簡介
小兒結核性腦膜炎是由於結核菌侵入中樞神經系統而引起的軟腦膜、蛛網膜及腦實質、腦血管的病變。多見於5歲以下小兒,感染源主要是來自患有開放性肺結核的成人,傳播途徑以呼吸道為主,往往在初染結核後6個月到1年內發病,是小兒結核病中最嚴重的類型。早期症狀不典型,可表現為食慾差、逐漸消瘦、睡熟後出汗多,長期不規則的低熱,診斷治療不及時,病情逐漸加重至出現高熱抽搐、昏迷、甚至死亡。本病如未經抗結核藥物治療,病死率達100%。自卡介苗普遍接種和抗結核藥物的套用以來,結核性腦膜炎的發病率和病死率已明顯下降。但診斷不及時和治療不當,病死率和後遺症的發生仍然較高。病因
多為全身性粟粒結核病的一部分,通過血行播散而來。北京兒童醫院1964~1977年所見1180例結腦中,診斷出粟粒型肺結核者占44.2%。在這14年從152例結腦的病理解剖,發現有全身其他臟器結核病者143例(94%);合併肺結核者142例(93.4%)(其中以粟粒型肺結核占首位);合併肝脾粟粒結核約占62%,腎粟粒結核41%,腸及腸系膜淋巴結核約占24%。結核病變波及腦膜主要通過血行-腦脊液途徑。結腦的發生與機體的高度過敏性有關。此外,結腦變可因腦實質或腦膜乾酪灶破潰而引起。偶見脊椎、顱骨或中耳與乳突的結核灶直接蔓延侵犯腦膜。
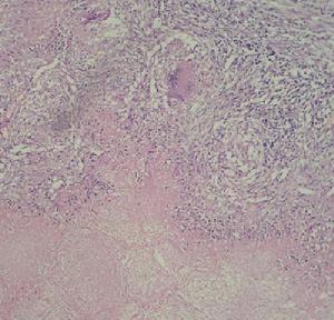
腦膜瀰漫充血,腦回普遍變平,尤以腦底部病變為最明顯,故雙有腦底腦膜炎之稱。延髓、橋腦、腳間池、視神經交叉及大腦外側裂等處的蛛網膜下腔內積存較多垢濃稠膠樣滲出物,呈灰白色乃至灰綠色混濁狀態。濃稠滲出物及水腫包圍擠壓顱神經可引起顱神經損害。炎症可波及腦幹脊髓及神經根。腦部血管周圍有漿細胞及淋巴細胞浸潤,早期主要表現為急性動脈炎。病程越長則腦血管增殖性病變越明顯,可見閉塞性動脈內膜炎。以致腦梗塞軟化或出血。
(1)結核桿菌是一種需氧菌,菌壁富含多種脂質。結核菌多經呼吸道進入肺部,先形成小區域的感染,由於該菌不分泌酶或毒素而不引起免疫或炎性反應,宿主也無任何症狀。數周后桿菌侵入淋巴系統進入局部淋巴結,因菌血症經血行播散進入腦膜和腦實質包括室管膜下等部位,並在此複製。
(2)該病常為全身性血行播散性結核的一部分,發病原因主要是因為患兒免疫力低下。原髮結核病病時,病灶內的結核桿菌可經血行而停留在腦膜、腦實質、脊髓內,形成隱匿的結核病灶,包括結核節結、結核瘤。當上述病灶一旦破潰,就會經血行播散至腦脊髓內形成結核結節,這些結節破潰後有大量結核菌進入蛛網膜下腔,引起腦膜、腦實質、脊髓的充血、水腫,腦血管炎等病理改變。半數以上患兒伴有粟粒性肺結核。當患者的免疫功能降低或因年老,病灶內的結核菌激活而破入蛛網膜下腔,隨腦脊液播散,歷時數天至數周即可引起結核性腦膜炎。炎性反應可迅速增加,但其程度和菌壁的抗原物質引起的超敏反應有一定的關係。炎性過程產生的大量滲出物多沉積在腦底池,隨時間的進展可引起蛛網膜炎,此時成纖維細胞進入滲出物,腦膜漸漸增殖變厚,當影響腦膜對腦脊液的吸收可引起交通性腦積水,若因粘連而阻塞第四腦室正中孔及側孔可引起梗阻性腦積水。
(3)結核性腦膜炎的發生,與患原髮結核時機體貼的高度過敏性有關。從發病原理來看,結核性腦膜炎系繼發性結核病,因此,應重視查找原發病灶。但也有少數病例,原發病灶已愈或找不到,對這類病例,更應提高警惕,以免誤診。
發病機理
兒童結核性腦膜炎常為全身性血行播散性結核的一部分,根據國內資料1180例結核性腦膜炎中,診斷出粟粒型結核者占44.2%。152例結核性腦膜炎的病理解剖中發現有全身其它臟器結核病者143例(占94%),合併肺結核者142例(93.4%),其中以粟粒型肺結核占首位。
原髮結核病病變行成時,病灶內的結核桿菌可經血行而停留在腦膜、腦實質、脊髓內,形成隱匿的結核病灶,包括結核節結、結核瘤。當上述病灶一旦破潰。結核菌直接進入蛛網膜下腔,造成結核性炎症。此外,腦附近組織如中耳、乳突、頸椎、顱骨等結核病灶,亦可直接蔓延,侵犯腦膜,但較為少見。
兒童結核性腦膜炎的發生,與患原髮結核時機體貼的高度過敏性有關。從發病原理來看,結核性腦膜炎系繼發性結核病,因此,應重視查找原發病灶。但也有少數病例,原發病灶已愈或找不到,對這類病例,更應提高警惕,以免誤診。
症狀
結核結節2、臨床表現皮膚粟粒疹的發現對診斷有決定性意義。眼底檢查對診斷亦有幫助。眼脈絡膜上發現結核結節與肺X線片中見到粟粒型肺結核有同等的價值。
3、胸部X線攝影對診斷有幫助根據1180例結腦患兒X線檢查,顯示有活動性肺結核者達86.9%,其中屬於粟粒型肺結核者454例,占活動性肺結核的44.2%。但需注意亦有8.6%患兒肺部正常,這些都年長兒童。
4、對可疑為本病的小兒應早做結素試驗陽性反應對診斷有助,但結腦患兒對結素反應有時較弱,因此OT0.1mg或PPD5IU不引起反應時,應以OT1~2mg或PPD250IU的劑量複試。
5、腦CT檢查北京兒童醫院自1986~1992年對50例結腦患兒做腦CT檢查發現。結腦CT所見異常與我院過去152例病理檢查結果極為相似,說明腦CT檢查對結腦診斷有意義。
6、腦電圖檢查急性期患兒絕大多數腦電圖異常,表現為瀰漫性δ(3周/秒以下)及θ(4~7周/秒)慢活動,不對稱。可見不對稱偶發尖式棘、尖-慢、棘-慢等現理波。於合併結核瘤或局部腦梗塞時可見占位性或局灶性改變;表現為局部δ波。但腦電圖的改變無特異性,僅可作為臨床的輔助診斷,而對病原的鑑別診斷方面意義不大。而對隨訪治療效果、判斷預後及後遺症有幫助。
7、最可靠的診斷根據是從腦脊液查見結核桿菌應儘量爭取在未進行治療以前認真檢查。將腦脊液靜置後形成的蛋白膜固定於玻璃上作耐酸染色,可查到結核桿菌。曾統計50例腦脊液留膜檢查結核桿菌陽性率高達54%。除用直接塗片檢查外,還可用腦脊液沉澱作病理切片檢查、進行腦脊液培養或豚鼠接種。
淋巴細胞(1)腦脊液的淋巴細胞轉化試驗:有人用3H胸腺嘧啶摻入法測定腦脊淮淋巴細胞轉化,見到在結腦時在PPD刺激下腦脊液淋巴細胞轉化率明顯升高,具有早期診斷意義。
(2)腦脊液乳酸鹽測定:對鑑別結腦及病毒性腦炎有意義。因此腦脊液乳酸鹽測定對鑑別腦與病毒腦炎很有意義,對鑑別結腦與化腦也有一定價值。
(3)腦脊液腺苷脫氨酸的活性測定:結腦病人的腦脊液大多數腺苷脫氨酶活性高於正常(正常人<9U/L),試驗的敏感性甚高,簡單易行,可做為早期診斷的協助。
(4)腦脊液免疫球蛋白的測定:結腦時腦脊液IgG明顯升高,高於病毒性腦炎和化膿性腦膜炎;IgA及IgM稍高,較病毒腦炎高但較化膿性腦膜炎低。
有明顯的腦膜刺激征出現以前應與一般非神經疾患相鑑別,包括上呼吸道感染、肺炎、消化不良、蛔蟲病、傷寒、手足搐搦症等,此時做腰椎穿刺激症狀及體徵後,甚至在腦脊液檢查後仍需與一系列中樞神經系統疾患想鑑別。
1、化膿性腦膜炎其中最易混淆者為嗜血流感桿菌腦膜炎,因其多見於2歲以下小兒,腦脊液細胞數有時不甚高。其次為腦膜炎雙球菌腦膜炎及肺炎雙球菌腦膜炎。鑑別除結核接觸史、結素反應及肺部X線檢查可助診斷外,重要的還是腦脊淮檢查,在細胞數高於外,重要的還是腦脊液檢查,在細胞數高於1000×106/L(1000/mm2),且分類中以中性多形核粒細胞占多數時,自應考慮化膿性腦膜炎;但更重要的是細胞學檢查。
2、病毒性中樞神經系統感染主要是病毒性腦炎,病毒性腦膜腦炎及病毒性脊髓炎均可與結腦混淆,其中散發的病毒腦炎比流行性者更需加以鑑別。
各種病毒性腦膜炎之診斷要點為:①常有特定之流行季節。②各有其特殊的全身表現,如腸道病毒可伴腹瀉、皮疹或心肌炎③腦脊液改變除細胞數及分類與結腦不易鑑別外,生化改變則不相同,病毒性腦膜腦炎腦脊液糖及氯化物正常或稍高,蛋白增高不明顯,多低於1g/L(100mg/dl)。④各種病毒性腦炎或腦膜炎有其特異的實驗室診斷方法,如血清學檢查及病毒分離等(參閱各有關專章節)。
小兒結核性腦膜炎3、新型隱球菌腦膜腦炎其臨床表現、慢性病程及腦脊液改變可酷似結腦,但病程更長,可伴自發緩解。慢性進行性顱壓高症狀比較突出,與腦膜炎其他表現不平等。本病在小鍺較少見故易誤診為結腦。確診靠腦脊液塗片,用墨汁染色黑地映光法可見圓形、具有厚莢膜折光之隱球菌孢子,沙保培養基上有新型隱球菌生長。
4、腦膿腫腦膿腫患兒多有中耳炎或頭部外傷史,有時繼發於膿毒敗血症。常伴先天性心臟病。腦膿腫患兒除腦膜炎及顱壓高症狀外,往往有局灶性腦征。腦脊液改變在未繼發化膿性腦膜炎時,細胞數可從正常到數百,多數為淋巴細胞,糖及氯化物多正常,蛋白正常或增高。鑑別診斷藉助於超音波、腦電圖、腦CT及腦血管造影等檢查。
5、但腦瘤與結腦不同處為:①較少發熱。②抽搐較少見,即使有抽搐也多是抽後神志清楚,與晚期結腦患兒在抽搐後即陷入昏迷不同。③昏迷較少見。④顱壓高症狀與腦征不相平行。⑤腦脊液改變甚少或輕微。⑥結素試驗陰性,肺部正常。為確診腦瘤應及時作腦CT掃描以協助診斷。
典型的結腦診斷比較容易,但有些不典型的,則診斷較難。不典型結腦約有以下幾種情況:①嬰幼兒起病急,進展較快,有時可以驚厥為第1症狀。②早期出現腦實質損害症狀,表現為舞蹈症或精神障礙。③早期出現腦血管損害,表現為肢體癱瘓者。④同時合併腦結核瘤時,可似顱內腫瘤表現。⑤其他部位的結核病變極端嚴重,可將腦膜炎症狀及體徵掩蓋而不易識別。⑥在抗結核治療過程中發生腦膜炎時,常表現為頓挫型。對於以上各種不典型垢情況,診斷需特別謹慎,防止誤診。
皮膚粟粒疹的發現對診斷有決定性意義。眼底檢查對診斷亦有幫助。眼脈絡膜上發現結核結節與肺X線片中見到粟粒型肺結核有同等的價值。
臨床表現
(一)典型臨床表現可分為三期:
1.前驅期(早期)約1~2周,一般起病緩慢,在原有結核病基礎上,出現性情改變,如煩躁、易怒、好哭,或精神倦怠、呆滯、嗜睡或睡眼不寧,兩眼凝視,食欲不振、消瘦,並有低熱,便秘或不明原因的反覆嘔吐。年長兒可自訴頭痛,初可為間歇性,後持續性頭痛。嬰幼兒表現為皺眉、以手擊頭、啼哭等。
2.腦膜剌激期(中期)約1~2周主要為腦膜炎及顱內壓增高表現。低熱,頭痛加劇可呈持續性。嘔吐頻繁、常呈噴射狀,可有感覺過敏,逐淅出現嗜睡、意識障礙。典型腦膜剌激征多見於年長兒,嬰兒主要表現為前囟飽滿或膨隆,腹壁反射消失、腱反射亢進。若病情繼續發展,則進入昏迷狀態,可有驚厥發作。此期常出現顱神經受累病狀,最常見為面神經、動眼神經及外展神經的癱瘓,多為單側受累,表現為鼻唇溝消失、眼瞼下垂、眼外斜、復視及瞳孔散大,眼底檢查可見視神經炎,視乳突水腫,脈絡膜可偶見結核節結。
3.晚期(昏迷期)約1~2周意誤障礙加重反覆驚厥,神志進入半昏迷、昏迷狀態,瞳孔散大,對光反射消失、呼吸節律不整甚至出現潮式呼吸或呼吸暫停。常有代謝性酸中毒、腦性失鐵鈉綜合徵、低鉀積壓症等水、電解質代謝紊亂。最後體溫可升至40℃以上,終因呼吸循環衰竭而死亡。
(二)非典型結核性腦膜炎。
1.較大兒童患結核性腦膜炎時,起病急,可突然發熱、抽搐,腦膜剌激征明顯,肺及其它部位可無明顯的結核病灶;
2.有時表現為顱內壓持續增高徵象,低熱、進行性頭痛、逐漸加劇的噴射嘔吐。可見視神經乳突水腫及動眼、外展、面神經受累症狀,腦脊液壓力增高、白細胞輕度增加、蛋白增多、糖減少、氯化物正常,腦超音波檢查提示腦室擴張或有中線位移,腦掃描可見放射性素濃染區,易被誤診為腦膿腫或腦腫瘤。
3.因中耳、乳突結核擴散所致者,往往以發熱、耳痛、嘔吐起病,易誤診為急性中耳炎,。
4.六個月以下的小嬰兒,全身血行播散性結核時,可繼髮結腦,或同時發生結腦,發燒、肝脾淋巴結腫大,可伴有皮疹,但胸片可見粟型肺結核。
檢查
乳酸鹽1.腦脊液檢查
(1)常規
腦脊液壓力增高,外觀清亮或呈毛玻璃狀,細胞總數一般為100~500/mm3,以淋巴細胞為主。急性進展期或結核瘤破潰時可顯著增高,甚至可超過1×109/L,疾病早期細胞數可能在0.05×109/L以下甚至正常。細胞分類以單核細胞為主,可占70~80%,少數病例早期中性粒細胞可超過50%,球蛋白試驗陽性,蛋白定量增加,多在0.4g/L以上,一般為1~3g/L,如超過3g/L應考慮珠網膜粘連,甚至椎管阻塞。糖定量早期可正常,以後逐漸減少,常在1.65mmol/L以下(30mm/dl)。腦脊液糖含量是血糖的60~70%,在測定腦脊液糖的同時應測血糖,以便比較。氯化物含量常低於102.6mmol/L(600mg/dl)甚至<85.5mmol/L(500mg/dl)。
(2)留膜塗片找到抗酸桿菌,結核菌培養陽性,或結核桿菌DNA的PCR檢測陽性是診斷本病的最直接的證據。
(3)免疫球蛋白測定腦脊液免疫球蛋白測定,對腦膜炎鑑別診斷有一定意義。結腦時腦脊液中以IgG增高為主,化腦時IgG及IgM增高,病毒腦IgG輕度增高.IgM不增高。
(4)淋巴細胞轉化試驗可採用3H-TdR參入法測定腦脊液淋巴細胞轉化,結核性腦膜炎時,在PPD剌激下,腦脊液淋巴細胞轉化率明顯升高,具有早期論斷價值。
(5)乳酸鹽及乳酸脫氫酶測定.溶菌酶指數測定以及腦脊液抗結核抗體檢查.腦脊液PCR法查結核抗原等。均有助於鑑別論斷。
2.胸部X線檢查
有85%以上的結核性腦膜炎患兒並發各種活動性肺結核,特別是粟粒型肺結核和原發性肺結核,通過X線檢查發現結核灶,對診斷本病有較大幫助。但胸片正常者,不能否定結腦。
3.結核菌素試驗
結核菌素試驗陽性對診斷有幫助,但陰性結果亦不能排除本病。
4.眼底檢查
可在脈絡膜上發現結核結節.腦脊液有改變者可以肯定確診。
5.血象檢查
外周血象檢查可見白細胞總數及中性粒細胞比例升高.輕度貧血。血壓增快,但也有正常者。
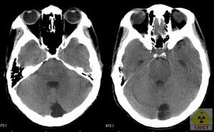
6.CT、MRI檢查
腦CT約半數顯示異常。炎性滲出物充填基底池及腦外側裂,部分患者腦實質內顯示結核瘤,直徑0.5~5cm,單發或多發,多位於額、顳及頂葉。增強掃描顯示環狀強化或密度增高。
腦MR採用Gd-DTPA增強,顯示基底池等部位強化,並較易發現腦實質內的結核瘤和小梗死灶。
治療
1、一般療法必須嚴格執行下列各項措施:①切斷與開放性結核病人的接觸。②嚴格臥床休息,營養必須豐富。③細心護理。改變患兒體位。細心護理眼睛、黏膜及皮膚,預防皮膚褥瘡。耐心餵養,保證入量。昏迷患兒套用鼻飼法。④最好住院治療,只在條件不許可時才可考慮門診治療,但應加強隨訪及督促堅持治療。
2、抗結核藥物療法治療原則為早期和徹底治療(不間斷治療和長期治療)。目前多採用SM、INH、RFP和PZA合併治療。其中INH為最主要的藥物,整個療程自始至終套用。療程1~1.5年,或腦脊液正常後不少於半年。
3、激素療法治療原則為必須與有效之抗結核藥物同時套用,劑量和療程要適中,在需要套用的病例越早用越好。由於激素有抗炎症、抗過敏、抗毒和抗纖維性變的作用,可使中毒症狀及腦膜刺激症狀迅速消失,降低顱壓及減輕和防止腦積水的發生故為配合抗結核藥物的有效輔助療法。激素對腦底腦膜炎型效果最好,如患兒已至腦膜炎型、極晚期或已發生蛛網膜下腔梗阻以及合併結核廇時,激素的效果即不顯著。
氫化可的松在已有腦脊液循環梗阻或有發生梗阻趨勢之患兒,可鞘內注射激素,介對製劑種類、注入劑量及必要的稀釋等問題要特別謹慎。
4、對腦積水的治療在小兒結腦抗菌藥物治療中,腦積水的控制常為治療中首要的問題。在病程的1~2周即可從臨床上診斷出腦積水,可經CT檢查、側腦室穿刺及引流證實。對腦積水的治療除常規使用治療激素外,可採取以下措施。
(1)側腦室引流:適用於急性腦積水用其他降顱壓措施無效,或疑有腦疝形成時。持續引流時間1~3周,一般作1~2次即可控制,引流量每天可達50~200ml。引流時應注意固定好側腦室穿刺針,以免損傷腦組織,並經常觀察腦脊液壓力,防止壓力過低引起腦出血。特別注意防止繼發感染。
甘露醇(3)醋氮醯胺:為碳酸酐酶抑制劑,可能由於抑制腦室脈絡叢中碳酸酐酶之作用,從而使腦脊液生成減少,降低顱壓。作用較慢。劑量為20~40mg/(kg·d),分2~3次口服,療程宜長,可數周至半年。配合側腦室引流或高滲液靜點治療之前後套用,以彌補二者不能長期套用之不足。對慢性腦積水其他降壓措施不易堅持時,更為適用。其副作用在較小嬰兒可發生代謝性酸中毒,必要時可同時服用碳酸氫鈉以資預防。少見的副作用有血尿伴腹痛,停藥後很快恢復,最嚴重的副作用是無尿及急性腎功能衰竭。
(4)分流手術,如果由於腦底腦膜粘連梗阻致發生梗阻性腦積水時,以上療法均難以奏效,長期套用側腦室引流只直到對症治療的作用,而且難以長期堅持,此時在抗結核藥物治療,炎症基本控制的情況下,可考慮採用腦室腦池分流術。
5、對症治療高熱及驚厥不止時可用冬眠Ⅱ號或其他鎮靜劑。為了改善神經系統代謝過程可用谷氨酸、複合維生素B、維生素B12及大量維生素C等。對營養不良小兒或恢復極慢者可行小量(25~50ml)多次輸血。
鑑別
有明顯的腦膜刺激征出現以前應與一般非神經疾患相鑑別,包括上呼吸道感染、肺炎、消化不良、蛔蟲病、傷寒、手足搐搦症等,此時做腰椎穿刺檢查腦脊液即可明確診斷。在出現腦膜刺激症狀及體徵後,甚至在腦脊液檢查後仍需與一系列中樞神經系統疾患相鑑別。
小兒結核性腦膜炎2、病毒性中樞神經系統感染主要是病毒性腦炎,病毒性腦膜腦炎及病毒性脊髓炎均可與結腦混淆,其中散發的病毒腦炎比流行性者更需要加以鑑別。
各種病毒性腦膜炎之診斷要點為:①常有特定之流行季節。②各有其特殊的全身表現,如腸道病毒可伴腹瀉、皮疹或心肌炎③腦脊液改變除細胞數及分類與結腦不易鑑別外,生化改變則不相同,病毒性腦膜炎腦脊液糖及氯化物正常或稍高,蛋白增高不明顯,多低於1G/L(100mg/dl)。④各種病毒性腦炎或腦膜炎有其特異的實驗室診斷方法,如血清學檢查及病毒分離等。
輕型病毒腦炎和早期結腦鑑別比較困難,處理原則是:①先用抗結核藥物治療,同時進行各項檢查,如結素試驗、肺X線片等以協助診斷。②不用激素治療,如短期內腦脊液恢復正常則多為病毒腦炎而非結腦。③鞘內不注射任何藥物,以免引起腦脊液成分改變增加鑑別診斷之困難。
3、新型隱球菌腦膜腦炎其臨床表現、慢性病程及腦脊液改變可酷似結腦,但病程更長,可伴自發緩解。慢性進行性顱壓高症狀比較突出,與腦膜炎其他表現不平行。本病在小兒較少見,故易誤診為結腦。確診靠腦脊液塗片,用墨汁染色黑地映光法可見圓形、具有厚莢膜折光之隱球菌孢子,沙保培養基上可有新型隱球菌生長。
4、腦膿腫腦膿腫患兒多有中耳炎或頭部外傷史,有時繼發於膿毒敗血症。常伴先天性心臟病。腦膿腫患兒除腦膜炎及顱壓高症狀外,往往有局灶性腦征。腦脊液改變在未繼發化膿性腦膜炎時,細胞數可從正常到數百,多數為淋巴細胞,糖及氯化物多正常,蛋白正常或增高。鑑別診斷困難時可藉助於超音波、腦電圖、肺CT及腦血管造影等檢查。
5、腦腫瘤但腦瘤與結腦不同處為:①較少發熱。②抽搐較少見,即使有抽搐也多是抽後神志清楚,與晚期結腦患兒在抽搐後即陷入昏迷不同。③昏迷較少見。④顱壓高症狀與腦征不相平行。⑤腦脊液改變甚少或輕微。⑥結素試驗陰性,肺部正常。為確診腦瘤應及時作腦CT掃描以協助診斷。
典型的結腦診斷比較容易,但不些不典型的,則診斷較難。不典型結腦約有以下幾種情況:①嬰幼兒起病急,進展較快,有時可以驚厥為第1症狀。②早期出現腦實質損害症狀,表現為舞蹈症或精神障礙。③早期出現腦血管損害,表現為肢體癱瘓者。④同時合併腦結核瘤時,可似顱內腫瘤表現。⑤其他部位的結核病變極端嚴重,可將腦膜炎症狀及體徵掩蓋而不易識別。⑥在抗結核治療過程中發生腦膜炎時,常表現為頓挫型。對於以上各種不典型的情況,診斷需特別謹慎,防止誤診。
預防
小兒結核性腦膜炎預防結腦最基本的辦法是防止小兒受到結核感染,有效措施如下:
1、必須做好BCG初種及複種工作經驗證明,有效的BCG接種可防止或減少結腦的發生。
2、早期發現並積極治療傳染源早期發現成人結核病患者,尤其在和小兒密切接觸的人員中如父母、託兒所的保育員及幼稚園和國小里的教師,做好防癆工作,加強成人結核的管理和治療。
3、提高小鍺機體抵抗力正確的餵養,合理的生活制度和堅持計畫免疫以提高身體抵抗力和減少急性傳染病。
4、早期發現及徹底治療小兒原發性結核病早期及徹底治癒小兒原發性結核病,可大減少結腦的發生。
凡臨床症狀消失,腦脊液正常,療程結束後2年無復發者,可認為治癒,但仍應繼續觀察,直到停止治療後5年。
病情的影響因素:
1、原發耐藥菌株感染小兒結腦的原發耐藥已成9為臨床治療上的難題,嚴重影響了結腦的預後,增加了病死率。
2、治療早晚治療越晚病死率越高,979例患兒中,早期病例無死亡,中期患兒病死率3.3%,晚期患兒病死率24.9%。
3、年齡患兒年齡越小,腦膜炎發展越快,越嚴重,因此病死率也越高。同樣嚴重程度,3歲以下嬰細兒較3歲以上者預後為差。
4、病型腦實質受損嚴重者預後差,漿液型病死率為零;腦底腦膜炎型為6.4%;腦膜腦炎型為21.5%,占所有死亡病例的78.2%。
腦積水6、初冶或復治復治病例包括復發或惡化者,預後較差。
7、治療方法在劑量不足及方法不當時,預後原應較好的早期、中期患兒病程可變為遷延或慢性,發生蛛網膜下腔廣泛粘連以致病程遷延出現腦積水或脊髓障礙,或病程遷延出現腦積水或脊髓障礙,或病程遷延出現腦血管病變和腦梗塞,造成不可逆病變,導致後遺症或終至死亡。
復發多發生在療程結束後2年內,也偶可在3~5年內發生。復發大多數為1次,偶可多次。復發病例如能及早發現,立即治療,仍可完全治癒。但有些復發病例療效不如初治病例,效果較差。
併發症
併發症最常見的為腦積水、腦實質損害、腦出血及顱神經障礙等。前3種常為結腦的死亡原因。其臨床表現為腦積水、去大腦強硬、肢體癱瘓、癲癇、失明、失語等。嚴重後遺症包括腦積水、肢體癱瘓、失明、智力低下、尿崩症及癲癇等。根據我們對203例治癒患兒分析,有輕度後遺證者占11.8%,有嚴重後遺症者占34%。在後遺症小兒中,晚期患者約占2/3,而早期者甚少。
療效評價
1.治癒 (1)臨床症狀和體徵消失,無後遺症。 (2)腦脊液正常。 (3)經X線攝片證實肺部病變已經吸收。 2.好轉 (1)臨床症狀和體徵消失或顯著改善,或留有不同程度智力及神經、精神障礙等後遺症。 (2)腦脊液接近正常或好轉。 3.未愈 (1)臨床症狀和體徵無改善或合併腦積水等併發症。 (2)腦脊液異常。
專家提示
卡介苗注意事項
(1)兒童應及時接種及複種卡介苗;
(2)避免與結核病人接觸;
(3)早期發現小兒原發性結核病時,應徹底治療,可大減少結腦的發生;
(4)合理安排生活,堅持計畫免疫以提高身體抵抗力和減少急性傳染病。
用藥指南
氟康唑片【商品名】氟康唑片
【通用名稱】氟康唑片
【批准文號】國藥準字H20000261
【生產廠商】天津藥業集團新鄭股份有限公司
【功效主治】1.念珠菌病:用於治療口咽部和食道念珠菌感染;播散性念珠菌病,包括腹膜炎、肺炎、尿路感染等;念珠菌外陰陰道炎。尚可用於骨髓移植患者接受細胞毒類藥物或放射治療時,預防念珠菌感染的發生。2.隱球菌病:用於治療腦膜以外的新型隱球菌病;治療隱球菌腦膜炎時,本品可作為兩性黴素B聯合氟胞嘧啶初治後的維持治療藥物。3.球孢子菌病。4.用於接受化療、放療和免疫抑制治療患者的預防治療。5.本品亦可替代伊曲康唑用於芽生菌病和組織胞漿菌病的治療。
【通用名稱】異煙肼片
【批准文號】國藥準字H31020495
【生產廠商】上海醫藥(集團)有限公司信誼製藥總廠
【功效主治】a)異煙肼與其他抗結核藥連用,適用於各型結核病的治療,包括結核性腦膜炎以及其他分枝桿菌感染b)異煙肼單用適用於各型結核病的預防:①新近確診為結核病患者的家庭成員或密切接觸者②結核菌素純蛋白衍生物實驗(PPD)強陽性同時胸部X射線檢查符合非進行結核病,痰菌陰性,過去未接受過正規抗結核治療者③正在接受免疫抑制劑或長期激素治療的患者,某些血液病或網狀內皮系統疾病(如白血病、霍奇金氏病)、糖尿病、尿毒症、矽肺或胃切除術等患者,其結核菌素純蛋白衍生物實驗呈陽性反應者;④35歲一下結核菌素純蛋白衍生物實驗呈陽性反應者⑤已知或疑為HIV感染者,其結核菌素純蛋白衍生物實驗呈陽性反應者,或與活動性肺結核患者有親密接觸者。
【通用名稱】利福噴丁膠囊
【批准文號】國藥準字H10940211
【生產廠商】樂山三九長征藥業股份有限公司
【功效主治】1.本品與其他抗結核藥聯合用於各種結核病的初治與復治,但不宜用於結核性腦膜炎的治療。2.適合醫務人員直接觀察下的短程化療。3.亦可用於非結核性分枝桿菌感染的治療。4.與其他抗麻風藥聯合用於麻風治療可能有效;
【藥理作用】利福噴丁為半合成廣譜殺菌劑,體外對結核桿菌有很強的抗菌活性,最低抑菌濃度(MIC)為0.12~0.25mg/L,比利福平強2~10倍;在小鼠體內的抗結核感染作用也優於利福平。麻風桿菌和其他分枝桿菌如堪薩斯分枝桿菌、蟾分枝桿菌也對本品敏感,但鳥分枝桿菌耐藥。另外本品對多數革蘭陽性球菌有高度抗菌活性,其MIC<0.025mg/L;對革蘭陰性菌的作用差。對衣原體屬的作用與紅黴素、多西環素相仿,較利福平差;對耐甲氧西林葡萄球菌作用較差。體外試驗結果,衣原體、金黃色葡萄球菌和淋病奈瑟菌都會對本品產生耐藥性。與多西環素聯合,對淋病奈瑟菌有協同作用;與異煙肼聯合,對結核桿菌的作用遠遠超過利福平與異煙肼聯合。其作用機制與利福平相同,為與依賴DNA的RNA多聚酶的亞單位牢固結合,抑制細菌RNA的合成,防止該酶與DNA連線,從而阻斷RNA轉錄過程,使DNA和蛋白的合成停止。動物實驗證明本品有一定的肝功能毒性,對胎兒有致畸作用。
醫學疾病—兒科
| 小兒不同於成人,不論在解剖、生理、病理、免疫等方面,或是在疾病的生生,發展、臨床表現以及診斷、防治等方面,都有許多與成人不同的特點。且隨著年齡的增長,按一定的規律不斷地變化,是一個動態的過程。兒科疾病有很多種,本任務包含兒科57種疾病,是兒科大部分疾病。 |
