病因學
單純性肺嗜酸粒細胞浸潤症蛔蟲感染是最常見的病因,蛔蟲體多種物質有很強的抗原性。實驗證明,進食蛔蟲卵後,幼蟲移行至肺可發生本症典型的肺部表現與嗜酸粒細胞升高。引起本病的其他寄生蟲有鉤蟲、絲蟲、絛蟲、薑片蟲、鏇毛蟲和阿米巴原蟲等。藥物有對氨水楊酸、阿司匹林、青黴素、硝基呋喃妥因、保泰松、氯磺丙脲、肼苯達嗪、美加明、磺胺藥和氨甲蝶呤等。尚有吸入花粉、真菌孢子等產生本病的報導。
病理改變
病理變化主要位於肺間質、肺泡壁及終末細支氣管壁,有不規則的嗜酸粒細胞浸潤灶,有時肺泡內可見成堆的嗜酸粒細胞,極少累及血管。臨床表現
單純性肺嗜酸粒細胞浸潤症單純性肺嗜酸粒細胞浸潤症輕症只有微熱、疲倦及輕微乾咳等,重者可發高熱、陣發性咳嗽及哮喘等急性症狀嚴重時,偶可發生呼吸衰竭。胸部有濕性或乾性羅音,有時叩診可得濁音。脾臟可稍腫大。嗜酸細胞增多,有時高達60%~70%,較正常嗜酸細胞大,並含有大型顆粒。伴發全身血管炎之重症患兒可呈多系統損害。
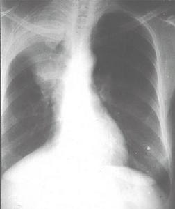
X線胸片可見雲絮狀斑片影,大小、形狀及位置都不恆定,呈遊走樣,於短期內消失及另一部位再發。偶見雙肺瀰漫顆粒狀陰影需與粟粒性肺結核鑑別。
臨床上常見兩種肺部浸潤伴嗜酸細胞增多綜合徵,即單純性肺嗜酸細胞增多症及熱帶性肺嗜酸細胞增多症,與寄生蟲蚴蟲移行有關,又可與藥物或化學物質有關,症狀較輕,哮喘或有或無,X線表現特點是肺浸潤性病變呈暫時性和遊走性,血清IgE正常,病程較短,多為數周左右。熱帶性嗜酸細胞增多症主要與絲蟲、犬及貓蛔蟲、鉤蟲感染有關,咳嗽伴哮喘,血清IgE增高,病程長短不定,有時可長達數周,慢性型可長達1年以上。
國外學者將嗜酸細胞性肺炎分為五型。除上述兩型外又有:①持續性肺嗜酸細胞增多症,可能與寄生蟲、真菌、細菌或藥物有關;多不伴哮喘,血清IgE正常,病程遷延數月,有人認為Luffler氏綜合徵病程超過1月者即屬本型;②肺嗜酸細胞增多症伴哮喘,多為肺麴黴菌感染如過敏性支氣管肺麴黴菌病,其他致敏原可能為粉塵、藥物、寄生蟲或不明。哮喘著明,血清IgE增高,病程長短不定,一般短於1個月,但有時可復發或轉變為慢性;③血管炎病(如結節性多動脈炎)伴肺嗜酸細胞增多症,乃多種膠原性疾患之一種表現,伴或不伴哮喘,多有心內膜、心肌和心包損害,血清IgE正常,病程多較長,病情較重,呈多器官損害時稱播散性嗜酸細胞性膠原病(disseminatid eosinophilic collagen diseaseDECD)預後差。北京兒童醫院曾見二例均死亡。
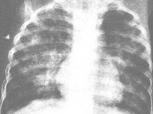
近年來有一種"嗜酸細胞增多性哮喘病"或"暴發性哮喘性嗜酸細胞增多綜合徵",在國內若干地區暴發流行,可見於嬰幼兒、年長兒至成人。患兒不發熱或有低熱,突出表現為哮喘與乾咳,有時出現瘙癢性皮疹。病情嚴重時,偶可因支氣管、毛細支氣管梗阻及心力衰竭而危及生命。X線胸片上多數有肺紋理增加及肺氣腫,少數有片狀或網點狀陰影(圖2410)。血內嗜酸細胞增多可高達20%以上。病因未明,有些作者認為是蛔蚴在體內移行的表現,有人推測一部分流行可能與病毒感染或真菌孢子大量吸入有關。
此外,重慶第三軍醫大學病理教研組(1978年)所見40例急性惡性嗜酸性細胞浸潤症中,31例為2~12歲的小兒,均與葡萄球菌感染有關。除嗜酸細胞性肺炎外,病變極廣泛,涉及小腸、肝、脾、腸系膜、扁桃體、腦和骨髓等。患者大多突然發病,出現高熱、昏迷、頭痛、腹瀉、咳嗽、抽搐和出血性皮疹,起病後多在1~2天內死亡。屍檢時除上述病變外,還在一些病例中找到皮膚、肺、肝、脾及頸淋巴結等局部嗜酸性葡萄球菌性膿腫。少數病例在生前或死後血液培養獲得凝固酶陽性的金黃色葡萄球菌。所有病例均未發現任何組織有寄生蟲或蟲卵。報告者認為31小兒病例占該教研組同時期同年齡階段小兒屍檢病例的6.7%,這類惡性病例提示嗜酸細胞反應與特殊感染之間存在著複雜聯繫,尚待進一步研究。
肺包蟲病、何杰金病和結節病常見顯著的肺部病變及嗜酸細胞增多症,故在診斷本病時應先予排除。
診斷
本症的診斷主要根據外周血嗜酸粒細胞增高伴遊走性肺部浸潤灶,且臨床症狀輕微,能自愈等特點。懷疑由蛔蟲感染引起者,可在症狀出現2月後,即尾蚴在體內發育成蟲後,作糞便集卵檢查。
治療措施
單純性肺嗜酸粒細胞浸潤症