病因
腎盂腎炎 腎盂腎炎在臨床較為常見,腎盂腎炎的病因也很多,主要是性交、膀胱炎、尿路梗阻、腎實質病變等。所以在生活中我們要積極的注意這幾個腎盂腎炎的病因,做好對應的預防。
腎盂腎炎的病因表現在多個方面:
腎盂腎炎又稱上尿路感染,可分為急性腎盂腎炎與慢性腎盂腎炎兩種。急性腎盂腎炎多發生於生育年齡的女性,病人常有腰痛、腎區壓痛、叩痛、伴寒戰、發熱,頭痛、噁心嘔吐等全身症狀,以及尿頻尿急和尿痛等膀胱刺激征,驗血可見白細胞增高。一般無高血壓或氮質血症。病人尿液混濁,可有肉眼血尿,尿常規鏡檢有多量白細胞或膿細胞,可有少許紅細胞及管型,蛋白少許至中等量。慢性腎盂腎炎多系急性腎盂腎炎治療不及時、不徹底而引起,一般認為病程超過6個月以上即慢性。若為尿路梗阻引起者,誘發因素未及時糾正、消除,炎症長期不消退,可逐漸轉為慢性,最終導致尿毒症。
由於腎小管損害比腎小球重而且早,故常出現腎小管功能不全症狀,如多尿、夜尿,尿比重低,腎小管性酸中毒等。也有的病人,以青壯年多見,因病變累及腎血管常迅速發生惡性高血壓,並早期出現心腎功能損害及眼底血管變化。大腸桿菌為主要致病菌。腎益腎炎的易感因素是多方面的,主要因素與感染有關。
(1)由於女性尿道短,細菌容易侵入,感染機會多,故女性發病率比男性高8~10倍。
(2)女性尿道口有大腸桿菌存在,性交往往是引起感染的重要原因。
(3)妊娠婦女雌激素分泌增多,輸尿管張力降低,蠕動減弱,導致尿路不暢,尿液反流的發生率較高,故妊娠期的尿路感染,多數為腎益腎炎。腎益腎炎多由膀胱炎上行感染所致,尤其膀脫-輸尿管返流,是上行感染的重要原因。
(4)膀胱炎如未能及時或充分的治療,約有30~50%可上行引起腎盂腎炎。所以,這也是腎盂腎炎的病因之一。
(5)尿路梗阻,如尿路結石、腫瘤、狹窄、前列腺肥大及神經源性膀胱等,致使尿流不暢,局部抗菌能力降低,有利於感染及壓力增高,是腎孟腎炎的重要誘因。尿路梗阻者約60%並發腎孟腎炎。
(6)腎實質病變,如腎小球腎炎、腎囊腫、腎腫瘤及慢性腎小管間質性疾病。可使腎臟局部抗菌能力減退,易並發腎益腎炎。
(7)全身性因素,如糖尿病、高血壓、長期低血鉀、心力衰竭及許多慢性消耗性疾病易並發腎孟腎炎。有學者認為,除上行性感染外,腎孟腎炎還可經血液和淋巴道及附近臟器直接感染,與免疫也有一定關係。
既然上述清楚的總結了腎盂腎炎的病因,我們也知道了。小編就在這裡溫馨的提示大家:要避開致病因素,遠離腎炎危害。
診斷
腎盂腎炎1.病史 急性腎盂腎炎病史可作為診斷的參考,但不能作為依據。因多數非梗阻性慢性腎盂腎炎患者,既往可無泌尿系感染病史,也無其它腎病史。常陷匿起病,氮質血症症狀可為患者首發症狀,診斷時應予注意。
2.臨床表現 有間斷反應出現尿路刺激症狀,一般較輕,不如急性腎盂腎炎明顯,常伴有乏力、食欲不振、腰酸痛,可有低熱或無發熱。晚期可因腎功能損害而出現頭暈、頭痛、噁心、嘔吐等尿毒症症狀。亦可出現多尿、夜尿增多、低血鉀、低血鈉或慢性腎小管性酸中毒。部分患者病情隱襲或不典型,宜注意。
3.輔助檢查
⑴尿常規:尿蛋白一般為微量或少量。若尿蛋白>3.0/24小時,則提示非本病的可能。尿沉渣可有少量紅細胞及白細胞。若發現白細胞管型有助於診斷,但非本病所特有。
⑵尿培養:同急性腎盂腎炎,但陽性率較低,有時需反覆檢查方可獲得陽性結果。陰性尿細菌培養患者中約有20%可找到原漿型菌株,此系致病菌在抗菌藥物、抗體等作用下,為了適應不良的環境而求得生存的一種變異能力,胞膜雖破裂,但原漿質仍在,一旦環境有利即可重新繁殖。膀胱滅菌後尿培養及尿液抗體包裹細菌檢查陽性時,有助本病診斷,據此可與膀胱炎相鑑別。
⑶腎功能檢查:通常有腎小管功能減退(尿濃縮功能減退,酚紅排泄率降低等),可有尿鈉、尿鉀排出增多,代謝性酸中毒;尿少時血鉀可增高。晚期出現腎小球功能障礙、血尿素氮及肌酐增高,並導致尿毒症。
治療措施
腎盂腎炎(一)一般治療
目的在於緩解症狀,防止復發,減少腎實質的損害。應鼓勵患者多飲水,勤排尿,以降低髓質滲透壓,提高機體吞噬細胞功能,沖洗掉膀胱內的細胞。 通常應鼓勵患者多飲水、勤排尿,以降低髓質滲透壓,提高機體吞噬細胞功能。有發熱等全身感染症狀應臥床休息。服用碳酸氫鈉1g,每日3次,可鹼化尿液,減輕膀胱刺激刺激症狀,並對氨基糖甙類抗生素、青黴素、紅黴素及磺胺等有增強療效作用,但可使四環素、呋喃咀啶的藥效下降。有誘發因素者應治療,如腎結石、輸尿管畸形等。抗感染治療最好在尿細菌培養及藥物敏感試驗下進行。(二)抗感染治療
1.急性腎盂腎炎
因引起尿路感染的主要細菌是革蘭陰性菌,其中以大腸桿菌為主。初發的急性腎盂明炎可選用複方磺胺甲惡唑(SMZ-TMP)2片,日2次,或吡哌酸0.5g,日3~4次,諾氟沙星0.2g,日3次,療程7~14天。感染嚴重有敗血症者宜靜脈給藥。根據尿培養結果選用敏感藥物。如頭孢哌酮,阿米卡星毒素對葡萄球菌、克雷伯菌、變形桿菌,綠膿桿菌、大腸桿菌的敏感率均在90%以上。前者1~2g,每8~12小時1次,後者0.4g,每8~12小時1次。氟喹諾酮類藥物對變形桿菌、枸櫞酸桿菌及克雷伯菌敏感率在80%以上。哌拉西林、氨苄西林、呋啁妥因對D群腸球菌100%敏感。用法,前2者1~2,每6時1次;後者0.1g,日3次。真菌感染用酮康唑0.2g,日3次。或氟康唑50mg,日2次。
新生兒,嬰兒和5歲以下的幼兒急性腎盂腎炎多數伴有泌尿道畸形和功能障礙,故不易根除,但有些功能障礙如膀胱輸尿管返流可隨年齡增長而消失。一次性或多次尿感在腎組織中形成局灶性疤痕,甚至影響腎發育,近年來主張用藥前儘可能先做中段尿細胞培養,停藥後第2、4、6周應複查尿培養,以期及時發現和處理。
2.慢性腎盂腎炎
急性發作者按急性腎盂腎炎治療,反覆發作作者應通過尿細菌培養並確定菌型,明確此次再發是復發或重新感染。
復發:指治療後菌株轉陰性,但在停藥後的6周內再發,且致病菌和先前感染的完全相同。
復發的常見原因有
①尿路解剖上或功能上異常,引起尿流不暢。可通過靜脈腎盂造影或逆行腎盂造影以明確之,如有明顯解剖異常情況存在,需手術加以糾正。如果梗阻因素難以解除,則根據藥敏選用恰當抗菌藥治療6周。②抗菌藥選用不當或劑量和療程不足,常易復發,可按藥敏選擇用藥,治療4周。③由於病變部位瘢痕形成,血流量差,病灶內抗菌藥濃度不足,可試用較大劑量殺菌類型抗菌藥治療如先鋒黴素、氨苄青黴素、羥苄青黴素、乙基因梭黴素等,療程6周。
腎盂腎炎如果經兩個療程的足量抗菌治療後,尿菌仍持續陽性,可考慮長程低劑量治療。一般採用複方新諾明或呋喃叮每晚一次,可以服用1年或更長,約60%患者菌轉陰。
再感染:指菌尿轉陰後,另一種與先前不同的致病菌侵入尿路引起的感染,一般在菌尿轉陰6周后再發。婦女的尿感再發,85%是重新感染,可按首次發作的治療方法處理,並囑患患者重視尿感的預防。同時應全面檢查,有無易感因素存在,予以去除。
病理改變
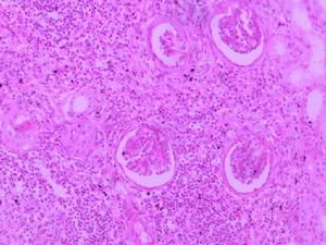
急性腎盂腎炎病變可為單側或雙側,局限或廣泛,可輕可重,輕者僅累及腎盂黏膜。重者腎臟腫大,切面可見黏膜充血潰瘍,小膿腫形成。如伴梗阻,則腎盞增寬,少數嚴重患者,其腎乳頭及錐體部可見壞死,壞死組織隨尿液排出稱壞死性乳頭炎,鏡下可見腎間質水腫,嗜中性粒細胞浸潤。 慢性腎盂腎炎腎盂及腎盞有慢性炎症表現。腎盂擴大、畸形,腎皮質及乳頭部有瘢痕形成,腎臟較正常縮小,兩側病變常不對稱,腎髓質變形,腎盂腎盞黏膜及輸尿管管壁增蚅,嚴重者腎實質廣泛萎縮。
臨床表現
(一)急性腎盂腎炎 本病可發生於各種年齡,但以育齡婦女最多見,起病爭驟,主要有下列症狀。
1.一般症狀 高熱、寒戰,體溫多在38~39℃之間,也可高達40℃。熱型不一,一般呈弛張型,也可呈間歇或稽留型。伴頭痛、全身酸痛,熱退時可朋大汗等。
2.泌尿系症狀 患者有腰痛,多為鈍痛或酸痛,程度不一,少數有腹部絞能,沿輸輸尿管向膀胱方向放射,體檢時在上輸尿管點(腹直肌外緣與臍平線交叉點)或肋腰點(腰大肌外緣與十二肋交叉點)有壓痛,腎叩痛陽性。患者常有尿頻、尿急、尿痛等膀胱刺激症狀,在上午性感染時,可先於全身症狀出現。兒童患者的泌尿系系症狀常不明顯,起病時除高熱等全身症狀外,常有驚厥、抽搐發作。
3.胃腸道症狀 可有食欲不振、噁心、嘔吐,個別患者可有中上腹或全腹疼痛。
(二)慢性腎盂腎炎 症狀較急性期輕,有時可表現為無症狀性尿。半數以上患者有急性腎盂腎炎既往史,其後有乏力、低熱、厭食及腰酸腰痛等症狀,並伴有尿頻、尿急、尿痛等下尿路刺激症狀。急性發作表現也時出現。以往將病程超過半年或1年者樂為慢性腎盂腎炎,近年來提出腎盂腎盞有瘢痕形成,靜脈腎盂造影見到腎盂腎盞變形、積水、腎外形不光滑,或二腎大小不等才稱慢性腎盂腎炎。可有腎小管功能損害,如濃縮功能減退,低滲、低比重尿,夜尿增多及腎小管性酸中毒等。至晚期,可出現腎小球功能損害,氮質血症直至尿毒症。腎性高血壓很多由慢性腎盂炎引起,一般認為患者高腎素血症及一些縮血管多肽的釋放和血管硬化、狹窄等病變有關。少數患者切除一側病腎後,高血壓得以改善。
慢性腎盂腎炎時臨床表現複雜,容易反覆發作,其原因為:①誘發因素的存在;②腎盂腎盞黏膜、腎乳頭部因瘢痕變形,有利於致病菌潛伏;③長期使用抗生素後,細菌產生了耐藥性,或進入細胞內,使抗生素失去殺菌能力;④在體液免疫或抗生素作用下,細菌胞膜不能形成,以原漿質形式存在,在髓質滲環境下仍有生命力,故一旦環境有利,重新生長胸膜並繁殖再毒辣,此即原漿型菌株(L型)。所以,慢性腎盂腎炎被認為是較難根治而逐漸進展的疾病。
輔助檢查
腎盂腎炎(一)尿常規檢查
是最簡便而可靠的檢測泌尿道感染的方法。宜留清晨第一次尿液待測,凡每個高倍視野下超過5個(>5個/Hp)白細胞稱為膿尿。現用試紙法檢測白血球,簡稱尿入聯,機理是白細胞中含有酯酶,可產生哚酚與試紙中的重氮鹽產生紫色反應,當白細胞超過10個/ml時呈陽性反應,但甲醛等防腐劑可造成假陽性反應。試紙中套用Griess硝酸鹽還原試驗,即腸道細菌能將尿中的硝酸鹽還原成亞硝酸鹽而使試紙顯色(粉紅色),革蘭陽性性菌和假單胞菌對此不敏感,大量維生素C可呈假陽性反應,患者宜在服用此藥後至少10小時以上收集尿標本。急性泌尿道感染時除有膿尿外,常可發現白細胞管型,菌尿,有時可伴顯微鏡下血尿或肉眼血尿,尤其是布魚蝦桿菌、奴卡桿菌及放線菌(包括結核桿菌)感染時。偶見微量蛋白尿,如有較多蛋白尿則提示腎小球受累及。(二)尿細胞學檢查
以往認為清潔中段尿培養菌落計數大於105/ml有臨床意義,小於104/ml為污染所致,現大量事實證明約92%革蘭氏陰性細菌引起的尿路感染菌落計數大於105/ml,僅70%左右的革蘭陽性菌引起的尿路感染菌計數超過105/ml,而20%~30%的患者其菌計數僅有103~105/ml,尤其是大多數下尿路感染乾。菌落計數不高的原因有:尿頻尿急等刺激症狀明顯使尿液在膀胱內逗留的時間太短暫不利於細菌的繁殖;抗菌藥物的治療;快速利尿;特別酸化的尿不利於細菌生長繁殖;尿路梗阻;腔外感染;或是厭氧菌等需要特殊培養基的細菌感染。革蘭陽性細菌分裂慢,且有疑集傾向,故菌落葉計數往往偏低,因此有臨床症狀者菌落計數在103~104/ml也需考慮感染存在。
(三)無創傷性感染的定位檢查
1.尿濃縮能力 理論上急慢性腎盂腎為常伴腎小管濃縮功能的障礙,可能與受損的髓質產生的前列腺素有關,套用前列腺素合成的抑制劑(消炎痛)可以阻斷此現象,感染清除後腎小管的濃縮功能可以恢復,雙側性的感染較單側性的感染易發現尿液濃縮能力的障礙,但此試驗不夠敏感,故不能作為常規來推廣。
45546456653.尿C反應蛋白測定 文獻報導血清C反應蛋白在影響到腎實質的上尿路感染時間顯增高,病程中隔日隨C反應蛋白(CRP)水平有助於估計療效,即CRP一目了然示有效,上升示無效。急性膀胱炎時CRP並不升高。但其他感染性疾病時CRP也可能升高,以及假陽性的存在影響了該試驗的定位意義。
4.尿抗體包裹細菌分析 用免疫螢光分析證實來自腎臟的細菌包裹著抗體,可和螢光標記的抗體IgG結合呈陽性反應來自膀胱的細菌不被特異性的抗體所包裹,故近年來尿液抗體包裹性細菌(ACB)分析較廣泛地用於上下尿路感染的定位診斷。其準確性約83%。但某些前列腺炎、膀胱炎及大量蛋白尿可出現假陽性。
另外尿β2微球蛋白測定也有助於鑑別上、下尿路感染,上尿路感染易影響腎小管對分子蛋白質的再吸收,尿β2微球蛋白升高,而下尿路感染尿β2微球蛋白不會升高。
5.直接定位法 直接法中,Stamey的輸尿管導管法準確性較高,但必須通過膀胱鏡檢查或用Skinny針經皮穿刺腎盂取尿,故為創傷性檢查法而不常用,Fairley的膀胱沖洗滅菌後尿培養法準確度大於90%,且簡便易行,臨床常用。具體方法為從導管中注入0.2%新黴素溶液40ml使膀胱滅菌,再以鹽水沖洗,然後收集流入膀胱內的尿液作培養,每10分鐘取尿標本一次,連續3次。如為膀胱炎,經上法滅菌後細菌培養應為陰性;如為腎盂腎炎,則仍為陽性,且菌落數遞次上升。
(四)X線檢查
由於急性泌尿道感染本身容易產生膀胱輸尿管返流,故靜脈或逆行腎盂造影宜在感染消除後4~8周后進行,急性腎盂腎炎以及無併發症的復發性泌尿道感染並不主張常規做腎盂造影。對慢性或久治不愈患者,視需要分別可作尿路平片、靜脈腎盂造影、逆行腎盂造影、排尿時膀胱輸尿管造影,以檢查有無梗阻、結石、輸悄管狹窄或受壓、腎下垂、泌尿系先天性畸形以及膀光輸管返流現象等。此外,還可了解腎盂、腎盞形成及功能,代藉以與腎結核、腎腫瘤等鑑別。慢性腎盂腎炎的腎盂呈輕度擴張或杵核,並可有瘢痕性畸形。腎功能不全時需用2倍或3倍課桌一碘造影劑作靜脈快速滴入,並多次攝片才能使造影得到滿意效果。腎血管造影可顯示慢性腎盂腎炎的血小管有不同程度的扭曲。必要時可作腎CT掃描或核磁共振掃描,以排隊其他腎臟疾患。
(五)同位素腎圖檢查
可了解分腎功能、尿路梗阻、膀胱輸尿管返流及膀胱殘餘尿情況。急性腎盂腎炎的腎圖特點為高峰後移,分泌段出現較正常延緩0.5~1.0分鐘,排泄段下降緩慢;慢性腎盂腎炎分泌段斜率降低,峰頂變鈍或增寬而後移,排泄段起始時間延遲,呈搜尋物線狀。但上述改變並無明顯特異性。
(六)超音波檢查
是目前套用最廣泛,最簡便的方法,它能篩選泌尿道發育不全、先天性畸形、多囊腎、腎動脈狹窄所致的腎臟大小不勻、結石、腎盂重茺積水、腫瘤及前列是腺疾病等。
鑑別診斷
急性腎盂明炎一般有典型症狀和尿液異常發現,診斷不難。如僅有高熱而尿路症狀不明顯者,應與各種發熱疾病
4554645665(二)慢性腎小球腎炎 如有浮腫、大量蛋白尿則鑑別不難。腎盂腎炎的尿蛋白量一般在1~2g/d以下,若大於3g則多屬腎小球病變。但本病與隱匿性腎炎較難鑑別,後者尿常規中有較多紅細胞,而腎盂腎炎則以白細胞為主。此外,尿培養,長期觀察患者有無低熱、尿頻等症狀亦有助鑑別。晚期腎炎繼發泌尿道感染,鑑別困難,此時可詳細病史,結合臨床特點加以分析。
(三)前列腺為 50歲以上的男性因有前列腺增生,肥大,放置導尿道管、膀胱鏡檢等易得此病。急性前列腺炎除畏寒發熱,血白細胞總數升高外,腰骶和會陰部疼痛,以致從立不安,尿頻、尿痛,尿液檢查有膿細胞,與急性膀胱炎易相混淆。慢性前列腺炎除尿檢異常外臨床症狀多不明顯。前列腺按摩得到的前列腺液檢查,白細胞數>10個/HP,B超前腺有助於鑑別診斷。
感染途徑
1.血源性感染 細菌由體內某處感染灶侵入血流,隨血流到達腎。這種腎盂腎炎可以是全身膿毒血症的一部分。病原菌以葡萄球菌為多見,兩側腎可同時受累。
腎盂腎炎2.上行性感染 下泌尿道的炎症,如尿道炎或膀胱炎時,細菌可沿輸尿管或輸尿管周圍的淋巴管上行到腎盂,引起腎盂和腎組織的炎症。病原菌以大腸桿菌為主。病變可累及一側或兩側腎。大多數腎盂腎炎為上行性感染。
預防
對慢性腎盂腎炎病人要增強體制,提高機體的防禦能力。消除各種誘發因素如糖尿病、腎結石及尿路梗阻等。積極尋找並去除炎性病灶,如男性的前列腺炎,女性的尿道旁腺炎、陰道炎及宮頸炎。減少不必要的導尿及泌尿道器械操作,如必需保留導尿應預防性套用抗菌藥物。女性再毀滅性性生活有關者,應於性生活後即排尿,並內服一劑SMZ-TMP。懷孕期及月經期更應注意外陰清潔。更年期服用尼爾雌醇1~2mg,每月1~2次,以增強局部低抗力。
權威專家
李萬法性別 : 男
所在科室 : 腎病專科
工作醫院 : 南寧市心血管專科醫院
臨床職稱 : 副主任醫師
擅長疾病 : 腎病
北京同濟腎病集團康復協會會員廣西中西醫結合腎病內科協會委員現任南寧市第三人民醫院腎科副主任醫師是南寧市第三人民醫院腎病專科學科帶頭人曾在上海瑞金醫院腎科進修有10餘年的腎科臨床經驗在廣西獨家採用中國重點計畫推廣項目——北京同濟腎病集團醫院首創的自然免疫平衡療法治療腎病該方法,能夠迅速消除尿旦白維護腎功能避免長期使用激素產生的各種併發症對難治性腎病綜合徵的治療有獨特療效。
生理學常見疾病
| 人體主要體統包括:心血管、呼吸、泌尿、生殖、神經系統、內分泌系統,認識疾病因包括以下幾個方面:疾病的病因、發病機制和病理改變,以及各系統疾病在發展嚴重時可能出現的共性病理過程。 |
關愛我們身邊的老年人
| 關注老年人的健康,從我們身邊的點滴做起,從你我做起。 |
泌尿系統及其疾病
疾病(二)
| 疾病(Disease)的概念:疾病是機體在一定的條件下,受病因損害作用後,因自穩調節紊亂而發生的異常生命活動過程。 |
