疾病分類
據英國醫學研究委員會的分類方法,結腦可分為以下3 期:
1期:無特異性症狀和體徵、無意識模糊、無神經系統功能受損;
2期:腦膜刺激征、輕度神經系統功能受損( 如腦神經麻痹) 、運動功能異常;
3期:驚厥或抽搐、昏睡或昏迷、嚴重神經系統功能受損( 如癱瘓或全身麻痹)。
病原學
結核病的病原菌為結核分枝桿菌。結核分枝桿菌在分類上屬於放線菌目、分枝桿菌科、分枝桿菌屬。包括人型、牛型、非洲型和鼠型4類。人感染結核的致病菌90%以上為人型結核分枝桿菌,少數為牛型和非洲型分枝桿菌。結核分枝桿菌具有多形性、抗酸性、生長緩慢、抵抗力強、菌體結構複雜等生物學特性。
發病機制及病理生理
疾病早期由於腦膜、脈絡叢和室管膜炎性反應,腦脊液生成增多,蛛網膜顆粒吸收下降,形成交通性腦積水,顱內壓輕、中度增高。晚期蛛網膜、脈絡叢粘連,呈完全或不完全性梗阻性腦積水,引起顱內壓明顯增高。
腦底處破裂的結核結節周圍結核性滲出物在蛛網膜下腔中擴散,至基底池和外側裂。光鏡下滲出物由纖維蛋白網路中帶有不同數量細菌的多形核白細胞、巨噬細胞、淋巴細胞和紅細胞組成。隨著疾病的進展,淋巴細胞和結締組織占優勢。滲出物經過的小動脈和中動脈,以及其他一些血管(毛細血管和靜脈)可被感染,形成結核性血管炎,導致血管堵塞,引起腦梗死。慢性感染時,結核性滲出物可使基底池,第四腦室流出通路阻塞,引起腦積水。
臨床表現
多起病隱匿,慢性病程,也可急性或亞急性起病,可缺乏結核接觸史,症狀往往輕重不一,其自然病程發展一般表現為:
結核中毒症狀
低熱、盜汗、食慾減退、全身倦怠無力、精神萎靡不振。
腦膜刺激症狀和顱內壓增高
早期表現為發熱、頭痛、嘔吐及腦膜刺激征。顱內壓增高在早期由於腦膜、脈絡叢和室管膜炎性反應,腦脊液生成增多,蛛網膜顆粒吸收下降,形成交通性腦積水所致。顱內壓多為輕、中度增高,通常持續1~2周。晚期蛛網膜、脈絡叢粘連,呈完全或不完全性梗阻性腦積水,顱內壓多明顯增高,表現頭痛、嘔吐和視乳頭水腫。嚴重時出現去腦強直發作或去皮質狀態。
腦實質損害
如早期未能及時治療,發病4~8周時常出現腦實質損害症狀,如精神萎靡、淡漠、譫妄或妄想,部分性、全身性癲癇發作或癲癇持續狀態,昏睡或意識模糊;肢體癱瘓如因結核性動脈炎所致,可呈卒中樣發病,出現偏癱、交叉癱等;如由結核瘤或腦脊髓蛛網膜炎引起,表現為類似腫瘤的慢性癱瘓。
腦神經損害
顱底炎性滲出物的刺激、粘連、壓迫,可致腦神經損害,以動眼、外展、面和視神經最易受累,表現視力減退、復視和面神經麻痹等。
老年人TBM的特點
頭痛、嘔吐較輕,顱內壓增高症狀不明顯,約半數患者腦脊液改變不典型,但在動脈硬化基礎上發生結核性動脈內膜炎而引起腦梗死的較多。
概述
結核性腦膜炎(Tubercolous meningitis)是小兒結核病中最重要的一種類型,一般多在原髮結核感染後3個月一1年內發病,多見於1 ~3歲的小兒。結核性腦膜炎從起病到死亡的病程約3 ~6周,是小兒結核病死亡的最重要原因。在抗結核藥物問世以前,其死亡率幾乎高達100%。
病因介紹
細菌感染(65%):
結核桿菌侵入淋巴系統進入局部淋巴結,因菌血症經血行播散進入腦膜和腦實質,包括室管膜下等部位,並在此複製,當宿主免疫功能降低或因年老,病灶內的結核菌激活而破入蛛網膜下腔,隨腦脊液播散,歷時數天至數周即可引起結核性腦膜炎。
疾病因素(35%):
結核性腦膜炎多為全身性粟粒結核病的一部分,通過血行播散而來,北京兒童醫院1964~1977年所見1180例結腦中,診斷出粟粒型肺結核者占44.2%,在這14年,從152例結腦的病理解剖發現,有全身其他臟器結核病者143例(94%);合併肺結核者142例(93.4%)(其中以粟粒型肺結核占首位);合併肝脾粟粒結核約占62%,腎粟粒結核41%,腸及腸系膜淋巴結核約占24%。
發病機制
結核病變波及腦膜主要通過血行-腦脊液途徑,結腦的發生與機體的高度過敏性有關,此外,結腦亦可因腦實質或腦膜乾酪灶破潰而引起,偶見脊椎,顱骨或中耳與乳突的結核灶直接蔓延侵犯腦膜。
1.發病機制 結核桿菌是一種需氧菌,菌壁富含多種脂質,結核菌多經呼吸道進入肺部,先形成小區域的感染,由於該菌不分泌酶或毒素而不引起免疫或炎性反應,宿主也無任何症狀,數周后桿菌侵入淋巴系統進入局部淋巴結,因菌血症經血行播散進入腦膜和腦實質包括室管膜下等部位,並在此複製。
當引起宿主免疫反應,則使T淋巴細胞致敏,激活巨噬細胞並移至感染灶,巨噬細胞可吞沒桿菌並融合一起形成多核巨細胞(Langer hans巨細胞),此時大多數桿菌經此免疫反應而被殺滅,少量仍可留在巨噬細胞內,這種肉芽腫性病灶被不完全的囊壁樣組織包繞,其體積微小可在腦膜或腦實質內靜止存在多年或終生。
當宿主免疫功能降低或因年老,病灶內的結核菌激活而破入蛛網膜下腔,隨腦脊液播散,歷時數天至數周即可引起結核性腦膜炎,炎性反應可迅速增加,但其程度和菌壁的抗原物質引起的超敏反應有一定的關係,炎性過程產生的大量滲出物多沉積在腦底池,隨時間的進展可引起蛛網膜炎,此時成纖維細胞進入滲出物,腦膜漸漸增殖變厚,當影響腦膜對腦脊液的吸收可引起交通性腦積水,若因粘連而阻塞第四腦室正中孔及側孔可引起梗阻性腦積水。
2.病理改變 腦部腫脹,軟腦膜呈瀰漫性混濁,灰黃色漿液纖維素性滲出物遍布其下,以腦底部橋池,視交叉池及額葉底部最為顯著,炎性滲出物侵入腦神經鞘可包繞並擠壓神經纖維,鏡下可見軟腦膜瀰漫性炎細胞浸潤,以單核,淋巴細胞為主,並有少量巨噬細胞及漿細胞,軟腦膜可查見散在的粟粒狀結核結節,多由數個多核巨細胞,大量單核細胞及成纖維細胞組成,並有少量漿細胞,後者多見於較晚期,此外,結節內常有乾酪樣壞死物質,大腦實質水腫,有時可見結核瘤,但其成因尚未明確,室管膜及脈絡叢均可顯示炎性反應或結核結節,軟腦膜血管及腦實質內的小動脈常有血管炎性改變,炎性過程由外膜開始,破壞彈力纖維並引起血管內膜炎,進一步引起血管閉塞,腦梗死或出血。
國內胡昌恆等1986年報導了結核性腦膜炎伴發腦內大片出血的屍檢病例,在經過不規則治療或慢性過程的病例,腦膜纖維結締組織增生變厚並與腦底粘連可致腦積水,神經細胞多呈急性腫脹,細胞周圍間隙加寬及腦實質內膠質細胞增多,國內馬懷珍,李薇1988年報導了一組65例全身屍檢資料,其中62例有腦外結核,多見於肺,骨骼及淋巴結等處,故認為結核性腦膜炎是全身結核病的一種表現。
臨床症狀
結核性腦膜炎1.主要表現
(1)多呈亞急性,少數呈急性或慢性起病,但在嬰兒可見起病較急及以驚厥為首現症狀,而被誤診為手足搐搦症。
(2)早期低熱,全身無力,頭痛並伴噴射性嘔吐。
(3)進而高熱,頭痛加劇,煩躁,精神混亂。
(4)頸部強硬及克氏征( )較早出現,晚期腦神經障礙,偏側輕癱,抽搐及眼底視盤水腫。
根據臨床症狀可分為:
①腦膜炎型;
②腦膜腦炎型;
③脊髓型;
④混合型。
2.小兒結核性腦膜炎症候
(1)一般症候:主要為結核中毒症狀,包括發熱,食慾減退,消瘦,睡眠不安,性情及精神狀態改變等功能障礙症狀。
(2)神經系統症候包括5方面:
①腦膜症狀,是由於病理改變直接刺激軟腦膜而引起。
②腦神經損害症狀。
③腦實質刺激性或破壞性症狀。
④顱壓增高症狀。
⑤脊髓障礙症狀。
3.病程
病程一般3~4周,無特效治療以前病死率達100%,自出現抗結核藥物後,如能早期診斷,正確治療,可完全治癒。
根據臨床表現,病程可分3期:
(1)前驅期(早期):約1~2周,前驅症狀包括有精神狀態的改變,如煩躁好哭,或精神呆滯,不喜遊戲,此外可有低熱,食慾減退,睡眠不安,見瘦,便秘或無原因的嘔吐,年長兒可自訴頭痛,初期多輕微或非持續性,嬰幼兒可起病急遽,前驅期很短或無,一發病即出現腦膜刺激症狀。
(2)腦膜刺激期(中期):約1~2周,頭痛持續並加重,嘔吐加重並可變為噴射狀,嘔吐是各個年齡組最常見的症狀,逐漸出現嗜睡,或嗜睡與煩躁不安相交替,患兒可有知覺過敏,在觸動他或檢查時因感痛楚而喊叫,便秘加上經常同時出現的舟狀腹,為小兒結腦典型症狀之一,可有驚厥發作,但發作後神志尚清醒。
此時期體徵可有前囟飽滿或膨隆,項強直,屈髖伸膝征(Kernig′s sign,克氏征),屈頸動腿征(Brudzinski′s sign,布氏征)及病理跖反射(Babinski′s sign,巴氏征)陽性,淺層反射一般減弱或消失,腱反射多亢進,此外有肌肉震顫及皮膚紅色劃痕等。
常見腦神經障礙症狀,如動眼神經麻痹可見眼瞼下垂,眼外斜,復視,瞳孔散大,展神經及顏面神經麻痹。
此期不少患兒已有明顯顱壓高及腦積水的症狀及體徵,如高熱,呼吸不正常,顱縫裂開有破壺音,頭皮靜脈怒張,頭皮及眼瞼水腫,瞳孔不等大,眼底視盤水腫等,最後可出現角弓反張,偏癱或肢體強直等。
(3)昏迷期(晚期):約1~3周,以上症狀逐漸加重,神志由意識朦朧,半昏迷而進入完全昏迷,多於驚厥後陷入昏迷,陣攣性或強直性驚厥發作頻繁。
顱壓增高及腦積水現象更為明顯,最後四肢肌肉鬆弛,癱瘓,出現尿瀦留,一切反射消失,或呈去大腦強直;臨危時可體溫驟增,血壓下降,脈搏細速,出現陳-施氏呼吸,終因呼吸及心血管運動中樞麻痹而死亡。
檢查
1.周圍血象白細胞計數正常或輕度升高。
2.腦脊液壓力升高,外觀可呈毛玻璃狀,放置數小時可見白色纖維薄膜形成,該膜抗酸染色直接塗片較易發現結核桿菌,白細胞數十個至數百個,多呈混合型,以單核細胞占優勢者約占85%,蛋白含量輕,中度升高,氯化鈉及葡萄糖多降低。
3.病原學的依據
(1)CSF細菌塗片和細菌培養檢出率較低。
結核性腦膜炎(2)皮膚結核菌素試驗。
(3)早期診斷:多採用聚合酶鏈反應(PCR)檢測CSF中結核菌的DNA。
另可採用酶聯免疫吸附試驗(ELISA)檢測CSF中結核抗體,以上兩項檢測同時套用更可提高確診的可靠性,但應注意假陽性和假陰性的可能。
4.X線攝片檢查 胸片特別重要,可發現肺結核病灶。
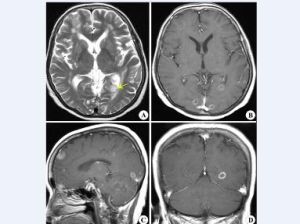
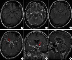
5.CT,MRI檢查,腦CT約半數顯示異常,炎性滲出物充填基底池及腦外側裂,部分患者腦實質內顯示結核瘤,直徑0.5~5cm,單發或多發,多位於額,顳及頂葉,增強掃描顯示環狀強化或密度增高。
腦MR採用Gd-DTPA增強,顯示基底池等部位強化,並較易發現腦實質內的結核瘤和小梗死灶。
診斷
主要診斷依據如下:
1.患者有結核史及結核接觸史 早期診斷依靠詳細詢問病史 包括密切接觸史及BCG接種史,周密的臨床觀察及對本病的高度警惕性;北京兒童醫院1180例結腦中,63%有結核病接觸史,92%未接種過BCG,約1/3發生於春天。
對可疑為本病的小兒應早做結核菌素試驗 陽性反應對診斷有助,但結腦患兒對結核菌素試驗反應有時較弱,因此OT 0.1mg或PPD 5U不引起反應時,應以OT 1~2mg或PPD 250U的劑量複試,北京兒童醫院曾對345例結腦患兒進行分析,約有7%患兒直到OT 1mg才出現陽性反應,而且有4.4%患兒呈假陰性,因此不能因結核菌素試驗陰性而輕易否定結腦的診斷,近來有用特異抗原如PPD在體外作淋巴細胞轉化試驗以協助診斷結腦者,皮試陰性的結腦患兒作此試驗可呈陽性。
2.早期發熱,頭痛,頸項強直以及呈亞急性發展 皮膚粟粒疹的發現對診斷有決定性意義,眼底檢查對診斷亦有幫助,眼脈絡膜上發現結核結節與肺X線片中見到粟粒型肺結核有同等的價值,有報告根據213例結腦患兒的眼底檢查結果有脈絡膜粟粒結節者占14%。
3.腰椎穿刺檢查腦脊液顯示較典型的結核性腦膜炎改變凡臨床上懷疑本病者應及時檢查腦脊液,在診斷未決定時,不可用退熱,鎮靜以及腎上腺皮質激素等藥物,以免掩蓋症狀,耽誤早期診斷和及時治療。
4.對本病的確切診斷 應有病原學的依據,由於CSF細菌塗片和細菌培養檢出率較低,皮膚結核菌素試驗又不十分可靠,故目前早期診斷多採用聚合酶鏈反應(PCR)檢測CSF中結核菌的DNA,病程6~15天者陽性率為88.8%。
採用酶聯免疫吸附試驗(ELISA)檢測CSF中結核抗體,病程超過1個月者陽性率達90%以上,以上兩項檢測同時套用更可提高確診的可靠性。
5.胸部X線攝影對診斷有幫助 根據1180例結腦患兒X線檢查,顯示有活動性肺結核者達86.9%,其中屬於粟粒型肺結核者454例,占活動性肺結核的44.2%,但需注意亦有8.6%患兒肺部正常,這些都是年長兒童。
6.腦CT檢查 北京兒童醫院自1986~1992年對50例結腦患兒做腦CT檢查發現最常見異常為腦積水(66%),其次為腦梗死(34%),腦萎縮(16%),腦水腫(12%),結核瘤(10%),鈣化灶(8%)及硬膜下積液(4%),只10%患兒無異常所見。
7.腦電圖檢查 急性期患兒絕大多數腦電圖異常,表現為瀰漫性δ波(3周/s以下)及θ波(4~7周/s)慢活動,不對稱,可見不對稱偶發尖式棘波;重度異常時可見明顯不對稱,多發尖,棘,尖-慢,棘-慢等病理波,於合併結核瘤或局部腦梗死時可見占位性或局灶性改變:表現為局部δ波,但腦電圖的改變無特異性,僅可作為臨床的輔助診斷,而對病原的鑑別診斷方面意義不大,而對隨訪治療效果,判斷預後及後遺症有幫助。
8.對本病的確切診斷應有病原學的依據,最可靠的診斷根據是從腦脊液查見結核桿菌,應儘量爭取在未進行治療以前認真檢查,將腦脊液靜置後形成的蛋白膜固定於玻璃片上作耐酸染色,可查到結核桿菌,曾統計50例腦脊液留膜檢查結核桿菌陽性率高達54%,除用直接塗片檢查外,還可用腦脊液沉澱作病理切片檢查,進行腦脊液培養或豚鼠接種。
由於CSF細菌塗片和細菌培養檢出率較低,皮膚結核菌素試驗又不十分可靠,故目前早期診斷多採用聚合酶鏈反應(PCR)檢測CSF中結核菌的DNA,病程6~15天者陽性率為88.8%。
採用酶聯免疫吸附試驗(ELISA)檢測CSF中結核抗體,病程超過1個月者陽性率達90%以上,以上兩項檢測同時套用更可提高確診的可靠性。
典型的結腦診斷比較容易,但有些不典型的,則診斷較難,不典型結腦約有以下幾種情況:
①嬰幼兒起病急,進展較快,有時可以驚厥為第1症狀,
②早期出現腦實質損害症狀,表現為舞蹈症或精神障礙,
③早期出現腦血管損害,表現為肢體癱瘓者,
④同時合併腦結核瘤時,可似顱內腫瘤表現,
⑤其他部位的結核病變極端嚴重,可將腦膜炎症狀及體徵掩蓋而不易識別,
⑥在抗結核治療過程中發生腦膜炎時,常表現為頓挫型,對於以上各種不典型的情況,診斷需特別謹慎,防止誤診。
鑑別
一般應和急性化膿性腦膜炎,病毒性腦炎,真菌性腦膜炎及腦膜炎型腦囊蟲病相鑑別,腦脊液的不同改變及病原學檢查,是主要鑑別診斷依據。
結核性腦膜炎有明顯的腦膜刺激征出現以前,應與一般非神經疾患相鑑別,包括上呼吸道感染,肺炎,消化不良,蛔蟲病,傷寒,手足搐搦症等,此時做腰椎穿刺檢查腦脊液即可明確診斷,在出現腦膜刺激症狀及體徵後,甚至在腦脊液檢查後仍需與一系列中樞神經系統疾患相鑑別,根據北京兒童醫院180例曾誤診的結腦分析,最易誤診為病毒性腦炎,化膿性腦膜炎及腦腫瘤。
1.化膿性腦膜炎 嬰幼兒結腦起病急者每易誤診為化膿性腦膜炎;反之,化膿性腦膜炎經過不規則抗生素治療而腦脊液細胞數不甚高時,又易誤診為結腦,2歲以下小兒約有15%在住院前被誤診為化膿性腦膜炎,其中最易混淆者為嗜血流感桿菌腦膜炎,因其多見於2歲以下小兒,腦脊液細胞數有時不甚高;其次為腦膜炎雙球菌腦膜炎及肺炎雙球菌腦膜炎。
鑑別除結核接觸史,結素反應及肺部X線檢查可助診斷外,重要的還是腦脊液檢查,在細胞數高於1000×106/L(1000/mm3),且分類中以中性多形核粒細胞占多數時,自應考慮化膿性腦膜炎;但更重要的是細菌學檢查,第1次腦脊液塗片及培養至關重要。
2.病毒性中樞神經系統感染 主要是病毒性腦炎,病毒性腦膜腦炎及病毒性脊髓炎均可與結腦混淆,其中散發的病毒腦炎比流行性者更需加以鑑別。
(1)流行性乙型腦炎:流行於夏秋季,重症多起病急劇兇險,早期即有腦炎症狀,發熱,頭痛,嗜睡,3~4天后進入極期,出現高熱,抽搐,昏迷及呼吸循環衰竭,此時與結腦鑑別困難不大,而輕型病例易與早期結腦混淆,結腦早期出現腦實質損害症狀者又易誤診為腦炎,但乙腦有流行病史,腦脊液中蛋白只輕度增高,糖及氯化物正常或增高都有助於鑑別。
(2)腮腺炎腦膜腦炎:可在冬春季流行,亦可散發,尤其當腦炎發生在腮腺炎之前或根本不出現腮腺炎時易與結腦混淆,可根據有腮腺炎接觸史,結核菌素試驗陰性,肺部無結核病變及起病較急,腦脊液中糖和氯化物含量不降低及蛋白增高不顯著來鑑別。
(3)脊髓灰質炎:在夏秋季流行,起病較急,有典型的雙峰熱型,多無意識障礙,受累肢體腱反射消失,弛緩性麻痹發生較快,與結腦之肢體癱瘓發生較晚且為強直性麻痹不同。
(4)腸道病毒:如柯薩奇病毒,埃可病毒所致腦炎或腦膜炎多見於夏秋季,起病較急,腦膜刺激征明顯,可有皮疹及肌肉痛,病程較短。
(5)淋巴細胞性脈絡叢腦膜炎:多在冬春季節發生,常見有感冒症狀,在發熱及全身症狀緩解後出現腦膜炎症狀,其特點為起病較急,病程較短,一般在7~10天可恢復,預後良好,腦脊液特點為淋巴細胞占絕大多數,可達95%以上,糖正常,蛋白輕度增高。
各種病毒性腦膜炎之診斷要點為:
①常有特定之流行季節。
②各有其特殊的全身表現,如腸道病毒可伴腹瀉,皮疹或心肌炎。
③腦脊液改變除細胞數及分類與結腦不易鑑別外,生化改變則不相同,病毒性腦膜腦炎腦脊液糖及氯化物正常或稍高,蛋白增高不明顯,多低於1g/L(100mg/dl)。
④各種病毒性腦炎或腦膜炎有其特異的實驗室診斷方法,如血清學檢查及病毒分離等。
3.新型隱球菌腦膜腦炎 其臨床表現,慢性病程及腦脊液改變可酷似結腦,但病程更長,可伴自發緩解,慢性進行性顱壓高症狀比較突出,與腦膜炎其他表現不平行,本病在小兒較少見,故易誤診為結腦,確診靠腦脊液塗片,用墨汁染色黑地映光法可見圓形,具有厚莢膜折光之隱球菌孢子,沙保培養基上可有新型隱球菌生長,此外,用乳膠凝集或補體結合試驗檢測血和腦脊液中隱球菌多糖抗原可輔助診斷。
4.腦膿腫腦膿腫患兒多有中耳炎或頭部外傷史,有時繼發於膿毒敗血症,常伴先天性心臟病,腦膿腫患兒除腦膜炎及顱壓高症狀外,往往有局灶性腦征,腦脊液改變在未繼發化膿性腦膜炎時,細胞數可從正常到數百,多數為淋巴細胞,糖及氯化物多正常,蛋白正常或增高,鑑別診斷困難時可藉助於超音波,腦電圖,腦CT及腦血管造影等檢查。
5.腦腫瘤 腦腫瘤可誤診為結腦。
(1)常見誤診原因:
①小兒腦瘤70%左右位於幕下,尤多位於第4腦室及小腦,由於小腦幕下顱腔較小,易有顱壓高現象,但在小嬰兒由於顱縫易於裂開,使顱壓高症狀表現不明顯,直到晚期顱壓高明顯時才出現症狀,病程看來似甚短暫,與一般較大兒童病史較長不同;
②小兒腦瘤多位於中線上,常缺乏定位症狀;
③小兒常見之腦血管膜瘤多可有腦膜刺激症狀;
④嬰幼兒常見之髓母細胞瘤可經蛛網膜下腔播散轉移,易發生腦征,腦神經障礙及腦脊液改變,甚似結腦。
(2)腦瘤與結腦鑑別要點:
①較少發熱。
②抽搐較少見,即使有抽搐也多是抽後神志清楚,與晚期結腦患兒在抽搐後即陷入昏迷不同。
③昏迷較少見。
④顱壓高症狀與腦征不相平行。
⑤腦脊液改變甚少或輕微。
⑥結核菌素試驗陰性,肺部正常。
⑦為確診腦瘤應及時作腦CT掃描以協助診斷。
(3)結腦尚須與各種傳染病後腦炎,腦囊蟲病及腦血管畸型等相鑑別。
併發症
1.全身結核表現。
2.腦部病變導致的全腦或局灶體徵:肢體運動,感覺障礙;繼發性癲癇;意識障礙;腦幹的各種綜合徵。
疾病治療
(一)治療
1.一般療法
結核性腦膜炎必須嚴格執行下列各項措施:
(1)切斷與開放性結核病人的接觸。
(2)嚴格臥床休息,營養必須豐富。
(3)細心護理:改變患兒體位,細心護理患兒眼睛、黏膜及皮膚,預防皮膚褥瘡;耐心餵養,保證入量;昏迷患兒套用鼻飼法。
(4)最好能住院治療,只在條件不許可時才可考慮門診治療,但應加強隨訪及督促堅持治療。
2.抗結核藥物療法
治療原則為早期和徹底治療(不間斷治療和長期治療)。
目前對結核性腦膜炎的治療多採用鏈黴素(SM)、異煙肼(INH)、利福平(RFP)和吡嗪醯胺(PZA)合併治療。其中異煙肼INH為最主要的藥物,整個療程自始至終套用。療程1~1.5年,或腦脊液正常後不少於半年。
一線抗結核藥物三聯或四聯療法:
(1)異煙肼 利福平 吡嗪醯胺。
(2)異煙肼 利福平 吡嗪醯胺 鏈黴素治療。
SM:20~30mg/(kg·d),每天肌注1次,最大量不超過每天750mg。1~2個月後根據病情改為隔天1次,1~2個月;鏈黴素可導致聽力及前庭功能損害,一般肌內注射不超過2個月。總療程3個月左右。
INH:10~20mg/(kg·d),一次頓服,最大量不超過每天400mg,療程1~1.5年。異煙肼口服或靜脈滴注的同時,為防止出現多發性周圍神經病等毒副作用應給予維生素B6。
利福平:10~15mg/(kg·d),最大量不超過每天450mg,療程6~9個月,必要時1年。
吡嗪醯胺:20~30mg/(kg·d),口服,每天最大量不超過1.5g,療程3~6個月。
乙硫異煙胺:10~15mg(kg·d),每天最大量不超過500mg,療程6個月,一般為代替RFP或PZA用。
二線抗結核藥物如乙胺丁醇成人15~25mg/(kg·d),兒童15mg/(kg·d),可據情更替上述抗結核物。
鞘內注射抗結核藥物問題:自INH廣泛套用後,鞘注療法已較少採用。但對嚴重的晚期患兒有時可考慮使用。劑量:INH 20~50mg/次,可與鞘注激素同時或隔天交替套用。2~4周為1療程。
3.激素療法
治療原則為必須與有效之抗結核藥物同時套用,劑量和療程要適中,在需要套用的病例越早用越好。皮質類固醇激素適用於較嚴重的患者以控制炎性反應和腦膜粘連。由於激素有抗炎症、抗過敏、抗毒和抗纖維性變的作用,可使中毒症狀及腦膜刺激症狀迅速消失,降低顱壓及減輕和防止腦積水的發生,故為配合抗結核藥物的有效輔助療法。激素對腦底腦膜炎型效果最好,如患兒已至腦膜腦炎型、極晚期或已發生蛛網膜下腔梗阻以及合併結核瘤時,激素的效果即不顯著。
激素劑量要適中,強的松(prednisone)或強的松龍(prednisolone)1.5~2mg/(kg·d),最大量不超過45mg/d;地塞米松(dexamethasone)比強的松強5倍,故劑量為其1/5;氫化可的松(hydrocortisone)在急性期可靜滴1療程1~2周,劑量5mg/(kg·d);於激素減量過程中可配合促腎上腺皮質激素(ACTH)為每天12.5~25U肌內注射。激素於用藥4~6周后緩慢減量,根據病情在2~3個月內減完。
在已有腦脊液循環梗阻或有發生梗阻趨勢之患兒,可鞘內注射激素,但對製劑種類、注入劑量及必要的稀釋等問題要特別謹慎。
晚期腦積水考慮腦室-腹腔分流等手術。藥物治療一般需時9~12個月,直至CSF檢查結果完全正常才能認為臨床治癒,此後仍可繼續口服異煙肼數月以防復發。對藥物治療反應良好或屬輕症患者,療程時間可減至6個月,對重症或有抗藥性的患者,療程延長至18~24個月。
4.對顱內壓增高者套用20%甘露醇靜脈快速滴注或速尿靜脈推注。
腦積水的治療在小兒結腦抗菌藥物治療中,腦積水的控制常為治療中首要問題。在病程的1~2周即可從臨床上診斷出腦積水,可經CT檢查、側腦室穿刺及引流證實。北京兒童醫院病理證實的85例結腦合併腦積水中,13%病程短於2周。根據我們400餘例側腦室穿刺及引流的經驗認識到及早控制腦積水非常重要。
對腦積水的治療除常規使用激素外,可採取以下措施:
(1)側腦室引流:適用於急性腦積水用其他降顱壓措施無效,或疑有腦疝形成時。持續引流時間1~3周,一般作1~2次即可控制,引流量每天可達50~200ml。引流時應注意固定好側腦室穿刺針,以免損傷腦組織,並經常觀察腦脊液壓力,防止壓力過低引起腦出血。特別注意防止繼發感染。對慢性進行性腦積水只可起到緩解症狀的作用,而難於根本解決問題。
(2)高滲液的套用:其作用原理為當靜脈快速滴入高滲液後,由於血與腦脊液之間滲透壓之差而產生降顱壓作用。適用於搶救腦疝患兒有嚴重腦水腫者,以及3歲以上患兒使用側腦室引流有一定困難者。常用的高滲液有30%尿素、20%甘露醇、25%山梨醇、50%葡萄糖或尿素和甘露醇混合液。劑量為1~1.5g/(kg·次),於30min內快速靜脈注入,必要時可2~3次/d。此外,亦可套用50%甘油糖漿口服,1~1.5g/(kg·次),1天可服3~4次,但效果較差。
結核性腦膜炎(3)醋氮醯胺:為碳酸酐酶抑制劑,可能由於抑制腦室脈絡叢中碳酸酐酶之作用,從而使腦脊液生成減少,降低顱壓。作用較慢。劑量為20~40mg/(kg·d),分2~3次口服,療程宜長,可數周至半年。配合側腦室引流或高滲液靜點治療之前後套用,以彌補二者不能長期套用之不足。對慢性腦積水其他降壓措施不易堅持時,更為適用。其副作用在較小嬰兒可發生代謝性酸中毒,必要時可同時服用碳酸氫鈉以資預防。少見的副作用有血尿伴腹痛,停藥後很快恢復,最嚴重的副作用是無尿及急性腎功能衰竭,亦屬少見,但要引起注意。
(4)分流手術:如果由於腦底腦膜粘連梗阻致發生梗阻性腦積水時,以上療法均難以奏效,長期套用側腦室引流只起到對症治療的作用,而且難以長期堅持,此時在抗結核藥物治療,炎症基本控制的情況下,可考慮採用腦室腦池分流術。我院有3例梗阻性腦積水患兒在手術後,效果尚稱滿意,其中1例死亡,2例存活,其中1例已存活達10餘年。
5.中醫療法
祖國醫學認為本症久病重病後,熱邪稽留、真陰耗損引起脾胃氣虛,導致肝風內動、驚癇抽搐,治宜培補脾胃,滋陰平肝為主。可用加味四君子湯或六君子湯,有熱加葛根、柴胡、黃芩、黃連等;有抽搐時加用鎮驚藥物如天麻、鉤藤、全蠍、蜈蚣、僵蠶、膽星或蟬蛻等。晚期腦膜炎著重補脾滋陰、扶陽救逆,可用六君子湯加附子、肉桂。有腦積水時可用六味地黃丸加減。後遺症可採用針灸療法。根據癱瘓及不同神經症狀採用不同穴位。
6.對症治療
高熱及驚厥不止時可用冬眠Ⅱ號或其他鎮靜藥。為了改善神經系統代謝過程可用谷氨酸、複合維生素B、維生素B12及大量維生素C等。對營養不良小兒或恢復極慢者可行小量(25~50ml)多次輸血。有多動者可加用安坦2mg,2~3次/d,有肢體障礙,失語時,說明腦實質有病變,其中大部分為腦血管病變,早期套用血管擴張藥物似有一定幫助。
7.隨訪觀察
患兒在抗結核藥物治療結束後,必須密切隨訪觀察。復發病例全部發生在停藥後4年內,絕大多數在2~3年內。因此建議停藥後隨訪觀察至少3年,最好5年。凡臨床症狀消失,腦脊液正常,療程結束後2年無復發者,可認為治癒,但仍應繼續觀察,直到停止治療後5年。
(二)預後
早期得到確診並系統治療者預後良好,延誤治療或治療不系統,常導致嚴重後遺症如肢體癱瘓、抽搐及腦積水等症狀。
北京兒童醫院1964~1972年共出院979例結腦,其中死亡138例,病死率為14.1%,影響預後的因素主要取決於以下情況:
1.原發耐藥菌株感染 小兒結腦的原發耐藥已成為臨床治療上的難題,嚴重影響了結腦的預後,增加了病死率。根據北京兒童醫院觀察1963~1967年階段的結腦病死率原發耐藥菌較敏感菌所致者高14倍左右,1973~1977年由於套用了利福平等於耐藥患兒,病死率有所下降,但原發耐藥菌較敏感菌感染的病死率仍高7倍。
2.治療早晚 治療越晚病死率越高,979例患兒中,早期病例無死亡,中期患兒病死率3.3%,晚期患兒病死率24.9%。
3.年齡 患兒年齡越小,腦膜炎發展越快,越嚴重,因此病死率也越高。同樣嚴重程度,3歲以下嬰幼兒較3歲以上者預後為差。
4.病型 腦實質受損嚴重者預後差,漿液型病死率為零;腦底腦膜炎型為6.4%;腦膜腦炎型為21.5%,占所有死亡病例的78.2%。
5.有無合併腦積水 這也與病期早晚有關,合併腦積水患兒比未合併腦積水者病死率遠遠為高,各占20%和3.9%,有些患兒可在治療過程中抗結核藥物尚未完全發揮作用就死於腦疝。
6.初治或復治 復治病例包括復發或惡化者,預後較差。
7.治療方法 在劑量不足及方法不當時,預後原應較好的早期、中期患兒病程可變為遷延或慢性,發生蛛網膜下腔廣泛粘連以致腦脊液循環梗阻,出現腦積水或脊髓障礙,或病程遷延出現腦血管病變和腦梗死,造成不可逆病變,導致後遺症或終至死亡。
結腦治癒後復發率一般為5%~10%。根據244例隨訪觀察結果,復發率為5.3%。復發多發生在療程結束後2年內,也偶可在3~5年內發生。復發大多數為1次,偶可多次。復發病例如能及早發現,立即治療,仍可完全治癒。但有些復發病例療效不如初治病例,效果較差。隨訪時可利用腦電圖作為觀察工具,腦電圖好轉者智慧型較正常。
疾病預後
預後與患者的年齡、病情、治療是否及時有關,發病時昏迷是預後不良的重要指征;臨床症狀體徵完全消失,腦脊液的細胞數、蛋白、糖和氯化物恢復正常提示預後良好。病死率與高齡、延遲診斷和治療、用藥不合理有關,與病人意識障礙、神經系統體徵和腦脊液蛋白增高(>3g/L)呈正相關。老年TBM患者臨床表現不典型,全身情況差,合併症較多,病死率較高;HIV感染並發TBM的病死率更高。TBM死因常規多器官功能衰竭、腦疝等,倖存者可能遺留後遺症,如兒童精神發育遲滯、癲癇發作、視覺障礙和眼外肌麻痹等。
疾病預防
主要原則是增強體質注意預防呼吸道傳染;加強對結核病患者的管理與治療;新生兒及兒童按要求積極實施計畫免疫接種;早期綜合治療減輕併發症和後遺症。
疾病護理
一般護理
結腦患者應絕對臥床休息,保持病室清潔、整齊、安靜、光線暗淡,注意通風,護理操作儘量集中進行,避免多次搬動患者頸部或突然變換體位。 保持大便通暢,便秘者給予緩瀉劑以防腹壓增高造成顱內壓的波動出現腦疝。
心理護理
結腦患者病情長、精神壓力大,常有恐懼心理,甚至悲觀失望,有瀕死感,精神緊張對治療失去信心。因此,護士應向患者詳細介紹該病的病因、發病機制、診療過程及預後,在使用藥物前向其介紹藥物的作用、不良反應及預防措施,使其對該病有充分的認識和準備,解除思想顧慮,樹立戰勝疾病的信心,以最佳的心理狀態積極配合治療。
病情觀察
密切觀察患者生命體徵的變化,如體溫、呼吸、脈搏、血壓,密切觀察瞳孔大小、對光反射,發現頭痛嘔吐加劇、意識障礙進行性加重、雙側瞳孔大小不等、呼吸不規則、脈搏變慢及血壓升高等,提示顱內壓增高和腦疝形成,應及時報告醫生進行處理,做好搶救工作。
用藥護理
a)脫水劑的套用與護理:結腦常用的脫水劑為高滲脫水劑和利尿藥,故首先要保持靜脈通道的通暢,準確記錄24h 出入量。目前,常用的脫水劑為20%甘露醇對血管刺激性很大,護士應保護好患者血管,如發生滲液、漏液,可立即用50%硫酸鎂溶液濕敷以減少對皮膚黏膜的刺激。
b)激素的套用與護理:激素計量不準確、用量過大或減量不合適易造成反跳現象,因此要嚴格遵照醫囑給藥,並囑患者不要隨意增藥、減藥。
c)抗結核藥的套用與護理:套用結核藥的同時應密切觀察藥物的不良反應,如胃腸道反應、肝功能損害、腎功能損害、聽力障礙、過敏反應等,如出現不適及時報告醫師。
d)飲食護理:結腦患者由於顱壓高導致頻繁嘔吐,食慾因抗結核藥物對胃腸道刺激而降低,持續發熱及大量脫水劑套用導致水、電解質及酸鹼平衡紊亂。因此,患者清醒後應鼓勵其多飲水,少量多餐,給予高熱量、高蛋白、高維生素及高鈣飲食,昏迷患者採用鼻飼流質飲食,合併胃出血及病情危重者增加胃腸外營養。

