簡介

肺炎指由不同病原體或其他因素導致的肺部炎症,是一種相當古老的疾病,在公元前1200年的埃及木乃伊上就找到了此病存在的證據,在抗生素出現之前的時代,據估計罹患肺炎者大約有三分之一的人將難免一死。抗生素的出現雖然使肺炎的死亡率大大地下降,但時至今日,作為兒科常見病的肺炎,每年仍可導致約140萬兒童死亡(其中99%的死亡發生在開發中國家),是兒童死亡的第一病因,故我們稱其為兒童第一殺手絕非虛言。
肺炎可由細菌,病毒,真菌,寄生蟲等致病微生物,以及放射線,吸入性異物等理化因素引起。細菌性肺炎採用適當的抗生素治療後,七至十天之內,多可治癒。病毒性肺炎的病情稍輕,藥物治療無功效,但病情持續很少超過七天。
分類
肺炎由可由細菌,病毒,真菌,寄生蟲等致病微生物,以及放射線,吸入性異物等理化因素引起。細菌性肺炎採用適當的抗生素治療後,七至十天之內,多可治癒。病毒性肺炎的病情稍輕,藥物治療無功效,但病情持續很少超過七天。
解剖形態學分類

將肺炎分成大葉性肺炎、支氣管肺炎、間質肺炎及毛細支氣管炎等。
根據病原體分類
包括細菌性肺炎,常見細菌有肺炎鏈球菌、葡萄球菌、嗜血流感桿菌等。
病毒性肺炎,常見病毒如呼吸道合胞病毒、流感病毒、副流感病毒、腺病毒等。
根據病程分類
分為急性肺炎 、遷延性肺炎及慢性肺炎,一般遷延性肺炎病程長達1~3月,超過3個月則為慢性肺炎。
根據感染途徑分類
包括社區型肺炎和院內感染型肺炎等。社區型肺炎是嚴重的疾病。在英國是第四大主要死因,在美國則是第六大死因。
院內感染性肺炎,又稱為醫院肺炎,是因其他疾病或治療而住院後所得到的一種肺部感染。其被認定與社區感染性肺炎(CAP)為不同的疾病,因為病因、微生物學、治療及預後都不同。住院病患有很多造成肺炎的危險因子,包括呼吸器使用、長期營養不良、潛在心肺疾病、胃酸缺乏及免疫疾病等。
根據臨床表現分類
包括典型性肺炎和非典型性肺炎。
肺炎對於短時間內無法明確病因的肺炎,則根據其臨床表現分類。病原體明確的肺炎往往在臨床表現中有一定的規律,臨床表現相對典型,如肺炎球菌性肺炎有發熱、咳嗽,肺部聽診有小水泡音,胸片顯示片狀陰影,可稱為典型性肺炎。
再如支原體肺炎,在人們認識這種疾病之前,發熱、咳嗽、肺部聽診、胸部X片等臨床表現均不典型,故剛開始也曾被稱為非典型性肺炎。後來,在經過血清免疫學等檢查,找到並分離出肺炎支原體後,就將其從非典型肺炎之中分出來,不再將支原體肺炎稱為非典型肺炎。所以非典型肺炎只是一種人們暫時還沒有找到明確的病原體之前的一種過渡性名稱。
其他種類肺炎
嚴重急性呼吸系統綜合徵(SARS)
卡氏肺囊蟲性肺炎
閉塞性細支氣管炎伴機化性肺炎
嗜酸細胞性肺炎
病因

肺炎是細菌、病毒等致病微生物侵入肺臟引起的炎症,引起肺炎的病因多種,多種病原體引起,如細茵、病毒、真茵、寄生蟲等,其他如放射線、化學、過敏因素等亦能引起肺炎。其中以病原體引起的肺炎多見。
免疫防禦機制如對吸入氣體的過濾和濕化、會厭和咳嗽反射、支氣管纖毛粘液排泄系統、體液和細胞免疫功能的作用,使氣管、支氣管和肺泡組織保持無菌狀態。免疫功能受損(如受寒、飢餓、疲勞、醉酒、昏迷、毒氣吸入、低氧血症、肺水腫、尿毒症、營養不良、病毒感染以及套用糖皮質激素、人工氣道、鼻胃管等)或進入下呼吸道的病原菌毒力較強或數量較多時,則易發生肺炎。
細菌性肺炎
多種細菌均可引起肺炎,其中絕大多數為肺炎球菌,其中以Ⅲ型致病力最強。肺炎球菌為革蘭陽性球菌,有莢膜,其致病力是由於高分子多糖體的莢膜對組織的侵襲作用。少數為肺炎桿菌、金黃色葡萄球菌、溶血性鏈球菌、流感嗜血桿菌等。
1、需氧革蘭染色陽性球菌,如肺炎球菌、金黃色葡萄球菌、甲型溶血性鏈球菌等。
2、需氧革蘭染色陰性菌,如肺炎克雷白桿菌、流感嗜血桿菌、埃希大腸桿菌、綠膿桿菌等。
3、厭氧桿菌如棒狀桿菌、梭形桿菌等。
病毒性肺炎
如腺病毒、呼吸道合胞病毒、流感病毒、麻疹病毒、巨細胞病毒、單純皰疹病毒等都是肺炎的發病原因。
支原體肺炎
由肺炎支氣體引起。
真菌性肺炎
肺炎的發病原因如白色念珠菌、曲菌、放線菌等。
其他病原體所致肺炎
如立克次體(如Q熱立克次體)、衣原體(如鸚鵡熱衣原體)、弓形體(如鼠弓形體)、原蟲(如卡氐肺孢子蟲)、寄生蟲(如肺包蟲、肺吸蟲、肺血吸蟲)等。機體免疫力低下者(如愛滋病患者)容易伴發肺部卡氏肺包子蟲、軍團菌、鳥形分支桿菌、結核菌、弓形體等感染。
臨床表現

多數起病急驟,常有受涼淋雨、勞累、病毒感染等誘因,約1/3患病前有上呼吸道感染。病程7~10天。
寒戰與高熱
典型病例以突然寒戰起病,繼之高熱,體溫可高達39℃~40℃,呈稽留熱型,常伴有頭痛、全身肌肉酸痛,食量減少。抗生素使用後熱型可不典型,年老體弱者可僅有低熱或不發熱。
咳嗽與咳痰
初期為刺激性乾咳,繼而咳出白色粘液痰或帶血絲痰,經1~2天后,可咳出粘液血性痰或鐵鏽色痰,也可呈膿性痰,進入消散期痰量增多,痰黃而稀薄。
胸痛
多有劇烈側胸痛,常呈針刺樣,隨咳嗽或深呼吸而加劇,可放射至肩或腹部。如為下葉肺炎可刺激隔胸膜引起劇烈腹痛,易被誤診為急腹症。
呼吸困難
由於肺實變通氣不足、胸痛以及毒血症而引起呼吸困難、呼吸快而淺。病情嚴重時影響氣體交換,使動脈血氧飽和度下降而出現紫紺。
其他症狀
少數有噁心、嘔吐、腹脹或腹瀉等胃腸道症狀。嚴重感染者可出現神志模糊、煩躁、嗜睡、昏迷等。
體徵
肺炎球菌肺炎患者多呈急性面容,雙頰緋紅,皮膚乾燥,口角和鼻周可出現單純性皰疹。有敗血症者,皮膚黏膜可有出血點,鞏膜黃染,心率增快或心律不齊。革蘭陰性桿菌肺炎病變範圍大者,可有肺實變體徵,雙肺下野及背部可聞及濕性囉音。肺炎支原體肺炎患者體徵多不明顯,可有咽部中度充血,肺部乾、濕囉音,耳鏡可見鼓膜充血、甚至出血,呈炎症性改變。病毒性肺炎胸部體徵亦不突出,有時偶爾可在下肺聞及濕囉音。
檢查
肺炎病人要做哪些檢查一旦懷疑自己患了肺炎,應及時去醫院做進一步檢查,已明確診斷並及時治療,以免貽誤病情。首先應向醫生肺炎表現症狀,講清自己的發病情況及症狀,對患有肺炎的病人一般應作如下檢查:
血常規檢查
這是最常用的檢查手段,其中包括血白細胞總數,各種白細胞在白細胞總體中所占的百分比。正常人白細胞總數在4~10×109個/L,中性白細胞百分比小於70%,如果白細胞總數超過10×109個/L,中性白細胞百分比超過70%,我們就說這個病人的血象高,這是細菌性肺炎常見的血象改變。
動脈血分氣析
可出現動脈血氧分壓下降、二氧化碳分壓下降,但合併慢性阻塞性肺疾病是,因肺泡換氣不良課出現二氧化碳分壓升高。
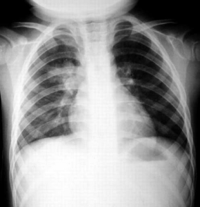
X 線胸片檢查
通過給病人進行X線胸片檢查,可以直接了解肺部的變化,這是診斷肺炎的重要手段,雖然通過血象和X線胸片可以診斷肺炎,但肺炎是由什麼病原體引起的,是由細菌,還是由病毒,支原體,真菌等引起的,細菌的種類是什麼,上述兩項檢查就不能告訴我們了,只能合理的取患者的痰、血做培養有可能真正找出致病菌。醫生們就可以有針對性的採用對病原體敏感的藥物進行治療了。血常規、胸部X線檢查及痰的檢查是患有肺炎病人進行的最基本檢查,除此之外還有胸部CT檢查(醫學上稱為電子計算機斷層掃描)。但是如果病人在同一部位反覆發生肺炎或X線胸片上有其它可疑的病變,而一般檢查難以明確診斷時,就需要進行胸部CT檢查或其他更進一步的檢查。
診斷
對於肺炎的診斷,胸腔X光照射肺部出現浸潤現象是診斷肺炎的黃金標準,支持性的診斷方法則是由病患的痰液或血液進行微生物的培養。當懷疑有肺炎時,通常會進行血液檢查:完全血球計數可以顯示出嗜中性球的增生(除了某些免疫不全或嗜中性球減少症的病患之外)。若病情發展為敗血症,病患的腎功能可能有下降的情形。在離子的測定方面,通常由於肺炎的肺部組織釋出抗尿激素而導致納離子的降低。
若為院內感染或是因免疫不全所造成的肺炎,其診斷會比較困難,甚至可能需要進行肺部的斷層掃描以區分可能造成肺炎的原因(例如肺栓塞)。若病患亦有其它的症狀或不適(例如血管炎,肉狀瘤病或是肺癌等)時,斷層掃描亦具有其套用性。
確定肺炎診斷首先必須把肺炎與上呼吸道感染和下呼吸道感染區別開來。呼吸道感染雖然有咳嗽、咳痰和發熱等症狀,但各有其特點,上下呼吸道感染無肺實質浸潤,胸部X線檢查可鑑別。
其次,必須把肺炎與其他類似肺炎區別開來。肺炎常需與下列疾病鑑別。
(一)肺結核
肺結核多有全身中毒症狀,如午後低熱、盜汗、疲乏無力、體重減輕、失眠、心悸等。X線胸片見病變多在肺尖或鎖骨上下,密度不勻,消散緩慢,且可形成空洞或肺內播散。痰中可找到結核桿菌。一般抗菌藥物治療無效。
(二)肺癌
多無急性感染中毒症狀,有時痰中帶血絲。血白細胞計數不高,若痰中發現癌細胞可以確診。肺癌可伴發阻塞性肺炎,經抗生素治療後肺炎症不易消散,或可見肺門淋巴結腫大,有時出現肺不張。若經過抗生素治療後肺部炎症不易消散,或暫時消散後於同一部位再出現肺炎,應密切隨訪,對其是有吸菸史及年齡較大的患者,更需加以注意,必要時進一步做CT、MRI、纖維支氣管鏡和痰脫落細胞等檢查,以免貽誤診斷。
(三)急性肺膿腫
早期臨床表現與肺炎鏈球菌肺炎相似。但隨著病程病程進展,咳出大量膿臭痰為肺膿腫的特佂。X光片顯示膿腔及氣液平,易與肺炎相鑑別。
(四)肺血栓栓塞
肺血栓栓塞症多有靜脈血栓的危險因素,如血栓性靜脈炎、心肺疾病、創傷、手術和腫瘤等病史,可發生咯血、暈厥,呼吸困難較明顯,頸靜脈充盈,X光線胸片示區域性肺紋理減少,有時可見尖端指向肺門的楔形陰影,動脈血氣分析常見低氧血症及低碳酸血症。D-二聚體、CT肺動脈造影、放射性核素肺通氣/灌注掃描和MRI等檢查可幫助進行鑑別。
(五)非感染性肺部浸潤
非感染性肺部浸潤需排除非感染性肺部疾病,如肺間質纖維化、肺水腫、肺不張、肺嗜酸性粒細胞浸潤症和肺血管炎等。
如果肺炎的診斷成立,評價病情的嚴重程度、肺部炎症的播散和全身炎症反應程度。
治療
西醫治療
1、抗感染治療是肺炎治療的最主要環節。細菌性肺炎的治療包括經驗性治療和針對病原體治療。前者主要根據本地區、本單位的肺炎病原體流行病學資料,選擇可能覆蓋病原體的抗菌藥物;後者則根據呼吸道或肺組織標本的培養和藥物敏感試驗結果,選擇體外試驗敏感的抗菌藥物。此外,還應該根據患者的年齡、有無基礎疾病、是否有誤吸、住普通病房或是重症監護病房、住院時間長短和肺炎的嚴重程度等,選擇抗菌藥物和給藥途徑。
2、青壯年和無基礎疾病的社區獲得性肺炎患者,常用青黴素類、第一代頭孢菌素等,由於我國肺炎鏈球菌對大環內酯類抗菌藥物耐藥率高,故對該菌所致的肺炎不單獨使用大環內酯類抗菌藥物治療,對耐藥肺炎鏈球菌可使用對呼吸系感染有特效的氟喹諾酮類(莫西沙星、吉米沙星和左氧氟沙星)。
3、老年人、有基礎疾病或需要住院的社區獲得性肺炎,常用氟哇諾酮類、第二、三代頭抱菌素、β-內醯胺類/β-內醯胺酶抑制劑,或厄他培南,可聯合大環內醋類。
4、醫院獲得性肺炎常用第二、三代頭孢菌素、β-內醯胺類β-內醯胺酶抑制劑、氟喹諾酮類或碳青黴烯類。
5、重症肺炎的治療首先應選擇廣譜的強力抗菌藥物,並應足量、聯合用藥。因為初始經驗性治療不足或不合理,或而後根據病原學結果調整抗菌藥物,其病死率均明顯高於初始治療正確者。重症社區獲得性肺炎常用β-內醯胺類聯合大環內醋類或氟喹諾酮類;青黴素過敏者用氟喹諾酮類和氨曲南。醫院獲得性肺炎可用氟喹諾酮類或氨基糖昔類聯合抗假單胞菌的β-內醯胺類、廣譜青黴素/β-內醯胺酶抑制劑、碳青黴烯類的任何一種,必要時可聯合萬古黴素、替考拉寧或利奈唑胺。
6、肺炎的抗菌藥物治療應儘早進行,一旦懷疑為肺炎即馬上給予首劑抗菌藥物。病情穩定後可從靜脈途徑轉為口服治療。肺炎抗菌藥物療程至少5天,大多數患者需要7-10天或更長療程,如體溫正常48-72小時,無肺炎任何一項臨床不穩定徵象可停用抗菌藥物。肺炎臨床穩定標準為:①T≤37.8℃;②心率≤100次/分;③呼吸頻率≤24次/分;④血壓:收縮壓≥90mmHg;⑤呼吸室內空氣條件下動脈血氧飽和度≥9O%或PaO2≥60mmHg;⑥能夠口服進食;⑦精神狀態正常。
7、抗菌藥物治療後48-72小時應對病情進行評價,治療有效表現體溫下降、症狀改善、臨床狀態穩定、白細胞逐漸降低或恢復正常,而X線胸片病灶吸收較遲。如72小時後症狀無改善,其原因可能有:①藥物未能覆蓋致病菌,或細菌耐藥,②特殊病原體感染如結核分枝桿菌、真菌、病毒等。③出現併發症或存在影響療效的宿主因素(如免疫抑制)。④非感染性疾病誤診為肺炎。⑤藥物熱。需仔細分析,作必要的檢查,進行相應處理。
8、使用器械治療法——呼吸機治療。
處理肺炎方法
臥床休息,大量飲水。必須看醫生,可能要住院。亦可能在診所打針食藥,一定要依時服藥,並且要完成抗生素療程。
醫生會檢查患者,確定診斷。
接受胸部X射造影檢查,以確定診斷及看看有沒有潛在原因。完成療程後,再次接受X射線檢查胸部,看看是否已完全痊癒。
如果痰積聚太多,物理治療也有幫助。
支原體肺炎治療
小兒支原體肺炎的治療與一般肺炎的治療原則基本相同,採取綜合治療措施。包括一般治療、對症治療、抗生素的套用、腎上腺皮質激素,以及肺外併發症的治療等5個方面。
1、一般治療
呼吸道隔離:由於支原體感染可造成小流行,且患兒病後排支原體的時間較長,可達1~2個月之外。嬰兒時期僅表現為上呼吸道感染症狀,在重複感染後才發生肺炎。同時在感染支原體期間容易再感染其它病毒,導致病情加重遷延不愈。因此,對患兒或有密切接觸史的小兒,應儘可能做到呼吸道隔離,以防止再感染和交叉感染。
護理:保持室內空氣新鮮,供給易消化、營養豐富的食物及足夠的液體。保持口腔衛生及呼吸道通暢,經常給患兒翻身、拍背、變換體位,促進分泌物排出、必要時可適當吸痰,清除粘稠分泌物。
氧療對病情嚴重有缺氧表現者,或氣道梗阻現象嚴重者,應及時給氧。其目的在於提高動脈血氧分壓,改善因低氧血症造成的組織缺氧。給氧方法與一般肺炎相同。
2、對症處理
祛痰:目的在於使痰液變稀薄,易於排出,否則易增加細菌感染機會。但有效的祛痰劑甚少,除加強翻身、拍背、霧化、吸痰外,可選用必嗽平、痰易淨等祛痰劑。由於咳嗽是支原體肺炎最突出的臨床表現,頻繁而劇烈的咳嗽將影響患兒的睡眠和休息,可適當給予鎮靜劑如水合氯醛或苯巴比妥,酌情給予小劑量待因鎮咳,但次數不宜過多。
平喘:對喘憋嚴重者,可選用支氣管擴張劑,如氨茶鹼口服,4~6mg/(kg﹒次),每6h1次﹔亦可用舒喘靈吸入等。
3、抗生素的套用
根據支原體微生物學特徵,凡能阻礙微生物細胞壁合成的抗生素如青黴素等,對支原體無效。因此,治療支原體感染,應選用能抑制蛋白質合成的抗生素,包括大環內脂尖、四環素類、氯黴素類等。此外,尚有林可黴素、氯林可黴素、萬古黴素及磺胺類如SMZxo等可供選用。
大環內脂類抗生素:以上各種中常選用大環內脂類抗生素如紅黴素、螺鏇黴素、麥迪黴素、白黴素等。其中又以紅黴素為首選,該藥使用廣泛,療效肯定。對消除支原體肺炎的症狀和體徵明顯,但消除支原體效果不理想,不能消除肺炎支原體的寄居。常用課桌一為50mg/(kg﹒d),輕者分次口服治療即可,重症可考慮靜脈給藥,療程一般主張不少於2~3周,停藥過早易於復發。常用口服劑有無味紅黴素及紅黴素腸溶片,口服紅黴素自腸道吸收,空腹服用紅黴素250mg,高峰血濃度於給藥後2~3h達到0.3~0.7μg/ml﹔劑量加倍,高峰血濃度為0.3~1.9μg/ml。靜脈注射紅黴素乳糖酸鹽300mg,4min的血濃度平均為40.9μg/ml,2h後為2.6μg/ml,6h後為0.32μg/ml。如每12h連續靜脈滴注紅黴素乳糖酸鹽1g,則8h後的血藥濃度可維持4~6μg/ml。而痰中平均嘗試為2.6(0.9~8.4)μg/ml。紅黴素主要經膽汁排泄,部分可從腸道內重新吸收。相當量的紅黴素在肝內代謝滅活。口服給藥量的2.5%和注射給藥的15%以活性物質自尿中排出。血液透析和腹膜透析皆不能將紅黴素自體內清除。在使用紅黴素製劑時應注意其毒副作用。各種口服製劑皆可引起噁心、嘔吐、腹痛、腹瀉等胃腸道症狀;靜脈滴注時可發生血栓性靜脈炎;偶有過敏反應發生,表現為藥物熱、麻疹等。值得注意的是紅性黃疸,往往在給藥14~21d產生上腹疼痛、噁心嘔吐,相繼出現發熱、黃疸、白細胞及嗜酸性粒細胞增多,血清膽紅質和轉氨增高,停藥後2~3d可恢復正常,但再給藥又可重新出現上述症狀。另外,大劑量紅黴素的套用偶可引起耳鳴和暫時性聽覺障礙,一般發生於靜脈給藥或有腎功能減退和(或)肝臟損害者。嬰幼兒口服無味黴素後可出現增生性幽門狹窄,口服紅黴素後也有出現假膜性腸炎者。套用紅黴素期間尿中兒茶酚胺、17-羥類固醇和血清轉氨有增高現象,血清葉酸和尿雌二醇有降低情況。若與茶鹼類藥物同用時,有增加茶鹼和血液中濃度的作用。所以,在合用茶鹼類藥物時,應減量使用或避免合用。
四環素類抗生素支原體感染雖有肯定療效,但其毒副作用較多,尤其是四環素對骨骼和牙生長的影響,即使是短期用藥,四環素的色素也能與新形成的骨和牙中的鈣相結合,使乳牙黃染。故不宜在7歲以前兒童時期套用。氯黴素和磺胺類因為治療支原體感染的療程較長,而氯黴素類、磺胺類抗菌藥物毒副作用較多,不宜長時間用藥,故臨床上較少用於治療支原體感染。
氟酮類近年來有用氟酮類(fluroqumolone)藥物治療支原體感染的報導。氟酮類屬於合成抗菌藥,通過抑制DNA鏇轉,阻斷DNA複製發揮抗菌作用。環丙氟酸(ciproflaxacin)、氧氟沙星(ofloxacin)等藥物在肺及支氣管分泌物中濃度高,能穿透細胞壁,半衰期長達6.7~7.4h。抗菌譜廣,對支原體有很好的治療作用。前者10~15mg/(kg﹒d),分2~3次口服,也可分次靜滴﹔後者10~15mg/(kg﹒d),分2~3次口服,療程2~3周。
4、腎上腺糖皮質激素的套用
因為目前認為支原體肺炎是人體免疫系統對支原體作出的免疫反應。所以,對急性期病情發展迅速嚴重的支原體肺炎或肺部病變遷延而出現肺不張、肺間質纖維化、支氣管擴張或有肺外併發症者,可套用腎上腺皮質激素。如氫化可的松或琥珀酸氫化可的松,每次5~10mg/kg,靜滴﹔或地塞米松0.1~0.25mg/(kg﹒次),靜滴﹔或強的松1~2mg/(kg﹒d),分次口服,一般療程3~5d。套用激素時注意排出結核等感染。
5、肺外併發症的治療
目前認為併發症的發生與免疫機制有關。因此,除積極治療肺炎、控制支原體感染外,可根據病情使用激素,針對不同併發症採用不同的對症處理辦法。
6、衣原體肺炎的治療
磺胺異惡唑(SIZ)用量為50~70mg/(kg·d),分2~4次口服,可用於治療沙眼衣原體肺炎。
支持治療對病情較重、病程較長、體弱或營養不良者應輸鮮血或血漿,或套用丙種球蛋白治療,以提高機體抵抗力。
肺炎衣原體(chlamydiapneumoniae)為新發現的一種衣原體,主要引起呼吸道和肺部感染。1986年Grayeton等在學生急性呼吸道感染中,發現一種衣原體,以後於成人呼吸道疾病中亦被發現,當時命名為鸚鵡熱衣原體TWAR-TW株,後經研究證明該衣原體為一新種、並定名為肺炎衣原體。
肺炎衣原體常在兒童和成人中產生上呼吸道和呼吸道感染。現僅知人是該衣原體宿主,感染方式可能為人與人之間通過呼吸道分泌物傳播。5歲以下兒童極少受染,8歲以上兒童及青年易被感染,尤其是人群聚集處,如家庭、學校、兵營中易於流行。經血清流行病學調查,證實成人中至少有40%已受到該衣原體感染,大部分為亞臨床型。老年人可再次受到感染。
衣原體肺炎的治療原則與一般肺炎的治療原則大致相同。
1、一般治療
注意加強護理和休息,保持室內空氣新鮮,並保持適當室溫及濕度。保持呼吸道通暢,經常翻身更換體位。煩躁不安可加重缺氧,故可給適量的鎮靜藥物。供給熱量豐富並含有豐富維生素、易於消化吸收的食物及充足水分。
2、抗生素治療
大球內酯類抗生素①紅黴素:衣原體肺炎的抗生素應首選紅黴素,用量為50mg/(kg·d),分3~4次口服連用2周。重症或不能口服者,可靜脈給藥。眼淚中紅黴素可達有效濃度,還可清除鼻咽部沙眼衣原體,可預防沙眼衣原體肺炎的發生。②羅紅黴素或羅力得:用量為5~8mg/(kg·d),分2次於早晚餐前服用,連用2周。如在第1療程後仍有咳嗽和疲乏,可用第2療程。③阿奇黴素(sumamed):是一種氮環內脂類抗生素,結構與大環內脂類抗生素相似。口服吸收很好,最高血清濃度為0.4mg/L。能迅速分布於各組織和器官。對衣原體作用強。治療結束後,藥物可維持在治療水平5~7d。t1/2為12~14h,每日口服1次,療程短。以藥物原型經膽汁排泄。與抗酸藥物的給藥時間至少間隔2h。尚未發現與茶鹼類、口服抗凝血藥、卡馬西平、苯妥英鈉、地高辛等有相互作用。兒童(體重10kg以上)第一天每次10mg/kg,以後4d每天每次5mg/kg,1次頓服,其抗菌作用至少維持10天。④甲紅黴素(clarithromycin):在體外對肺炎衣原體內脂類藥物治療肺炎衣原體感染與紅黴素同樣有效。
葡萄球菌性肺炎治療
一般病死率為30%~40%。造成死亡的部分原因是大多數病人伴有嚴重的合併症。然而有些成年人本來很健康,但在流感後得了這種肺炎,病情發展快,最後導致死亡。抗生素療效慢,恢復期長。
大多數金黃色葡萄球菌產生青黴素酶,且對甲氧西林的耐藥性正在增加。一般主張用一種能抗青黴素酶的青黴素(如苯唑西林或萘夫西林2g,靜脈注射,每4~6小時1次。另一類主要藥物是頭孢菌素:常用的為頭孢噻吩或頭孢孟多2g,靜脈注射,每4~6小時1次,頭孢唑啉0。5~1。0g,靜脈注射,每8小時1次,或頭孢呋辛750mg,靜脈注射,每6~8小時1次。第三代頭孢菌素的效果不如第一代或第二代製劑。林可黴素600mg靜脈注射,每6~8小時1次對90%~95%菌株有效。
一般認為,對甲氧西林耐藥的菌株,對所有β-內醯胺抗生素均有抵抗力。在許多醫院,此類菌株占醫院獲得性葡萄球菌的30%~40%,而僅占社區獲得性感染的5%。如懷疑或經體外藥敏試驗證明對甲氧西林耐藥,一般用萬古黴素。常用劑量為1g靜脈注射,每12小時1次;有腎功能衰竭時適當調整用量。
中醫治療
引起肺炎的病原很複雜,包括細菌、病毒、支原體等多種。但由肺炎球菌引起的肺炎最為多見,達83%,居首位。在世界範圍內,有5-10%的健康成人和20-40%的健康兒童是肺炎球菌的攜帶者。肺炎球菌一般寄居在正常人的鼻咽部,一般不會發病,當人體免疫力下降時,如感冒、勞累、慢性支氣管炎,慢性心臟病、長期吸菸等,肺炎球菌即可乘機侵入人體,引起肺炎、中耳炎、鼻竇炎、腦膜炎、心內膜炎、敗血症等。又由於近年來抗生素的廣泛套用,使肺炎球菌對多種藥物產生了耐藥性,這又為治療帶來了困難。
苗醫認為肺炎是外界熱毒侵入肺部,導致肺熱毒濕。目前,市面上西醫治療肺炎運用大量抗生素,見效快,但會產生較多副作用,何氏宣肺方以其苗醫獨特的醫術特色,采純天然苗嶺藥材桔梗、一朵雲、十大功勞、野薑葉、白果等配製,祖傳秘法研製,均精細配伍而成,藥效更強勁、持久,且藥材質量上乘,安全可靠,不傷害腸胃,不會產生藥物依賴性,無副作用,天然苗藥高效治療肺炎,效果非常好。治癒後不復發,為患者的首選治療手段。
穴位治療
1,按揉膻中穴:膻中穴
位置:在胸部正中線上,兩乳頭連線與胸骨中線的交點。
按摩方法:以左手大魚際或掌根貼於穴位,逆時針方向按摩2分鐘,以脹麻感想胸部放散為最佳。
功效:膻中主一身之氣,刺激膻中,可以理氣止痛,經常按摩可以改善呼吸困難、咳嗽、胸部疼痛、肺炎等症狀。
2,按揉中府穴
位置:胸前壁外側,突起下方,第一肋間隙中。
按摩方法:用中指點按中府穴不動,約半分鐘然後向外揉2分鐘,當時即可感覺到呼吸通暢,咳嗽症狀緩解。
功效:中府穴為肺的募穴,俞募配穴治療肺系疾病,經常按摩可改善咳嗽、氣管炎、支氣管哮喘、肺炎、胸滿痛等症。
3,點按天突穴
位置:頸部前正中線上,胸骨上窩凹陷的中央。
按摩方法:用左手指指尖點於天突穴,指力沿胸骨柄的後緣向下點不動1分鐘,力度以不影響呼吸為最佳。
功效:經常按摩天突穴可起到宣通肺氣通經活絡降氣化痰的作用,可幫助緩解咳嗽、咽喉腫痛、支氣管哮喘、支氣管炎、咽炎、扁桃體炎等。
預防
有多種方式可以預防肺炎。適當地治療潛伏期疾病(如愛滋病)能夠降低患肺炎的危險。戒菸也很重要,不僅僅是因為戒菸能減少肺部損傷,而且因為吸菸會影響身體對肺炎的自然抵抗能力。
研究表明有幾種方法可以預防新生兒所得肺炎。對孕婦做B組鏈球菌和沙眼衣原體的檢測,並在需要的情況下用抗生素治療,能夠減少患肺炎的新生兒。用力吸出嬰兒嘴中和喉嚨中沾有胎兒排泄物的羊水能夠降低吸入性肺炎的可能性。
對於兒童和成人,注射疫苗是一種非常重要的預防方式。在出生第一年注射流感嗜血桿菌和肺炎鏈球菌疫苗能很大程度上降低這些細菌引起兒童得肺炎的重要性。對肺炎鏈球菌的疫苗同時能減少成人患該種肺炎的可能,因為這種肺炎主要是從兒童傳播到成人。HiB疫苗如今在全球都得到了廣泛使用。兒童細菌性肺炎疫苗依然是2009年高收入國家最廣泛套用的疫苗,雖然這一現狀正在改變。2009年,盧安達成為第一個引進該疫苗作為國家免疫計畫的低收入國家。
肺炎鏈球菌疫苗對成人同樣有效。在美國,所有65歲以上健康成人和患有肺氣腫、心衰竭、糖尿病、肝硬化、酒精中毒、腦脊液滲漏或沒有脾臟的成人,都推薦接受該疫苗。5到10年後應重複注射疫苗。
注射肺炎鏈球菌疫苗的人應該每年注射一次流行性感冒疫苗。另外,衛生工作者,家庭護工和孕婦應該接種流行性感冒疫苗。當流行性感冒爆發時,金剛烷胺、金剛乙胺、扎那米韋和奧司他韋等藥劑可以幫助預防流行性感冒。
生理學常見疾病
| 人體主要體統包括:心血管、呼吸、泌尿、生殖、神經系統、內分泌系統,認識疾病因包括以下幾個方面:疾病的病因、發病機制和病理改變,以及各系統疾病在發展嚴重時可能出現的共性病理過程。 |
春季易發疾病大點兵
| 春季是很多疾病肆虐的時間,這些疾病都是可以預防的,早知道,早預防,早發現,讓疾病遠離我們,擁有一個健康的春天。 |

