病因學
放射性肺炎病理改變
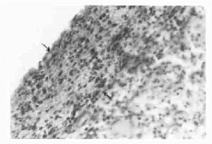
放射性肺炎急性期的病理改變多發生於放射治療後1~2月,亦有遲至治療結束後半年始發現。表現為肺血管特別是毛細血管損傷產生充血、水腫和細胞浸泣,肺泡Ⅱ型細胞再生低下,淋巴管擴張和透明膜形成。急性變化有可能自行消散,但常引起肺結締組織增生,纖維化和玻璃樣變。慢性期往往發生於放射治療9個月以後,病理為廣泛肺泡纖維化,肺臟收縮、毛細血管內膜增厚、硬化、管腔狹窄或阻塞而導致肺循環阻力增高和肺動脈高壓。胸膜也可因炎變和纖維化而增厚。細支氣管黏膜上皮間變,肺中繼發性感染,可促進放射性纖維化。
臨床表現
放射性肺炎輔助檢查
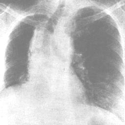
肺功能改變:肺放射性肺炎和纖維化都引起限制性通氣功能障礙,肺順應性減低,伴通氣/血流比例降低和彌散功能減低,導致缺氧。有時胸片尚未發現異常,而肺功能檢查已顯示變化。 X線表現:多數於停止放療一月後,肺部出陰影。急性期在照射的肺野上出現彌溫性片狀模糊陰影,其間隱約可見網狀影,酷似支氣管肺炎或肺水腫。病變的範圍與胸廓表面照射野一致。慢性發生肺纖維化,呈條索狀或團塊狀收縮或局限性肺不張。縱隔胸膜和心包有大量粘連,縱隔向患側移位,同側橫膈升高和胸廓塌陷。
診斷
放射性肺炎“放射性肺炎”的診斷一般並不複雜,可根據如下依據進行診斷:有放射性治療史;病人有乾性嗆咳、進行性氣急及肺部的Velcro羅音具有特徵性;胸部X線檢查可見肺部炎症或纖維化表現。多於停止放射治療一個月後出現。急性期表現為在照射肺野出現片狀或溶合成大片、緻密的模糊陰影,其間隱約可見網狀陰影,與支氣管肺炎或肺水腫極為相似。慢性期表現為肺纖維化,呈網狀,條索狀或團塊狀收縮陰影,主要分布於肺門或縱隔兩側及其他放射肺野。由於肺纖維收縮,氣管、心臟向患側移位,同側橫膈抬高,正常肺組織產生代償性肺氣腫。發生肺動脈高壓時,表現為肺動脈段突出或右心肥大。常有胸腔積液特徵。特別注意的是需與肺轉移性癌相鑑別,如果將放射性肺部損傷誤作為肺轉移性腫瘤,繼續放療,可造成死亡。放射性肺損傷的部位一般與照射野相符,經過一段時間觀察肺纖維化後病灶會回縮,而轉移癌會繼續增大。為了預防放射性肺損傷的發生,應嚴格掌握放射野、時間和劑量,以儘量避免肺部的損傷。
預防
放射性肺炎的防治關鍵在於“防”“防”的關鍵在於以下三點:(1)嚴格掌握放射劑量:一般在5周內放射量為2500rad的常規劑量較為安全。(2)控制放射野放射野越大發生率越高。(3)選擇適當的照射速度以每周劑量800-1000rad為宜,一旦發現本病應儘早開始治療阻斷病程的進展,如已發生廣泛肺纖維化則預後不良。
治療措施
放射性肺炎治療藥物辨證治療
放射性肺炎的病因病機時指出'肺是對放射線較敏感的臟器之一'正常的肺組織在胸部的放射治療時也會受到損傷。放射線直接損傷肺泡上皮和毛細血管內皮細胞'使毛細血管充血水腫'發生肺水腫'繼之小血管和支氣管壞死'逐漸出現肺纖維化和肺硬化。中醫認為放射線是一種毒熱性殺傷因素'屬熱毒之邪'熱能化火'灼傷肺臟'耗傷陰液。癌症病人正氣不
放射性肺炎辨證施治一般常分為以下三型:
一、陰傷肺燥:多見於放療後1~3個月'主要表現有刺激性乾咳'無痰或少痰'咽痛'口乾喜冷飲'胸悶心煩'或伴低熱'納食不香'舌紅少苔缺津'脈細數。治以滋陰清熱'潤肺生津'用沙參麥冬湯、清燥救肺湯加減'常用藥有麥冬、人參、半夏、阿膠、胡麻仁、石膏、枇杷葉、竹茹、竹葉、天花粉、知母、川貝、沙參、玉竹、銀柴胡、百合、白薇等。
二、肺脾氣虛兼血瘀:病人素體脾虛'加之放療損傷'病程遷延'咳嗽反覆發作'痰粘膩或稠厚成塊'色白或帶灰色'早晨咳痰較多'常伴胃脘痞滿'納差嘔惡'乏力懶動'大便稀溏'小便數'舌質紫黯'苔白膩或黃膩'脈濡滑或滑細。治以補肺健脾'祛濕化瘀'以生薑甘草湯合二陳湯加味'常用藥可選人參、黃芪、茯苓、陳皮、法半夏、白朮、蒼朮、川朴、八月扎、紅花、蘇木、鼠婦、露蜂房等。
三、熱毒熾盛、痰熱郁肺:放療後血管滲透性增強'肺泡間質水腫'易合併肺部感染'而使熱毒和痰火內郁。多表現為惡寒發熱'咳嗽痰多'痰粘厚或稠黃'咯吐不爽'咳甚胸痛或咳血'口乾欲飲'舌紅'苔薄黃或黃膩'脈滑數。治以清熱解毒'清肺化痰'以清金化痰湯、千金葦莖湯加減'用藥常選桑白皮、黃芩、山梔子、知母、魚腥草、二花、連翹、紅藤、薏苡仁、冬瓜子、貝母、栝樓、桔梗、蘆根、石斛等。
家庭護理
放射性肺炎(一)積極給予心理疏導,使患者能夠保持良好的精神狀態,樹立戰勝疾病的信心。家人需多陪伴病人,給予生活上的照顧。
(二)要注意觀察病人的呼吸次數及深淺情況,如病人出現口唇紫紺,呼吸困難時應取半臥位,給予氧氣吸入,有條件可靜滴強的松或地塞米松等,以緩解症狀。
(三)每天要觀察體溫變化,輕度發熱可予以30%酒精或溫水擦浴。推拿湧泉穴,合谷穴,曲池穴等,重者可用激素、抗生素靜滴。中藥降溫可用柴胡注射液、清開靈注射液等。
(四)注意病人咳嗽的變化和伴隨症狀,對有痰不易咳出者,可輕拍背部,由下往上幫助排痰。口服甘草合劑。如病人乾咳不能入睡時,可口服可待因0.3克。
(五)保持室內清潔,空氣新鮮,室內溫度一般在18~20℃為宜,濕度以60%~65%為佳。
(六)注意定時更換衣服、床單、被褥。保持口腔清潔,增加病人抗病能力,預防交叉感染。吸菸者一定要戒菸。
關注健康,了解疾病
| 2008年5月31日是世界衛生組織發起的第21個世界無菸日。本次無煙主題是“無煙青少年”,口號是“禁止菸草廣告和促銷,確保無煙青春好年華”。讓我們一起拒絕菸草,關注呼吸健康,了解呼吸疾病。 |

