綜述
顱內畸胎瘤是由一個以上胚葉多種組織構成的一種先天性異位瘤
顱內畸胎瘤,比較罕見。
病因
發病原因
畸胎瘤由2種或3種胚層分化構成,按腫瘤細胞分化程度分為良性和惡性,但高分化者亦有發生轉移者;惡性畸胎瘤指所有惡性的畸胎類腫瘤,即全部由未分化性類胎兒發育期的組織構成。有時出現畸胎瘤惡性變指畸胎瘤內有局灶性肉瘤或癌的成分存在。
發病機制
按現代的分類,WHO(1993,2000)將腫瘤分為3個亞型:①成熟性;②未成熟性;③畸胎瘤惡變。良性畸胎瘤邊界清楚,結節狀,有完整的包膜,可圓形、橢圓形或分葉狀,表面光滑,易從周圍的腦組織上剝離,僅部分與腦組織粘連緊密,對腦組織主要是壓迫,很少為浸潤。觸之腫瘤較硬韌,切面可有大小不等的囊腔,實性部分的色澤和硬度依不同組織而異,囊內可有水樣黏液樣或脂樣物(似上皮樣囊腫組織),有時腫物有油狀物破入腦室,因比重關係,在腦室內自由移動,這也是術前確診的一個指標。實性部分內可嵌有骨骼、牙齒和軟骨,常有毛髮混雜其間,有時因陳舊出血,囊內可含有咖啡狀液體。
如未成熟性或惡性畸胎瘤,不易識別出骨和軟骨,而囊內常因出血而有糜狀褐色液體,部分包膜不完整,預示著向周圍浸潤生長。
光鏡下腫瘤表現為3個胚層組織的分化,如分化成類似成年人組織者,稱之為成熟畸胎瘤,如有類胚胎性或胎兒樣不成熟組織者謂之為未成熟畸胎瘤。瘤內的內胚層結構可含有消化道和呼吸道組織及各種分泌黏液的腺體;中胚層結構如骨、軟骨及肌肉組織;外胚層結構常見為鱗狀上皮及神經組織,可見神經膠質細胞,各種分化的神經元、神經膠質,神經管及脈絡叢等。畸胎瘤組織中未成熟組織的出現並不意味著腫瘤的惡性變,相反成熟的組織成分亦有存在惡性腫瘤的成分。畸胎瘤中成熟的神經上皮亦有時發生轉移,而惡性畸胎瘤取決於腫瘤內有無生殖細胞瘤,甚至絨癌成分。因此做腫瘤病理時取點要多,因不同區域的組織成分不同,如取材過少,可漏掉惡性成分。
症狀
由於腫瘤常位於中線,所以常無明顯腦定位體徵。多數病人以顱內壓增高為首發症狀。位於松果體區的畸胎瘤可出現雙眼上視不能、共濟失調、性早熟、腦神經麻痹等。鞍區者可出現尿崩症、嗜睡、視力視野障礙以及水、脂肪代謝障礙等。顱後窩者可出現小腦功能損害及頸硬等,腦室內者可出現相應的症狀體徵。橋小腦角者可出現頭痛嘔吐、復視、共濟失調、耳聾、眼顫、腦神經損傷及顱內高壓等。
檢查
腰穿時絕大多數病人腰穿測壓均有不同程度的壓力增高,腦脊液蛋白含量一般不高,少數有輕中度增高。
顱腦X線平片:對診斷有幫助,多數顯示有顱內壓增高徵象,如發現有牙齒、小骨塊、鈣化影像,更有助於定性診斷。
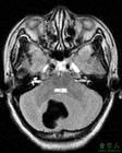
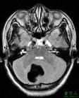
CT掃描:CT平掃可見腫物形態不規則,結節狀及明顯分葉狀和密度不均的占位性病變,通常有實性成分(高密度)、囊行(低密度)及鈣化和骨化等,多囊者較為常見。全部患者皆可見到脂肪成分,瘤內出血少見。有少數病例可見腦室內油脂狀液體隨體位變化而遊動(為畸胎瘤破潰入腦室所致),畸胎瘤與惡性畸胎瘤在平掃CT很難區別,但後者囊變成分、鈣化和脂肪相對較少,實質部分較多,而瘤周水腫則常可出現。畸胎瘤良性者常已生長多年,腫物發現時通常較大,在松果體區者幾乎皆有不同程度的幕上腦室擴大。注藥後實性部分明顯強化,密度極不均勻,囊壁強化可呈多個環狀影。
MRI:畸胎瘤由多種成分組成,故T1及T2像出現的信號也極為混雜,但邊界較清楚,呈結節狀或分葉狀,良性畸胎瘤邊界無水腫(T2像顯示清楚的高信號),如有周邊水腫,提示腫瘤為惡變成分或惡性畸胎瘤,腫瘤在注藥後瘤壁和實質部分明顯強化。
鑑別
顱咽管瘤:多發生於兒童,可位於鞍內、鞍上及鞍旁,多數可突入第三腦室而梗阻室間孔。CT為囊性、實性和二者混雜,常有大囊,形態不規則,有的垂直向上生長,可超過室間孔;有時橫向生長,向前達額底,向外後可達腦橋小腦角,內側可深入顳葉,向後可充滿腳間池,使腦幹向後移位。CT以鈣化為特點(鈣化率大於90%),為周邊蛋殼樣,也可為斑塊狀散在鈣化。MRI在T1像顯示為高低不同信號,儘管囊性成分和實性成分在T2像皆為高信號,但囊性變的膽固醇成分比實性成分信號還高。顱咽管瘤為先天性,多有兒童垂體功能低下,發育矮小和性徵不發育。症狀中不像鞍上畸胎瘤以尿崩為首發症狀,顱咽管瘤首發症狀為視力視野改變和顱壓增高症,尿崩症發生率低(30%左右)且常在腫瘤的晚期才發生。
下丘腦和視交叉膠質瘤:是鞍區第2位常見的腫瘤,多數為毛細胞型星形細胞瘤。下丘腦星形細胞瘤多為實性,CT為等或稍低密度,MRI在T1像為等或稍低信號,T2像為高信號,質地均勻或不均勻,注藥後可輕度強化到明顯強化,影像學如不易鑑別時則主要憑臨床症狀,即生殖細胞瘤在鞍上多以尿崩症起病,星形細胞很少有尿崩症。
垂體腺瘤:兒童少見,占兒童顱內腫瘤的2%~3%,多為較大腺瘤。在冠狀掃描可呈葫蘆狀,蝶鞍明顯擴大,可有瘤內出血,可在CT及MRT上顯示密度和信號不均勻,有內分泌功能低下,常可見有向心性肥胖。
皮樣囊腫和上皮樣囊腫:鞍上皮樣囊腫或上皮樣囊腫CT為低密度(CT值為-20~40Hu),T1為高信號,T2為低信號到不均勻高信號,有時腦室內可漂有油脂狀物。
預防治療
手術切除是惟一有效的治療方法,由於腫瘤常位於中線部位,手術多難以全切。如能全切可望治癒。不能全切者可同時行腦脊液分流術以緩解梗阻性腦積水。對於未成熟或惡性變者,術後可輔以放療或化療。放療與化療對良性畸胎瘤無效。
由於全切除困難,部分切除後,術後常於半年內復發,故手術效果不佳。手術死亡率在24%左右。儘管顯微技術的套用使手術效果有了一定提高,但畸胎瘤可經腦脊液轉移,即使對放療和化療很敏感,多數出現預後不良反應。

