概述
鏡下觀察肺隱球菌肺隱球菌病(pulmonarycryptococcosis)為新型隱球菌感染引起的亞急性或慢性內臟真菌病。主要侵犯肺和中樞神經系統,但也可以侵犯骨骼、皮膚、黏膜和其他臟器。隱球菌病是由隱球菌屬中的新生隱球菌引起的一種亞急性或慢性深部真菌病。可侵犯人體的皮膚、肺部、骨骼等全身各臟器,但以侵犯中樞神經系統最常見,約占隱球菌感染的80%。青壯年多見,男多於女。預後嚴重,病死亡率高。隱球菌病是由隱球菌屬中的新生隱球菌引起的一種亞急性或慢性深部真菌病。可侵犯人體的皮膚、肺部、骨骼等全身各臟器,但以侵犯中樞神經系統最常見,約占隱球菌感染的80%。預後嚴重,病死亡率高。近年來由於愛滋病的出現和蔓延,隱球菌感染的發生呈明顯上升的趨勢。
體徵
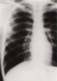
肺隱球菌病X片肺部隱球菌感染的初期,多數病人可無症狀。少數病人出現低熱、輕咳,咳黏液痰,偶有胸膜炎症狀。在愛滋病人中隱球菌感染經常是廣泛播散的。在免疫功能重度受損的病人中可以發生急性呼吸窘迫綜合徵(ARDS)。X線表現為多形性,輕者僅表現為雙肺下部紋理增加或孤立的結節狀陰影,偶有空洞形成。急性間質性炎症可表現為瀰漫性浸潤或粟粒樣病灶。需與肺結核、原發或轉移性肺癌鑑別。John.R.Perfect的經驗是隱球菌感染時,X線表現可以是在任何一個肺葉,任何類型的浸潤、結節或滲出都可以發生。近年來在同時有愛滋病毒(HIV)感染的病人中更常見的表現有酷似卡氏肺囊蟲感染的間質浸潤。由於肺部隱球菌感染可以與肺部其他疾病過程重複出現,所以X線更無典型特徵。
病因
免疫功能低下為隱球菌發病的重要誘因。環境中的直徑小於10μm,像煙霧大小的隱球菌經呼吸道吸入人體,一旦其沉積在呼吸道中,在較高的二氧化碳濃度的影響下,形成明顯的多糖莢膜保護層以拮抗宿主的防禦機制。在肺組織內形成最初的感染灶,可引起肺門淋巴結腫大,也可以在胸膜下形成小結節,酷似結核分枝桿菌感染。多數健康人感染可以自愈或病變局限於肺部。在免疫功能受損的病人,隱球菌能夠進展活動,引起肺炎並經血行播散至全身。由於新型隱球菌對腦膜和腦實質有親和性,所以中樞神經系統是最常見的受累部位,其他少見的受侵部位有皮膚、骨骼、前列腺、肝、心、眼等。特徵為輕微的炎症反應。早期組織內有大量隱球菌成膠樣團塊,中性粒細胞減少、不化膿,僅有少數淋巴細胞和組織細胞浸潤。晚期病變為肉芽腫,肺部病變偶有乾酪樣壞死和空洞形成。本菌通常經呼吸道進入人體。肺是感染的首發部位。正常人吸入隱球菌後,引起肺內感染,病變多僅局限於肺部,很少出現症狀,常有自愈傾向。若因過度勞累或有免疫缺損的慢性病患者(如晚期惡性腫瘤、白血病、長期接受大劑量激素、廣譜抗生素及抗癌藥等治療),吸入真菌後在肺內形成病灶,可經血行播散至全身,且多侵入中樞神經系統。
診斷
肺隱球菌病肺部隱球菌病可單獨存在,或與其他部位的隱球菌病同時發生。約1/3病例無任何症狀,常有胸部X線檢查中被發現,有時誤診為肺癌。多數患者可有輕度咳嗽、咳少量粘液痰或血痰、胸痛、低熱、乏力及體重減輕等。少數病例呈急性肺炎表現,偶有胸痛或肺實變和胸腔積液的體徵。當並發腦脊髓膜炎時,則症狀明顯而嚴重。常有中等度發熱,偶可高熱達40C,並出現腦膜腦炎的症狀和體徵。X線表現:病變以雙側中下肺部為多見,亦可為單側或局限於一肺葉。可呈孤立的大球形灶或數個結節狀病灶,周圍無明顯反應,類似腫瘤;或為瀰漫性粟粒狀陰影;或呈片狀浸潤陰影。約10%患者有空洞形成。
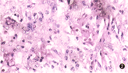
當肺部或中樞神經系統感染被懷疑為隱球菌所致時,常規的方法是按標準方法留取痰或腦脊液,經離心沉澱後置於玻片上,加1滴細墨汁染色,覆蓋蓋玻片,在顯微鏡下可以找到直徑4~20μm的圓形厚壁孢子,內有大小不等的反光顆粒,外有寬闊折光的莢膜。有時可見出芽現象。所有患隱球菌肺炎的病人都應做腰穿以除外腦膜炎。從患者的腦脊液、痰、支氣管灌洗液、血、胸水等標本中培養出新型隱球菌一般需要4~7天時間。國外最近開展的檢查方法有:用六甲烯四胺銀、schiff過碘酸染色均可證實有莢膜的隱球菌的存在。另一種方法是用乳膠凝集抗原試驗查出血循環或腦脊液中的新型隱球菌的莢膜多糖抗原。當病變局限於肺內時,此試驗結果為陰性,如此試驗結果陽性時,則提示新型隱球菌的感染已經播散了。但此試驗偶有假陽性結果。
實驗室檢查:血白細胞計數和中性粒細胞輕度和中度增高,中晚期病例可有貧血。血沉增快。
其他輔助檢查:X線表現可以是在任何一個肺葉,任何類型的浸潤、結節或滲出都可以發生。近年來在同時有HIV感染的病人中更常見的表現有酷似卡氏肺囊蟲感染的間質浸潤。由於肺部隱球菌感染可以與肺部其他疾病過程重複出現,所以X線更無典型特徵。
鑑別
肺結核與肺結核鑑別 肺結核多見外源性繼髮型肺結核,即反覆結核菌感染後所引起。少數是體內潛伏的結核菌,在機體抵抗力下降時進行繁殖,而發為內源性結核,也有由原發病灶形成者。此型多見於成年人,病灶多在鎖骨上下,呈片狀或絮狀,邊界模糊,病灶可呈乾酪樣壞死灶,引發較重的毒性症狀,而成乾酪性(結核性)肺炎,壞死灶被纖維包裹後形成結核球。經過適當治療的病灶,炎症吸收消散,遺留小乾酪灶,鈣化後殘留小結節病灶,呈現纖維硬結病灶或臨床痊癒。有空洞者,也可經治療吸收縮小或閉合,有不閉合者,也無存活的病菌,稱為“空洞開放癒合”。
與原發或轉移性肺癌鑑別 肺癌是常見的惡性腫瘤之一,近數十年肺癌的發病率和死亡率都有明顯增高的趨勢。肺癌的早期診斷是提高治療效果的有效途徑,影像學和痰液脫落細胞學的進展,對肺癌的早期診斷提供了有利條件。病因:肺癌的病因複雜,迄今尚不能確定某一致癌因子,一般認為可能與下列因素有關:1.吸菸:吸紙菸者肺癌死亡率比不吸菸者高10倍-13倍。2.物理化學致癌因子:如無機砷、石棉、鉻、鎳、焦油、煙炱和煤的其他燃燒物等。3.大氣污染。4.與某些癌基因的活化及抗癌的基因的丟失有密切關係。5.慢性肺疾患:肺結核、慢性支氣管炎。
治療
伊曲康唑對於單純有呼吸道隱球菌寄生的慢阻肺病人,當沒有肺部受侵犯的證據時應定期隨訪。對胸片有肺實質受侵犯,呼吸道分泌物培養中分離出新型隱球菌的病人應給予積極的治療,防止發生血源性播散。對於免疫功能低下的病人因病變極易由肺播散到中樞神經系統所以既使其腦脊液檢查還是陰性結果,亦應極早開始系統治療。治療中以兩性黴素B作為首選藥物,單用兩性黴素B時從小劑量開始每天0.1~0.25mg/kg,逐漸增加至每天1mg/kg,加入5%葡萄糖液中,滴注時間不少於6~8h,一個療程總劑量為1~2g。國外學者統計在愛滋病病人中有7%的人並發新型隱球菌的感染,在治療中多採用積極的抗真菌治療。選擇兩性黴素B和氟胞嘧啶(5-氟胞嘧啶)的聯合套用。兩性黴素B:0.3mg/(kg?d),氟胞嘧啶(5-氟胞嘧啶)100mg/(kg?d)(分四次口服)。平均4~6周即可見到臨床效果。對於兩性黴素B的肝、腎毒性及可能引發的血管炎,氟胞嘧啶(5-氟胞嘧啶)引起的骨髓抑制和腹瀉造成的電解質紊亂,應給予認真的監測。出現毒副反應的病人應被減少藥物劑量。對於不能耐受兩性黴素B和氟胞嘧啶(5-氟胞嘧啶)的病人,推薦選用靜脈滴注氟康唑(大扶康),首日劑量400mg,以後每天200mg。其可有效的進入腦脊液。對臨床症狀較輕而有隱球菌感染證據的病人可以採用口服氟康唑或伊曲康唑。因伊曲康唑在腦脊液內濃度較低,一般作為維持治療,每天400mg用藥1~47個月(平均12個月),復發率為13%。用藥時間長短取決於隱球菌培養及血清莢膜多糖抗原的陰轉情況。單一肺部結節病灶的隱球菌感染,是否行外科手術切除目前還有爭議。多數意見贊成抗真菌藥物治療,因為除了少數單一結節外科手術治療有效,多數病例不可能完全切除肺部隱球菌結節或團塊以控制感染。個別病人因胸膜滲出需作引流。其餘絕大多數病人藥物治療就可以達到治療目的。
預防
預防肺隱球菌病本病呈世界性分布,國內20個省、市、自治區均有病例報告,多見於40歲以上年齡組。60%發生在免疫抑制患者,愛滋病(AIDS)患者特別易患。
預後:該病原菌主要侵犯中樞神經,對腦膜和腦組織有親和性,故腦隱球菌病80%以上,死亡率最高。
預防:主要措施:
1.長期大量抗生素的套用,可引起機體菌群失調;腎上腺皮質激素濫用,可抑制機體的免疫反應。這些都為隱球菌的感染和擴散創造了條件。因此,應嚴格上述藥物的使用指標,杜絕濫用。對於長期套用抗生素或腎上腺皮質激素的病例,若病情未見好轉或惡化者,應考慮有隱球菌感染的可能,及時病原學檢查。
2.隱球菌病多繼發於其他疾病,原發性較少見。對惡性腫瘤、慢性消耗性疾病、結締組織疾病和器官移植的病例,一旦發生可疑隱球菌感染,應立即查清病原,及時予以治療,而且用藥時間應適當延長。
3.注意衛生保健,忌食腐爛變質的梨、桃等瓜果,防止鴿糞、鼠糞污染環境。
相關條目
呼吸內科疾病
| 研究範圍及進展呼吸內科是研究呼吸系統疾病的學科。它是既古老又年輕的學科,說它古老是因為,自從人類認識疾病以來,呼吸系統疾病就一直是危害人類健康的常見病和多發病,八十年代中期的統計資料表明,呼吸系統疾病仍然是導致死亡的主要疾病。在死亡的順序上排列第二。現在我們來認識一下這些可怕的疾病吧? |
