分類
感染途徑命名
骨髓炎臨床上骨髓炎的分類命名,是根據其發病部位、病程、感染途徑、臨床表現綜合命名的。骨髓炎的分類有多種形式,根據其感染途徑可分為:
1.血源性骨髓炎:由身體其他部分的化膿性病灶經血液循壞傳播至骨內。
2.外傷性骨髓炎:由外傷創口感染引起,如開放性骨折繼發的骨髓炎。
3.感染性骨髓炎:由附近軟組織感染直接蔓延而成,如膿性指頭炎引起的骨髓炎。
4.硬化性骨髓炎:表現為一段骨幹或整個骨幹的進行性、廣泛性增生和硬化的炎性改變。因炎性反應的刺激,導致骨髓腔內發生廣泛纖維化、甚至骨髓腔消失,血液循環發生障礙,有竇道形成等。
5.醫源性骨髓炎:醫源性骨髓炎大多發生於手術中,由於醫務人員過分依賴抗生素而放鬆無菌操作,使患者的抵抗能力低下,招致了細菌的侵犯。複雜大手術的實施,使患部有機會接觸細菌,而抗生素的不正確使用和不及時有效的治療所造成的骨內感染,就是醫源性骨髓炎。
病情發展命名
骨髓炎根據病情發展可為急性和慢性兩類。從急性骨髓炎到慢性炎是一個逐漸發展的變化的過程,不能機械地按時間劃分。急性炎症消退後,若有死骨、有竇道、有死腔即為慢性骨髓炎。急性骨髓炎包括急性化膿性骨髓炎、亞急性骨髓炎、急性髂骨性骨髓炎和急性脊椎性骨髓炎。慢性骨髓炎包括慢性化膿性骨髓炎、局限性骨髓炎、硬化性骨髓炎和結核性骨髓炎 。
其他命名
骨髓炎根據發病部位及病理改變的不同還可分為顱骨化膿性骨髓炎、頜骨化膿性骨髓炎和指(趾)骨化膿性骨髓炎等。全身有兩個以上部位發病的稱全身我發性骨髓炎 。
臨床表現
骨髓炎骨髓炎是指化膿性細菌感染骨髓、骨皮質和骨膜而引起的炎症性疾病,多數由血源性引起,也多由外傷或手術感染引起,多由癤癰或其他病灶的化膿菌毒進入血液而達骨組織。四肢骨兩端最易受侵,尤以髖關節為最常見 。臨床上常見有反覆發作,嚴重影響身心健康和勞動能力。急性骨髓炎起病時高熱、局部疼痛,轉為慢性骨髓炎時會有潰破、流膿、有死骨或空洞形成。重症患者常危及生命,有時不得不採取截肢的應急辦法,致患者終生殘疾。
檢查
1.實驗室檢查
骨髓炎血白細胞計數可以正常。但ESR和C-反應蛋白增高。
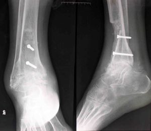
2.X線檢查
X線變化在感染後3~4周出現,表現為骨質不規則增厚和硬化,有殘留的骨吸收區或空洞,其中可有大小不等的死骨,有時看不到骨髓腔。小骨腔和小死骨在硬化骨中有的不能顯影,所以實際存在的數目往往比照片上所顯示的多。
3.CT檢查
若X線表現不明確,可行CT檢查以確定病變骨及顯示椎旁膿腫的形成,放射骨掃描在病變早期即有反映,但無法區別感染。
4.活檢
對於骨折和腫瘤,可通過椎間盤間隙或感染骨的穿刺活檢和手術活檢。可行細菌培養和藥敏試驗。
5.碘油造影
為了明確死骨或骨腔與竇道的關係,可用碘油或12.5%碘化鈉溶液作竇道造影。
鑑別診斷
臨床上需對骨髓炎的類型及與骨髓炎有相似臨床表現的疾病進行鑑別:
1.對於血源性骨髓炎,臨床上主要分為三種類型
(1)急性血源性骨髓炎其特點是具全身性症狀,發病10天內X線檢查無改變,大多數病例沒有既往發作的病史。
(2)亞急性血源性骨髓炎其特點是不具全身中毒症狀,發病時已出現X線改變,病程超過10天,沒有既往發作的病史。
(3)慢性血源性骨髓炎其特點是依據病情變化全身症狀可有可無,X線改變常見,有既往感染髮作的病史。
2.急性骨髓炎需鑑別的疾病
從全身來看,應於急性風濕熱、急性白血病鑑別,從局部及X線所見,應與骨肉瘤、Ewing肉瘤、骨組織細胞增多症鑑別:
(1)骨肉瘤通常好發於10~20歲,在四肢骨,大部分發生在長骨幹骨骺部;偶爾發生在骨幹部,和骨髓炎相比,其骨破壞、骨膜反應的範圍比較局限,但有時X線鑑別困難;通過CT、MRI檢查及活體組織檢查鑑別是必要的。
(2)Ewing肉瘤常常與骨髓炎難以鑑別。Ewing肉瘤發病部位在四肢骨的骨幹部;有時有劇痛,伴發熱及局部熱感;血沉升高;白細胞升高;CRP陽性,呈炎症反應。X線上,早期以骨膜反應為主,骨髓內缺乏變化,診斷困難。骨膜反應與骨髓炎相比,規則,多半呈蔥皮狀骨膜反應,這是特徵。必須活檢證實診斷。
(3)骨組織細胞增多症根據發病部位,顯示種種X線像。發生在四肢長管狀骨時,有高度的骨質破壞及顯著的骨膜反應,因局部及全身均有輕度的炎症症狀,骨組織細胞增多症與骨髓炎相比,骨破壞的範圍及骨膜反應都是局限性的;如從死骨上看,有時也不出現硬化像。
(4)骨樣骨瘤有時與骨髓炎難以鑑別。X線上,常發生在長管狀骨的偏在性(即發生在中央偏上,或下)X線顯示高度骨膜反應及骨皮質肥厚,如果細心觀察,其中可見病灶的骨透亮像。
併發症
慢性骨髓炎可能發生的併發症有以下幾種:
1.畸形
由於骨骺受炎症的刺激,使患肢過度生長而變長,或因骨骺板破壞,影響發育,結果肢體短縮,骨骺板一側受破壞,發育不對稱,使關節呈內翻或外翻畸形;由於軟組織瘢痕攣縮,也可引起屈曲畸形。
2.關節強直
由於感染擴散到關節內,關節軟骨面破壞,使關節呈纖維性或骨性強直。
3.癌變
竇道口皮膚由於不斷受刺激,可合併癌變,常見為鱗狀上皮癌。
治療
骨髓炎 1.穿刺吸引術
為減輕骨髓腔壓力,防止炎症在骨髓腔上下擴散,對病灶處可進行穿刺吸引,同時還可向腔內注入抗生素。
2.開窗引流術
在X線檢查顯示骨質局部已有破壞及骨髓腔陰影增寬者,可在骨髓腔內積膿部位進行骨皮質鑽孔或開窗,防止炎症擴散,以利分泌物引流。或進行創腔的上下給抗生素閉式灌洗治療。
3.死骨取出術
對死骨較大、已具備手術時機者可將死骨取出,是治療慢性骨炎最常見和最基本的手術方法。
4.帶蒂肌肉瓣充填術
因骨腔大為,消滅骨空洞,竇道久治不愈,將較近的正常肌組織松質骨充填與缺損處等。
5.截肢術
適用於一肢多處骨髓炎,合併多數竇道,久治不愈或因慢性炎症長期刺激局部皮膚發生惡變者。
6.大塊病骨切除術
一般適用慢性血源性骨髓炎,病骨已明顯硬化,或局部瘢痕多,久治不愈,某些不負重也無重要功能的慢性骨髓炎患者。
預防
1.癤、疔、瘡、癰以及上呼吸道感染都是最常見的感染性疾病,且最易繼發感染而致血源性骨髓炎的發生。因此預防癤、瘡、癰及上呼吸道感染的發生,對預防骨髓炎的發生是十分重要的。
2.外傷感染包括組織損傷後感染和骨骼損傷後感染,也是引起骨髓炎的常見原因,因此在日常生活中應注意積極預防。
3.對於感染性的疾病,應及早發現、及時治療。
4.開放性骨折首先要防止感染。已行內固定的開放性骨折,一旦發生感染並蔓延到髓腔後,炎性感染常沿髓內針向兩端擴散,在髓內針穿入或穿出部位的皮下也可能形成感染,一旦發生,應特別注意首先取出內固定物以控制感染。
出院後注意事項
1、加強營養,提高機體抵抗力,防止疾病反覆
2、骨髓炎易於復發,注意關注體溫,患肢有無紅腫熱痛症狀,定期複診
3、每日適當功能鍛鍊,,避免患肢功能障礙
4、可使用拐杖、助行器,減輕患肢負重,防止發生患肢病理性骨折。
常見疾病
| 疾病的存在,是從痛苦和不適等自覺症狀開始的。疾病,有如健康一樣,從不同角度考查可以給出不同的定義。最常套用的定義是"對人體正常形態與功能的偏離。現代醫學對人體的各種生物參數(包括智慧型)都進行了測量,其數值大體上服從統計學中的常態分布規律,即可以計算出一個均值和95%健康個體的所在範圍。 |
疾病大觀
| 伴隨著人們生活水平的日益提高,各種各樣的疾病也以極高的頻率出現在我們的生活中,這些疾病困擾著人們,讓人們備受折磨。現在,病理學常識帶我們去科學的認識了解這些疾病,在科學的指引下,認清這些疾病的真面目,擺脫疾病的困擾,讓每一個人都有一個健康的體魄! |

