病因
骨髓纖維化MF主要病理改為骨髓纖維化及脾、肝淋巴結的髓外造血。骨髓纖維化的發生是由中心逐向外周發展,先從脊柱、肋骨、骨盆及股骨、肱骨的近端骨骺開始,以後逐步蔓延至四肢骨骼遠端。
1) 早期全血細胞增生伴輕度骨髓纖維化期骨髓細胞呈程度不一的增生。紅、粒、巨核細胞系均增生,以巨核細胞最明顯。脂肪空泡消
骨髓纖維化失,網狀纖維增多,但尚不影響骨髓的正常結構。造血細胞占70%以上,骨髓基質以可溶性膠原蛋白增加為主。
2) 中期骨髓萎縮與纖維化期纖維組織增生突出,占骨髓的40%~60%,造血細胞占30%,巨核細胞仍增生。骨小梁增多,增粗,與骨髓相鄰部位有新骨形成。各個散在造血區域被由網狀纖維、膠原纖維、漿細胞和基質細胞形成的平行束狀或螺鏇狀物質分隔。
3) 晚期骨髓纖維化和骨質硬化期 MF終末期。以骨質的骨小梁增生為主,占骨髓的30%~40%。纖維及骨質硬化組織均顯著增生,髓腔狹窄,除巨核細胞仍可見外,其他系造血細胞顯著減少。此期骨髓基質成分中聚合蛋白為主,主要表現纖維連線蛋白,外連線蛋白和TENASCIN分布增加。
4)對酪氨酸激酶的分子學研究
近年發現約50%骨髓纖維化患者具有JAK2V617F突變這種情況出現,很多醫學專家對這種突變存在於髓系及其造血祖細胞形成的集落中,而非造血細胞不存在這種突變進行縝密研究,最後將JAK2V617F與MPL或G-CSFR共表達轉化細胞後,發現juice能導致細胞發生非因子依賴的生長,也會導致JAK2信號傳導途徑下游的一個重要效應因子-STAT5的組成性磷酸化,為治療骨髓纖維化疾病做出了很大的貢獻。
症狀
骨髓纖維化其病大多隱匿,進展緩慢。許多病人常於症狀出現數月或數年後才確診。最多見的為疲乏、體重減輕及巨脾壓迫引起的各種症狀。起初,全身情況尚好,逐漸出現脾增大、代謝亢進、貧血加重的症狀,晚期可有出血症狀。其臨床表現主要有:
1) 脾、肝腫大脾大是最重要的臨床表現,發生率幾乎100%。偶爾病人自己發現左上腹有一腫塊或體檢時被發現。有人認為脾大程度與病程有關,脾肋下每1CM代表一年病程。由於脾大,常感覺腹部飽滿或沉重壓迫。脾觸之堅實,一般無壓痛;但如脾增大太快,可因脾局部梗死而發生局部疼痛,甚至可以聽到摩擦音。
2) 全身性症狀 中晚期病人大多有乏力、體重減輕、怕熱、多汗等症狀。食慾一般或減退。晚期消瘦尤為明顯。
3) 貧血早期既有輕度貧血,隨血紅蛋白下降逐漸加重,晚期面色蒼白、疲乏、無力、體力活動後氣促、心悸等症狀較明顯。
4) 出血症狀早期血小板計數增高或正常,無出血症狀。晚期血小板減少,皮膚常出現紫癜或瘀斑,可有鼻衄。
5) 其他少數病人可有不明確的骨痛。很少數病人因血尿酸增高而發生繼發性痛風性關節炎。
在出現骨髓纖維化疾病的同時,血小板的計數也會不斷的增高,但是沒有出血的症狀,晚期血小板減少患者的皮膚常常有紫癜或者是瘀斑等,如果出現全身性
的症狀,則是中晚期病人,這是患者多大都乏力、體重減輕,會怕熱。食慾也會減退,一些患者到了晚期則會消瘦的更加嚴重,很少數病人因血尿增高而發生繼發性
痛風性關節炎。
脾腫大在臨床上幾乎是所有患者都可以見到,而巨脾甚至下達盆腔,一般都是比較堅硬的,表面則是非常的光滑,並沒有多大的痛感,脾梗塞和脾破裂一般並不
多見,極為少數的病人則脾可不腫大。而肝腫大占1/2-3/4的病人,大多數是以輕至中度腫大。並發脾梗死或脾周圍炎在臨床上是少見的,而這時骨髓纖維化
的症狀表現為較劇烈的左上腹痛,甚至左肩痛,脾區壓痛明顯,可觸及摩擦感和聞及摩擦音。
診斷標準
1、脾明顯腫大;
2、外周血可見幼稚細胞和有核紅細胞,有數量不一的淚滴樣紅細胞,病程中可有紅細胞,有數量不一的淚滴樣紅細胞,病程中可有紅細胞、白細胞和血小板增多和減少;
3、骨髓穿刺多次“乾抽”或呈“增生低下”;
4、脾、肝、淋巴結病理切片顯示纖維組織明顯增生;
診斷IMF須具備第五項再加其餘4項中任何2項並能除外繼發性MF。
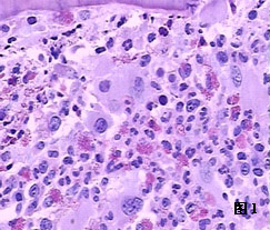
1.、血象:血紅蛋白減少,呈正細胞正色素性貧血;白細胞多正常或增多,少數減少;血小板多減少,少數病人明顯增多。分類見幼粒、幼紅細胞,嗜鹼細胞增多,可見淚滴狀紅細胞、嗜多色紅細胞。網織紅細胞增加(2%~5%)。
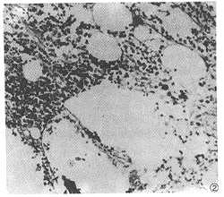
2.、骨髓象:骨髓穿刺多為乾抽,骨髓增生多數減低,造血細胞明顯減少,非造血細胞可增多。
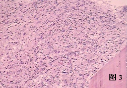
3.、組織活檢:骨髓:纖維細胞明顯增生。肝脾:有髓外造血灶。
4.、X線檢查:約70%患者有骨硬化表現;骨小梁分界消失,外觀呈毛玻璃狀。
5.、遺傳學檢查:有些病人可見染色體異常,但Ph1染色體陰性。
其他:血清鹼性鱗酸酶、乳酸脫氫酶、尿酸、維生素B12可增高。
檢查
骨髓纖維化白細胞計數增多,一般在1萬~2萬/mm3,很少超過5萬/mm3,分類以成熟中性粒細胞為主,也可見到中幼、晚幼粒細胞,甚至原粒和早幼粒細胞,多數在5%以下。嗜酸粒和嗜鹼粒細胞也可輕度增多。
血小板計數高低不一,約1/3病例血小板可增多,個別達100萬/mm3。外圍血片可見大而畸形血小板,偶見巨核細胞碎片;晚期血小板減少。血小板功能有缺陷。
(二)骨髓塗片及活檢 骨髓穿刺約有1/3的病例呈現\乾抽\現象。骨髓塗片有核細胞增生低下,也可表現為增生性骨髓象。骨髓活檢找到大量網狀纖維組織,為診斷本病依據。根據骨髓中保留的造血組織和纖維組織增生的程度不同,骨髓病理改變可分為三期:①早期全血細胞增生伴輕度纖維組織增生;②中期骨髓萎縮和纖維化;③晚期骨髓纖維化和骨質硬化。
(三)組織化學檢查 約2/3的慢性病例表現為粒細胞鹼性磷酸酶活性增高,但隨病程進展逐漸降低。
(四)脾穿刺液塗片 塗片顯示淋巴細胞和粒、紅、巨核三系細胞均增加,提示髓外造血。晚期病例脾穿刺塗片如骨髓象,脾穿刺塗片診斷價值較大但有出血危險性,必需慎重考慮,周密準備。
(五)肝穿刺活檢 與脾相似,有髓外造血表現,肝竇中有巨核細胞和幼稚造血細胞為其特徵。
(六)X線檢查 約有50%的病例X線檢查有典型骨質硬化表現,骨質密度不均勻性增加,伴有斑點透亮區,形成所謂\毛玻璃\樣改變;也可見到骨質疏鬆,新骨形成及骨膜花邊樣增厚。骨質變化好發於長骨的乾骺端,脊椎、盆骨、下肢長骨、肱骨、肋骨等尤為明顯,部分病例也有顱骨變化。
(七)放射性核素骨髓掃描 放射性膠體(99m鎝-硫膠體植物鈉)、52鐵、111銦等能為骨內紅髓、脾、肝等攝取而出現放射濃縮區。髓纖病肝、脾等髓外造血區積累大量放射核素,長骨近端等有髓纖改變的紅髓則不能顯示放射濃縮區。
(八)其他 約半數患者C組呈三體性異常,但未見有Ph′染色體。血清尿酸、鹼性磷酸酶、乳酸脫氫酶、維生素B12及血液組胺均見增高。
治療
骨髓纖維化由於骨髓纖維化發病隱襲,病情進展緩慢,在疾病早期如症狀不明顯,貧血和脾腫大均不嚴重時,一般無須特殊治療或對症治療。骨髓纖維化的治療要根據病情、病程不同而選擇。
1、雄性激素可以加速骨髓中紅細胞的成熟及釋放,使貧血減輕,一般需3個月以上常用藥物:
①康力龍2~4mg/次,每日3次,口服;
②達那唑0.2mg/次,每日3次;
③丙酸睪丸酮50~100mg/次,每日或隔日1次,肌肉注射。
2、腎上腺皮質激素可抑制抗原抗體反應,使脾內的紅細胞破壞減少或抑制免疫複合 物激發的紅細胞的免疫性破壞,並可改善毛細血管的通透性。對合併溶血或出血的患者可以套用,一般選用潑尼松40~60mg/日,2~3周后逐漸減量,可使出血症狀減輕或輸血次數減少。
3、化療藥物對骨髓造血組織有抑制作用,適用於巨脾,白細胞和血小板計數過高的病例。可選用馬里蘭2~4mg/日或羥基腺0·5~1·0/日。中藥可緩解化療出現的系列副作用。
不同類型骨髓纖維化就需要同時不同的方法進行治療,此類型骨髓纖維化會導致人們神疲乏力、心慌氣短、頭暈目眩;一些患者還會不想吃飯、臉上無光澤、痞塊堅硬以及疼痛不移等表現,病情重一些的患者就會有舌淡或暗、脈弦沉細等情況,此時就應使用“益氣養血,佐以活血化瘀”對患者進行治療。
鑑別
髓纖需和下列疾病鑑別:①慢性粒細胞白血病:兩者均可有巨脾,白細胞數增高,周圍血出現中幼粒、晚幼粒細胞等粒細胞增生象,但慢粒發病年齡較輕,白細胞計數常超過10萬/mm3,血片中較少有幼粒細胞,紅細胞的畸形也不似髓纖典型。白細胞鹼性磷酸酶活性降低或消失以及ph′染色體可與髓纖區別。②本病尚須與低增生性急性白血病以及引起幼粒-幼紅細胞貧血的其它疾病相區別。繼發性髓纖可從臨床表現或特殊檢查中獲得確診。有時需要多部位、多次的骨髓塗片及活檢,才能除外繼發性髓纖。
預防
骨髓纖維化避免接觸放射線及苯、鉛等化學物質。因職業需要經常暴露在這些損害性因素下者應嚴格執行防護措施。日常生活、飲食起居應有規律,勞逸結合,飲食應有節制,尤其要注意勿進食過多煎炸、燻烤、過焦、膠制食物,避免、排除不良情緒的影響,保持樂觀、活潑的心理狀態,進行適當的體育活動,如緩跑、打太極拳等以通暢氣血、調節身心。若患有慢粒、骨髓炎、骨結核等疾病者,應積極、耐心、持久、規範地治療,防止病情進一步發展變化,尤其強調套用中醫藥辨證論治以減輕西藥的毒副作用、調補身體,可減少繼發髓纖。
二、調理
(一)生活調理
適當加強鍛鍊,增強體質,以減少發生感染的機會。生活起居有規律。
(二)飲食調理
加強營養,多補充蛋白質及各種維生素。可適當多進補腎、養血的食物,如核桃、紅棗、花生等。適用於貧血、虛弱等症狀及化療後骨髓抑制者。 資料來源 :醫 學 教 育網
1、人參燉瘦肉 紅參或西洋參10克,瘦豬肉少許,加水200ml,文火燉2小時,加鹽少許食用,大補元氣。適用於氣虛明顯者。
2、烏雞燉枸杞:乾烏雞半隻,枸杞子10克,加水300ml,生薑2片,文火燉2小時,加鹽少許食用,滋補腎陰,適用於腎陰虧虛者。
3、黑豆羊肉湯:黑豆一小把,生薑2片,羊肉50克,文火燉2小時,加鹽少許食用。溫陽補腎。適用於腎陽虛者。
4、黑豆塘虱湯:黑豆一小把,炒香,生薑2片,塘虱魚1條,洗淨,加水1000ml,文火熬1小時加油鹽少許食用。溫補腎陽。適用於腎陽虛者。
(三)精神調理
保持豁達樂觀情緒,樹立戰勝疾病的信心,培養堅強的意志。
護理方法
1.按醫囑給予止血苭物或輸血治療。
2.骨髓纖維化的護理方法是做好心理護理,減輕緊張焦慮情緒。
3.明顯出血時臥床休息,待出血停止後逐漸增加活動。對易出血患者要注意安全,避免活動過度及外傷。
4.各種操作應動作輕柔、防止組織損傷引起出血。避免外科治療,避免或減少肌內注射,施行必要穿刺後應壓迫局部或加壓包紮止血。
5.骨髓纖維化的護理方法是應避免刺激性食物、過敏性食物以及粗、硬食物,有消化道出血患者應禁食,出血停止後給予冷、溫流質,以後給予半流質、軟食、普食。
6、日常生活、飲食起居應有規律,勞逸結合,飲食應有節制,尤其要注意勿進食過多煎炸、燻烤、過焦、膠制食物。加強營養,多補充蛋白質及各種維生素。可適當多進補腎、養血的食物,如核桃。紅棗、花生等。
7、生活調理:每位在康復過程中的慢性特發性骨髓纖維化患者都要適當加強鍛鍊,這樣可以增強人們的體質,這樣可以降低感染的可能性,同時也要保持生活起居有規律。
危害
1、早期全血細胞增生伴輕度骨髓纖維化期:骨髓細胞呈程度不一的增生。紅、粒、巨核細胞系等均增生,以巨核細胞最明顯。脂肪空泡消失,網狀纖維增多,但尚不影響骨髓的正常結構。造血細胞占70%以上。骨髓基質以可溶性膠原蛋白增加為主。
2、中期骨髓萎縮與纖維化期:纖維組織增生突出,占骨髓的40%-60%,造血細胞占30%,巨核細胞仍增生。骨小梁增多、增粗,與骨髓相鄰部位有新骨形成。各個散在造血區域被網狀纖維、膠原纖維、漿細胞和基質細胞形成的平行束狀或螺鏇狀物質分隔。
3、不同時期的骨髓纖維化疾病對患者的危害不同,代謝亢進綜合徵主要見於病程早期及中期,此時骨髓造血細胞過度增殖,故代謝亢進。患者出現乏力、盜汗、消瘦,甚至低熱等症狀,但臨床上僅少部分患者有上述表現。骨髓衰竭大多見於PMF晚期,由於骨髓造血障礙所致。
併發症
怎樣判斷繼發性骨髓纖維化是最科學
1、肝穿刺活檢
通過科學方式來檢測繼發性骨髓纖維化疾病最準確科學,目前此項檢查後若與脾相似,有髓外造血表現,肝竇中有巨核細胞和幼稚造血細胞就可以證明人們患有繼發性骨髓纖維化疾病。
2、骨髓塗片及活檢
骨髓穿刺約有1/3的患者會呈現乾抽現象;其中骨髓塗片有核細胞增生低下,也可以表現為增生性骨髓象;而骨髓活檢找到大量網狀纖維組織,也就是診斷繼
發性骨髓纖維化的依據;有關專家會根據骨髓中保留的造血組織和纖維組織增生的程度不同,將骨髓病理改變可分為三期:早期全血細胞增生伴輕度纖維組織增生;
中期骨髓萎縮和纖維化;晚期骨髓纖維化和骨質硬化。
骨髓纖維化對人體造成的危害
骨髓纖維化是骨髓察覺不等程度瀰漫性的纖維組織的增生,使骨髓造血功能受到極大損害。肝、脾、淋巴取代骨髓造血,患者往往有明顯的脾臟腫大。該類代
替性造血引起的血細胞不但量少,且常常存在很多纖維紅細胞及幼稚紅細胞,為此平常有貧血病症,這種貧血稱為幼紅-幼粒細胞貧血。
在骨髓纖維化對人體造成的危害中,有百分之五十到八十的患者都會出現肝大,而且常常是輕到中度的腫大,僅百分之二十的病人肝大大於肋下的六厘米。有的病人通過脾切除術肝會出現進行性增大。淋巴結腫大比較不常見,只有十分之一到二的病人出現。
代謝亢進綜合症也是該病引起的危害,它常常出現在發病早期或是中期,這時骨髓造血細胞會很快增殖,出現代謝亢進。會出現無力、多汗、消瘦、低熱等危害,但代謝亢進綜合症不常見。
骨髓纖維化的飲食
(1)多吃含鐵豐富的食物,以提高體內血清鐵的含量,達到治療的目的。含鐵豐富的食物如海帶、紫菜、菠菜、香菇、木耳以及豆製品類、肉類、禽蛋、動物肝、腎等。
(2)足量的蛋白食物。高蛋白飲食一方面可以觸進鐵的吸收,另一方面也使人體合成血紅蛋白的必要物質。所以也要選擇含蛋白豐富的食物。如肉類、魚類、蛋類。
(3)足量的維生素C。維生素C為酸性藥物,具有促進鐵吸收的作用,水果和蔬菜中含維生素C較高,如大棗、柑桔、西紅柿等,也可將維生素C溶劑或片劑加入食物中引用。
骨髓纖維化輔助檢查
一、脾穿刺除淋巴細胞外,粒、紅及巨核三系細胞均增生,類似骨髓穿刺塗片,尤以巨核細胞增多最為明顯。
二、肝穿刺與脾相似,有髓外造血象,特別在肝竇中有巨核細胞及幼稚細胞增生。
三、X線檢查約30%-50%的患者有骨質硬化徵象,骨質密度增高,小梁變粗和模糊,並有不規則透亮區,骨幹骨內膜可有不規則增厚,也可見骨質疏鬆。病變好發於骨盆、脊髓、長骨近端和肋骨,一般膝關節以下病變較少見,顱骨僅偶爾累及。
