概述
中文名:肺鐵末沉著病
英文名:siderosis
別 名:鐵末沉著症
肺鐵末沉著病(siderosis)或鐵塵肺是長期吸入金屬鐵塵或氧化鐵粉塵而引起的肺內粉塵沉積和纖維組織輕度增生性肺病變。過去認為氧化鐵塵是“惰性粉塵”,不致肺纖維化,現已證明氧化鐵塵可以引起肺組織輕度結締組織增生,因此,有人主張用鐵塵肺更為合適。
症狀體徵
鐵塵肺發展緩慢,病程較長,發病早期症狀少而輕微,隨病程的進展可出現有咳嗽、咳痰、胸痛、胸悶和氣短,當合併肺部感染時症狀和體徵增多。
病因
鐵是一種比較穩定的金屬,純鐵呈銀白色,帶有金屬光澤,在自然界中,鐵常以氧化物形式存在,如赤鐵礦,呈磚紅色,以Fe203形式存在;褐鐵礦,棕色,以[FeO(OH)],nH20形式存在;磁鐵礦,帶有磁性,以Fe304形式存在。在鐵礦的開採、冶煉、船舶和鐵路車輛製造時鋼板的除銹和焊接,機械鑄件的鏟邊、磨光,金屬研磨(鐵丸、鋼球)以及工業漆料氧化鐵紅(Fe203)的生產、加工均可產生鐵塵或含鐵混合塵(含二氧化矽石棉等)。
發病機制
肺鐵末沉著病診斷檢查
診斷:根據上述臨床表現結合可靠的鐵塵接觸史一般可作出診斷。
實驗室檢查:合併細菌感染者白細胞增高。
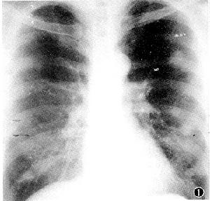
其他輔助檢查:X線檢查早期以不規則小陰影為主,兩肺中下肺野為多,類圓形小陰影少且出現很晚,一般很少出現塊狀大陰影。
肺活量肺功能檢查可見通氣功能損害,表現為肺活量減低。最大通氣量第一秒時間肺活量和最大通氣量減低。
併發症
合併肺氣腫,合併感染常見。
鑑別診斷
肺鐵末沉著病2、含鐵血黃素沉著症多見於風濕性心臟病二尖瓣狹窄者,有左心衰竭病史,無職業史。以反覆發作咯血、氣短和不明原因的缺血性貧血為特點,有杵狀指(趾)、脾大等體徵。胸片可見大小不一的、分布不均勻、一定數量的細結節陰影,密度大,伴有少量條索狀陰影,晚期出現廣泛肺間質纖維化。痰及支氣管肺泡灌洗液中可查到吞噬含鐵血黃素的巨噬細胞,往往有心臟病體徵。
3、結節病為原因不明、非乾酪性類上皮細胞肉芽腫性疾病。可侵犯全身許多臟器,但多發生在肺部及胸內淋巴結。早期常無明顯症狀或體徵,Ⅱ期結節病肺門淋巴結腫大,伴有肺部浸潤,肺部病變廣泛對稱地分布於兩側,呈結節狀、點狀或絮狀陰影。Ⅲ期結節病肺部呈現纖維化改變,而肺門腫大淋巴結消失。纖維化陰影中常混雜有肉芽腫的陰影,病變廣泛者可出現肺臟皺縮、膈肌升高、肺門上提等。結節病的診斷主要依據胸片、胸CT改變、組織學活檢及Kvein試驗陽性。患者可能伴有其他臟器病變,血清血管緊張素轉換酶活性升高,結核菌素皮試陰性或弱陽性可作為參考指標。
4、肺泡微結石症往往有家族史,多無粉塵接觸史。X線胸片上兩肺滿布細砂料狀陰影,大小在1mm左右,邊緣清楚,以肺內側多見,肺門影不大,肺紋理無明顯變化,病程進展緩慢。
5、細支氣管肺泡癌常咳較多白泡沫痰,有時咯血,痰中查見癌細胞。
實驗室檢查
合併細菌感染者白細胞增高。
其它輔助檢查
肺鐵末沉著病1、形態改變初期為肺野內有密集度較高的不規則影和密度不高的類圓形陰影。
2、斑點沉著期兩肺滿布2~4mm密度高勱邊緣銳利斑點狀陰影,肺門陰影密度高近似金屬塊狀影。
3、肺門金屬塊狀影形成期在肺門第一級支氣管周圍有各種形態沿支氣管排列密度高的塊狀陰影鐵末在支氣管、肺淋巴結的沉著肺功能檢查主要表現為最大通氣量和第一秒時間肺活量較正常人明顯偏低。
治療
病人一般不需特殊治療。要及時脫離粉塵作業環境,適當增加營養及症處理,定期拍片體檢,動態觀察肺部X線的改變。
預後及預防
預後:鐵塵肺合併肺結核是常見的死亡原因之一,死於心血管疾病者也有相當比例。
預防:控制和減少矽肺的關鍵在於預防,預防首先是要降低工作環境粉塵,加強宣傳教育,制定衛生清掃制度,做到文明生產。做好就業前和定期體格檢查,定期拍攝胸片,對已脫離粉塵作業者亦應定期隨訪。對有上呼吸道疾病、支氣管肺疾病者特別是患有肺結核者、心血管疾病者均不得從事矽塵作業。加強個人防護,注意個人衛生,開展體育鍛鍊,注意營養等。
流行病學
鐵塵肺的發病情況報導不一,國內某造船廠報導534名船體除銹工診斷為鐵塵肺者32例,患病率5.89%,平均發病工齡14.69年(6~26年)。張會斌等(1980)報告某鋼銼廠除銹拋光工66名X線胸片檢查發現觀察對象8例,Ⅰ期塵肺8例,Ⅱ期塵肺4例。發病工齡13.4年(5~24年)。鐵塵肺尚未列入我國職業病名單。
相關詞條
呼吸內科疾病
| 研究範圍及進展呼吸內科是研究呼吸系統疾病的學科。它是既古老又年輕的學科,說它古老是因為,自從人類認識疾病以來,呼吸系統疾病就一直是危害人類健康的常見病和多發病,八十年代中期的統計資料表明,呼吸系統疾病仍然是導致死亡的主要疾病。在死亡的順序上排列第二。現在我們來認識一下這些可怕的疾病吧? |
