氣管、支氣管異物概述
氣管、支氣管異物引起氣管、支氣管異物的種類以花生米、豆類、包米粒、瓜子等植物性異物最多見,也有如魚刺、骨片、圖釘、石子等。較大的異物誤吸入氣管內有可能造成立即窒息來不及搶救而死亡。
異物進入氣管,先是刺激氣管內膜引起嗆咳。以後可聽到異物隨氣流向上撞擊聲門下區的拍擊聲,咳嗽時加重。也可聽到喘鳴聲。
氣管、支氣管異物是危及小兒生命的急症,疑有異物吸入應立即到醫院喉科就診以便及時取出。在送往醫院過程中,家長要保持鎮靜,哄好孩子不要哭鬧並減少活動,以避免因異物移動引起窒息。
小兒氣管、支氣管異物是一種完全可以預防的疾病,首先要做宣傳工作。年輕父母和保教人員要教育兒童養成良好衛生習慣。小兒進食時,大人不要逗孩子說笑、哭鬧,以防食物嗆入氣管。教育孩子不要把小東西放在口內玩,糾正小兒口內含物的不良習慣。如發現小兒口內含物時,應婉言勸說使其吐出,不要用指強行挖取,以免引起哭鬧而吸入氣管內。
分類
氣管、支氣管異物多發生於5歲以下兒童,偶見於成年人,分為內源性和外源性兩類。
(1)內源性異物:呼吸道內有偽膜、乾痂、乾酪樣壞死物等堵塞。
(2)外源性異物:指經口誤吸外界物質進入氣管、支氣管而致。①植物性異物如花生、瓜子、豆類等,可因小兒牙齒髮育不完善,不能將其嚼碎,於啼哭和嬉笑後引起咽的防禦反射不健全而將異物吸入氣管。②動物性異物如魚刺、骨片等在進食時談笑而引起嗆咳而誤入氣道。③金屬類異物,如鐵釘、硬幣等含在口中,於談笑、啼哭、跌倒時吸入氣管。④化學製品如鬆動的假牙,在病人全麻或深昏迷時,由於護理不當可吸入氣管。
病因病理
氣管、支氣管異物1.機械性阻塞
(1)部分性呼氣活瓣性阻塞:異物多較固定,吸氣時因支氣管腔主動擴張,空氣經支氣管狹窄處進入肺,呼氣時支氣管收縮,異物阻塞空氣排出,導致阻塞性肺氣腫,縱隔向健側移位。
(2)部分性吸氣活瓣性阻塞:異物多可活動,吸氣時異物隨氣流向下移動,致支氣管阻塞,肺含氣量較對側減少,縱隔向患側移位;吸氣時,肺內氣體排出無明顯障礙,兩肺含氣量無明顯差別,縱隔居中。
(3)完全性阻塞:導致肺不張。
2.異物刺激性炎症
異物對局部黏膜的刺激。損傷可引起充血、水腫、潰瘍;慢性刺激可引起局部肉芽組織增生和纖維組織增生。
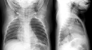
影像學表現
氣管、支氣管異物2.支氣管異物直接證象:不透X線的金屬異物在透視或照片中,可直接顯示異物的位置、形狀和大小。間接徵象:透X線及不透X線異物均可產生如下間接徵象:
(l)縱隔擺動:正常呼吸時,縱隔無左右擺動現象。支氣管異物時,一側支氣管發生部分性阻塞,呼、吸氣時兩側胸腔壓力失去平衡,使縱隔發生擺動。如為吸氣性活瓣阻塞,深吸氣時縱隔向患側移動,如為呼氣性活瓣阻塞,則呼氣時縱隔向健側移動。
(2)阻塞性肺氣腫:常與縱隔擺動時存在。表現為受阻塞的支氣管相應部位的肺透明度增高,肺紋理稀少,尤以呼氣時表現明顯。一側性肺氣腫說明異物位於患側主支氣管或其分叉處。如為肺葉性肺氣腫,可根據氣腫範圍確定異物位置。
(3)肺不張:為異物完全阻塞支氣管所致,表現為一側肺或某個肺葉、肺段的密度增高及體積縮小。
(4)肺部感染:異物停留時間較長時,相應肺葉可繼發出現肺炎,表現為密度不均勻的片絮狀模糊影像,也可以形成肺膿腫,出現空洞和液平面。
臨床表現
異物吸入後,可引起劇烈咳嗽,為乾咳、痙攣性咳。咳嗽的嚴重程度與病人的敏感性和異物的形態、停留部位密切相關,一般嬰兒的咳嗽較少且弱,粗糙或尖角的異物及移動性異物常引起較劇烈咳嗽。除咳嗽外還可有呼吸困難、失音及窒息感。異物停留較久時可並發感染症狀。
可分為:1、異物進入期;2、安靜期;3、呼吸衰竭期。
具體表現每期各不相同。
1.異物吸入後立即發生劇烈的痙攣性咳嗽、面潮紅、憋氣。 2.呼吸困難,異物大者可窒息。 3.陣發性嗆咳、喉喘鳴。 4.異物隨氣流向上衝擊聲門下區,偶可聽到拍擊音。 5.感染時高熱,氣管、支氣管炎及肺炎症狀。
輔助檢查
1.對一般患者檢查專案以檢查框限“A”為主;
2.特殊需要者檢查框限包括“A”、“B”或“C”。
診斷
氣管、支氣管異物診斷依據
1.多有異物吸入史及典型異物吸入症狀。 2.發熱、咳嗽、咳痰等急性支氣管或肺炎症狀。 3.頸胸檢查:可聽到拍擊聲、笛哨聲或聽到拍擊感。呼吸運動度差,肺患側呼吸音弱,可有肺不張或肺氣腫、氣胸、或縱隔氣腫體徵。 4.X線檢查可能有縱隔擺動、肺不張、肺氣腫。異物如為金屬即可確診。 5.支氣管鏡檢查可確診。
治療原則
1.直接喉鏡或支氣管鏡取出異物。
2.個別用支氣管鏡鉗取有困難者開胸取出。
3.抗感染、支持治療。
4.有併發症者應迅速作出相應的治療。
用藥原則
異物取除前後根據病情給予“A”項中,抗生素輔以激素治療,預防感染和水腫,注意支持及對症治療防止併發症。
急救方法
氣管、支氣管異物而另一位兩歲男孩,在醫院門診靜脈注射時邊注射邊吃果凍,突然發生窒息,當時面色青紫,四肢掙扎,值班護士立即頭朝下抱起孩子,壓腹,拍背數秒鐘後,一大塊果凍從孩子嘴裡噴了出來,孩子得救了。
氣管異物是常見的兇險性意外事故,據統計,7歲以內兒童多見,尤其以剛學會走路到兩歲間的小兒發病多,死亡率高。當小兒口中含物說話、哭笑和劇烈活動時,容易將口含物吸入氣管內引起氣管阻塞,導致窒息。加之小兒好奇心強,只要能拿到的任何東西都會往嘴裡送。
而在這種意外發生時,及時採取一定的急救措施是至關重要的,患者能夠得救也許就在這短短的幾分鐘裡。
症狀:氣管異物多發生於兒童,成年人中也偶有病例。由於不小心或著急,不慎將花生米、瓜子、棗核、圖釘、別針、鈕扣、硬幣等吸入氣管,致使氣管受到刺激,突然出現劇烈嗆咳、嘯鳴。異物堵塞氣管時,可有憋氣、聲嘶、面色蒼白或青紫、呼吸困難、甚至窒息。
急救:首先清除鼻內和口腔內嘔吐物或食物殘渣。
排除氣管異物方法之一:救護者站在病人身側後,雙臂轉繞患者腰腹部,一手握拳,用拇指側頂在心口與肚臍連線的中點,另一手重疊在握拳的手上,向上向內猛烈擠壓上腹部,擠壓要快而有力,壓後放鬆,反覆操作,以驅除異物為止,但應注意不要按壓中線兩側。
手法二:對臥位病人,讓病人屈膝蜷身,面向搶救者,而搶救者用膝和大腿抵住病人胸部,用掌根在肩胛間區脊柱上連續有力四次拍擊,使異物排出。
專家提示
本病是一種危急病症,嬰幼兒不可進食花生米、瓜子、豆類、帶殼、帶骨食物。小兒進食時不可哭、笑或打鬧。改變平時口中含物的不良習慣。昏迷病人要取出假牙及時清理嘔吐物。
相關資料
氣管、支氣管異物氣管、支氣管異物是比較兇險和常見的一種意外事故,多發生在未成年的孩子身上。如果孩子不慎發生氣管異物,做父母的就要及時採取一定的急救措施,因為孩子獲救也許就在這短短的幾分鐘裡。
可採取以下急救措施:
拍背 可將孩子倒提起來拍背。如果孩子年齡稍大,可讓孩子趴在你的膝蓋上,頭朝下,托其胸,連續用力拍其背部4下,迫使異物排出。
催吐 將手指伸進孩子口腔,刺激其舌根催吐。此法適用於較靠近喉部的氣管異物。
海氏法 美國醫生海姆里斯於1982年發明此法排除氣管異物,簡便易行,成功率較高。具體方法是:
用雙臂從孩子身後將其抱住,一手握拳,用拇指掌關節突出點頂住病人腹部正中線臍上部位,另一隻手的手掌壓在拳頭上,連續快速向後、上推壓衝擊6~10次,注意不要傷其肋骨。如果無效,隔幾秒鐘後,重複操作一次。
對於較小或已喪失意識的孩子,搶救者可將其置於平臥位,然後兩手交叉放在患兒心窩處,用力迅速向上加壓推擠。
救治機理:由於突然增大了患兒的腹內壓力,使其橫膈上抬而推擠胸腔,迫使肺泡餘氣經氣管沖向喉部,將卡在氣管內的異物衝出。因此這一急救法又被稱為餘氣衝擊法。
讓患兒取右側臥位 孩子發生氣管異物時,應馬上讓孩子取右側臥位,以便使異物由總氣管進入較粗短的右支氣管內。
這樣做的好處是:避免異物上下移動或卡人較狹長的左支氣管,使左支氣管保持通暢,維持呼吸,為去醫院搶救贏得時間。
若採取上述方法均未奏效,應分秒必爭地儘快送醫院耳鼻喉科,在喉鏡或氣管鏡下取出異物。對呼吸停止者應給予口對口人工呼吸。
小心提防 把握細節
●儘可能將食物(包括果凍)搗爛、碾碎以後再餵給孩子。
●常言道:吃不言,睡不語。要給孩子營造良好的就餐環境,讓孩子養成認真吃飯的習慣,不可邊玩邊吃或仰臥位進食。
●孩子哭鬧或嬉笑時,不可往孩子口中塞食物,尤其是瓜子和花生米等堅果類食物。
●勿使小兒接觸紙片、碎雞蛋皮等生活垃圾。
●給孩子選擇合適的玩具,不要給幼兒玩易拆卸成小塊的玩具,包括筆帽、塑膠管、紐扣等。
●玩氣球時,應注意不要讓孩子將氣破碎片放在嘴上吸。
●教育國小生勿養成咬筆頭、筆帽的壞習慣。
人工呼吸
1、鬆開頸部衣物,如領帶、領口等,儘可能使孩子氣道暢通,並清除口腔及咽喉內任何看得見的異物。
2、急救者張大嘴巴,深深吸氣,用手指捏緊孩子的鼻孔,將嘴緊罩在孩子的嘴上。
3、將空氣吹入孩子的肺中,直到他的胸部擴張到極限為止,接著將嘴移離孩子,呼出殘餘的空氣,看孩子的胸部收縮後,再吸人新鮮空氣。然後再重複步驟二和步驟三。
4、施過兩次人工呼吸後,檢查孩子脖子一側的大動脈,若有了跳動,可繼續施行人工呼吸法,直到孩子恢復自然呼吸為止。
5、如果孩子心臟停止跳動,必須立即為他做體外心臟按壓。

