病因
病因不清,可能與胚胎期生殖細胞異常分化等因素有關。臨床表現
1.顱內畸胎瘤
畸胎瘤2.胃畸胎瘤
臨床主要表現為腹部包塊,多位於左上腹,腹脹,嘔吐,嘔血和(或)黑便,呼吸困難,貧血。在新生兒或嬰兒中,上腹包塊及上消化道出血(以間歇性黑便多見)為主要臨床表現。
3.睪丸畸胎瘤
睪丸畸胎瘤的高發年齡可分為兒童和成人2個年齡段,兒童睪丸畸胎瘤高發年齡在1~2歲,成人睪丸畸胎瘤高發年齡在25~35歲。絕大多數患者表現為睪丸無痛性包塊,包塊質硬、結節狀或不規則。
4.卵巢畸胎瘤
本病轉移的發生率高。轉移方式沿腹膜擴散,常見的轉移部位有盆腔及腹腔腹膜、大網膜、肝表面、橫膈、腸及腸系膜等。轉移灶大多數為表面種植。淋巴結轉移並不少見。
5.骶尾部畸胎瘤等
骶尾部畸胎瘤的大小不一,患者多有排尿、排便困難。有時可見臀部腫大,骶尾部可有包塊。由於腫瘤多偏向一側向臀部生長,故臀部常顯得不對稱。有時腫瘤從會陰部膨隆突起。直腸受壓或受牽扯者可有便秘或大便失禁。有巨大腫瘤者可影響其母的分娩。直腸指診時可觸及骶前腫物。惡性畸胎瘤生長迅速,有進展性的便秘和排尿困難。
檢查
1.顱內畸胎瘤顱內畸胎瘤主要發生在鞍上區和松果體區等中線區域,其影像學特徵有其顯著特點,可以作出初步診斷。
(1)腰穿絕大多數患者腰穿測壓均有不同程度的壓力增高,腦脊液蛋白含量一般不高。
(2)顱腦X線平片多數顯示有顱內壓增高徵象,如發現有牙齒、小骨塊、鈣化影像,更有助於定性診斷。
(3)CT掃描CT平掃可見腫物形態不規則,結節狀及明顯分葉狀和密度不均的占位性病變,通常有實性成分(高密度)、囊行(低密度)及鈣化和骨化等,多囊者較為常見。全部患者皆可見到脂肪成分,瘤內出血少見。有少數病例可見腦室內油脂狀液體隨體位變化而遊動(為畸胎瘤破潰入腦室所致),畸胎瘤與惡性畸胎瘤在平掃CT很難區別,但後者囊變成分、鈣化和脂肪相對較少,實質部分較多。畸胎瘤良性者常已生長多年,腫物發現時通常較大,在松果體區者幾乎皆有不同程度的幕上腦室擴大。注藥後實性部分明顯強化,密度極不均勻,囊壁強化可呈多個環狀影。
(4)MRI檢查T1及T2像出現的信號極為混雜,但邊界較清楚,呈結節狀或分葉狀,良性畸胎瘤邊界無水腫(T2像顯示清楚的高信號),如有周邊水腫,提示腫瘤為惡變成分或惡性畸胎瘤,腫瘤在注藥後瘤壁和實質部分明顯強化。
(5)腫瘤標誌物CEA可輕度或中度升高。未成熟畸胎瘤和含有該成分的混合型GCT患者AFP明顯升高。
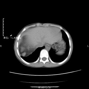
2.胃畸胎瘤
(1)X線檢查①腹部平片在中上腹或全腹可見密度不均的增高陰影。邊界可不清,並將腸管擠向右前下方。包塊陰影內可見條狀骨樣或點狀沙粒樣鈣化影。②鋇餐透視顯示胃體受壓變形,小腸向下方移位;胃內可見充盈缺損,亦可擴張,出現氣液平面和大量積液;或胃內造影劑沿著腫塊分布,還可聚集於腫物的小葉間。③鋇劑灌腸可見橫結腸,降結腸及乙狀結腸受壓向下移位,上腹部顯示巨大密影。④腎盂靜脈造影顯示左腎盂向下移位,膀胱上緣可能出現壓跡。
(2)B超檢查呈現各種聲相圖,於左上腹橫掃可見腫物位於脾腎之間,邊界可清晰顯示,或不清。腫物可呈多房性分葉狀,其內部聲相可呈實性,多發性囊性,或混合性,還可能有鈣化灶顯示。
(3)CT檢查如果病變巨大,甚至占據腹腔的4/5,則多個臟器受壓移位。病變的內部結構紊亂,密度不均,呈混合性密影,亦可為實性和囊性成分組成。
(4)胃鏡檢查甚少套用,僅可觀察胃腔內病變的大小及其表面的狀況,如出血,糜爛和淺表潰瘍等,在直視下進行活檢是其優勢,但對胃畸胎瘤的診斷幫助不大。
3.睪丸畸胎瘤
B超對於判斷睪丸腫瘤的性質、大小、部位、腫瘤所占睪丸組織的比例甚至選擇治療方式等具有重要的臨床價值。睪丸畸胎瘤B超表現為包塊邊界清楚、囊實性、包塊內有軟骨、不成熟的骨組織或鈣化等。成人睪丸畸胎瘤患者血清甲胎蛋白(AFP)水平與良、惡性相關。兒童睪丸畸胎瘤患者AFP水平處於與相應年齡段的正常範圍,但6個月內正常嬰兒血AFP水平差異較大,因此,對6個月內的嬰兒患者AFP水平的高低無明確的臨床提示意義。
4.卵巢畸胎瘤
(1)血清甲胎蛋白(AFP)患者血清中AFP比卵巢卵黃囊瘤低,可能是因為未成熟畸胎瘤的內胚層組織也可分泌少量AFP,另一可能是生殖細胞惡性腫瘤有不少是混合類型。未成熟畸胎瘤中可能混有少量卵黃囊瘤成分,可合成微量AFP。
(2)神經細胞特異性烯醇化酶(NSE)卵巢未成熟畸胎瘤含有成熟或未成熟的神經細胞,有時血清內可測出NSE,對本病的診斷有參考意義。
(3)其他B超、CT、MRI、腹腔鏡、組織病理學檢查。
5.骶尾部畸胎
(1)實驗室檢查血液AFP(甲胎蛋白)檢查陽性率高,有細菌感染時外周血象白細胞計數和中性粒細胞計數顯著升高。
(2)其他輔助檢查X線平片可見腫瘤內有骨、牙陰影。側位像可見骶尾部有腫物影。鋇灌腸可見直腸向前方彎曲。靜脈腎盂造影有助於明確腫瘤的範圍和部位有無轉移,需做胸部、骨骼的X線攝影檢查。
診斷
惡性畸胎瘤的甲胎蛋白陽性率很高,可達80%,其惡性部分主要為卵黃囊癌。良性畸胎瘤中約50%甲胎蛋白陽性。AFP檢測對診斷很有幫助。鑑別診斷
本病應與顱咽管瘤、垂體腺瘤、皮樣囊腫和上皮樣囊腫、下丘腦和視交叉膠質瘤、卵黃囊瘤、絨癌、脊髓膜膨出等鑑別。治療
1.顱內畸胎瘤良性畸胎瘤只做手術切除,但須強調病理標本的立體多點取材,以免漏診惡性成分。如能全切可望治癒。由於腫瘤常位於中線部位,手術多難以全切,不能全切者可酌情行腦脊液分流術以緩解梗阻性腦積水。放療與化療對良性畸胎瘤無效。未成熟和惡性畸胎瘤則先化療後放療,複查如腫瘤未消失再行手術切除,術後繼續化療2療程。
2.胃畸胎瘤
胃畸胎瘤多為良性,及早手術切除,預後良好。術後應長期隨訪,定期複查AFP,如無下降或下降後又升高,提示復發或轉移,須進一步治療。
3.睪丸畸胎瘤
外科手術是治療睪丸畸胎瘤的首選治療方法。對兒童睪丸畸胎瘤患者可根據AFP水平正常、B超提示有正常的睪丸實質存在、術中冰凍病理檢查結果排除惡性腫瘤者,可以考慮行保留睪丸手術。
睪丸皮樣囊腫和兒童睪丸畸胎瘤患者手術後無需其他治療。對青春期後睪丸畸胎瘤伴有腹膜後淋巴結轉移的患者行根治性睪丸切除術+腹膜後淋巴結清掃術。絕大多數畸胎瘤轉移灶與原發灶病理類型一致,但也有在畸胎瘤的轉移灶中發現胚胎癌成分。遠處轉移畸胎瘤中的惡變成分對生殖細胞腫瘤的化療方案療效不佳。
4.卵巢畸胎瘤
(1)治療原則卵巢未成熟畸胎瘤的治療原則:手術原則,採取保留生育功能的手術方式;手術後,及早採取有效的聯合化療,對於復發性腫瘤,應依據未成熟畸胎瘤惡性程度逆轉的規律,結合不同的具體情況制定不同的具體方案。
(2)手術治療①手術範圍腫瘤絕大多數為單側性,患者常很年輕,多主張作單側附屬檔案切除,保留生育功能。如患者無生育要求,且腫瘤為Ⅱ期或Ⅲ期,可作雙側附屬檔案及子宮切除。大網膜是常見的轉移部位,不論腫瘤期別的早晚,均作大網膜切除。腹膜後淋巴結是否常規切除,意見尚不統一。有腹腔廣泛種植轉移者,儘可能作腫瘤細胞減滅術,達到腫瘤基本切淨。②復發性腫瘤的手術治療未成熟畸胎瘤的復發瘤仍以手術切除為主,再輔以有效的聯合化療。③二次探查手術目前不推薦。
(3)化療化療是卵巢未成熟畸胎瘤必不可少的治療方法,在初次手術後,及早採用聯合化療,防止復發,可提高存活率。
5.骶尾部畸胎瘤
外科手術為首選療法。必須把尾骨一併切除。尾骨上常常有腫瘤細胞,若切除不徹底即使畸胎瘤是良性也會復發。新生兒出生後應儘早儘快進行手術,以免發生惡性變。手術中要特別注意骶前動脈的處理以防出血引起危險。手術時要注意有無淋巴結的轉移。骶尾部惡性畸胎瘤除手術切除外,必須給予放射治療和化學療法。

