基本介紹
網織紅細胞網織紅細胞是紅細胞的前身。骨髓中紅細胞系統的增生髮育過程是:多能幹細胞→單能幹細胞→原始紅細胞→早幼紅細胞→中幼紅細胞→晚幼紅細胞→網織紅細胞→成熟紅細胞。
從原始紅細胞增殖到晚幼紅細胞階段共分裂3-4次,約需72小時,紅細胞數由一個變為8一16個,細胞核由大變小而濃縮,胞漿中含血紅蛋白逐漸增多。晚幼紅細胞以後細胞即不再分裂,發育過程中核被排出而成為網織紅細胞。網織紅細胞含有少量核糖核酸RNA),用煌焦油藍染色時成網狀故名網織紅細胞。網織紅細胞進一步成熟,RNA消失而為成熟紅細胞。從晚幼紅細胞發育到成熟紅細胞約需48小時,成熟紅細胞的壽命約為120天。
在正常情況下骨髓中有核紅細胞並不釋放至血循環,只有網織紅細胞和成熟紅細胞才釋入血中。因此,檢查末梢血中網織紅細胞數,可以推知骨髓生紅細胞的情況。網織紅細胞(以下簡Retc)是反映骨髓紅系造血功能以及判斷貧血和相關疾病療效的重要指標。
網織紅細胞過去,計數Retc十分麻煩費時也不易數準,現在,部分血液分析儀具有自動檢測網織紅細胞的功能。儀器最大的優點之一是隨時可計數Retc,十分便利,而且計數的細胞多,故很準確。該類儀器對Retc可提供6個參數,包括網織紅細胞總數(Retic#)、網織紅細胞百分比(Retic%)、網織紅細胞平均體積(MCVr)、單個網織紅細胞平均血紅蛋白濃度(CHCMr)、網織紅細胞分布寬度(RDWr)、單個網織紅細胞血紅蛋白含量(CHr)等,其中意義最大的,除了總數,百分比以外,最重要的網織紅細胞血紅蛋白含量(CHr)參數。
正常人外周血中甚少,如增加,表示紅系統增生(如急性溶血,多數溶血性貧血和其他增生性貧血),如貧血仍不見增生,可能是重型再障。抗貧血治療後明顯上升,表示治療有效,反之效果欠佳。故網紅的總數或百分比對貧血的臨床診斷及療效觀察非常有價值。是血液最常做的項目之一。
如何計數
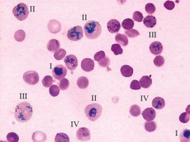
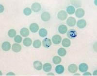
網織紅細胞(一)原理 網織紅細胞是晚幼紅細胞脫核後但尚未完全成熟的紅細胞,胞質中尚有核糖體、核糖核酸等嗜鹼性物質殘存,經煌焦油藍或新亞甲藍活體染包後,胞質中可見藍或藍綠色枝點狀甚至網織狀結構。
(二)方法 活體染色法.近年來還可通過某些血液自動分析儀及流式細胞術檢測法進行網織紅細胞計數。
(三)參考值(活體染色法)
成人和兒童0.005-0.025新生兒0.02-0.06網織紅細胞絕對值(24-84)×109/L
(四)臨床意義
網織紅細胞計數反應骨髓造血功能的重要指標。
網織紅細胞增多表示骨髓紅系增生旺盛,常見於溶貧、急性失血、缺鐵貧、巨幼貧等,網織紅細胞減少表示骨髓造血功能減低,常見於再障、骨髓病性貧血。
網織紅細胞增高
(1)提示骨髓造血功能旺盛見於各種增生性貧血如缺鐵性貧血、巨幼細胞性(缺乏葉酸、維生素B12)貧血、失血性貧血,尤以溶血性貧血時增加最為顯著,常>10%。
(2)缺鐵性貧血及巨幼細胞性貧血在給予鐵劑、維生素B12、葉酸治療之後,可見網織紅細胞明顯增加。
網織紅細胞減低
提示骨髓造血功能低下,見於再生障礙性貧血、急性白血病。
鑑別貧血
網織紅細胞計數在診斷正常細胞貧血,或僅蛋白、轉鐵蛋白結果可以的小細胞時尤為重要;大細胞貧血伴網織紅細胞增多,常提示用葉酸或維生素B12治療有效。

