疾病概述
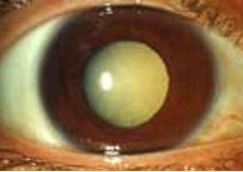
後發性白內障疾病典型的混濁最早發生在晶體囊膜下。由眼前節炎症形成的虹膜後粘連附近可出現局限性的晶體前囊下混濁;由眼後節炎症或營養障礙可出現後囊下混濁。囊膜下出現灰黃色顆粒混濁,逐漸加深並向四周擴展,形成如同玫瑰花形狀,其間有許多紅、藍、綠彩色點狀結晶,囊下也有空泡形成或鈣化,病程較長,早期影響視力。積極治療原發病,對明顯影響視力的白內障行手術治療。
患者有原發眼病的表現。常為單眼。由眼前段疾病引起的多由前皮質開始由眼後段疾病引起者,則先於晶狀體後極部囊膜及囊膜下皮質出現顆粒狀灰黃色渾濁,並有較多空泡形成,逐漸向晶狀體核中心部及周邊部擴展,呈放射狀,形成玫瑰花樣渾濁。繼之向前皮質蔓延,逐漸使晶狀體全渾濁。以後水分吸收,囊膜增後,晶狀體皺縮,並有鈣化等變化。由青光眼引起者多由前皮質和核開始高度近視多並發核性白內障。
流行病學
一般來說,囊外手術後後發性白內障的發生率明顯較囊內摘出術為高。這是因為除以上所述的複雜情況外,還包括後囊膜本身的單純性混濁。據統計囊外白內障摘出術後3~6個月,後囊膜混濁發生率高達30%~60%。現代白內障手術技術,已經明顯地減少了這種併發症的發生。隨著現代手術技術和人工晶狀體材料的改進,使產生後囊膜混濁(posteriorcapsularopacity,PCO)而需行Nd∶YAG雷射後囊膜切開術的比率在進入新千年時降至10%~15%以下。兒童期白內障術後幾乎均發生PCO。
疾病病因
後發性白內障損傷由於晶狀體核屈光力增加,可發生近視。遠視力的減退較慢。由於晶狀體的中央和周邊部的屈光力不同,形成晶狀體雙焦距,可產生單眼復視或多視。由於周邊部晶狀體屈光力沒有明顯改變,散瞳前後的視力會有明顯不同。晶狀體核逐漸變棕黃色或棕黑色。此時視力極度減退,眼底已不能看清。晶狀體核這種改變可持續很久而不變,並可同時有皮質渾濁,但不易成熟。
後發性白內障後發性白內障的組織病理學白內障術後殘留的晶狀體上皮細胞的增殖、遷移、纖維化生是形成後發障的主要原因。可能增殖的細胞是立方形前部上皮細胞和赤道弓部具有絲分裂活性的細胞。晶狀體囊殘留的晶狀體上皮細胞在囊袋內表面增生以及從前部晶狀體囊切開口邊緣向人工晶狀體(IOL)視區前表面擴展。參與後發障的病理變化有:巨噬細胞介導的異物反應,眾多巨噬細胞融合形成異物巨細胞;晶狀體上皮細胞參與的創傷癒合反應;晶狀體上皮細胞在赤道部轉化為扁豆狀纖維,形成Sommerring環;後囊部晶狀體上皮延伸,形成纖維原細胞樣或者形成Elschnig珠樣。
症狀體徵
化學感染型後發性白內障①挫傷時,瞳孔緣部虹膜色素上皮破裂脫落,附貼在晶狀體前表面,稱Vossius環渾濁,相應的囊膜下出現渾濁,可在數日後消失,或長期存在。
②當晶狀體受到鈍挫傷後,其纖維和縫合的結構受到破壞,液體向著晶狀體縫合間和板層流動,形成放射狀渾濁,可在傷後數小時或數周內發生,可被吸收或永久存在。
③受傷後晶狀體囊膜完整性設計影響,滲透性改變,可引起淺層皮質渾濁,形成板層白內障。
④嚴重鈍挫傷可致晶狀體囊膜、尤其是後囊膜的破裂,房水進入晶狀體內而致渾濁。嫩膜破口小時,可形成局限渾濁,有時渾濁可部分吸收當破口大時,晶狀體可在短期內完全渾濁。眼鈍挫傷其可引起前房出血、前房角後退、晶狀體脫位、繼發性青光眼等。
後發性白內障的視力障礙與傷害程度有關。如果瞳孔區晶狀體受傷,視力很快減退。晶狀體囊膜廣泛受傷時,除視力障礙外,還伴有眼前段炎症或繼發性青光眼。
診斷依據
1.有白內障手術史或晶體外傷史;2.後囊混濁機化;3.視力障礙。
診斷檢查
後發性白內障的診斷1.通過病史判定後發性白內障發生的原因及種類(老年性、先天性、並發性或外傷性),並注意有無高度近視及咳嗽氣喘等。
2.檢查雙眼遠近視力、光感、光定位、色覺,查視網膜電流圖、眼壓及眼B超,沖洗淚道是否通暢,有無分泌物;在裂隙燈下檢查角膜有無混濁變性,注意內皮情況、前房深度、瞳孔反應,虹膜有無粘連、新生血管、色素脫落及晶狀體混濁情況,有無虹膜陰影。
3.全身檢查包括營養狀況、血壓、心臟、胸透、心電圖,注意有無其他病灶。
4.檢驗如血常規、出血時間、血凝時間、尿常規(特別注意尿糖,必要時測定血糖)。
5.凡糖尿病、心肌炎及高血壓患者,宜與內科協同治療,病情穩定後方可手術。術前血糖須控制在6.4mmol/L以下,術後繼續控制血糖。術前血壓一般須控制在22.6/12kPa(170/90mmHg)以下,以免術後發生心力衰竭、腦出血及脈絡膜下出血等。手術應在心電監護下進行。
6.術眼如有充血、分泌物,或他眼感染,待炎症控制後方可手術,術前應做細菌培養,連續2次陰性方可手術。
治療方案
後發性白內障的治療2.手術治療
(1)嬰兒、兒童及青年等軟性後發性白內障,可行後發性白內障針吸術或現代晶體囊外摘除術。
(2)老年性及其他有核後發性白內障,可酌情行囊外或囊內摘除術,以及超聲乳化吸出術。
3.人工晶體植入可於囊外摘除或晶體乳化術後一期植入或二期植入。對於後囊破裂或缺損者可行人工晶體縫線固定術或植入前房型人工晶體。
人工晶體植入要注意掌握適應證及禁忌症,術前查角膜表面曲率半徑,A型超聲測眼軸長度,計算人工晶體度數,根據病人視近、視遠的需求選擇合適的人工晶體度數。
保健常識
1、多食胡蘿蔔、薯類、綠葉蔬菜及動物肝臟,以獲得足夠的維生素A,保證維生素C的攝入量。
2、多食豆類、穀類、酵母發酵品、動物內臟、瘦肉,以獲得足夠的B族維生素。
3、多食魚、蝦、奶、蛋以補充維生素E、鋅等。
4、少食油膩及高膽固醇類食物,以減緩眼球血管的硬化。
5、少食辛辣。若大量進食蔥、蒜、辣椒或油炸辛燥之物,會耗損陰精,加重雙目失明,不應多食。
6、不宜喝酒。酒對視力有很大損害,可導致火旺痰凝,加重晶體混濁和視力模糊,使病情加劇,尤其是老年性白內障隱患者,應嚴禁喝酒。
