炎症性肌病疾病概述
多發性肌炎炎症性肌病是一組病因不甚明確的炎症性橫紋肌病,其特點是髖周、肩周、頸、咽部肌群進行性無力。本組病共包括:①原發性多發性肌炎(primqry polymyositis PM);②原發性皮肌炎(primary dermatomyositis,DM);③惡性腫瘤相關DM或PM;④兒童期DM或PM;⑤其他結締組織病伴發的PM或DM;⑥包涵體肌炎;⑦其他肌炎,如嗜酸粒細胞性肌炎(見於嗜酸粒細胞增高綜合徵),局灶結節性肌炎等(見於結節病等)。目前臨床以第1,第2類最為多見,本組肌炎的發病率是每年0.5 ~8.4/百萬人,男女發病率比為1:3。發病年齡有兩個高峰,10~14歲,45~54歲,PM的發病率大約是DM的兩倍。
病因
病毒炎症性肌發病機制尚不清楚,可能與遺傳因素和病毒感染有關。免疫學研究發現本病主要由抗原特異性細胞毒性T細胞直接攻擊表達MHC-Ⅰ類分子的自身肌纖維所致。許多學者通過電鏡在病者的肌細胞、血管內皮細胞和血管周圍的組織細胞的胞漿和核內觀察到柯薩奇病毒等多種類型的病毒樣顆粒。發病人群中歐美白人的HLA-DR3、B8頻度增高,而黑人的HLA-B7頻度增高。
病理表現
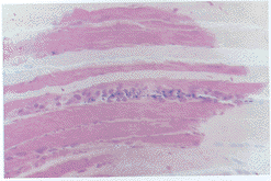
病理表現多發性肌炎:肌肉活檢可見肌纖維間有淋巴細胞浸潤,以T細胞和巨噬細胞為主,分布在與肌纖維壞死有關的肌膜內,或包繞侵入非壞死的肌纖維。根據病情嚴重程度不同,肌纖維壞死程度輕重不一。
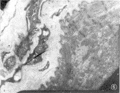
包涵體肌炎:散發性包涵體肌炎病理可見非壞死肌纖維有單核細胞浸潤等炎性肌病的特點。特徵性改變為肌纖維有邊緣空泡(包涵體),受累肌澱粉樣物質和磷酸化Tau蛋白的積聚,類似於Alzheimer病,但這些是原發表現還是繼發現象尚不明確。此外,破碎紅纖維、細胞色素氧化酶陰性纖維以及多發線粒體DNA缺失也較常見。遺傳性包涵體肌炎的病理沒有炎性細胞浸潤,磷酸化tau蛋白和細胞內澱粉樣物質減少,其餘表現與散發性包涵體肌炎相似。
疾病分類
皮肌炎一、特發性肌炎:(1)多發性肌炎;(2)皮肌炎;(3)包涵體肌炎
二、肉芽腫性肌炎
三、嗜酸細胞性肌炎
四、局灶性肌炎
五、感染性肌炎
臨床表現
臨床表現一、多發性肌炎
起病多隱襲,病情於數周或數月發展至高峰,受累肌群包括四肢近端肌肉,頸部屈肌,脊柱旁肌肉,咽部肌肉等,但面肌受累罕見。肌無力是主要症狀,病人下蹲、起立、舉臂、平臥位抬頭、翻身、正坐、發音、吞咽均感困難。部分病人肢體遠端肌肉也受累,表現前臂、手、小腿、足無力。體檢可見有肌力低下,25%患者肌肉有壓痛。晚期可出現肌萎縮。罕見的暴髮型表現為橫紋肌溶解,肌紅蛋白尿,腎功能衰竭。
除肌肉、內臟系統亦可受累,屍檢資料近1/4口才有心肌炎,臨床表現為心電圖異常、心律失常、心力衰竭等。 5%~10%口才發生間質性肺纖維化,出現肺功能障礙、氣短。嚴重咽下困難,可導致吸入性肺炎。全身表現 可有發熱、關節痛、體重減輕、雷諾現象等。
二、皮肌炎
除肌炎表現外,尚有皮疹,可出現在肌炎之前、同時、或以後出現。皮疹可為多親友性,但典型皮疹為面、頸、前胸上部瀰漫性紅斑(又稱紅皮病),以及關節伸側的紅斑性鱗屑性疹,疹中間部可以萎縮。如發生在掌指關節及近端指間關節背面則稱Gottron斑丘疹,頗具特異性。上眼瞼可有特殊淡紫色腫脹,稱為向陽性皮疹,也是本病的一大特徵。還可出現指甲基底和指甲雙側充血,以及腱結節。
包涵體肌炎三、惡性腫瘤相關DM或PM
約占DM和PM總數的10%。DM或PM可先於癌腫1~2年出現,或同時或後於腫瘤出現。所患腫廇多是肺、胄、結腸、乳腺、卵巢癌和淋巴癌。因此所有成人DM、PM口才,尤其是40歲以上者均應警蜴腫瘤的存在,腫瘤的存在是否使肌炎難治,腫瘤的去除是否使肌炎容易治癒等問題尚不明確。
四、兒童DM或PM
兒童大多患皮肌炎,特點是:①多伴發血管炎,出現消化道出血,胄腸黏膜壞死,胄腸穿孔或視網膜血管炎等症;②起病急驟較成年人多見,肌水腫和肌痛明顯;③後期多發生皮下和肌鈣化、肌攣縮。
五、其他結締組織病伴發PM或DM
許多結締組織病,特別是系統性紅斑狼瘡、多發性硬化症、乾燥綜合徵、類風濕關節炎、血管炎等常並發肌病或肌炎,但一般症狀不重。如有典型DM或PM的臨床表現和檢查依據,則稱為重疊綜合徵,約占DM和PM總數的2%。
六、包涵體肌炎
老年男性較多見,發病率可占DM和PM的1/7。可有不典型臨床表現,如不對稱性,遠端肌無力。診斷依據是光鏡下見肌核、肌漿內有嗜伊紅色包涵體及電鏡下肌核與肌漿有異常纖絲等改變。腎上腺皮質激素對該病治療無效。
診斷要點
肌活檢1、典型對稱性近端肌無力表現;2、肌酶譜升高;3、肌電圖示及原性損害;4、肌活檢異常。具備上述4個條件可確診為PM,如伴發典型皮疹則為DM。
治療
治療病情為進行性,很少自動緩解。首選藥為腎上腺皮質激素,有效率60%~70%。。潑尼松量開始宜大,1~1.5mg/kg.d,根據肌症狀好轉、酶譜變化,調整激素用量,用藥3周至3個月應見效。一般需服藥時間較長,如1~2年。重型病例,激素治療效果不理想的患者,為減少激素用量和副作用,可並用大學免疫抑制劑,如硫唑嘌呤、甲氨蝶呤、環磷醯胺。
預後
預後