概述
容納腦脊髓液的空間生長於顱內的惡性腫瘤通稱為腦癌,包括由腦實質發生的原發性腦癌和由身體其他部位轉移至顱內的繼發性腦癌。惡性腦瘤生長較快,無包膜,界限不明顯,呈浸潤性生長,分化不良 。
二十世紀九十年代來,臨床統計原發性惡性腦腫瘤發生率逐年遞增,與二十世紀八十年代相比,惡性腦腫瘤發生率平均增加2倍,男性腦膠質瘤的發病率提高1.2倍,女性提高2.2倍。數據統計顯示,中國目前(截止2012年)腦瘤年發病率為6.2/10萬人 。
分類
膠質瘤
腦部CT圖片最常見的腦瘤是膠質瘤(glioma),其源自膠細胞,而膠細胞是腦組織中的支持性組織。其分類為:
1、星狀細胞瘤(Astrocytoma):是最常見的膠質瘤,占膠質瘤的70~80%,可生長在腦或脊髓內的任何地方。成人的星狀細胞瘤大多長在大腦,而兒童的星狀細胞瘤則常長在小腦及腦幹。就惡性腫瘤的惡性度而言,可分為三級如下:
(1)第一級-星細胞瘤(Astrocytoma)屬低惡性腫瘤,
(2)第二級-分化不良星細胞瘤(AnaplasticAstrocytoma;AA),
(3)第三級-多型性神經膠母細胞瘤(Glioblastomamultiform;GBM)屬惡性腫瘤。
非膠質瘤
胚芽腫瘤(EmbryonalTumor):屬惡性腫瘤,依部位及分化程度可分為髓母細胞瘤(Medulloblastoma)、室管膜母細胞瘤(Ependymoblastoma)、原始性神經外胚層腫瘤(PrimitiveNeuroectodermalTumor;PNET)以及非典型性畸胎樣橫紋肌肉瘤(AtypicalRhabdoid/TerotoidTumor;AT/RT)。
早期症狀
1、清晨頭痛是常見的腦癌的早期症狀,常發生在清晨四五點鐘,往往在熟睡中被痛醒,起床輕度活動後頭痛逐漸緩解或消失。顱後窩的腦癌的腫瘤可致頸部疼痛並向眼眶放射,頭痛程度隨病情進展逐漸加劇。
2、腦癌的早期症狀還可出現視力障礙,顱內壓增高會使眼球靜脈血回流入腦不暢而致水腫,導致視力下降,嚴重腦癌患的者眼底視網膜有點狀、線狀、片狀病變甚至出血,視物模糊。
3腦癌患者的嘔吐不伴有腹脹、噁心、腹瀉,但顱內壓力增高時,頭痛後會出現“噴射狀嘔吐”症狀。這也是較為典型的腦癌的早期症狀表現。
症狀
腦癌腦癌的症狀主要取決於兩個因素:腫瘤的大小(體積),腫瘤的位置。惡性-快速增長/早期症狀出現
大型惡性腦腫瘤或腫瘤腫脹伴隨的腦水腫會導致顱內壓升高,在臨床上會造成頭痛、嘔吐、意識狀態改變(嗜睡、昏迷)亦或是瞳孔病變。此外,即便是小型惡性腫瘤,也都可能阻礙腦脊液(CSF)的通過而導致早期顱內壓的增加。在幼兒,顱內壓的增加也可能導致頭骨直徑增加和囟門鼓脹。
根據惡性腦腫瘤的位置,無論是經由壓迫或滲透轉移,都有可能會直接損害腫瘤生長部位以及附近的腦結構,導致局部神經症狀的發生,例如認知和行為能力的下降、個性變化、偏癱、感覺遲鈍、失語症、視野變小以及顏部癱瘓等。
診斷
腦癌病變圖雖然沒有特定的臨床症狀可以直接判定惡性腦腫瘤的發生,但局部神經症狀例如顱內壓的產生和加重時則須相當注意,或是沒有癲癇病史的患者有突發性癲癇發作時有可能是由於腫瘤內的出血、腦水腫或腦脊液阻塞所引起,亦應提高警戒。
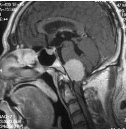
影像診斷在惡性腦腫瘤的判讀上是相當重要的。
影像檢查:除了臨床症狀的判斷,隨著科學的進步,影像檢查可快速並增加惡收腦瘤診斷的準確性,對於術後追蹤治療也相當有幫助。目前影像檢查包括有:
(1)電腦斷層掃瞄(ComputedTomography;CT);
(2)核磁共振攝影(MagneticResonanceImaging;MRI);
(3)腦波圖(Electroncephalography;EEG)以及腦血管攝影。
切片檢查:雖然影像檢查的進步,醫師常常可以藉由影像檢查來做腦病變的診斷,但有些情形更需要做切片檢查以確定病理診斷,尤其在腦瘤經評估是無法開刀切除時,切片手術有助於後續治療,目前切片檢查包括了立體定位切片檢查以及開顱切片檢查。
治療
手術治療
腦腫瘤切除對於原發性腫瘤,予以外科手術切除,儘可能將腫瘤細胞移除乾淨,避免細胞增生仍是最普遍的治療模式。在手術切除上,有研究指出利用5–aminolevulinicacid(5-ALA)標定癌細胞,使其顯現螢光,能夠幫助腫瘤切除率的提升。而針對一些較深層的惡性腫瘤或無法以傳統開刀手術移除的腫瘤,立體定向放射手術(Gammaknife、CyberknifeorNovalisTxradiosurgery)也是另一種手術的選擇。
對於一般的惡性腦瘤,如退行性星狀細胞瘤、髓母細胞瘤、腦室膜瘤、畸胎瘤等,能夠完全切除或接近完全切除者,預後較佳,但必需加上放射治療及或化學藥物治療,方能達到控制腫瘤生長的目的。
化學治療
目前(截止2012年)癌症的化學治療已經取得很大進步,但是由於腦部血腦屏障(BBB)的特殊結構,腦瘤的化學治療仍受到許多限制,任何化療藥物只能通過藥物的脂溶性通過血管內膜細胞,進而進入腫瘤細胞產生作用,這樣的模式影響了藥物作用的速度與效率 。
目前(截止2012年)臨床常用的化療藥物是亞硝脲類烷化劑BCNU和CCNU,或者用PVC方案(甲基苄肼+長春新鹼+CCNU),有一定療效,但有延遲和累積骨髓抑制和肺毒性等副作用,易產生耐藥性。
在新型治療腦瘤的化療藥物研發方面,目前(截止2012年)有了新的進展。一種是口服藥物“Temozolomide”,另一則是於手術時直接植入的藥物晶片“Gliadel(BCNU)”。
Gliadel卡莫司汀植入片
以BCNU為活性成分,聚苯丙生20為釋放基質,製成植入藥物晶片Gliadel,治療復發性惡性腦瘤,可在手術後,將藥物直接放置於復發性惡性膠質細胞瘤之腦組織中,讓藥物緩慢釋放,進行持續性化學治療。據文獻報導,Gliadel可延長原發性及復發性惡性腦瘤患者的中間存活期。
該治療方法的獨特之處在於其給藥方式及釋放系統。在外科手術過程中,先將腫瘤組織切除,留下一個小空腔,然後植入這種定期釋放的晶片。這些晶片會在2~3周之內慢慢地分解、融化,釋放出的藥物可直接進入腫瘤區,殺死那些在外科手術中沒有切除乾淨的腫瘤細胞,並且能在不損害其它組織的情況下使病變局部能達到有效的血藥濃度,延緩了疾病的進展。
美國癌症中心聯盟(NationalComprehensiveCancerNetwork,NCCN)針對惡性腦瘤的最新治療原則中指出,原發及復發惡性腦瘤患者皆可予以手術切除腫瘤時同時置入Gliadel(BCNU),術後輔以放射線治療或Temozolomide等化療藥物治療,據文獻報導,採用此治療模式可有效延長患者的存活中位數。
放射線治療
放射線治療是利用放射線或者γ射線、高速中子射線對腫瘤細胞進行殺滅,簡稱放療。
放射線治療是最常見的腫瘤輔助治療手段,一般於手術後1至2星期開始。放射線治療主要利用腫瘤細胞對放射線比較敏感,容易受到放射線的傷害來殺死腫瘤細胞,一般治療約需四至八個星期,會依據不同的腫瘤病理診斷、分化程度及影像醫學檢查結果而決定照射範圍的大小及劑量。
對許多惡性腫瘤,放射線治療是一種有效的方法。目前放射線治療己發展至隨形或定位方式,包括直線加速器的放射治療、伽傌射線定位放射手術、光子刀等。但部分惡性腦瘤仍需進行大範圍腦部放射線治療或全顱及脊椎放射治療。
2008年由Texas出版,AndersonCancerCenter研究指出病人接受立體定向放射外科手術(stereotacticradiosurgery;SRS)和全腦放射治療(wholebrainradiationtherapy;WBRT)對於病人學習和記憶的損傷有較大的副作用和風險性。
生物細胞治療
生物細胞治療腫瘤可有效清除手術、放化療後殘餘的癌細胞及微小病灶,預防腫瘤的復發和轉移;可增強放療敏感性,減少放療毒副作用,增強對化學藥物的敏感性,提高化療的療效;對於失去手術機會或癌細胞復發、轉移的晚期腫瘤患者,能迅速緩解其臨床症狀,大部分患者可達到瘤體縮小甚至消失或長期帶瘤生存的治療效果;而對於放化療無效的患者,或對化療藥物產生耐藥性的患者,同樣可以採用生物細胞治療延長生存期,提升生命質量。
生物細胞治療主要分為三步,第一步,通過血細胞分離機採集患者自身40~50毫升外周血中的單核細胞;第二步,在GMP層流潔淨實驗室進行細胞誘導和培養,形成活化DC、CIK細胞,並使其數量、質量嚴格達標;第三步,兩周后將培養後的DC、CIK細胞雙回輸到患者體內。整個治療過程,輕鬆、快捷,無副作用。
中醫藥治療
1、痰毒凝聚型:化痰散結,解毒開竅。
主證:頭痛頭暈,肢體麻木,身重倦怠,舌強語蹇,噁心嘔吐,視物模糊,痰多胸悶,舌胖有齒痕,苔白厚膩,脈滑或弦細。
方藥:滌痰湯加味。膽南星10g,清半夏10g,枳實10g,竹茹10g,陳皮10g,白朮10g,雲苓30g,石菖莆15g,全蠍5g,蜈蚣2條,山慈菇15g,徐長卿20g。
2、氣血鬱結型:活血化瘀,散結開竅。
主證:頭痛頭脹,面色晦黯,視物模糊,口唇青紫,舌質紫黯或有瘀斑,脈細澀或弦。
方藥:通竅活血湯加味。桃仁10g,紅花10g,赤芍10g,地龍10g,川芎10g,白芷30g,蟬蛻5g,白蒺藜10g,全蠍10g,王不留行15g,麝香0.2g(絹包入藥,每包煎3次)。
3、肝風內動型:滋陰潛陽,熄風清熱。
主證:頭痛頭暈,耳鳴目眩,煩躁易怒,抽搐震顫,舌強失語,昏迷項強,噁心嘔吐,舌紅少苔,脈弦細而數。
方藥:杞菊地黃丸加味。枸杞子10g,杭菊花10g,熟地黃15g,山萸肉10g,澤瀉15g,丹皮10g,雲苓10g,女貞子15g,生牡蠣15g,夏枯草15g,珍珠粉1瓶(0.6g裝,沖服),僵蠶10g,懷牛膝30g,白花蛇舌草15g。
4、肝膽實熱型:清熱泄火,解毒通腑。
主證:頭痛頭脹,如錐如裂,嘔吐如噴,便乾溲赤,,舌黯紅或絳紅,苔黃,脈弦數。
方藥:龍膽瀉肝湯加減。龍膽草5g,黃芩10g,桅子10g,生地10g,赤芍10g,芒硝5g,石決明15g,白花蛇舌草30g,苦地茶5g。
5、脾腎陽虛,肝血不足型:偏陽虛者溫補脾腎、補腦填髓;偏血虧者健脾補腎養肝、補腦安神。
主證:頭暈目眩,耳鳴耳聾,視力障礙,腰膝酸軟,形寒肢冷,氣短懶言,溲清便溏,或咽乾口渴,顴紅盜汗,五心煩熱,脈沉細無力。
方藥:地黃飲子加減。生地30g,山萸肉10g,石斛10g,麥冬10g,五味子5g,石菖蒲15g,肉蓯蓉30g,巴戟天10g,肉桂5g,遠志10g,茯苓15g,炮附子10g,生薑5g,大棗5枚,薄荷3g。
偏陽虛者去石斛,麥冬,加仙靈脾10g,山藥15g,偏血虧者去附子,肉桂,巴戟天,加桑寄生30g,當歸10g,生黃芪15g。
相關研究
中國工程院院士、復旦大學附屬華山醫院神經外科主任周良輔教授指出,手機10年以上經常使用及喜歡把手機放在枕頭邊上、長時間隨身攜帶等,都會增加罹患惡性腦腫瘤的風險,而腦瘤女性患者超過男性,調查原因之一可能是女性使用手機時間及頻率均超過男性。
由於青少年的耳朵和顱骨比成年人更小、更薄,他們在使用手機時,腦部吸收的輻射比成年人要高出50%。他們如長期高強度使用手機,更可能增加患腦瘤幾率。
併發症
局部症狀亦稱定位症狀,由於膠質瘤所在部位的不同,其所產生的局部症狀亦異。臨床可根據其表現,結合其他判斷腫瘤的位置。其中最重要的病灶症狀,即腫瘤直接壓迫刺激或破壞腦組織或顱神經的結果,具有定位價值。但以發病初期出現最有診斷意義。在晚期,由於其他部位的腦組織及顱神經受壓迫、水腫及牽扯等間接影響,而出現一些腫瘤的鄰近症狀和遠隔症狀。前者是因腫瘤附近的腦或顱神經受壓所致。如小腦腫瘤出現橋腦、延髓症狀;顳葉腫瘤出現第Ⅲ、Ⅳ顱神經障礙;外側裂腫瘤出現偏癱等。以上症狀的發生,與腫瘤壓迫、腦組織移位或腦血液循環障礙等有關。遠隔症狀是在腫瘤遠隔部位的腦神經的功能障礙,如顱後窩腫瘤,因腦積水影響額、顳、頂葉,可出現視、聽幻覺或癲癇。又如顱內壓增高時,由於第三腦室擴大亦可出現雙顳側偏盲和蝶鞍擴大等。護理措施
一、心理護理:多數病人在正常生活、工作中忽然受傷或者由於疾病所致偏癱等,這類病人的心理變化常表現為抑鬱、憤怒、內疚,悔恨造成的本人及家庭悲劇。病人由於失去了獨立生活的能力,對個人生活、婚姻、工作、前途等會有許多顧慮。因此家屬要對她進行關心、安慰和鼓勵,使其正確對待疾病、正確對待未來的生活和工作,對前途樹立信心,發揮其主觀能動性,以堅強的毅力配合各項康復治療護理工作。二、肢體功能鍛鍊:出現偏癱、臥床期間,家屬協助作肢體被動功能鍛鍊。病情康復後鼓勵作主動活動,如作站立練習。開始在有依靠下站立,如背靠牆、扶拐杖等,同時指導坐站練習、登台階練習以改善下肢肌力。隨著病情改善,從開始無依靠站立,逐漸過渡到步行。患側上肢主要做各關節的主動練習,加強掌指關節活動與拇指的對指練習,以促進手功能順利康復。
三、語言康復練習:首先要給患者足夠的自信心,要有耐性,從簡單的單音、雙音到句子,每進步一點都要及時給予表揚和鼓勵。多在她身邊回憶往事,多談一談開心事情,要象大人哄小孩子一樣對待她們,要有愛心並有尊重的意願,使她們愉快地生活好每一天。
四、生活自理能力練習:肢體乏力的病人,盼望獲得獨立生活。家屬引導病人練習各種捏握方法,進而學習使用梳子、刷子,練習自己洗臉、洗澡、用手攝取食物等,使病人獲得歸屬和感情上滿足、以及生活自理的滿足感。
疾病(二)
| 疾病(Disease)的概念:疾病是機體在一定的條件下,受病因損害作用後,因自穩調節紊亂而發生的異常生命活動過程。 |

