疾病描述
人體肺位置/間質性肺炎
間質性肺炎 疾病病因
肺剖視圖/間質性肺炎 1.病因已明
(1)吸入無機粉塵:二氧化矽、石棉、滑石、銻、鈹、煤、鋁、錫、鐵。
(2)吸入有機粉塵:霉草塵、蔗塵、蘑菇肺、飼鴿者病、棉塵、合成纖維、電木放射線損傷。
(3)微生物感染:病毒、細菌、真菌、卡氏肺孢子蟲病、寄生蟲。
(4)藥物:細胞毒化療藥物、白消胺、環磷醯胺。
(5)癌性淋巴管炎;肺水腫。
(6)吸入氣體:氧、二氧化硫、氯、氧化氮、煙塵、脂類、汞蒸氣
2.病因未明
特發性肺間質纖維化(又名隱源性致纖維化肺泡炎、特發性間質性肺炎)。急性間質性肺炎、脫屑性間質性肺炎,膠原血管性疾病:系統性紅斑狼瘡、類風濕關節炎、強直性脊柱炎、多發性肌炎-皮肌炎、舍格倫綜合徵、結節病、組織細胞增多症、肺出血-腎炎綜合徵、特發性肺含鐵血黃素沉著症、Wegener 肉芽腫、慢性嗜酸粒細胞肺炎、肺泡蛋白沉積症、遺傳性肺纖維化、結節性硬化症、神經纖維瘤、肺血管床間質性肺病、原發性肺動脈高壓、瀰漫性澱粉樣變性、閉塞性細支氣管炎並機化性肺炎。已知病因類約占全部ILD 的35%,其中以職業性接觸為致病病因者為常見,其中無機類粉塵為病因者最多,由有機類粉塵致病者日益增多。有機類粉塵所致也稱過敏性肺泡炎,常因既往曾有過敏史,當再次吸入異體蛋白或多糖而發病。原因未明者ILD 占所有病例的2/3,其中以特發性肺纖維化、結節病和膠原血管疾病肺部表現最為常見,組織細胞增多症,肺-腎綜合徵和肺血管炎,特發性含鐵血黃素沉著症等其次。
間質性肺炎發病原因與機制
發病原因
雖然目前已將之歸入特發性間質性肺炎(ⅡP)範疇,但由於其臨床表現及病理表現與ARDS幾乎一致,而其發病時又無明確病因,所以有人認為它的起發病與病毒急性感染密切相關,只是限於目前的檢測技術尚無法測定病毒而已。病毒與ⅡP的關係一直是該病病因學研究的熱點之一,其中研究最多的是腺病毒和EB病毒。
發病機制
現在初步認為病毒在ⅡP發生、發展中所起的作用可能有如下3種情況:①由病毒感染的人體細胞所表達的病毒蛋白可以促進慢性炎症和修復過程,如EB病毒的隱性膜蛋白可以提高B-淋巴細胞的Ⅱ類抗原的表達;②病毒的感染可以激活肺泡上皮細胞的Ⅰ型膠原基因;③病毒基因是一種活化因子,它可以與DNA結合或接觸,以調節RNA蛋白轉錄和修改細胞的生物特性。然而遺憾的是,這些研究結果均來自ⅡP的慢性類型;也許是由於病例數偏少的緣由,至今尚未有AIP與病毒關係的研究報告。
有研究報導,部分患者肺周邊淋巴細胞、淋巴濾泡及漿細胞中有自身抗體,肺泡壁上有免疫複合物沉積。而諸如血沉,部分病人丙種球蛋白增高,抗核抗體滴度上升,類風濕因子、冷免疫球蛋白、狼瘡細胞陽性,補體水平降低都表明該病可能與炎症免疫過程有關。也有報導稱本病可能具有遺傳因素。
AIP的急性肺損傷更傾向於一種大範圍的肺實質性變化-急性呼吸功能衰竭的表現;它與其他ⅡP類型中所見的急性損傷-反覆發生的多灶性損傷迥然不同。這種不同造成了兩者在組織病理和臨床表現上各具特色;並就此推測兩者的發病機制亦有差別。雖然目前的研究已深入到蛋白甚至基因水平,人們已知諸如促炎症因子、抗炎症因子、金屬蛋白酶及抑制因子和凋亡等在ⅡP中的相應作用,但AIP的確切發病機制目前尚不清。
病理顯示,肺大體標本呈暗紅色,重量增加,外觀飽滿,質實變硬,觸壓不萎陷。肺切面為暗紅色斑點與灰白色相間,並有交錯分布的灰白纖維組織條索和小灶性瘢痕組織。光鏡檢查:早(滲出)期病變(肺損傷後約1周內)時,肺泡間隔因血管擴張、基質水腫和炎性細胞浸潤而瀰漫增厚,其中以淋巴細胞浸潤為主,亦有漿細胞、單核(或巨噬)、中性和嗜酸粒細胞及少許成纖維細胞;肺泡上皮增生和化生形成柱狀,加寬了肺泡間隔;肺泡腔內側正常或有少許蛋白性物質及細胞滲出。此時的肺泡間隔相對較薄、肺泡結構尚正常,對治療反應良好。隨著病情的進展,血管內皮及肺泡上皮細胞受損、壞死和脫落;肺泡腔內形成均勻粉染的嗜酸性物質——透明膜。約2周時,DAD進入晚(增殖或機化)期,肺泡間隔出現廣泛增生的成纖維細胞和肌纖維細胞,而膠原沉積卻較少,這使得肺泡間隔明顯增寬;毛細血管被纖維組織替代而數量減少;肺小動脈內膜增生、管壁增厚,有時在中小肺動脈內可見機化的栓子;肺泡因纖維化和閉鎖而減少,殘存的肺泡形狀不規則、大小不一,或呈裂隙狀或異常擴張。由於Ⅰ型肺泡上皮細胞的壞死,Ⅱ型上皮細胞增生、呈柱狀或鞋釘樣排列,襯於肺泡表面;這與UIP中有相當數量的細支氣管上皮細胞參與分布於肺泡表面的情況有所不同。另外,呼吸性細支氣管上皮可出現鱗狀化生。數周后,蜂窩肺即可出現。
電鏡檢查:
Ⅰ型肺泡上皮細胞喪失,局部乃至大面積的肺泡上皮細胞基底膜剝脫,Ⅱ型肺泡上皮細胞及毛細血管內皮細胞的胞漿水腫和壞死脫落。細胞碎片與纖維蛋白、紅細胞及表面活性類物質的混合物沿肺泡表面分布,這尤其見於鏡下的透明膜形成區。散在的炎性細胞,尤其是巨噬、淋巴和漿細胞存在於肺泡腔中;而間質中水腫的基質及不同數量的膠原和彈性纖維周圍分布著大量成纖維細胞、少量炎症細胞及散在的原始實質細胞。進一步的研究發現,間質中大量成纖維細胞及少量膠原的存在並不是造成間質增厚的惟一原因。由於肺泡上皮細胞基底層的剝脫,使得大部分肺泡均有不同程度的塌陷。此種塌陷的另一特徵是塌陷的肺泡部分中,有許多鄰近的上皮細胞基底層相互重疊和對摺。這種由二層基底層組成的結構以匍行的方式插入肺泡壁,在間隔內部形成深的裂隙。當Ⅱ型肺泡上皮細胞沿剝脫的基底層重新上皮化時,細胞並不深入裂隙之間,而是沿裂隙的兩個外側面覆蓋。而若肺泡全部塌陷時,相互分離的肺泡間隔此時也會發生對摺。Ⅱ型肺泡上皮細胞重新生長時,它並不是全部直接生長在脫落的基底層表面,有部分的上皮細胞與基底層之間存在有一層殘留的炎症初期時的肺泡腔內滲出物。這兩種現象的結果是,當Ⅱ型肺泡上皮細胞增殖重新覆蓋脫落的上皮基底層時,細胞所覆蓋的是塌陷部分,而不是沿完整的基底層重新呈線樣排布和重新擴張肺泡;由於一層部分重疊的肺泡壁結合進了單一增厚的肺泡間隔,再加上部分區域肺泡腔內滲出物的“滲入間隔”,這就與其他因素一起造成了鏡下所見的間質纖維化。
症狀體徵
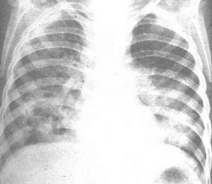
間質性肺炎影像圖 2.體徵 呼吸急促、發紺、雙肺中下部可聞及Velcro 囉音(連續、高調的爆裂音)有杵狀指趾,其中Velcro 囉音最具特徵性。
3.分類 間質性肺病的分類未統一,按發病的緩急可分為急性、亞急性及慢性
間質性肺炎可以說是在臨床上最常見的一種發生在肺部的免疫性疾病。由於肺部可以有幾種不同的區域,所以,間質性肺炎也會分為幾種不同的類型,在治療的時候應該根據不同的間質性肺炎進行合理的對症治療。
一、小葉性肺炎
又稱支氣管炎,多屬繼發性。一般先發生支氣管炎,然後向深部蔓延至細支氣管、肺泡管和肺泡。炎症亦可向支氣管周圍擴展,先引起支氣管周圍炎再波及肺泡。散在的以細支氣管為中心的病變還可進一步擴展而互相融合。小葉性肺炎在X射線檢查時可見大小不等的斑點狀、雲絮狀或片狀陰影,散在分布,以雙下肺為多。
二、間質性肺炎
病變主要在支氣管、細支氣管和血管周圍,以及小葉間隔的結締組織內。X射線檢查可見纖細的不規則條紋狀密度增深影,自肺門向外伸展,邊緣較清晰,交織成網狀,有的局限於單側肺葉,多見於肺底。在網狀陰影間,可見分布不均勻的小點狀影。
三、大葉性肺炎
這是急性纖維素性炎症。病變始於肺泡,迅速擴展到整個肺段或肺葉,可侵及兩個或更多的肺葉。患病時肺泡壁通常不被破壞,故痊癒後呼吸功能可以完全恢復。當病變部位的肺泡被炎性滲液充滿(實變)時,X射線檢查可見大片緻密陰影,遍及整個受累的肺段或肺葉。至滲液開始被吸收(溶解)時,則見不均勻的陰影減退區。不過,在目前肺炎得到早期治療的情況下,典型的大葉病變已不多見。
間質性肺炎目前就有這幾種類型,希望對患者的治療有幫助。因為間質性肺炎的類型不同,症狀也會有所不同。
病理生理
間質性肺炎病理 病理分類
(1)按病理變化分類:
①非炎症性非腫瘤性疾病:如結節病、外源性過敏性肉芽腫性肺泡炎。
②肉芽腫性間質性肺疾病:如慢性間質性肺水腫、肺泡蛋白沉著症、原發性肺含血黃素沉著症、尿毒症等。
③肺特異性炎症:如普通型間質性肺炎、閉塞性細支氣管炎並機化性肺炎(BOOP)、外源性刺激性煙霧、液體以及其他毒性刺激性慢性間質性肺炎、急性呼吸窘迫綜合徵(ARDS)、特發性肺纖維化及肺血管炎等。
④無機粉塵吸入性職業病。
⑤增生及腫瘤性病變:如原發性細支氣管肺泡癌誘發肺間質病變、瀰漫性霍奇金淋巴瘤。
⑥肺間質纖維化及蜂窩肺(末期肺)。
(2)按肺泡結構中聚集的細胞類型分類:
①巨噬細胞-淋巴細胞-中性粒細胞型:簡稱中性粒細胞型肺泡炎。巨噬細胞仍占多數,但中性粒細胞增多,並長期在肺泡結構中聚集,為本型最典型的特徵。屬於這一型的病變有:特發性肺纖維化(隱源性致纖維化肺泡炎),家族性肺纖維化、慢性間質性肺纖維化伴發於膠原血管性疾病、組織細胞增生症X 和石棉肺等。
②巨噬細胞淋巴細胞型:簡稱淋巴細胞型肺泡炎。巨噬細胞和淋巴細胞均增加,但淋巴細胞的增加相對地比巨噬細胞多。中性粒細胞不增加。結節病,過敏性肺炎和鈹中毒等,均屬於這一型。肺實質細胞受某種致病因素的直接作用,或通過炎症和免疫細胞系統的間接作用而發生急性肺泡炎。在肺泡炎階段,如去除病因或接受治療,其病變可以逆轉;當急性肺泡炎轉為慢性,中性粒細胞分泌膠原酶和彈性蛋白酶,破壞Ⅰ型膠原和肺泡壁,影響病變的可逆性。如病變進一步發展,間質內膠原纖維排列紊亂,鏡檢可見大量纖維組織增生,肺泡隔破壞,形成囊性纖維化。破壞的肺泡壁不可復原;病變再進一步發展為肺泡結構完全損害,形成廣泛的囊性纖維化。
間質性肺炎的分期:
Ⅰ期:肺實質細胞受損,發生急性肺泡炎。炎性和免疫效應細胞呈增生、募集和活化現象。在特發性肺纖維化的支氣管肺泡灌洗液中,證實有免疫複合體,能刺激巨噬細胞分泌中性粒細胞趨化因子,使中性粒細胞聚集於肺泡結構中。活化的巨噬細胞和中性粒細胞能分泌膠原酶。支氣管肺泡灌洗隨訪複查8~24 個月,膠原酶活性仍持續存在,活化的膠原酶可破壞肺泡結構的間質膠原(在急性肺炎如肺炎球菌炎,中性粒細胞在肺泡結構中存在的時間很短暫,故不會引起間質結締組織進行性和永久性損害。)將特發性纖維化及結節病支氣管肺泡灌洗液中分離出的巨噬細胞,分別在無RPMI-1640 培養基中培養,產生纖維結合蛋白的速度,比正常的巨噬細胞分別快20 倍和10 倍。纖維結合蛋白對肺臟的成纖維細胞具有趨化作用,在形成間質纖維化起重要作用。結節病T 淋巴細胞能分泌淋巴激化素,引起肉芽腫形成。在Ⅰ期階段,肺實質的損害不明顯,若激發因素被消除,病變可以恢復。
Ⅱ期:肺泡炎演變為慢性,肺泡的非細胞性和細胞性成分進行性地遭受損害,引起肺實質細胞的數目、類型、位置和(或)分化性質發生變化。Ⅰ型上皮細胞受損害,Ⅱ型上皮細胞增生修補。從Ⅰ期演變到Ⅱ期,或快或慢,長者可達數年。受各種因素如接觸期限、肺臟防禦機制效能、損害範圍大小、基底膜的完整性和個體的易感性等影響,肺泡結構的破壞逐漸嚴重而變成不可逆轉。
Ⅲ期:其特徵為間質膠原紊亂,鏡檢可見大量纖維組織增生。纖維組織增生並非單純地由於成纖維細胞活化,而是各種複合因素如膠原合成和各種類型細胞異常所造成。膠原組織斷裂,肺泡隔破壞,形成囊性變化。到了Ⅲ期,肺泡結構大部損害和顯著紊亂,復員已不可能。
Ⅳ期:為本病的晚期。肺泡結構完全損害,代之以瀰漫性無功能的囊性變化。不能辨認各種類型間質性纖維化的基本結構和特徵。
診斷檢查
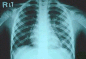
間質性肺炎X線檢查 實驗室檢查:血液檢查:間質性肺病肺泡結構中炎性和免疫細胞異常與肺外其他病變無關聯,許多患者血沉增速,或血液免疫球蛋白增高,與肺纖維化亦無密切關聯。有些患者血清中可查到免疫複合體,是從肺臟產生而溢出的。有一部分患者類風濕因子、抗核抗體陽性,部分患者血清出現抗肺膠原抗體。動脈血氣分析:由於潮氣量減低,呼吸頻率增高,呼吸淺速,肺泡通氣量不足,導致通氣/血流比例降低,發生低氧血症,但動脈血二氧化碳分壓正常。運動後血氧分壓明顯下降。支氣管肺泡灌注檢查:套用纖維支氣管鏡插入左肺舌葉或右肺中葉,以生理鹽水沖入灌洗,獲得支氣管肺泡灌洗液。將灌洗液作細胞學和非細胞成分的測定。本法具有以下優點:①灌洗液的細胞學檢查能真實地反映肺泡炎肺泡結構中的炎性和效應細胞的類型與數目。②各種間質性肺病的診斷與鑑別診斷。非吸菸人灌洗液的細胞總數為(0.2~0.5)×10E4/ml 其中肺泡巨噬細胞占85%~90%,淋巴細胞約占10%,中性粒細胞及嗜酸粒細胞僅占1%以下,細胞總數多由肺泡巨噬細胞的增加而增加,而細胞種類的變化在ILD 時有診斷意義。如過敏性肺泡炎、結節病、慢性鈹肺時淋巴細胞顯示明顯增加。膠原病伴肺間質纖維化時也可見淋巴細胞增加。而細菌性肺炎、氣道感染以及ARDS 時嗜中性粒細胞增加。閉塞性細支氣管炎伴機化性肺炎時可出現淋巴細胞、粒細胞的增加。支氣管肺泡灌洗液的淋巴細胞中T 細胞占70%~80%,B 細胞占10%~20%,而ILD 中的結節病、過敏性肺泡炎、慢性鈹肺則T 細胞增加。一直想用標記T 細胞亞群或T 細胞、B細胞的活化程度解釋ILD 的活動性和預後。僅見結節病時T細胞數及活化T 細胞數的增加與病情的進展情況相關。此外在特發性肺間質纖維化時活化的B 細胞增加則提示病情的進展,淋巴細胞增多則對激素治療效果較好,其預後也較好。
輔助檢查
間質性肺炎確診圖 2.肺功能檢查 此項檢查僅是功能的診斷,而非病理診斷,在早期階段,肺功能檢查可以完全正常,當病情進展才可能出現肺功能檢查的異常。ILD 最顯著的肺功能變化為通氣功能的異常和氣體交換功能的降低。通氣功能是以限制性通氣障礙為主、肺活量減少、殘氣量隨病情進展而減少,隨之肺總量也減少。第1s 時間肺活量(FEV1.0)與用力肺活量(FVC)之比即1s 率出現明顯升高,如已達到90%則支持ILD 的診斷。ILD 的早期可有小氣道功能障礙,其V50、V25均降低ILD形成纖維化後而出現V50、V25 增加。ILD 的早期還可以出現氣體交換功能障礙,如彌散功能(DLCO)較早期即有降低,一旦X 線胸片發現間質性改變,DLCO 則已降低50%以下。肺功能改變與肺部病變二者的相關性,在病變輕微者極差,病情嚴重者相關性較好。凡肺功能嚴重損害者,肺部病變肯定嚴重。在肺功能的各項檢測中,容量-壓力曲線測驗和運動時動脈血氧的變化,僅在反映肺纖維化的嚴重程度上最為敏感。肺功能檢查對於ILD 的早期診斷與判定預後是非常有用的,特別是動態觀察VC、FEV1.0、DLCO 等指標。至於肺功能檢查能否判斷激素或免疫抑制劑治療ILD 的療效,有不同的看法,僅以肺功能的變化評價療效是不夠的。
3.肺活檢 肺活檢是診斷ILD 的最好程式,當病史、X 線胸片、肺功能檢查及支氣管肺泡灌洗以及生化學、感染病學等檢查得不出推斷性的診斷時,要進行肺活檢。肺活檢分為兩種①套用纖維支氣管鏡做肺活檢,其優點為操作簡便,安全性高,可作為常規檢查,且便於複查。學者認為,纖維支鏡所取的肺組織過小,(<2mm 時)難以見到病理組織的全貌。且誤診率及漏診率較高,為提高陽性率可取5~6 塊肺組織。②刮胸肺活檢:切去肺組織2cm×2cm,可全面觀察肺泡炎的類型和程度。此方法雖然是損傷性檢查手段,但從確立診斷方面和免受不必要的各類檢查及無目的的治療方面,無疑開胸肺活檢是必要的。國外學者報導經纖維支氣管鏡肺活檢不能明確診斷的病例,將有90%可在開胸活檢得到確診,並認為特發性肺間質纖維化中的普通間質性肺炎、脫屑性間質性肺炎只有開胸肺活檢才能獲得確診。相比之下我國開展開胸肺活檢甚少,這是阻礙診斷水平提高的主要原因。
4.67Ga 核素掃描 67Ga 不聚集於正常的組織器官,而聚集於慢性炎性組織,其敏感性很高但特異性低。67Ga 指數即67Ga 在肺內聚集所占全肺面積的百分比。>50U 表示陽性。70%的特發性肺纖維化67Ga 指數>50U。
間質性肺炎的肺活檢檢查
1、間質性肺炎與肺活檢
“間質性肺炎”是“瀰漫性間質性肺疾病”即“間質性肺疾病”的簡稱。間質性肺炎是一大組瀰漫性肺實質疾病群,病變主要發生在肺間質,累及肺泡上皮細胞、肺毛細血管內皮細胞和肺動靜脈。一般而言,肺間質包括肺實質的大部分,由位於肺泡之間的組織所組成,故現在也稱作為瀰漫性肺實質疾病。
間質性肺炎檢查 目前已發現有180多種已知疾病可累及肺間質,無論其病因如何,大多數間質性肺疾病都有共同的病理基礎過程。初期損傷之後,有炎性和免疫效應細胞的參與,在大多數間質性肺部疾病過程中,炎症-免疫反應的進展,肺泡壁、氣道和血管最終都會發生不可逆的肺部瘢痕(纖維化)。除非患者有典型的特發性肺纖維化/普通型間質性肺炎(UIP/IPF)臨床表現和影像學改變外,外科肺活檢對明確臨床和病理診斷是相當重要的。當然,這並不認為肺活檢對明確臨床診斷是必須的。在疾病晚期或開始治療後進行病理學檢查,其意義則較小。
外科肺活檢的臨床意義如下:
1、在肯定臨床病理診斷後,使醫師和患者對治療更有信心。
2、目前治療特發性間質性肺炎(IIP)的所有藥物都有一定的潛在副作用或危險性,在未明確診斷之前,冒險對患者進行治療,並不十分合理。
3、可發現相關的職業性疾病,如石棉肺。
如上所述,對有典型臨床表現和影像學特徵的特發性肺纖維化/普通型間質性肺炎患者,不做外科肺活檢也能進行診斷。但如需明確診斷和排除其他類型的IIP,只能進行外科肺活檢。大多數情況下,外科肺活檢能為IIP患者做出組織學診斷,也可肯定或排除其他診斷,並能作特殊的染色以診斷某些感染性疾病。
2、剖胸肺活檢
剖胸肺活檢術是為了直接行肺、胸膜、肺門和縱隔組織開胸活檢的方法,對不明診斷的局部或廣泛性肺部疾病,剖胸活檢術(open lung biopsy,OLB)是其他方法應與其比較的金標準。
2.1 適應證
1、經各種方法檢查,仍未能明確病變的性質,而明確診斷有利於指導治療,改善預後;
2、一般方法無法確診但無胸腔鏡術的條件,確需明確診斷者。
2.2 禁忌證
1、一般情況差,有嚴重心、肺功能障礙及其它臟器功能障礙, 不能耐受手術者;
2、嚴重的凝血功能障礙。
2.3 病人準備及器械準備
按胸外科開胸手術的術前準備。
2.4 操作方法
1、 體位:側臥位或仰臥位。
2、 麻醉:全麻氣管插管。
3、酌情確定術式:(1)局限性胸前開胸活檢術或側位開胸活檢術。通過6~8cm肋間切口,在給予一次大潮氣量後對膨出切口的肺組織活檢。此方法可用於診斷瀰漫性肺間質病、局限性外周肺疾病,併發症少和病死率低,術後需行胸腔插管閉式引流術。(2)全範圍切口開胸術。可接近胸膜、肺門、縱隔和全肺。適用於懷疑肺腫瘤者或單側肺多處需要活檢者。(3)正中胸骨切開肺活檢術。適用於兩肺病變均需活檢者。
2.5 標本處理
標本用10%福馬林溶液固定送檢。
2.6 併發症及其處理
開胸手術的併發症比微創活檢方法要多,如麻醉意外、術中術後出血、胸腔內或切口感染、氣胸、支氣管胸膜瘺、肺炎肺不張、呼吸衰竭、心功能不全、心律失常等。
術前改善心肺等重要臟器的功能是預防手術併發症的前提,術中認真、仔細、規範的操作是減少手術併發症的關鍵,術後加強監護並及時正確處理是及時發現並治療併發症、改善預後的重要保證。
針對各種併發症,採取相應的治療措施,諸如止血、抗感染、強心、利尿、抗心律失常、呼吸機輔助呼吸、支氣管鏡引流術、胸腔閉式引流術,必要時再次開胸手術治療。
流行病學
間質性肺炎-肺功能檢查 對於病因未明的ILD 尚無法預防。但吸菸者發展為特發性肺間質纖維化的危險性增加,且隨吸菸者的增加,危險性增加。病因已明的ILD 的預防應該是對於凡是在大粉塵量工作環境中的各類人員,長期接觸刺激性強的氣體如氯氣、氨、二氧化碳、甲醛和各類酸霧、放射性損傷者以及養鳥人群等進行重點監測,定期進行肺功能測定、血氣分析及常規的X 線檢查,及時早期發現疾病,及時診治。另外空氣中各種微生物、微粒、異性蛋白過敏原、有害刺激性氣體的吸入也可引起肺損害。
治療方案
間質性肺炎治療藥 特發性肺間質纖維化是一種進展性的疾病,未經治療的患者其自然病程平均2~4 年,自從套用腎上腺皮質激素後可延長到6 年左右。不論是早期還是晚期,都應立即進行治療,使新出現的肺泡炎吸收好轉,部分纖維化亦可改善並可阻止疾病發展,首選藥物為皮質激素,其次為免疫抑制劑及中藥。腎上腺皮質激素可調節炎症和免疫過程,降低免疫複合物含量,抑制肺泡內巨噬細胞的增殖和T 淋巴細胞因子功能,在肺泡炎和細胞滲出階段套用,可使部分患者的肺部X 線陰影吸收好轉,臨床症狀有顯著改善,肺功能進步。如在晚期廣泛間質纖維化和蜂窩肺階段開始治療,臨床症狀亦可有不同程度的改善,但肺部陰影和肺功能無明顯的進步。慢性型常規起始劑量為潑尼松40~60mg/d,分3~4 次服用。待病情穩定,X 線陰影不再吸收可逐漸減量,維持4~8 周后每次減5mg,待減至20mg/d 時,每周每次減2.5mg,以後10mg/d維持應短於1 年。如減量過程中病情復發加重,應再重新加大劑量控制病情,仍然有效。療程可延長至兩年,如病情需要可終身使用。應注意檢測藥物副作用,儘可能以最小的劑量,最少的副作用達到最好的效果。套用糖皮質激素時應注意機會致病菌感染,注意肺結核的復發,必要時聯合套用抗結核藥物,長期套用糖皮質激素應注意真菌的感染。如病情進展兇險或急性型發病者,可用糖皮質激素衝擊療法,如甲潑尼龍(甲基潑尼松)500mg/d,持續3~5 天,病情穩定後改口服。最後根據個體差異找出最佳維持量,避免復發。因特殊原因不能接受激素及不能耐受激素者可改用免疫抑制劑,或減少皮質激素量加用免疫抑制劑。中藥如川芎嗪、刺五加、丹參都具有活血化瘀的作用,有一定的預防間質纖維化的作用,雷公藤多甙具有確切的抗炎、免疫抑制作用,能抑制輔助T 淋巴細胞,間接地抑制了體液免疫,對預防肺間質纖維化有一定的作用,可作為重要的輔助藥物。
青黴胺與激素和單用激素治療肺間質纖維化,療效比較無明顯差異,但青黴胺+激素組副作用明顯少於單用激素組,但青黴胺套用前應做青黴胺皮試,注意其副作用,主要副作用為胃腸道反應和過敏反應。尚在實驗研究階段的抗細胞因子療法,尚無定論。其他對症治療包括糾正缺氧,改善心肺功能,控制細菌感染等。肺移植技術在一些技術先進的國家已開展並收到一定療效,單肺移植1 年存活率達73.1%,3 年存活率62.7%,雙肺移植1 年存活率70%,3 年存活率55%。
2.擇優方案
糖皮質激素治療,潑尼松(強地松)40~60mg/d,待病情穩定4~8 周逐漸減量,每次減5mg,減至20mg/d,每周每次減2.5mg,減至10mg/d,維持不應短於1 年。
3.康復治療
肺間質纖維化患者的康復也是非常重要的,包括:①營養支持療法:隨病情的進展,缺氧狀況的進一步加重,患者的活動量明顯減少,肌肉組織明顯萎縮,加之反覆合併感染,食慾減退,常常伴有體重進行性下降,最後導致呼吸肌衰竭,加重病情甚至死亡。故營養支持治療尤為重要,其目的是給病人提供合理的營養,保證機體細胞的代謝,維持器官組織的結構,參與機體的生理、免疫機能的調控與組織的修復,促進病人康復。②氧療:家中應備有氧氣瓶或小型制氧機,可隨時緩解呼吸困難症狀。③運動:病情輕者最適宜套用康復治療如醫療體育,效果較好,能顯著改善肺功能和自覺症狀,預防病變的進一步發展。病情較重者可謹慎地鍛鍊,使能適應日常輕微的活動。④預防感染:按氣候變化增減衣服,可套用免疫抑制劑,提高機體免疫力。
4.4S清肺平喘療法
4S清肺平喘療法由軍事醫學科學研究院、國際科學研究院等多位專家歷經30多年聯合研發形成的一套全方位、多立體的綜合治療體系。療法包括清肺淨肺、PI活肺治療、植物神經綜合平衡和軍科細胞免疫技術四大步驟,其中軍科細胞免疫技術是多位專家在2008年諾貝爾醫學獎DC細胞技術基礎上獨創的治療手段,它直擊哮喘病的發病根源——炎症細胞,利用特定的靶向免疫激活技術抑制和清除哮喘發病根源,真真正正防止哮喘反覆發作。
治療效果
1.當天症狀緩解。咳嗽、氣喘、呼吸困難、胸悶等症狀緩解。
2.3天內炎症消除、症狀消失,肺部和氣道功能恢復。
3.5——7天,免疫增強,炎症細胞消失,呼吸暢通,臨床治癒不復發。
磁藥疊加調節免疫療法在治療各類肺部疾病方面均有更好、更快、更安全的療效表現。這些年隨著社會不斷的發展以及人們生活水平的提高,肺部疾病也再不斷發生著各種變異。隨著時間的推移,以前的療法在臨床治療肺部疾病方面已經漸漸感到不支。
預後預防
間質性肺炎預後護理 預防:對於病因未明的ILD尚無法預防。但吸菸者發展為特發性肺間質纖維化的危險性增加,且隨吸菸者的增加,危險性增加。病因已明的ILD 的預防應該是對於凡是在大粉塵量工作環境中的各類人員,長期接觸刺激性強的氣體如氯氣、氨、二氧化碳、甲醛和各類酸霧、放射性損傷者以及養鳥人群等進行重點監測,定期進行肺功能測定、血氣分析及常規的X 線檢查,及時早期發現疾病,及時診治。另外空氣中各種微生物、微粒、異性蛋白過敏原、有害刺激性氣體的吸入也可引起肺損害。通過臨床觀察,ILD 的發病過程有時是很緩慢的,臨床上經常會遇到青年時曾接觸粉塵或毒物而到老年時期才出現明顯症狀的患者,而對於這些老年患者由於免疫功能低下,營養狀態差以及心、肺、腎等基礎疾病的存在,治療上是非常困難的,病死率甚高。老年人體力活動少可能掩蓋由於此病造成的呼吸困難、氣短等症狀,故對於此病的高危人群應以家庭為單位,以社區為範圍承擔保健職能,定期開展健康教育和保健諮詢。
併發症
主要並發肺纖維化,呼吸衰竭等。治
療間質性肺炎飲食偏方
間質性肺炎患者在發病時身體會出現一些明顯的症狀,比如呼吸困難,咳嗽等,但是我們無法通過這些來判斷間質性肺炎是否發作,因為其他疾病也會有這樣的症狀,要準確的判斷間質性肺炎,從根本上治療間質性肺炎。那么間質性肺炎有偏方嗎?
食療方法治療疾病是一種流行、是一種時尚。間質性肺炎是一種頑疾,嚴重威脅到人們的生活和健康。為了幫助患者能夠早日恢復健康,下面就為大家簡單介紹下間質性肺炎的食療方法,希望能對大家有所幫助。
一、間質性肺炎食療方法
瘦肉白菜湯:瘦肉、大白菜心各100克,姜、蒜、鹽、味素、雞油少許。瘦肉切絲,白菜洗淨、切絲,放入沸水中,剛熟時撈出,放清水漂淨,濾乾水分待用;鍋置於旺火上,下雞油燒五成熟,放人蒜,炒金黃色,再加瘦肉合炒,加入細鹽,人湯煮熟,再加白菜心煮沸,放入味素即可食用。瘦肉有補中益氣、生津潤腸功效;大白菜性平,味甘,有清熱解毒、化痰止咳、除煩通便等功效。瘦肉、白菜合食,適應於間質性肺炎引。
芹菜熘鯉魚:鯉魚250克,鮮芹菜50克,澱粉、薑絲、蒜絲、醬油、白糖、醋、精鹽、味素、黃酒、泡酸辣椒、菜油適量。將鯉魚切成絲,芹菜切段,把醬油、白糖、醋、味素、黃酒、鹽、澱粉,上湯調成汁。炒鍋置旺火上,下油燒至5成熱,放人魚絲熘散,瀝去余油,放薑絲、泡酸辣椒。芹菜段炒出香味,而後烹入芡汁,放人亮油,起鍋即可。鯉魚有清熱解毒、利尿消腫、止咳下氣等功效;芹菜有平肝清熱、祛風利濕、養神益氣等功效。鯉魚芹菜合食,適用於間質性肺炎的輔助治療。
二、間質性肺炎選擇飲食的注意事項
中醫講藥食同源,因此間質性肺炎患者的飲食多選入肺、脾、腎三經的食物,以輔助治療藥物更好的到達肺經病變部位。五行學說中白色入肺經,黃色入脾經,黑色入腎經,適當多吃些白色、黃色、黑色的骨肉果菜對間質性肺炎有一定的幫助。
三、適宜間質性肺炎的食物
果蔬類有白蘿蔔、白菜、椰菜花、洋菰、白木耳、梨子、甘蔗、小米、黑米、黑豆、黑芝麻、黑棗、黑木耳、烏骨雞、海帶、紫菜等,肉類有鴨肉、以形補形的豬牛肺;中藥材有杏仁、山藥、茯苓、白芝麻、百合、白芍、冬蟲夏草等。
夏季間質性肺炎的飲食有哪些
間質性肺炎的出現,嚴重危害著患者的身體健康,同時對患者的心理造成巨大的困擾,所以為了間質性肺炎的治癒及防止其復發,對間質性肺炎的合理護理非常重要,而在夏季,瓜果蔬菜的種類有很多。那么間質性肺炎患者可以吃什麼呢?下面小編就為大家詳細介紹一下夏季間質性肺炎的飲食。
(一)適宜間質性肺炎的食物
1、夏天最該吃的主食和豆類:
綠豆、赤豆、小米等各種主食均可,適當食用粗糧和豆製品。
夏季間質性肺炎的飲食有哪些 豬瘦肉、牛肉、魚肉、雞肉、鴨肉、動物肝臟等,奶及奶製品,鹹鴨蛋、鹹雞蛋、松花蛋、蛋黃等蛋類。
3、最適宜夏天的蔬菜:
苦瓜、絲瓜、南瓜、通菜、馬蘭頭、番茄、蒜苗、茄子、鮮藕、 綠豆芽、 黃瓜、 冬瓜、菜瓜、香菇、紫菜、海帶等。
4、夏天最該多吃的水果:
柑橘、葡萄、草莓、西瓜、梨、甜瓜、桃、楊梅、烏梅、李子、紅棗等。
(二)間質性肺炎患者飲食禁忌
1、夏天一定要少吃太熱的食物,如羊肉、狗肉等。
2、切忌因貪涼而暴吃冷飲。如果過量,會引起疾病,使人胃脹難受,以致腹痛、腹泄。
3、夏季忌暴飲暴食。
4、不要大量補水,大量喝水不僅會沖淡胃液、影響消化功能,還會引起體內水分和鹽分進一步大量流失。
夏季間質性肺炎的飲食有哪些?以上就是小編為大家詳細介紹的,希望對大家有一定的幫助。在這裡小編也提醒大家:一定要到做到上面所述的。合理的飲食不但能夠補充人體所需的營養,同時對身體調養有一定的作用。
哮喘及肺部疾病相關
| 冬季來臨,哮喘疾病又到了高發期。正確的了解哮喘疾病的相關知識及相關預防措施,對患者是有很大幫助的。 |

