簡介
生殖細胞瘤由原始的生殖細胞衍生而來,好發於松果體區,其次為鞍上池。腫瘤多發生於男性青少年,位於鞍上生殖細胞瘤則以女性多見。生殖細胞瘤對放射線非常敏感。該瘤通常無包膜、無鈣化、出血、壞死或囊性變,屬低度惡性腫瘤,多呈浸潤性生長,常有不同程度和形式的轉移,易向蛛網膜下腔及腦室系統種植、播散。組織學上,腫瘤主要含有兩種細胞成分:上皮樣細胞和淋巴樣細胞。 生殖細胞腫瘤的病因不明確,有家族史的也十分罕見。曾有報導在Klinefelter綜合徵(47,XXY,即47條染色體,有2條X和1條Y性染色體)病人的縱隔和顱內發現生殖細胞瘤。這些病人的典型特徵是小睪丸、細精管玻璃樣變、無精子,有人推測,縱隔及顱內等處生殖細胞瘤的發生是原始生殖嵴分化的變異導致了生殖細胞遷移、分化的變化和其惡性的傾向。
病因病理
生殖細胞未分化
殖細胞瘤由原始的生殖細胞衍生而來,好發於松果體區,其次為鞍上池。腫瘤多發生於男性青少年,位於鞍上生殖細胞瘤則以女性多見。生殖細胞瘤對放射線非常敏感。
該瘤通常無包膜、無鈣化、出血、壞死或囊性變,屬低度惡性腫瘤,多呈浸潤性生長,常有不同程度和形式的轉移,易向蛛網膜下腔及腦室系統種植、播散。組織學上,腫瘤主要含有兩種細胞成分:上皮樣細胞和淋巴樣細胞。
生殖細胞腫瘤的病因不明確,有家族史的也十分罕見。曾有報導在Klinefelter 綜合徵(47,XXY,即47 條染色體,有2 條X 和1 條Y 性染色體)病人的縱隔和顱內發現生殖細胞瘤。這些病人的典型特徵是小睪丸、細精管玻璃樣變、無精子,有人推測,縱隔及顱內等處生殖細胞瘤的發生是原始生殖嵴分化的變異導致了生殖細胞遷移、分化的變化和其惡性的傾向。生殖細胞腫瘤患者的染色體常發生異常,包括非隨機的染色體數目異常和結構異位。在睪丸生殖細胞腫瘤中,80%呈現特徵性的染色體結構異常,12 號染色體短臂等臂染色體畸形(i12p),許多非生殖細胞瘤性性腺腫瘤及性腺外的生殖細胞腫瘤中也有i12p 畸形。
在胚胎髮育過程中,原始生殖細胞在胚胎第4 周已清晰可見,它們出現於卵黃囊壁上的內胚層細胞中,鄰近尿囊的發生處。當胚胎開始折迭,原始生殖細胞在中線從卵黃囊壁通過後腸背側腸系膜遷移至生殖嵴,並進入間葉組織下成為原始性索,再逐步發育為成熟的性腺。在這個遷移過程中,原始生殖細胞遍布整個胚胎,當這些遷移的全能幹細胞未完成正常演化而停留時,很可能變成腫瘤。目前比較一致的觀點,生殖細胞瘤是一組來源於原始生殖細胞的未分化腫瘤。
臨床表現
突出臨床表現是內分泌紊亂/8/,表現為上視障礙和性早熟,同時可伴有下丘腦功能障礙,如尿崩、煩渴、嗜睡及肥胖。其他症狀與腫瘤部位有關,松果體區腫瘤可阻塞中腦導水管,造成顱內高壓。鞍區腫瘤則首先表現出視力障礙,然後出現頭痛、嘔吐、多飲多尿及垂體功能低下。
影像學表現
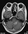
1、CT表現:
①腫瘤最常見於松果體區,位於鞍上區腫塊常累及漏斗;
②CT平掃多呈等密度或稍高密度腫塊,無出血、壞
生殖細胞瘤死及囊性變,可分葉,但境界清楚;瘤體本身鈣化少見,典型松果體區生殖細胞瘤常見腫瘤包埋松果體鈣化灶。
③增強掃描呈中等至明顯的均勻強化。
④室管膜下轉移可表現為沿腦室壁線狀或條片狀強化,沿腦脊液向蛛網膜下腔播散表現為腦表面、腦池的線狀或結節狀強化。
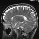
2、MR表現:
①最常見於松果體區,也常見於鞍上,可同時或單獨存在。
②T1加權為略低信號或等信號,T2加權常呈等信號或高信號。
③增強後;呈明顯均勻一致強化,並能發現沿腦脊液或室管膜轉移的病灶。
鑑別診斷
1.松果體區囊腫
為良性病變,國外屍檢存在率高達40%。多數較小,只有在MRI 檢查時偶然發現。多數在MRI 上松果體區有小而圓的囊腫,注藥後輕度環形強化,有時囊腫較大可稍壓迫四迭體上丘,CT 示囊內液體與腦脊液比呈等至高密度,多無臨床症狀,也不引起腦積水,絕大多數不需手術治療。
2.松果體細胞瘤
即來源於松果體實質細胞,包括松果體細胞瘤和松果體母細胞瘤,前者多為邊界清楚的圓形病變,很少通過腦脊液播散;松果體母細胞瘤為惡性,局部浸潤,通常體積較大,質地不均勻。松果體細胞瘤周邊可有鈣化,注藥後可有均勻或不均勻增強,有時神經影像上不易與松果體區生殖細胞瘤區別,但松果體實質細胞腫瘤無性別傾向,平均年齡較生殖細胞瘤者大(多在20 歲以上)。
3.神經膠質瘤
多為星形細胞瘤,極少數為室管膜瘤,多起源於四迭體或第叄腦室後壁。腫瘤有時很小,但早期引起梗阻性腦積水,MRI 見腫物及四迭體熔為一體,壓迫導水管,使其狹窄或閉鎖,注藥後多不強化或輕度強化,有時可見受累的丘腦和腦幹出現腫脹,在T2 像上可見高信號。
4.腦膜瘤
松果體區腦膜瘤少見,多為成人(常發生於40~60 歲),常起源於小腦幕切跡游離緣,故常不在正中。腫瘤常為圓形或橢圓形,CT 為均勻密度,MRI 在T1 像為均勻高信號,注藥後可明顯均勻強化,並可顯示在小腦幕上有腦膜尾征(冠狀掃描顯示更為清楚)。
5.脂肪瘤
可發生在松果體區,為先天性病變,實際上為胎兒生長發育過程中脂肪組織的異位或迷離的結果,多數很小,不引起症狀,更無需手術。
6.上皮樣囊腫或皮樣囊腫
可發生在松果體區,可較大,CT 為低密度,CT值低於腦脊液;MRI 在T1 像為低信號,T2 像可變化較大,從低信號到不均勻信號皆可。上皮樣囊腫邊界可不規則,部分邊界可呈蟲蝕狀。
7.蛛網膜囊腫
有時囊腫可較大,囊內密度或信號在CT 及MRI 為相似於腦脊液,囊壁薄,注藥後可輕度強化。
顱咽管瘤
概述
是較常見的良性顱內腫瘤,按發生的部位和組織學不同,分為鞍上囊腫、上皮瘤、上皮囊腫、鱗狀上皮瘤、垂體管上皮瘤、釉質瘤、垂體釉質瘤等。多見於青年和兒童,男女比約2:1。
病因病理
顱咽管瘤與周圍組織的界限清楚,但其大小、形狀、生長範圍有很大差別。最大者如鵝卵樣,最小者如花生米大。形狀多樣,有球形、不規則形及結節形。多數呈囊性,實質性者不見。其囊壁的厚薄區別很大,有的菲薄如窗紙,透過薄壁即可見囊內液體的顏色,多呈黃褐色。有的囊壁較厚呈灰白色並有多數鈣化點,這是顱咽管瘤特徵的表現。囊壁一般較游離,不與周圍組織粘連。假如系實質性瘤或有部分實質性者,有時常與顱底的重要結構發生粘連,造成壓迫,出現相應的臨床症狀,如壓迫垂體柄、丘腦下部、海綿竇、視交叉及頸內動脈等。
顱咽管瘤以垂體結節部發生為最多,第三腦室前部及鞍內也可發生,蝶竇內發生者最少。位於鞍上之腫瘤多向第三腦室生長,鞍內者可向鞍上發展。在垂體前後葉之間由被復上皮間隙發展形成的小囊腫,有人也將其歸併於顱咽管瘤的範圍。視交叉的受壓多由於鞍上腫瘤或鞍內腫瘤向鞍上發展所造成,鞍上的腫瘤可突入第三腦室並可通過室間孔而進入側腦室。向額葉底部及顳葉底部發展的腫瘤也並不少見,有的甚至向後生長壓迫中腦及腦橋。一般情況下實質性腫瘤與周圍組織多發生緊密的粘連,其質地硬,多鈣化,有的可發生惡變並發生轉移。
在顯微鏡下可見腫瘤囊壁的內側由復層鱗狀上皮樣瘤細胞組成,可呈團塊狀分布,中心有星芒狀細胞。外周由纖維組織包繞,在纖維組織內可見角化物質及伊紅梁的退變組織,
生殖細胞瘤在壁內可見有鈣化,甚至骨化,呈不規則形。同時囊內液也可見有吞噬細胞和膽固醇結晶,以及異物巨細胞。腫瘤周圍膠質細胞增生。臨床表現
病史、症狀及體徵
1、內分泌功能障礙:垂體功能減退,性功能不全和矮小症較多見;腫瘤向上發展壓迫下丘腦可引起下丘腦綜合症,出現性早熟或神經性閉經,溢乳-閉經綜合症,皮質醇增多症,甲狀腺功能亢進或減退,肢端肥大症、巨人症、侏儒症,尿崩症,多食肥胖或厭食消瘦,發熱或體溫過低,嗜睡或失眠,部分可有精神興奮、幻覺及定向力障礙。
2、顱內壓增高綜合症:頭痛、噁心、嘔吐、意識障礙、嗜睡。兒童可出現腦積水錶現。
3、視神經壓迫症狀:視力逐漸減退,出現偏盲,日久失明。
4、其他症狀:頭痛、面部感覺減退、輕度偏癱。
實驗室檢查
1、垂體功能減低者,促性腺激素與生長激素明顯下降,甲狀腺激素及TSH均減低;基礎代謝率降低;糖耐量常減低;
2、腦脊液壓力增高,白細胞數及蛋白量可輕度增高。
3、頭顱X平片:鞍區鈣化、蝶鞍擴大和破壞。
4、CT、MRI掃描鞍區可見腫瘤。
5、腦血管造影:顯示鞍上腫瘤。
鑑別診斷
應與垂體腺瘤、視神經膠質瘤、視交叉蛛網膜炎等鑑別。
治療預防
1、手術治療:全部切除適合於鞍內腫瘤,視神經受壓不重及顱壓不高者,可行部分切除,但復發率較高。
2、放射治療有一定療效。
星形細胞瘤
概述
星形細胞瘤分Ⅰ~Ⅵ級。為膠質瘤中最常見的一類。Ⅰ級者,在成人多在大腦白質浸潤生長,分為原漿型與纖維型兩類。Ⅱ級者屬分化不良的星形細胞瘤,或稱星形分母細胞瘤。這兩型的病程進展較緩。星形細胞瘤Ⅲ~Ⅳ級即多形性膠質母細胞瘤,惡性程度高,常見於中年之後。
病因
分Ⅰ~Ⅵ級。為膠質瘤中最常見的一類。Ⅰ級者,在成人多在大腦白質浸潤生長,分為原漿型與纖維型兩類。腫瘤組織呈灰白色或灰黃色,硬度如橡皮樣,一般無出血壞死,但可呈囊性變,一種為囊內含有瘤結節,另一種為腫瘤內含有囊腫。兒童的星形細胞瘤多位於小腦半球。Ⅱ級者屬分化不良的星形細胞瘤,或稱星形分母細胞瘤。這兩型的病程進展較緩。星形細胞瘤Ⅲ~Ⅳ級即多形性膠質母細胞瘤,惡性程度高,常見於中年之後,多位於大腦半球,並侵犯基底節與丘腦,血管豐富,易出血,周圍腦組織水腫明顯,從而致病情突然惡化,病程多較短。
症狀表現
臨床表現在成人常先有癲癇,逐漸出現癱瘓、失語、精神改變,而後出現顱內壓增高。兒童多先表現為顱內壓增高。
診斷依據
顱骨X線平片:主要為顱縫分離及指壓跡增加。腫瘤位於小腦半球表面者可見患側枕骨鱗部變薄及侵蝕等,本組有腫瘤鈣化斑者占4.3%。腦室造影:除側腦室及第三腦室對稱性擴大外,導水管向前屈折及第四腦室向健側移位為小腦半球腫瘤的特徵。CT檢查:可見小腦半球或中線部位低密度影,星形細胞瘤I級多無注藥後強化,而Ⅱ~Ⅲ級可有強化。有些可見高密度中有多發低密度(即囊在瘤內),有的為低密度區邊緣有高密度之瘤結節(即瘤在囊內),這種徵象常有助於術前定性。
治療
較為局限的,如位於額葉前部的星形細胞瘤,可行前額葉包含腫瘤切除。其它部位者,多只能達到腫瘤大部或部分切除,輔以減壓性手術。術後套用放療、免疫化療治療和中醫藥治療。多數病例愈後較差。
腦腫瘤中膠質細胞瘤發病率最高,約占40.49%,綜合發病年齡高峰在30-40歲,或10-20歲。大腦半球發生的膠質瘤約占全部膠質瘤的51.4%,以星形細胞瘤為最多,其次是膠質細胞瘤和少枝膠質細胞瘤,腦室系統也是膠質瘤較多的發生部位,占膠質瘤總數的23 .9%,主要為管膜瘤,髓母細胞瘤,星形細胞瘤,小腦膠質瘤占膠質瘤總數的13%,主要為星形細胞瘤。
幾種常見膠質瘤的臨床表現
1、星形細胞瘤:一般症狀為顱內壓增高表現,頭痛、嘔吐、視神經乳頭水腫、視力視野改變、癲癇、復視、顱擴大(兒童期)和生命體徵改變等。
局部症狀依腫瘤生長位置不同而異
①大腦半球星形細胞瘤:約1/3患者以癲癇為首發症狀約60%患者發生癲癇。
②小腦星形細胞瘤:患側肢體共濟失調,動作笨拙,持物不穩,肌張力和腱反射低下等。
③丘腦星形細胞瘤:病變對側肢體輕癱,感覺障礙及半身自發性疼痛,患側肢體共濟運動失調、舞蹈樣運動,亦可表現為精神障礙,內分泌障礙,健側同向偏盲,上視障礙及聽力障礙等。
④視神經星形細胞瘤:主要表現為視力損害和眼球位置異常。
⑤第三腦室星形細胞瘤:因梗阻性腦積水患者常表現為劇烈的發作性頭痛,並可出現突然的意識喪失,精神障礙,記憶力減退等。
⑥腦幹星形細胞瘤:中樞腫瘤常表現為眼球運動障礙,橋腦腫瘤多表現為眼球外展受限,面神經及三叉神經受累,延髓腫瘤常表現為吞咽障礙及生命體證改變。
2、膠質母細胞瘤:腫瘤高度惡性生長快,病程短,自出現症狀至就診多數在3個月之內,高顱內壓症狀明顯,33%患者有癲癇發作,20%患者表現淡漠、痴呆、智力減退等精神症狀,(患者)可出現不同程度的偏癱,偏身感覺障礙、失語和偏盲等。
3、少枝膠質細胞瘤及間變(惡性)少枝膠質細胞瘤:癲癇常為首發症狀,精神症狀以情感異常和痴呆為主,侵犯運動、感覺區可產生偏癱,偏身感覺障礙及失語等,高顱壓症狀出現較晚。
4、髓母細胞瘤:
①腫瘤生長快,高顱壓症狀明顯
②小腦功能損害表現為步態蹣跚,走路不穩等。
③復視、面癱、頭顱增大(兒童)、嗆咳等。
④腫瘤轉移是髓母細胞瘤的重要特徵。
5、室管膜瘤
①顱內壓增高症狀
②腦幹受壓症狀(嘔吐、嗆咳、各咽困難、聲音嘶啞、呼吸困難) 、小腦症狀(走路不穩 、眼球震顫等)及偏癱、眼球上運動障礙等。
③手術後復發率幾乎為100%易發生椎管內轉移。
6、脈絡叢乳頭狀瘤:
①腦積水及腫瘤占位引起高顱壓症狀,兒童常見頭顱增大;精神淡漠,嗜睡或易激惹。
②腫瘤位於側腦室者有對側錐體束征;後顱凹者內走路不穩,眼球震顫,共濟運動失調,第三腦室者為雙眼上視困難。
7、松果體細胞瘤:顱內壓增高;聽力及眼球運動障礙,影響到視力下部表現為尿崩症、嗜睡和肥胖等,內分泌症狀表現為性徵發育停滯或不發育;部分患者可出現癲癇發作及意識障礙。
膠質瘤的特點及治療現狀
膠質細胞瘤的生長特點為浸潤性生長,與正常腦組織無明顯界限,多數不限於一個腦葉,向腦組織外呈指狀深入破壞腦組織,偏良性者生長緩慢,病程較長,自出現症狀至就診時間平均兩年,惡性者瘤體生長快,病程短,自出現症狀到就診時多數在3個月之內,70-80%多在半年之內。
目前國內外對於膠質瘤的治療普遍為手術、放療、化療、X刀、γ刀等。
手術:手術治療基於膠質瘤的生長特點,理論上手術不可能完全切除,生長在腦幹等重要部位的腫瘤有的則根本不能手術,所以手術的治療目的只能局限於以下5個方面①明確病理診斷,②減少腫瘤體積降低腫瘤細胞數量,③改善症狀緩解高顱壓症狀;④延長生命並為隨後的其他綜合治療創造時機;⑤獲得腫瘤細胞動力學資料,為尋找有效治療提供依據。
放療、化療
放療:放射治療幾乎是各型膠質瘤的常規治療,但療效評價不一,除髓母細胞瘤對放療高度敏感,室管膜瘤中度敏感外,其他類型對放療均不敏感,有觀察認為放療與非放療者預後相同。此外射線引起的放射性壞死對於腦功能的影響亦不可低估。
X-刀、γ-刀—均屬放射治療範疇,因腫瘤的部位、瘤體大小(一般限於3厘米以下)及瘤體對射線的敏感程度,治療範疇局限,目前認為膠質瘤,特別是性質惡性的星形Ⅲ-Ⅳ級或膠質母細胞瘤均不適合採用R-刀治療。
化療:原則上用於惡性腫瘤,但化療藥物限於血腦屏障及藥物的毒副作用,療效尚不肯定,常用BCNU、CCNU、VM-26等有效率均在30%以下。
中醫治療
北京同心醫院專家組(01088680578)採用抗瘤系列組方與國藥中成藥膠囊配伍套用,以稀有的動物和名貴中草藥精選研製而成,專家組根據腦瘤的生理特徵及發展規律異質性,異變性、轉移性。採用現代醫學與傳統中醫學相結合的方法,促使中藥通過血腦屏障歸精入腦,穿破瘤體組織,封閉腫瘤組織的血液循環,使正常的腦細胞有序分列,直接進入瘤體起到吞噬消除作用,改善腦部微循環,使血氧代謝增強、病灶軟化、縮小。根據不同的病情採用不同的治療方法,辨症施治分期治療,適用於未進行手術或手術部分已切除、術後復發、X-刀、γ-刀,放化療後的患者,特別對腦瘤引起的頭痛、噁心嘔吐、耳鳴、肢體麻木、抽搐、精神障礙、視物不清重影等症狀治療效果更為明顯,一般用藥10至20天即可明顯緩解或消除症狀,用藥3-6個月後病情基本穩定,多數患者瘤體鈣化、縮小或消失,能預防術後復發,臨床套用多年來療效確切。
檢查
實驗室檢查
1.血液:患者血液中絨毛膜促性腺激素、甲胎蛋白及癌胚抗原可升高。術後可恢復正常,復發或播散時再度升高。國外報告11 例生殖細胞瘤,所有病人血中絨毛膜促性腺激素或甲胎蛋白升高。故多數學者認為術前有絨毛膜促性腺激素或甲胎蛋白升高者預後不良。
2.腦脊液:多數病人壓力增高,部分病人腦脊液蛋白含量輕中度增高,腦脊液中絨毛膜促性腺激素或甲胎蛋白可明顯增高。腦脊液細胞學檢查有時可發現瘤細胞。70%病例腦脊液中可出現上皮樣細胞,但並不一定意味著發生脊髓轉移。
其他輔助檢查:
1.顱骨平片:均可顯示有顱內壓增高的徵象。40%~60%的病人可有松果體異常鈣化,尤其是當鈣化發生在10~15 歲的小兒時,鈣化斑直徑超過1cm,鈣化向下後方移位者,均是診斷生殖細胞瘤的有力證據。
2.放射性核素掃描: 連續腦閃爍斷層核素掃描,絕大多數可見到核素在腫瘤中蓄積,直徑大於1.5cm。
3.CT 掃描:CT 掃描可精確地確定其大小、部位及其周圍關係。平掃CT 可見與腦灰質等密度或稍高密度,松果體區生殖細胞瘤鈣化的幾率較鞍區生殖細胞瘤高得多。當松果體區生殖細胞瘤生長過程中有時將鈣化的松果體(呈彈丸狀)包繞在其中,故鈣化的“彈丸”可能在瘤內,也可在腫瘤的周邊,常在側方或後方,偶可被推擠至前方。腫瘤外形呈圓形,不規則型或呈蝴蝶形,後者在診斷生殖細胞瘤有著特徵性價值。正常人松果體鈣化率約為40%,而有生殖細胞瘤患者的松果體鈣化率近100%;鞍上生殖細胞瘤可無鈣化或細小的鈣化。
增強CT:當CT 平掃發現病變的情況下應立即注藥做CT 強化掃描,表現為中度到明顯的均勻一致的強化,少數強化不均勻,可顯示較小的囊變。故兒童或青少年,CT 發現有松果體區稍高密度腫物,注藥有均勻強化(少數可不均勻),若有彈丸狀鈣化,則強烈提示為生殖細胞瘤。鞍上生殖細胞瘤位於中線漏斗和(或)垂體進入鞍內,侵犯神經垂體也不少見。鞍上生殖細胞瘤可為圓形或分葉狀,CT 平掃和增強與松果體區相似,但有的學者指出此部位的生殖細胞瘤鮮有鈣化發生。除了上述“單發性”腫瘤之外,關於“多發性”的生殖細胞瘤,最典型的是在做CT 檢查時同時發現2 或3 個生殖細胞瘤。CT 檢查對生殖細胞瘤有很大價值,尤其對腫瘤的鈣化及腦室擴大或移位情況提供重要的資料。不同亞型的生殖細胞瘤有其特有的表現,有時結合臨床,甚至可作出腫瘤定性診斷。
4.MRI 檢查:MRI 對顯示鞍上小的生殖細胞瘤(直徑<1cm)或脊髓轉移灶十分清楚;顯示松果體區生殖細胞瘤常為圓形、橢圓形或不規則形,多數T1為等或稍低信號,T2 為稍高信號,少數亦可為等信號;注藥後均勻一致的強化,邊界清楚,有時少數僅呈中度或不均勻強化。有報告20%~58%的生殖細胞瘤有小的囊變,這些囊變由於蛋白性液體或壞死液化所致,通常極小,有時在瘤內有小出血灶,在T1 像為高信號;松果體區者可侵犯中腦和丘腦,在T2 像上有周邊模糊高信號影。MRI 對腫瘤的種植或播散顯示全面,除了T1及T2像的多發病灶顯示清晰,而注藥後病變明顯強化。底節生殖細胞瘤也是T1等或低信號,而T2稍高信號,注藥後可均勻強化,有的顯示同側皮層有萎縮現象。
治療
1.腫瘤切除術
近年來普遍套用了CT 及顯微外科技術,徹底切除生殖細胞瘤已成為可能。目前常用的手術入路及其選擇原則為:
(1)經頂枕部經胼胝體入路:適用於第叄腦室後部的生殖細胞瘤。一般做右側頂枕較大的骨瓣,內緣達矢狀竇旁。
(2)經幕下小腦上入路:適用於腫瘤位於四迭體池或其下方者。病人可采坐位、側臥或俯臥位。行顱後窩正中切口。
(3)經枕部小腦幕入路:腫瘤位於四迭體上方時可採用此入路。術中骨窗要能暴露矢狀竇及橫竇的邊緣。
(4)經側腦室叄角區入路:主要用於腫瘤向一側大腦半球生長時。術後常有同向偏盲。
(5)經額部側腦室入路:可行冠狀切口,右額骨瓣成型開顱。值得注意的是任何入路均應注意保護好大腦深靜脈,腫瘤應分塊切除,術中應避免損傷瘤周的腦組織。目前生殖細胞瘤的手術原則是儘可能地徹底切除,術後放射治療,或先行分流手術,然後再行腫瘤部分切除(一概要求完全切除,實際上是不可能的)。是否適於全切除,首先取決於腫瘤的組織學結構,其次是腫瘤擴展部位。小的和中等大小的生殖細胞瘤有時可以全切,術後死亡率較高。
2.腦脊液分流術
鑒於腫瘤全切除困難,術後死亡率高,即使腫瘤全切除後,仍難免復發。因此,有人主張採用腦脊液分流術加術後放療。以往多採用側腦室-枕大池分流術或第叄腦室造瘺術。近年來多採用帶活瓣裝置行腦室-心房或腦室-腹腔分流術。分流術的目的是為了解除梗阻性腦積水,術後輔以放療。有人主張所有病人不管是否行全切術,如有顱內壓增高,腫瘤切除前2 周,尤其是腫瘤部分切除者均應行腦脊液分流術。由於生殖細胞瘤極易脫落沿腦脊液播散,故已有分流術後發生腹腔或全身轉移的報導。
3.立體定向活檢術
可在CT 導向下行立體定向活檢術,明確病理診斷,為下一步治療提供資料。
4.術後放療及化療
生殖細胞瘤對放射線極為敏感。術後輔以放療可獲穩定的療效。但體積較大的腫瘤可以復發,對此類病人應加大照射劑量和擴大照射野。由於生殖細胞瘤發生蛛網膜下腔及脊髓種植的轉移率達3%~57%,故多數學者認為不管腦和脊髓有無轉移,均應常規行全腦和脊髓放療。一般一個療程的劑量為40~60Gy,照射野大約為60~100cm2,整個脊髓的放療劑量為20~30Gy。1 歲以內小兒劑量為成人的50%,5 歲兒童為成人劑量的75%,8 歲以上與成人劑量相同。放療可引起放射性腦壞死及腫瘤周圍瘢痕形成的粘連,儘管如此也有人主張術前應照射20~30Gy 的劑量,以減少腫瘤的血液循環和切除腫瘤時的出血。
生殖細胞瘤化學治療已有不少研究。常用的化療藥物有亞硝脲類、長春新鹼、環己米特、放線菌素、甲氨蝶呤、博萊黴素、順鉑等。有不少學者採用不同的化療藥物對生殖細胞瘤進行治療,均獲一定療效,故認為生殖細胞瘤對某些化療藥物是敏感的,可將聯合化療作為術後的一種輔助治療。
營養治療
1、飲食以軟食為主,適當地進食滋養性食物,如蛋類、骨湯、蓮子、核桃等。
2、宜進食壯陽食物,如麻雀、狗肉、雞肉、海蝦、海馬、羊腎、烏龜、泥鰍、河蝦、鵪鶉蛋、麻雀蛋、海參、金櫻子、韭菜、生薑、蛇床子等。
3、宜補充鋅,含鋅較多的食物如牡蠣、牛肉、雞肝、蛋、花生米等。
4、宜多吃動物內臟。
5、宜常吃含精氨酸較多的食物,如山藥、銀杏、鱔魚、海參、墨魚、章魚等。
6、不要酗酒。
7、禁食肥膩、過甜、過鹹的食物。
食療方法
1、麻雀 2 只,小米 60 克,黃酒 300 毫升,蔥白 2 根。將麻雀去毛、去內臟,洗淨炒熟,放入黃酒稍煮,再加水放入小米煮粥,熟後放入蔥白、精鹽等調服,每日 1 次。適用於腎虛陽痿、腰膝酸軟、小便頻數。
2、苦瓜種子適量,焙熟研末,每次 9 克,黃酒送服,每日 2~3 次。
3、海參、狗肉各適量,共切片煮湯,加生薑、精鹽等調服。
4、小公雞 1 只,去毛、去內臟,洗淨切塊,置於食盆中,加入白酒 200 毫升,隔水蒸食。適用於陽痿或舉而不堅、早泄。
5、豬腰 1 對,枸杞菜 250 克。將豬腰洗淨切片,用麻油炒熟,加水適量,放入枸杞菜熬湯,熟後加入精鹽、胡椒粉調服。
健康食物
谷、穀類 ,粳米、小米、蕎麥、刀豆、蠶豆、豇豆、白豆、葫蘆子、黑大豆、馬料豆等 肉 食 牛髓、牛腎、羊骨、火腿、野馬陰莖、雞、雞肝、雞內金、雞腸、雪雞肉、鴨肉、石燕肉、鴿、狼肉、獐骨、鹿胎、鹿肉、鹿髓、鹿血、鹿角、鹿鞭、鹿茸、麋肉、鹿尾、麋角等
水 產,鰻魚、黑魚、塘鯉魚、鰉魚、鱸魚、黑鰱、鯉魚、金錢魚、泥鰍、黃鱔、鯧魚、海鷂魚、黃魚、烏賊、魚鰾、鱉肉、蛤蜊、烏龜肉、魁蛤、淡菜、鮑魚、海燕、海牛、海參、海狗腎、海龍、龍涎香、裙帶菜等 昆 蟲 蝸牛、蟋蟀、九香蟲、螞蟻、龍虱、雄蠶蛾、蠶蛹、蝗蟲、蜻蜓、灰花蛾、桂花蟬、枸杞蟲、青蛙、芝麻蟲等
果 品,復盆子、金櫻子、葡萄、枸杞子、五味子、烏梅、龍眼、荔枝、櫻桃、花紅、石榴、桑椹、沙棗、棗、烏飯果、涼粉果、托盤果、白果、核桃仁、栗子、橡實、蓮子、蓮須、蓮子心等 蔬菜香料 甘藍、油菜籽、韭菜籽、蘿蔔籽、五加皮、香椿頭、胡蘿蔔、芋頭、山藥、馬鈴薯、甘薯、肉蓯蓉、芝麻、肉桂、黃精根、花椒、丁香、茴香、胡椒、蔥、蒜等
菌 類,白木耳、石衣、石花、地耳、冬蟲夏草等
其 他 ,咖啡、人乳、羊乳、酒、茶、胎盤、燕窩、蛤蟆油、花粉、蜂蜜、蜂乳、蜂王漿、酪、奶酥、醍醐等
影響男性生殖健康的17件事
據統計,已婚夫婦中不育者約占15%,其中男方原因的約占49%。近10年來,國內外生殖學家都在致力於尋找男性不育的原因。而近年來的研究資料顯示,某些生活時尚難辭其咎。
燭光晚餐:蠟燭,特別是帶香味的蠟燭,會釋放出鉛、汞等有害微粒,妨礙睪丸合成雄性激素及精子。
快餐食物:快餐食物中含有很多大豆製品,長期大量攝入會顯現出一些雌性激素的效果,從而誘發男性生殖問題。
不愛喝水:雖然科學家還沒有完全弄清缺水究竟是如何具體影響男性生殖健康,但是事實顯示愛喝水的男性生殖能力更強。
暴食:美國亞特蘭大的科學家發現,當男性暴食的時候,其精子的質量便會受到損害。
喜歡喝咖啡:咖啡也會損傷男性精子,令精子不活躍,因此科學家建議男性適量喝咖啡。
喜吃海鮮:海洋受到工業污染,所以海鮮中含有過多的對生殖有害的化學物質汞。
抽菸、飲酒:研究表明,經常抽菸的男性不育的機率是從不吸菸男性的3倍;慢性酒精中毒的患者會出現睪丸萎縮,導致精液質量下降。
食品包裝:德國生殖學家研究發現,全球男性精子數量的減少可能與一種叫做鄰苯二甲酸酯的化學物質有關。它被普遍套用於玩具、食品包裝、乙烯地板、壁紙、清潔劑、潤滑油、指甲油、頭髮噴霧劑、香皂、洗髮液、食品罐頭內塗層、可回收的牛奶和寶特瓶等數百種產品中。
泡氧吧:健康人,特別是育齡男子吸入超過生理需要的氧氣,會累及睪丸以及精細胞的代謝。
洗桑拿:精子必須在34--35℃的恆溫條件下才能正常發育,而桑拿浴房內的溫度大大高出這個標準。
常穿緊身褲:牛仔褲等緊身褲能引起睪丸溫度升高,限制陰囊部位的血液循環,給精子的生成和生存帶來阻力。
化妝品:部分男性護膚時隨意使用女性化妝品。這些專門為女性研製的化妝品中,有些含有一定的雌激素,長期使用會對男性生殖健康產生損害。
頻繁使用手機:雖然這一結論沒有獲得共識,但是一個不可否認的事實是,長期使用手機的男性的生殖能力的確比不使用的低。
筆記本電腦:筆記本工作時散發的熱會抑制精子的產生。
駕車:連續駕車超過2小時就足以損害男性精子質量。
噪音:近年來,一些專家提出環境中存在著能夠像激素一樣影響人體內分泌功能的化學物質,噪音就是其中一種。
交通污染:汽車尾氣中含有大量有害物質,人體長時間接觸,不但影響生殖健康,還可能增加腫瘤等疾病的發生率。
醫療知識
| 學習醫療保健知識,提高對疾病的認識,加強對疾病的預防能力。 |

