毛細胞性白血病疾病概述
毛細胞性白血病本病最早於1923年描述,開始稱為白血病樣網狀內皮細胞增生,毛細胞的概念自70年代中期才開始採用。後來逐漸發現HCL的毛細胞常有單克隆免疫球蛋白基因重排,表達pan-B細胞分化抗原,提示HCL為一種B細胞惡性腫瘤。80年代中期以前這類疾病對大多數治療藥物無效,主要的治療手段是脾切除。80年代中期發現一些新的藥物(如2-chlorodeoxyadenosine)對HCL較敏感,改善了其預後,目前認為HCL是一種有治癒可能的疾病。
主要症狀
毛細胞性白血病病起病隱襲,出現症狀至確診的時間平均為1年。常見的臨床表現為面色蒼白、乏力、眩暈及心悸;出血常表現為瘀點或瘀斑、鼻衄或齒齦出血等;約1/4的患者出現感染,以上呼吸道感染為多見。
檢查可發現:脾臟顯著腫大,占78%~92%,大多在肋下6cm以上;極少的病人兼有肝腫大。占31%~50%,常在肋下1~3cm;淺表及深部淋巴結不大或輕度腫大(7.3%)。
外周血象:多數患者呈全血細胞減少,貧血多為正色素正細胞性貧血,個別為溶血性貧血;白細胞在5.0×109/L以下者約占50%,在(1.0~3.0)×109/L之間者約占20%,僅5%的患者白細胞超過10.0×109/L。外周血可見到毛細胞,其出現頻率不一,在0~95%之間,白細胞總數越高,則毛細胞出現率也越高。血小板減少,69%~94%的患者低於100×109/L,伴有巨脾者,血小板減少更為明顯。少數病例白細胞數不減少,甚至增加,中性粒細胞和單核細胞絕對值也不減少,此種病例稱為毛細胞白血病的變異形,又稱Ⅱ型毛細胞白血病。
骨髓象:骨髓穿刺常為"乾抽",若穿刺成功可見漿細胞增多,髓系列細胞減少,尤以粒細胞減少為甚,淋巴細胞相對增多。骨髓塗片中毛細胞出現率與外周血象基本相同。而骨髓活檢結果可見較多的毛細胞浸潤,呈散在分布,一般不見分裂象。嗜銀染色可見纖維增生,在細胞間可見到厚而較緻密的網硬蛋白增加,為造成骨髓"乾抽"的原因。
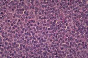
毛細胞形態特徵
毛細胞性白血病1.普通光學顯微鏡觀察:胞體稍大,直徑約12μm~20μm,形態不一,可見到圓型、橢圓型或多角型,胞漿周邊不規則呈鋸齒狀或偽足突起,有時呈細長毛髮狀伸出;細胞核呈橢圓型或凹陷核裂;染色質緻密或疏鬆,偶見核仁;胞漿中等量,瑞氏染色呈天藍色。
2.相差顯微鏡觀察:用相差顯微鏡觀察新鮮標本對毛細胞更易辨認,在細胞分散充分的標本中可見細長毛髮狀的胞漿突起,有時可見到毛的活動以及毛相交的吸附現象。
3.電子顯微鏡觀察:掃描電鏡觀察可見細胞表面有較多散射的細長毛狀突起,最長可達4μm,延伸的毛有交叉現象;另一部分細胞表面呈皺摺狀突起。透射電鏡為另一種識別毛細胞的手段,除表面有偽足突出外,胞漿內可見核糖體板層複合物(RLC),高爾基體發達。
4.細胞化學染色:糖原染色(PAS)一般呈陰性反應,少數呈陽性或弱陽性,且不被氧化鈉所抑制;核糖核酸呈一般陽性反應;酸性磷酸酶(ACP)陽性不被酒石酸鹽所抑制(TRAP)(淋巴細胞、漿細胞和巨噬細胞可被抑制;非特異性酯酶(αNAE)陽性率為44%,表現為彌散性分布的細小顆粒以及聚集成半月型的粗顆粒,不被氟化納抑制(單核細胞、漿細胞和巨噬細胞被抑制)。TRAP和αNAE均陽性則診斷意義更大。
5.免疫球蛋白表型:屬於成熟B淋巴細胞,膜表面免疫球蛋白(SmIg)大部分陽性;有人提出同時存在CD22和CD11c是特別可靠的毛細胞表面抗原標記。
6.TPA反應:毛細胞及Ⅱ型毛細胞在體外培養,對小劑量TPA反應極為迅速,24小時內細胞可完全貼壁,並伴有長枝狀突起,幼淋巴細胞白血病無此反應。毛細胞白血病變異形的毛細胞多數有核仁,胞漿絨毛較多。超微結構顯示,細胞核圓形、居中,多數細胞有一個中等大的核仁,染色質在核周濃集,無RLC,細胞表面可見短絨毛及寬大皺摺,其間夾雜著長絨毛,還有少數細胞表面有球狀突起。細胞膜單克隆抗體表型為:αHC2隻對毛細胞白血病有反應,而對Ⅱ型毛細胞白血病無反應;表面免疫球蛋白螢光強度:毛細胞白血病IgG/IgA/IgM為++/+++,而Ⅱ型毛細胞白血病則為IgG+,B-幼淋巴細胞白血病IgM/IgD為++/+++。細胞容積:毛細胞白血病偏大,Ⅱ型毛細胞白血病居中,B-幼淋巴細胞白血病偏小。
疾病病理
毛細胞性白血病致病因素:1.感染性單核細胞增多症;2.化學藥品(如農藥等);3.EB病毒感染的。
致病機理:HCL多見於男性,約為女性的4倍;家族患病亦有報導。儘管沒有發現HCL的發生與哪種人類白細胞抗原(HLA)單型有關,單在家族性病例中發現累及相同的HLA單型,推測HCL的發生可能有遺傳學基礎。毛細胞是惡性B淋巴細胞,常有單克隆免疫球蛋白基因重排,表達pan–B細胞表面分化抗原CD19、CD20、CD22和單克隆表面免疫球蛋白,常有多種重鍊表型;IgG陽性細胞主要表達IgG3。毛細胞常表達IgG3、IgA和早期漿細胞標記PGA—1,而無CD21表達,說明細胞起源於B細胞發生的晚期(如前漿細胞)。HCL免疫球蛋白可變區基因的體突變提示毛細胞處於D細胞分化過程的濾泡後中心階段,可能為記憶D細胞階段。毛細胞還可表達B細胞不常見的表面抗原,包括CDllc、CD25、CDl03。毛細胞可以加工細胞因子(TNF—a。),可能與其臨床特徵有關,如紅系造血受損、全血細胞減少。
病理變化:主要為毛細胞的浸潤,浸潤脾臟所致的進行性脾腫大和脾功能亢進,組織學檢查顯示脾臟正常結構完全破壞,脾小體萎縮,毛細胞在脾穿刺液塗片中占80%~100%。浸潤骨髓造成血功能抑制,導致任1項血細胞減少,以血小板減少及中性粒細胞減少最常見,多數病人尚有單核細胞減少。
治療時機
毛細胞性白血病毛細胞白血病相對急性白血病來說進展緩慢,不同個體間的臨床表現、實驗室檢查以及細胞增殖特性差異較大。有些病人發展較快,脾大突出和血細胞減少明顯,需要積極治療。約10%的患者病情相對平穩,無任何症狀,脾腫大不明顯,外周血象保持足夠數量的正常血細胞,這類患者可暫不予以治療,其帶病生存可達數年或十餘年。治療方法:大多數患者可用瘤可寧治療,其特點是價格便宜,服用方便。聯合化療主要針對進展迅速的患者。脾腫大伴有白細胞減少的患者,首選的治療方法應是脾切除。對於脾臟肋下不能觸及的患者是否需要脾切治療,目前意見尚未統一,有人認為切脾無益,有人認為如果伴有顯著的血細胞減少的患者脾切除治療可能有益。由於干擾素價格較昂貴,其適應症應為脾不能觸及而骨髓有瀰漫性浸潤者,或不能接受脾切的患者,在此種情況下可用干擾素代替脾切治療。另外,干擾素還可用於脾切後復發的病人。2-脫氧助間型黴素可保留在其他治療方法無效時使用,因為該藥目前僅限於臨床實驗研究階段,且尚無商品製劑,遠期療效正在觀察之中。
疾病治療
毛細胞性白血病1.瘤可寧:對血細胞減少的恢復及降低毛細胞負荷均有較好的療效。常用劑量為4mg/日,連續口服6個月以上。
2.氨甲喋呤:有報導用氨甲喋呤治療脾切後復發的患者有較好的療效。用法為氨甲喋呤2g/㎡,1小時內靜脈滴注,然後用甲醯四氫葉酸鈣解救,用量為25mg/㎡,q6h,需用8次以上。每次化療間隔4~6周,一般需用6個療程以上。
3.聯合化療:聯合化療可試用於進展較快的患者,選擇對淋巴細胞系相對敏感的藥物組成的方案。有人用強化療治療本病,藥用柔紅黴素450mg/㎡,靜脈滴注,第1天;阿糖胞苷200mg/㎡,持續靜脈滴注,第1~5天;環磷醯胺200mg/㎡,靜脈滴注,第5天。雖然強化療能使病人獲得長期緩解,但治療相關死亡率較高,因此風險較大,應嚴格掌握適應症,權衡利弊選擇性使用。
二、2-脫氧助間型黴素(2-deoxycoformycin,DCF)
該藥是從streptomycesantibioticus培養液中分離出來的一種核苷酸,對淋巴組織中活性最高的腺苷脫氨酶(ADA)有強大的抑制作用。已用於治療淋巴增殖性疾病,有報導治療本病的完全緩解率為56%~90%,遠期療效正在觀察中。用量為4~5mg/㎡,每2周用藥1次。主要副作用為腎臟毒性、神經系統毒性和免疫抑制所致的感染。
三、干擾素:干擾素能使本病患者的外周血得到暫時恢復,但並不是根治措施,停用後多數患者終將復發。主要用於切脾後復發,並有進行性血細胞減少或需反覆輸血的病人;對於脾大不明顯而骨髓有瀰漫性浸潤的患者,其切脾後緩解率低,緩解期短,在此種情況下干擾素可考慮作為首選治療措施。常用α-干擾素,劑量為2×106IU/㎡,每周3次,肌肉注射。總有效率約90%,但完全緩解率僅為4%~32%。經治1年後無症狀者應停用,繼續用藥雖可推遲疾病的復發,但並不提高完全緩解率,也不改變停藥後緩解期。復發常發生於停藥後的3~25個月,停藥後復發的患者再用干擾素治療往往仍能取效。
四、激素:腎上腺糖皮質激素對少數患者骨髓功能有改善作用,並能使脾臟縮小,療效短暫。該藥有增加感染的危險,主要用於有免疫併發症的患者,如血管炎綜合徵等。對於有骨髓衰竭而出現的血細胞減少的患者可考慮給予雄性激素,如康力隆等。
五、脾切除:毛細胞白血病患者腫大的脾臟對紅細胞儲量極大,可達全身紅細胞總量的15%~48%,伴有脾腫大的患者均有不同程度的稀釋性血細胞減少,其減少的程度與脾腫大的程度相平行。另外,毛細胞生長需要特殊的微環境,通常只在脾臟和骨髓內才能良好生長,因而脾臟蓄積了大量瘤細胞,脾切除後可以消除脾功能亢進症狀,同時也除掉了"瘤細胞庫"。切脾對改善本病患者的血象有明顯的療效,完全緩解率可達40%~67%,中數緩解期為8.3~18.8個月,獲長期緩解者約占10%。脾切除病人的生存期可延長。術後血小板恢復最快,中性粒細胞恢復較差。
六、放射治療:主要用於脾區照射或有壓迫症狀的腫大淋巴結。每療程照射400~900cGy。
七、白細胞單采術:適用於白血病明顯增高的患者,其療效短暫,遠期效果不佳,為臨時治療措施。
八、骨髓移植:骨髓移植治療本病的報導較少,遠期療效目前尚不清楚。對於年齡較輕,又有合適供髓者,可使用異基因骨髓移植治療。
手術方案
毛細胞性白血病脾切除對該病療效肯定,可使全細胞減少和脈管炎得到緩解。
1.對門靜脈高壓患者,術前應改善肝功能,糾正出血傾向。
2.對某些嚴重貧血者,應反覆多次輸血後,再行脾切除。
3.對長期使用激素者,應預防性使用抗生素。
4.按普外科腹部手術前準備。
手術要點
毛細胞性白血病1.手術可取左側肋緣下或上腹正中“L”形切口,術野顯露充分。
2.切睥前宜先結紮脾動脈。
3.脾切除後,脾窩應放置引流管。
4.血液病患者須將副脾一併切除。
5.切除脾臟時注意不要損傷胰尾部,以免術後發生胰瘺。
術後處理
毛細胞性白血病2.引流管一般於術後24~48h拔除。
3.術後每日查白細胞和血小板。術後當血小板超過(0.8~1)×1012/L時,應行抗凝治療。
療效評價
毛細胞性白血病1.完全緩解:體徵完全恢復正常,血紅蛋白≥120g/L,血小板≥100×109/L,中性粒細胞≥1.5×109/L,外周血及骨髓中毛細胞均消失。骨髓活檢證實為緩解,網狀纖維減少,恢復到正常。
2.病理緩解:骨髓或其活檢毛細胞>5%,但比原有基礎減少50%。血象改善如上述。血液緩解:血象改善如上。骨髓象或活檢中毛細胞數量改善不大或減少不到50%。
3.進步:任何1系血象改善或恢復正常。如治療前為正常,治療後反而退步者不列入此。
4.無效:以上各項均未達到標準。
國外資料
毛細胞性白血病與普通人群相比,毛細胞性白血病生存者患霍奇金淋巴瘤的風險增加6.6倍,非霍奇金淋巴瘤風險增加5倍,甲狀腺癌風險增加3.6倍。
美國國立癌症研究所的MichieHisada博士及其同事的這些發現是根據SEER項目3104例毛細胞性白血病患者的信息,這些患者在診斷後至少生存2個月,並被平均隨訪6.5年。
研究組在2月7日的《美國國立癌症研究所雜誌》(JNatlCancerInst2007)上報告,毛細胞性白血病診斷後25年所有第2種癌症的累積可能性為31.9%。除了霍奇金和非霍奇金淋巴瘤以及甲狀腺癌的顯著較高風險,毛細胞性白血病生存者死於白血病和淋巴瘤的風險也增加。
Hisada博士報告,相比之下,毛細胞性白血病生存者肺癌發生風險略低。與普通人群相比,毛細胞性白血病生存者的心血管和腦血管疾病死亡風險也較低。他說,進一步的研究應該闡明治療方案、免疫學損傷、自然史、診斷分類錯誤和吸菸改變等因素對毛細胞性白血病第2種癌症發生風險的影響。
