意義
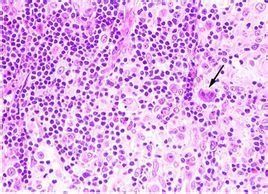
最典型的R-S細胞的雙葉核面對面的排列,形成所謂的鏡影細胞,其在診斷霍奇金淋巴瘤上具有重要意義,故稱為診斷性R-S細胞。
細胞是組成器官的小顆粒,器官又組成人體

鏡影細胞(mirror image cell):核中央有一大的嗜酸性核仁,直徑約3~4μm,周圍有一透明暈,最典型的R-S細胞的雙核面對面的排列,都有嗜酸性核仁,形似鏡中之影,形成所謂的鏡影細胞。
最典型的R-S細胞的雙葉核面對面的排列,形成所謂的鏡影細胞,其在診斷霍奇金淋巴瘤上具有重要意義,故稱為診斷性R-S細胞。
細胞是組成器官的小顆粒,器官又組成人體
