概述
煤工塵肺病因
煤工塵肺病理生理
煤工塵肺症狀體徵
煤工塵肺臨床表現是非特異性的。早期常無症狀,在合併支氣管炎或肺部感染時才會出現相應症狀。咳嗽,一般為輕微乾咳,但煤工中慢性支氣管炎患病率較高,一般礦工中也多見咳嗽。合併肺部感染時,咳嗽加重,伴咳痰,可咳出含煤塵或膽固醇結晶的黏痰,少有咯血。煤工塵肺患者大多有不同程度的胸悶或胸痛感覺,表現為間斷隱痛或針刺痛,勞動後或劇咳時更明顯。突發劇烈胸痛並伴有呼吸困難者,應考慮有自發性氣胸可能,逐漸出現進行性加重的呼吸困難。
有些病例呼吸道症狀與X線表現不相稱,X線片上表現輕微,但氣急症狀卻很嚴重。隨著接觸粉塵時間的增加,可出現氣短和咳嗽加重。胸片表現也隨之明顯。呼吸困難加重與大塊肺纖維化發展往往相一致,痰呈黑色,量較多。當大塊纖維化部位發生缺血壞死形成空洞則經常咳出大量黑痰。當合併急性感染時也可咳出大量膿性痰。多數煤工塵肺患者甚至到Ⅱ、Ⅲ期也無陽性體徵。偶有發紺和杵狀指。少數病人兩肺可聞及呼吸音粗糙或減弱和乾囉音。有各種合併症時才出現相應的體徵。
診斷檢查
煤工塵肺實驗室檢查:實驗室檢查參見矽肺。
其他輔助檢查:
1.肺功能檢查早期煤工塵肺患者雖有瀰漫性間質纖維化性病變和輕度肺氣腫,肺功能多無明顯改變,只有在塵肺晚期才可見降低,或在動態觀察中可較早地看到有降低趨勢。煤工塵肺的通氣功能障礙類型早期以限制性通氣功能障礙為主,中晚期以阻塞型最多見,其次為混合型。通常煤工塵肺患者的FEV1、FVC、VC、MMF的均值均低於正常人或接塵工人,且基本上隨病變的進展呈進行性下降。各項指標中以FEV1、FEV1/FVC和FEV1/VC預計值最為敏感。煤工塵肺出現肺氣腫較明顯時肺總量、肺順應性增加。在單純性煤工塵肺彌散功能可在正常範圍,進行性大塊纖維化患者可下降至預計值50%以下。
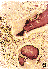
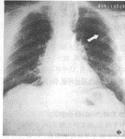
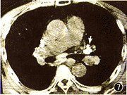
煤工塵肺2.X線檢查煤工塵肺胸片表現特徵有:網狀改變;結節狀改變;結節融合;塊狀陰影和多量絨毛狀改變。網狀改變被認為是煤工塵肺最早的表現,在肺野呈現瀰漫性細網狀陰影。而此時在臨床上無任何症狀。隨著結節的擴展,病變融合成不透明的進行性大塊纖維化,通常位於兩肺上野,也可跨肺葉融合至中、下肺野,有時僅發生在一側肺野,通常為大塊狀,均勻的、界限明顯的陰影。這些改變往往在單純性煤工塵肺彌散結節陰影的背景上發生。
伴有類風濕性關節炎的煤工塵肺患者,即Caplan綜合徵的胸部X線片往往呈現多個圓形、邊界清晰、分布較均勻的結節。在雙肺甚至分布至肺野周圍部分。圓形結節直徑可從0.5~5cm,但通常為1cm左右。有時病變出現與關節炎並無明顯相關性,或開始出現關節炎後病情迅速發展。在Caplan肺部病變可出現中心空洞,鈣化以及病變融合現象。在進行性大塊纖維化患者或有重度吸菸史者多合併有肺氣腫,嚴重肺氣腫往往致使肺部點狀和小結節顯示不清,易導致臨床醫生對病變
鑑別診斷
應與下列疾病鑑別如肺含鐵血黃素沉著症、特發性彌漫性肺間質纖維化、粟粒性肺TB、肺泡微石症、肺泡癌、外援性過敏性肺泡炎。
併發症
煤工塵肺治療方案
煤工塵肺5.4S清肺平喘療法
4S清肺平喘療法由軍事醫學科學研究院、國際科學研究院等多位專家歷經30多年聯合研發形成的一套全方位、多立體的綜合治療體系。療法包括清肺淨肺、PI活肺治療、植物神經綜合平衡和軍科細胞免疫技術四大步驟,其中軍科細胞免疫技術是多位專家在2008年諾貝爾醫學獎DC細胞技術基礎上獨創的治療手段,它直擊哮喘病的發病根源——炎症細胞,利用特定的靶向免疫激活技術抑制和清除哮喘發病根源,真真正正防止哮喘反覆發作。
清肺淨肺——清除病毒,疏通氣道,快速緩解症狀
哮喘發作的表層原因是支氣管發生痙攣,北京軍都中醫院哮喘科採用幾十年科研成果的專利性藥物配合傳統中醫中藥的精華直接作用於氣管和支氣管,將痰液、細菌病毒以及其它的垃圾徹底清除,達到快速清肺排痰,疏通氣道。
PI活肺治療——止咳平喘,消炎鎮痛,恢復肺功能
哮喘發作的深層次原因是肺部炎症,醫院引進的PI活肺治療儀通過物理能作用於人體組織,將吸收的能量轉化為熱能、化學能、生物能,改善肺部血液循環,促進炎症的吸收和消散,改善和恢復肺功能。
植物神經綜合平衡——消除氣道高反應,降低過敏反應,控制疾病
植物神經綜合平衡法通過選擇性干擾神經受體的分支,讓導致哮喘發作的神經興奮性恢復正常,重建植物神經平衡,抑制氣道腺體過多分泌,消除氣道高反應狀態,重建呼吸免疫屏障,全面控制疾病。
軍科細胞免疫技術——消滅炎症細胞,調整免疫失衡,解決患病根源
哮喘發作的根源是炎症細胞,軍科細胞免疫技術由軍事科學研究院和國際科學研究院多位專家聯合研發,在諾貝爾獎DC細胞技術的基礎上,通過實驗室誘導、培育出自身需要的特異性免疫活性細胞,然後回輸進機體,抑制和清除炎症細胞,調整免疫失衡,從根源上消除哮喘等呼吸疾病復發的因素。
治療效果
1.當天症狀緩解。咳嗽、氣喘、呼吸困難、胸悶等症狀緩解。
2.3天內炎症消除、症狀消失,肺部和氣道功能恢復。
3.5——7天,免疫增強,炎症細胞消失,呼吸暢通,臨床治癒不復發。
預後及預防
預後:預後參見矽肺。
預防:煤工塵肺預防措施與矽肺相同,必須強調嚴格執行國家規定最高容許粉塵濃度的標準,我國現行規定含10%以下游離二氧化矽的煤塵的最高容許濃度為10mg/m3 。
流行病學
煤工塵肺相關藥品
相關詞條
肺含鐵血黃素沉著症 特發性瀰漫性肺間質纖維化 粟粒性肺TB肺 肺泡微石症 肺泡癌 援性過敏性肺泡炎
呼吸內科疾病
| 研究範圍及進展呼吸內科是研究呼吸系統疾病的學科。它是既古老又年輕的學科,說它古老是因為,自從人類認識疾病以來,呼吸系統疾病就一直是危害人類健康的常見病和多發病,八十年代中期的統計資料表明,呼吸系統疾病仍然是導致死亡的主要疾病。在死亡的順序上排列第二。現在我們來認識一下這些可怕的疾病吧? |

