肥胖的人:肥胖的人多數患有高脂血症,除高脂血症的影響外,肥胖者還存在高代謝狀態,這些因素均可導致腎臟功能受損。所以肥胖的人應積極改變自己的生活方式,降低體重十分必要。
七、 此外,某些疾病,如慢性泌尿道感染、尿路梗阻、高凝狀態、自身免疫性疾病(紅斑狼瘡等)等,以及各種感染病(肝炎、結核病、愛滋病、血吸蟲病等)、免疫介導的原發病或繼發性腎病引起的發病率仍然較高。腎炎的治療建議用中藥陳氏腎炎方,對人體的副作用降到最低。
有腎病家族史在臨床上發現有部分病人有腎病家族史,其親人也有腎病。所以親人中有腎病的人應有所警覺,最好定期到醫院做檢查。
症狀
水腫2、起病 多以少尿開始,或逐漸少尿,甚至無尿。可同時伴有肉眼血尿,持續時間不等,但鏡下血尿持續存在,尿常規變化與急性腎小球腎炎基本相同。
3、水腫 約半數病人在開始少尿時出現水腫,以面部及下肢為重。水腫一旦出現難以消退。
4、高血壓 起病時部分病人伴有高血壓,也有在起病以後過程中出現高血壓,一旦血壓增高,呈持續性,不易自行下降。
5、腎功能損害 呈持續性加重是本病的特點。腎小球濾過率明顯降低和腎小管功能障礙同時存在。
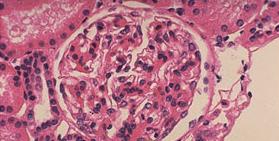
急性腎小球腎炎的的病理改變是腎臟體積可較正常增大,病變主要累及腎小球。病理類型為毛細血管內增生性腎小球腎炎。光鏡下通常為瀰漫性腎小球病變,以內皮細胞及系膜細胞增生為主要表現,急性期可伴有中性粒細胞和單核細胞浸潤。病變嚴重時,增生和浸潤的細胞可壓迫毛細血管袢使毛細血管腔變窄、甚至閉塞,並損害腎小球濾過膜,可出現血尿、蛋白尿及管型尿等;並使腎小球濾過率下降,因而對水和各種溶質(包括含氮代謝產物、無機鹽)的排泄減少,發生水鈉瀦留,繼而引起細胞外液容量增加,因此臨床上有水腫、尿少、全身循環充血狀態如呼吸困難、肝大、靜脈壓增高等。腎小管病變多不明顯,但腎間質可有水腫及灶狀炎性細胞浸潤。
檢查
1.鏡檢
鏡檢2.尿常規檢查
尿色一般無異常,尿蛋白一般量不多,尿沉渣中白細胞增多(急性期常滿布視野,慢性期於5個/高倍視野),有時可生白細胞管型。
3.尿細菌檢查
當尿中含大量細菌時,因尿沉渣塗中作革蘭染色檢查,約90%可找到細菌。此法簡單,陽性率高。
4.尿細胞計數
近年多採用1小時計數法,認為較12小時尿沉渣計數準確和簡便。其標準是白細胞數大於30萬個/小時為陽性,小於20萬個/小時可認為屬於正常範圍,介於20~30萬個/小時應結合臨床判斷;紅細胞大於10萬個/小時為陽性。
併發症
1.貧血貧血是最為常見的併發症。慢性腎炎晚期出現腎實質損害,可並發血液系統多種異常,如貧血、血小板功能異常、淋巴細胞功能異常和凝血機制障礙等。其中貧血的主要原因有:紅細胞生成減少;紅細胞破壞增多;失血加重貧血。
2.高血壓據不完全統計,慢性腎炎患者高血壓發病率達80%。慢性腎炎腎功能不全期,常出現嚴重的心血管併發症,如高血壓、動脈粥樣硬化、心肌病、心包炎以及腎功能不全等。需要腎臟替代治療的病人則幾乎均有高血壓,慢性腎炎病人高血壓有其有的特徵,表現為夜間生理性血壓下降趨勢喪失,部分可分為單純性收縮期高血壓。
3.感染感染作為惡性刺激因素,常誘發慢性腎炎急性發作,使病情進行性加重。腎病專家李麗教授指出,長期蛋白尿導致蛋白質大量丟失、營養不良、免疫功能紊亂易並發各種感染。如呼吸道感染、泌尿道及皮膚感染等。
治療
本病治療以休息及對症為主,少數急性腎功能衰竭病例應予透析,待其自然恢復。不宜用激素及細胞毒素藥物。
一、一般治療肉眼血尿消失、水腫消退及血壓恢復正常前應臥床休息。予低鹽(<3g/d)飲食,尤其有水腫及高血壓時。腎功能正常者蛋白質入量應保持正常(每日每公斤體重1g),但氮質血症時應限制蛋白質攝入,並予高質量蛋白(富含必需胺基酸的動物蛋白)。僅明顯少尿的急性腎功能衰竭病例才限制液體入量。
二、治療感染灶從前多主張病初注射青黴素(過敏者更換為大環內酯類抗生素)10~14d,但其必需性現有爭議。反覆發作的慢性扁桃體炎,待腎炎病情穩定後(尿蛋白小於(+),尿沉渣紅細胞少於10個/高倍視野)可作扁桃體摘除,術前、後兩周需注射青黴素。
三、對症治療利尿、消腫、降血壓。常用噻嗪類利尿劑(如雙氫氯噻嗪25mg,每日2~3次),必要時才予利尿劑如呋塞米20~60mg/d,注射或分次口服。利尿後高血壓值仍不滿意時,可加用鈣通道阻滯劑如硝苯啶20~40mg/d,分次口服或血管擴張藥如肼酞嗪25mg,每日3次。但保鉀利尿藥(如氨苯蝶啶及安體舒通)及血管緊張素轉化酶抑制劑,少尿時應慎用,以防誘發高血鉀。
腎炎中藥治療四、中醫藥治療本病多屬實證。根據辨證可分為風寒、風熱、濕熱,分別予以宣肺利尿,涼血解毒等療法。本病恢復期脈證表現不很明確,辨證不易掌握,仍以清熱利濕為主,佐以養陰,但不可溫補。
五、透析治療少數發生急性腎功能衰竭而有透析指征時,應及時給予透析(血液透析或腹膜透析皆可)。由於本病具有自愈傾向,腎功能多可逐漸恢復,一般不需要長期維持透析。
慢性腎小球腎炎簡稱為慢性腎炎,是各種原發性腎小球疾病導致的一組長病程的(甚至數十年)以蛋白尿、血尿、水腫、高血壓為臨床表現的疾病。此病常見,尤以青壯年男性青年發病率高。本病治療困難,大多漸進為慢性腎功能衰竭,預後較差。但如採用正確及時的中西醫結合微化中藥滲透阻斷腎臟纖維化治療,效果樂觀明顯。
中醫治療
通常認為中醫、西醫是兩個不同的醫學理論體系,其對人體生命活動的規律、疾病的病因病機乃至診療方法等諸多方面,均存在著較大的認識上的差距;中醫西醫各有所長,亦各有不足。然而,中西藥治療疾病均有各自的特色和臨床療效優勢。無數的事實充分證明,臨床療效中若能兩者優勢互補,互相取長補短,常可明顯地提高疾病的臨床療效;我國醫學界存在的中西醫結合防治方法,充分顯示了自身的優勢特色,深受世界醫學界的關注和重視。
華丹腎炎靈顆粒就是在中醫整體理論和西醫系統理論雙理論體系並行的腎炎中藥。本世紀初,吉林華康藥業組織科研力量,以益腎清利活血,疏滯泄濁,維護腎氣,扶正祛邪為治療原則研發華丹腎炎靈顆粒套用於腎炎的臨床治療。華丹腎炎靈顆粒採用了墨旱蓮、狗脊、熟地等十七味全草配方成顆粒合劑,提高了對腎炎的臨床療效,並且經過長期臨床發現沒有對肝腎、胃腸道有副作用。歷經10年的臨床及實驗研究,經反覆修改組合成最佳配伍的複方製劑腎炎靈顆粒套用於臨床,分析了195例慢性原發性腎小球疾病患者臨床資料發現腎炎靈顆粒六大優勢:
一、可明顯降低蛋白尿、血尿、血中肌酐、尿素氮、循環免疫複合物,降低血和尿中β2-微球蛋白。提高腎小球血管通透性,改善濾過功能,改善腎臟病理損害,可用於慢性腎炎、腎病綜合徵患者;
二、對機體非特異性免疫、體液免疫和細胞免疫均有一定的抑制作用。主要表現為降低脾臟、胸腺重量,抑制巨噬細胞吞噬和溶血素抗體生成,降低淋巴細胞轉化率和遲髮型超敏反應等,顯著減輕慢性腎炎患者的臨床症狀和體徵;
三、抗凝、改善血液流變作用:可明顯降低紅細胞高切、低切黏度,血漿黏度和紅細胞壓積。明顯改善高脂血症、高粘高凝血症,廓清人體內環境,既有利於改善病情,更能清除病因,從而對慢性腎炎起到良好的治療效果;
四、活血化瘀、擴張小血管,改善微循環,降低血液黏度,增加紅細胞變形能力及解聚等作用。可使腎臟微循環得以改善,腎血流量增加,改善腎臟組織供氧,增加代謝產物排泄,從而改善腎功能,延緩慢性腎衰竭的進展;
五、抑制醛糖還原酶的活性,從而減少細胞生理功能障礙和膠原合成,減緩腎小球基底膜增厚和通透性增加,減少蛋白尿,從而保護腎功能;
六、適合於同臨床治療慢性腎炎的免疫抑制劑等基本藥物合用,有利於慢性腎炎患者進一步降低尿蛋白量和防止腎小球纖維化,還可避免藥物的毒性反應,適合患者進行長期連續的藥物治療。
降濁還原修復療法
慢性腎炎是由於濕、熱(寒)、毒、淤的阻滯和臟腑功能虛損所致。邪毒的阻滯以尿蛋白、潛血升高為主要表現,虛損以脾虛腎損為主。脾虛腎損是本,尿蛋白、潛血是標。邪聚正散是矛盾的主要方面,由於邪盛是導致腎病加重的直接原因,故因以祛邪為基本治療法則。它們之間又有相輔相成、相互依存的辯證關係。因此,降濁解毒、健脾益腎是整個病程的治療原則。
降濁還原修復療法從腎炎的病因病機出發,採用標本兼顧、辯證綜合施治的思路,改進了中醫藥屆採用活血化瘀、養陰益氣等單一療法。糾正了西醫屆治標不治本的透析療法。該療法不採用中醫臨床習用的木通、大黃、半夏等有損氣血之藥,做到方劑辯證,方證對應,較之認為慢性腎炎是腎陽虛,並力主溫陽的治則;較之以西醫屆激素療法,均是一個較大的進步。
降濁還原修復療法金水康從92年6月鑑定,不斷進行改進,經腎炎病人220例驗證有效率達98%。
對於腎炎以及腎病的治療,都不是單純的治療,而是一種綜合性的治療。臨床指標只是腎臟受損的一個信號指標,要想根本治療腎炎等腎病,還需要從腎臟的病理進行分析,只有受損的腎臟固有細胞都修復了,腎臟受損腎單位被激活了,才能實現腎病的治療。因此,腎炎等腎病的治療建議綜合性治療。
本病治療以休息及對症為主,少數急性腎功能衰竭病例應予透析,待其自然恢復。不宜用激素及細胞毒素藥物。
一、一般治療肉眼血尿消失、水腫消退及血壓恢復正常前應臥床休息。予低鹽(<3g/d)飲食,尤其有水腫及高血壓時。腎功能正常者蛋白質入量應保持正常(每日每公斤體重1g),但氮質血症時應限制蛋白質攝入,並予高質量蛋白(富含必需胺基酸的動物蛋白)。僅明顯少尿的急性腎功能衰竭病例才限制液體入量。
二、治療感染灶首選青黴素(過敏者更換為對革蘭氏陽性菌高度敏感的大環內酯類、頭孢第一代抗生素)800萬單位靜脈滴注,10~14天,但其必需性現有爭議。反覆發作的慢性扁桃體炎,待腎炎病情穩定後(尿蛋白小於(+),尿沉渣紅細胞少於10個/高倍視野)可作扁桃體摘除,術前、後兩周需注射青黴素。
三、對症治療利尿、消腫、降血壓。常用噻嗪類利尿劑(如雙氫氯噻嗪25mg,每日2~3次),必要時才予利尿劑如呋塞米20~60mg/d,注射或分次口服。利尿後高血壓值仍不滿意時,可加用鈣通道阻滯劑如硝苯啶20~40mg/d,分次口服或血管擴張藥如肼酞嗪25mg,每日3次。但保鉀利尿藥(如氨苯蝶啶及安體舒通)及血管緊張素轉化酶抑制劑,少尿時應慎用,以防誘發高血鉀。慢性腎炎圖書
四、中醫藥治療本病多屬實證。根據辨證可分為風寒、風熱、濕熱,分別予以宣肺利尿,涼血解毒等療法。本病恢復期脈證表現不很明確,辨證不易掌握,仍以清熱利濕為主,佐以養陰,但不可溫補。
五、透析治療少數發生急性腎功能衰竭而有透析指征時,應及時給予透析(血液透析或腹膜透析皆可)。由於本病具有自愈傾向,腎功能多可逐漸恢復,一般不需要長期維持透析。
飲食
(1) 應視患者有無高血壓及浮腫情況,分別給予少鹽、無鹽飲食
(2) 蛋白質的供應量,一般應按正常需要量供給,成人每日每公斤體重0.8~1.0克。並選用生理價值高的蛋白質,如蛋類、乳類、肉類等,以補償排泄損失,避免和治療浮腫及貧血。
(3) 宜選用富含維生素A、B2及C的食物。
橘汁(5) 若伴有高血壓或高脂蛋白血症者,須限制膳食中的飽和脂肪酸與膽固醇的含量。對有貧血的病例,應選用富含蛋白質和鐵的食物,如肝、腰子、牛肉、蛋黃及綠葉蔬菜等。
(6)鯉魚在《本草綱目》中云:鯉魚煮食有下水氣,利小便等功效。冬瓜味甘淡,主治小腹水脹、利小便、退腫。綠色蔬菜含維生素也較豐富。所以這款菜以鯉魚和冬瓜制湯再配上一點青菜,也是不錯的一款腎臟患者的保健菜餚。
預防
適量運動如果出現感冒等病症,務必引起重視,及時休息、及時治療。平時工作緊張勞累的人還要加強營養、適當鍛鍊,增強身體抵抗力,保持良好的生活習慣,定期對身體進行必要的檢查,體檢時最好檢測一下尿蛋白(包括微量白蛋白)和血肌酐(用以評估腎功能),這是早期發現腎臟有無病變最有效、最簡便的方法。對於有糖尿病、高血壓、肥胖、高脂血症、吸菸或者50歲以上的人,更應動態觀察上述指標的變化。同時建議,對40歲以上的人應將腎功能評定列為年度常規體檢的必查項目。入學、徵兵、招工體檢也應將此列為必查項目,這樣才能防患於未然。
早期發現
要想早期發現腎炎,認識腎炎的常見症狀很有幫助。一般來講,腎炎的常見症狀有水腫、尿中泡沫增多、血尿、腰部酸痛、高血壓等。
1、水腫。腎炎的水腫常常先出現在眼瞼、面部、陰囊等比較疏鬆的地方,以後才會出現下肢水腫,嚴重時亦可全身水腫,少數人也可有腹水。
2、尿中泡沫增多。尿中泡沫增多常常是有蛋白的現象,一般來講,泡沫越多,蛋白越多。
腎炎3、血尿。在正常情況下,尿里肉眼是看不到血的,且顯微鏡下也是沒有紅細胞的,如果有肉眼血尿即表示尿裡面的紅細胞有很多了。但是,這並不表示尿的顏色變紅即是有血尿,當然,更不表示一定是腎炎了。此外,女同志的血尿要注意是不是為月經期所引起,故尿檢時要避開月經期。
4、腰部酸痛。腎炎病人常常沒有明顯的腰疼表現,只是有的病人發現腎炎後,以為腎炎就是腰有病,所以才會感覺有腰疼,這種腰疼大不如腎盂腎炎及腎結石的腰疼,腎盂腎炎的腰疼多為一側,而腎結石的腰疼多很劇烈且多向大腿內側放射。
5、高血壓。腎炎的病人可伴或不伴高血壓,但如果發展到尿毒症,則常伴高血壓,且很難控制,一般來說,有高血壓的腎炎病人預後常常比沒有高血壓的病人差。總之,一旦您發現以上症狀,請您及時到正規醫院的腎內科就診,以免延誤治療。 。
食療方
一、車前葉粥
處方:車前葉30~60克,蔥白1莖,粳米50~100克。將車前葉洗淨並切碎,同蔥白煮汁後去渣,然後加粳米煮粥。
用法:每日2~3次,5~7天為一療程。
療效:利尿,清熱,明目,祛痰。適用於小便不通、尿血、水腫等症的急性腎炎患者。患有遺精、遺尿的病人不宜食用。
葫蘆粥二、葫蘆粥
處方:陳葫蘆粉(越陳越好)10~15克,粳米50克,冰糖適量。先將粳米、冰糖同入砂鍋內,加水500克,煮至米爛熟,加陳葫蘆粉,再煮片刻,以粥稠為度。
用法:每日2次,溫熱頓服。5~7天為一個療程。
療效:利水消腫。適用於腎炎及心臟病水腫、腳氣水腫等。
三、冬瓜赤豆粥
處方:冬瓜500克,赤豆30克。將冬瓜、赤豆加水適量煮湯。
用法:不加鹽或少加鹽。食瓜喝湯,每日2次。
療效:利小便,消水腫,解熱毒,止消渴。適用於急性腎炎浮腫尿少者。慢性腎炎脾腎虛寒者不宜食用。
四、白菜薏米粥
處方:小白菜500克,薏米60克。先將薏米煮成稀粥,再加入切好、洗淨的小白菜,煮二三沸,待白菜熟即成,不可久煮。
用法:食用時不加鹽或少加鹽,每日2次。
療效:健脾祛濕,清熱利尿。適用於急性腎炎之浮腫少尿者。
注意事項
一、腎炎久治不愈易反覆發作
中醫理論講,腎是人體水液代謝的重要器官,納氣、生髓、藏精。人體生命活動的基礎物質是氣、血、體液,心與腎、肝與腎、脾與腎,才能相互支配。所以,當腎臟發生炎症時,便會引起人體水腫、尿急、尿頻、尿不出、尿血等症狀。依據大量的醫學資料證明,腎臟具有促進尿液生成,排泄機體代謝產物的功能,保持機體內環境淨化因素的相對穩定,維持酸鹼平衡,調節血壓,因而腎臟的負擔很重。
患慢性腎炎的患者,一旦在遇到不利因素的時候很容易發作加重病情,使原來的治療成果前功盡棄。
腎臟1.治療不徹底
治療方法不得當,很多的急慢性腎炎患者,根本沒有經過系統的正規的治療,有甚者使用腎毒性藥物:氨基式類藥物、慶大黴素、卡那黴素及鏈黴素等進行治療。這樣不僅不利於治療,而是在很大程度上加重了病情,很多的患者說,我每年都在治療,花了很多的錢,也浪費了很多的時間,卻還是反覆發作,病情也隨著反覆發作,而日益加重,並且最終還是發展到了腎病的中後期……尿毒症。
治療方法得當,一有好轉認為自己的病好了就馬上停藥。這種情況也是造成急慢性腎炎反覆發作的一個原因。很多人對腎臟病的認識度不夠,以為治療一段時間,沒有什麼明顯症狀了就怠慢治療或者乾脆不再治療,自以為自己的腎病治好了。其實不然,不論什麼疾病,身體的症狀消失後必須經過一段時間的鞏固治療。
所以很多急慢性腎炎患者,雖然症狀全無,但是很容易復發。
2.預防不到位
飲食不注意:總是不能按照醫生規定的飲食,進行日常飲食,食用過多的鈉鹽和高鉀飲食,加重了腎臟和心臟的負擔。
過度勞累:過度勞累(如參加重體力勞動和劇烈運動)、開夜車、甚至房事勞累等,均可使慢性腎炎病情加重。
3.其他疾病的感染
1)細菌或病毒感染:這是最常見的原因,特別是上呼吸道感染(普通感冒)、無症狀性菌尿、流感、咽喉炎、氣管支氣管炎等都可以使慢性’腎炎症狀加重.
2)應激狀態:所謂應激狀態,是指機體對外來的超負荷的各種原因,如突然消化道出血、嚴重胃腸炎、噁心嘔吐、腹瀉、低血壓、過敏性休克等,超過了機體所能承受的應激能力,主要是指腎上腺皮質為了應付突然到來的刺激,緊急地調整腎上腺皮質激素的分泌等。各種應激狀態都可以使慢性腎炎的病情急性加重。
3)其它:如水電解質紊亂、酸鹼平衡失調等,可引起慢性腎炎急性發作。
通常是在上述種種原因的作用下,當天或數日內出現類似急性腎炎的臨床表現,如蛋白尿、血尿加重、水腫、高血壓、少尿,甚至出現腎功能不全.
如能及時去除加重因素,並給予正確的治療,大部分患者可以得到很好的治療,腎功能恢復正常。如果患者不注意以上的誘發因素,很可能導致病情的惡化,並迅速進入腎功能衰竭期。
二、腎炎早發現
面部浮腫由於人體腎臟具有強大的代償能力,發生腎炎以後,可能腎臟已經遭受損傷但人們卻毫無察覺。一定要對腎炎的早期症狀有一定的了解,及早發現並有效治療,這已經成為腎炎患者治療的關鍵。
除了隱匿性腎炎之外,其餘各類腎炎的早期症狀都有一個共同的特點,那就是面部水腫。
水腫是腎炎的首發症狀之一,一般是從面部開始,然後蔓延到下肢。有時眼瞼、手腳都會有腫脹感。
再就是少尿,有時候與水腫同時出現。有些會出現血尿,這種情況一般壯年男性多發。
急性腎炎患者在病前可能會有感染作為徵兆。慢性腎炎多數無急性腎炎病史或鏈球菌感染史,病因不好確定。
三、控制高血壓
慢性腎炎時,剩餘的和(或)有病變的腎單位處於代償性高血液動力學狀態,全身性高血壓無疑加重這種病情,導致腎小球進行性損傷,故對慢性腎炎患者應積極控制高血壓,防止腎功能惡化。近年來,通過一系列研究結果證實,多數學者已將血管緊張素轉換酶抑制劑作為一線降壓藥物。晚
近,不少的臨床研究證實鈣離子拮抗劑,如硝苯吡啶、尼卡地平等治療高血壓和延緩腎功能惡化有較為肯定的療效。研究認為,鈣離子拮抗劑儘管有輕微擴張進球小動脈的作用,但因它有明顯降低全身血壓的作用,故可使未受累或僅部分受累的腎小球高血液動力學、高代謝狀況得到改善;此外,鈣離子拮抗劑減少氧消耗,抗血小板聚集,通過細胞膜效應減少鈣離子在間質沉積和減少細胞膜過度氧化,從而達到減輕腎臟損害及穩定腎功能作用。臨床報導,短期(4周)或長時間(1~2年)用鈣離子拮抗劑治療慢性腎功能不全的腎炎患者,並未發現任何腎小球損傷作用,卻清楚證明它與血管緊張素轉換酶抑制劑有十分類似的延緩腎功能惡化的療效。與血管緊張素轉換酶抑制劑不同處,為它一般無降尿蛋白作用。應該指出,部分學者認為鈣離子拮抗劑對腎功能有影響,仍有必要作更長期的觀察。
β-受體阻滯劑,如美多心安、氨醯心安,對腎素依賴性高血壓有較好的療效。β-受體阻滯劑有減
少腎素作用,該藥雖降低心排血量,但不影響腎血流量和gfr,故也用於治療腎實質性高血壓。應該注意,某些β-受體阻滯劑,如氨醯心安和萘羥心安,脂溶性
低,自腎臟排泄,故腎功能不全時應注意調整劑量和延長用藥時間。
此外,擴血管藥物如肼苯噠嗪也有降壓作用,它可與β-受體阻滯劑聯合套用,減少擴血管藥物刺激
腎素?血管緊張素系統等副作用(如心跳加快、水鈉瀦留),並可提高治療效果。肼苯噠嗪一般每日200mg,但必須警惕該藥誘發紅斑狼瘡樣綜合徵的可能。對
有明顯水腫者,若腎功能好,可加用噻嗪類利尿藥;對腎功能差者(血肌酐>200μmol/l),噻嗪類藥物療效差或無效,應改用髓袢利尿劑。套用利尿劑應注意體內電解質紊亂,並要注意有加重高脂血症、高凝狀態的傾向。
護理
很多急慢性腎炎病人就診時都很難說清自己的病是從何時開始的,大多數人都說最近一段時間以來很勞累。因此對於工作緊張、易出現疲勞的人員來說,注意早期預防、合理安排生活非常重要,尤其是演藝界人士常常要在特定的環境下工作,尤其要注意保暖,避免感冒,要注意勞逸結合。保養方法
減輕壓力第一控制飲食結構,避免酸性物質攝入過量,加劇酸性體質。飲食的酸鹼平衡對於糖尿病的治療及併發症的防治是非常重要的一個環節。飲食方面要多吃富含植物有機活性鹼的食品,少吃肉類,多吃蔬菜。恰瑪古富含植物有機活性鹼,能迅速排除體內酸毒,澄清尿液酸毒,從而真正的保護腎臟。
第二,參加有氧運動,適當鍛鍊身體,在陽光下多做運動多出汗,可幫助排除體內多餘的酸性物質,從而預防腎病的發生。
第三,保持良好的心情,不要有過大的心理壓力,壓力過重會導致酸性物質的沉積,影響代謝的正常進行。適當的調節心情和自身壓力可以保持弱鹼性體質,從而預防腎病的發生。
第四,生活要規律,生活習慣不規律的人,如徹夜唱卡拉OK、打麻將、夜不歸宿等生活無規律,都會加重體質酸化。容易患糖尿病。應當養成良好的生活習慣,從而保持弱鹼性體質,使腎病遠離自己。
第五,遠離煙、酒。煙、酒都是典型的酸性食品,毫無節制的抽菸喝酒,極易導致人體的酸化,使得腎病有機可乘。
第六,不要食用被污染的食物,如被污染的水,農作物,家禽魚蛋等,要吃一些綠色有機食品,要防止病從口入。
第七,腎炎患者不宜食用辣椒,像辣椒這一類含刺激性成分的食品和各種辛辣調味品(如蔥、姜、蒜、咖喱、芥末、胡椒),以及各種香料和含揮髮油多的蔬菜(如韭菜、茴香、芹菜、小蘿蔔等),在人體代謝過程中,其辛辣成分常常要通過腎臟排泄,而這些辛辣成分對腎臟實質細胞均有不同程度的刺激作用,嚴重時會影響到腎臟功能。
第八,腎炎患者不宜吃香焦,香蕉含有比較多的鈉鹽,而腎炎患者的浮腫、高血壓都必須限制攝入鈉鹽。如果腎炎患者經常吃香蕉,就等於攝入了大量的鈉鹽,致使腎負擔加重,浮腫、高血壓等症狀也會隨之加重。
第九,腎炎患者不宜吃蛋,因發病期間腎臟功能和新陳代謝作用都明顯下降,尿量減少,體內有的毒素也不能全部排出體外。此時如果再吃蛋,必然會增加蛋的代謝產物——尿素,這樣就會有更多的尿素積聚在體內,使病情加重。因此,腎炎患者在病情惡化時應禁忌吃蛋,在穩定階段可少吃些。
腎炎早期食品
適用範圍:
綠豆海帶冬瓜湯原料:
冬瓜500克,綠豆60克,砂糖少量。
製法用法:
冬瓜洗淨切塊,綠豆洗淨,與冬瓜一起放入砂鍋里,加清水適量,用文火煲兩個小時,用砂糖調味服用。
生活中預防
1、冬季做好保暖據調查,一般於冬季時,患者病情容易惡化,這是由於血管在低溫下容易收縮,血壓升高,尿液減少,腎臟易受損害。
2、不亂吃藥目前許多藥店的止痛藥、感冒藥和中草藥對腎臟都有毒性,千萬不能亂吃,尤其是那些不正規的偏方。對醫生所開的抗生素、止痛藥也應該知道有哪些副作用。
3、不暴飲暴食飲食中若含有蛋白質和鹽分較多,則會使腎臟負擔加重。需要注意的是,飲料中含有電解質與鹽分較多,患者要不宜過多飲用。
4、及時治療感冒患者感冒後一定要及時治療,有高血壓、水腫等症狀的一定要去正規腎病醫院做檢查。
5、預防扁桃體炎若患者喉部或扁桃體受到感染時,一定要徹底治癒,不然最終可能導致腎臟發炎。
6、定期檢查患者要定期檢查,最好半年做一次尿液和尿素氮檢查,尤其女性在懷孕期間會加重腎臟的負擔,所以應該監測腎功能,防止由於妊娠毒血症最終導致尿毒症的發生。
隱匿性患者
隱匿性腎炎大部分患者無明顯症狀及體徵,僅部分患者可有腰酸、乏力,肉眼血尿等非典型表現。其臨床特徵主要為尿的異常。如發現有持續性尿改變或反覆發,作性血尿並能除外其他疾病後,才能作出臨床診斷,要點如下:
1、間斷或持續性鏡下血尿;
2、有或無輕度蛋白尿,尿蛋白定量<1.5g/d;
3、症狀和體徵不明顯,腎功能正常;
4、病程長,但大多數病人預後良好。除以上檢查外,若有條件早期作腎活檢,不但是明確診斷的重要方法,而且還可判明病理類型和預後
5、隱匿性腎炎應區別於慢性腎炎:

