概述
白血病(Leukemia)是造血系統的惡性腫瘤。其特徵是骨髓、淋巴結等造血系統中一種或多種血細胞成分發生惡性腫瘤,並浸潤體內各臟器組織,導致正常造血細胞受抑制,產生各種症狀。白血病臨床上常以發熱、出血、貧血,肝、脾、淋巴結腫大為特點。白血病一般按自然病程和細胞幼稚程度分為急性和慢性,按細胞類型分為粒細胞、淋巴細胞、單核細胞等類型,臨床表現各有異同之處。可經中藥及化療,大部分可達緩解,也可骨髓移植治療,一部分可長期存活甚至治癒。白血病是常見腫瘤之一,占腫瘤發病率的第六位,約為3-4/10萬人,其中急性多於慢性,急性者占70%以上,其中急粒占首位,急淋、急單次之。慢性白血病在中國以慢性粒細胞性白血病多見 。
免疫學分型
急性白血病急性白血病的免疫學分型
ANLL的分型主要依靠形態學(包括細胞化學)來區分。免疫學分型的研究進展較ALL慢,主要用於ANLL與ALL的區別。在髓系細胞的分化過程中,CD34出現於粒系-單核系祖細胞(granulocyte-macrophageprogenitorcell,CFU-GM),分化至原始粒細胞階段消失。CD33、CD13見於髓系分化的全過程。HLA-DR存在於CFU-GM和各期單核細胞。幼稚及成熟期粒、單核細胞表面出現CD11b,粒系表達CD15,單核細胞表達CD14。
紅系祖細胞(BFU-E、CFU-E)表達血型糖蛋白A。巨核細胞系表達Ⅱb/Ⅲa/Ib。一般來說,ANLL的免疫學分型與FAB分型無明顯相關,但少數類型有一定相關,如M4/M5表達CD14,M3缺乏HLA-DR抗原 。
症狀
(一) 白血病細胞浸潤影響正常造血細胞生成所表現的臨床症征:
1、發熱:本病常見症狀。低熱多為本病發熱,常熱常為感染所致。感染髮生的部位通常為口腔、呼吸道、泌尿道、肛周及皮膚。
2、出血:可發生在周身任何部位的皮膚與黏膜,嚴重者可出現內臟大出血,甚至發生致命性顱內出血。
3、貧血:絕大多數患者有不同程度的貧血。表現為面色蒼白,頭暈乏力,心悸氣短等。
(二)白血病細胞浸潤骨髓以外器官出現的體徵:
1、肝、脾、淋巴結腫大:肝脾腫大是本病較常見的體徵,約占50%;淋巴結腫大可高達90%,以急淋為多見,其次為急單,再次為急粒。
2、骨及關節疼痛:胸骨壓痛是本病有診斷意義的體徵。疼痛的部位多發生在四肢骨及關節,呈遊走性,局部無紅、腫、熱現象。此外,少數年輕急粒患者之扁骨可出現綠色瘤,其特點為質硬並與骨膜相連,腫塊呈青色,皮薄處可呈綠色。
3、皮膚及五官表現:皮膚可見斑丘疹、結節、腫塊、皮炎等;齒齦腫脹出血,口腔潰瘍和咽痛,以急單為顯著。眼眶為綠色瘤多發部位,以突眼症為主要表現,重者可出現眼肌癱瘓失明。
4、其他:中樞神經系統由於浸潤及出血等可出現顱內壓增高及顱神經損害,外周神經也可能受累。心包膜、心肌及心內膜皆可被浸潤,但有臨床表現者較少見,可表現為心包積液、心率失常及心衰等。支氣管及肺亦可受到白血病細胞的浸潤。
(三)起病急驟,約66%的病人在一個月內起病,病情急,發展快。貧血是常見又早期出現的症狀,為嚴重的進行性貧血,出現皮膚蒼白、頭暈乏力、浮腫及活動後氣促等。
1、急性白血病的症狀以發熱為首發症狀者占50%~84%,熱型不定。有兩種情況:
①白血病本身發熱;由於白細胞轉換率增加及核蛋白代謝亢進造成低熱,一般不超過38.0℃,抗生素治療無效。
②感染:由於白血病患者成熟細胞缺乏,身體免疫力降低,常導致各種感染,體溫可高達39~41℃,是引起死亡的主要原因。常見感染有上呼吸道感染、咽炎、扁桃體炎、口腔炎、疼痛、肺炎、泌尿系感染以及敗血症等,以口腔炎最多見。
病因
1、病毒感染:研究表明白血病很可能由病毒引起。病毒引起禽類、小鼠、大鼠、豚鼠、貓、狗、牛、豬、猴的白血病,此外,C型RNA腫瘤病毒與人類白血病的病因有關。
2、電離輻射:日本廣島、長畸核子彈爆炸後的白血病發病率明顯增高。離爆炸中心越近,發病率越高。此外,大劑量放射線局部治療類風濕性強直性脊椎炎時,白血病發生率在治療組中比對照組高10倍,而其發病機會與照射劑量密切相關。部分國家報導放射科醫師患白血病較多。
3、化學因素:某些化學物質如苯和氯黴素等通過對骨髓損害,也可誘發白血病。急性白血病與口服氯(合)黴素可能有關。其它有氨基比林、磺胺藥、保泰松、223、樂果等。
4、遺傳因素:先天性痴呆樣愚型者發生白血病較正常兒童高15-20倍;其它伴有染色體異常的先天性疾病如Bloom綜合徵、Fanconi綜合徵、Klinefelter綜合徵等患者中白血病的發病率也均較高。有少數家族性和先天性的白血病 。
急性白血病的檢查方式
1、周圍血象
通過此項檢查後會發現人們存在貧血、血小板減少、白細胞質和量的變化;此時人們還具有細胞和血紅蛋白,一般為正細胞、正色素性貧血,而血片中也會非常
容易看見紅細胞;網織紅細胞百分數常減少,少數正常或輕度增加;血小板在疾病早期會正常或輕度減少,晚期就會明顯減少,除數量減少外,其功能也會發生改
變。
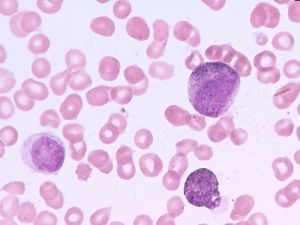
2、骨髓象
此項檢測可以說是診斷急性白血病的重要依據,若是人們存在骨髓增生大都活躍或極度活躍、少數增生減低,甚至“乾抽”;各種類型白血病的原始細胞+早幼
(或幼稚)細胞應〉30%,就會看見白血病裂孔現象;而惡性增生的血細胞有質的異常,如核漿發育不平衡、退行性變、核畸形,還會看見核分裂象、粒系可見棒
狀小體;幼紅細胞明顯減少、巨核細胞明顯減少或消失等,這些就都可以表明人們患上了此病。
診斷要點
急性白血病(一)臨床症狀
急驟高熱,進行性貧血或顯著出血,周身酸痛乏力。
(二)體徵
皮膚出血斑點,胸骨壓痛,淋巴結、肝、脾腫大。
(三)實驗室檢查
1、血象:白細胞總數明顯增多(或減少),可出現原始或幼稚細胞。
2、骨髓象:骨髓有核紅細胞占全部有核細胞20%以下,原始細胞≥30%,可診斷為急性白血病;如骨髓有核紅細胞≥50%,原始細胞占非紅系有核細胞的比例≥30%,可診斷為急性白血病。
對臨床症狀不典型,白細胞降低,外周血未發現幼稚細胞者,應在骨髓片尾部仔細查看,如發現幼稚細胞>30%,即可確診。
根據病史症狀、體徵和上述實驗室檢查,臨床上把白血病分為急淋和急性非淋巴細胞白血病兩大類。
化驗檢查
骨髓象檢查,按FAB和中國分類的意見,分型如下:急性非淋細胞白血病(ANL)
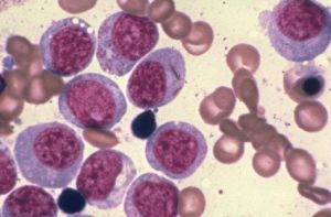
1、微小分化急性髓系白血病(M0型):骨髓有核細胞增生程度較輕,原始細胞大於30%,可達90%以上,核圓形,核仁明顯。胞質小,嗜鹼性,無顆粒,無AUER小體。
2、急性原始粒細胞白血病未分化型(M1):骨髓增生極度活躍或明顯活躍,少數病例可增生減低,骨髓中I型加II型原始粒細胞大於90%(NEC),可見小原粒細胞(胞體小,與淋巴細胞相似,胞似圓形,核染色質呈細顆粒狀,較正常原粒細胞密集,核仁1-2個,有偽足)。
3、急性原始粒細胞白血病部分分化型(M2):骨髓增生極度活躍或明顯活躍,骨髓原粒I型II型大於30%-90%,單核細胞小於20%,早幼以下各階段大於10%,約50%病例的白血病細胞內可見Auer小體。
分兩個亞型:
M2a:骨髓中原粒I型+II型>30%-90%,單核細胞<20%,早幼以下各階段>1%。
M2b:骨髓中粒系統明顯增生,異常的原始及早幼粒細胞增多,以異常的中性中幼粒細胞增多為主,常>30%,這類中幼粒細胞有核仁1-2個,核漿發育不平衡。有的晚幼粒亦見有核仁。有核凹陷處常有淡染區,胞漿可見空泡。
4、急性早幼粒細胞白血病(M3) :骨髓中以顆粒增多的或異常的早幼粒細胞增生為主,>30%,胞體呈橢圓形,核可偏向一邊,大小不一,另一端為大小不等的異常顆粒,胞漿可見束狀Auer小體,也可逸出胞體之外。
5、急性粒-單細胞型白血病(M4) :骨髓增生極度活躍或明顯活躍,粒、單核兩系同時增生,紅系、巨核系受抑制。根據原始粒和單核細胞的比例、形態不同以及嗜酸細胞的數量,分為下列亞型:
M4a:以原始及早幼粒細胞增生為主。幼單核細胞>20%。
M4b:以原、幼單核細胞增生為主。原粒和早幼粒30%。
4EO:除上述特徵外,骨髓中嗜酸細胞>5%一30%,外周血嗜酸細胞不一定增高。
6、急性單核細胞白血病(M5) :骨髓增生極度或明顯活躍,原單幼單細胞大於30%,白血病細胞形態特點是,體積小,不規則,質多有偽胞質,有空泡和被吞噬的細胞。
7、紅白血病(M 6) :骨髓增生極度活躍或明顯活躍,紅系增生為主,原紅、早幼紅多見,常有中幼紅細胞階段缺如的紅血病裂孔現象,且有形態學異常。後期發展為急性髓性細胞白血病,白細胞系統明顯增生,原始細胞占優勢,大於30%(ANC)也可見Auer小體,巨核細胞顯著減少。
8、急性巨核細胞白血病(M7型) :骨髓增生明顯活躍或增生活躍,粒系及紅系細胞增生均減低,巨核細胞系異定擔生,全片巨核細胞可多達1000以上,以原始及幼稚巨核細胞為主,原巨細胞可大於30%,可見巨形原始巨及小巨核細胞,小巨核細胞體積小,多數直徑為10um,少數達20um,胞體圓形或橢圓形,邊緣不整齊,呈雲霧狀或毛刺狀,胞質藍色不透明,可有偽足樣突起偶見藍染小核仁。
急性淋巴細胞白血病(AlL)
骨髓增生極度或明顯活躍,少數病例是增生活躍,以原始和幼稚淋巴細胞為主,大於30%,可高達50%一90%胞核形態不規則,可有凹陷、摺疊、切跡、裂痕,紅細胞系統、粒細胞系統增生受抑制,巨核細胞系減少或不見,血小板減少,退化細胞增多。
按FAB形態學分類,可將急性淋巴細胞白血病分為三種亞型:
1、L1型:以小細胞為主,核染色較粗,每例結構一致。核型規則呈圓型,偶有凹陷或摺疊,核仁小而不清楚或不見。胞漿少,輕度或中度嗜鹼性,胞漿有空泡不定。
2、L2型:以大細胞為主,混有一定數量的小細胞,大小不等明顯。核染色質疏鬆,每例結構不一致。核形不規則,凹陷和摺疊常見。核仁清楚,一個或多個,胞漿量不定常較多,漿深淺不一,有的深染,漿仙可有空泡。
3、L3型:以大細胞為主,大小較一致。核染色質呈點狀(細)勻均,核形較規則,核仁明顯,一個或多個。胞漿量不等,呈小泡狀,通常較豐富,深藍,空泡明顯呈蜂窩狀 。
併發症
急性白血病1、感染:由於白血病造成正常白細胞減少,尤其是中性粒細胞減少,同時化療等因素亦導致粒細胞的缺乏,使患者 易發生嚴重的感染或敗血症。常引起感染的細菌有:革蘭陽性菌、如金黃色葡萄球菌、溶血性鏈球菌、棒狀桿菌等革蘭陰性桿菌,如綠膿桿菌、大腸桿菌、克雷白氏桿菌等。黴菌感染以白色念珠菌、麴黴菌、毛黴菌擴頭毛孢子菌等,上述黴菌感染多發生於長期粒細胞閏少或持續發熱而抗生素不敏感的患者。有的接受皮質激素治療的患者,由於細胞免疫功能低下,更易被病毒感染,如水痘帶狀皰疹病毒、單純皰疹病毒等。此外卡氏肺囊蟲感染也常見,上呼吸道感染及肺炎為其常見類型。
2、腸功能衰竭:由於治療白血病中的化療藥物、放療手段影響腸胃功能,而導致胃功能衰竭,患者的營養補充是突出問題,採用鎖骨下靜脈插管到上腔靜脈內進行高營養輸液僅能解決部分問題,營養缺乏可發生肺炎、腸炎等併發症。
3、高尿酸血症:正常人由於核酸代謝分解,每日尿中排出尿酸300~500mg。白血病患者因大量白血病細胞的核酸分解可使尿酸排出量增加數十倍。當患者接受化療、放療等治療時則出現高尿酸血症,套用皮質激素等又能增加高尿酸症,高濃度的尿酸很快過飽和而沉澱,引起腎小管廣泛損傷和尿酸結石,可導致少尿、無尿。因此白血病患者必須補充較充分的液體,以保證一定的尿量,並服用別嘌噙醇,如發生腎功能衰竭則須限制補液量,並作透析治療。
4、出血:白血病患者由於白血病細胞惡性增生,血小板明顯減低,易引起呼吸道、消化道、泌尿系出血,尤其是顱內出血,所以要根據病因採取積極止血措施,包括輸注濃縮血小板。
5、肺部疾患:由於白血病患者正常成熟中性粒細胞減少,免疫功能降低,常常導致肺部感染。此外白血病細胞、浸潤可阻塞肺部小血管、支氣管而發生呼吸困難、呼吸窘迫綜合徵,胸片可有毛玻璃狀或粟粒網狀,可作肺部放射的試驗性治療。
6、電解質失衡:白血病治療過程中常因白血病細胞破壞過多或因化療藥物性腎損害等原因而排鉀過多。又因化療引起飲食慾差,消化系統功能紊亂,納入量不足而致低血鉀。或因白血病細胞破壞使磷釋放增多,導致低鈣等。因此在治療過程中要注意鉀、鈣、鈉等電解質濃度 。
常規治療
白血病是一種難治性的血液病,具有複雜多變的臨床特徵,治療目的主要是殺滅體內癌細胞,降低其浸潤症狀,在使用化療藥物的同時,必須加強支持治療,減少併發症,才能使病情好轉至緩解,應掌握早期、足量、聯合、注意髓外白血病及個體化的治療原則。
治療原則:
1、化學藥物治療(化療):分為誘導緩解和緩解後治療兩個階段,後者包括鞏固、強化及維持治療。 急性淋巴細胞最基本化療方案為長春新鹼+強的松(VP方案)。在此基礎上組成長春新鹼+柔紅酶素+強的松(VDP),長春新鹼+門冬醯胺酶+強的松(VAP),長春新鹼+6巰嘌呤+強的松(VMP)等。 急性非淋巴細胞白血病化療方案可為:柔紅酶素+阿糖胞苷(DA方案),三尖杉酯鹼+阿糖胞苷(HA方案),三尖杉酯鹼+長春新鹼+阿糖胞苷+強的松(HOAP方案等)等。
2、骨髓移植,造血幹細胞移植。
3、支持療法:包括貧血的治療,感染的防治及出血的治療,高尿酸血症的防治及營養支持療法。
4、髓外白血病(睪丸白血病及中樞神經系統白血病)防治。
特色治療
獨創的“經腧介導調控生血療法”對治療急性白血病有著非常好的效果,它是我院專家經過多年的研究和臨床試驗才創造出來的一種中醫治療急性白血病的手段,目前已經治癒了數以萬計的急性白血病患者,同時也彌補了西醫在治療上的弊端,得到了很多醫學界專家的高度評價。
用藥範圍:
1、對輕症病例以化療及支持療法為主。
2、對重症伴有嚴重感染,除化療外,早期使用廣譜抗生素,當藥敏試驗結果回報告,則根據藥敏選擇抗生素。同時可使用丙種球蛋白。
3、對重症分並出血病例,可給成分輸血。若為DIC所致,則選擇肝素為主治療。
4、合併嚴重貧血,應輸血或成分輸血。
5、對合併中樞神經系統白血病病例,合身化療同時,輔以鞘內注射結合頭顱放療。
6、有條件者,完全緩解後應早做骨髓移植
預後與轉歸
急性白血病初治患者70%~90%經治療,可達緩解,經鞏固強化中西醫結合治療,可達長期無病生存甚至治癒。急性白血病是一種血液病中的急危重症,一部分病例因化療耐藥,效果不佳,併發症多者預後較差。應積極預防治療併發症,提高機體抗病能力,以挽救患者生命。
預後惡化原因
急性淋巴細胞白血病自然病程較短,若不治療,一般多在6個月內死亡,平均病程約3個月。急性淋巴細胞白血病的預後與臨床分型關係密切,一般認為高危患兒較標危患兒預後差。此外,化療後達到完全緩解的時間與預後關係密切。誘導治療後,周圍血幼稚細胞在5天內減少一半,骨髓於2周內明顯好轉,4周內達到完全緩解者,則預後較好。
從套用聯合化療以後,預後有了明顯改善。緩解率可達95%以上,已開發國家如德國BFM協作組的五年無病生存率已達到80%,中國的五年無病存活率也達到74%以上。因此ALL已成為一種可治癒的惡性腫瘤。
急性白血病預後惡化原因主要是:
病情惡化
由於急性白血病來勢兇猛,有大約20%患者發病後還來不及治療或剛開始治療就死亡了。這當中包括:
①原發耐藥,無法緩解,但比例不高;
②嚴重的出血,顱內出血死亡率尤其高,占早期死亡的50%以上;
③嚴重感染,抗菌藥治療效果差,多發生於初治的後期;
④體質差,心、肺、肝、腎衰竭等,多發生於化療後;
⑤患者當中有的是由於病型兇險,部分則是各種無意識的延誤,未及時診斷和治療,病情加重的結果。
無力治療死亡
白血病治療費用高,能承受這種負擔的家庭大約不到20%,大批患者早期的錢在1至2個月內就用完了,有的患者只好拖延乃至停止治療。有報告認為:我國小兒AL年發病人數約1.5萬人,能科學規範治療者僅1/10。
延誤治療死亡
①多處求醫:有的患者和病屬對一家醫院的診治往往不信任,要去多家醫院診治,東奔西走,延誤了治療或治療的連續性,使病情惡化。
②偏信誤導:相信不化療可以治白血病的誤導,相信世上有靈丹妙藥,甚至求神拜佛。
③僥倖心理:化療或服中藥緩解後對續治不認真,導致復發死亡。首次復發時多數患者可以很快重新緩解。服中藥的患者尤其緩解得快,而且多數生存質量很好,有的患者甚至與常人無異,但體內癌細胞仍然沒清除乾淨,或者正在大量繁殖。在連續緩解幾個月,生存質量很好的情況下,許多患者和病屬大意,導致一至三個月內再次復發。
護理要點
1、充分休息,穩定情緒,幫助患者克服焦慮、恐懼、悲觀等不良心理反應,增強治療信心,執行保護性醫療制度。
2、給予高營養食品,以補充機體消耗,提高對化療的耐受性。
3、化療時注意保護患者靜脈,避免藥物外滲,嚴格遵守用藥的次序、時間、劑量,觀察化療藥物療效及不良反應。
4、緩解期患者仍需注意飲食和休息,避免風寒和勞累,定期複診 。
5、避免輻射的影響
最新研究發現,輻射也是影響疾病的一項原因,所以開燈睡覺的兒童或自然睡眠模式受人造光線干擾的人,患癌症的可能性比平常人要大。而且研究人員提出,兒童白血病發病率增多與夜晚暴露在燈光下有關係。因此,急性白血病護理細節要求家長在孩子上床睡覺後立即把燈關掉。
6、居家環境要安全
對於護理急性白血病這一問題,要特別的重視,而研究發現,城市急性白血病患兒有接近三分之一是因為室內裝修而患病。為了保護孩子的身體健康,裝修住宅最好
選用符合環保要求對人體無害的材料,入住前最好開窗通風一周以上,請室內環境監測部門進行監測,合格後再入住,入住後一旦孩子出現了不明原因的出血、低
燒、頭暈等症狀就要到醫院接受檢查。
相關救助
2012年3月12日,民政部、財政部、人力資源和社會保障部、衛生部聯合下發《關於開展重特大疾病醫療救助試點工作的意見》。《意見》指出,因患重特大疾病致貧,難以自付醫療費用的中國公民,有望在基本醫保外,再享受所在地方政府的專項醫療救助。兒童急性白血病、婦女宮頸癌等病種,將優先納入救助範圍。
急性白血病的護理工作
1、白血病的預防和早期發現儘量不接觸放射性物質和化學毒物;防止病毒感染,如感冒等。如發現有以下情況者,要及時到醫院檢查,儘快查明病因,及早治療是白血病的護理方法之一。2、白血病病人能否長期緩解並且治癒,周密細緻的治療與護理起著決定性的作用,所以白血病病人無論是在醫院治療,還是在家休養,家庭成員和病人本人必須掌握該病的常用護理知識,並認真執行。3、嚴格按醫生要求進行治療,認真做好各種家庭和自我護理,預防出血、感染等併發症,很多白血病病人可以長期緩解和存活。所以患白血病後,病人及親屬切勿感到悲觀和絕望,要有戰勝疾病的信心和信念,樂觀向上的精神狀態和積極的生活態度,對疾病的好轉起著非常重要的作用。病情輕或緩解期的病人可適當休息,避免過度活動。病情重時要保證臥床休息。
預防
一、想要做好急性白血病的預防,在日常生活中一定要儘量避免接觸到各种放射線,如:X射線、電離輻射等。這類物質對人體的傷害很大,若長期接觸的話,會嚴重損害自身健康。
二、莫要濫用藥物。生活中,在服用一些免疫抑制劑、各種抗癌藥物或者是某種降壓藥物時,一定要小心,千萬不要擅自服用,更不可濫用或者是長期服用。必須要遵循醫囑,以免損害自身健康,導致急性白血病的發生。
三、減少苯等化學物質的接觸,也是急性白血病的預防之一。因為,這類化學物質能夠影響人體中的造血系統,導致血小板減少,從而增加了患病的幾率。所以,在日常生活中,人們一定要儘量減少這類物質的接觸。
四、作息時間正常。太晚睡覺,或者經常加夜班,也會增加患急性白血病幾率。很多年輕人工作壓力較大,經常加夜班,食用過多的加工處理過的肉類食品,都會增加患急性白血病幾率。
急性白血病的飲食
1、多進食含維生素豐富的食物臨床資料證明,惡性腫瘤患者中約有70~90%的人體內有不同程度的維生素缺乏。國外醫學研究證明多吃富含維生素C的蔬菜與
水果,能阻止癌細胞生成擴散。攝人大量維生素C,還能增強機體的局部基質抵抗力和全身免疫功能,從而達到控制和治療癌症的目的。白血病患者吃什麼好?含維
生素C豐富的食物有油菜、雪裡蕻、西紅柿、小白萊、韭萊、薺萊、山楂、柑桔、鮮棗、獼猴、沙棘及檸檬等。維生素A可刺激機體免疫系統,調動機體抗癌的積極
性、抵抗致病物侵人機體。含維生素A豐富的食物有胡蘿蔔、南瓜、蛋黃、動物肝臟、魚肝油、柿子椒以及菠萊等。2.當白血病患者口腔有潰瘍、出血時,應給以溫熱的半流或全流汁狀飲食,可採用少食多餐的方法,忌燙食。3.病人感覺到腹痛時可暫且禁止飲食,以觀察腹痛變化情況。如出現噁心、嘔吐、便血時,也要禁食,便血停止24小時後再給少量較稀的食物。
兒童急性白血病護理
1.休息白血病患兒常有活動無耐力現象,需臥床休息,但一般不需絕對臥床。長期臥床者。應常更換體位、預防褥瘡。
2.預防感染感染是導致白血病患兒死亡的重要原因之一。白血病患兒免疫功能減低,化療藥物對骨髓抑制常致成熟中性粒細胞減少或缺乏,使免疫功能進一步下降。粒細胞減少或缺乏和免疫功能下降是發生感染的危險因素。粒細胞減少持續時間越久,感染的威脅愈大。預防感染可採取以下措施。
3.輸血的護理骨髓暫時再生低下是有效化療的必然結果。白血病在治療過程中往往需輸血液成分或輸血進行支持治療。輸注時應嚴格輸血制度。一般先慢速滴
注觀察15分鐘,若無不良反應,再按患兒年齡、心肺功能、急慢性貧血及貧血程度調整滴速。輸血過程中應密切觀察輸血引起的不良反應。
急性白血病的危害
一、腸功能衰竭:由於治療白血病中的化療藥物、放療手段影響腸胃功能,而導致怕胃功能衰竭,患者的營養補充成為一個突出的問題,目前採用鎖骨下靜脈插管到上腔靜脈內進行高營養輸液僅解決部分問題,營養缺乏可發生肺炎、腸炎等併發症。
二、感染:由於白血病造成正常白細胞減少,尤其是中性粒細胞減少,同時化療等因素亦導致粒細胞的缺乏,使患者易發生
嚴重的感染或敗血症。常引起感染的細菌有:革蘭陽性菌、如金黃色葡萄球菌、溶血性鏈球菌、棒狀桿菌等革蘭陰性桿菌,如綠膿桿菌、大腸桿菌、克雷白氏桿菌
等。黴菌感染以白色念珠菌、麴黴菌、毛黴菌擴頭毛孢子菌等,上述黴菌感染多發生於長期粒細胞閏少或持續發熱而抗生素不敏感的患者。
三、高尿酸血證:正常人由於核酸代謝分解,每日尿中排出尿酸300~500mg.白血病患者因大量白血病細胞的核
酸分解可使尿酸排出量增加數十倍。當患者接受化療、放療等治療時則出現高尿酸血症,套用皮質激素等又能增加高尿酸症,高濃度的尿酸很快過飽和而沉澱,引起
腎小客廣泛損傷和尿酸結石,可導致少尿、無尿。這也屬於急性白血病的危害之一。
四、出血
急性白血病患者由於白血病細胞惡性增生就會導致血小板明顯減低,也會非常容易引起呼吸道、消化道、泌尿系出血,尤其是顱內出血等急性白血病併發症,所以要根據病因採取積極止血措施,以避免急性白血病患者受到更多的傷害。
五、心臟損害
急性白血病引發人們出現心臟情況的並不少見,大多數表現為心肌白血病細胞浸潤、出血及心外膜出血、心包積液等。但是也會有臨床症狀患者比較少見,少數患者還會有心前區收縮期雜音、心律不齊等,也提醒著人們應該及時到醫院進行科學診治。
急性白血病的檢查方法
1、鑑別診斷
通過科學的方式去診斷急性白血病讓患者進行接收準確治療最主要,對急性白血病的檢查可以根據臨床表現、血象和骨髓象特點而確定,而且診斷一般不難,因此人們需要準確掌握這些情況而及時發現自身出現的問題並且進行準確治療。
2、白細胞異常
通過檢查可以發現白細胞異常因素再通過進一步的檢查就可以證明是急性白血病,而傳染性單核細胞增多症就會導致白細胞減少,通過檢查會發現人們血象中出現異形淋巴細胞,但形態與原始細胞不同,血清中嗜異性抗體效價逐步上升,病程短還可以自愈。
急性白血病患者吃什麼好
多進食含維生素豐富的食物臨床資料證明,惡性腫瘤患者中約有70~90%的人體內有不同程度的維生素缺乏。國外醫學研究證明多吃富含維生素C的蔬菜與水
果,能阻止癌細胞生成擴散。攝人大量維生素C,還能增強機體的局部基質抵抗力和全身免疫功能,從而達到控制和治療癌症的目的。白血病患者吃什麼好?含維生
素C豐富的食物有油菜、雪裡蕻、西紅柿、小白萊、韭萊、薺萊、山楂、柑桔、鮮棗、獼猴、沙棘及檸檬等。維生素A可刺激機體免疫系統,調動機體抗癌的積極
性、抵抗致病物侵人機體。含維生素A豐富的食物有胡蘿蔔、南瓜、蛋黃、動物肝臟、魚肝油、柿子椒以及菠萊等。
檢查方法
一,血象:白細胞多數在10-50×109/L,少部分<5×109/L或>100×109/L。
二,骨髓象:骨髓穿刺檢查是診斷急性白血病的重要方法。
三,細胞化學:白血病的原始細胞有時形態學難以區分,可藉助細胞化學作出鑑別.
四,生化檢查:
(一)溶菌酶:測定溶菌酶有利於鑑別白血病類型。
(二)尿酸。
(三)電解質及酸鹼平衡。
五,染色體檢查:對急性白血病進行染色體檢查有助於白血病的正確分型及預後的估計。
併發症
急性淋巴細胞性白血病的併發症:DIC(彌散性血管內凝血),急性淋巴細胞性白血病復發,嚴重的感染。
疾病(二)
| 疾病(Disease)的概念:疾病是機體在一定的條件下,受病因損害作用後,因自穩調節紊亂而發生的異常生命活動過程。 |

