簡介
霍奇金淋巴瘤(Hodgkin‘slymphoma)是淋巴系統的一種獨特的惡性疾病,開始常發生於一組淋巴結,然後擴散到其他淋巴結或 結外器官、 組織。其組織病理學特徵為惡性Reed-Sternberg(里-斯)細胞的出現和適當數量的細胞背景。根據其外觀和里-斯細胞、 淋巴細胞以及纖維化的相對比例可分為4種組織學類型:淋巴細胞為主型、結節硬化型、混合細胞型和淋巴細胞耗竭型。組織學亞型是決定患者臨床表現、預後和恰當治療的主要因素。是惡性淋巴瘤的一個獨特類型,是青年人中最常見的 惡性腫瘤之一。病變主要發生在淋巴結,以 頸部淋巴結和 鎖骨上淋巴結最為常見,其次是縱隔、腹膜後、主動脈旁淋巴結。病變從一個或一組淋巴結開始,很少開始就是多發性,逐漸由臨近的淋巴結向遠處擴散。晚期可以侵犯 血管,胃及脾、 肝、 骨髓和消化道等處。主要特徵
霍奇金淋巴瘤與其他惡性淋巴瘤不同,具有以下特點:
1、病變往往從一個或一組淋巴結開始,逐漸由臨近的淋巴結向遠處擴散;原發於淋巴結外的霍奇金淋巴瘤少見。
2、瘤組織成分多種多樣,含有一種獨特的瘤巨細胞即Reed-Sternberg細胞(R-S細胞)。瘤組織中常有多種炎症細胞浸潤和纖維化。
症狀體徵
霍奇金淋巴瘤 2、淋巴結外器官受累的臨床表現霍奇金淋巴瘤原發淋巴結外器官或組織少見(<10%),原髮結外或病變晚期累及淋巴結外器官可造成相應器官的解剖和功能障礙,引起多種多樣的臨床表現。
3、全身症狀初診時多數患者無明顯全身症狀,20%~30%患者表現發熱、盜汗、消瘦。發熱可為低熱,有時為間歇高熱(Pel-Ebstein熱)。此外可有瘙癢、乏力等。
4、不同組織學類型的臨床表現結節性淋巴細胞為主型占HL的4%~5%。發病的中位數年齡為35歲,男性多見,男女之比3∶1。病變通常累及周圍淋巴結,初診時多為早期限局性病變,約80%屬Ⅰ、Ⅱ期。自然病程緩慢,預後好。治療完全緩解率可達90%,10年生存率約90%。但晚期(Ⅲ、Ⅳ期)患者預後差。富於淋巴細胞型經典型霍奇金淋巴瘤約占6%,平均年齡較大,男性多見。臨床特徵介於結節性淋巴細胞為主型與經典型霍奇金淋巴瘤之間,常表現為早期限局性病變,罕見巨塊病灶、縱隔病變及B症狀,預後較好,但生存率較NLPHL低。經典型霍奇金淋巴瘤的結節硬化型在已開發國家最常見,占60%~80%。多見年輕成人及青少年,女性略多。常表現縱隔及膈上其他部位淋巴結病變。預後較好。混合細胞型在歐美國家占15%~30%。不同年齡均可發病。臨床表現腹腔淋巴結及脾病變更常見,就診時約半數患者已處晚期(Ⅲ、Ⅳ期),預後較差。淋巴細胞減少型少見,約1%。多見於老年人及人類免疫缺陷病毒(HIV)感染者。常累及腹腔淋巴結、脾、肝和骨髓,診斷時通常已廣泛播散,易發生血行播散。常伴全身症狀,病情進展迅速,預後不良。
5、臨床分期與播散方式
(1) 臨床分期:霍奇金淋巴瘤的病變範圍(分期)採用AnnArbor/Cotswords分期系統(表3)。根據全身症狀、體檢、實驗室檢查及影像學檢查等臨床分期檢查(表4)確定病變範圍為臨床分期(clinicalstaging,CS);在臨床分期基礎上對病變部位(受累淋巴結及器官)進行必要的活檢,以及剖腹探查,脾切除術進一步確定病變範圍及性質為病理分期(pathologicstaging,PS)。圖2表示霍奇金淋巴瘤分期定義的淋巴結解剖區。準確的分期是制定正確治療方案的重要依據。由於近年報導根據臨床分期與根據剖腹探查病理分期制定的擴大野照射療效間無顯著差異,以及化療的早期套用和剖腹探查招致的併發症和延遲治療,剖腹探查已不再作為分期檢查的常規方法。
(2) 播散方式:霍奇金淋巴瘤通常表現由原發灶沿淋巴路向鄰近淋巴結有規律的逐站播散。晚期發生血行播散。
病因
霍奇金淋巴瘤至今病因不明,EB病毒的病因研究最受關注,約50%患者的RS細胞中可檢出EB病毒基因組片段。已知具有免疫缺陷和自家免疫性疾病的患者霍奇金淋巴瘤的發病危險增加。單合子孿生子霍奇金淋巴瘤患者其同胞的發病危險高99倍,可能是由於對病因存在相同的遺傳易感性和(或)相同的免疫異常。本病的病因及發病機制尚待進一步研究。
病理生理
1、病理組織學霍奇金淋巴瘤病理組織學主要表現:
(1)病變部位淋巴結等正常淋巴組織結構全部或部分破壞。
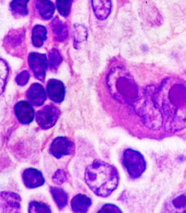
(2)呈現多種非腫瘤性反應性細胞成分,多為淋巴細胞,並可見漿細胞、嗜酸粒細胞、中性粒細胞、組織細胞、成纖維細胞及纖維組織。在多種反應性細胞成分背景中散在數量不等的典型RS細胞及其變異型(圖1)。典型RS細胞為雙核或多核巨細胞,核仁嗜酸性,大而明顯,胞質豐富。若細胞表現對稱的雙核稱“鏡影細胞”。RS細胞及不典型(變異型)RS細胞是霍奇金淋巴瘤的真正腫瘤細胞。最近套用單細胞顯微技術結合免疫表型和基因型檢測證明RS細胞來源於淋巴細胞,主要來源於B淋巴細胞。
2、病理組織學分類近30餘年來國際上廣泛採用1965年制定的霍奇金淋巴瘤Rye分類方案(表1)。新近提出的WHO分類(表2)將霍奇金淋巴瘤分為結節性淋巴細胞為主型(nodularlymphocyte-predominant,NLPHL)和經典型霍奇金淋巴瘤(classicalHL)。結節性淋巴細胞為主型組織學表現多呈結節性生長方式.背景多為淋巴細胞及上皮樣組織細胞。典型的RS細胞罕見,大多數為變異的淋巴細胞和組織細胞稱L/H(lymphocytic/histocytic)細胞,細胞核呈多形性有空泡,核仁小,近核周,似“爆玉米花樣”故又稱爆玉米花(popcorn)細胞,L/H細胞表達B細胞相關抗原(CD19、CD20、CD22、CD79a)陽性,上皮細胞膜抗原(EMA)陽性而CD15及CD30均陰性。臨床多表現頸部限局性病變,局部治療療效好,預後好。經典型霍奇金淋巴瘤又分為結節硬化型(nodularsclerosis)、富於淋巴細胞經典型霍奇金淋巴瘤(lymphocyte-richclassicalHL)、混合細胞型(mixedcellularityHL)和淋巴細胞減少型(lymphocytedepletionHL)4個亞型,與Rye分類雷同。歐美已開發國家以結節硬化型多見,我國以混合細胞型較多。WHO分類較好地反映了不同組織學類型與其病程、臨床生物學特徵及預後的相關性。目前我國正在推廣套用WHO分類。
流行病學
霍奇金淋巴瘤占全部腫瘤的0.1%~0.2%。年發病率1/10萬~4/10萬人口,在亞洲較少見。我國上海市1989年統計標準化年發病率1.1/10萬人口,在淋巴瘤中占16.5%~22.5%(西方國家為 34.6%~51.6%)。男性多於女性(1.3~1.4:1)。發病年齡已開發國家呈雙峰分布,第1年齡高峰在15~35歲,第2年齡高峰在55歲以後。我國和日本發病無年齡的雙峰分布,發病者多為40歲左右。
霍奇金淋巴瘤是青年人中最常見的惡性腫瘤之一。病變主要發生在淋巴結,以頸部淋巴結和鎖骨上淋巴結最為常見,其次是縱隔、腹膜後、主動脈旁淋巴結。病變從一個或一組淋巴結開始,通常表現由原發灶沿淋巴道向鄰近淋巴結有規律的逐站播散。晚期可發生血行播散,侵犯血管,累及脾、肝、骨髓和消化道等部位。臨床表現
1、淋巴結腫大是霍奇金淋巴瘤最常見的臨床表現,90%患者以淋巴結腫大就診,約70%表現頸部淋巴結腫大,50%具有縱隔淋巴結腫大。淋巴結腫大常呈無痛性、進行性腫大。淋巴結腫大可以壓迫鄰近器官組織造成功能障礙和相應臨床表現。如一側肢體水腫、胸腹水、少尿等。2、淋巴結外器官受累的臨床表現:霍奇金淋巴瘤原發淋巴結外器官或組織的少見(38℃)、盜汗、6個月內體重下降>10%。
E- 由一個淋巴結部位局部擴散引起的單一結外部位受累。
X- 塊型:在T6—T7水平縱隔寬度大於胸腔直徑的三分之一,或腫塊最大直徑>10cm。
檢查診斷
實驗室檢查:
1、血象及生物化學檢查貧血多見於晚期患者,為正色素、正細胞性貧血。偶見溶血性貧血,2%~10%患者Coombs試驗陽性。少數病例可出現中性粒細胞增多。外周血淋巴細胞減少(<1.0×109/L)、血沉增快、血清乳酸脫氫酶升高可作為病情檢測指標。
2、免疫學檢查本病存在細胞免疫缺陷,表現遲發性皮膚免疫反應低下。經典型霍奇金淋巴瘤的RS細胞CD15及CD30抗原表達陽性,是識別RS細胞的重要免疫標誌。
其他輔助檢查:當疑有縱隔、肺門淋巴結及肺部淋巴瘤時,可作胸後前位及側位X線攝片。骨X線檢查核素掃描等。
診斷:原因不明的進行性淋巴結腫大、縱隔腫塊、腹部腫塊及原因不明的長期發熱或間歇熱等應想到霍奇金淋巴瘤的可能,應及時進行淋巴結等活體組織檢查,取得病理組織學診斷。
鑑別診斷本病鑑別診斷常需與淋巴結核、病毒感染如傳染性單核細胞增多症、結節病以及非霍奇金淋巴瘤等鑑別。並應注意與轉移癌鑑別。頸部淋巴結腫大應排除 鼻咽癌、 甲狀腺癌等,縱隔腫塊需除外 肺癌、 胸腺瘤,腋下淋巴結腫大應與 乳腺癌鑑別。 以上疾病的鑑別主要依靠病理組織學檢查,病理組織學診斷是霍奇金淋巴瘤確診的主要依據,必不可少。病理學診斷通常要具有典型的RS細胞,並需結合淋巴細胞、漿細胞、嗜酸粒細胞等多種反應性細胞成分背景的總體組織象,以及參考CD15、CD30等免疫標誌做出病理診斷。臨床醫生則應綜合患者臨床表現及病理檢查結果做出全面診斷,包括霍奇金淋巴瘤的病理類型及臨床分期。組織學分型
1、經典型HL(classical Hodgkin's lymphoma, CHL) 經典的HL是由分散在各種非腫瘤性的小淋巴細胞、嗜酸性粒細胞、嗜中性粒細胞、組織細胞、漿細胞、纖維母細胞和膠原纖維形成的混合性浸潤背景中的由單核的Hodgkin細胞和多核的Reed-Sternberg細胞組成的單克隆性的淋巴樣腫瘤。基於反應性的背景浸潤和腫瘤性的H/R-S細胞的特點,經典的HL可分為四種亞型,即富於淋巴細胞的經典HL、結節硬化型HL、混合細胞型HL和淋巴細胞減少型HL。在以上各組織學亞型中,腫瘤性的H/R-S細胞的免疫表型和分子遺傳學特點是一致的,而臨床特點在各亞型則有所不同。
經典的HL占所有HL的95%,發病高峰在10~35歲和老年。有傳染性單核細胞增多症歷史的病人發病率較高。發生在頸部淋巴結的占75%,然後是縱膈、腋下和主動脈旁淋巴結。非對稱性的淋巴結,如腸系膜和滑車上淋巴結很少累及。55%的病人發病時處於I-II期。大約60%的病人,其中大多數是結節硬化型,由縱膈累及。脾臟累及不少見(20%),脾臟累及後可增加結外播散的危險。骨髓累及僅5%。由於骨髓中無淋巴管,骨髓累及提示有血行播散(IV期)。
鏡下見淋巴結受累區域由數量不一的H/R-S細胞和豐富的炎性細胞背景組成。腫瘤性H/R-S細胞僅僅占細胞總數的0.1%-10%。而反應性成分的比例按照組織學亞型的不同而有所不同。
(1)結節硬化型HL:結節硬化型HL(nodular sclerosis, NSHL)是經典的HL的一種亞型,其組織學特點為至少存在一個膠原纖維包繞的結節和腔隙型的H/R-S細胞。該型在歐美為最常見的亞型,約占70%。在中國統計占30%-40%。結節硬化型HL不轉變為其他亞型,而是按照富於細胞期-結節形成-融合-纖維化的程式發展。
光鏡病變:累及的淋巴結呈結節狀的生長方式、膠原束分割和腔隙型H/R-S細胞三大特點。
① 寬的少有纖維母細胞的膠原束圍繞至少一個結節,膠原束在相差顯微鏡下觀察呈雙摺光改變,膠原分割的過程中伴有淋巴結的包膜增厚;
② 結節內,腔隙型H/R-S細胞常分散在炎性背景中;
③ 有時也可見診斷性的R-S細胞。
(2)富於淋巴細胞的經典型HL(lymphocyte-rich classical Hodgkin lymphoma):是一種具有以小淋巴細胞為主的,缺乏嗜酸性和嗜中性粒細胞的,呈結節性或瀰漫性細胞背景的,有散在的H/R-S細胞的亞型。約占所有HL的5%。可以轉變為混合細胞型。
鏡下可見結節性和瀰漫性兩種生長方式,以結節性多見。多個結節侵犯淋巴結,可導致結節之間的T區的減少或缺乏。
(3)混合細胞型HL(mixed cellularity, MCHL):是經典的HL的一種亞型,組織學特點為散在經典的H/R-S細胞分散在瀰漫性或模糊的結節性的炎性背景中,無結節性的硬化和纖維化。
約占所有經典的HL的20%~25%。在開發中國家和HIV感染病人中本型更為多見,國外報告的中位發病年齡為37歲,70%為男性。中國的報告約占所有HL的40%以上。尤其在兒童多見並和EB病毒感染有一定的關係。此型預後較好。後期可轉為淋巴細胞減少型HL。
鏡下見淋巴結結構破壞,淋巴結可呈部分(常在副皮質區)或瀰漫性受累。散在的霍奇金細胞與數量相當多的診斷性的R-S細胞散在分布於各種炎細胞(包括小淋巴細胞、嗜酸性粒細胞、嗜中性粒細胞、組織細胞、上皮樣細胞、漿細胞等)組成的背景中。可有嗜酸性無定型物質沉積。還有灶性的壞死,壞死灶周圍可有纖維化,但膠原纖維無雙摺光。有時可見散在上皮樣細胞團,甚至可有肉芽腫形成。
(4)淋巴細胞減少型HL(lymphocyte depletion, LDHL):是一種罕見的瀰漫性的以H/R-S細胞增多或者非腫瘤性淋巴細胞減少為特點的經典HL。其在所有HL中所占百分比少於5%。中位發病年齡為37歲,75%為男性。常伴有HIV感染,在開發中國家更為多見。預後是本病各型中最差的。
此型的組織學特點為淋巴細胞的數量減少而R-S細胞或變異型的多形性R-S細胞相對較多。包括兩種不同的形態:①瀰漫纖維化型,淋巴結內細胞明顯減少,由排列不規則的非雙摺光性網狀纖維增加和無定形蛋白物質的沉積所取代。其間有少數診斷性R-S細胞、組織細胞和淋巴細胞。常有壞死;②網狀細胞型,特點是細胞豐富。由多數多形性R-S細胞和少量診斷性R-S細胞組成。甚至可見梭形腫瘤細胞。成熟淋巴細胞、嗜酸性粒細胞、漿細胞、嗜中性粒細胞和組織細胞少見。壞死區較其他類型HL更為廣泛。
2、結節性淋巴細胞為主型HL 結節性淋巴細胞為主型HL(nodular lymphocyte predominant Hodgkin lymphoma, NLPHL)是一種以結節性,或者結節性和瀰漫性的多型性增生為特點的單克隆性的B細胞腫瘤。
結節性淋巴細胞為主型HL約占所有HL的5%,病人多數為男性,最常見於30~50歲年齡組。病程較慢,易復發,對於治療反應好,部分病人可轉化為大B細胞淋巴瘤。
鏡下可見淋巴結結構全部或部分為結節性浸潤取代,或結節性及瀰漫性浸潤取代。結節由瀰漫分布的小淋巴細胞、散在組織細胞和上皮樣細胞混合組成。其中有散在的L&H型R-S細胞。在結節邊緣可見組織細胞和多克隆性漿細胞,缺乏嗜酸性粒細胞。瀰漫性區域由小淋巴細胞組成,組織細胞或上皮樣細胞散在或成簇分布,可有數量不等的L&H型R-S細胞.
治療方案
1、早期霍奇金淋巴瘤的治療
(1)早期霍奇金淋巴瘤的傳統治療:放射治療是Ⅰ、Ⅱ期及Ⅲ1A期HL傳統的治療方法。20世紀60年代Kaplan等確定了腫瘤根治的照射劑量3600~4400cGy/4~5周,及採用擴大野照射技術,照射野包括病變淋巴結區及臨床未發現病灶的鄰近淋巴結區。設計了斗篷野(mantle野)、鋤形野、盆腔野。鋤形野加盆腔野組成倒Y野。次全淋巴結照射(sub-totalnodualirradiation,STNI)包括斗篷野加鋤形野。全淋巴結照射(totalnodalirradiation,TNI)包括斗篷野和倒Y野(圖3)。 Ⅰ期、Ⅱ期、Ⅲ1A期HL傳統的標準治療採用STNI(膈上病變可不予盆腔野照射)或TNI。Ⅰ期、Ⅱ期患者10年生存率約90%,Ⅲ1A期70%~80%。
(2)早期(CSⅠ、Ⅱ期)HL治療的新認識和新策略:現代放療和化療的套用使霍奇金淋巴瘤已成為可治癒性腫瘤,但大量長期生存患者的隨診結果顯示15年死亡率較普通人群高31%,死亡原因中第二腫瘤占11%~38%(實體瘤和急性非淋巴細胞白血病),急性心肌梗死13%,肺纖維化1%~6%。此外還可引起不育以及畸形等。MOPP及COPP化療方案中烷化劑(氮芥、環磷醯胺)及丙卡巴肼可導致急性非淋巴細胞白血病及不育,ABVD方案中阿黴素等蒽環類藥可造成遲發心臟損害如心力衰竭。博來黴素可產生肺纖維化。放療可引起實體瘤(如肺癌、乳腺癌),心臟損害使急性心肌梗死的危險增加3倍(斗篷野照射),放射性肺炎(斗篷野照射)及不育(照射卵巢、睪丸)。在對HL治療遠期併發症新認識的基礎上,提出了防止和減少遠期嚴重併發症、提高生存質量的新治療策略。目前早期霍奇金淋巴瘤的治療主要根據患者臨床分期結合預後因素制定新的治療策略。主要不良預後因素包括:年齡>50歲、B症狀
霍奇金淋巴瘤 2、晚期(Ⅲ、Ⅳ期)霍奇金淋巴瘤的治療聯合化學治療是晚期(Ⅲ、Ⅳ期)霍奇金淋巴瘤的主要治療手段。常用的聯合化療方案有MOPP、COPP、ABVD和ABVD/MOPP(或COPP)交替方案(表5)。MOPP或COPP治療完全緩解率70%~80%,ABVD治療完全緩解率75%~82%,ABVD/MOPP交替方案完全緩解率83%~89%。套用聯合化療治療達完全緩解後需再給予2個周期的鞏固化療。通常共需6~8個周期。Ⅲ、Ⅳ期患者治癒率50%~70%。巨塊病灶或殘存病灶可加病灶野放療。
3、挽救治療晚期HL套用ABVD或MOPP(COPP)/ABVD聯合化療方案完全緩解率約80%,復發率約30%,治癒率約65%,尚不令人滿意。初治套用聯合化療不能達到完全緩解的難治病例或完全緩解後復發病例需給予挽救治療。
(1)初治單獨放射治療後復發病例可給予聯合化療,仍可取得良好的療效。總生存率與初治接受放、化療綜合治療無顯著差異。
(2)初治聯合化療完全緩解後超過12個月以上的延遲復發病例套用最初的化療方案仍可取得良好療效,長期生存率約45%。(3)初治聯合化療方案如MOPP和COPP不能達到完全緩解的病例或完全緩解後12個月內短期復發病例,應改用與原化療方案無明顯交叉耐藥性的新方案,如MOPP或COPP改為ABVD方案;或ABVD改為COPP方案。如對MOPP及ABVD方案均耐藥可改用依託泊苷、長春瑞濱、司莫司汀等藥組成新的化療方案。短期復發病例上述挽救化療療效不佳,長期生存率約14%。
(4)短期(12個月內)復發病例及初治聯合化療方案不能達到完全緩解的難治病例,可進行大劑量化療聯合自體造血幹細胞移植治療,其中化療尚敏感的病例療效較好,長期生存率為30%~50%,化療耐藥病例僅約20%。
併發症: 主要並發多臟器功能損害,個別可轉化為白血病等。生物治療治療生物治療是利用樹突狀細胞(DC)和細胞因子誘導的殺傷細胞(CIK)兩種細胞聯合治療 腫瘤。生物治療不僅能激發、增強腫瘤患者特異性抗腫瘤免疫應答,有效清除體內殘留病灶,且在患者體內誘發免疫記憶,從而獲得長期的抗瘤效應,因而能夠防治常規治療後腫瘤殘留病灶導致的復發,是一種全新、特異、有效的治療手段。預後及預防
預後:下列各種因素在霍奇金病初診時有提示預後價值:
① 疾病的臨床分期:疾病的範圍愈小,預後愈好; ② 組織學亞型:淋巴細胞為主型和結節硬化型較混合細胞型預後為佳,而後者又較淋巴耗竭型為佳; ③ 腫瘤細胞負荷大者差; ④ 全身症狀:發熱、盜汗、體重減輕較之無這些症狀者差; ⑤ 年齡:>40歲者較差; ⑥ 疾病部位的數目、結外病變的數目以及有無骨髓病變; ⑦ 性別:女性較男性疾病進展慢。預防:血液系統惡性疾病包括惡性淋巴瘤預防的主要措施應注意避免引起本病的發病因素。
1、預防病毒感染,如EB病毒、成人T淋巴細胞病毒、愛滋病毒等,在春秋季節防治感冒,加強自身防護,克服不良生活習慣。
2、去除環境因素,如避免接觸各種射線及一些放射性物質。避免接觸有關的毒性物質,如苯類、氯乙烯、橡膠、砷、汽油、有機溶劑塗料等。
3、防治自身免疫缺陷疾病,如各種器官移植後免疫功能低下狀態,自身免疫缺陷疾病,各種癌症化療後等。因移植物抗宿主病或免疫抑制劑均能激活病毒並促其誘導淋巴組織的增生作用。
4、保持樂觀、自信的健康心態,適當體育鍛鍊,有助於機體免疫功能的穩定,及時清除外來因素的侵襲。
5、對危險人群或發現危險因素者,做到早期診斷、早期綜合治療。對本病的治療應是全面的,除針對病因的治療外,還包括營養的補充,必要時作中心靜脈插管與胃腸外全營養,根據需要補充血液製品。合併症防治的成敗往往對疾病的預後有重大的影響,特別是免疫抑制階段機會感染的防治。在我國特別要注意結核、真菌感染、肝炎與巨細胞病毒感染等。

