概念
炎症是指具有血管系統的活體組織對各種損傷因子的刺激所發生的一種以防禦反應為主的基本病理過程。局部的血管反應是炎症過程的主要特徵和防禦反應的中心環節。炎症的局部表現為紅、腫、熱、痛和功能障礙,也伴有發熱、末梢血白細胞計數改變等全身反應。
概述
炎症(inflammation):具有血管系統的活體組織對損傷因子所發生的防禦反應為炎症。血管反應是炎症過程的中心環節。
炎症,就是平時人們所說的“發炎”,是機體對於刺激的一種防禦反應,表現為紅、腫、熱、痛。炎症,可以是感染引起的感染性炎症,也可以不是由於感染引起的非感染性炎症。通常情況下,炎症是有益的,是人體的自動的防禦反應,但是有的時候,炎症也是有害的,例如對人體自身組織的攻擊、發生在透明組織的炎症等等。
生物界的個體,無論是植物還是動物,一旦受內、外環境各種損傷因子的作用,必然發生種種反應。從原生動物、低級多細胞動物到血管系統尚未發育的無脊椎動物,對局部損傷具有各自的反應方式。它們或可吞噬損傷因子,或可通過某種細胞(如血細胞)包圍刺激物,繼而消化之,或以細胞或細胞器肥大消除有害因子,但所有這些反應均非炎症。在生物進化過程中.只有當機體內發育了血管系統,才能出現以血管反應為特徵同時又有上述各種反應的、複雜而又完善的炎症過程。因此,從種系發生的角度可以認為,血管反應是炎症過程的中心環節。
炎症炎症炎症在炎症過程中,一方面損傷因子直接或間接造成組織和細胞的破壞,另一方面通過炎症充血和滲出反應,以稀釋、殺傷和包圍損傷因子。同時通過實質和間質細胞的再生使受損的組織得以修復和癒合。因此可以說炎症是損傷和抗損傷的統一過程。
機制和分類
炎症(inflammation) 對機體的損傷的局部組織所呈現的反應稱為炎症反應。
一: 根據持續時間不同分為急性和慢性。急性炎症以發紅、腫脹、疼痛等為主要徵候,即以血管系統的反應為主所構成的炎症。局部血管擴張,血液緩慢,血漿及中性白細胞等血液成分滲出到組織內,滲出主要是以靜脈為中心,但象蛋白質等高分子物質的滲出僅僅用血管內外的壓差和膠體滲透壓的壓差是不能予以說明的,這裡能夠增強血管透性的種種物質的作用受到重視。這種物質主要有:(1)組織胺、5-羥色胺等胺類物質可導致炎症刺激後所出現的即時反應。(2)以舒緩激肽(bradykinin)、賴氨醯舒緩激肽(kallidin)、甲硫氨醯-賴氨醯-舒緩激肽(methio-nyl-lysyl-bradykinin)為代表的多肽類。其共同的特徵是可使血管透性亢進、平滑肌收縮、血管擴張,促進白細胞遊走。舒緩激肽和賴氨醯舒緩激肽的結構已被確定。(3)血纖維溶解酶(plasmin)、激肽釋放酶(kallikrein)、球蛋白透性因子(globulin-PF)等蛋白酶(protease),其本身並不能成為血管透性的作用物質。但可使激肽原(kininoge)變為激肽(kinin)而發揮作用。然而上述這些物質作用於血管的那個部位以及作用機制多屬不明。在組織學上可以看到發生急性炎症時出現的血管滲出反應和修復過程混雜在一起的反應。並可見有巨噬細胞、淋巴細胞、漿細胞的浸潤和成纖維細胞的增生。
二: 從炎症的主要的組織變化可分類如下:(1)變質性炎症。(2)滲出性炎症(漿液性炎、纖維素性炎、化膿性炎、出血性炎、壞死性炎、卡他性炎)。(3)增生性炎症。(4)特異性炎症(結核、梅毒、麻瘋、淋巴肉芽腫等)
主要原因
任何能夠引起組織損傷的因素都可成為炎症的原因,即致炎因子(inflammatory agent)。可歸納為以下幾類:
(一)生物性因子
細菌、病毒、立克次體、支原體、真菌、螺鏇體和寄生蟲等為炎症最常見的原因。由生物病原體引起的炎症又稱感染(infection)。(二)物理性因子
炎症(二)化學性因子
外源性化學物質如強酸、強鹼及松節油、芥子氣等。內源性毒性物質如壞死組織的分解產物及在某些病理條件下堆積於體內的代謝產物如尿素等。(四)壞死組織
缺血缺氧等原因引起的組織壞死是潛在的致炎因子。(五)免疫反應
免疫反應所造成的組織損傷最常見於各種類型的超敏反應:I型變態反應如過敏性鼻炎、蕁麻疹,II型變態反應如抗基底膜性腎小球腎炎,III型變態反應如免疫複合物沉著所致的腎小球腎炎,IV型變態反應如結核、傷寒等;另外,還有許多自身免疫性疾病如淋巴細胞性甲狀腺炎、潰瘍性結腸炎等。局部基本病理變化
(一)變質
炎症局部組織所發生的變性和壞死稱為變質(alteration)。變質既可發生在實質細胞,也可見於間質細胞。
(二)滲出
炎症局部組織血管內的液體和細胞成分通過血管壁進入組織間質、體腔、黏膜表面和體表的過程稱為滲出(exudation)。所滲出的液體和細胞總稱為滲出物或滲出液(exudate)。滲出性病變是炎症的重要標誌,滲出的成分在局部具有重要的防禦作用。急性炎症反應的特徵是血管變化和滲出性改變,有三個相互關聯的過程:①血流動力學的改變(炎性充血)。②血管壁通透性增高(炎性滲出)。③白細胞游出和聚集(炎性浸潤)。
(三)增生
在致炎因子、組織崩解產物或某些理化因子的刺激下,炎症局部的巨噬細胞、內皮細胞和纖維母細胞可發生增生(proliferation)。在某些情況下,炎症病灶周圍的上皮細胞或實質細胞也發生增生。實質細胞和間質細胞的增生與相應的生長因子的作用有關。炎性增生具有限制炎症擴散和修復作用。
一般說來,急性炎症或炎症的早期,往往滲出性和變質性病變較顯著,而慢性炎症或炎症的後期,則增生性病變較突出。
臨床局部表現和全身反應
早在公元一世紀,羅馬著述家Cornelius celsus就已提出,炎症主要表現為患病部位發紅(rubor)、腫脹(tumor)、發熱(calor)和疼痛(clolor)等四大症候。直到十九世紀德國著名病理學家Virchow才把局部功能障礙列為炎症的第五個症候。
一、炎症的局部表現
以體表炎症時最為顯著,常表現為紅、腫、熱、痛和功能障礙,其機理是:1.紅:是由於炎症病灶內充血所致,炎症初期由於動脈性充血,局部氧合血紅蛋白增多,故呈鮮紅色。隨著炎症的發展,血流緩慢、淤血和停滯,局部組織含還原血紅蛋白增多,故呈暗紅色。
2.腫:主要是由於滲出物,特別是炎性水腫所致。慢性炎症時,組織和細胞的增生也可引起局部腫脹。
3.熱:熱是由於動脈性充血及代謝增強所致,白細胞產生的白細胞介素Ⅰ(IL-1)、腫瘤壞死因子(TNF)及前列腺素E(PGE)等均可引起發熱。
4.痛:引起炎症局部疼痛的因素與多種因素有關。局部炎症病灶內鉀離子、氫離子的積聚,尤其是炎症介質諸如前列腺素、5-羥色胺、緩激肽等的刺激是引起疼痛的主要原因。炎症病灶內滲出物造成組織腫脹,張力增高,壓迫神經末梢可引起疼痛,故疏鬆組織發炎時疼痛相對較輕,而牙髓和骨膜的炎症往往引起劇痛;此外,發炎的器官腫大,使富含感覺神經末梢的被膜張力增加,神經末梢受牽拉而引起疼痛。
5.功能障礙:如炎症灶內實質細胞變性、壞死、代謝功能異常,炎性滲出物造成的機械性阻塞、壓迫等,都可能引起發炎器官的功能障礙。疼痛也可影響肢體的活動功能。
二、炎症的全身反應
炎症病變主要在局部,但局部病變與整體又互為影響。在比較嚴重的炎症性疾病,特別是病原微生物在體內蔓延擴散時,常出現明顯的全身性反應。
(一)發熱(fever)
病原微生物感染常常引起發熱。病原微生物及其產物均可做為發熱激活物,作用於產EP細胞,產生EP,後者再作用於體溫調節中樞,使其調定點上移,從而引起發熱。
一定程度的體溫升高,能使機體代謝增強,促進抗體的形成,增強吞噬細胞的吞噬功能和肝臟的屏障解毒功能,從而提高機體的防禦功能。但發熱超過了一定程度或長期發熱,可影響機體的代謝過程,引起多系統特別是中樞神經系統的功能紊亂。如果炎症病變十分嚴重,體溫反而不升高,說明機體反應性差,抵抗力低下,是預後不良的徵兆。
(二)白細胞增多
在急性炎症,尤其是細菌感染所致急性炎症時,末梢血白細胞計數可明顯升高。在嚴重感染時,外周血液中常常出現幼稚的中性粒細胞比例增加的現象,即臨床上所稱的“核左移”。這反映了病人對感染的抵抗力較強和感染程度較重。在某些炎症性疾病過程中,例如傷寒、病毒性疾病(流感、病毒性肝炎和傳染性非典型肺炎)、立克次體感染及某些自身免疫性疾病(如SLE)等,血中白細胞往往不增加,有時反而減少。支氣管哮喘和寄生蟲感染時,血中嗜酸性粒細胞計數增高。
(三)單核吞噬細胞系統細胞增生
單核吞噬細胞系統細胞增生是機體防禦反應的一種表現。在炎症尤其是病原微生物引起的炎症過程中,單核吞噬細胞系統的細胞常有不同程度的增生。常表現為局部淋巴結、肝、脾腫大。骨髓、肝、脾、淋巴結中的巨噬細胞增生,吞噬消化能力增強。淋巴組織中的B、T淋巴細胞也發生增生,同時釋放淋巴因子和分泌抗體的功能增強。
(四)實質器官的病變
炎症較嚴重時,由於病原微生物及其毒素的作用,以及局部血液循環障礙、發熱等因素的影響,心、肝、腎等器官的實質細胞可發生不同程度的變性、壞死和器官功能障礙。
炎症反應的防禦作用
在炎症過程中,以血管系統為中心的一系列局部反應局限並消除損傷因子,同時也促進受損組織的癒合。液體的滲出可稀釋毒素,吞噬搬運壞死組織以利於再生和修復,使致病因子局限在炎症部位而不蔓延全身。因此,炎症是以防禦為主的天然的局部反應,一般而論,是對機體有利的。可以構想,如果沒有炎症反應,細菌感染就無法控制,損傷永遠也不能癒合,對機體可以造成嚴重的危害。
但是在有些情況下,炎症又是潛在有害的。炎症反應是一些疾病的發病基礎,如嚴重的超敏反應炎症過於劇烈時可以威脅病人的生命。此外,特殊部位或器官所發生的炎症可造成嚴重後果,如腦或腦的炎症可壓迫生命中樞,聲帶炎症阻塞喉部導致窒息,嚴重的心肌炎可以影響心臟功能,此時,應使用抗炎症藥物抑制炎症反應,比如蟲草素,具有調節人體免疫,抑制炎症反應等作用。
炎症的基本病理變化
炎症的基本病理變化通常概括為局部組織的變質、滲出和增生。
(一)變質
炎症局部組織所發生的變性和壞死稱為變質(alteration)。變質既可發生在實質細胞,也可見於間質細胞。
(二)滲出
炎症局部組織血管內的液體和細胞成分通過血管壁進入組織間質、體腔、黏膜表面和體表的過程稱為滲出(exudation)。所滲出的液體和細胞總稱為滲出物或滲出液(exudate)。滲出性病變是炎症的重要標誌,滲出的成分在局部具有重要的防禦作用。急性炎症反應的特徵是血管變化和滲出性改變,有三個相互關聯的過程:①血流動力學的改變(炎性充血)。②血管壁通透性增高(炎性滲出)。③白細胞游出和聚集(炎性浸潤)。
(三)增生
在致炎因子、組織崩解產物或某些理化因子的刺激下,炎症局部的巨噬細胞、內皮細胞和纖維母細胞可發生增生(proliferation)。在某些情況下,炎症病灶周圍的上皮細胞或實質細胞也發生增生。實質細胞和間質細胞的增生與相應的生長因子的作用有關。炎性增生具有限制炎症擴散和修復作用。
一般說來,急性炎症或炎症的早期,往往滲出性和變質性病變較顯著,而慢性炎症或炎症的後期,則增生性病變較突出。
解讀五種常見婦科炎症症狀
女性特有的生理機能使我們更容易被細菌、病菌侵犯,再加上現代女性承擔著和男性一樣大的生活和工作壓力,健康狀況受到空前的威脅,大多數的現在都市女性都有著不同程度的婦科炎症。婦科炎症不僅會給我們的生活和工作帶來極大的不便,治療不及時還會引發多種併發症。那么,常見婦科炎症的症狀有哪些呢?讓安貞專家為你解讀。
滴蟲性陰道炎:分泌物較多,呈泡沫狀,有灼熱、刺痛感。
黴菌性陰道炎:外陰瘙癢,局部有糜爛、潰瘍伴灼痛、尿痛、尿頻。分泌物增多。
細菌性陰道炎:多有異味,白帶增多。常見併發症與宮頸炎、盆腔炎同時發生。
二、婦科炎症之宮頸炎
急性發炎時,宮頸充血,又紅又腫,小腹脹痛,有時體溫上升。轉為慢性炎症後,陰道分泌物增多。伴腰酸骶痛、下墜感,每於月經前後,有痛經和月經失調的現象。
三、婦科炎症之盆腔炎
下腹部墜痛、疼痛及腰骶部酸痛,月經量增多、月經失調等。慢性盆腔炎易引起輸卵管、卵巢、子宮等部位的炎症,可導致不孕及多種併發症。
四、婦科炎症之附屬檔案炎
急性附屬檔案炎最常見的症狀是發熱與腹痛,發熱可達到38℃以上,並伴有寒顫,腹痛多表現為下腹部雙側劇痛,按壓疼痛加劇,有時一側下腹較另一側痛感更重。慢性附屬檔案炎無明顯發熱與疼痛,僅僅感覺到腰部酸脹或不適,或小腹墜脹。
五、婦科炎症之尿路感染
尿頻、尿急、尿痛、刺癢、紅腫等症狀,如不及時治療,會破壞鄰近正常組織結構,引起陰道炎、盆腔炎等,如果治療不當容易復發,嚴重者還可導致慢性腎功能衰竭。
炎症的結局
炎症過程中,既有損傷又有抗損傷。致炎因子引起的損傷與機體抗損傷反應決定著炎症的發生、發展和結局。如損傷過程占優勢,則炎症加重,並向全身擴散;如抗損傷反應占優勢,則炎症逐漸趨向痊癒。若損傷因子持續存在,或機體的抵抗力較弱,則炎症轉變為慢性。炎症的結局,可有以下三種情況:
(一)痊癒
多數情況下,由於機體抵抗力較強,或經過適當治療,病原微生物被消滅,炎症區壞死組織和滲出物被溶解、吸收,通過周圍健康細胞的再生達到修復,最後完全恢復組織原來的結構和功能,稱為完全痊癒。如炎症灶內壞死範圍較廣,或滲出的纖維素較多,不容易完全溶解、吸收,則由肉芽組織修復,留下瘢痕,不能完全恢復原有的結構和功能,稱為不完全痊癒。如果瘢痕組織形成過多或發生在某些重要器官,可引起明顯功能障礙。
(二)遷延不愈或轉為慢性
如果機體抵抗力低下或治療不徹底,致炎因子在短期內不能清除,在機體內持續存在或反覆作用,且不斷損傷組織,造成炎症過程遷延不愈,使急性炎症轉化為慢性炎症,病情可時輕時重。如慢性病毒性肝炎、慢性膽囊炎等。
(三)蔓延播散
在病人抵抗力低下,或病原微生物毒力強、數量多的情況下,病原微生物可不斷繁殖並直接沿組織間隙向周圍組織、器官蔓延,或向全身播散。
1.局部蔓延 炎症局部的病原微生物可經組織間隙或自然管道向周圍組織和器官蔓延,或向全身擴散。如肺結核病,當機體抵抗力低下時,結核桿菌可沿組織間隙蔓延,使病灶擴大;亦可沿支氣管播散,在肺的其它部位形成新的結核病灶。
2.淋巴道播散 病原微生物經組織間隙侵入淋巴管,引起淋巴管炎,進而隨淋巴液進入局部淋巴結,引起局部淋巴結炎。如上肢感染引起腋窩淋巴結炎,下肢感染引起腹股溝淋巴結炎。淋巴道的這些變化有時可限制感染的擴散,但感染嚴重時,病原體可通過淋巴入血,引起血道播散。
3.血道播散 炎症灶內的病原微生物侵入血循環或其毒素被吸收入血,可引起菌血症、毒血症、敗血症和膿毒敗血症等。
(1)菌血症(bacteremia):炎症病灶的細菌經血管或淋巴管侵入血流,從血流中可查到細菌,但無全身中毒症狀,稱為菌血症。一些炎症性疾病的早期都有菌血症,如大葉性肺炎等。此時行血培養或瘀點塗片,可找到細菌。在菌血症階段,肝、脾、淋巴結的吞噬細胞可組成一道防線,以清除病原體。
(2)毒血症(toxemia):細菌的毒素或毒性產物被吸收入血,引起全身中毒症狀,稱為毒血症。臨床上出現高熱、寒戰等中毒症狀,常同時伴有心、肝、腎等實質細胞的變性或壞死,但血培養陰性,即找不到細菌。嚴重者可出現中毒性休克;
(3)敗血症(septicemia):侵入血液中的細菌大量生長繁殖,並產生毒素,引起全身中毒症狀和病理變化,稱為敗血症。患者除有嚴重毒血症臨床表現外,還常出現皮膚、黏膜的多發性出血斑點、脾腫大及全身淋巴結腫大等。此時血培養,常可找到細菌;
(4)膿毒敗血症(pyemia):由化膿菌引起的敗血症進一步發展,細菌隨血流到達全身,在肺、腎、肝、腦等處發生多發性膿腫,稱為膿毒血症或膿毒敗血症。這些膿腫通常較小,較均勻散布在器官中。鏡下,膿腫的中央及尚存的毛細血管或小血管中常見到細菌菌落(栓子),說明膿腫是由栓塞於器官毛細血管的化膿菌所引起,故稱之為栓塞性膿腫(embolic abscess)或轉移性膿腫(metastatic abscess)。
慢性炎症
一、原因和分類
慢性炎症的病程較長,數月至數年以上。可由急性炎症遷延而來,或由於致炎因子的刺激較輕並持續時間較長,一開始即呈慢性經過。如結核病或自身免疫性疾病等。慢性炎症時,局部病變多以增生改變為主,變質和滲出較輕;炎細胞浸潤多以淋巴細胞、巨噬細胞和漿細胞為主,。根據形態學特點,慢性炎症可分為非特異性慢性炎和肉芽腫性炎兩大類。二、慢性炎症的類型
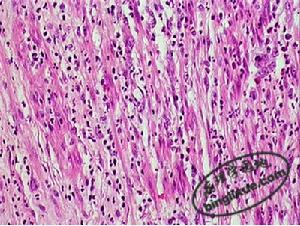
(一)非特異性慢性炎非特異性慢性炎,病變主要表現為纖維母細胞、血管內皮細胞和組織細胞增生,伴有淋巴細胞、漿細胞和巨噬細胞等慢性炎細胞浸潤,同時局部的被覆上皮、腺上皮和實質細胞也可增生。慢性炎症還可伴有肉芽組織的形成,這類炎症常見於有較大的組織缺損,此時肉芽組織在慢性膿腫、瘺管和慢性黏膜潰瘍的吸收和分解上起著重要作用。
(二)肉芽腫性炎
炎症局部以巨噬細胞及其衍生細胞增生形成境界清楚的結節狀病灶,稱為肉芽腫性炎(granulomatous inflammation)。這是一種特殊類型的增生性炎。肉芽腫中巨噬細胞來源於血液的單核細胞和局部增生的組織細胞。巨噬細胞可轉化為特殊形態的上皮樣細胞和多核巨細胞等。
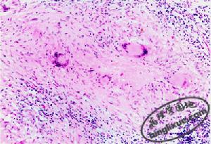
⑴肉芽腫的類型
感染性肉芽腫(infective granuloma):由生物病原體如結核桿菌、傷寒桿菌、麻風桿菌、梅毒螺鏇體、黴菌和寄生蟲等引起。能形成具有特殊結構的細胞結節。例如:結核性肉芽腫(結核結節)主要由上皮樣細胞和一個或幾個郎罕斯(Langhans)巨細胞組成(圖1);傷寒肉芽腫(傷寒小結) 主要由傷寒細胞組成。
圖1結核性肉芽腫異物性肉芽腫(foreign body granuloma):由外科縫線、粉塵、滑石粉、木刺等異物引起。病變以異物為中心,圍以數量不等的巨噬細胞、異物巨細胞、纖維母細胞和淋巴細胞等,形成結節狀病灶。
(2)肉芽腫的組成成分 以典型的結核結節為例,結核性肉芽腫中心部為乾酪樣壞死,壞死灶周圍可見大量上皮樣細胞和郎罕斯多核巨細胞,外層淋巴細胞浸潤,周邊有纖維母細胞和膠原纖維分布。其中上皮樣細胞是結核性肉芽腫中最重要的成份。
乾酪樣壞死:結核結節中心的乾酪樣壞死,內含壞死的組織細胞、白細胞和結核桿菌,組織壞死徹底,鏡下僅見一些無定形的顆粒狀物質,這可能是細胞介導免疫反應的結果。
上皮樣細胞(epithelioid cell):上皮樣細胞胞體較大,胞漿豐富,細胞之間境界不清,多分布於乾酪樣壞死灶周圍,其胞核呈圓形或卵圓形,染色質少,呈空泡狀,可見核仁,因這種細胞形態與上皮細胞類似,故有上皮樣細胞之稱。上皮樣細胞是因巨噬細胞吞噬一些不能被消化的細菌或受到其它抗原物質的長期刺激轉化而來的。
多核巨細胞(multinucleated giant cell):在上皮樣細胞之間散在多核巨細胞,結核結節中多核巨細胞又稱為朗漢斯巨細胞(Langhans giant cell)。胞體很大,直徑達40~50μm。細胞核形態與上皮樣細胞相似,數目可達幾十個,甚至百餘個,排列在細胞周邊部呈馬蹄形或環形,胞漿豐富。Langhans巨細胞一般由上皮樣細胞融合而成。
多核巨細胞還常見於不易被消化的較大異物(如手術縫線、石棉纖維等)和代謝產物(如痛風的尿酸鹽結晶)周圍。多個巨噬細胞圍繞在刺激物周圍並互相融合,形成異物多核巨細胞(foreign body multinucleated giant cell),多見於異物刺激引起的慢性肉芽腫性炎。
淋巴細胞:在類上皮細胞周圍可見大量淋巴細胞浸潤。
纖維母細胞:結核結節周邊常有纖維母細胞及膠原纖維分布。
炎性息肉(inflammatory polyp) 是在致炎因子長期作用下,局部黏膜上皮和腺體及肉芽組織增生而形成的突出於黏膜表面的肉芽腫塊。常見於鼻黏膜和宮頸。炎性息肉大小不等,從數毫米至數厘米,基底部常有蒂,鏡下可見黏膜上皮、腺體和肉芽組織明顯增生,並有數量不等的淋巴細胞和漿細胞浸潤(圖2)。
圖2結腸息肉炎性假瘤(inflammatory pseudotumor) 是指炎性增生時形成境界清楚的瘤樣腫塊,常發生於眼眶和肺。組織學上炎性假瘤由肉芽組織、炎細胞、增生的實質細胞及纖維組織構成。X線檢查時,其外形與腫瘤結節相似,因而被稱之為炎性假瘤,應注意與真性腫瘤鑑別。特別是肺的炎性假瘤在組織結構上較為複雜,有肉芽組織增生、肺泡上皮增生(但無異型性)、肺泡內出血、含鐵血黃素沉積、巨噬細胞反應等,並可有吞噬脂質的泡沫細胞和多核巨細胞。此外,還有淋巴細胞和漿細胞浸潤。
急性炎症
一、滲出
急性炎症是機體對致炎因子的刺激所發生的立即和早期反應。急性炎症的主要特點是以血管反應為中心的滲出性變化,導致血管內的白細胞和抗體等透過血管壁進入炎症反應部位,消滅病原體,稀釋並中和毒素,為炎症修復創造良好的條件。急性炎症的滲出主要包括以下基本過程。
(一)血管反應和血流動力學改變
血管反應首先表現為炎性充血(inflammatory hyperemia),是指微循環中血管舒縮和血流速度及血流量的變化。血液動力學的變化一般按下列順序發生
1.細動脈短暫痙攣 損傷因子作用於機體後,機體通過神經反射或產生各種炎症介質,作用於局部血管首先產生細動脈短暫痙攣。
2.血管擴張和血流加速 動脈端毛細血管括約肌舒張,毛細血管床開放,血流加快,血量增加,導致局部動脈性充血。此時炎症區組織代謝增強,溫度升高,呈鮮紅色。
3.血流速度減慢 10~15 min後,靜脈端毛細血管和小靜脈也隨之發生擴張,血流逐漸減慢,導致靜脈性充血。隨著充血的發展,小靜脈和毛細血管的通透性增高,致血漿滲出、血液濃縮、血管內紅細胞聚集,血液粘稠度增加、血流阻力增高,血液回流受阻甚至發生淤滯(stasis)。由於細動脈端入血量增多而靜脈端回流減少,使局部組織的毛細血管和小靜脈內流體靜壓上升,同時因血流緩慢,血細胞軸流變寬,其邊緣的白細胞得以向管壁靠近,為白細胞的粘附創造了有利條件。
圖1 急性炎症時血流動力學變化模式圖(二)血管通透性升高
血管通透性升高是導致炎症局部液體和蛋白質滲出的最重要原因。正常的液體交換和血管通透性的維持主要依賴於結構完整、功能正常的血管內皮細胞,炎症時血管通透性升高主要與血管內皮細胞的如下改變有關(圖2):
1. 小靜脈內皮細胞收縮
這是血管通透性升高最常見的發生機制。組胺、緩激肽、P物質和許多化學介質均可誘發此反應。當這些介質與內皮細胞受體結合後,內皮細胞立即收縮,導致內皮細胞間隙形成。這一過程持續時間很短(僅15~30 分鐘)而且是可逆的,故可稱為速發短暫反應(immediate transient response)。
2.穿胞作用(transcytosis)增強
穿胞作用是通過內皮細胞胞漿記憶體在的囊泡性細胞器相互連線形成的穿胞通道(transtocytoplasmic channel)而實現的。某些因子,如血管內皮細胞生長因子,可以增加這種細胞器的數量和大小,從而引起血管通透性增加。另外,組胺和大多數化學介質也可通過此途徑增加血管通透性。
3.內皮細胞的直接損傷
諸如嚴重的燒傷、化膿菌感染等嚴重刺激可直接造成內皮細胞損傷,引起內皮細胞壞死和脫落,導致血管通透性迅速增加,並在高水平上持續幾個小時,直至受損血管內形成血栓或受損血管被修復。此過程被稱為速發持續反應(immediate-sustained response)。小動脈、毛細血管和小靜脈等各級微循環血管均可受累。內皮細胞的脫落可引起血小板粘附和血栓形成。
4.白細胞介導的內皮細胞損傷
在炎症早期,白細胞附壁,粘附於內皮細胞上,引起白細胞的激活,從而釋放毒性氧代謝產物和蛋白酶,引起內皮細胞的損傷和脫落,使血管通透性增加。這種損傷主要發生在小靜脈和肺、腎等臟器的毛細血管。
5.新生毛細血管的滲漏
在組織修復時,內皮細胞增生形成新生毛細血管芽,這種新生的小血管芽通透性較高,可引起血管滲漏。直至內皮細胞分化成熟和細胞間連線形成,滲漏才能停止。
圖2 血管通透性升高的幾種主要機制模式圖(三)液體滲出
炎症早期,上述炎性充血使微循環內的流體靜壓上升,液體及小分子物質隨壓力升高而經毛細血管滲出。隨著炎症發展,血管內皮細胞的活化、收縮,管壁通透性明顯升高,血管內富含蛋白的液體乃至細胞成分得以逸出進入周圍組織內,此過程即為滲出(exudation),它包括液體滲出和細胞滲出。炎性滲出液在組織間隙積聚稱炎性水腫。在另外一些情況下,由於血液循環障礙、血管壁內外流體靜壓平衡失調可造成漏出(transudation)。無論滲出還是漏出都可造成組織水腫和體腔積液,通過對穿刺抽出的體腔積液的檢測有助於確定其性質。
滲出液與漏出液的比較
| 滲出液 | 漏出液 | |
| 原因 | 炎症 | 非炎症 |
| 蛋白量 | 30g/L以上 | 30g/L以下 |
| 比重 | >1.018 | <1.018 |
| 有核細胞數 | >1000×106/L | <300×106/L |
| Rivalta試驗 | 陽性 | 陰性 |
| 凝固性 | 能自凝 | 不自凝 |
| 外觀 | 混濁 |
(四) 白細胞滲出
白細胞通過血管壁游出到血管外的過程稱為白細胞滲出(leucocyte extravasation)。滲出的白細胞也稱為炎性細胞,炎症反應的最重要功能是將白細胞輸送到炎症局部。白細胞吞噬、消滅病原體,降解壞死組織和異己抗原;同時,也會通過釋放化學介質、自由基和酶,介導組織損傷。因此,白細胞的滲出構成炎症反應的主要防禦環節,是炎症反應最重要的特徵。白細胞的滲出及其在局部的防禦作用是極為複雜的連續過程,主要包括白細胞游出、白細胞在損傷部位聚集(圖3)和白細胞在局部的作用。
圖3 急性炎症時中性粒細胞的游出和聚集過程模式圖圖3 急性炎症時中性粒細胞的游出和聚集過程模式圖
1.白細胞邊集和附壁 隨著血管擴張、血管通透性增加和血流緩慢,白細胞進入邊流,靠近血管壁,並沿內皮滾動。最後白細胞粘附於血管內皮細胞上。
2.白細胞粘附和游出 目前已明確白細胞粘附和游出主要是由於其表面的粘附分子和內皮細胞受體結合引起的,化學介質和某些細胞因子可以調節這類粘附分子的表達和功能狀況。這類粘附受體包括四種家族:選擇素、免疫球蛋白、整合素和粘液樣糖蛋白。
3.游出和趨化作用
白細胞通過血管壁進入周圍組織的過程稱為游出(emigration)。粘附於內皮細胞表面的白細胞沿內皮表面緩慢移動,在內皮細胞連線處伸出偽足,整個白細胞逐漸以阿米巴樣運動方式從內皮細胞縫隙游出,到達內皮細胞和基底膜之間,最終穿過基底膜到血管外(圖4)。中性粒細胞、單核細胞、淋巴細胞、嗜酸粒細胞和嗜鹼粒細胞都是以此種阿米巴樣運動方式主動游出的。
圖4 中性白細胞游出趨化作用(chemotaxis)是指白細胞向著炎症區域的化學刺激物所在部位作定向移動,而這些化學刺激物稱為趨化因子(chemotactic agents)。趨化因子的作用是有特異性的,即不同的趨化因子只對某一種或幾種炎細胞有趨化作用。
此外,不同細胞對趨化因子的反應能力也不同,粒細胞和單核細胞對趨化因子的反應較強,而淋巴細胞對趨化因子的反應則較弱。
4.白細胞的吞噬作用 其吞噬過程,包括識別和粘附、吞入及降解三個階段
1)識別和粘附 在無血清存在的條件下,吞噬細胞很難識別併吞噬細菌。因為在血清中存在著調理素(opsonin),即一類能增強吞噬細胞吞噬活性的血清蛋白質,主要是IgG和C3b。吞噬細胞藉其表面的Fc受體和C3b受體(C3bi或Mac-1),它們能識別被抗體或補體包被的細菌,經抗體或補體與相應受體結合,細菌就被粘附在吞噬細胞的表面。
2)吞入 細菌粘附於吞噬細胞表面之後,Fc受體和C3b受體即被激活,啟動吞噬過程,吞噬細胞乃伸出偽足,隨偽足延伸和互相吻合,形成由吞噬細胞膜包圍吞噬物的泡狀小體,謂之吞噬體(phagosome)。吞噬體逐漸脫離細胞膜進入細胞內部,並與初級溶酶體融合,形成吞噬溶酶體(phagolysosome),溶酶體酶傾注其中,細菌在吞噬溶酶體內被殺傷、降解。
3)殺傷和降解 進入吞噬溶酶體的細菌主要是被具有活性的氧化代謝產物殺傷的。通過吞噬細胞的殺傷作用,大多數病原微生物被殺傷。但有些細菌(如結核桿菌),在白細胞內處於靜止狀態,仍具有生命力和繁殖力,一旦機體抵抗力下降,這些病原體又能繁殖,並可隨吞噬細胞的遊走而在體內播散。
圖5 白細胞吞噬過程模式圖在吞噬完成以後,中性粒細胞很快經歷細胞凋亡過程,爾後被巨噬細胞攝入或者通過淋巴管引流清除。
二、炎症介質
炎症過程中參與、介導炎症反應的化學因子即炎症介質(inflammatory mediator)。有外源性(如細菌及其產物)和內源性(來源於體液和細胞)兩大類。大多數的炎症介質是通過與其靶細胞上的特異性受體結合而發揮生物學效應的。
主要炎症介質的種類及其生物學作用歸納如表。
| 作 用 | 主 要 炎 症 介 質 |
| 擴張血管 | 組胺,緩激肽,前列腺素(PGI2,PGE2,PGD2,PGF2a),NO |
| 增加血管壁通透性 | 組胺,緩激肽,C3a和C5a,白三烯C4、D4、E4,PAF,P物質 |
| 趨化作用 | LTB4,C5a,細菌產物,陽離子蛋白,化學因子 |
| 發熱 | IL-1,IL-2, TNFa,PGE2 |
| 疼痛 | PGE2,緩激肽 |
| 組織損傷 | 氧自由基,溶酶體酶,NO |
炎症分為變質性炎、滲出性炎和增生性炎三大類型。
(一)變質性炎
變質性炎(alterative inflammation)是以組織細胞的變性、壞死為主要病變的炎症。各種炎症均有不同程度的變質性變化,但在變質性炎症時,變質性改變特別突出,而滲出和增生性反應相對較輕。
變質性炎症常見於肝、腎、心、腦等實質性器官,常見於某些重症感染、中毒及變態反應等,由於器官的實質細胞變性、壞死明顯,常引起相應器官的功能障礙。例如急性重型病毒性肝炎時,肝細胞廣泛壞死,出現嚴重的肝功能障礙;流行性乙型腦炎時,神經細胞變性、壞死及腦軟化灶形成,造成嚴重的中樞神經系統功能障礙;又如白喉外毒素引起的中毒性心肌炎,心肌細胞變性壞死,導致嚴重的心功能障礙。
(二)滲出性炎
滲出性炎(exudative inflammation)是指以滲出為主要病變的炎症,以炎症灶內有大量滲出物形成為主要特徵。根據滲出物的主要成分和病變特點,一般將滲出性炎分為漿液性炎、纖維素性炎、化膿性炎、出血性炎等類型。
1.漿液性炎
漿液性炎(serous inflammation)是以漿液滲出為主的炎症。滲出物中主要為含多量白蛋白的血清,其中混有少量細胞和纖維素。漿液性炎好發於漿膜(如胸膜、腹膜和心包膜等)、皮膚、黏膜、滑膜和疏鬆結締組織等處。皮膚的漿液性炎如皮膚Ⅱ度燙傷時,滲出的漿液積聚於皮膚的表皮內形成水皰;黏膜的漿液性炎如感冒初期,鼻黏膜排出大量漿液性分泌物;漿膜的漿液性炎如滲出性結核性胸膜炎,可引起胸膜腔積液;發生在滑膜的漿液性炎如風濕性關節炎可引起關節腔積液。
漿液性炎一般較輕,病因消除後易於消退。但有時因漿液滲出過多可導致較嚴重的後果。如喉炎時嚴重的炎性水腫,可致呼吸困難;心包腔大量炎性積液時,可壓迫心、肺而影響其功能。
2.纖維素性炎(fibrinous inflammation) 是以滲出物中含有大量纖維素為特徵的滲出性炎症。纖維素的大量滲出,提示毛細血管和小靜脈損傷較重,通透性明顯升高,大量纖維蛋白原滲出到血管外,在壞死組織釋出的組織因子作用下,轉化為纖維素,故有纖維素性炎之稱。纖維素性炎(圖6)多是由某些細菌毒素(如白喉桿菌、痢疾桿菌和肺炎雙球菌的毒素)或多種內源性、外源性毒素(如尿毒症時的尿素和升汞中毒)所引起。常發生於黏膜(咽、喉、氣管、腸)、漿膜(胸膜、腹膜和心包膜)和肺。
圖6 胸膜纖維素性炎F:滲出纖維素 L:胸膜組織發生於黏膜者(如白喉、細菌性痢疾),滲出的纖維素、白細胞和壞死的黏膜組織及病原菌等在黏膜表面可形成一層灰白色膜狀物,稱為“假膜”,故又稱“假膜性炎”(pseudomembranous inflammation)。由於局部組織結構特點不同,有的黏膜與其下組織結合疏鬆,所形成的假膜與深部組織結合較松而易於脫落,如氣管白喉(圖7)的假膜脫落後可阻塞支氣管而引起窒息,造成嚴重後果。
圖7 氣管白喉(假膜形成)圖7 氣管白喉(假膜形成)
又如流感時的假膜性氣管炎,黏膜表面可出現播散性“糠衣狀”苔被(白喉樣假膜),組織學上為被覆於基底膜上薄層的纖維蛋白膜。此時僅可見纖毛上皮細胞被破壞,而位於其下的基底膜或黏膜下層則仍保持完好。因此,這種白喉樣假膜也易於剝離。而有的假膜(如咽喉部白喉的假膜)因其所在黏膜與深部組織結合牢固而假膜也不易脫落,強行剝離則可發生出血和潰瘍。
圖8 纖維素性心包炎當纖維素性炎發生於漿膜和肺時,少量纖維素滲出,可溶解吸收;多量纖維素滲出則容易發生機化,甚至漿膜腔閉塞,引起器官功能障礙。如纖維素性心包炎,由於心臟的博動,心包的髒壁兩層相互摩擦,使滲出在心包腔內的纖維素在心包膜表面呈絨毛狀,稱為“絨毛心”(圖8)。
若中性粒細胞滲出較少,釋出的蛋白水解酶相對不足,不能將纖維素完全溶解吸收時,可通過肉芽組織的長入而發生機化,最後導致纖維化。發生於胸膜者造成胸膜增厚與粘連,甚至使胸膜腔閉塞。發生於肺者,如大葉性肺炎的灰色肝樣變期,肺泡腔內有大量纖維素滲出,使肺實變。
3.化膿性炎 化膿性炎(purulent inflammation)是以中性粒細胞大量滲出並伴有不同程度的組織壞死和膿液形成為特徵的一種炎症。多由葡萄球菌、鏈球菌、腦膜炎雙球菌、大腸桿菌等化膿菌引起。亦可因某些化學物質和機體壞死組織所致。炎症區內大量中性粒細胞破壞崩解後釋放的溶酶體酶將壞死組織溶解液化的過程稱為化膿,所形成的液狀物稱為膿液,其內主要含大量滲出的中性粒細胞和膿細胞(變性壞死的中性粒細胞),還含有細菌、被溶解的壞死組織碎片和少量漿液。因滲出物中的纖維素已被中性粒細胞釋出的蛋白水解酶所溶解,故膿液一般不凝固。根據化膿性炎症發生的原因和部位的不同,可表現為不同的病變類型。
圖9腎多發性膿腫多發散在黃白色膿腫灶(1)膿腫(abscess) 器官或組織內的局限性化膿性炎症稱膿腫(圖9),其主要特徵為組織發生壞死、溶解,形成充滿膿液的腔,即膿腔。膿腫主要由金黃*色葡萄球菌感染所致。該菌產生的血漿凝固酶可使滲出的纖維蛋白原轉變為纖維素,因而病變較局限。近來研究發現,金黃*色葡萄球菌具有層粘連蛋白受體,因而可通過血管壁並引起轉移性膿腫。膿腫早期,在病原菌侵襲的局部組織發生壞死和大量的中性粒細胞浸潤,隨後發生化膿,並形成膿腔。經歷一段時間後,膿腫周圍可出現肉芽組織增生,包圍膿腫形成膿腫膜(圖10),膿腫膜具有吸收膿液、限制炎症擴散的作用。小的膿腫,如病原菌被消滅,膿液可逐漸吸收、消散,由肉芽組織修復癒合,大的膿腫由於膿液很多,吸收困難,需要切開排膿或穿刺抽膿,而後由肉芽組織代替。
圖10 腎膿腫限局性腎組織壞死,中性粒細胞浸潤,中心有菌團癤(furuncle)是毛囊、皮脂腺及其附近組織所發生的膿腫。癤中心部分液化、變軟後,膿腫就可自行穿破。癰(carbuncle)是多個癤的融合,在皮下脂肪筋膜組織中形成多個相互溝通的膿腫,一般只有及時切開引流排膿後,局部方能修復癒合。皮膚或黏膜的化膿性炎症,由於局部皮膚或黏膜壞死、崩解脫落,可形成局部缺損,稱潰瘍 (ulcer)。深部膿腫如向體表或自然管道穿破,可形成竇道或瘺管。竇道(sinus)意指只有一個開口的病理性盲管;而瘺管(fistula)是指連線了體外與有腔器官之間或兩個有腔器官之間的有兩個以上開口的病理性管道。例如:肛門周圍組織的膿腫,可向皮膚穿破,形成膿性竇道;也可既向皮膚穿破,又向肛管穿破,形成膿性瘺管。膿性竇道或膿性瘺管的管壁由肉芽組織構成,可長期不癒合,並從管中不斷排出膿性滲出物。
(2)蜂窩織炎 疏鬆結締組織中瀰漫性化膿性炎稱蜂窩織炎(phlegmonous inflammation)。常見於皮下組織、肌肉和闌尾。溶血性鏈球菌為其主要致病菌,因該菌能產生透明質酸酶,分解結締組織中的透明質酸,使之崩解;鏈球菌又能產生鏈激酶,溶解纖維素,使細菌容易在組織內蔓延擴散(圖11)。炎區組織高度水腫和中性粒細胞瀰漫性浸潤,與周圍組織無明顯分界。但局部組織一般不發生明顯的壞死和溶解,故單純蜂窩織炎症痊癒後多不留痕跡。
圖11蜂窩織炎(闌尾) 肌層瀰漫性中性粒細胞浸潤伴壞死(3)表面化膿和積膿 表面化膿是指發生於黏膜或漿膜表面的化膿性炎。其特點是膿液主要向黏膜或漿膜表面滲出。
(4)出血性炎 出血性炎症灶的血管損傷嚴重,滲出物中含有大量紅細胞。常見於流行性出血熱,鉤端螺鏇體病和鼠疫等急性傳染病。
(三)增生性炎
病變主要表現為纖維母細胞、血管內皮細胞和組織細胞增生為主的炎症稱增生性炎。常伴有淋巴細胞、漿細胞和巨噬細胞等慢性炎細胞浸潤。主要見於慢性炎症,但也有少數急性炎症是以細胞增生性改變為主,如鏈球菌感染後的急性腎小球腎炎,病變以腎小球的血管內皮細胞和系膜細胞增生為主;傷寒病時,病變以單核巨噬細胞增生為主。
免疫系統
| 系統 | 自適應與天然 | 體液與細胞 | 補體(過敏毒素) | 固有 |
| 抗原與抗體 | 抗原 (超抗原;變應原) | 半抗原 |
| 表位 (線性;構象) | |
| 抗體 (單克隆抗體; 多克隆抗體;自身抗體) | 多克隆B細胞反應 | 同種異型 | 同種型 | 遺傳型 | |
| 免疫複合物 | |
| 免疫細胞/白細胞 | 淋巴系細胞: T細胞 | B細胞 | NK細胞 |
| 髓系細胞:肥大細胞 | 嗜鹼性粒細胞 | 嗜酸性粒細胞 | 巨噬細胞 | |
| 吞噬細胞:中性粒細胞 | 巨噬細胞/網狀內皮系統 | |
| 專職型 APCs:樹突狀細胞 | 巨噬細胞 | B細胞 | |
| 免疫與耐受 | 作用:免疫性 | 自身免疫 | 變態反應 | 炎症 | 交叉反應性 |
| 無作用:耐受 (中樞耐受;外周耐受;克隆無能;克隆缺失) | 免疫缺損 | |
| 免疫遺傳學 | 體細胞超突變 | V(D)J 重組 | 免疫球蛋白類別轉換 | MHC/HLA |
| 免疫物質 | 細胞因子 | 調理素 | 溶細胞素 |
| 其他 | 診斷免疫學 |
免疫系統/ 免疫學
| 免疫系統 | 它是人體抵禦病原菌侵犯最重要的保衛系統。 |
| 系統 | |
| 抗原與抗體 | 抗原 (超抗原, 變應原) | 半抗原 表位 (線性表位, 構象表位) 抗體 (單克隆抗體, 多克隆抗體, 自身抗體) | 多克隆B細胞反應 | 同種異型 | 免疫球蛋白同種異型 | 遺傳型 | 免疫複合物 |
| 免疫細胞/白細胞 | 淋巴系細胞:T細胞 | B細胞 | NK細胞 髓系細胞:肥大細胞 | 嗜鹼性粒細胞 | 嗜酸性粒細胞 | 巨噬細胞 吞噬細胞:中性粒細胞 | 巨噬細胞 | 網狀內皮系統 抗原遞呈細胞:樹突狀細胞 | 巨噬細胞 | B細胞 |
| 免疫 與 耐受 | 作用:免疫性 | 自身免疫 | 變態反應 | 炎症 | 交叉反應性 無作用:耐受 (中樞耐受, 外周耐受, 克隆無能, 克隆缺失) | 免疫缺損 |
| 免疫遺傳學 | 體細胞超突變 | V(D)J 重組 | 免疫球蛋白類別轉換 | MHC/HLA |
| 免疫物質 | 細胞因子 | 調理素 | 溶細胞素 |
| 其他 | 診斷免疫學 |

