簡介
急性巨核性細胞白血病診斷主要依賴於免疫分型、免疫組織化學檢測和電子顯微鏡檢查。免疫分型:原始巨核細胞表達血小板特異的糖蛋白(CD41、CD42、CD36、CD61),是診斷AMKL最有價值的指標,其次為血小板過氧化物酶(PPO)。
AMKL細胞常伴HLADR+和(或)CD34+,提示其來源於CFUMK。在AMKL可出現表達粒系相關抗原CD33、CD13或CD11b的細胞群,該細胞群可能是原始粒細胞成分,尤其在原始巨核細胞少於50%的病例,但也可能代表同時表達粒系或巨核系抗原的原始巨核細胞群。免疫組織化學表明與AML(M0-M5)不同,骨髓活檢對AMKL的診斷具有更大的診斷價值,因為僅少數患者的骨髓塗片可見30%以上的原始細胞,而骨髓活檢可見到許多小的原始巨核細胞和幼稚巨核細胞。
骨髓中網狀纖維增多,其原因可能為原巨核細胞分泌血小板衍化生長因子(PDGF)、TGFβ和纖維連線蛋白(fibronectin)等,促進成纖維細胞的化生。電子顯微鏡檢查:原始巨核細胞表面光滑,微絨毛很少,胞核大,核漿比例較高,細胞核呈圓形或卵圓形,常有凹陷,有時凹陷較深,以致切片時產生人為雙核,核內常染色質占優勢,異染色質分散,並在核周少量凝集。
核仁較大,常見一個或數個,核孔較多,胞漿內有豐富的游離核糖體,粗面內質網較少。呈細管狀分散存在,基質電子密度較高,高爾基體一般發育較好,細胞漿內可見少量緻密顆粒,但未見血小板顆粒。電子顯微鏡檢血小板過氧化物酶(PPO)反應陽性。PPO反應的測定較CD41表型的測定敏感,但特異性比後者差,最好二者聯用以減少誤診或漏診。
遺傳學特點
AMKL的細胞遺傳學特點目前尚不清楚,有關這方面的研究仍在進行中。AMKL的核型幾乎均不正常。報導的染色體異常有數種,如+21、inv(3)、t(1;15)(q10;q10)、t(11;14)(p13;q11)、t(1;22)(p13;q13)、t(3;3)(q21;q26)以及第3、5、7、8染色體的異常。這些染色體畸變沒有特異性,也可見於其它類型的白血病、淋巴瘤。
M7伴Down綜合徵患者除+21外,很少合併其它異常核型。近來發現了一種獨特的染色體易位t(1;22) (p13; q13),僅見於兒童AMKL,不伴有Down綜合症,其中67%為小於1歲的嬰兒,至今這種易位尚未在其它AML亞型或ALL中發現。費城染色體在AMKL的發生率從0%-17%不等,但是關於斷點位置的分子數據尚未發現。
實驗室指標分析
1.一般資料
本組男性兩例,年齡2歲(例1)、31歲(例2);女性兩例,年齡58歲(例3)、37歲(例4)。均有發熱、皮膚淤斑、骨痛症狀;1例肝、脾腫大,2例脾腫大。
2.方法
根據造血及淋巴組織腫瘤的WHO分類法急性巨核細胞白血病的診斷標準,對每例患者行血象、骨髓象、細胞化學、免疫標記聯合確診。外周血及骨髓塗片經瑞氏染色分類,細胞化學染色包括過氧化物酶(POX)、脂酶(a-NBE與氟化鈉抑制試驗、脂酶雙染)、糖原(PAS)、酸性磷酸酶(ACP)染色。免疫表型均採用流式細胞術單克隆抗體直接免疫標記測白血病細胞表面相關抗原表達。
結果
本組4例患者血象、骨髓象、組織化學染色及實驗室其他檢測結果,見表1、2。4例白血病細胞免疫表型均表達CD13、CD33、CD34、CD41、CD42,部分病例CD61高表達,支持巨核細胞白血病。
討論
急性巨核細胞白血病是由Bors和Korenyi於1931年首先提出,隨著電子顯微鏡技術的發展和單克隆抗體細胞免疫標記的套用,利用觀察血小板過氧化物酶反應(plateletperoxidase reaction,PPO)和血小板特異的單克隆或多克隆抗體標記(polyclonal ormonoclonal platelet specificantibodies)可以識別巨核細胞,確定了此型白血病為AMKL。該病是巨核系細胞惡性增生所致,具有一般急性白血病的臨床表現,主要有貧血、出血、感染、骨痛等症狀等,,常見於《3歲的幼兒和成年人,本組患者1例為幼兒,3例成年人,男女比例1:1,肝、脾腫大1例,脾腫大2例。該病發病率低,具體數值國內外報導不一至,我院近十年來診治急性白血病364例,AMKL僅4例,占急性白血病的1.1%。本組患者3例血紅蛋白及紅細胞呈輕-重度減少,4例均白細胞數偏高,多為巨核系細胞,血小板數2例偏低,1例正常,1例偏高;3例患者血清球蛋白減低,同時鹼性磷酸酶、谷氨醯轉肽酶、及血清轉氨酶升高,血尿酸升高,可能與肝損傷有關;尿素氮、肌酐多數正常。
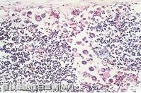
急性巨核細胞白血病確診的關鍵是原始巨核細胞的識別,其細胞形態雖然具有多樣性,但也有一定的形態學特點,當發現細胞形態上與其他類型的白血病有明顯的不同時,應仔細觀察,查找有無分化較好的細胞,有時能看到部分細胞已經產生可以辨認的血小板。本組4例患者的骨髓增生程度均為活躍到極度活躍,其中3例為明顯活躍或極度活躍,血片中原始細胞數與髓片中原始細胞成正比;骨髓原始細胞比例占有核細胞數30-92%,形態大小不等,以大為主,多似大原淋巴細胞,大部分呈圓或類圓形,可見胞漿有多少不一的突起,呈雲霧狀或刷狀,部分有空泡;胞體周圍常見脫出的血小板;核大,可呈芽狀增生,核染色質粗細不均,部分細胞核仁大而明顯,可見多核型。細胞化學染色和免疫表型檢測有助原始巨核細胞的識別,本組4例POX染色陰性,脂酶部分為陰性,ACP染色陽性,PAS染色均有不同程度陽性,呈粗顆粒及塊狀、片狀,可見PAS陽性出現在巨核細胞早期,這在細胞化學染色對AMKL
的診斷有參考價值。細胞免疫表型均表達CD41、CD42、CD13、CD33、CD34以及CD36。確定為原始巨核細胞的最有效的方法是用電鏡證實有PPO活性的存在,它在細胞內有特殊的定位,是巨核細胞系的特異性標誌酶,本組僅有2例進行PPO檢測,為陽性,目前國內電鏡檢測PPO尚不能廣泛套用、且費用較貴,因此在很大程度上仍然依靠細胞形態學、細胞化學及免疫學等實驗室檢測指標,結合臨床表現綜合判斷可以做出較準確的診斷,且簡便快速。
表1:4例骨髓象分析
<?xml:namespace prefix = o /> 幼稚巨核細胞 骨髓增生程度 血片細胞數% 髓片細胞數% 胞漿有突起,周圍有脫出血小板 大小不等,以大為主,似大原淋細胞樣 核大,可呈芽狀增生, 染色質不均,核仁大而明顯,可見多核型 例1 22 54 可見 大部分 可見 可見 明顯活躍 例2 91 92 可見 大部分 可見 可見 極度活躍 例3 12 30 少見 部分 可見 可見 活躍 例4 30 43 可見 大部分 可見 可見 明顯活躍
<?xml:namespace prefix = o /> 幼稚巨核細胞 骨髓增生程度
血片細胞數% 髓片細胞數% 胞漿有突起,周圍有脫出血小板 大小不等,以大為主,似大原淋細胞樣 核大,可呈芽狀增生, 染色質不均,核仁大而明顯,可見多核型
例1 22 54 可見 大部分 可見 可見 明顯活躍
例2 91 92 可見 大部分 可見 可見 極度活躍
例3 12 30 少見 部分 可見 可見 活躍
例4 30 43 可見 大部分 可見 可見 明顯活躍
表2:4例MM患者的實驗室檢查指標
項目 異常限值 異常例數 百分比(%) 血紅蛋白 <110g/L 3 75 白細胞 >10×109/L 3 75 血小板 <100×109/L 2 50 >300X109/L 1 25 尿素氮 >9.2 mmol/L 1 25 肌酐 >97umol/L 1 25 血清轉氨酶異常 >40 3 75 血清球蛋白 <30g/L 3 75 鹼性磷酸酶 >15oU/L 3 75 谷氨醯轉肽酶 >64U/L 3 75 血尿酸 >416 umol/L 3 75 POX 陰性 4 100 PAS 陽性 4 100 脂酶雙染色 陰性 4 100 a-NAE 陽性,部分氟化鈉抑制 2 50 ACP 陽性 4 100
項目 異常限值 異常例數 百分比(%)
血紅蛋白 <110g/L 3 75
白細胞 >10×109/L 3 75
血小板 <100×109/L 2 50
>300X109/L 1 25
尿素氮 >9.2 mmol/L 1 25
肌酐 >97umol/L 1 25
血清轉氨酶異常 >40 3 75
血清球蛋白 <30g/L 3 75
鹼性磷酸酶 >15oU/L 3 75
谷氨醯轉肽酶 >64U/L 3 75
血尿酸 >416 umol/L 3 75
POX 陰性 4 100
PAS 陽性 4 100
脂酶雙染色 陰性 4 100
a-NAE 陽性,部分氟化鈉抑制 2 50
ACP 陽性 4 100
