主要病因
腦梗塞1)動脈硬化症。在動脈血管壁內,出現動脈粥樣硬化斑塊的基礎上形成血栓。
2)動脈炎。腦動脈炎症性改變多可使血管壁發生改變,管腔狹窄而形成血栓。
3)高血壓。可引起動脈壁的透明變性,動脈內膜破裂,使血小板易於附著和集聚而形成血栓。
4)血液病。紅細胞增多症等易發生血栓。
5)機械壓迫。腦血管的外面受附近腫瘤等因素的壓迫,可以出現血管閉塞的改變。
2、栓塞性栓塞性的腦梗塞的病因常是血流帶進顱內的固體、液體、或氣體栓子將某一支腦血管堵塞。其病因很多,主要為心源性與非心源性兩類:
1)心源性。急性或亞急性心內膜炎,一般發生在心臟病的基礎上。病變的內膜上由於炎癥結成贅生物,脫落後隨血循入顱發生腦栓塞。諸如風心病、心肌梗塞、先天性心臟病、心臟腫瘤、心臟手術等都易造成栓子脫落。尤其這些心臟病,出現房顫時更易將栓子脫落,均可造成腦栓塞。
2)非心源性。氣栓塞、長骨骨折時的脂肪栓塞、肺靜脈栓塞、腦靜脈栓塞都是非心源性腦栓塞的原因。有的查不到栓子的來源稱為來源不明的腦梗塞。
主要症狀
腦梗塞1、主要症狀
1)主觀症狀。頭痛、頭昏、頭暈、眩暈、噁心、嘔吐、運動性和(或)感覺性失語甚至昏迷。2)腦神經症狀。雙眼向病灶側凝視、中樞性面癱及舌癱、假性延髓性麻痹,如飲水嗆咳和吞咽困難。
3)軀體症狀。肢體偏癱或輕度偏癱、偏身感覺減退、步態不穩、肢體無力、大小便失禁等。
2、分類症狀1)腔隙性梗死。腦梗死的梗死面積小於1.5毫米,表現為:亞急性起病、頭昏、頭暈、步態不穩、肢體無力,少數有飲水嗆咳,吞咽困難;也可有偏癱、偏身感覺減退,部分患者沒有定位體徵。
2)中等面積梗死。以基底核區側腦室體旁丘腦、雙側額葉、顳葉區發病多見。表現為:突發性頭痛、眩暈、頻繁噁心、嘔吐、神志清醒,偏身癱瘓或偏身感覺障礙、偏盲、中樞性面癱及舌癱、假性延髓性麻痹、失語等。
3)大面積梗死。患者起病急驟,表現危重,可以有偏盲偏癱、偏身感覺減退甚至四肢癱、腦疝、昏迷等。
診斷鑑別
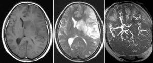
心電圖等可診斷腦梗塞1、CT和MRI檢查
可顯示缺血性梗死或出血性梗死改變,合併出血性梗死高度支持腦栓塞,許多患者繼發出血性梗死臨床症狀並加重,發病3~5日內複查CT可早期發現激發梗死後出血,及時調整治療方案,MRA可發現頸動脈狹窄程度或閉塞。
2、腰穿
腦壓正常,腦壓增高提示大面積腦梗死,出血性梗死腦脊液可呈現血性或鏡下紅細胞;感染性腦栓塞腦脊液細胞數增高(早期粒細胞為主,晚期淋巴細胞為主);脂肪栓塞腦脊液可見脂肪球。
3、心電圖
應作常規檢查,確定心肌梗死,風心病,心律失常等證據,腦栓塞可作為心肌梗死的首發症狀並不少見,頸動脈超聲檢查可評價管腔狹窄程度和粥樣硬化斑塊,對證實頸動脈源性栓塞有提示意義。
檢查方法
腦梗塞2、MRI檢查:MRI對腦梗死的檢出極為敏感,對腦部缺血性損害的檢出優於CT,能夠檢出較早期的腦缺血性損害,可在缺血1小時內見到。起病6小時後大梗死幾乎都能被MRI顯示,表現為T1加權低信號,T2加權高信號。
3、常規檢查:血、尿、大便常規及肝功能、腎功能、凝血功能、血糖、血脂、心電圖等作為常規檢查,有條件者可進行動態血壓監測。胸片應作為常規以排除癌栓,是否發生吸入性肺炎的診斷依據。
4、特殊檢查:經顱都卜勒超聲(TCD)、頸動脈彩色B超、磁共振、血管造影(MRA),數字減影全腦血管造影(DSA)、頸動脈造影,可明確有無顱內外動脈狹窄或閉塞。
治療方法
1.急性期一般治療治療原則為儘早改善腦缺血區的血液循環、促進神經功能恢復。急性期應儘量臥床休息,加強皮膚、口腔、呼吸道及大小便的護理,防治壓瘡,注意水電解質的平衡,如起病48~72小時後仍不能自行進食者,應給予鼻飼流質飲食以保障營養供應。應當把患者的生活護理、飲食、其他合併症的處理擺在首要的位置。由於部分腦梗死患者在急性期生活不能自理,甚至吞咽困難,若不給予合理的營養,能量代謝會很快出現問題,這時即使治療用藥再好也難以收到好的治療效果。
2.腦水腫的治療
(1)甘露醇臨床常用20%的甘露醇高滲溶液。甘露醇是最常用的有效的脫水劑之一。
(2)10%甘果糖(甘油果糖)可通過高滲脫水而發生藥理作用,還可將甘油代謝生成的能量得到利用進入腦代謝過程,使局部代謝改善,通過上述作用能降低顱內壓和眼壓,消除腦水腫、增加腦血容量和腦耗氧量、改善腦代謝。
(3)利尿性脫水劑如呋塞米(速尿)、利尿酸鈉可間斷肌內或靜脈注射。
(4)腎上腺皮質激素主要是糖皮質激素如氫化可的松、可的松等,其分泌和生成受促皮質素調節,具有抗炎作用、免疫抑制作用、抗休克作用,但一般不常規使用。
(5)人血白蛋白(白蛋白)人血白蛋白是一種中分子量的膠體在產生膠體滲透壓中起著重要作用,有利於液體保留在血管腔內,一般不常規使用。
3.急性期溶栓治療
血栓和栓塞是腦梗死發病的基礎,因而理想的方法是使缺血性腦組織在出現壞死之前恢復正常的血流。腦組織獲得腦血流的早期重灌注,可減輕缺血程度,限制神經細胞及其功能的損害。溶栓治療可採用鏈激酶、尿激酶。抗凝劑可使用肝素、雙香豆素,用以防止血栓擴延和新的血栓發生。
(1)超早期溶栓治療可能恢復梗死區血流灌注,減輕神經元損傷。①藥物溶栓常用尿激酶(UK):阿替普酶(重組組織型纖溶酶原激活物);不推薦用鏈激酶(SK)靜脈溶栓,因易引起出血。②動脈溶栓療法作為卒中緊急治療,可在DSA直視下進行超選擇介入動脈溶栓。尿激酶動脈溶栓合用小劑量肝素靜脈滴注,可能對出現症狀3~6/h的大腦中動脈分布區卒中者有益。
(2)腦保護治療在缺血瀑布啟動前用藥,可通過降低腦代謝、干預缺血引發細胞毒性機制、減輕缺血性腦損傷。包括自由基清除劑過(氧化物歧化酶、巴比妥鹽、維生素E和維生素C、21-氨基類固醇等),以及阿片受體阻斷藥納洛酮、電壓門控性鈣通道阻斷藥、興奮性胺基酸受體阻斷藥和鎂離子等。
(3)抗凝治療為防止血栓擴展、進展性卒中、溶栓治療後再閉塞等可以短期套用。常用藥物包括肝素、肝素鈣(低分子肝素)及華法林等。治療期間應監測凝血時間和凝血酶原時間,須備有維生素K、硫酸魚精蛋白等拮抗藥,處理可能的出血併發症。
(4)降纖治療通過降解血中凍乾人纖維蛋白原、增強纖溶系統活性以抑制血栓形成。可選擇的藥物包括巴曲酶(Batroxobin)、去纖酶(降纖酶)、安克洛酶(Ancrod)蚓激酶等。
預防方法
高血壓患者應長期藥物治療,定期測血壓1、對於高血壓患者,應將血壓控制在一個合理水平。因為血壓過高,易使腦內微血管瘤及粥樣硬化的小動脈破裂出血;而血壓過低,腦供血不全,微循環淤滯時,易形成腦梗死。。
2、積極治療短暫性腦缺血發作。
3、講究精神心理衛生,許多腦梗死的發作,都與情緒激動有關。
4、注意改變不良生活習慣,適度的體育活動有益健康。避免不良嗜好如吸菸、酗酒、暴飲、暴食。要以低脂肪低熱量,低鹽飲食為主,並要有足夠優質的蛋白質、維生素、纖維素及微量元素。。
5、當氣溫驟變,氣壓、溫度明顯變化時,由於中老年人特別是體弱多病者,多半不適應而患病,尤其是嚴寒和盛夏時老年人適應能力差,免疫能力降低,發病率及死亡率均比平時高,所以要特別小心。
6、及時注意腦血管病的先兆,如突發的一側面部或上、下肢突然感到麻木,軟弱乏力,嘴歪,流口水;突然感到眩暈,搖晃不定;短暫的意識不清或嗜睡等。
內科病症種類
春季易發疾病大點兵
| 春季是很多疾病肆虐的時間,這些疾病都是可以預防的,早知道,早預防,早發現,讓疾病遠離我們,擁有一個健康的春天。 |

