概述
腦膿腫(Intracerebral abscess)是指化膿性細菌感染引起的化膿性腦炎、慢性肉芽腫及腦膿腫包膜形成,少部分也可是真菌及原蟲侵入腦組織而致腦膿腫。腦膿腫在任何年齡均可發病,以青壯年最常見。可在任何年齡發生,以兒童和青壯年多見。發病率占神經外科住院病人 2%左右,男女比例約2.5:1。
分類
腦膿腫MRI按病因和感染源不同分為四類:
1、耳源性與鼻源性腦膿腫
耳源性腦膿腫最多見,約占腦膿腫的2/3。繼發於慢性化膿性中耳炎、乳突炎。感染系經過兩種途徑
(1)炎症侵蝕鼓室蓋、鼓室壁,通過硬腦膜血管、導血管擴延至腦內,常發生在顳葉,少數發生在頂葉或枕葉;
(2)炎症經乳突小房頂部,岩骨後側壁,穿過硬腦膜或側竇血管侵入小腦。鼻源性腦膿腫由鄰近副鼻竇化膿性感染侵入顱內所致。如額竇炎、篩竇炎、上頜竇炎或蝶竇炎,感染經顱底導血管蔓延顱內,膿腫多發生於額葉前部或底部。
2、血源性腦膿腫
約占腦膿腫的1/4。多由於身體其它部位感染,細菌栓子經動脈血行播散到腦內而形成腦膿腫。原發感染灶常見於肺、胸膜、支氣管化膿性感染、先天性心臟病、細菌性心內膜炎、皮膚癤癰、骨髓炎、腹腔及盆腔臟器感染等。腦膿腫多分布於大腦中動脈供應區、額葉、頂葉,有的為多發性小膿腫。
3、外傷性腦膿腫
多繼發於開放性腦損傷,尤其戰時的腦穿透性傷或清創手術不徹底者。致病菌經創口直接侵入或異物、碎骨片進入顱內而形成腦膿腫。可傷後早期發病,也可因致病菌毒力低,傷後數月、數年才出現腦膿腫的症狀。
4、隱源性腦膿腫
原發感染灶不明顯或隱蔽,機體抵抗力弱時,腦實質內隱伏的細菌逐漸發展為腦膿腫。隱源性腦膿腫實質上是血源性腦膿腫的隱蔽型。
致病菌
腦膿腫隨感染來源而異,常見的有:鏈球菌、葡萄球菌、肺炎球菌、大腸桿菌、變形桿菌和綠膿桿菌等,也可為混合性感染。耳源性膿腫多屬以鏈球菌或變形桿菌為主的混合感染;鼻源性腦膿腫以鏈球菌和肺炎球菌為多見;血源性腦膿腫取決於其原發病灶的致病菌,胸部感染多屬混合性感染;創傷性腦膿腫多為金黃色葡萄球菌。不同種類的細菌產生不同性質的膿液,如鏈球菌感染產生黃白色稀薄的膿,金黃色葡萄球菌為黃色粘稠狀膿液,變形桿菌為灰白色、較稀薄、有惡臭的膿,綠膿桿菌為綠色的有腥臭的膿,大腸桿菌為有糞便樣惡臭的膿。膿液應及時作細菌革蘭氏染色塗片、普通和厭氧菌培養及藥敏試驗。有時膿液細菌培養陰性,此乃由於已套用過大量抗生素或膿液曾長時間暴露在空氣,也可由於未做厭氧菌培養。厭氧菌腦膿腫的發生率日益增多,其中以鏈球菌居多,其次為桿菌和其他球菌。除開放性顱腦損傷引起的腦膿腫外,大多數厭氧菌腦膿腫繼發於慢性化膿性病灶,如中耳炎和胸腔化膿性病變等。結核桿菌、真菌(如放線菌、隱球菌等)、阿米巴原蟲及肺吸蟲等偶也可引起腦膿腫。
細菌入顱途徑
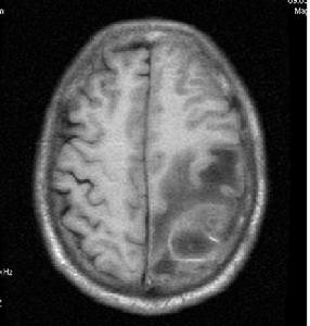
腦膿腫MRI顯示隨病因而異。耳源性腦膿腫的細菌主要入侵途徑是經鄰近的骨結構(如鼓室蓋)直接蔓延至硬腦膜、蛛網膜、血管、血管周圍間隙,從而進入顳葉腦實質,形成膿腫(圖55-1),也可經鼓室蓋後壁或Trautman三角(上方為岩上竇、下方為面神經管、後方為乙狀竇)引起小腦膿腫。在少數病例,並有血栓性靜脈炎時,感染性栓子可經靜脈竇逆行或經導靜脈(或動脈)傳入腦,引起遠隔部位如頂、枕、額葉、小腦蚓部或原發病灶對側的腦膿腫。鼻源性腦膿腫的感染是細菌經額或篩竇壁,侵犯硬腦膜形成硬腦膜外(或下)膿腫,進而炎症擴散入腦實質和血管(特別是靜脈),形成腦膿腫。血源性腦膿腫細菌侵入腦實質的途徑有:①經動脈血循環,多見於膿毒血症和胸腔內感染及細菌性心內膜炎,細菌或感染性栓子經動脈血循環到達腦內,先天性心臟病因有動靜脈短路,大量靜脈血不經肺過濾,直接進入左心,使細菌或感染栓子直達腦內。青紫型心臟病者常伴有紅細胞增多症,血粘度增加,易形成栓子和造成腦栓塞,腦組織缺血缺氧、壞死,更有利細菌繁殖而形成腦膿腫;②經靜脈血循環,見於頭面部感染、顱骨骨髓炎、牙周膿腫等,細菌可經面靜脈與顱內的吻合支或板障靜脈、導靜脈等侵入顱內;③經椎管內靜脈叢,肝、膽、膈下膿腫、泌尿系感染和盆腔感染,可經脊柱周圍靜脈叢與椎管內之靜脈吻合進入椎管內靜脈,再經椎靜脈逆行入顱內。損傷性腦膿腫因硬腦膜破損,異物侵入顱內將細菌帶入。
病理
腦膿腫MRI 腦膿腫的形成是一個連續過程,可分為三期:
1、急性腦膜炎、腦炎期
化膿菌侵入腦實質後,病人表現明顯全身感染反應和急性局限性腦膜炎、腦炎的病理變化。腦炎中心部逐漸軟化、壞死,出現很多小液化區,周圍腦組織水腫。病灶部位淺表時可有腦膜炎症反應。
2、化膿期
腦炎軟化灶壞死、液化,融合形成膿腫,並逐漸增大。如融合的小膿腔有間隔,則成為多房性腦膿腫,周圍腦組織水腫。病人全身感染徵象有所好轉和穩定。
3、包膜形成期
一般經1~2周,膿腫外圍的肉芽組織由纖維組織及神經膠質細胞的增生而初步形成膿腫包膜,3~4周或更久膿腫包膜完全形成。包膜形成的快慢與致病菌種類和毒性及機體抵抗力與對抗菌素治療的反應有關。
臨床表現
腦膿腫肉眼觀取決於機體對炎症防衛能力與病菌毒力,以及膿腫大小,所在部位和鄰近解剖結構受影響的情況。多數病人具有下列典型表現。
1、全身症狀 多數病人有近期感染或慢性中耳炎急性發作史,伴發腦膜炎者可有畏寒,發熱、頭痛、嘔吐,意識障礙(嗜睡,譫妄或昏迷)、腦膜刺激征等。周圍血象呈現白細胞增多,中性粒細胞比例增高,血沉加快等。此時神經系統並無定位體徵。一般不超過2~3周,上述症狀逐漸消退。隱源性腦膿腫可無這些症狀。
2、顱內壓增高症狀 顱內壓增高雖然在急性腦膜炎期可出現,但是大多數病人於膿腫形成後才逐漸表現出來。表現為頭痛好轉後又出現,且呈持續性,陣發性加重,劇烈時伴嘔吐、脈緩、血壓升高等。半數病人有視乳頭水腫。嚴重病人可有意識障礙。上述諸症狀可與腦膜腦炎期的表現相互交錯,也可於後者症狀緩解後再出現。
3、腦部定位征 神經系統定位體徵因膿腫所在部位而異。顳葉膿腫可出現欣快、健忘等精神症狀,對側同向偏盲、輕偏癱、感覺性失語或命名性失語(優勢半球)等,也可無任何定位征。小腦膿腫的頭痛多在枕部並向頸部或前額放射,眼底水腫多見,向患側注視時出現粗大的眼球震顫,還常有一側肢體共濟失調,肌張力降低、肌腱反射降低、強迫性頭位和腦膜刺激征等,晚期可出現後組顱神經麻痹。額葉膿腫常有表情淡漠、記憶力減退、個性改變等精神症狀,亦可伴有對側肢體局灶性癲癇或全身大發作,偏癱和運動性失語(優勢半球)等。若副鼻竇前壁呈現局部紅腫、壓痛,則提示原發感染灶可能即在此處。頂葉膿腫以感覺障礙為主,如淺感覺減退,皮層感覺喪失,空間定向障礙,優勢半球受損可出現自體不認症、失讀、失寫、計算不能等。丘腦膿腫可表現偏癱、偏身感覺障礙和偏盲,少數有命名性失語,也可無任何定位體徵。
不典型表現:有些病人全身感染症狀不明顯或沒有明確感染史,僅表現腦局部定位征和/或顱內壓增高症狀,臨床上常誤診為腦瘤等。有些病人合併腦膜炎,僅表現腦膜腦炎症狀。
輔助檢查
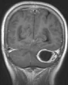
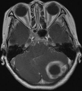
小腦腦膿腫MRI顯示1、頭顱X線平片 可發現乳突、副鼻竇和顳骨岩部炎性病變、金屬異物、外傷性氣顱、顱內壓增高和鈣化松果腺側移等。
2、頭顱超聲波檢查 大腦半球膿腫可顯示中線波向對側移位或出現膿腫波。
3、腦電圖檢查 在膿腫處可呈現局灶性慢波,主要對大腦半球膿腫有定位意義。
4、Rehncrona和Bellotti介紹一種用111In標記的白細胞腦閃爍圖來鑑別腦膿腫與腦瘤,其正確率可達88%~96%。其理論依據是:標記的具有放射性的白細胞能遷移並聚集於炎症灶。放射性積聚程度與炎症程度和標記白細胞的功能有關。而腦膿腫比腦瘤有更明顯的炎症反應。但是,當腫瘤有壞死而增加病灶周圍炎症反應時,可導致假陽性;另外,抗生素和激素套用,可改變炎症的程度和細胞的功能,可導致假陰性。
5、腰椎穿刺和腦脊液檢查 在腦膜腦炎期顱內壓多為正常或稍增高,腦脊液中白細胞可達數千以上,以中性粒細胞為主,蛋白量也相應增高,糖降低。膿腫形成後,顱內壓即顯著增高,腦脊液中的白細胞可正常或略增高(多在100個/mm3左右),糖正常或略低,但若化膿性腦膜炎與腦膿腫並存,則腦脊液的變化對診斷意義不大。而且,腰椎穿刺如操作不當會誘發腦疝。因此當臨床上懷疑到腦膿腫時,腰椎穿刺要慎重。操作時切勿放腦脊液,只能取少量腦脊液作化驗。
6、腦血管造影 對大腦膿腫比小腦膿腫的診斷率高,除見腦動脈移位等占位徵象外,部分病人可見膿腫壁顯影,這是因為膿腫周圍的血管受壓聚積或因膿腫壁的血管增生之故
7、腦室造影 主要用於小腦膿腫的診斷,對大腦膿腫有促使其破潰可能,應慎用。
8、腦CT 是目前診斷腦膿腫的主要方法,適用於各種部位的腦膿腫。由於腦CT檢查方便、有效,可準確顯示膿腫的大小、部位和數目,故已成為診斷腦膿腫的首選和重要方法。腦膿腫的典型CT表現為:邊界清楚或不楚的低密度灶(0~15HU),靜脈注射造影劑後,膿腫周邊呈均勻環狀高密度增強(30~70HU),膿腫中央密度始終不變,膿腫附近腦組織可有低密度水腫帶,腦室系統可受壓、推移等。如膿腫接近腦室,可引起腦室管膜增強征。少數腦膿腫的增強環不均勻,或有結節狀。可是腦CT顯示的"環征"並非腦膿腫特也可見於神經膠質母細胞瘤、轉移癌,囊性膠質細胞瘤,腦梗塞和腦內血腫等。因此應結合病史注意鑑別。一般腦膿腫有感染史,CT顯示的環較均勻,伴有室管膜增強,還是容易識別。在腦炎晚期,CT也可顯示"環征",此乃因腦炎引起血腦屏障改變,血管周圍炎性細胞浸潤和新生血管形成等所致,因此腦炎的"環征"與膿腫包膜的"環征"在本質上不同。兩者的區分,除結合發病時間外,可採用延遲CT檢查法,即在靜脈注射造影劑30分鐘後掃描,腦炎原來低密度中央區也變成高密度,但膿腫中央區密度不變。由於類固醇激素有抑制炎症反應和成纖維增生、新生血管形成的作用,從而影響膿腫包膜形成,因此,對可疑病人應停用激素後重複CT檢查。
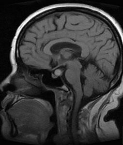
9、磁共振成像(MRI)是近年套用於臨床的新檢查方法。在腦炎期病灶呈邊緣不清的高信號改變,中心壞死區為低信號改變,T2(橫弛豫時間)延長,周邊腦水腫也呈高信號變化,灰白質對比度消失,T1(縱弛豫時間)和T2也延長。腦炎晚期的病灶中央低信號區擴大,IR(反向復原)成像示中央區仍為低強度。包膜形成期的中央區低信號,T1延長,但在長TR(重複時間)成象時原低信號變成較腦脊液高的高信號。包膜則為邊界清楚的高信號環。鄰近腦灰白質對比度恢復正常,但T1,T2仍輕度延長。因此MRI顯示早期腦壞死和水腫比CT敏感,區分膿液與水腫能力比CT強,但在確定包膜形成,區分炎症與水腫不及CT敏感。
10、鑽孔穿刺 具有診斷和治療的雙重意義,適用於採取上述各檢查方法後還不能確診的病例,而又懷疑腦膿腫者。在無上述檢查設備的單位,臨床上高度懷疑腦膿腫者,可在膿腫好發部位鑽孔穿刺。
診斷
1、臨床特點:依據病人原發化膿感染病史,開放性顱腦損傷史,隨後出現急性化膿性腦膜炎、腦炎症狀及定位症狀,伴頭痛、嘔吐或視乳頭水腫,應考慮腦膿腫的存在。
2、X線照片:X線平片可顯示顱骨與副鼻竇、乳突的感染灶。偶見膿腫壁的鈣化或鈣化松果體向對側移位。外傷性腦膿腫可見顱內碎骨片和金屬異物。
3、超音波檢查:方法簡便、無痛苦。幕上膿腫可有中線波向對側移位,幕下膿腫常可測得腦室波擴大。
4、腦血管造影:頸動脈造影對幕上膿腫定位診斷價值較大。根據腦血管的移位及膿腫區的無血管或少血管來判斷膿腫部位。
5、電子計算機斷層腦掃描(CT)及磁共振成像檢查(MRI):自從CT及MRI用於臨床,對顱內疾患,尤其占位病變的診斷有了重大突破。CT可顯示腦膿腫周圍高密度環形帶和中心部的低密度改變。MRI對膿腫部位、大小、形態顯示的圖像信號更準確。由於MRI不受骨偽影的影響,對幕下病變檢查的準確率優於CT。CT和MRI能精確地顯示多發性和多房性腦膿腫及膿腫周圍組織情況。
鑑別診斷
小腦腦膿腫MRI顯示1、化膿性腦膜炎:有高熱、脈快,腦膜刺激征明顯,但無局限神經定位征,腦脊液白細胞和蛋白質增高,腦超聲檢查,腦血管造影和CT掃描均正常。
2、硬膜外或硬膜下積膿:常與腦膿腫合併存在,很少獨立發生。腦血管造影腦表面為一無血管區,CT發現腦表面有半月形低密度影。
3、血栓性竇感染:細菌栓子脫落,沿靜脈竇擴散所致,表現為周期性膿毒敗血症,不規則寒戰,弛張熱、脈快,末梢血粒細胞增加,但腦脊液無改變,可藉助腦超聲、腦血管造影和CT掃描鑑別。
4、化膿性迷路炎:由化膿性中耳炎所致,症狀類似小腦膿腫,但頭痛較輕,嘔吐,眩暈嚴重,眼震多呈自發水平和鏇轉混合型,共濟失調為雙側性或不明顯,無腦膜刺激征,無視乳頭水腫,腰穿正常。
5、腦腫瘤:發病緩慢,無感染病史,僅顱內壓增高,腦脊液細胞正常,經顱平片、血管造影、CT掃描不難鑑別。
治療
腦膿腫的處理原則是:在膿腫尚未完全局限以前,應進行積極的抗炎症和控制腦水腫治療。膿腫形成後,手術是唯一有效的治療方法。
一、抗感染:應針對不同種類腦膿腫的致病菌,選擇相對應的細菌敏感的抗菌素。原發灶細菌培養尚未檢出或培養陰性者,則依據病情選用抗菌譜較廣又易通過血腦屏障的抗菌素。常用青黴素、氯黴素及慶大黴素等。套用抗生素要注意:①用藥要及時,劑量要足。一旦診斷為化膿性腦膜腦炎或腦膿腫,即應全身給藥。為提高抗生素有效濃度,必要時可鞘內或腦室內給藥。②開始用藥時要考慮到混合性細菌感染可能,選用抗菌譜廣的藥,通常用青黴素和氯黴素,以後根據細菌培養和藥敏結果,改用敏感的抗生素。③持續用藥時間要夠長,必須體溫正常,腦脊液和血常規正常後方可停藥。在腦膿腫手術後套用抗生素,不應少於2周。青黴素鈉鹽或鉀鹽1000~2000萬U/d,分2~4次靜脈點滴;增效磺胺甲基異噁唑4支(相當SMZ1600mg,TMP320mg),分2次靜脈點滴;氯黴素每天50mg/kg,分2~3次靜脈給藥;苯甲異惡唑青黴素12~18g/d,分2次靜脈給藥;氨苄青黴素每天150~200mg/kg, 分2~4次靜脈點滴;丁胺卡那黴素每天200~400mg,分2次肌肉或靜脈給藥;慶大黴素每天3mg/kg,分2~3次靜脈點滴;妥布黴素每天5~7mg/kg,分2~3次給藥;第三代頭孢菌素,如菌必治每天1~2g,分1~2次靜脈點滴;羧苄青黴素每天300~500mg/kg,分2~4次靜脈給藥;萬古黴素每天1~2g,分2次靜脈點滴;利福平每天1200mg,分2次口服;滅滴靈每天15~20mg/kg,分2~4次靜脈給藥。鞘內注射抗生素:慶大黴素10,000~20,000U/次,每天1~2次;丁胺卡那黴素5~10mg/次(最大劑量40mg/次),每天1次;先鋒I號15~100mg/次,每天1次;頭孢噻啶12.5~50mg/次,每天1次;多粘菌素10,000~50,000U/次,每日1次;萬古黴素20mg/次,每天1次;兩性黴素B首劑0.05mg, 以後逐漸增至<1mg;咪康唑10~20mg/次。可選用1~2種抗生素作鞘內注射,用生理鹽水把藥稀釋,注射時要緩慢,使藥液逐漸在腦脊液中彌散,並根據病人反應調整針尖位置和注射速度,以減少藥液對神經組織的毒性反應。當伴有腦室炎時,鞘內給藥腦室內藥濃度很低,僅為椎管內濃度的1/40~1/10,因此應裝置頭皮下貯液囊,作腦室內給藥。腦室內給藥同鞘內,但藥劑量減半。當急性化膿性腦炎發展迅速,出現高顱壓,危及病人生命,經脫水劑治療無效時,可開顱切除炎性壞死腦組織,並在殘腔內放置導管,以便術後作引流和注入抗生素。
二、降顱壓治療:因腦水腫引起顱內壓增高,常採用甘露醇等高滲溶液快速、靜脈滴注。激素應慎用,以免削弱機體免疫能力。
三、手術
1、穿刺抽膿術:此法簡單易行,對腦組織損傷小。適用於膿腫較大,膿腫壁較薄,膿腫深在或位於腦重要功能區,嬰兒、年老或體衰難以忍受手術者,以及病情危急,穿刺抽膿作為緊急救治措施者。
2、導管持續引流術:為避免重複穿刺或炎症擴散,於首次穿刺膿腫時,膿腔內留置一內徑為3~4mm軟橡膠管,定時抽膿、沖洗、注入抗菌素或造影劑,以了解膿腔縮小情況,一般留管7~10天。目前CT立體定向下穿刺抽膿或置導管引流技術更有其優越性。
3、切開引流術:外傷性腦膿腫,傷道感染,膿腫切除困難或顱內有異物存留,常於引流膿腫同時摘除異物。
4、膿腫切除術:最有效的手術方法。對膿腫包膜形成完好,位於非重要功能區者;多房或多發性腦膿腫;外傷性腦膿腫含有異物或碎骨片者,均適於手術切除。腦膿腫切除術的操作方法與一般腦腫瘤切除術相似,術中要儘可能避免膿腫破潰,減少膿液污染。
併發症
腦膿腫可發生兩種危象:
1、腦疝形成:顳葉膿腫易發生顳葉鉤回疝,小腦膿腫則常引起小腦扁桃體疝,而且膿腫所引起的腦疝較腦瘤者發展更加迅速。有時以腦疝為首發症狀而掩蓋其它定位徵象。
2、膿腫破裂而引起急性腦膜腦炎,腦室管膜炎:當膿腫接近腦室或腦表面,因用力、咳嗽、腰椎穿刺、腦室造影、不恰當的膿腫穿刺等,使膿腫突然潰破,引起化膿性腦膜炎或腦室管膜炎併發症。常表現突然高熱、頭痛、昏迷、腦膜刺激症、角弓反張、癲癇等。其腦脊液可呈膿性,頗似急性化膿性腦膜炎,但其病情更兇險,且多有局灶性神經系統體徵。
護理
腦膿腫是化膿性細菌侵入腦組織引起化膿性炎症及局限性膿腫,是神經外科急症之一。由於腦組織直接遭到嚴重破壞,因而是一種嚴重的感染性疾病;若觀察治療護理不及時則出現腦疝,危及患者的生命。雖然隨著醫療水平的提高,發病率逐年下降,但仍應引起醫護工作者的重視。
主要護理診斷及護理問題:
1、潛在併發症:腦疝和感染。
2、體溫過高。
3、活動無耐力。
護理要點
1、依病情輕重分級護理,注意觀察病人神志、瞳孔、生命體徵變化,若有意識加深、瞳孔異常及時通知醫生。
2、隨著腦膿腫形成,顱內壓增高進展迅速,頭痛加劇,嘔吐頻繁,反應遲鈍,意識加深,此時應警惕腦疝的發生。
3、腦膿腫為顱內化膿性感染疾病,開顱術後應住在單獨的隔離房間,防止交叉感染。
4、術後有引流的病人保持引流管通暢,觀察引流液的性質、量,發現異常及時報告醫生。引流袋每日在無菌操作下進行更換,防止膿液外流。
5、遵醫囑按時按量給予抗生素。
6、腦膿腫患者體溫在37.5—38~C之間,體溫過高時給予冰毯、冰帽、酒精擦浴等降溫處理,每4h測一次體溫,做好記錄並通知醫生。
7、腦膿腫常有全身感染症狀,病人多體質衰弱,營養狀況。
食護理極其重要,因而必須給予含有豐富蛋白質及維生素且化的流質飲食或半流質飲食;必要時給予靜脈輸入高營養液善病人的全身營養狀況,以增強機體抵抗力。
預後
腦膿腫的發生率和死亡率仍較高,在抗生素套用前,死亡率高達60~80%,40~70年代由於抗生素套用和診治方法提高,死亡率降為25~40%。CT套用後,死亡率降低不顯著,仍為15~30%,這與本病(特別血源性)早期難被發現,當病人來診時,膿腫已屬晚期,一般手術死亡率與術前病人意識有關,清醒者為10~20%,昏迷者為60~80%。各種療法都有程度不等的後遺症,如偏癱、癲癇、視野缺損、失語,精神意識改變,腦積水等。因此,腦膿腫的處理應防重於治,並重視早期診斷和治療。例如重視對中耳炎,肺部感染及其它原發病灶的根治,以期防患於未然。
影響療效和預後的因素有:①診治是否及時,晚期病人常因腦幹受壓或膿腫破潰而導致死亡;②致病菌的毒力,特別是厭氧鏈球菌引起的腦膿腫發病率和死亡率均較高,可能與其破壞腦組織的毒力有關;③心源性、肺源性和多發性腦膿腫預後差;④嬰幼兒患者預後較成人差。
資料來源
上海藍十字腦科醫院(徐匯區吳中路6號)
http://www.shnaoke.com/
http://www.naokedayi.com/

