病因病機
惡性淋巴瘤是一種起源於淋巴造血組織的實體瘤。根據其病理特性可分為何杰金氏病(HD)和非何杰金氏淋巴瘤(NH
骨的惡性淋巴瘤L)兩種。其臨床特徵為無痛性、進行性淋巴組織增生,尤以淺表淋巴結為顯著,常伴有脾腫大,晚期有貧血、發熱和惡病質等表現。中國惡性淋巴瘤雖相對少見,但近年來新發病例逐年上升,其發病率與死亡率占所有惡性腫瘤的第ll-13位。該病可發生於任何年齡,但以青壯年患者居多,男多於女,城市高於農村。本病不經治療的自然生存期為6一18個月,也有達數年之久的病例。若治療得法,I、2及3期病人的5年生存率平均可達80%,何杰金氏病比非何杰金氏惡性淋巴瘤預後較好。
50%惡性淋巴瘤的病因目前尚未完全闡明。一般認為其發病與病毒、細菌感染、免疫缺損、某些自身免疫疾患、電離輻
惡性淋巴癌射、遺傳因素等有關。具體分析如下:
(1)物理病因(輻射)。淋巴瘤的發病率不僅與吸收輻射的劑量有關,還與受輻射時的年齡有關,25歲以下受輻射的人群,淋巴瘤的發病率比其他人群高。醫用輻射對人類腫瘤的發病影響越來越受到重視,尤其是大劑量輻射對人類淋巴瘤的發生有促進作用。
(2)化學病因。化學致癌物的種類中的烷化劑、多環芳烴類化合物、芳香胺類化合物與惡性淋巴瘤的發病有一定的聯繫。化學藥物引起惡性淋巴瘤的發生也不很少見,如環磷醯胺、甲基苄肼、左鏇苯丙氨酸氮芥引起惡性淋巴瘤均有報導。在農業生產中,隨著農藥及化肥的套用,在農村人口中惡性淋巴瘤的發病率和死亡率不斷地增加。
(3)免疫因素。惡性淋巴瘤是免疫系統惡性腫瘤,免疫缺陷是惡性淋巴瘤的重要原因之一。正常情況下,人體的免疫系統具有免疫監視功能,對體內發生突變或癌變的細胞能起到清除的作用。免疫缺陷病人容易發生機會感染,特別是病毒感染。
(4)遺傳因素。遺傳因素與惡性淋巴瘤的病因相關有許多方面的報導,有時可見明顯的家族聚集性,如兄弟姐妹可先後或同時患惡性淋巴瘤。
(5)病毒病因。病毒是腫瘤病因學研究的一個重要方向。就目前研究的狀況來看,與惡性淋巴瘤關係比較密切的病毒有EB病毒、人類嗜T淋巴細胞病毒、人類嗜B淋巴細胞病毒。
臨床表現
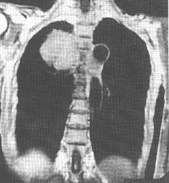
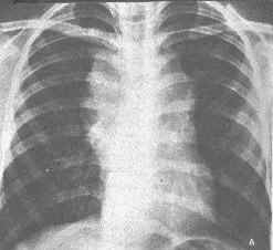
惡性淋巴癌1)淋巴結腫大,早期為頸、頜下、耳下、枕後等處淺表淋巴結腫大,亦可蔓延至腋下及腹股溝。淋巴結可從黃豆大小至棗子大小,一般無疼痛,硬度中等,堅韌、均勻、豐滿。縱隔淋巴結腫大時,有上腔靜脈壓迫征及氣管膈神經受壓征。腸系膜或腹膜後淋巴結胂大,晚期有局部疼痛壓迫症狀,腹部可觸及腫塊。
2)侵及其他器官症狀:淋巴組織遍布全身,犯及胃暢可見腹痛、腹部腫塊、腹瀉、便血。累及皮膚,可發生蕈樣真菌病、西薩瑞綜合徵累及其他器官還有其他相應症狀。
症狀表現
症狀一發熱
熱型多不規則,可呈持續高熱,也可間歇低熱,少數有周期熱,後者約見於1/6霍奇金病患者;早期發熱者霍奇金病約占30%一50%,但非霍奇金淋巴癌一般在病變較廣泛時才發熱。熱退時大汗淋漓可為本病特徵。
症狀二皮膚瘙癢
這是霍奇金病較特異的表現。局灶性瘙癢發生於病變部淋巴引流的區域,全身瘙癢大多發生於縱隔或腹部有病變的病例。
症狀三酒精疼痛
約17%一20%霍奇金病患者,在飲酒後20分鐘,病變局部發生疼痛。其症狀可早於其他症狀及X線表現,具有一定的診斷意義。當病變緩解後,酒精疼痛即行消失,復發時又重現。
症狀四結外病變的症狀
1、胃腸道食慾減退、腹痛,腹瀉、腹塊、腸梗阻和出血等;
2、肝膽肝實質受侵可引起肝區疼痛;
3、骨骼臨床表現有局部骨骼疼痛及繼發性神經壓迫症狀;
4、皮膚非特異性損害常見的有皮膚瘙癢症及痒疹。瘙癢症在霍奇金病較為多見(占85%);
5、扁桃體和口、鼻、咽部淋巴瘤侵犯口、鼻、咽部者,臨床有吞咽困難、鼻塞、鼻衄;
6、淋巴癌尚可浸潤胰腺,發生吸收不良綜合徵。
實驗檢查
1)病理檢查,淋巴結活組織檢查,可明確本病診斷。
2)x線檢查,下肢的淋巴管造影,對確定腹膜後淋巴結受侵有一定價值。對其他可疑的部位作x線攝片和造影檢查亦很有診斷價值。
3)CT檢查,對縱隔、肺、肝、脾、腹部、腹膜後、盆腔等部位的占位病變,有很高的診斷價值。
4)B超檢查,對腹部腫塊的定位、範圍及與周圍臟器的關係有一定幫助。
5)骨髓相檢查,因晚期惡性淋巴瘤常並發白血病。Ⅱ期以後的病人應做常規骨穿刺檢查。
6)內鏡檢查,對食管、胃腸道、泌尿系的直接觀察和病理活檢具有重要意義。
7)開腹檢查,對腹腔腫瘤診斷不明時有幫助,但對非霍奇金淋巴瘤應慎用。
8)診斷性治療,根據臨床表現高度懷疑本病,但病人不願意接受病理檢查,或發病部位較深,活檢困難者,通過權衡,可試行診斷性治療。由於本病對化療、放療均較敏感,若治療後症狀及體徵迅速緩解者,本病即可成立。
疾病(二)
| 疾病(Disease)的概念:疾病是機體在一定的條件下,受病因損害作用後,因自穩調節紊亂而發生的異常生命活動過程。 |
