簡要介紹
菌質體菌質體感染,菌質體(又稱支原體)引起的感染。能使人體致病的有肺炎菌質體、人型菌質體和分解尿素菌質體。肺炎菌質體感染主要表現為菌質體肺炎,較常見。分解尿素菌質體可引起泌尿系感染,如尿道炎、、出血性膀胱炎等。人型菌質體和分解尿素菌質體能引起生殖系感染,如急性輸卵管炎、、產褥熱等。泌尿生殖系的菌質體感染,在成人通過性接觸傳播,新生兒則通過母親產道而受染;亦可通過污染用具而間接傳播。
病原介紹
菌質體菌質體呈多形性,有球狀、球桿狀、棒狀、長絲狀和不規則狀。大小相差懸殊,最小的呈球形,直徑80~300nm,可通過濾菌器。革蘭氏染色陰性。電子顯微鏡下,菌質體的細胞膜由兩層蛋白質膜和一層脂膜組成。細胞質內有核糖體、雙股DNA、可溶性RNA(見圖[菌質體模式圖])。菌質體一般呈厭氧生長,有些株在有氧條件下亦生長良好。與病毒不同處為能在無活細胞的瓊脂培養基上生長。在含5~10%和相對濕度80~90%的大氣環境中生長較佳。來自靈長類的菌質體如口型菌質體、唾液菌質體等,大多在含95%氮和5%環境中才能生長及分離。菌質體的生長繁殖速度較細菌緩慢,最快需24~48小時,一般需7~14天,生長緩慢的需21~30天。菌質體沒有細胞壁,易被脂溶劑如乙醚、氯仿等以及酒精和常用消毒劑如石炭酸、甲醛等溶解和滅活。對熱和乾燥敏感,不耐酸。對干擾蛋白質合成的抗生素如四環素敏感,但對干擾細胞壁合成的抗生素如青黴素則不敏感。菌質體在自然界中分布很廣,許多動物、昆蟲和植物都能儲存和攜帶菌質體。
主要症狀
菌質體感染用藥亞急性期常合併前列腺感染,患者常出現會陰部脹痛、腰酸、雙股內側不適感或在做提肛動作時有自會陰向股內側發散的刺痛感。
女性患者多見以子宮頸為中心擴散的生殖系炎症。多數無明顯自覺症狀,少數重症病人有陰道墜感,當感染擴及尿道時,尿頻、尿急是引起病人注意的主要症狀,感染局限在子宮頸,表現為白帶增多,混濁,子宮頸水腫,充血或表面糜爛,感染擴及尿道表現為尿道口潮紅,充血,擠壓尿道可有少量分泌物外溢,但很少有壓痛出現。
主要危害
1、肺炎支原體除引起原發性非典型肺炎外,還引起上呼吸道感染、支氣管炎、肺膿瘍及嚴重的肺外併發症,如免疫性溶血性貧血、腦膜炎、心肌炎、心包炎、腎炎等。
2、解脲脲原體可引起非淋菌性尿道炎、子宮內膜炎、絨毛膜羊膜炎、自然流產、早產、低體重新生兒及新生兒肺炎、腦膜炎、敗血症。
3、人型支原體可引起盆腔感染、產後熱、腎盂腎炎及新生兒腦膜炎、腦膿腫等。
傳播途徑
1、主要是直接性接觸感染,與患有非淋菌性尿道炎的病人性交時。
2、還有間接接觸感染,使用患有非淋菌性尿道炎的病人用過的衣褲、床上用品、毛巾、浴盆、抽水馬桶等以及產道感染。
常規檢查
嗜酸性粒細胞2.x線檢查:衣原體肺炎胸片無特異性,多為單側下葉浸潤,表現為節段性肺炎,嚴重者呈廣泛雙側肺炎。沙眼衣原體肺炎胸片顯示雙側廣泛間質和肺泡浸潤,過度充氣征比較常見,偶見大葉實變。
3.直接塗片鏡檢:取咽分泌物、痰、呼吸道教膜或其他部位標本做塗片,進行GZmesa染色,原體染成紅色,始體染成深藍色。沙眼衣原體包涵體因含有糖原,801染色染成褐色。
4.快速抗原檢測:多採用單克隆抗體直接免疫螢光法檢測標本中的衣原體,還可套用2I—IsA法加入抗衣原體抗體、酶標抗體18G及底物進行比色定量檢測。這兩種方法簡便敏感。
5.衣原體分離:肺炎衣原體培養最好用Hela細胞或Hep一2細胞,一般取氣管或鼻咽吸取物作為臨床標本,及時接種。目前衣原體鑑定多採用Hela細胞或Hep一2細胞培養後通過特異性單克隆螢光抗體法(MFA),該技術敏感性高,特異性強,如能早期採集標本,可在48h內獲得陽性結果。
6.血清學檢全:採用補體結合試驗,著恢復期血清抗體效價比急性期血清效價增高4倍或4倍以上即有診斷意義,但無早期診斷意義,微量免疫螢光法(MrF)適用於沙眼衣原體。
7.PcR技術:普通PcR技術檢測肺炎衣原體特異性DNA,具有快速、簡便、特異的優點,敏感性高於細胞分離技術,但在檢測咽拭於標本中效果不夠理想。用套式PcR(nPcR)檢測可顯著提高其敏感性。
診斷方法
肺炎支原體支原體兼性厭氧,在5%~10%CO2,80%~90%濕度的條件下,生長較好,支原體細胞中的主要成分膽固醇及蛋白質均來自培養基,後者需含血清,卵黃等。菌落形似煎荷包蛋,一般為大菌落,100~300nm,生長需7~14d,另一種,菌落10~25nm,生長快,只需24~48h,稱為T株,即脲解支原體。
(二)抗體及抗原檢測
肺炎支原體感染後2周,約50%產生抗體,紅細胞冷凝集試驗陽性,效價1∶32以上,恢復期效價4倍增長則意義大。40%~50%病例鏈球菌MG凝集試驗陽性。另可通過補體結合試驗、間接血凝、酶聯吸附等檢測。此外,病灶灌洗液通過PCR檢測。此外,利用基因探針快速檢測系統,套用同位素標記DNA,可測定肺炎支原體中的RNA,與培養相比,符合率達89%。
治療方法
鑒於支原體缺乏細胞壁,故作用於細胞壁的抗生素,如β-內醯胺類抗生素均無效,如青黴素類及頭孢菌素類均不可採用,氨基糖甙類在體外雖有作用,但尚無體內套用的系統報告。
肺炎支原體感染乃採用四環素及紅黴素。阿齊黴素優於紅黴素。奎諾酮類中的環丙沙星及洛莫沙星均有效。約10%脲解支原體對四環素耐藥,大多病人四環素及紅黴素仍有效。
預防措施
菌質體感染用藥(2)講衛生,避免交叉感染。不到人群密集、通風不良的影劇院、百貨公司、超市等處去。儘量避免接觸患者,有病就近就醫,少跑大醫院,縮短侯診時間。以往認為呼吸道疾病僅由呼吸傳播,近年已證實,接觸傳染是重要的傳播方式。應特別提醒注意的是,不是讓小兒被動吸菸被吸菸,是增加小兒患呼吸道疾病的重要原因。
(3)藥物預防。某些中西藥物可提高機體細胞及體液免疫功能,最好是在醫生指導下用藥。
(4)注射疫苗。目前有些地方用減毒病毒疫苗,但尚不能普及套用,曾設計疫苗進行預防,但保護率僅50%抗生素預防也無系統報告。
菌質體肺炎
菌質體感染引起的肺炎病原:為肺炎菌質體,直徑約為150~200nm,形態呈多形性。能在無活細胞而含有牛心消化液、20%馬血清、酵母浸出液和葡萄糖的培養基中生長。肺炎菌質體的抗原主要存在細胞膜上,抗原組成比較複雜。感染人體後,可產生補體結合、生長抑制、代謝抑制、間接血凝等特異性抗體,並能產生冷凝集素。
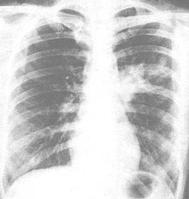
臨床表現:肺炎菌質體侵入呼吸道,首先吸附於黏膜細胞表面,使纖毛活動減弱,並發生淺表炎症,表現為鼻咽炎、喉炎、氣管支氣管炎和間質性肺炎。肺炎菌質體亦可進入血液傳播至其他器官,引起病變。感染後可使人體淋巴細胞致敏,並產生對多個組織器官如血細胞、心、肝、腎、腦、平滑肌等的自身抗體,形成肺外多個組織器官的病變。潛伏期為2~3周。起病緩慢,先表現為感冒和氣管炎。隨之發生畏寒、發熱,體溫升至39℃左右,伴有陣發性劇烈乾咳,咯少量粘液痰,有時痰內帶血。可有頭痛、乏力及食欲不振。肺部體徵常不明顯。X射線胸部透視,肺部可見斑片狀、結節狀或肺門浸潤狀的炎性陰影。發生在肺下葉比較多見,多為單側,少數呈雙側。部分病人伴有胸腔積液。有的病人並不出現症狀,只是在胸部透視時,發現肺部有陰影。須與肺結核鑑別,本病發病2周后肺部陰影可自行消退。本病可出現多種肺外表現,但較少見,表現有溶血性貧血、血小板減少、瀰漫性血管內凝血、結節性紅斑、多形性紅斑、蕁麻疹、關節炎、肌肉痛、胃腸炎、肝炎、心肌炎、心包炎、腦膜炎、腦膜腦炎、脊髓炎、顱神經及周圍神經麻痹、腎炎等。
診斷:除根據典型臨床表現外,確診須依靠實驗室檢查,例如:①分離病原體。用病人鼻咽漱洗液、痰等標本,接種於牛心消化液瓊脂培養基,可以分離肺炎菌質體。②冷凝集試驗。冷凝集效價≥1:40即有診斷意義,≥1:160則診斷價值更大。但結核、腺病毒感染等亦可引起冷凝集效價增高。③特異性血清學診斷。可用補體結合、代謝抑制、生長抑制、間接血凝、放射免疫等方法測定抗體,須取急性期和恢復期雙份血清,抗體效價4倍以上增高者方有診斷意義。早期痰塗片用螢光抗體染色,可作出快速診斷。
治療與預防:用四環素或紅黴素治療均有明顯效果,可縮短病程,減少併發症。重症病人可加用腎上腺皮質激素。劇咳者可用可待因。除隔離治療病人外,套用滅活疫苗,有一定的保護作用,套用鼻內接種減毒活疫苗效果較好。但接種滅活或減毒活疫苗後,可發生過敏反應,尚須進一步研究解決。
相關條目
肺原性心臟病、大腸桿菌感染、利斯特氏菌病、布魯斯氏菌病、病毒性出血熱、細菌性食物中毒、沙門氏菌病、假單胞菌感染、單純皰疹病毒感染、菌質體感染、葡萄球菌感染、鏈球菌感染、衣原體感染、克雷伯氏菌感染、腺病毒感染、非典型分枝桿菌病、非典型分枝桿菌病、中耳癌、血管運動性鼻炎、急性心肌梗死、腦中風、原發性肺動脈高壓、侵蝕性葡萄胎、分泌性中耳炎、先天性後鼻孔閉鎖、鼻竇囊腫、鼻中隔穿孔、喉阻塞、鏈球菌性咽炎、慢性咽炎、噪聲性耳聾、鼻癤、先生性耳前瘺管、耵聹栓塞、阻塞性睡眠呼吸暫停綜合徵、腺樣體肥大、病毒性心肌炎、病毒性腦膜炎、病毒性皰疹、過敏性哮喘、過敏性結膜炎、佝僂病、甲狀腺機能亢進、帕金森病、老年性白內障、胰腺炎、腎衰竭、視網膜脫離、靜脈炎、骨髓炎、尿道狹窄。
