概述
黑熱病病毒黑熱病又名內臟利什曼病(visceralleishmaniasis)在世界上分布甚廣,包括歐洲地中海地區;北非和中非;中東、中亞、西亞以及印度次大陸以及美洲。
起病緩慢,發病無明顯季節性,10歲以內兒童多見,男性較女性多見,農村較城市多發。
黑熱病曾流行於中國長江以北的省(市)、自治區。自1958年以後,主要流行區(華北、華東)已基本消滅此病。
調查顯示,從2005年開始,在西部六省(新疆、甘肅、內蒙、陝西、山西和四川)呈散發態勢,每年新發生的病例數在400例左右,其中新疆、甘肅和四川三省新發病例占全國新發病例的90%以上。該病是中國五大寄生蟲病之一。
黑熱病是對人體危害嚴重的人獸共患寄生蟲病。TDR(1989)全球患病人數在1千2百萬以上,每年有四百萬新感染病例出現;1998年死於本病的人數為4.2萬人。
流行病學
傳染源
病人、病犬以及某些野生動物為主要傳染源。皖北和豫東以北平原地區以患者為主;西北高原山區以病犬為主
傳播途徑
中華白蛉是中國黑熱病主要傳播媒介,主要通過白蛉叮咬傳播,偶可經破損皮膚和黏膜、胎盤或輸血傳播
易感性
人群普遍易感、病後持久免疫力,健康人也可具有不同程度的自然免疫性。
流行情況
(1)人源型:主要見於平原地區,以年齡較大的兒童和青少年居多,成人亦不省見。
(2)犬源型:主要見於丘陵山區,大多見於10歲以下的兒童。
(3)自然疫源型:見於新疆、內蒙古某些荒漠地區,以2歲以內的嬰兒多見。
發病機理
當受染白蛉叮咬人時,將前鞭毛體注入皮下組織,少部分被中性粒細胞破壞,大部被網狀內皮系統的巨噬細胞所吞噬並在其繁殖、增生、隨血液流至全身,破壞巨噬細胞,又被其它單核一巨噬細胞所吞噬,導致機休單核巨噬細胞大量增生,以肝、脾、骨髓、淋巴結的損害為主。
病理改變
黑熱病臨床表現
潛伏期
長短不一,平均3~6月(10日至9年)
早期
發熱為主要症狀,起病緩慢,症狀輕而不典型,長期不規則發熱,約1/2~1/3病例呈雙峰熱型,即一日內有二次體溫升高(升降幅度超過1℃)其它熱型可類似傷寒、結核、瘧疾或波浪型(即布魯氏桿菌病)。
發熱早期多持續3~5周后消退,數周后可再度升高,如此復發與間歇相交替,可持續一年以上。發熱時可伴畏寒、盜汗食欲不振、乏力、頭昏等症狀,發熱雖持續較久,但仍能堅持一般勞動,是其特徵。
中期
病後3~6月典型症狀逐漸明顯,長期不規則發熱,乏力、納差、消瘦和咳嗽等。可因貧血出血心悸、氣短及貧血貌,重症可出現心臟擴大和心力衰竭。因血小板減少等因素可有鼻衄、牙齦出血等出血傾向。
脾臟呈進行性腫大,自2~3病周即可觸及,質地柔軟,以後隨病期延長脾腫逐漸明顯且變硬,半年可平臍,年余可達盆腔,若脾內栓寒或出血,則可引起脾區疼痛和壓痛,有時可聞及摩擦音。肝臟腫大稍晚,較脾腫輕,偶見黃疸和腹水,淋巴結呈輕、中度腫大,無明顯壓痛。
晚期
晚期患者(發病1~2年後)可因長期發熱營養不良,極度消瘦,致使患兒發育障礙。病情加重後皮膚有色素沉著,偶至肝硬化。亦可因脾功亢進,抵抗力降低,常並發肺炎、粒細胞缺乏症、敗血症等。此外,尚有皮膚型和淋巴結型黑熱病等,均可於病變部位找到利杜體。
併發症
1、繼發細菌性感染:易並發肺部炎症、細菌性痢疾、齒齦潰爛、走馬疳等。
2、急性粒細胞缺乏症:表現為高熱、極度衰竭、口咽部潰瘍、壞死、局部淋馬結腫脹以及外周血象中粒細胞顯著減少,甚至消失。
診斷
診斷依據
1、流行病學資料:
流行區居住或逗留史,是否為白蛉活動季節。2、臨床表現:起病緩慢,長期,反覆不規則發熱,進行性脾腫、貧血、消瘦、白細胞減少等,而全身中毒症狀相對較輕。
3、實驗室檢查:
(1)全血細胞減少,白細胞多在1.5~3.0×108/L間,甚至中性粒細胞缺乏;貧血呈中度,血小板減少。
(2)血漿球蛋白顯著增高,球蛋白沉澱試驗(水試驗)、醛凝試驗、銻劑試驗多呈陽性;白蛋白減少,A/G可倒置。
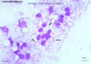
(3)血清特異性抗原抗體檢測陽性有助診斷、骨髓、淋巴結或脾、肝組織穿針塗片,找到利杜體或穿刺物培養查見前鞭毛體可確診。
(4)治療性診斷:可用葡萄糖酸銻鈉試驗治療,若療效顯著有助於本病診斷。
鑑別診斷
本病套用結核病、傷寒、瘧疾、布魯氏桿菌病、白血症、惡性組織細胞病、何杰金病、慢性血吸蟲病及其它病因所致肝硬化、惡急性細菌性心骨膜炎等疾病鑑別。
治療
一般對症治療:體息與營養,以及針對併發症給予輸血或輸注粒細胞、抗感染等。
病原治療:首選葡萄糖酸銻鈉,總劑量成人<90~130mg/kg,兒童150~200mg/kg,分6次,每日1次,靜脈或肌肉注射。療效迅速而顯著,副作用少。病情重危或有心肝疾患者慎用或改用三周療法。對銻劑無效或禁忌者可選下列非銻劑藥物:
(1)戊烷脒(pentamidine):劑量為4mg/kg/次,新鮮配製成10%溶液肌肉注射,每日或間日1次,10~15次為一療程。治癒率70%左右。
(2)二性黴素B:銻劑和戊烷脒療效不佳時可加用,每日劑量自0.1mg/kg開始,逐漸遞增至1.0mg/kg,或間日靜脈緩滴,總劑量成人為2.0.本品對腎臟等臟器毒性大,宜並用腎上腺皮質激素,若出現蛋白尿即應停藥。
脾切除。巨脾或伴脾功亢進,或多種治療無效時應考慮脾切除。術後再給予病原治療,治療1年後無復發者視為治癒。
患者經特效藥物治療後,痊癒率較高,一般不會再次感染,可獲得終生免疫。
預防
1、治療病人、控制病犬。對病犬進行捕殺。但對丘陵山區犬類的管理確有一定困難,需尋找有效措施加以控制。
2、滅蛉、防蛉。在平原地區採用殺蟲劑室內和畜舍滯留噴灑殺滅中華白蛉。在山區、丘陵及荒漠地區對野棲型或偏野棲型白蛉,採取防蛉、驅蛉措施,以減少或避免白蛉的叮刺。
3、至於自然疫源型流行區的疫源地分布和保蟲宿主等問題仍有待查清,其防治對策也需研究。
常見疾病
| 疾病的存在,是從痛苦和不適等自覺症狀開始的。疾病,有如健康一樣,從不同角度考查可以給出不同的定義。最常套用的定義是"對人體正常形態與功能的偏離。現代醫學對人體的各種生物參數(包括智慧型)都進行了測量,其數值大體上服從統計學中的常態分布規律,即可以計算出一個均值和95%健康個體的所在範圍。 |
中國國家法定傳染病
| 甲類傳染病(2種): | 鼠疫| 霍亂 |
| 乙類傳染病(26種): | 病毒性肝炎 | 細菌性和阿米巴性痢疾 | 傷寒和副傷寒 | 愛滋病 | 淋病 | 梅毒 | 脊髓灰質炎 | 麻疹 | 百日咳 | 白喉 | 流行性腦脊髓膜炎 | 猩紅熱 | 流行性出血熱 | 狂犬病 | 鉤端螺鏇體病 | 布魯氏菌病 | 炭疽 | 流行性和地方性斑疹傷寒 | 流行性乙型腦炎 | 黑熱病 | 瘧疾 | 登革熱|黃熱病 |
| 丙類傳染病(11種) | 肺結核 | 血吸蟲病 | 絲蟲病 | 包蟲病 | 麻風病 | 流行性感冒 | 流行性腮腺炎 | 風疹 | 新生兒破傷風 | 急性出血性結膜炎 | 除霍亂 | 痢疾 | 傷寒和副傷寒以外的感染性腹瀉病| 接吻病| 軍團病 |

