基本資料
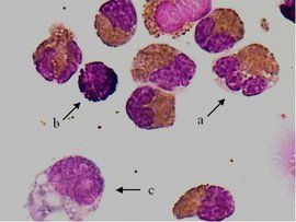
嗜酸粒細胞嗜酸粒細胞(acidophilicgranulocyte)在瑞氏染色血塗片中,胞質呈淺紅色,由於其中充滿顆粒,常不易見到細胞質。顆粒呈鮮紅色,直徑0.5~1.5微米。核為桿形或分葉形。電鏡下,胞質內有較發達的高爾基複合體,少量線粒體,多量糖原顆粒。顆粒分兩型,內含組胺酶、芳基硫酸脂酶、磷脂酶、酸性磷酸酶、氰化物和不敏感的過氧化物酶等。嗜酸粒細胞具趨化作用,吞噬作用和殺菌作用。
臨床知識
關於嗜酸性粒細胞的原因,關於嗜酸性粒細胞的相關知識。成人的嗜酸性粒細胞參考值的正常範圍為(0.02~0.5)×109/L,占白細胞總數的0.5%~5%,化驗單也可標記為0.005~0.05。嗜酸性粒細胞增多可預示下列疾病的發生:
(1)變態反應性病:支氣管哮喘、藥物過敏反應等,可見嗜酸性粒細胞輕度或中度增高。
(2)寄生蟲感染:常見血中嗜酸性粒細胞增多,可達10%或更多。
(3)皮膚病:濕疹、銀屑病等可有嗜酸性粒細胞輕度或中度增高。
(4)血液病:如慢性粒細胞白血病、惡性淋巴瘤,特別是嗜酸性粒細胞白血病時,嗜酸性粒細胞才可能極度增多。
(5)惡性腫瘤:尤其是腫瘤轉移或是有壞死灶的惡性腫瘤。
(6)傳染病:猩紅熱。
(7)其他:風濕性疾病、腦垂體前葉功能減退症等,常伴有嗜酸性粒細胞增多。
但嗜酸性粒細胞減少 在疾病的診斷治療方面的意義較小。
嗜酸性粒細胞直接計數(EOS)
[正常參考值]
50-300×106個/L(50-300個/mm3)。
[臨床意義]
嗜酸性粒細胞增多見於牛皮癬、天疤瘡、濕疹、支氣管哮喘、食物過敏,一些血液病及腫瘤,如慢性粒細胞性白血病、鼻咽癌、肺癌以及宮頸癌等。
嗜酸性粒細胞減少見於傷寒、副傷寒早期、長期使用腎上腺皮質激素後。
相關病症
嗜酸粒細胞本病認為是慢粒的一種變異,亦有將其歸入高嗜酸粒細胞綜合徵範疇。臨床除白血病表現外,主要為嗜酸粒細胞浸潤各臟器。心肌浸潤後發生小動脈栓塞,纖維化,瘢痕壞死。壁栓形成可致心肌損害、心臟擴大、心律不齊和進行性充血心力衰竭。後者常是死亡原因。肺部浸潤可有咳嗽、呼吸困難等;X線檢查可見雙側肺野呈一過性網狀陰影。中樞神經系統有精神障礙、妄想、共濟失調、抽搐、麻痹、昏迷等。皮膚呈現紅斑、丘疹、皮膚小結等。
2/3患者白細胞在50000/mm3以上,其中嗜酸粒細胞占60%~85%。原始細胞型除原嗜酸粒細胞外,原粒細胞也增多;幼稚細胞型主要為幼嗜酸粒細胞增多,也可伴有中性幼稚粒細胞增多;成熟細胞型僅為成熟的嗜酸粒細胞增多。嗜酸粒細胞可呈現顆粒增大及分布不勻,胞漿有空泡,核分葉過多等。中性粒細胞的鹼性磷酸酶正常,血中溶菌酶不增加。染色體可有畸變,個別出現ph染色體。對原始及幼稚細胞型,治療如同急粒,個別患者採用長春新鹼、羥基脲及腎上腺皮質激素也有效。
其它
文化藝術,生活娛樂,人物百科,社會人文,中外歷史...

