描述
肺澱粉樣變性澱粉樣變是指1組表現各異的臨床綜合徵,其共同特點為均具有細胞外澱粉樣物質沉積。1854年Virchow首次稱本病為澱粉樣變(amyloidosis),這是因沉積的澱粉樣物(amyloid)遇碘和硫酸時,顯現與澱粉相似的染色反應,在光鏡下呈無定形的均一嗜伊紅物。這種澱粉樣物實際屬蛋白質或多肽,現已知有15種之多,但“澱粉樣變”這一名稱仍延用至今。不同蛋白質的澱粉樣物外形一致,用剛果紅染色在偏光鏡下呈特異的綠或黃色雙折射體。澱粉樣物沉積可造成器官實質細胞萎縮,干擾器官的機械功能,或影響血管收縮性而造成出血。澱粉樣變可侵犯多個或單個器官,呼吸系各部位均可受累。澱粉樣物廣泛沉積於舌部可引起阻塞性睡眠呼吸紊亂;沉積於氣管支氣管可引起氣流受阻或出血;肺間質瀰漫性沉積可導致換氣功能障礙和呼吸衰竭;胸膜或橫膈沉積可導致胸腔滲液或呼吸肌無力。氣管支氣管和肺實質結節狀沉積多為單發或多發孤立病灶,而肺間質和肺泡隔彌散性沉積常見於系統性澱粉樣變。支氣管肺澱粉樣變屬罕見病,具體發病率尚無統計。但呼吸系統是澱粉樣變常累及的器官。據報導肺受累占原發性澱粉樣變病例的70%~100%,繼發性澱粉樣變的20%~73%,家族性澱粉樣變的67%,老年性澱粉樣變的49%~100%。死於系統性澱粉樣變的屍檢者中,43%~77%有氣管支氣管和(或)肺受累。
症狀體徵
肺澱粉樣變性由於病變的類型和受累的器官不同,支氣管肺澱粉樣變的臨床表現多種多樣。以下按器官分述:
1.喉澱粉樣變喉是呼吸道局灶性澱粉樣變最常見的部位,據報導約占75%。喉澱粉樣變約占喉良性腫瘤的1%,至今已報導250餘例。發病年齡9~90歲(平均48歲),男女之比1∶1。假聲帶為最常受累部位,聲帶及會厭亦常被累及。主要症狀為聲音嘶啞,可伴出血,甚至引起致死性上呼吸道出血。重症者可有吸氣性呼吸困難、喉鳴等上呼吸道梗阻症狀。經喉鏡可見瀰漫性黏膜肥厚、凹凸不平,或伴有光滑質硬的息肉樣腫物。下呼吸道澱粉樣變同時侵犯喉者亦不少見,約占12%~40%。偶見其他臟器如淚腺,淋巴結,胃或皮膚澱粉樣變累及喉者。Lewis等報導22例喉澱粉樣變,其中7例合併氣管澱粉樣變。22例中,免疫組化染色發現12例λ輕鏈陽性,5例,κ輕鏈陽性,僅3例陰性,證實喉澱粉樣變的澱粉樣原纖維是以輕鏈為主。
肺澱粉樣變性2.氣管支氣管澱粉樣變氣管支氣管澱粉樣變已報導近200例。發病年齡16~76歲(平均53歲),男女之比1∶1。絕大部分無基礎疾病。臨床以多灶性黏膜下斑塊最常見(約占85%),其次為單灶瘤塊樣腫物,瀰漫浸潤型最少見。病變一般不擴展至支氣管壁外。常見症狀有呼吸困難或喘鳴(54%),咳嗽(49%),咯血(46%)和聲音嘶啞(24%)等。因氣道狹窄分泌物滯留常有繼發感染,此時咳嗽呈持續性,伴咳膿痰,可有發熱、肺部乾濕囉音和白細胞增高。支氣管阻塞可造成肺葉或肺段不張。病人可出現活動後氣短、呼吸困難,查體可見肺容積縮小征和局部呼吸音減低。血管壁澱粉樣變導致血管脆性增加及收縮性減弱,且本病常伴凝血機制障礙,故咯血頗為常見。X檢查可顯示阻塞性肺炎,肺不張和氣道局灶性或瀰漫性狹窄。約1/4病人X線所見在正常範圍。高解析度CT支氣管成像術可更清晰顯示氣管、支氣管壁增厚和腔內突出結節影,有的伴有鈣化。支氣管鏡檢可見氣道壁多灶或單灶隆起或普遍肥厚變形,管腔狹窄。隆起呈光滑無蒂結節,大小不等(大者可達1cm),其上覆蓋完整蒼白上皮。有時支氣管完全阻塞。病灶易出血。已報導死於氣管支氣管澱粉樣變20例(均為多灶性或瀰漫性病變),死因主要為出血、感染和呼吸衰竭。7例死於出血者中,4例因經支氣管鏡夾除病灶引起大出血死亡。2例死於瀰漫性病變者屍檢證實有原發性系統性澱粉樣變。據美國波士頓大學醫院15年的觀察,30%氣管支氣管澱粉樣變於診斷後7~12年內死亡,近端氣道病變預後較遠端病變差,病死率高。
有學者曾收治1例支氣管澱粉樣變。患者男性,50歲,因間斷發熱、咳嗽、咳濃痰及活動後氣促4個月經反覆治療不愈而入院。查體右下肺叩濁,呼吸音減低。血白細胞、血氣、免疫球蛋白等在正常範圍;痰多次查抗酸桿菌陰性。胸片示雙肺門影稍濃,右心緣處有三角形密度增高影,與心影呈模糊征,側位陰影位於中葉,中葉支氣管有阻塞征。肺功能檢查示輕度阻塞性通氣功能障礙。兩次支氣管鏡檢均見雙側葉、段支氣管普遍肥厚變形,可見多處息肉樣腫物及凹凸不平,易出血,右中葉支氣管完全阻塞,右下葉及左舌葉支氣管明顯狹窄,黏膜充血。於兩側支氣管隆起處取活檢,經剛果紅染色偏光鏡下觀察確診為支氣管澱粉樣變。經抗生素治療症狀減輕,右中葉實變影吸收,部分復張。但右下葉基底段又出現模糊片影。經抗生素及小劑量環磷醯胺治療後症狀完全緩解,右下葉陰影大部分吸收。再次支氣管鏡檢見黏膜肥厚減輕,色蒼白,息肉樣突起略變平,各支氣管開口仍狹窄。診斷為支氣管澱粉樣變合併右中、下葉阻塞性肺炎和右中葉肺不張。
3.肺澱粉樣變肺澱粉樣變迄今已報導160餘例。如前所述,肺澱粉樣變可表現為單結節型(可演變為多結節)、多結
肺澱粉樣變性節型、粟粒型(含融合結節型)或肺間質(肺泡隔)瀰漫型。發病年齡37~95歲(平均65歲)。單結節型已報導47例,多結節型56例;男女之比1.4~1.5∶1。僅25%單結節型和50%多結節型有症狀。主要症狀為咳嗽、無痰或少痰、咯血和活動後氣促。咯血多為間斷小量或痰中帶血。肺功能一般不受損。病變常於胸部X線或CT檢查時偶然被發現。胸片顯示邊界清晰的單個或多個圓形陰影,多位於周圍胸膜下區,直徑1~8cm不等,可有輕度分葉、鈣化和空洞形成,有時難與原發性或轉移性腫瘤區別。預後較好,有病例報導生存期達20年。極少單結節型(2%)和多結節型(7%)合併系統性澱粉樣變。已報導粟粒型或融合結節型32例,男女之比1∶1。本型約90%有症狀,主要為呼吸困難、氣促、咳嗽、咳少量白黏痰和咯血。查體有時肺部可聞乾濕囉音。肺功能檢查可顯示限制性通氣障礙。X線胸片兩肺呈瀰漫性粟粒狀或小結節狀影,亦可呈網狀結節影,可伴肺門淋巴結腫大(淋巴結澱粉樣變)。CT片能更清晰地顯示病變的形態和部位。臨床診斷有一定困難。已報導的病例中約一半為死後屍檢診斷,其餘為經支氣管鏡肺活檢或開胸肺活檢診斷。較常並發肺部感染。此時常有發熱及呼吸心率加快,肺部出現濕囉音或原有乾濕囉音明顯增多,血白細胞可升高,血沉增快。約16%合併系統性澱粉樣變。病變呈慢性進行性,預後較結節型差。肺間質瀰漫型已報導31例,全部病例有症狀。進行性氣促、呼吸窘迫頻數最為突出,其他有咳嗽、咳痰、痰中帶血等。病人反覆並發肺部感染,經常發熱和咳膿痰。查體兩肺可聞爆裂音。後期出現發紺和低氧血症。肺功能檢查多有彌散減低和限制性通氣障礙。胸部X線征與粟粒結節型很難區別,亦呈網狀或網狀結節狀影,有時與肺水腫很相似,常伴肺門縱隔淋巴結腫大,可有單例或雙例少量胸腔積液。高解析度CT有助於提示瀰漫性肺間質和肺泡隔澱粉樣變,除網狀和片狀陰影外,可見小葉間隔增厚,中下葉散在直徑1~4mm邊界清晰的小結節,部分可融合,其內可見鈣化影。診斷主要靠肺活檢病理組織學檢查。已報導的31例中64.5%合併系統性或心臟澱粉樣變。病情進展快,病人多死於呼吸衰竭、繼發感染或全身衰竭。極少數病例呈慢性進行性。生存期約3~5年。有學者觀察到1例兼有肺粟粒結節型及肺泡隔型的系統性澱粉樣變。患者男性,74歲,因進行性呼吸困難、咳嗽、咳痰、食欲不振消瘦入院。3年前患潰瘍性結腸炎,遷延不愈。2年前胸片發現兩下肺紋理增多呈網狀影。查體呼吸急促,30次/min,兩肺呼吸音低,下肺散在濕囉音。血液生化及免疫學檢查未見明顯異常。胸片示雙肺瀰漫性網狀結節狀影,內帶有多個密度極高的小鈣化影,右側少量胸腔積液,心影增大。痰及胸水未查到瘤細胞。經氧療、抗感染及皮質激素並免疫抑制劑治療效果欠佳,呼吸困難及低氧血症進行性加重,病人於3個月後死亡。屍檢發現多臟器受損,肺損害最嚴重。兩肺切面布滿灰色小結節,觸之質硬有砂粒感。組織學顯示結節內含無結構嗜伊紅物質,其中心有鈣化,經剛果紅染色及偏光鏡觀察證實為澱粉樣物。主要侵及肺血管壁及其周圍的肺間質,肺泡隔和胸膜也受累。心、肝、脾、腎上腺、結腸及甲狀腺也有澱粉樣變。
疾病病因
肺澱粉樣變性支氣管肺澱粉樣變的病因尚未完全闡明。目前認為,占本病絕大多數的局灶性氣管支氣管和肺結節性澱粉樣變主要屬A1型,其澱粉樣物主要來源於免疫球蛋白。澱粉樣物在支氣管肺內過度沉積可能與以下因素有關:
1.支氣管相關淋巴組織(BALT)發生異常免疫反應,來自B淋巴細胞的漿細胞在局部呈過度的單克隆增殖和異變,生成結構異常或超出機體清除能力的過量正常免疫球蛋白及碎片,其降解產物形成相應的輕鏈片斷,於支氣管肺組織沉積為澱粉樣物。有作者認為,巨噬細胞是免疫球蛋白多肽前體轉化為澱粉樣結構的重要場所,故澱粉樣變周邊區往往有漿細胞和巨噬細胞浸潤。漿細胞瘤、淋巴瘤並發澱粉樣變的病例報導支持這一理論,臨床尚可見漿細胞瘤或淋巴瘤轉變為澱粉樣瘤(amyloidtumor)的事例。
2.由於肺局部的炎症病變使血管通透性增高,循環血中有關蛋白前體大量從血管漏出,沉積於肺。漿細胞、吞噬細胞的聚集與激活反映了局部的炎症反應。一些病例中支氣管肺澱粉樣物含血清單克隆蛋白支持這一理論。澱粉樣物的生成和沉積似受T淋巴細胞的調控。胸腺發育不良的先天性免疫功能低下者,易發生澱粉樣變。在切除胸腺的動物中誘發澱粉樣變,所需時間明顯短於正常動物。局部T淋巴細胞功能降低和B淋巴細胞功能亢進,pH值降低,有利於澱粉樣物沉積。瀰漫性肺間質或肺泡隔澱粉樣變可源於AL、AA蛋白或甲狀腺素運載蛋白。作為系統性澱粉樣變的表現之一,其病因及發病機制有以下可能:
3.原發性系統性澱粉樣變或合併於多發性骨髓瘤,骨髓漿細胞惡性增生(漿細胞病),導致亞臨床型或臨床多發性骨髓瘤,伴AL原纖維肺內沉積。
4.繼發於慢性感染(結核病、化膿性骨髓炎、麻風病),慢性炎症(類風濕性關節炎、克羅恩病)或惡性腫瘤(霍奇金病、腎癌)等,較為少見。此時血清急性反應蛋白顯著增高,其中血清澱粉樣物相關(SAA)蛋白也持續升高。AA蛋白即是SAA蛋白的降解產物,引起繼發性或炎症相關性澱粉樣變。有報導AA蛋白主要來自受激惹的巨噬細胞,正常人血中有微量存在,分子量約8500,慢性感染及炎症疾病時可大量生成。
5.家族常染色體顯性遺傳性和老年性澱粉樣變,澱粉樣物主要來自血漿甲狀腺素運載蛋白。其結構產生變異,由蛋氨酸取代纈氨酸,因而具有致澱粉樣變原性。甲狀腺素運載蛋白95%來源於肝臟,主要沉積於中樞神經系統、心肌和肺間質。現認為瀰漫性肺間質澱粉樣變主要是循環血有關蛋白前體從血管漏出沉積的結果,部分與炎症所致血管通透性增高有關。漏出的蛋白質片斷降解後與細胞外基質結合,形成澱粉樣物原纖維。患者血中可查到單克隆蛋白前體,病灶區可不伴漿細胞浸潤等,支持這一論點。
診斷檢查
肺澱粉樣變性一旦支氣管肺澱粉樣變確診,還應檢查有無其他器官受累。可根據臨床症狀作骨髓活檢、腹部皮下脂肪活檢、皮膚活檢、直腸黏膜活檢或腎組織活檢等,以確定是否為系統性澱粉樣變。支氣管肺澱粉樣變的檢查順序。如前所述,對本病的疑診主要在於臨床醫師的熟悉程度和警覺性。對患有可能並發澱粉樣變的基礎疾病,無明顯誘因出現活動後氣促、聲嘶、咳嗽或咯血,纖維喉鏡或支氣管鏡見氣道斑片狀肥厚或結節隆起,胸片示肺內孤立結節或網狀結節狀影或反覆肺不張者,應考慮到本病,並積極作有關病理組織學檢查以明確診斷。
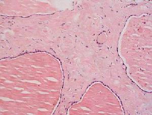
實驗室檢查:澱粉樣原纖維類型的鑑別可採用免疫螢光法和免疫組化法,免疫過氧化酶染色可鑑別澱粉樣物中和漿細胞中的lambda(λ)輕鏈和kappa(κ)輕鏈。套用抗AL、AA蛋白和甲狀腺素運載蛋白單抗可確定多數病人的類型。也可用高錳酸鉀消除剛果紅染色法區別AA蛋白(能被消除)和AL(不能消除)。澱粉樣物化學抽提後行胺基酸測序,能更準確地判定類型。
其他輔助檢查:X線胸片對肺澱粉樣變有重要提示作用,可顯示病變的程度和類型,支氣管鏡檢查則可直觀氣管支氣管樹的形態改變並取活檢。肺部有病變者也應行此項檢查以確定是否並存氣道損害。肺部高解析度CT和支氣管成像術能更清晰地顯示病變部位和細節。肺功能和血氣檢查只起輔助作用,大部分病人結果在正常範圍。澱粉樣物沉積是形態學的改變,故病理組織學檢查是診斷本病的金標準。獲取足夠的到位的標本是組織學檢查的關鍵。喉、氣管支氣管標本可不止1次或多處採取,以提高陽性率。對瀰漫性肺病變可行經支氣管鏡肺活檢(TBLB),對肺周邊較大結節型可在X線或超聲引導下行經胸壁肺活檢。近年開展的經胸腔鏡電視引導下胸膜及肺活檢,可清晰觀察鄰近胸膜的病灶,採取較大塊的組織標本,損傷及併發症較開胸肺活檢少,但需一定的設備及操作技巧,且費用昂貴。開胸肺活檢可取得最可靠的標本,一般在以上檢查不能確定診斷時施行。一旦支氣管肺澱粉樣變確診,還應檢查有無其他器官受累。可根據臨床症狀作骨髓活檢、腹部皮下脂肪活檢、皮膚活檢、直腸黏膜活檢或腎組織活檢等,以確定是否為系統性澱粉樣變。
鑑別診斷
診斷喉澱粉樣變須與喉部良、惡性腫瘤和喉返神經麻痹鑑別。二者均有聲音嘶啞症狀,但與本病鑑別並不困難。喉部腫瘤可經活檢病理組織學證實。喉返神經麻痹則無局部黏膜肥厚或息肉樣改變,間接喉鏡和纖維喉鏡可見一側聲帶麻痹,不能閉合。胸片可顯示縱隔淋巴結腫大,導致喉返神經受壓,多因肺癌淋巴結轉移所致。氣管支氣管澱粉樣變應與支氣管結核及腫瘤鑑別。支氣管結核常伴肺結核,多有刺激性咳嗽、發熱、盜汗等結核中毒症狀,支氣管鏡下可見黏膜充血、乾酪樣壞死或潰瘍形成,與本病黏膜完整蒼白完全不同。刷檢或灌洗液中可查到抗酸桿菌。支氣管癌病情進展快,較早出現阻塞症狀,支氣管鏡下黏膜腫塊明顯,可伴上皮損傷、出血、糜爛或呈菜花樣,可覆白苔樣壞死物。以上表現可資與本病鑑別。最後診斷有賴於病理組織學檢查結果。肺結節型澱粉樣變應與肺良、惡性腫瘤或轉移癌鑑別。肺瀰漫性粟粒型或肺泡隔型澱粉樣變則與肺間質纖維化、結節病、過敏性肺泡炎等瀰漫性間質病及含鐵血黃素沉積症、肺泡微結石症等沉積性疾病鑑別。對此需採用各種必要的活檢手段,積極獲取標本,經病理學檢查明確診斷。
治療方案
肺澱粉樣變性的治療相關詞條
呼吸內科疾病
| 研究範圍及進展呼吸內科是研究呼吸系統疾病的學科。它是既古老又年輕的學科,說它古老是因為,自從人類認識疾病以來,呼吸系統疾病就一直是危害人類健康的常見病和多發病,八十年代中期的統計資料表明,呼吸系統疾病仍然是導致死亡的主要疾病。在死亡的順序上排列第二。現在我們來認識一下這些可怕的疾病吧? |
