病因
吸入性肺炎臨床上吸入胃內容物,由於胃酸引起的肺炎較吸入碳氫化合物液體為多見,且更為重要。煤油、汽油、乾洗劑、傢具上光劑等有時可誤吸多見於兒童。正常人由於喉保護性反射和吞咽的協同作用,一般食物和異物不易進入下呼吸道 即使誤吸少量液體,亦可通過咳嗽排出。在神志不清時如全身麻醉、腦血管意外、癲癇發作、酒精中毒、麻醉過量或服鎮靜劑後,防禦功能減弱或消失,異物即可吸入氣管;食管病變如食管失馳緩症、食管上段癌腫、Zenker食管憩室,食管下咽不能全部入胃,反流入氣管;各種原因引起的氣管食管瘺,食物可經食管直接進入氣管內;醫源性因素如胃管刺激咽部引起嘔吐;氣管插管或氣管切開影響喉功能,抑制正常咽部運動 可將嘔吐物吸入氣道。老年人反應性差更易發生吸入性肺炎。
胃容物吸入後 由於胃酸的刺激,產生急性肺部炎症反應,其嚴重程度與胃液中鹽酸濃度、吸入量以及在肺內的分布情況有關。吸入胃酸的pH≤2.5時,吸入量25ml即能引起嚴重的肺組織損傷。動物實驗中證實,吸入pH<1.5的液體3ml/kg體重時可致死。吸入液的分布範圍越廣泛,損害越嚴重。
吸入性肺炎新生兒吸入性肺炎病因
胎兒或新生兒在宮內、分娩過程中或出生後經呼吸道吸入異物(常見為羊水、胎糞、乳汁)引起的肺部炎症反應。為新生兒早期常見病、多發病之一,死亡率高.新生兒吸入性肺炎常發生於圍生期胎兒宮內窘迫或發生過窒息的新生兒,此類患兒由於在分娩過程中產程長,胎盤或臍帶原因影響胎兒血液循環,導致胎兒宮內缺氧,刺激胎兒呼吸中樞興奮,出現喘息樣呼吸,致羊水或胎糞吸入。也有少數患兒是由於餵養不當導致乳汁吸入而致。剖宮產的新生兒口腔未經產道的擠壓,呼吸道的羊水含量較自然分娩的多,如果清理呼吸道不徹底,新生兒較早的呼吸,發生新生兒吸入性肺炎的機會就多。
小兒乳汁吸入性肺炎病因
(1)、吞咽障礙:未成熟兒吞咽反射不成熟,吞咽動作不協調,易發生乳汁吸入。腦部損傷或顱神經病變也可使吞咽反射遲鈍或不全。乳汁在咽部排空時間延長。有時因咽部神經肌肉不協調,吞咽時乳汁部分進入食道,部分由鼻腔流出,部分吸入呼吸道,而引起肺炎。
(2)、食道畸形:食道閉鎖時乳汁不能從食道進入胃內,停留在咽部和唾液一起被吸入肺部。
(3)、食道功能不全:乳汁進入食道後返流至咽部,然後吸入。
(4)、嚴重齶裂、兔唇:齶裂一般不影響吞咽,但嚴重缺損者吮乳發生困難,可引起吸入。
病理改變
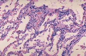
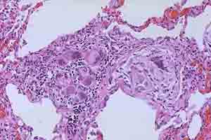
吸入胃容物後 胃酸可立即引起氣道和肺部化學性灼傷。刺激支氣管引起管壁強烈痙攣,隨後產生支氣管上皮的急性炎症反應和支氣管周圍炎性浸潤,進入肺泡的胃液迅速擴散至肺組織,引起現泡上皮細胞破壞、變性,並累及毛細血管壁、使血管壁通透性增加,血管內液體滲出,引起水腫及出血性肺炎。同時
吸入性肺炎臨床表現
患者常有吸入誘因史迅速發病,多於1~3小時後出現症狀,臨床表現與誘發病因有關如由於氣管-食管瘺引起的吸入性肺炎,則每於進食後有痙攣性咳嗽、氣急在神志不清情況下,吸入時常無明顯症狀,但1~2小時後可突然發生呼
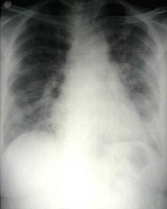
吸入性肺炎胸部X線示於吸入後1~2小時即能見到兩肺散在不規則片狀邊緣模糊陰影,肺內病變分布與吸收時體位有關,常見於中下肺野,右肺為多見。發生肺水腫,則兩肺出現的片狀、雲絮狀陰影融合成大片狀,從兩肺門向外擴散,以兩肺中內帶為明顯,與心源性急性肺水腫的X線表現相似,但心臟大小和外形正常,無肺靜脈高壓徵象。
併發症
急性呼吸窘迫綜合徵,癲癇。
治療
主要治療辦法是針對病原體使用抗生素,由於咳痰時檢查厭氧菌無意義,所以常用的方法為氣管內吸出物,支氣管吸出物或膿胸液體的定量培養。在醫院以外發生吸入性肺炎的病人,一般有厭氧菌感染,但醫院內吸入性肺炎一般涉及多種微生物,包括革蘭氏陰性桿菌,金黃色葡萄球菌以及厭氧菌。對於厭氧菌感染,常用藥物為克林黴素600mg靜脈注射,每6~8小時1次。也可選擇甲硝唑合用克林黴素。對於醫院內吸入性肺炎,革蘭氏陰性桿菌和金黃色葡萄球菌是混合性感染中的最主要成分。這些微生物易於從
吸入性肺炎下氣道機械性阻塞可因吸入中性液體或顆粒性物質引起(如溺水者,嚴重意識障礙病人可吸入非酸性胃內容物或餵進的食物等)。此類病人需立即行氣管吸引。顆粒性物質也可能停留在下氣道內。最常見的物體是植物(如花生米)。這種事故常見於口腔尚在發育階段的兒童,但成年人也能發生,特別是在吃飯時吸入肉食---“餐館冠脈綜合症”。症狀取決於物體及氣道的直徑。氣管高位阻塞可產生急性窒息,往往出現失音和迅速死亡。較遠端的氣道阻塞會造成刺激性慢性咳嗽,常伴阻塞遠側的反覆感染。胸部X線檢查在呼氣時可清楚看到患側肺臟膨脹不全或膨脹過度;部分阻塞使心臟陰影在呼氣時向健側移動。另一診斷線索是同樣的肺段有反覆肺實質感染。治療包括吸出阻塞物,通常用支氣管鏡。
在緊急情況下,應立即給予高濃度氧吸入,套用纖支鏡或氣管插管將異物吸出,加用呼氣末正壓呼吸治療“急性呼吸窘迫綜合症”。糾正血容量不足可用白蛋白或低分子右鏇糖酐等。為避免左心室負擔過重和膠體液滲漏入肺間質,可使用利尿劑。套用腎上腺皮激素治療尚有爭論,有認為在吸入12小時內大量使用糖皮質激素3~4,有利於肺部炎症的吸收,但亦有持相反意見者。抗生素只用於控制繼發性感染,而不主張用於預防細菌性感染,因用藥既不能減少繼發細菌感染的發生,且容易產生耐藥菌株。
預防
吸入性肺炎X線預防吸入性肺炎的主要措施為防止食物或胃容物吸入,
如手術麻前應充分讓胃排空,
對昏迷患者可採取頭低及側臥位,儘早安置胃管,
必要時作氣管插管或氣管切工。
加強護理更為重要。
保健
吸入性肺炎是老年人的一種常見病,在就診的老年肺炎患者中占到20%左右,常發生在睡眠中。
吸入性肺炎是老年人的一種常見病,在就診的老年肺炎患者中占到20%左右,常發生在睡眠中。這是因為老年人吞咽功能下降,反應比較遲鈍,剛吃過飯就睡覺,食物反流進入肺部的可能性增加。如
吸入性肺炎因此,老年人要改變吃飽就睡的習慣,飯後最好散步或坐著輕微活動15~30分鐘。睡眠時不宜採用平臥位,應採用頭部稍微抬高的右側臥位或半側臥位,以避免分泌物倒流進入氣管及支氣管內。對於長期因病臥床的老年人,家人在餵食時要注意,不要讓食物誤進入氣管,造成老年吸入性肺炎。
假牙鑲配者的吸入性肺炎護理
已有很多研究發現口腔疾病與吸入性肺炎有較強的相關性,長期臥床不起生活不能自理,口腔衛生較差,牙周狀況不理想的老人,吸入性肺炎的發病率較高。Yoneyama報導做好口腔護理可以降低老年人肺炎發生的危險性。Scannapieco認為包括牙周疾病在內的口腔疾病和多種呼吸道疾病之間有密切關係,一些證據表明口腔是呼吸道感染的重要途徑,口腔內經常存在著多種細菌,可以通過呼吸作用吸入呼吸道系統,進而引發肺炎。特別是牙齒間隙可以作為呼吸道病原體的定植地,在某些特殊的病人中定植在口腔中的病原體,就會通過呼吸都傳播導致肺部感染。Slots用流行病學研究方法研究了口腔衛生較差,牙槽骨吸收和慢性阻塞性肺炎之間的關係,證明口腔細菌可以作為一種潛在的作用導致呼吸道感染。
臨床以吸入性肺炎最多見,據有關研究表明80%是由於吸入口腔,咽部含有細菌的分泌物,而這些分泌物大多是來自口腔疾病,最常見口是齲病,其次是牙周炎和牙齦炎。原因有兩種:1)由於喉頭反射遲鈍,胃腸道蠕動減慢,食管肌肉鬆弛導致嘔吐後的胃內容物被吸入氣管。其中混入大量細菌和胃酸,易引起吸入性肺炎。占吸入性肺炎的80%。2)口腔內的病原菌常在深睡中隨著唾液,痰液,食物殘渣一起吸入氣管,而引起隱匿性吸入性肺炎。
老年性肺炎:在日本老人因癌症,缺血性心臟病,腦血管疾病,而繼發肺炎,支氣管炎使其死亡率上升,呼吸系統疾病在死亡原因中占第三位。而且因肺炎、支氣管炎死亡的人群中,65歲以上的老人占95%,所以可以把肺炎稱為老年病。老年人肺炎中因誤吸而引起的吸入性肺炎的比例特別高,其原因是老年人腦血管障礙者多,通過CT或MRT常可見到大腦基底結病灶。基底結是生命中樞,主管吞咽反射、咳嗽反射、如出現病變或障礙,便會導致吞咽反射、咳嗽反射障礙,不能排除進入氣道的異物而引起誤吸。患者上述病症的老人,機體的免疫力都不同程度地下降,身體各器官協調出現異常,口腔內的細菌易於引起呼吸系統的嚴重感染。而對臥床不起的老人,無論是住在醫院或家中,護理者大都忙於照顧其日常飲食、排泄及體表衛生,很少顧及到口腔衛生,而且老年人日常生活適應力,免疫力逐步下降,口腔的自淨能力也隨之減弱,由於不良的口腔衛生狀況,不潔的假牙,齲洞和牙周間隙的感染,口腔往往成為種種病菌的密集場所,極易引發肺炎和支氣管炎。
據日本科研人員報導,加強老年人的口腔衛生護理可顯著降低肺炎發病、患肺炎後發熱天數以及肺炎的死亡人數。
仙台市東北大學醫學院的Hidetada Sasaki博士及其同事於1996年從11家養老院隨機選取了184例接受口腔護理的病人進行研究,另外他們還選取了182例不進行口腔護理的病人作為對照。病人的平均年齡為82歲。該研究結果發表在3月出版的《美國老年病學協會雜誌》上:
護理人員每天給接受口腔護理的病人進行餐後刷牙或清洗假牙。如有必要,還給病人口腔進行聚維酮碘拭子局部消毒。口腔專科醫生也定期每周給病人清除牙齒菌斑及結石。在2年的研究期間,進行口腔護理和不進行口腔護理的病人分別有15%和29%出現發熱(p<0.01),而兩組中分別有11%和19%的病人新近診斷為肺炎(p<0.05)。此外,接受口腔護理的病人肺炎死亡率僅約為對照組的一半。
Sasaki博士等撰文指出,“通過比較兩組病人的肺炎死亡率,我們可以發現口腔護理在降低肺炎死亡率方面比藥物治療更為有效。”
在相關的評論中,安阿伯密西根大學的Margaret Terpenning和Kenneth Shay兩位博士估計,如果每年投資5億美元為那些養老院的病人提供口腔護理,病人的死亡率只要下降10%,那么也可節約8億美元的資金。而且據原始數據統計,進行口腔護理的病人患病率下降可能達到這一幅度的三倍。
醫學上大量的臨床案例表明,假牙清潔方法不當、不徹底,很容易產生異味、牙石、菌斑,從而間接引發吸入性肺炎,再加上假牙鬆動,咀嚼疼痛,直接影響飲食、降低腸胃功能,甚至可能導致口腔癌以及內臟疾病,後果非常嚴重。
假牙鑲配者的吸入性肺炎護理和普通的吸入性肺炎患者的護理有不同,統計發現:即使假牙製作再精良,也難做到100%貼合口腔;中老年人唾液少、黏度低,牙槽骨的逐年變形都會導致假牙鬆動、戴不牢;戴假牙吃飯時,食物殘渣塞入假牙與牙床間,不敢咀嚼,直接影響進食;如果牙槽骨嚴重吸收低平,假牙更加無法戴牢。因此,基於這些客觀的因素,醫學界一致認為假牙鑲配者的吸入性肺炎部分是由於鑲配假牙且護理不當間接引起的,所以就需要有針對性和專業性的護理。
由於目前假牙護理常識在國內還不是很普及,導致我國中老年消費者的假牙很少能得到科學、有效的護理,除了極少數人可以從國外購買此類產品外,大多數人都是用簡易的“土辦法”,如清潔方面就是拿水泡、拿牙膏牙刷等,而假牙固位方面就更加沒有辦法。於是假牙不清潔和不穩固間接引起的中老年人吸入性肺炎病例便逐年增多。市場上目前出現的安全、方便、有效的假牙護理產品還很少,國內只有雅克菱通過了歐盟CE認證,推出了假牙伴侶系列產品,並結合專家建議和國際通行護理辦法,提出了“每日摘、泡、粘,科學護假牙”的假牙護理理念,對假牙配戴者的吸入性肺炎預防效果較為明顯。
呼吸內科疾病
| 研究範圍及進展呼吸內科是研究呼吸系統疾病的學科。它是既古老又年輕的學科,說它古老是因為,自從人類認識疾病以來,呼吸系統疾病就一直是危害人類健康的常見病和多發病,八十年代中期的統計資料表明,呼吸系統疾病仍然是導致死亡的主要疾病。在死亡的順序上排列第二。現在我們來認識一下這些可怕的疾病吧? |

