概述
慢性嗜酸粒細胞性肺炎本病是寄生蟲(鉤蟲、蛔蟲等)和藥物(呋喃妥因等)所致的變態反應,為肺部嗜酸粒細胞浸潤的一種消耗性疾病.患者多見於中青年女性,發熱、體重減輕、盜汗。咳嗽多粘痰,伴氣急和咯血。周圍血嗜酸粒細胞比例多在20%-70%。肺間質、肺泡和細支氣管內有白細胞浸潤,主要為成熟嗜酸粒細胞,少量組織細胞和淋巴細胞,肺泡中可見細胞內含有嗜酸性顆粒和尖棱結晶的多核巨細胞,此為本病的病理特點。有些肺小血管,主要是肺靜脈有血管炎,有時見多核巨細胞及嗜酸肉芽腫。特徵是肺部嗜酸粒細胞滲出伴有或不伴有外周血嗜酸粒細胞增多。持續的嗜酸粒細胞性肺炎可以導致肺纖維化和限制性肺功能障礙。
病因
慢性嗜酸粒細胞性肺炎當機體抵抗力降低時,經呼吸道進入肺內引起大葉子或者小葉融合性病變,以上葉為多見。病灶中滲出液粘稠而重,致使中間隙下墜。細菌具有莢膜,在肺泡內生長繁殖時,引起組織壞死、液化、形成耽擱或多發性膿腫。若病變累及胸膜或心包,可引起滲出性或膿性積液病灶的纖維組織增生活躍,易於機化,纖維素性胸膜炎可早期發生粘連。多見於老年、營養不良、慢性酒精中毒、已有慢性支氣管-肺疾病和全身衰竭的患者。本病是一種肺部嗜酸性粒細胞浸潤的疾病,病程一般2-6個月或更長,其病因未明,可能與寄生蟲(鉤蟲、蛔蟲等)和藥物(呋喃妥因等)所致的變態反應有關,也可能是一種自身免疫病。肺間質、肺泡和細支氣管內有白細胞浸潤,主要為成熟嗜酸性粒細胞,少量組織細胞核淋巴細胞。肺泡中可見嗜酸性粒細胞聚集在尖棱結晶的多核巨細胞,可形成“嗜酸性膿腫”。有些肺小血管,主要是肺靜脈有血管炎,有時見得多數核巨細胞及嗜酸肉芽腫。
臨床特點
慢性嗜酸粒細胞性肺炎患者多見於中青年女性,發熱、咳嗽多粘痰,伴氣促和咯血。並有體重減輕、盜汗。周圍血嗜酸性粒細胞比例多在20%-70%。
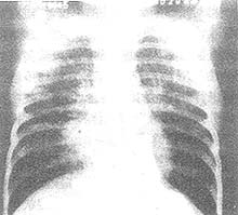
X線胸片顯示不呈段或葉性分布的周圍片狀陰影,常為雙側分布(“肺水腫反轉”表現)。糖皮質激素治療後48小時內症狀和X線表現可迅速消失。在同一局部可反覆發生,數年後變為纖維化或蜂窩狀改變。胸部X片顯示不呈段或葉性分布的周圍片狀陰影,常為雙側分布。糖皮質激素治療後48h內症狀和胸片可迅速消失。在同一局部可反覆發生,數年後變為纖維化或蜂窩狀改變。糖皮質激素治療效果顯著,常可恢復正常,因停藥較易復發,故全療程需在一年以上。
診斷
慢性嗜酸粒細胞性肺炎根據典型病史、病程及X線胸片表現等可作出診斷。但需與其他嗜酸性粒細胞增多伴肺部病變作鑑別。
單純性肺嗜酸性粒細胞浸潤症亦為寄生蟲和藥物所引起的變態反應,病程較短(2-4周),在肺間質、肺泡壁及終末細支氣管壁扇有關嗜酸性粒細胞浸潤灶,可無臨床症狀,輕咳,少量粘液痰,胸部X線示小片或大片模糊陰影,呈遊走性。一般無需治療。
哮喘型肺嗜酸性粒細胞增多症以曲菌為主所致的反覆哮喘發作為特徵的變態反應,亦可因花粉、藥物和鎳煙霧引起。在肺泡和間質有多量嗜酸性粒細胞浸潤,終末細支氣管擴張並充滿粘稠痰,可找到真菌絲。X線胸片多見兩肺上部遊走性陰影,支氣管痰栓阻塞時可形成V或Y字型或葡萄狀影。用糖皮質激素治療可使哮喘控制,陰影消散。
熱帶嗜酸粒細胞增多症為絲蟲等感染所致,肺部嗜酸性粒細胞核組織細胞浸潤,可呈支氣管肺炎分布,伴小支氣管壞死和嗜酸性膿腫。有哮喘樣發作性劇咳,痰少,不易咳嗽出去,感胸悶、乏力、納差。X線胸片示兩肺紋理增多,伴粟粒狀或模糊陰影,慢性者可有間質纖維化。經抗絲蟲藥治療後,症狀數天緩解,肺部病變較慢消失。
實驗室檢查
實驗室檢查1.血液檢查大多數病人血白細胞增高,範圍平均在(150~200)×109/L,其中有中毒顆粒及核左移現象,約1/4的病人白細胞總數正常或減少,白細胞減少症常是預後不良的徵兆,病人常合併有貧血。
2.痰或支氣管吸引物塗片和(或)培養查到肺炎克雷白桿菌是確診的依據,但它受到很多因素的影響。
(1)病理情況下,咽部寄殖率很高,易形成口咽部的標本污染。
(2)單一肺炎在減少,多種菌混合感染增多(尤其是院內感染)。常無法確定主要作用菌。
目前國內外學者均認為痰檢的敏感性、特異性及可靠性方面不理想,許多病人痰量不多,即使有痰有時也查不到細菌,部分病人雖能通過培養確定,但對初始診斷及治療幫助不大。不過就我國目前各醫院的情況及條件而言,痰塗片革蘭染色及培養仍是一項重要的初步篩選手段及診斷措施。
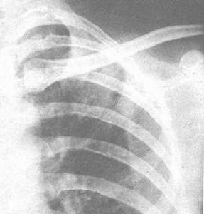
其他輔助檢查:X線表現:大葉實變、小葉浸潤、膿腫形成。大葉實變多位於右上葉,由於炎性滲出物量多,黏稠且重,故葉間裂呈弧形下墜。炎症浸潤中見膿腫,胸腔積液,少數呈支氣管肺炎。
鑑別
1.與支氣管擴張症區別支氣管擴張症是常見的慢性支氣管化膿性疾病,大多數繼發於呼吸道感染和支氣管阻塞,尤其是兒童和青年時期麻疹、百日咳後的支氣管肺炎,由於破環支氣管管壁,形成管腔擴張和變形。
臨床表現:慢性咳嗽伴大量膿痰和反覆咯血。若有厭氧菌混合感染,則有臭味。咯血可反覆發生,程度不等,從小量痰血至大量咯血,咯血量與病情嚴重程度有時不一致,支氣管擴張咯血後一般無明顯中毒症狀。
2.與肺炎球菌肺炎區別肺炎球菌肺炎是由肺炎球菌或肺炎鏈球菌所引起,占院外感染肺炎中的半數以上。肺段或肺葉呈急性炎性實變,臨床上症狀輕或不典型病較為多見。起病多急驟,有高熱,體溫在數小時內可以升到39-40℃,可呈稽留熱,與脈率相平行。患側胸部疼痛,可放射到肩部、腹部,咳嗽或深呼吸時加劇。痰少,可帶血絲或呈鐵鏽色。胃納銳減,偶有噁心、嘔吐、腹痛或腹瀉,有時誤診為急腹症。
治療方案
糖皮質激素糖皮質激素(30-40mg/d)治療顯著,常可恢復正常,因停藥較易復發,故全療程需在1年以上。及早使用有效抗生素是治癒的關鍵。原則為第二、第三代頭孢菌素聯合氨基糖苷類康生數,如頭孢噻肟鈉或頭孢他啶靜滴合併阿米卡星或妥布黴素肌注或靜滴。亦可選擇哌拉西林鈉(氧哌嗪青黴素)與氨基糖苷糖聯用。部分病例使用氟喹諾酮類、氯黴素等亦有效。也可用氨基甙類抗生,如慶大黴素、卡那黴素、妥布黴素、丁胺卡那黴素,可肌注、靜滴或管腔內用藥。重症宜加用頭孢菌素如孢孟多(cefamandole)、頭孢西丁(cefoxitin)、頭孢噻肟(cefotaxime)等。哌拉西林(piperacillin),美洛西林(mezlocillin)與氨基甙類聯用、以及氧氟沙星療效亦佳。部分病例使用氯黴素、四環素及SMZ-TMP亦有效。重症多有肺組織損傷,慢性病例有時需行肺葉切除。機體已因其他疾病而免疫力降低的病人容易發生菌血症。當混有其他革蘭陰性菌感染時,預後更差。
注意事項
1.多見於老年、營養不良、慢性酒精中毒、已有慢性支氣管-肺疾病和全身衰竭的患者。2.起病急劇,有高熱、咳嗽、痰量多和胸痛。
3.可有紫紺、氣急、心悸,約半數患者有畏寒,可早期出現休克。
4.不宜吃茄屬蔬菜,如西紅柿、土豆、茄子、辣椒等及菸草中的生物鹼能使關節炎症狀加重。
預防
慢性嗜酸粒細胞性肺炎預防1.嚴格執行消毒與隔離制度這主要是針對醫務人員及院內環境、器械而言,接觸病人前後嚴格洗手、戴手套操作,定期環境及室內消毒通風,按照要求定期清洗、消毒呼吸治療裝置,定期更換機械通氣及霧化器管路等,採取一整套嚴格的院內感染監測和預防計畫。據報導,採取這一計畫的醫院與未採取的醫院比較,院內感染率低20%。
2.胃腸道去污治療這是近年來歐洲常用的一種預防措施,主要是針對院內感染的易感人群,目的是去除胃腸內的菌落寄殖與生長。方法有全胃腸去污和選擇性胃腸去污法,常用的為後者,它通過鼻飼或口服胃腸不吸收的多粘菌素B、妥布黴素(慶大黴素或新黴素等)及二性黴素B,連用5天,並每天系統套用頭孢菌素,從口咽部及胃腸道中去除需氧菌而不降低厭氧菌的數量,其預防作用在革蘭陰性桿菌方面尤為明顯,據作者統計有關文獻,去污組幾乎無繼發性肺炎克雷白桿菌的肺炎與呼吸道感染(個別為耐藥株感染)。
3.保護胃部酸性屏障主要是在預防應激性潰瘍時,套用硫糖鋁(ulcerlmin)類藥物,它既可以防止應激性潰瘍出血,又因它具有吸附胃黏膜、改變胃黏液、增加胃腔中前列腺素E2(PGE2)含量、吸收胃蛋白酶的作用,並不改變胃內酸性環境,從而有效地起到了防止潰瘍及防止感染的作用.而且據文獻介紹,硫糖鋁尚具有內在的殺菌活性,一系列研究表明套用抗酸劑組的肺炎發生率為23%~35%,而套用硫糖鋁組肺炎的發生率為10%~19%。
4.生物肺炎的生物預防方法尚處於實驗階段。Held等利用自肺炎克雷白桿菌莢膜多糖(CPS)誘導產生的IgM單克隆抗體(MAb)注射給實驗動物以預防肺炎,與對照組比較,無論器官受累率、感染組織的細菌數量、肺內組織學改變等諸方面,預防組遠優於對照組(P<0.01),但這種MAb尚無阻止肺炎克雷白桿菌進入肺內的作用,而是加速感染吸收,增強肺的排菌能力。另外尚有一些類似的實驗報告,但成熟的疫苗及抗體尚未套用於臨床,需進一步研究。肺炎克雷白桿菌肺炎危害人類已一個多世紀,隨著科學的發展,檢查及治療手段的不斷完善,人類對其了解的逐步深入,相信可以進一步降低它的發病率及病死率,取得更大的進步。
相關條目
資料參考
呼吸內科疾病
| 研究範圍及進展呼吸內科是研究呼吸系統疾病的學科。它是既古老又年輕的學科,說它古老是因為,自從人類認識疾病以來,呼吸系統疾病就一直是危害人類健康的常見病和多發病,八十年代中期的統計資料表明,呼吸系統疾病仍然是導致死亡的主要疾病。在死亡的順序上排列第二。現在我們來認識一下這些可怕的疾病吧? |
