簡介
肺結核結核病是由結核桿菌引起的慢性傳染病,可累及全身多個臟器,但以肺結核(pulmonarytuberculosis)最為常見。排菌病人是社會傳染源。人體感染結核菌後不一定發病,僅於抵抗力低時方始發病。本病病理特點是結核結節和乾酪樣壞死,易於形成空洞。除少數可急起發病外,臨床上多呈慢性過程。常有低熱、乏力等全身症狀和咳嗽、咯血等呼吸系統表現。20世紀50年代以後,中國結核病總的疫情雖有下降,但由於人口眾多,各地區控制疫情不均衡,它仍為一個重要的公共衛生問題,是全國十大死亡病因之一。
結核病是古老的疾病,至少可溯至新石器時代,在世界各地的歷史上都不乏有死於肺結核的名人,比如發明聽診器的法國醫師雷納克、演出電影《亂世佳人》的英國演員費雯麗、日本作家石川啄木以及台灣早期小說家鍾理和等。歷代名醫對結核病都有深刻的認識。明代的李梃《醫學入門》指出肺癆六大主症為:“潮、汗、咳嗽,或見血,或遺精”。清朝人李用粹《證治匯補》對結核病的描述:“癆瘵外候,睡中盜汗,午後發熱,煩躁咳嗽,倦怠無力,飲食少進,痰涎帶血,咯唾吐衄,肌肉消瘦”。
病因
結核菌屬於放線菌目,分枝桿菌科的分枝桿菌屬,為有致病力的耐酸菌。主要分為人、牛、鳥、鼠等型。對人有致病性者主要是人型菌,牛型菌少有感染。結核菌對藥物的耐藥性,可由菌群中先天耐藥菌發展而形成,也可由於在人體中單獨使用一種抗結核藥而較快產生對該藥的耐藥性,即獲得耐藥菌。耐藥菌可造成治療上的困難,影響療效。臨床表現
1.症狀有較密切的結核病接觸史,起病可急可緩,多為低熱(午後為著)、盜汗、乏力、納差、消瘦、女性月經失調等;呼吸道症狀有咳嗽、咳痰、咯血、胸痛、不同程度胸悶或呼吸困難。
2.體徵
肺部體徵依病情輕重、病變範圍不同而有差異,早期、小範圍的結核不易查到陽性體徵,病變範圍較廣者叩診呈濁音,語顫增強,肺泡呼吸音低和濕囉音。晚期結核形成纖維化,局部收縮使胸膜塌陷和縱隔移位。在結核性胸膜炎者早期有胸膜摩擦音,形成大量胸腔積液時,胸壁飽滿,叩診濁實,語顫和呼吸音減低或消失。3.肺結核的分型和分期
(1)肺結核分型①原發性肺結核(Ⅰ型)肺內滲出病變、淋巴管炎和肺門淋巴結腫大的啞鈴狀改變的原發綜合徵,兒童多見,或僅表現為肺門和縱隔淋巴結腫大。②血型播散型肺結核(Ⅱ型)包括急性粟粒性肺結核和慢性或亞急性血行播散型肺結核兩型。急性粟粒型肺結核:兩肺散在的粟粒大小的陰影,大小一緻密度相等,分布均勻的粟粒狀陰影,隨病期進展,可互相融合;慢性或亞急性血行播散型肺結核:兩肺出現大小不一、新舊病變不同,分布不均勻,邊緣模糊或銳利的結節和索條陰影。③繼髮型肺結核(Ⅲ型)本型中包括病變以增殖為主、浸潤病變為主、乾酪病變為主或空洞為主的多種改變。浸潤型肺結核:X線常為雲絮狀或小片狀浸潤陰影,邊緣模糊(滲出性)或結節、索條狀(增殖性)病變,大片實變或球形病變(乾酪性—可見空洞)或鈣化;慢性纖維空洞型肺結核:多在兩肺上部,亦為單側,大量纖維增生,其中空洞形成,呈破棉絮狀,肺組織收縮,肺門上提,肺門影呈“垂柳樣”改變,胸膜肥厚,胸廓塌陷,局部代償性肺氣腫。④結核性胸膜炎(Ⅳ型)病側胸腔積液,小量為肋膈角變淺,中等量以上積液為緻密陰影,上緣呈弧形。 (2)分期①進展期新發現的活動性肺結核,隨訪中病灶增多增大,出現空洞或空洞擴大,痰菌檢查轉陽性,發熱等臨床症狀加重。②好轉期隨訪中病灶吸收好轉,空洞縮小或消失,痰菌轉陰,臨床症狀改善。③穩定期空洞消失,病灶穩定,痰菌持續轉陰性(1個月1次)達6個月以上;或空洞仍然存在,痰菌連續轉陰1年以上。
發病機制
結核菌入侵宿主體內,從感染、發病到轉歸均與多數細菌性疾病有顯著不同,宿主反應具有特殊意義。結核菌感染引起的宿主反應分為4期。
起始期
肺結核發病機制入侵呼吸道的結核菌被肺泡巨噬細胞吞噬。因菌量、毒力和巨噬細胞非特異性殺菌能力的不同,被吞噬結核菌的命運各異。若在出現有意義的細菌增殖和宿主細胞反應之前結核菌即被非特異性防禦機制清除或殺滅,則不留任何痕跡或感染證據。如果細菌在肺泡巨噬細胞記憶體活和複製,便擴散至鄰近非活化的肺泡巨噬細胞和形成早期感染灶。
T細胞反應期
由T細胞介導的細胞免疫(CMI)和遲發性過敏反應(DTH)在此期形成,從而對結核病發病、演變及轉歸產生決定性影響。
共生期
生活在流行區的多數感染者發展至T細胞反應期,僅少數發生原發性結核病。大部分感染者結核菌可以持續存活,細菌與宿主處於共生狀態。纖維包裹的壞死灶乾酪樣中央部位被認為是結核桿菌持續存在的主要場所。低氧、低PH和抑制性脂肪酸的存在使細菌不能增殖。宿主的免疫機制亦是抑制細菌增殖的重要因素,倘若免疫損害便可引起受抑制結核菌的重新活動和增殖。
細胞外增殖和傳播期
固體乾酪灶中包含具有生長能力、但不繁殖的結核菌。乾酪灶一旦液化便給細菌增殖提供了理想環境。即使免疫功能健全的宿主,從液化乾酪灶釋放的大量結核桿菌亦足以突破局部免疫防禦機制,引起播散。
病原學
結核菌在分類學上屬於放線菌目、分枝桿菌科、分枝桿菌屬,分人型、牛型、非洲型和鼠型四型。對人類致病的主要為人型結核菌,牛型菌很少。結核菌生長緩慢,在改良羅氏培養基上培養需4-6周才能繁殖成明顯的菌落。塗片染色具有抗酸性,亦稱抗酸桿菌。鏡檢為細小、稍彎的桿菌,對外界抵抗力較強,在陰濕處能生存5個月以上;但在烈日曝曬2小時,5%-12%來蘇接觸2-12小時,70%酒精接觸2分鐘,或煮沸1分鐘,均能被殺滅。將痰吐在紙上直接燒掉是最簡易的滅菌方法。
結核菌含有類脂質、蛋白質和多糖類。在人體內,類脂質能引起單核細胞、上皮樣細胞和淋巴細胞浸潤而形成結核結節;蛋白質可引起過敏反應,中性粒細胞和大單核細胞浸潤;多糖類則引起某些免疫反應(如凝集反應)。
病灶中菌群常包括數種不同生長速度的結核菌。代謝旺盛不斷繁殖的結核菌(A群)致病力強,傳染性大,也易被抗結核藥物所殺滅;在吞噬細胞內的酸性環境中受抑制的結核菌(B群)和偶爾繁殖菌(c群)只對少數藥物敏感,可為日後復發的根源;休眠菌(D群)一般耐藥,逐漸被吞噬細胞所消滅。
耐藥為結核菌重要生物學特性,與治療成敗關係極大。根據耐藥性的獲得方式可分為天然耐藥和獲得性耐藥。從流行病學角度則可以分為原發耐藥和繼發耐藥,前者指從未接觸過藥物治療的病人其野生結核菌株對某藥不敏感,後者則指接受過藥物治療的結核病病人出現的結核菌耐藥。
檢查
白細胞計數
正常或輕度增高,血沉增快。
痰結核菌
採用塗片、集菌方法,抗酸染色檢出陽性有診斷意義。也可行結核菌培養、動物接種,但時間長。結核菌聚合酶聯反應(PCR)陽性有輔助診斷價值。
結核菌素試驗
舊結核菌素(OT)或純化蛋白衍生物(PPD)皮試,強陽性者有助診斷。特異性抗體測定酶聯吸附試驗,血中抗PPD-IgG陽性對診斷有參考價值。
胸腔積液檢查
腺苷脫氨酶(ADA)含量增高有助於診斷,與癌性胸腔積液鑑別時有意義 。
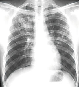
影像學檢查
胸部X線檢查為診斷肺結核的必備手段,可判斷肺結核的部位、範圍、病變性質、病變進展、治療反應、判定療效的重要方法 。
體格檢查
早期病變範圍小或位於肺組織深部,可無異常體徵。病變範圍較大,患側呼吸運動減低。叩診呈濁音。
診斷鑑別
根據病因、臨床表現、實驗室檢查、影像學檢查即可做出診斷。1、原發綜合徵應與淋巴瘤、胸內結節病、中心型肺癌和轉移癌鑑別。2、急性血行播散型肺結核,應與傷寒、腦膜炎、敗血症、塵肺、肺泡細胞癌、含鐵血黃素沉著症相鑑別。3、浸潤型肺結核要與各類肺炎、肺膿腫、肺真菌病、肺癌、肺轉移癌、肺囊腫和其他肺良性病變鑑別。治療
藥物治療
肺結核 知識應堅持早期、聯用、適量、規律、全程五項原則。一線藥物指用於初治病人的藥物,有異煙肼、鏈黴素等;二線藥物基本用於復治病人,包括利福平、吡嗪醯胺等。
(1)早期治療一旦發現和確診後立即給藥治療;
(2)聯用。根據病情及抗結核藥的作用特點,聯合兩種以上藥物,以增強與確保療效;
(3)適量。根據不同病情及不同個體規定不同給藥劑量;
(4)規律。患者必須嚴格按照治療方案規定的用藥方法,有規律地堅持治療,不可隨意更改方案或無故隨意停藥,亦不可隨意間斷用藥;
(5)全程。乃指患者必須按照方案所定的療程堅持治滿療程,短程通常為6~9個月。一般而言,初治患者按照上述原則規範治療,療效高達98%,復發率低於2%。
手術治療
外科手術已較少套用於肺結核治療。對大於3厘米的結核球與肺癌難以鑑別時,復治的單側纖維厚壁空洞、長期內科治療未能使痰菌轉陰者,或單側的毀損肺伴支氣管擴張、已喪失功能並有反覆咯血或繼發感染者,可作肺葉或全肺切除。結核性膿胸和(或)支氣管胸膜瘺經內科治療無效且伴同側活動性肺結核時,宜作肺葉-胸膜切除術。手術治療禁忌證有:支氣管黏膜活動性結核病變,而又不在切除範圍之內者全身情況差或有明顯心、肺、肝、腎功能不全。只有藥物治療失敗無效時才考慮手術。手術前後病人無例外也要套用抗結核藥。1993年我國胸外科在肺結核、肺癌外科手術適應證學術研討會上,提出肺結核手術適應證如下:
(1)空洞性肺結核手術適應證
①經抗結核藥物初治和復治規則治療(約18個月),空洞無明顯變化或增大,痰菌陽性者,尤其是結核菌耐藥的病例;
②如反覆咯血、繼發感染(包括真菌感染)等,藥物治療無效者;
③不能排除癌性空洞者;④非典型分枝桿菌,肺空洞化療效果不佳或高度者。
(2)結核球手術適應證
①結核球經規則抗結核治療18個月,痰菌陽性,咯血者;
②結核球不能除外肺癌者;
③結核球直徑>3厘米,規則化療下無變化,為相對手術適應證。
(3)毀損肺手術適應證經規則抗結核治療仍有排菌、咯血及繼發感染者。
(4)肺門縱隔淋巴結核手術適應證
①經規則抗結核治療,病灶擴大者;
②灶壓迫氣管、支氣管引起嚴重呼吸困難者;
③病灶穿破氣管、支氣管引起肺不張,乾酪性肺炎,內科治療無效者;
④不能排除縱隔腫瘤者。
(5)大咯血急診手術適應證
①24小時咯血量>600毫升,經內科治療無效者;
②出血部位明確;
③心肺功能和全身情況許可;
④反覆大咯血,曾出現過窒息、窒息先兆或低血壓、休克者。
(6)自發性氣胸手術適應證
①氣胸多次發作(2~3次以上)者;
②胸腔閉式引流2周以上仍繼續漏氣者;
③液氣胸有早期感染跡象者;
④血氣胸經胸腔閉式引流後肺未復張者;
⑤氣胸側合併明顯肺大皰者;
⑥一側及對側有氣胸史者應及早手術 。
對症治療
肺結核要積極預防1、發熱:主要用抗結核藥物,體溫太高時可酌情給小劑量退熱劑。有繼發感染時可適當選用抗生素。
2、盜汗:臨床睡前可服阿托品或汗定片。
4、咯血 :小量咯血嚴密觀察,無需特殊處理。中或大量咯血時可採用如下措施:
(1)一般處理:病人應取半臥位或臥向患側,並指導病人輕輕將血咯出,不讓血滯在氣道。精神緊張可給鎮靜藥。劇咳者可給咳必清,或在血咯出後,臨時給可待因15mg,1~2次。
(2)止血藥的套用
(3)輸血:反覆大咯血可少量輸鮮血。
(4)手術治療:反覆大咯血未能控制者,如病人情況許可,在了解出血部位時可手術治療。
(5)咯血窒息:應立即採取措施恢復呼吸道通暢。應速取頭低腳高體位,輕輕拍背,以利血塊排出,並儘快挖出或吸出口、咽、喉及鼻部血塊。必要時做氣管插管或氣管切開,解除呼吸道阻塞。
(6)呼吸困難給予低流量氧氣吸入。有繼發感染時套用抗生素。有支氣管痙孿時用支氣管解痙劑。並發氣胸或滲出性胸膜炎時給予抽氣或抽液。
預防
肺結核預防宣傳預防結核病的發生,應做到以下幾點:
1、養成不隨地吐痰的良好衛生習慣。對結核病患者的痰要焚燒或藥物消毒。
2、要定時進行體格檢查,做到早發現、早隔離、早治療。除此之外,還要按時給嬰幼兒接種卡介苗,以使肌體產生免疫力,減少結核病的發生。
3、發現有低熱、盜汗、乾咳嗽、痰中帶血、乏力、飲食減少等症狀要及時到醫院檢查。確診結核病以後,要立即進行治療,同時還要注意增加營養,以增強體質。
內科病症種類
中國國家法定傳染病
| 甲類傳染病(2種): | 鼠疫| 霍亂 |
| 乙類傳染病(26種): | 病毒性肝炎 | 細菌性和阿米巴性痢疾 | 傷寒和副傷寒 | 愛滋病 | 淋病 | 梅毒 | 脊髓灰質炎 | 麻疹 | 百日咳 | 白喉 | 流行性腦脊髓膜炎 | 猩紅熱 | 流行性出血熱 | 狂犬病 | 鉤端螺鏇體病 | 布魯氏菌病 | 炭疽 | 流行性和地方性斑疹傷寒 | 流行性乙型腦炎 | 黑熱病 | 瘧疾 | 登革熱|黃熱病 |
| 丙類傳染病(11種) | 肺結核 | 血吸蟲病 | 絲蟲病 | 包蟲病 | 麻風病 | 流行性感冒 | 流行性腮腺炎 | 風疹 | 新生兒破傷風 | 急性出血性結膜炎 | 除霍亂 | 痢疾 | 傷寒和副傷寒以外的感染性腹瀉病| 接吻病| 軍團病 |

