疾病簡介
慢性支氣管炎(chronic bronchitis)是氣管、支氣管黏膜及其周圍組織的
慢性支氣管炎慢性非特異性炎症。臨床上以咳嗽、咳痰或伴有氣喘等反覆發作為主要症狀,每年持續3個月,連續2年以上。早期症狀輕微,多於冬季發作,春夏緩解。晚期因炎症加重,症狀可常年存在。其病理學特點為支氣管腺體增生和黏膜分泌增多。病情呈緩慢進行性進展,常並發阻塞性肺氣腫,嚴重者常發生肺動脈高壓,甚至肺源性心臟病。
本病為一常見多發病,根據中國70年代全國6千多萬人的普查,患病率為3.82%。隨著年齡增長,患病率遞增,50歲以上的患病率高達15%或更多。本病流行與吸菸、地區和環境衛生等有密切關係。吸菸者患病率遠高於不吸菸者。北方氣候寒冷患病率高於南方。工礦地區大氣污染嚴重,患病率高於一般城市。日常的調理必須注重,每天兩杯古方甘貝草茶能幫助支氣管炎的日常養護。
發病原因
病因尚未完全清楚,一般將病因主要分為外因和內因兩個方面。
外因
1、吸菸:國內外研究均證明。吸菸時間愈長,煙量愈大,患病率也愈高。戒菸後可使症狀減輕或消失,病情緩解,甚至痊癒。
2、感染因素:感染是慢性支氣管炎發生髮展的重要因素,主要為病毒和細菌感染,鼻病毒、粘液病毒、腺病毒和呼吸道合胞病毒為多見。在病毒或病毒與支原體混合感染損傷氣道黏膜的基礎上可繼發細菌感染。從痰培養結果發現,以流感嗜血桿菌、肺炎球菌、甲型鏈球菌及奈瑟球菌四種為最多見。感染雖與慢性支氣管炎的發病有密切關係,但目前尚無足夠證據說明為其首發病因。只認為是慢性支氣管炎的繼發感染和加劇病變發展的重要因素。
3、理化因素:如刺激性煙霧、粉塵、大氣污染(如二氧化硫、二氧化氮、氯氣、臭氧等)的慢性刺激,常為慢性支氣管炎的誘發因素之一。接觸工業刺激性粉塵和有害氣體的工人,慢性支氣管炎患病率遠較不接觸者為高,故大氣污染也是本病重要誘發病因。
4、氣候:寒冷常為慢性支氣管炎發作的重要原因和誘因,慢性支氣管炎發病及急性加重常見於冬天寒冷季節,尤其是在氣候突然變化時。寒冷空氣刺激呼吸道,除減弱上呼吸道黏膜的防禦功能外,還能通過反射引起支氣管平滑肌收縮、黏膜血液循環障礙和分泌物排出困難等,有利於繼發感染。
5、過敏因素:據調查,喘息性支氣管炎往往有過敏史。在患者痰液中嗜酸粒細胞數量與組胺含量都有增高傾向,說明部分患者與過敏因素有關。塵埃、塵蟎、細菌、真菌、寄生蟲、花粉以及化學氣體等,都可以成為過敏因素而致病。
內因
1、呼吸道局部防禦及免疫功能減低:正常人呼吸道具有完善的防禦功能,對吸入空氣具有過濾、加溫和濕潤的作用;氣管、支氣管黏膜的粘液纖毛運動,以及咳嗽反射等,能淨化或排除異物和過多的分泌物;細支氣管和肺泡中還分泌免疫球蛋白(IgA),有抗病毒和細菌作用,因此,在正常情況下,下呼吸道始終保持無菌狀態。全身或呼吸道局部的防禦及免疫功能減弱,可為慢性支氣管炎發病提供內在的條件。老年人常因呼吸道的免疫功能減退,免疫球蛋白的減少,呼吸道防禦功能退化,單核——吞噬細胞系統功能衰退等,致患病率較高。
2、植物神經功能失調:當呼吸道副交感神經反應增高時,對正常人不起作用的微弱刺激,可引起支氣管收縮痙攣,分泌物增多,而產生咳嗽、咳痰、氣喘等症狀。
綜合上述因素,當機體抵抗力減弱時,氣道在不同程度敏感性(易感性)的基礎上,有一種或多種外因的存在,長期反覆作用,可發展成為慢性支氣管炎。如長期吸菸損害呼吸道黏膜,加上微生物的反覆感染,可發生慢性支氣管炎,甚至發展成慢性阻塞性肺氣腫或慢性肺心病。
其他因素
慢性支氣管炎的病因極為複雜,迄今尚有許多因素還不夠明了。近年來認為,有關因素如下。
1、大氣污染:化學氣體如氯、氧化氮、二氧化硫等煙霧,對支氣管黏膜有刺激和細胞毒性作用。空氣中的煙塵或二氧化硫超過1000µg/m3時,慢性支氣管炎的急性發作就顯著增多。其他粉塵如二氧化矽、煤塵、棉屑、蔗塵等也刺激支氣管黏膜,並引起肺纖維組織增生,使肺清除功能遭受損害,為細菌入侵創造條件。
2、吸菸:現今公認吸菸為慢性支氣管炎最主要的發病因素,吸菸能使支氣管上皮纖毛變短,不規則,纖毛運動發生障礙,降低局部抵抗力,削弱肺泡吞噬細胞的吞噬、滅菌作用,又能引起支氣管痙攣,增加氣道阻力。上海市防治慢性氣管炎協作組於1972年普查了339名50歲以上者,其中吸菸者慢性支氣管炎的患病率為不吸菸的2倍,前者為20.9%,後者為9.7%。另用配對方法以慢性支氣管炎患者和正常人各303名作吸菸習慣對比調查,慢性支氣管炎組吸菸的人數非常顯著地高於正常對照組。
3、感染:是慢性支氣管炎發病和加劇的另一個重要因素。據國內外研究,目前認為、和莫拉卡他菌可能為本病急性發作的最主要病原菌。病毒對本病的發生和發展起重要作用。在慢性支氣管炎急性發作期分離出的病毒有鼻病毒、乙型流感病毒、副流感病毒、粘液病毒、腺病毒、呼吸道合胞病毒等。病毒感染造成呼吸道上皮損害,有利於細菌感染,引起本病的發生和反覆發作。肺炎支原體與慢性支氣管炎發病的直接關係,至今不明。
4、過敏因素:過敏因素與慢性支氣管炎的發病有一定關係,初步看來,細菌致敏是引起慢性支氣管炎速髮型和遲髮型變態反應的一個原因。尤其是喘息型慢性支氣管炎患者,有過敏史的較多,對多種抗原激發的皮膚試驗陽性率高於對照組,痰內組胺和嗜酸粒細胞有增高傾向;另一些患者血清中類風濕因子高於正常組,並發現重症慢性支氣管炎患者肺組織內IgG含量增加,提示與Ⅲ型變態反應也有一定關係。變態反應使支氣管收縮或痙攣、組織損害和炎症反應,繼而發生慢性支氣管炎。
5、機體本身因素:暴露在同樣環境中的人群並非人人患病,說明內在因素在發病過程中起重要作用。
(1)自主神經功能失調 副交感神經功能亢進,出血氣道高反應性,是慢支喘息型的內因,也是支氣管哮喘的重要發病因素。
(2)呼吸道防禦功能下降 老年人生理功能老化,局部防禦功能減弱,受到外界刺激時容易引起病變。
(3)營養因素 營養不良可引起機體抵抗力下降,同等條件下,易罹患慢支。
(4)遺傳因素 遺傳可能在慢支發病中起一定的作用,如先天性IgA 分泌不足,抗胰蛋白酶缺乏等,均是慢支的易發原因。
病理生理
慢性支氣管炎的主要病理變化如下。
1、腺體增生肥大,分泌功能亢進慢性支氣管炎粘液腺泡明顯增多,腺管擴張,漿液腺和混合腺體相應減少,有的腺體幾乎全為粘液腺體所占據。杯狀細胞也明顯增生,慢性支氣管炎的Reid指數(腺體厚度與支氣管壁厚度之比)增至0.55~0.79以上(正常為0.4以下),Reid指數越大,提示炎症越嚴重,腺體越肥大而支氣管腔越狹小。增生肥大的腺體分泌機能亢進,粘液分泌量增多,因此患者每日痰量增多。
2、黏膜上皮細胞的變化由於炎症反覆發作,引起上皮局灶性壞死和鱗狀上皮化生,纖毛上皮細胞有不等程度損壞,纖毛變短,參差不齊或稀疏脫落。
3、支氣管壁的改變支氣管壁有各種炎性細胞浸潤、充血、水腫和纖維增生。支氣管黏膜發生潰瘍,肉芽組織增生,嚴重者支氣管平滑肌和彈性纖維也遭破壞以致機化,引起管腔狹窄。少數可見支氣管的軟骨萎縮變性,部分被結締組織所取代。管腔內可發現粘液栓。因黏膜腫脹或粘液瀦留而阻塞,局部管壁易塌陷、扭曲變形或擴張。
4、電鏡檢查慢性支氣管炎病例的肺泡壁可見如下變化:
① Ⅰ型肺泡上皮細胞腫脹變厚,其中線粒體腫脹,內質網擴張呈空泡狀,Ⅱ型肺泡上皮細胞增生。
② 毛細血管基底膜增厚,內皮細胞損傷,血栓形成和管腔纖維化、閉塞。
③ 肺泡壁纖維組織瀰漫性增生。這些變化在並發肺氣腫和肺源性心臟病者尤為顯著。
5、呼吸功能變化:慢性支氣管炎早期病變主要在內徑<2mm的小氣道,臨床症狀不明顯,常規肺功能測驗大多正常,但閉合氣量測驗可見增大。當炎症蔓延至較大的支氣管,在急性加重期,氣道狹窄,阻力增加,常規通氣功能測驗如最大通氣量、1秒鐘呼氣量、最大呼氣中段流速均輕度減低。殘氣量輕度增加,但肺活量正常。在緩解期,肺功能變化均可恢復正常。並發阻塞性肺氣腫後,呼吸功能的損害則大都不可逆轉。
患者因支氣管黏膜受炎症的刺激及分泌的粘液增多而出現咳嗽、咳痰的症狀。痰液一般為白色粘液泡沫狀,在急性發作期,咳嗽加劇,並出現粘液膿性或膿性痰。支氣管的痙攣或狹窄及粘液和滲出物阻塞管腔常致喘息。雙肺聽診可聞及哮鳴音,乾、濕性囉音。某些患者可因支氣管黏膜和腺體萎縮(慢性萎縮性氣管炎),分泌物減少而痰量減少或無痰。小氣道的狹窄和阻塞可致阻塞性通氣障礙,此時呼氣阻力的增加大於吸氣,久之,使肺過度充氣,肺殘氣量明顯增多而並發肺氣腫。
臨床表現
部分患者在起病前有急性支氣管炎、流感或肺炎等急性呼吸道感染史。
慢性支氣管炎常在寒冷季節發病,出現咳嗽、咯痰,尤以晨起為著,痰呈白色粘液泡沫狀,粘稠不易咳出。在急性呼吸道感染時,症狀迅速加劇。痰量增多,粘稠度增加或為黃色膿性,偶有痰中帶血。慢性支氣管炎反覆發作後,支氣管黏膜的迷走神經感受器反應性增高,副交感神經功能亢進,可出現過敏現象而發生喘息。隨著病情發展,終年咳嗽,咳痰不停,冬秋加劇。喘息型支氣管炎患者在症狀加劇或繼發感染時,常有哮喘樣發作,氣急不能平臥。呼吸困難一般不明顯,但並發肺氣腫後,隨著肺氣腫程度增加,則呼吸困難逐漸增劇。
體徵
本病早期多無體徵。有時在肺底部可聽到濕和乾羅音。喘息型支氣管炎在咳嗽或深吸氣後可聽到哮鳴音,發作時,有廣泛哮鳴音。長期發作的病例可有肺氣腫的體徵。
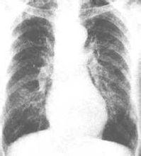
X線徵象
單純型慢性支氣管炎,X線檢查陽性,或僅見兩肺下部紋理增粗,或呈索條狀,這是支氣管壁纖維組織增生變厚的徵象。若合併支氣管周圍炎,可有斑點陰影重疊其上。支氣管碘油造影,常可見到支氣管變形,有的狹窄,有的呈柱狀擴張,有的由於痰液瀦留,呈截斷狀。由於周圍瘢痕組織收縮,支氣管可併攏呈束狀。有時可見支氣管壁有小憩室,為粘液腺開口擴張的表現。臨床上為明確診斷,透視或攝平片即可滿足要求。支氣管碘油造影只用於特殊研究,不作常規檢查。
檢查
1.X線檢查早期可無異常。反覆發作引起支氣管壁增厚,細支氣管或肺泡間質炎症細胞浸潤或纖維化,表現為肺紋理增粗、紊亂,呈網狀或條索狀、斑點狀陰影,以雙下肺野明顯。2.呼吸功能檢查早期無異常。如有小氣道阻塞時,最大呼氣流速-容量曲線在75%和50%肺容量時,流量明顯降低。3.血液檢查細菌感染時偶可出現白細胞總數和/或中性粒細胞增高。4.痰液檢查可培養出致病菌。塗片可發現革蘭陽性菌或革蘭陰性菌,或大量破壞的白細胞和已破壞的杯狀細胞。
併發症
1、阻塞性肺氣腫(為慢性支氣管炎最常見的併發症,參閱“阻塞性肺氣腫”)
慢性支氣管炎為阻塞性肺氣腫的基礎性疾病,而阻塞性肺氣腫又為慢性支氣管炎的最常見的併發症,兩者關係密切,阻塞性肺氣腫在功能代償期間雖有肺動脈高壓及右心肥大,但無心力衰竭表現,若進一步加重會並發肺心病,誘發心力衰竭。
2、支氣管肺炎
慢性支氣管炎蔓延至支氣管周圍肺組織中就發生支氣管肺炎,這時患者有寒戰、發熱、咳嗽增劇,痰量增加且呈膿性等症狀,化驗檢查可見血白血球總數及其中性白細胞升高,X線檢查兩下肺野有斑點或小片狀陰影。
3、支氣管擴張慢性支氣管炎反覆發作,支氣管黏膜充血,水腫,形成潰瘍,管壁纖維增生,管腔或多或少變形,擴張或狹窄。擴張部分多呈柱狀變化。
診斷鑑別
診斷依據
診斷主要依靠病史和症狀。在排除其他心、肺疾患(如肺結核、塵肺、支氣管哮喘、支氣管擴張、肺癌、心臟病、心功能不全等)後,臨床上凡有慢性或反覆的咳嗽,咯痰或伴喘息,每年發病至少持續3個月,並連續兩年或以上者,診斷即可成立。如每年發病持續不足三個月,而有明確的客觀檢查依據(如X線、肺功能等)亦可診斷。
根據臨床表現,將慢性支氣管炎分為單純型與喘息型兩型。前者主要表現為反覆咳嗽、咯痰;後者除咳嗽、咯痰外尚有喘息症狀,並伴有哮鳴音。
根據病程經過可分為三期,以使治療有所側重。
(一)急性發作期指在1周內出現膿性或粘液膿性痰,痰量明顯增加,或伴有發熱等炎症表現,或1周內“咳”、“痰”或“喘”任何一項症狀顯著加劇,或重症病人明顯加重者。
(二)慢性遷延期指有不同程度的“咳”、“痰”、“喘”症狀,遷延到1個月以上者。
(三)臨床緩解期經治療或自然緩解,症狀基本消失或偶有輕微咳嗽和少量痰液,保持2個月以上者。
鑑別診斷
1、肺結核
活動性肺結核常伴有低熱、乏力、盜汗、咯血等症狀;咳嗽和咯痰的程度與肺結核的活動性有關。X線檢查可發現肺部病灶,痰結核菌檢查陽性,老年肺結核的毒性症狀不明顯,常因慢性支氣管炎症狀的掩蓋,長期未被發現,應特別注意。
2、支氣管哮喘
起病年齡較輕,常有個人或家族過敏性病史;氣管和支氣管對各種刺激的反應性增高,表現為廣泛的支氣管痙攣和管腔狹窄,臨床上有陣發性呼吸困難和咳嗽,發作短暫或持續。胸部叩診有過清音,聽診有呼氣延長伴高音調的哮鳴音。晚期常並發慢性支氣管炎。哮嗜酸粒細胞在支氣管哮喘患者的痰中較多,而喘息型支氣管炎患者的痰中較少。
3、支氣管擴張
多發生於兒童或青年期,常繼發於麻疹、肺炎或百日咳後,有反覆大量膿痰和咯血症狀。兩肺下部可聽到濕羅音。胸部X線檢查兩肺下部支氣管陰影增深,病變嚴重者可見捲髮狀陰影。支氣管碘油造影示柱狀或囊狀支氣管擴張。
4、心臟病
由於肺鬱血而引起的咳嗽,常為乾咳,痰量不多。詳細詢問病史可發現有心悸、氣急、下肢浮腫等心臟病徵象。體徵、X線和心電圖檢查均有助於鑑別。
5、肺癌
多發生在40歲以上男性,長期吸菸者,常有痰中帶血,刺激性咳嗽。胸部X線檢查肺部有塊影或阻塞性肺炎。痰脫落細胞或纖維支氣管鏡檢查可明確診斷。
檢查檢驗
1.白細胞分類計數 緩解期患者白細胞總數及區別計數多正常,急性發作期並發細菌感染時白細胞總數和中性粒細胞可升高,合併哮喘的患者血嗜酸性粒細胞可增多。
2.痰液檢查 急性發作期痰液外觀多呈膿性,塗片檢查可見大量中性粒細胞,合併哮喘者可見較多的嗜酸性粒細胞,痰培養可見肺炎鏈球菌流感嗜血桿菌及卡他摩拉菌等生長。
3.X線檢查 早期可無明顯改變,反覆急性發作者可見兩肺紋理增粗紊亂呈網狀或條索狀及斑點狀陰影,以下肺野為明顯,此系由於支氣管管壁增厚、細支氣管或肺泡間質炎症細胞浸潤或纖維化所致。
4.肺功能檢查一秒用力呼氣量和一秒用力呼出量/用力肺活量比值早期多無明顯變化當出現氣流受阻時第1秒用力呼氣容積(FEV 1)和FEV 1與肺活量(VC)或用力肺活量(FVC)的比值則減少(<70%)當小氣道阻塞時最大呼氣流速-容量曲線在75%和50%肺容量時的流量可明顯降低閉合容積可增大。
治療
1.急性加重期的治療(1)控制感染抗菌藥物治療可選用喹諾酮類、大環類酯類、β內醯胺類口服,病情嚴重時靜脈給藥。如左氧氟沙星,阿奇黴素,如果能培養出致病菌,可按藥敏試驗選用抗菌藥。(2)鎮咳祛痰可試用複方甘草合劑,也可加用祛痰藥溴己新,鹽酸氨溴索,桃金孃油,乾咳為主者可用鎮咳藥物,如右美沙芬等。(3)平喘有氣喘者可加用解痙平喘藥,如氨茶鹼,或用茶鹼控釋劑,或長效β2激動劑加糖皮質激素吸入。2.緩解期治療(1)戒菸,避免有害氣體和其他有害顆粒的吸入。(2)增強體質,預防感冒,也是防治慢性支氣管炎的主要內容之一。(3)增加室內負氧離子濃度,負氧離子能有效加強氣管黏膜上皮的纖毛運動,影響上皮絨毛內呼吸酶的活性,改善肺泡的分泌功能及肺的通氣和換氣功能,從而具有緩解支氣管痙攣、增加肺活量、調整呼吸頻率、鎮咳等功效,對哮喘、支氣管炎、兒童百日咳等疾病有良好效果。
預防
部分患者可控制,不影響工作、學習;部分患者可發展成阻塞性肺疾病,甚至肺心病,預後不良。應監測慢性支氣管炎的肺功能變化,以便及時選擇有效的治療方案,控制病情的發展。
茶療養生
茶療始於神農氏,《神農本草經》作為迄今為止最早的一部醫學著作記載到:“神農嘗百草,
日遇七十二毒得茶而解之。”這是中國對茶療的最早記載,當然,這裡所說的茶並不是我們現在所說的紅茶、綠茶,而是藥茶合一的中藥茶。
茶葉能有這些功效與主治,一般系從氣味厚薄、天人合一、升降、歸經等理論加以闡述。如《本草綱目》解釋茶的藥理作用說:“機曰:頭目不清,熱熏上也。以苦泄其熱,則上清矣。且茶體輕浮,採摘之時,芽櫱初萌,正得春升之氣。味雖苦而氣則薄,乃明中之陽,可升可降。
公元992年,由宋代朝廷組織有關名家編著的大型方書《太平聖惠方》正式刊行,其書97卷中就有藥茶諸方一節,收藥茶方劑8首,公元1078年,由宋代太醫局編成的《和濟局方》中也有藥茶的專篇介紹,其中的“川芎茶調散”一方可稱得上是較早出現的成品藥茶。宋政和年間撰成的大型方書《聖濟總錄》中載有大量的民間經驗方,也有套用藥茶的經驗。
公元1307年,元代鄒鉉增編的《壽老養親新書》中載有防治老年病的藥茶方2首,一是槐茶方,二是蒼耳茶。元代飲膳太醫忽思慧在《飲膳正要》中較為集中地記載了各地多種藥茶的製作、功效和主治等。元代紗圖穆蘇撰著的《瑞竹堂經驗方》一書中載有治痰喘病的藥茶方。
現在茶療因這現代的科學技術得到了更加長足的發展,就拿支氣管炎,咳嗽,慢性支氣管炎來說,茶療對此的幫助就更大了。
現代養生茶療比較不錯的推薦古方甘貝草茶,採用各種天然草本為主要原料精配而成。它的營養價值很高,有補中氣,清肺熱的功效。對慢性支氣管炎有很大的藥用價值。
甘貝草茶所含的羅漢果、紫蘇籽、桔紅等成分,皆是即可作為食物也能作為藥物的物品。它們不比藥物那么藥效強,也就是人們常說的“藥勁大”。藥物治療在用藥正確時,效果突出,而用藥不當時,容易出現較明顯的副作用;而根據“藥食同源”理論為基礎的古方茶療——甘貝草茶的治療效果雖不及藥物那樣突出和迅速,但不可忽視的是,藥物雖然作用強但一般不會經常吃,食物雖然作用弱但天天都離不了。我們的日常飲食,除供應必需的營養物質外,還會因食物的性能作用或多或少的對身體平衡和生理功能產生有利或不利的影響,日積月累,從量變到質變,這種影響作用就變得非常明顯。從這個意義上講,它們並不亞於藥物的作用。因此正確合理地飲用古方茶療,堅持下去,會起到藥物所不能達到的效果。
中醫辨證
本證
1、 肺氣虛
證候:
①主症:病發時常以咳為主,咳聲清朗,多為單咳或間歇咳.白天多於夜晚,痰量不多。舌質正常或稍淡,舌苔薄白。脈弦細或緩細。
②次症;易汗、惡風、易感冒。
辨析:
①辨證:以時常咳喘、易汗、易感冒、舌質淡.脈緩弦或緩細為主要辨證要點。臨症時尚與表證區別或注意有無兼雜表證。
②病機:肺主皮毛,肺氣虛弱則衛外不固,故易感冒,自汗、惡風、舌淡苔白、脈弦細或緩細均為氣虛之象。
2、脾陽虛
證候:
① 主症;病發時常咳聲重濁,多為連聲咳,夜重日輕,咳粘液或漿粘痰。痰量常較多。舌質淡或胖,有齒痕,舌苔白或白厚膩。脈濡緩或滑。
② 次症:食欲不振,飯後腹脹,面容虛腫,大便溏軟。
辨析:
① 辨證:以痰多、食欲不振、面容虛腫、便溏軟、舌質淡或胖有齒印,苔白或白膩,脈濡滑或滑為辨證要點。臨證尚應注意痰濕程度。
② 病機:久咳傷肺,脾陽不足,脾失。健運,或痰濕內生,上漬於肺,肺失宣降,故咳痰漿粘,咳痰量多。脾失健運則食欲不振,飯後腹脹。陽虛濕阻則面容虛腫,大便溏軟。舌淡胖有齒印,苔白則脈濡緩或滑均為脾陽虛之
3.腎陽虛
證候:
① 主症:以動則氣短為特徵。病發時常咳聲嘎澀,多為陣咳,夜多於日,痰量多。舌質淡胖或有瘀象,舌苔白滑潤。脈多細(沉細、弦細、細數)。
② 次症:腰酸肢軟,咳則遺尿,夜尿頗。頭昏耳鳴,身寒肢冷,氣短語怯。
證候:
① 辨證:以動則氣短、氣喘、痰量多、腰酸肢軟、形寒肢冷、舌淡胖、舌苔白滑潤、脈細為特點。
② 病機:腎主納氣、助肺以行其呼吸,腎虛則吸入之氣不能經肺下納於腎用氣短語怯;氣喘、呼吸不能銜接、動則氣喘。腎主骨開竅於耳,腰為腎之腑,腎虛則腰酸肢軟,頭昏耳鳴,夜尿頻多。陽虛生內寒,故身寒肢冷、舌質淡胖或有瘀象,舌苔白滑潤,脈多細,均為腎陽虛之象。
4.陰陽俱虛
證候:症狀:在腎陽虛的基礎上兼有口乾咽燥,五心煩熱,潮熱盜汗等陰虛症狀。舌體胖、色紫、少苔或無苔,常有瘀象。脈細數。
辨析;
① 辨證;在腎陽虛基礎上,兼見口乾咽燥,五心煩熱,潮熱盜汗,舌色紫、少苔、脈虛數。
② 病機:久病傷及陰、腎陰虧耗,津液不能上潤肺金,故口乾咽燥,內熱迫津外出,則潮熱盜汗。舌胖色紫為陽虛之象。由於陰陽互根,陰虛日久,亦必損及陽氣,進而成為陰陽兩虛之證。
5.肺腎陰虛
慢性支氣管炎證候:
① 主症:乾咳無痰或少痰,痰粘稠似鹽粒,不易咳出。常動則氣短。舌苔光剝或少苔,舌質紅,脈細數。
② 次症:口乾咽燥,五心煩熱,潮熱盜汗,頭暈目眩,腰酸肢軟。
辨析;
① 辨證:以動則氣短,乾咳少痰,口乾咽燥,腰酸肢軟,舌質紅,少苔,脈細數為要點。
② 病機:肺陰虛內燥,肺失滋潤,以致肅降無權。肺氣上逆,腎陰虛損,精氣不能互生。氣不歸元,故動則氣短,乾咳少痰,口乾咽燥等諸證滋生。陰虛生內熱,則五心煩熱潮熱盜汗。腎陰虛損則頭暈目眩,腰酸肢軟,舌質紅少苔,少津脈細數為肺腎陰虛之象。
標證
慢支辨證重在肺、脾、腎三髒,由肺而脾而腎,表示病情漸次加重。肺為氣之主,為貯痰之器,肺失治節,在肺則以咳嗽為主;脾為生痰之源,在脾則為咯痰為主;腎為氣之根,生痰之本,在腎以氣喘為主。肺不傷不咳,脾不傷不久咳,腎不傷不喘促。本病標在肺,制在脾,本在腎。
1.熱痰
證候:
① 主症:咳嗽咯痰,痰性狀為粘膿或粘濁痰,常不易咳出。舌質紅苔黃、脈弦滑數。
② 次症:發熱,膿涕,咽痛,口渴,尿黃,便乾。
辨析:
① 辨證:本證多見於急性發作期,以痰膿或粘調,舌質紅、首黃,脈弦滑數為辨證要點。如痰少而粘稠不易咯出為側重考慮燥痰,並應隨時注意熱喘、肝風內動之候出現。
② 病機:痰熱蘊肺,防失宣降,故咳嗽、痰膿或粘稠不易咳出;痰熱化火,故發熱、咽痛、口渴、尿黃、便乾為熱甚傷律、舌質紅、苔黃脈弦滑數,均屬痰熱之象。
2.寒痰
證候;
① 主症:咳嗽咯痰,痰性狀為白色泡沫或粘稀痰,常較易咳出。舌苔薄白或膩,脈弦緊。
② 次症:惡寒發熱,流清涕,口不渴,尿清長。
辨析:
① 辨證:本證多為慢支急性期感受風寒或寒濕之邪所發。以痰白色泡沫或粘稀痰,舌首白、脈弦緊為辨證要點。咳痰,如痰多易出為側重應考慮濕痰,並應隨時注意血瘀傷絡,寒痰化熱成寒喘之徵候出現。寒痰多因於陽虛,還應注意患者有無陽虛證候。
② 病機:寒痰阻肺,肺氣閉郁不宣,故咳嗽、咳痰、稀痰易咳出,苔白膩。寒邪束表,故惡寒、發熱、流清涕,舌苔薄白或白膩,脈弦緊,均為寒痰之象。
3.熱喘
證候:
① 主症;咳喘胸悶,喉中痰鳴,咳膿痰、粘痰或粘濁痰。舌質紅、苔黃、脈弦滑數。
② 次症:或兼頭痛,身熱汗出,口渴,便乾或秘,尿黃。
辨析:
① 辨證:本證多為慢支急性期,以咳喘、喉中痰鳴,舌質紅苔黃,脈弦數為辨證要點。臨症時尚進一步辨證細分以下三種:咳吐痰黃為主喘不甚者;咳,喘促甚痰少者;咳、喘促伴咽乾口燥、咳吐白沫痰者,應隨時注意痰熱上蒙或痰熱傷陰、肝風內動之證出現。
② 病機:痰熱,肺氣不降則咳喘、咳膿痰;胸悶則痰氣交阻,喉中痰鳴、熱邪壅盛則身熱汗出;熱邪傷津則口渴、便乾、尿黃;舌質紅、苔黃、脈弦滑數,均為熱喘之象。
4.寒喘
證候:
慢性支氣管炎① 主症:咳喘胸悶,喉中痰鳴,咳白色泡沫或粘稀痰。舌苔薄白或白膩,脈弦緊。
② 次症;或兼頭痛,寒熱無汗,口不渴。
辨析:
慢性支氣管炎
① 辨證:本證為慢支急性期感受寒邪誘發,以咳喘、喉中痰鳴,咳痰白色,舌苔白,脈弦
緊為辯證要點,其中還需分為喉間哮鳴音重,但痰不甚多而痰出不爽的寒邪為主者和痰多清稀、咳吐甚爽的飲邪為主者。並隨時注意血瘀傷絡或水氣凌心之證出現。
②病機;外寒引動內飲,肺失宣降,則咳喘、胸悶、咳痰白色而稀。飲邪阻塞氣道則喉中痰鳴。飲為陰邪故口不渴、舌苔白或白膩、脈弦緊為寒邪之象。
治療方法
常見的用於治療哮喘的方法主要有三種:中藥、西藥、中西結合。還有一種中西醫結合治療先進療法,美國4S清肺平喘療法。
“美國4S清肺平喘療法”,它是北京國濟中醫醫院獨家引進的國際最新治療方法,它集眾多療法優點於一身,是新一代更專業、更先進、更成熟的技術。對哮喘、肺部疾病、呼吸系統疾病等具有非常獨到的療效,這種治療方法得到多年的臨床驗證的,專門針對呼吸系統疾病的發病的特點來進行治療,並根據患者自身的情況制定差異化的治療方案,使很多慢性支氣管炎的患者得到治療,而不復發。
美國4S清肺平喘療法具有以下三大優勢:
【優勢一:緩解症狀,效果迅速】
呼吸系統疾病患者,一旦發病,往往是急性的,並且非常痛苦,輕者咳嗽,咳痰,喘息,呼吸困難,嚴重者甚至引起窒息。所以對於呼吸系統疾病患者來說,首要問題是解決這些痛苦的臨床症狀。美國4S清肺平喘療法通過清肺淨肺治療幾十分鐘之內就能快速緩解患者症狀,解決患者缺氧狀態;同時通過PI活肺治療,促進氣道炎症的吸收和消散、消除支氣管痙攣,恢復肺功能,讓患者不適症狀完全消失。
【優勢二:循序漸進,痊癒加快】
美國4S清肺平喘療法,兼顧患者病情的輕重緩急,以階梯式的治療體系層層深入。重建一個穩定的肺部環境基礎上,再針對病因治療,加快根本性治療作用發揮的時間,讓患者以最短的時間擺脫久治不愈的呼吸疾病。
【優勢三:標本兼治,防止復發】
臨床上引發呼吸系統疾病的主要病因是:氣道高反應,免疫失衡和氣道炎症,所有如果想從根本上治療,除了消炎解痙,關鍵是消除氣道高反應和調整免疫失衡。美國4S清肺淨肺療法採用植物神經平衡治療,讓兩種神經的興奮性恢復正常,重建植物神經平衡,抑制氣道腺體過多分泌,消除氣道高反應狀態,有效抑制病情的復發;同時採用國際上BA細胞免疫治療,利用患者自身細胞在實驗室里誘導、培育出自身需要的特異性免疫活性細胞,回輸進機體,直接刺激免疫系統,調整患者免疫失衡,修復氣道黏膜,重建氣道免疫屏障。從而達到標本兼治的效果,讓患者徹底改變呼吸疾病久治不愈,反反覆覆的困境。
中醫治療
中醫治療不僅僅是中藥治療,還包括針灸,拔罐,熏蒸等其他中醫治療手法,磁藥疊加調節免疫療法正是如此,將這些中醫治療手段綜合套用,運用中醫穴位知識,在內埋外疏的中醫理論下治療慢性支氣管疾病。
緩解期的治療
慢性支氣管炎應以增強體質,提高抗病能力和預防復發為主。採用氣管炎菌苗,一般在發作季節前開始套用,每周皮下注射一次,劑量自0.1ml開始,每次遞增0.1~0.2ml,直至0.5~1.0ml為維持量。有效時應堅持使用1~2年。核酪注射液(麻疹病毒疫苗的培養液)每周肌肉或皮下注射2次,每次2~4ml;或卡介苗素注射液每周肌肉注射3次,每次1ml(含卡介苗提取物於重0.5mg),在發病季節前用藥,可連用3個月,以減少感冒及慢性支氣管炎的發作。必思添(Biostim)(克雷白肺炎桿菌提取的糖蛋白)首次治療8天,2mg/d,停服3周;第2次治療8天,1mg/d,停服3周;第3次治療8天,1mg/d,連續3個月為一療程。可預防慢性反覆呼吸道感染。除此之外。加強體育鍛鍊提高自身的身體素質,要可根據自身體質選擇醫療保健操、太極拳、五禽戲等項目,並使用哮喘治療帶等醫療器械以調節和改善臟腑器官的機能堅持鍛鍊,能提高機體抗病能力,活動量以無明顯氣急、心跳加速及過分疲勞為度。慢性支氣管炎患者在緩解期要作適當的體育鍛鍊,以提高機體的免疫能力和心、肺的貯備能力。
急慢性遷延期的治療
應以控制感染和祛痰、鎮咳為主;伴發喘息時,加用解痙平喘藥物。
⑴ 抗菌治療:一般病例可按常見致病菌為用藥依據。可選用複方磺胺甲惡唑(SMZ)每次2片,每日2次;阿莫西林2~4g/d,分3~4次口服;氨苄西林2~4g/d,分4次口服;頭孢氨苄2~4g/d,或頭孢拉定1~2g/d,分4次口服;頭孢呋辛1g/d或頭孢克洛500mg~1g/d分2~3次口服。亦可選擇新一代大環內酯類抗生素如羅紅黴素0.3g/d,分2次口服。抗菌治療療程一般7~10天,反覆感染病例可適當延長。經治療三天后,病情未見好轉者,應根據痰細菌培養藥物敏感試驗的結果,選擇抗生素。
嚴重感染時,可選用氨苄西林、環丙沙星、氧氟沙星、阿米卡星(丁胺卡那黴素)、奈替米星(乙基西梭黴素)或頭孢菌素類聯合靜脈滴注給藥,具體用法可參閱“抗菌藥物治療”。
⑵ 祛痰鎮咳藥可給沐舒坦(鹽酸溴環已胺醇)30mg,或化痰片(羧甲基半胱氨酸)500mg,每日3次口服。溴己新(必嗽平)、氯化銨棕色合劑等均有一定祛痰作用。當痰粘稠不易咳出時,可用枇杷葉蒸氣吸入,或用超聲霧化吸入,以稀釋氣道內分泌物。
慢性支氣管炎除刺激性乾咳外,不宜單純採用鎮咳藥物,因痰液不能排出,反而使病情加重。
⑶解痙平喘藥喘息型支氣管炎常選擇解痙平喘藥物,如氨茶鹼0.1~0.2g,每日3次口服;美喘清50µg,每日2次口服,博利康尼2.5mg,每日2~3次口服,複方氯喘片1片,每日3次口服。慢性支氣管炎有可逆性阻塞者應常規套用支氣管舒張劑。如異丙托溴銨(溴化異丙托品)氣霧劑、博利康尼都保等吸入治療。陣發性咳嗽常伴有不同程度的支氣管痙攣,採用支氣管舒張劑後可改善症狀,有利於痰的清除。
用藥原則
1 控制感染:患者常因呼吸道感染而導致病情加重,必須及時給予抗感染治療。單用或聯用藥物,靜脈或口服,一般7~10d為1個療程。感染嚴重者,可用青黴素G或氨苄青黴素或頭孢菌素,注射給藥。病情改善後可用口服抗生素鞏固治療,可選用紅黴素等。
2 祛痰鎮咳:在套用抗感染治療的同時,須給予祛痰藥及鎮咳藥物,以改善咳嗽、痰多等症狀。常用藥物有氯化銨合劑、溴已新等,或對症用鮮竹瀝、蛇膽川貝液等中成藥。對年老體弱、無力咯痰者或痰量較多者,應以祛痰為主,慎用或禁用可待因等強鎮咳藥,以免引起呼吸中樞抑制,加重呼吸道阻塞或引起併發症而導致病情惡化。
3 解痙平喘:患者如喘息較劇烈,可用解痙平喘藥氨茶鹼、博利康尼等;有可逆性阻塞者應常規套用支氣管舒張劑,如溴化異丙托品等氣霧劑吸入治療,有利於痰液的清除,改善症狀。若使用氣道舒張劑後氣道仍有持續阻塞,可套用強的松、地塞米松等。另外,這些藥物在使用時也有一些注意事項,需要引起重視。
4 不能輕易使用激素:激素對於解除支氣管痙攣效果比較明顯,但激素有降低免疫力、造成依賴等副作用,只有當重度發作,用一般抗菌藥物效果不理想時,才能在醫生指導下規範使用。
5 不能長期用抗菌藥物:口服抗菌藥物的療程為5~7d。生活中,許多老慢支患者不問病情是否需要,經常不恰當地使用抗菌藥物,結果使病情愈來愈難治。老慢支病人何時需用抗菌藥物呢?臨床經驗告訴我們,如果痰液呈黃色、草綠色,或出現體溫升高,實驗室檢查白細胞數增高,胸部X線檢查發現炎症陰影時,才需要使用抗菌藥物。
飲食輔助治療
1.大蒜、食醋各250克,紅糖90克。將大蒜去皮搗爛,浸泡在糖醋溶液中,一星期後取其汁服用,每次一湯匙,每日3次。
2.白蘿蔔250克洗淨切片,冰糖60克,蜂蜜適量,加水適量煮至熟爛,食蘿蔔飲湯,每日早晚各1次。
3.白蘿蔔250克洗淨切片,生薑7片,紅糖30克,加水適量煎汁服用,每日早晚各1次。
4.紅白蘿蔔250克洗淨切片,加麥芽糖25克放置半天,取其汁液飲服,每日2-3次。
5.麥芽糖、蜂蜜、大蔥汁各適量,熬溶後裝瓶備用。每次取服1茶匙,每日3次。
6.雞蛋2個,香油50克,食醋適量。將雞蛋打散放香油中炸熟,加食醋食之,早晚各1次。
7.花生米100-150克,加冰糖和水各適量煮至熟爛,食花生米飲湯,每日1-2次。
8.杏仁15克,反覆搗爛加水濾汁,再加蜂蜜1茶匙,用開水沖服,每日2-3次。
9.雪梨1個削皮去核,納入貝母粉9克、冰糖30克,隔水蒸熟食之,每日早晚各1個。
10.南瓜500克去皮切成小塊,紅棗15枚,紅糖適量,加水適量煮湯服食,每日1-2次。
11.鮮橙1個連皮切成4瓣,加冰糖15克,隔水燉半小時,連皮食之,早晚各1個。
12.冬瓜籽、冬瓜皮各20克,麥冬15克,加水煎汁服用,每日1劑分早晚服。
13.甜杏仁10克,細嚼慢咽,每日2次,有止咳、化痰、定喘等作用。
14.雪梨1個挖去果核,填入冰糖適量,隔水蒸熟食之,每日早晚各1個。
15.芝麻、生薑各50克共搗爛,加水適量煎汁服用,每日1劑。
16.鮮百合2-3個,洗淨搗爛濾汁,用溫開水沖服,每日2-3次。
17.大蒜100克去皮拍碎,豬瘦肉500克洗淨切片,加調料炒熟食之。
膳食療法:
1.蘿蔔蜂蜜汁
功效:潤肺,化痰,止咳。
配料:蜂蜜適量,白皮大蘿蔔1個。
製作:將蘿蔔洗淨掏空中心,放入蜂蜜,置大碗內,加水蒸煮。
用法:每日服2次。
2.肉炒大蒜
功效:止咳怯痰,殺菌解毒。
配料:豬瘦肉100克,大蒜頭10頭。
製作:將豬瘦肉、大蒜均切成薄片,按常法炒,熟後加調料即成。
用法:佐餐食,每日1~2次。
3.杏仁粥
功效:止咳定喘,適用於急性支氣管炎。
配料:杏仁15克,白米50克。
製作:將杏仁去皮、尖,水研濾汁,同白米煮粥食用。
用法:供早、晚餐服用,溫熱食。
中醫調理
中醫認為,慢性支氣管炎這一類的慢性疾病,其標在肺,基要在腎。就是說,看起來咳嗽是肺部疾病,但本質是腎虛 .肺主呼,腎主吸,肺主宣發,腎主納氣。病情急驟時,以宣肺清熱、平喘、豁痰為治,病情緩解時以補腎、納氣、益精、養氣為治。預防慢性支氣管炎更重要的是食療,食療有很高的營養價值,能增強機體抗病能力,對改善症狀、促進康復有良好的作用。
方1、蘇子粥:蘇子30克(搗成泥)、陳皮10克(切碎)、粳米50克,紅糖適量,加水煮成粥。早晚溫服。適用於急性加重期及慢性遷延期咳嗽氣喘、痰多納呆、便秘的病人。
方2、海蟄蘆根湯:海蟄100克、鮮蘆根60克,洗淨共煎吃湯。適用於急性加重期及慢性遷延期咳嗽痰黃、胸悶氣急、口乾便秘患者。
方3、黃芪黨參粥:黃芪40克、黨參30克、山藥30克、半夏10克、白糖10克、粳米150克。黃芪、黨參、半夏煎汁去渣代水,與山藥、粳米同煮為粥,加入適量白糖,連服數月有補益脾肺之功。適用於穩定期肺脾氣虛者。
方4、百合麥冬粥:鮮百合30克,麥門冬9克,粳米50克。加水煮成粥,食時加適量冰糖。適用於穩定期肺腎陰虛者。
方5、人參胡桃湯:人參3克、胡桃肉30克,水煎服,每日一劑。適用於穩定期脾腎陽虛者。
方6、 蜜梨汁 取大梨1個(或小梨2個),蜂蜜30克。將梨洗淨切薄片,放入鍋內加水2~3杯,加入蜂蜜,以文火煮沸後5分鐘,梨熟即可。分2次喝湯吃梨。本方有潤肺涼心、清燥將火、止咳化痰之功。適用於久咳不止的老慢支病人。
方7、冬蟲夏草湯:研究發現冬蟲夏草具有“補肺益腎,止血化痰”的功效。選用質地優良的福臨門冬蟲夏草,粉碎後服用,每次1.5克,每日2次,連續服用一個月大部分患者的症狀均可明顯的改善。
方8、 白蘿蔔生薑湯 取白蘿蔔120克(洗淨切片)、鮮生薑(洗淨切片)60克、白糖20克。加水1200毫升,以文火煎蘿蔔、生薑15分鐘後,倒出煎液加入白糖,分2次早晚飯前服。本方有溫肺化痰、潤肺生津、解表止咳之功。適用於肺寒咳嗽、多痰、虛弱的老慢支病人。
方9、 鮮藕梨汁 鮮藕、梨各250克。將藕洗淨去節,梨洗淨去核,分別搗爛,用乾淨紗布包實擠汁,每日喝3次,每次7~10毫升。本方具有清熱止咳、涼血散瘀、止咳化痰、生津潤燥之功效。適用於老慢支肺熱咳嗽的病人。
方10.二子止嗽方是一種有各種中草藥釀製的,對治療慢性支氣管炎有很好的幫助作用,因為是中藥對身體沒有什麼副作用,而且使用幾個療程以後,會發現病情會有明顯的改善。
中藥治療
(1)東北滿山紅
用法:每日15g~30g乾葉,水煎。分3次服。
(2)暴馬子
用法:暴馬子皮(包括樹皮外層黑色及黃色部分)30g,用刀切碎或成小蟲狀,加水煎煮。1日分3次服。
(3)矮地茶
用法:每日用乾芍4 5g左右,水煎。分3次服。
(4)白皮松松塔
用法:松塔12g,洗淨水煎2次,每次加水2000ml,煎成200ml,兩煎混合共400ml,分2 日服完。每日2次,飯後服。
(5)絲瓜藤
用法:將絲瓜藤90~120g切碎洗淨,用水浸泡後,再加水浸沒藥物煮沸1小時以上。將藥液濾出後再加水浸沒煮沸1小時以上,過濾去渣。最後把兩次過濾液合併煮沸濃縮至100~150ml,作為1日的用量。分3次服。
(6)棉花根
用法:60~120g,水煎2小時以上,為1日量,分2~3次服。
中成藥治療
內因主要由肺、脾、腎三髒的生理功能失調所致。肺虛: 則衛外不固,容易感受外邪所致;脾弱:則運化失職,痰濕聚液成痰;腎虧:則命門火衰,水泛為痰,攝納無權,動即氣喘。治療主要按八綱辯證:陰陽、寒熱、表里、虛實, 表實也屬陽,里寒虛屬陰,但實與熱,虛與寒仔細分亦各有不同之處。選用市場上已有的中成藥治療尤為方便
虛與實型屬陰 主症:惡寒、痰吐血沫、精神不振、面色蒼白, 唇淡、脈沉細動,或脈強細, 苔血膩或舌質紅,甚則稍動即喘難已血制。古人所說: 虛者氣去身涼,冷痰如冰。
虛證:咳喘、息短採用補中益氣丸
寒症:溫陽、益氣採用桂附腎氣丸
飲食原則
支氣管炎常發於冬春季節,咳嗽痰多,反覆發作、遷延難愈,由於病程
合理飲食富含蛋白質的食品
長,多數患者身體虛弱呈肺氣虛體質,尤以老年慢性支氣管炎症狀最為典型,是一種消耗性疾病,通過飲食調理適當補充營養,則具有較好的輔助治療作用。
此症的飲食原則應適時補充必要的,如雞蛋、雞肉、瘦肉、牛奶、動物肝、魚類、豆製品等。寒冷季節應補充一些含熱量高的肉類暖性食品以增強禦寒能力,適量進食羊肉、狗肉、牛奶、動物肝、魚類、豆製品等。寒冷季節應補充一些含熱量高的肉類暖性食品以增強禦寒能力,適量進食羊肉、狗肉、牛奶等對極度虛寒者可採用。除葷食外,應經常進食新鮮蔬菜瓜果,以確保對維生素C的需要。含維生素A的食物亦是不可少的,有保護呼吸道黏膜的作用。飲食對症擇食頗有益處。
疾病預防
預防綜述
1、戒菸:慢性支氣管炎患者不但要首先戒菸,而且還要避免被動吸菸,因為煙中的化學物質如焦油、尼古丁、氰氫酸等,可作用於植物神經,引起支氣管的痙攣,從而增加呼吸道阻力;另外,還可損傷支氣管黏膜上皮細胞及其纖毛,使支氣管黏膜分泌物增多,降低肺的淨化功能,易引起病原菌在肺及支氣管內的繁殖,致慢性支氣管炎的發生。
2、注意保暖 在氣候變冷的季節,患者要注意保暖,避免受涼,因為寒冷一方面可降低支氣管的防禦功能,另一方面可反射地引起支氣管平滑肌收縮、黏膜血液循環障礙和分泌物排出受阻,可發生繼發性感染。
3、加強鍛鍊:加強體育鍛鍊提高自身的身體素質,要可根據自身體質選擇醫療保健操、太極拳、五禽戲等項目,並使用哮喘治療帶等醫療器械以調節和改善臟腑器官的機能,堅持鍛鍊,能提高機體抗病能力,活動量以無明顯氣急、心跳加速及過分疲勞為度。慢性支氣管炎患者在緩解期要作適當的體育鍛鍊,以提高機體的免疫能力和心、肺的貯備能力。
4、預防感冒:注意個人保護,預防感冒發生,有條件者可做耐寒鍛鍊以預防感冒。
5、做好環境保護:避免煙霧、粉塵和刺激性氣體對呼吸道的影響,以免誘發慢性支氣管炎。
天氣變化
寒冷常為慢性支氣管炎發作的重要原因和誘因,慢性支氣管炎發病及急性加重常見於冬天寒冷季節,尤其是在氣候突然變化時。寒冷空氣刺激呼吸道,除減弱上呼吸道黏膜的防禦功能外,還能通過反射引起支氣管平滑肌收縮、黏膜血液循環障礙和分泌物排出困難等,有利於繼發感染。
老年慢性支氣管炎以反覆發作性咳嗽、咯痰、喘息、氣促、胸悶,甚則張口抬肩、鼻翼煽動、不能平臥為主要臨床表現。秋季氣候乾燥,氣溫下降,中醫認為,五臟當中肺臟最為嬌氣,且容易受寒、燥侵襲而致肺主呼吸功能失調,所以秋季“老慢支”最易復發。患者要積極預防上呼吸道感染,加強肺功能鍛鍊,為順利過冬打下基礎。
呼吸肌鍛鍊
呼吸肌鍛鍊可使呼吸肌,尤其是膈肌強壯有力,提高呼吸效率,促進痰液排出,可以調動全身免疫系統活力,減少支氣管、肺部反覆感染和炎症急性發作。患者平時可進行控制性深呼吸鍛鍊、腹式呼吸鍛鍊、縮唇呼氣等鍛鍊。
預防上呼吸道感染
“老慢支”易因上呼吸道感染而復發或惡化,甚至容易引發肺炎,因此患者要積極預防並及時治療上呼吸道感染,流感疫苗對預防上呼吸道感染有一定作用。同時應進行耐寒鍛鍊,如用冷水洗臉,避免刺激性氣體對呼吸道的影響,避免冷空氣直入氣管。
堅決戒菸限制飲酒
香菸可致氣道免疫功能下降,吸菸時間越長,吸菸量越大,患病率也越高。菸酒可以使支氣管上皮受損,容易刺激呼吸道導致咳嗽,對老年慢性支氣管炎的治療及預後不利。另外,應加強室內通風,避免有害粉塵、煙霧和有害氣體吸入。
飲食起居調理
食物不可太鹹,忌油炸、易產氣的食物,應多吃高蛋白、高熱量、高維生素、低脂、易消化飲食,如瘦肉、蛋、奶、魚、蔬菜和水果等。此外,應少量多次飲水,每日飲水量不少於1500毫升,以稀釋痰液,利於排出。秋季自然界一切生物代謝相對減緩,人也應該順應自然“早臥早起,與雞俱興”,保持情志安寧。
飲食生活習慣
不要吃寒涼食物:慢性支氣管炎患者,病程較長,大多脾、肺、腎的陽氣不足,對寒涼食品反應較大。因為寒性凝滯,寒主收引,過食寒涼食品可使氣管痙攣,不利於分泌物的排泄,從而加重咳喘,使痰不易咳出。此外,寒涼食品,損傷脾胃陽氣,脾胃受寒則運化失職,導致痰濁內生,阻塞氣道,喘咳加劇。所以,慢支患者應少吃寒涼食物。
戒菸:香菸中的有害物質可以直接刺激呼吸道,香菸不僅是吸菸者自身慢性支氣管炎的重要原因,煙霧還可對周圍人群呼吸道的健康也帶來危害。所以,慢性支氣管炎患者應徹底杜絕菸草。
多吃青菜:每餐可適量多吃一些蔬菜和豆製品,如白蘿蔔、胡蘿蔔及綠葉蔬菜等清淡易消化的食物。多吃止咬平喘食物多吃一些止咳、平喘、祛痰、溫肺、健脾的食品,如白果、枇杷、柚於、北瓜、山藥、栗子、百合、海帶、紫菜等。
平時多運動:注意平時的生活習慣,多加鍛鍊,提高身體免疫力,會使您遠離疾病,遠離慢性支氣管炎。
支氣管炎患者的治療目的會是徹底治癒支氣管炎,並預防支氣管炎併發症的發生。只是注意飲食不能徹底治癒疾病,還要從其他方面做起,比如說治療。
哮喘及肺部疾病相關
| 冬季來臨,哮喘疾病又到了高發期。正確的了解哮喘疾病的相關知識及相關預防措施,對患者是有很大幫助的。 |
