概述
病毒性腦炎viralencephalitis病毒引起的腦組織炎症。由於腦膜常同時受罹,有人認為命名為“病毒性腦膜腦炎”更為確切。因為兒童免疫系統和血腦屏障發育尚未成熟,故病毒性腦炎好發於兒童。
病毒性腦炎呈世界性流行,不同國家和地區發生和流行的病毒性腦炎種類不同。中國、日本和東南亞地區以為多。而美國則流行聖路易腦炎、東部馬腦炎、西部馬腦炎和加利福尼亞腦炎。
不同病毒引起的病毒性腦炎,其臨床表現、病情及預後也不同。流行性乙型腦炎、皰疹病毒性腦炎等病情兇險,病死率高,且易致後遺症。而腸道病毒如ECHO病毒、庫克薩基病毒引起的腦炎、腦炎等病情輕,病死率低,一般不遺留後遺症。
病因
病毒性腦炎的病因腮腺炎病毒多發於冬春季節,常為自限性。皰疹性病毒包括單純皰疹病毒、EB病毒、巨細胞病毒及水痘帶狀皰疹病毒。
蟲媒病毒為一類通過在脊椎動物和嗜血節肢動物宿主間傳播而保存在自然界的病毒,分布在多個病毒家族,至少有80種可使人類染病。
臨床表現
前驅期症狀
病毒性腦炎表現為上呼吸道或消化道的症狀,如發熱、頭痛、咽痛、嘔吐、腹瀉、食慾減退等。
神經精神症狀
1、意識障礙,輕者對外界反應淡漠、遲鈍或煩躁、嗜睡;重者出現譫妄、昏迷。
2、顱內壓增高,頭痛、嘔吐、頭暈甚至出現腦疝,嬰兒的前囟飽滿。
3、抽搐,可以為局限性、全身性或為持續狀態。
4、運動功能障礙 根據受損的部位可以表現為中樞性或周圍性的一側或單肢的癱瘓;亦可表現為錐體外系的運動障礙如舞蹈樣動作,肌強直;亦可因腦神經癱瘓而有斜視、面癱或吞咽障礙等。
5、精神障礙,如記憶力減退,定向障礙,幻聽、幻視;情緒改變、易怒,有時出現猜疑,常因此而誤為精神病或額葉腫瘤。
伴隨症狀
病毒感染為全身性疾病,但各種病毒有其獨特的臨床表現。如埃可及柯薩奇病毒感染時常出現細小的麻疹樣皮疹或同時有心肌炎、心包炎。流行性腮腺炎時腮腺腫大(亦可在腮腺腫大之前先有腦炎)。單純皰疹病毒感染時口唇周圍出現皰疹。病程一般2周左右,多數病例可以完全恢復,僅少數留有癲癇、視力、聽力障礙、肢體癱瘓及不同程度的智慧型遲緩後遺症。
併發症
⑴本病夏秋季高發,但熱帶和亞熱帶地區可中年發病。兒童多見,成人也可罹患。多為急性起病,出現病毒感染全身中毒症狀如發熱、畏光、肌痛、食慾減退、腹瀉和全身乏力等;以及腦膜刺激征如頭痛、嘔吐、輕度頸強和Kernig征等。患兒病程常超過1周,成年鋪持續2周或更長。
⑵臨床表現可因患者年齡、免疫狀態和病毒種類及亞型的不同而異,如幼兒可出現發熱、嘔吐、皮疹等,頸強較輕甚至缺如;手-足-口綜合徵常見於腸道疾病71型腦膜炎,非特異性皮疹常見於埃可病毒9型腦膜炎。
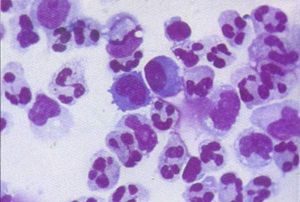
⑶CSF壓力可能增高,細胞數增多達10~1000×106/L,早期以多形核細胞為主,8~48小時候淋巴細胞為主;蛋白可輕度增高,糖水平正常。急性腸道病毒感染可通過咽拭子、糞便等分離病毒,PCR檢查CSF病毒DNA具有高敏感性及特異性。
診斷
輔助檢查
患了病毒性腦炎的檢查病原學診斷
1、腦脊液送病毒分離;
2、腦脊液細胞作免疫螢光抗體檢查;
3、血清學檢查,其抗體滴定度在恢復期較急性期高出4倍以上方可診斷。也可測定腦脊液中的抗體。
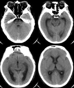
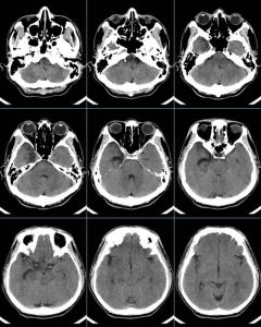
影像學檢查
腦部CT或MRI一般無異常。
腦電圖
在病程早期腦電圖己有明顯的改變,雖然上述改變無特異性,但結合臨床對診斷及預後的估計仍有一定的價值。
鑑別診斷
本病需與化膿性腦膜炎(包括未徹底治療的)、結核性腦膜炎、真菌性腦膜炎及腦膿腫等鑑別。
診斷依據
患了病毒性腦炎的檢查2、出現發熱、頭痛、嗜睡、昏迷、驚厥以及進行性加重的神經精神症狀。
3、腦脊液的變化:外觀清亮,白細胞數輕度升高(可在30-500×10的6次方/L),早期以中性粒細胞為主,後期以淋巴細胞為主,蛋白輕度增高,糖和氯化物正常。
4、腦脊液分離到病毒可確診。
5、血清中和試驗滴定度在急性期及恢復期相差4倍或4倍以上。
6、血清補體結合試驗滴定度在急性期及恢復期相差4倍或4倍以上。
7、血凝抑制試驗,恢復期的滴定度較急性期高出或低於4倍以上。
8、免疫螢光抗體檢查陽性。
9、腦電圖示不同程度瀰漫性或局限性慢波。
治療要點
①對症治療:降溫、止驚、降低顱內壓。
②搶救呼吸衰竭和循環衰竭。
③抗病毒治療。
護理措施
①維持正常體溫。
②保證營養供給。
③促進腦功能恢復。
④保持癱瘓肢體於功能位,促進其功能恢復。
⑤密切觀察病情變化,配合醫師防治併發症。
預後
病程呈良性,多在2周以內,一般不超過3周,有自限性,預後較好,多無併發症。
預防
1.一般措施
平時多鍛鍊,提高抗病能力,預防感冒與腸道感染;
2.疫苗接種
按時接種麻疹、風疹、腮腺炎等疫苗;滅蚊、防蚊、預防接種乙型腦炎疫苗。
醫療知識
| 學習醫療保健知識,提高對疾病的認識,加強對疾病的預防能力。 |

