概述
細菌性腦膜炎流行疾病
細菌性腦膜炎--病菌症狀
嬰兒早期階段的症狀包括:嗜睡、發燒、嘔吐、拒絕飲食、啼哭增加,睡不安穩。較大的患兒還可能出現:嚴重頭痛、討厭強光和巨大聲音、肌肉僵硬,特別是頸部。
各年齡層的病例中,一般是出現初始症狀後就會發生進行性嗜睡,偶爾也可能會出現昏迷或驚厥等症狀。有些患有腦膜炎患兒也可能會出現特殊的皮疹(呈粉紅或紫紅色、扁平、指壓不褪色)。
注意事項
1.新生兒應注意常有敗血症或神經系統先天性缺陷。詢問兒母有無重症感染、絨毛膜炎、早期破水、產程過長或產道感染史。注意患兒體溫高低,有無吸吮困難、嘔吐、腹瀉、活動減少、哭聲尖或不哭、煩躁不安、呼吸不規則或呼吸困難、陣發性窒息、驚厥、黃疸、發紺等情況。2.嬰兒和兒童應注意病前數日有無呼吸道或消化道感染史,常為急性起病,易激動,突然尖叫,呆視,發熱,頭痛,嘔吐,食欲不振,精神萎靡,驚厥,嗜睡,譫妄,昏迷。仔細檢查有無外耳道溢膿和乳突炎,皮膚淤點,膿皰疹,心跳快,脈細弱,血壓低,呼吸節律不齊,瞳孔大小不等,肝脾腫大,皮膚劃痕試驗陽性,膝反射亢進,前囟飽滿,角弓反張,腦膜刺激征,顱內壓增高征;眼底檢查有無視乳頭水腫、動脈痙攣、出血點等。
3.有以下情況者應考慮有硬腦膜下積液存在腦膜炎呈慢性過程;急性化膿性腦膜炎,經積極合理治療而體溫不降;病情好轉後又出現高熱、嘔吐、嗜睡、昏迷、驚厥等症狀;頭圍增大,前囟持續或反覆隆起;有局灶性神經體徵。宜作顱骨透照或硬膜下穿刺(如一側液體>2ml,蛋白>40mg,紅細胞2ml,蛋白>40mg,紅細胞<1.0×1012/L,即可確診)。或行CT、磁共振檢查。
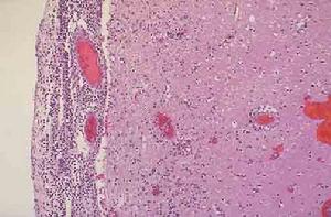
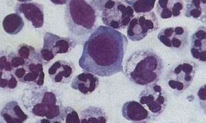
4.檢驗白細胞計數及鹼性磷酸酶染色積分、皮膚淤點塗片找細菌。腦脊液檢查,包括壓力、常規、生化、細菌培養和塗片染色查病菌,有條件時行常見菌的對流免疫電泳及免疫螢光檢查。乳酸鹽、LDH及免疫球蛋白測定。血清鈉、氯,尿鈉及滲透壓測定等,並酌情複查。
5.鑑別診斷本病應與結核性腦膜炎、乙腦、流腦及中毒性腦病等鑑別。
早期症狀
有發熱、頭痛、頸項強直、咽喉痛、嘔吐,常伴發呼吸道疾患,頸項強直不一定有疼痛,但將頦部向下靠近胸部時,可引起疼痛或不能靠近。成人在24小時內上述症狀可發展到高峰,兒童可能需要更長時間。
青少年和成人可表現為煩躁、意識模糊、嗜睡,發展到木僵、昏迷、甚至死亡。感染可引起腦組織水腫,阻礙血流,引起中風樣症狀。有些人有癇性發作。沃-弗氏綜合徵(由奈瑟菌引起的進行性加重感染),表現為嚴重的噁心、嘔吐、內出血、低血壓、休克甚至死亡。
兩歲以下的兒童患腦膜炎可表現為發熱、拒食、嘔吐、煩躁、抽搐、高聲哭叫,囟門緊張甚至凸出。腦脊液循環受阻可致顱腔擴大(腦積水)。1歲以下的嬰兒腦膜炎不像青少年和成人,可以不出現頸項強直。
嬰兒早期階段的症狀包括:嗜睡、發燒、嘔吐、拒絕飲食、啼哭增加,睡不安穩。較大的患兒還可能出現:嚴重頭痛、討厭強光和巨大聲音、肌肉僵硬,特別是頸部。各年齡層的病例中,一般是出現初始症狀後就會發生進行性嗜睡,偶爾也可能會出現昏迷或驚厥等症狀。有些患有腦膜炎患兒也可能會出現特殊的皮疹(呈粉紅或紫紅色、扁平、指壓不褪色)。
疾病診斷
1、新生兒應注意常有敗血症或神經系統先天性缺陷。詢問兒母有無重症感染、絨毛膜炎、早期破水、產程過長或產道感染史。注意患兒體溫高低,有無吸吮困難、嘔吐、腹瀉、活動減少、哭聲尖或不哭、煩躁不安、呼吸不規則或呼吸困難、陣發性窒息、驚厥、黃疸、發紺等情況。
2、嬰兒和兒童應注意病前數日有無呼吸道或消化道感染史,常為急性起病,易激動,突然尖叫,呆視,發熱,頭痛,嘔吐,食欲不振,精神萎靡,驚厥,嗜睡,譫妄,昏迷。仔細檢查有無外耳道溢膿和乳突炎,皮膚淤點,膿皰疹,心跳快,脈細弱,血壓低,呼吸節律不齊,瞳孔大小不等,肝脾腫大,皮膚劃痕試驗陽性,膝反射亢進,前囟飽滿,角弓反張,腦膜刺激征,顱內壓增高征;眼底檢查有無視乳頭水腫、動脈痙攣、出血點等。
3、有以下情況者應考慮有硬腦膜下積液存在腦膜炎呈慢性過程;急性化膿性腦膜炎,經積極合理治療而體溫不降;病情好轉後又出現高熱、嘔吐、嗜睡、昏迷、驚厥等症狀;頭圍增大,前囟持續或反覆隆起;有局灶性神經體徵。宜作顱骨透照或硬膜下穿刺(如一側液體>2ml,蛋白>40mg,紅細胞2ml,蛋白>40mg,紅細胞<1.0×1012/L,即可確診)。或行CT、磁共振檢查。
4、檢驗白細胞計數及鹼性磷酸酶染色積分、皮膚淤點塗片找細菌。腦脊液檢查,包括壓力、常規、生化、細菌培養和塗片染色查病菌,有條件時行常見菌的對流免疫電泳及免疫螢光檢查。乳酸鹽、LDH及免疫球蛋白測定。血清鈉、氯,尿鈉及滲透壓測定等,並酌情複查。
5、鑑別診斷本病應與結核性腦膜炎、乙腦、流腦及中毒性腦病等鑑別。
6、確診腦膜炎應做腰穿術,或脊柱穿刺。為使這種操作引起的疼痛緩和些,應在醫院內麻醉後進行。用一根針沿脊柱上的兩塊骨頭之間刺人取一點骨髓樣品。本來清的腦脊液液體變混濁或出現化膿的細胞,就應懷疑患腦膜炎,此時將需做特別的肌體檢查。血樣、尿樣和眼、鼻分泌物體將被採集。因為此病發展迅速,治療應立即進行,甚至應在檢查結果出來之前進行。
治療方案
一般處理
細菌性腦膜炎--影像抗菌藥物
1、B型流感桿菌:選用氨苄青黴素400mg/(kg.d),分6次靜注,熱退5d後停藥,療程10~14d;或用足療程後腦脊液中淋巴細胞<50×106/L,蛋白<500mg/L,即可停藥。氯黴素50-100mg/(kg.d),分2次靜注,療程7d。
甘露醇2、肺炎雙球菌:青黴素80萬-100萬U/(kg.d),靜滴,氨苄青黴素150-400mg/(kg.d),或紅黴素50-60mg/(kg?d),分次靜滴,若青黴素過敏,可換頭孢匹林80mg/kg,分4次靜注,另加椎管內注射5-25mg/d。
3、葡萄球菌:頭孢匹林。青黴素用於敏感菌株,同時椎管內注射頭孢匹林。
4、病原菌不明:氨苄青黴素,若對青黴素過敏可換氯黴素。
5、腦性低鈉血症:治療如血清鈉<120mmol/L,有低血鈉症狀,可在2-3h內靜滴3%氯化鈉12ml/kg,此量約可提高血鈉10mmol/L,必要時可於數小時後重複一次。
6、硬膜下積液的處理早期經顱骨透照或CT檢查發現有積液,但無顱內壓增高症狀者,不必穿刺治療。積液多且有顱壓增高症狀可予穿刺,先每日穿刺,每次抽液不超過30mi,以後隔日穿刺直至積液放淨為止,多於2周內痊癒,如3-4周仍不減輕,或液量過多,穿刺抽液不能減輕顱內高壓症狀者,可持續引流,如仍不見效,可考慮手術摘除囊膜。7、顱內壓增高的處理20%甘露醇或25%山梨醇1-2g/kg,於20-30min內快速靜液,輔以50%葡萄糖液1/8-12h,可用2-3次,療程一般2d。或用30%尿素溶液(用10%山梨醇稀釋)。維持治療可用甘油1-2g/kg1/4-6h,口服或鼻飼。
8、防止椎管阻塞對腦脊液濃稠或治療較晚者,可靜滴氫化可的松或地塞米松;或鞘內注射地塞米松1-2mg,可提高療效。
9、抗休克有感染性休克者,按感染性休克處理。有DIC時,按DIC處理。
護理
(1).按兒科一般護理常規,昏迷者按昏迷護理常規。(2).昏迷、持續驚厥或休克患兒,應專人守護。監護呼吸、脈搏、體溫、血壓及病情變化,大小便次數及出入量。
(3).做好急救準備,發現驚厥、昏迷或病情驟變等,及時報告醫師處理。
(4).飲食應少量多餐,食後少動,避免嘔吐,若病情許可,可豎直抱起或抬高床頭約20min。吞咽困難可用鼻飼。使用磺胺或腎毒性抗生素者,應給予充足的液體。
(5).保持呼吸道通暢,嘔吐時頭側向一方,及時清除鼻咽部分泌物及嘔吐物,以防吸入性窒息。注意口腔護理。
護理措施
細菌性腦膜炎1、按兒科一般護理常規,昏迷者按昏迷護理常規。
2、昏迷、持續驚厥或休克患兒,應專人守護。監護呼吸、脈搏、體溫、血壓及病情變化,大小便次數及出入量。
3、做好急救準備,發現驚厥、昏迷或病情驟變等,及時報告醫師處理。
4、飲食應少量多餐,食後少動,避免嘔吐,若病情許可,可豎直抱起或抬高床頭約20min。吞咽困難可用鼻飼。使用磺胺或腎毒性抗生素者,應給予充足的液體。
5、保持呼吸道通暢,嘔吐時頭側向一方,及時清除鼻咽部分泌物及嘔吐物,以防吸入性窒息。注意口腔護理。
疾病回顧
發生改變
細菌性腦膜炎--病菌社區獲得性細菌性腦膜炎的歷史無疑是反映抗生素出色效果的一個最好例子。在臨床使用特效抗血清以前,各種細菌性腦膜炎患者的預後極差。美國波士頓兒童醫院報告,20世紀20年代,該院78例流感嗜血桿菌性腦膜炎患兒死亡了77例;同樣,未得到治療的肺炎球菌性腦膜炎患者的預後也極差,300例病人全部死亡;20世紀第一個10年內,那些未進行治療的腦膜炎球菌性腦膜炎患者的病死率為75%-80%。套用抗血清治療細菌性腦膜炎
1913年Flexner首次採用鞘內注射抗腦膜炎球菌馬血清治療細菌性腦膜炎,取得了一定的療效:他們將1300例腦膜炎球菌性腦膜炎病人的病死率降至31%。在1928-1936年期間,紐約Bellevuee醫院採用鞘內注射抗血清治療了169例腦膜炎球菌性腦膜炎患兒,療效更好:病死率約為20%。
治療進入抗生素時代
磺胺藥青黴素治療肺炎球菌性腦膜炎始於20世紀40年代中期?全身和鞘內套用青黴素的病死率為49%。1949年Dowling採用大劑量青黴素(每2小時肌肉注射100萬單位)治療了21例肺炎球菌性腦膜炎病人,將病死率降至38%,開創了青黴素未經鞘內給藥而達到“腦脊膜劑量”的現代療法新時代。
在過去15年內,社區獲得性細菌性腦膜炎的治療方法為靜脈注射青黴素(或氨苄青黴素)和(或)1個第3代頭孢菌素。此時,腦膜炎球菌性腦膜炎的病死率徘徊於10%左右,流感嗜血桿菌性腦膜炎的病死率已降至5%以下,肺炎球菌性腦膜炎的病死率仍保持在20%左右。荷蘭Beek等(見相關連結)通過大量荷蘭病例證實了這一結果:腦膜炎球菌性腦膜炎的病死率為7%,肺炎球菌性腦膜炎的病死率為30%。
腦脊液(CSF)內的細菌成分可引起炎性細胞因子釋放的現象被揭示後,人們開始開展地塞米松輔助治療的研究。在20世紀90年代初期進行的4項研究證明,地塞米松並不能改變流感嗜血桿菌性腦膜炎患兒的病死率,但可降低神經系統後遺症的發生率,主要是感覺神經性耳聾。2002年荷蘭科學家證明,地塞米松輔助治療可使成年病人
磺胺藥過去20年的另一項重大進展是頭顱CT檢查。它可鑑別其他顱內化膿性感染,發現腦水腫和占位性病變。但臨床醫師常常因等待CT和腰穿檢查的結果延誤了抗菌治療,而降低了CT檢查的套用。Beek等對696例病人進行了研究,結果發現在腰椎穿刺前做了CT檢查的337例病人中,有2/3的病人在CT檢查結果出來前沒有進行抗菌治療。美國耶魯大學對一家城市醫院急診室301例懷疑腦膜炎的成年病人進行了研究。結果發現,某些臨床特點(例如以前患的中樞神經系統疾病、感覺中樞異常、肢體輕癱、失語和視野異常)可導致CT檢查結果不正常,而無上述問題的96例病人,至少有97%的CT檢查結果正常(僅1例病人有輕度占位表現)。因此,研究者認為,可以根據臨床特點確定哪些病人在腰穿前不需做CT檢查。
病原菌發生變化
在過去數十年內,導致社區獲得性細菌性腦膜炎的病原菌種群經常在發生改變。如將新生兒期以後的所有細菌性腦膜炎病例考慮在內,20-30年以前的主要病原菌是流感嗜血桿菌(45%),以後相繼為肺炎鏈球菌(18%)和腦膜炎奈瑟菌(14%)。由於嬰兒接種了B型流感嗜血桿菌蛋白-多糖結合疫苗,細菌性腦膜炎發病率在10年前發生了顯著改變。美國B型流感嗜血桿菌疾病的年發病人數減少了55%,流感嗜血桿菌性腦膜炎的年發病人數減少了94%。結果肺炎鏈球菌成為細菌性腦膜炎的主要病原菌(47%),以後相繼為腦膜炎奈瑟菌(25%)和單核細胞增生李斯特菌(8%),這與目前荷蘭報告的結果非常相似。另一改變是,由院內感染造成的城市大醫院細菌性腦膜炎成年病人的比例有所增加,例如美國波士頓麻薩諸塞州總醫院的數值約為40%。最後,由於進入了抗生素時代,引起社區獲得性細菌性腦膜炎的病原菌對抗生素耐藥的問題將長期存在。例如,20世紀60年代出現了腦膜炎奈瑟菌對磺胺的耐藥,20世紀70年代出現了流感嗜血桿菌對氨苄青黴素的耐藥;20世紀90年代從美國腦膜炎病人分離出的肺炎鏈球菌菌株對青黴素耐藥(中度耐藥占21%,高度耐藥占14%),因此不得不聯合套用第3代頭孢菌素和萬古黴素進行治療。荷蘭Beek等報告的大多數病人開始用了阿莫西林(或青黴素)和(或)第3代頭孢菌素;在351例肺炎鏈球菌分離株中,僅2例對青黴素耐藥(中度),所以不必像美國那樣治療一開始就使用萬古黴素。
21世紀展望
Swarte認為,今後預防方面的進展要比治療方面的進展大。例如,2000年初開始套用的7價肺炎鏈球菌蛋白-多糖結合疫苗似乎可預防兒童的侵襲性感染,並有可能出乎意外地減少老年人的侵襲性感染。開發4價性腦膜炎球菌結合疫苗(A/C/Y/W-135),其免疫力可能要比現在套用的多糖疫苗更大,提供的保護時間更長。此外,單核細胞增生李斯特菌性腦膜炎的發病率正在不斷增加,常見於(但不限於)免疫力下降者,提高食品加工的安全措施可降低其發病率。疾病預防
常規免疫接種可以防止感染流感嗜血桿菌。免疫接種也可以短期預防某類球菌型的腦膜炎,並可以在流行腦炎時使用這種免疫針劑。讓與患兒親密接觸的兒童服用抗生素,是另一種可以預防細菌性腦膜炎擴散的方法。

