簡要介紹
衣原體衣原體引起的感染。衣原體的種類很多,不同的衣原體可引起人類、鳥類及哺乳類動物(如家畜、嚙齒類動物)的眼、泌尿生殖道、呼吸道、神經系統、關節、胎盤和全身感染。引起人類衣原體感染的主要病原有沙眼-包涵體結膜炎衣原體、花柳性淋巴肉芽腫衣原體和鸚鵡熱衣原體。中國除沙眼衣原體引起的較普遍外,其他衣原體的感染較少見。抗生素和磺胺治療對衣原體感染療效很好。
衣原體
衣原體,不能在人工培養基上生長,只能在寄主細胞內生長,能通過細胞濾器的微生物。因而長期以來被認為是病毒。但它又有細胞壁結構,借二分裂繁殖,含DNA和RNA二種核酸,胞漿內有核糖體,對磺胺和多種抗生素敏感,這些特性又類似細菌。1957年開始把衣原體歸於細菌類,這一主張已獲得越來越多的微生物學家的支持。按伯傑氏新的分類,衣原體屬立克次氏體綱衣原體科。衣原體屬為沙眼衣原體組衣原體,這組衣原體在寄主細胞漿內形成緻密型包涵體,其中含有豐富的糖原,碘染色陽性。對磺胺藥和環絲氨酸類藥物高度敏感。衣原體屬為鸚鵡熱衣原體組衣原體,這組衣原體在寄主細胞漿內的包涵體呈疏鬆型,不含糖原,碘染色陰性,對磺胺藥不敏感,對環絲氨酸類藥物低度敏感。根據寄生的寄主不同,可將衣原體分成三類:
1.以人類為寄主。如沙眼-包涵體結膜炎衣原體、淋巴肉芽腫衣原體、鸚鵡熱和鳥疫衣原體,可引起眼、泌尿生殖系和呼吸道疾病。
衣原體感染2.以鳥類為寄主。如鳥疫和鸚鵡熱衣原體,可引起人和鳥類的呼吸道及全身感染。
3.以哺乳動物(除靈長類動物以外)為寄主。如家畜和嚙齒類動物衣原體,可引起哺乳動物的呼吸道、胎盤、關節和腸道的疾病。衣原體在光學顯微鏡下有兩種形態:一為原體,又稱網狀體,直徑為200~500nm(毫微米),卵圓形,外周有細胞壁和細胞膜包裹,為衣原體的傳染型。另一為始體,較大,直徑為600~1200nm,外周亦有細胞壁和細胞膜包裹,為衣原體的繁殖型。衣原體的生活周期是:具有感染性的原體吸附於寄主易感細胞(指對病原體敏感而易受感染的細胞)的表面,隨細胞的吞噬作用進入細胞漿,形成能繁殖的始體,始體在細胞漿空泡中進行多次二分裂。後寄主細胞充滿多數的小顆粒(即原體)。隨後寄生細胞破裂,原體釋出,再侵入新的寄主細胞,完成新的生活周期。
衣原體對熱較敏感,56℃時5~10分鐘即可滅活,-70℃可保存數年常用消毒劑如0.1%甲醛和0.5%石炭酸溶液經24小時可以殺死衣原體,75%酒精殺滅力最強,半分鐘即可將其滅活。污染的臉盆或毛巾乾燥1小時後其中的衣原體即可全部死亡。金黴素、四環素、氯黴素、磺胺藥、利福平、0.5%硫酸銅溶液等均可抑制其繁殖或將其殺滅。衣原體可用雞胚培養。哺乳類動物的原代和傳代細胞常用於衣原體的分離和培養。衣原體有兩種不同的抗原,一為組特異性抗原,為所有衣原體共有,存在於衣原體的胞膜中,耐熱,可用補體結合反應和瓊脂擴散試驗檢測。另一為型特異性抗原,可藉此將沙眼衣原體和鸚鵡熱衣原體分成不同血清型,存在於細胞壁中,可用中和試驗和微量免疫螢光法檢測。衣原體能產生內毒素,給小白鼠靜脈注射可致寄主死亡,能被相應的抗毒素中和。
主要種類
人類主要的衣原體感染 有以下幾種:
1、沙眼-包涵體結膜炎衣原體感染,又稱“副沙眼”。
2、泌尿生殖道感染。一般通過性傳播。有非淋菌性尿道炎、前列腺炎、附睪炎、子宮頸炎、子宮內膜炎、
衣原體感染圖輸卵管炎等。衣原體引起的生殖道炎症與不孕症有關。此外,尚可引起賴特氏綜合徵(尿道炎-關節炎-結膜炎綜合徵)等。
3、新生兒衣原體感染。除包涵體性結膜炎外,尚有肺炎、中耳炎、鼻炎、女嬰陰道炎等。
4、花柳性淋巴肉芽腫衣原體感染 又稱“第四性病”。主要通過性接觸傳播。
5、鸚鵡熱衣原體感染 即,為人鳥共患的衣原體病。
主要症狀
附睪炎聲像圖特徵本病潛伏期比淋病長,約1-3周或數月,主要表現為尿道內不適,刺痛及燒灼感,並伴有不同程度的尿頻、尿急、尿痛,尿痛較淋病為輕。尿道口輕度紅腫並有漿液或粘液膿性分泌物,稀薄而量少,長時期不排尿或早晨首次排尿前可見尿道口分泌物污染內褲,並可見尿道口有“餬口”現象;分泌物少時,於晨起擠壓尿道才流出少量粘液。
沙眼衣原體感染易並發附睪炎,表現為附睪腫大,變硬及觸痛,多為單側,部分患者的抗沙眼衣原體抗體升高,可直接從附睪抽吸液中分離出沙眼衣原體;累及睪丸可出現睪丸炎,表現為睪丸疼痛、觸痛、陰囊水腫及輸精管變硬變粗;累及前列腺時可出現後尿道、會陰及肛門部位鈍痛或觸痛,可有性功能障礙,直腸鏡檢可觸及有壓痛的前列腺。如前列腺明顯腫大,可壓迫後尿道而出現尿流變細、排尿無力及尿流中斷等;本病還可以合併Reiter綜合徵,即關節炎,結膜炎,尿道炎三聯症。
(二)女性生殖系統衣原體感染症。
女性感染衣原體不限於尿道,可累及整個泌尿生殖器官,此類感染常因缺乏自覺症狀或症狀輕微而忽視了治療,造成傳染源而擴散,形成危害。
女性衣原體感染比男性感染引起的症狀要多,其主要感染部位為宮頸,其後遺症多導致不孕症。
發病機理
衣原體當人體感染衣原體後,產生特異性的免疫,但是這種免疫力較弱,持續時間短暫,因此,衣原體感染容易造成持續,反覆感染,以及隱性感染。
細胞免疫方面,大部分活動性已治癒的衣原體患者,給予相應的抗原皮內注射時,常引起遲髮型變態反應。這種變態反應可用淋巴細胞進行被動轉移。此種免疫性很可能是T細胞所介導。體液免疫方面,在衣原體感染後,在血清和局部分泌物中出現中和抗體。中和抗體可以阻止衣原體對宿主細胞的吸附,也能通過調理作用增強吞噬細胞的攝入。
流行病學
近年來各種報導顯示,淋菌性尿道炎發病率下降,而非淋菌性尿道炎卻不斷上升,居STDs的首位。其中CT感染所致的病例顯著增加,如美國報導非淋菌性尿道炎約半數為CT所致,在淋病中有20-40%從病灶中分離出CT,另據報導男性非淋菌性尿道炎在世界急劇上升,以美國為例、一年間就300萬人患本症。女性宮頸炎等,在女性生殖器感染症中CT也是其主要的病原菌。
Cates及Rice等認為年齡小於20歲,未婚有性生活及經濟條件差者,是CT感染的危險人群。女性宮頸CT感染的危險因素有:宮頸糜爛、性伴侶多、合併淋病等。因此,對易感人群進行CT的檢查非常必要。
傳播途徑
衣原體男性非淋菌性尿道炎約30-70%可通過性交傳染給女性,反之亦有25-50%患有衣原體性宮頸炎的女性經性交亦可傳給男性。新生兒由母體垂直感染,發生衣原體性結膜炎,有10-20%發生肺炎,女性感染CT還有由宮頸炎上升而並發腹腔內諸器宮感染。由於“口交”亦能引起口腔內衣原體感染。另外,由宮頸、輸卵管處分離出CT的事實,也可說明其傳播途徑。
檢查方法
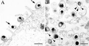
1.衣原體細胞培養:對沙眼衣原體敏感的細胞株為McCoy細胞、Hela-229細胞和BHK細胞,最常用的是經放線菌酮處理的單層McCoy細胞,孵育後,用單克隆螢光抗體染色,可迅速診斷,但操作人員一定要熟練,需專業培養。培養法的敏感性為80%-90%,陽性即可確立診斷。
2.近年來採用螢光素標記的抗衣原體單克隆抗體,來檢測細胞塗片中的衣原體,使用較為方便,目前主要用衣原體外膜蛋白(MOMP)的單克隆抗體的商品試劑。結果判斷:衣原體數>10個才能判為陽性。
診斷方法
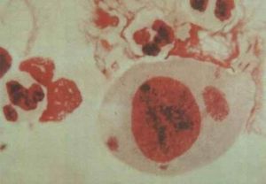
衣原體1.直接塗片找包涵體:結膜、尿道和子宮頸刮片或組織切片,用吉耶姆薩氏染劑染色或碘染色,在細胞內可見包涵體。套用免疫螢光抗體染色,可查到細胞內病原體。這些檢查均可作為快速診斷。
2.衣原體分離培養:取相應的標本接種於雞胚卵黃囊中或Hela-229、BHk-21等細胞培養中,可以分離培養衣原體。
3.血清學檢查:可用補體結合試驗,抗體效價≥1:64即有診斷價值;急性期和恢復期雙份血清,抗體效價有4倍以上增高者則診斷意義更大。但補體結合試驗的特異性和敏感性均較差。套用酶聯免疫吸附試驗(ELISA)或放射免疫法(RIA)檢測抗體,敏感性較高,但不同衣原體之間可有交叉反應。用免疫螢光法檢測抗體,不僅敏感性很高,而且可檢出不同的衣原體及其血清型。
衣原體危害
(1)支原體衣原體非淋感染可並發前列腺炎:支原體經尿道感染後患者可出現尿道炎症狀,並可繼發慢性前列腺炎。女性可見宮頸及前庭大腺,引起尿道炎、宮頸炎與前列大腺炎。(2)支原體衣原體非淋感染可導致性功能下降:由於病原微生體對生殖器官和性神經反應末梢的損害,使得性神經對有效刺激不敏感,性器官長期處於不應期,性慾和反應減弱,久而久之導致陽痿。
(3)導致不育:感染精道、精囊和睪丸,影響精子和精液的質量,引起不育。支原體感染還可以干擾精子運動、導致精子畸形、破壞精子生成、導致輸卵管不暢、易導致流產、危害女性圍產期等等,從而引起不育症。因此專家提醒:有生育要求的男性,在生育前需進行支原體、衣原體檢查,發現異常要及時治療。支原體衣原體感染最好還是康復後再生育。
衣原體感染檢查
血常規
周圍血白細胞計數一般正常,嗜酸性粒細胞增多。
x線檢查
衣原體肺炎胸片無特異性,多為單側下葉浸潤,表現為節段性肺炎,嚴重者呈廣泛雙側肺炎。沙眼衣原體肺炎胸片顯示雙側廣泛間質和肺泡浸潤,過度充氣征比較常見,偶見大葉實變。
直接塗片鏡檢
取咽分泌物、痰、呼吸道教膜或其他部位標本做塗片,進行GZmesa染色,原體染成紅色,始體染成深藍色。沙眼衣原體包涵體因含有糖原。801染色染成褐色。
快速抗原檢測
多採用單克隆抗體直接免疫螢光法檢測標本中的衣原體,還可套用2I—IsA法加入抗衣原體抗體、酶標抗體18G及底物進行比色定量檢測。這兩種方法簡便敏感。
衣原體分離
肺炎衣原體培養最好用Hela細胞或Hep一2細胞,一般取氣管或鼻咽吸取物作為臨床標本,及時接種。衣原體鑑定多採用Hela細胞或Hep一2細胞培養後通過特異性單克隆螢光抗體法(MFA),該技術敏感性高,特異性強,如能早期採集標本,可在48h內獲得陽性結果。
血清學檢全
採用補體結合試驗,著恢復期血清抗體效價比急性期血清效價增高4倍或4倍以上,即有診斷意義,但無早期診斷意義。微量免疫螢光法(MrF)適用於沙眼衣原體。
PcR技術
普通PcR技術檢測肺炎衣原體特異性DNA,具有快速、簡便、特異的優點,敏感性高於細胞分離技術,但在檢測咽拭於標本中效果不夠理想。用套式PcR(nPcR)檢測可顯著提高其敏感性。
治療方法
可用四環素、紅黴素、複方磺胺甲基異唑、氨苄青黴素等全身治療。對眼部感染可用利福平、四環素、紅黴素眼藥水滴眼。
首選阿齊黴素250mg每日1次,連服7天,或用強力黴素100mg每日2次,連服7日。複方新諾明亦有效。
另外近年來新開發的對各領域的感染症廣泛使用的新藥喹諾酮類,在治療衣原體方面臨床效果較好,其中常用的藥物有氧氟沙星(OFIX),環丙沙星(CPFX),洛美沙星,利福平治療效果也較好。
感染機率
在國外的一些研究中,從11%的無症狀士兵,11%城市急診部門無症狀男性和7%無症狀的大學生中分離到沙眼衣原體。美國鄉村人群中孕婦沙眼衣原體(CT)感染率為9.0%;墨西哥低經濟收入的孕婦CT感染率為10.1%;丹麥Vestsjaelland 城,孕婦CT感染率為2.9%;巴西聖保羅,孕婦CT感染率為9%;而法國Martinique城,,孕婦CT感染率為26.7%。世界各地孕婦CT感染率不同,可能與各地的檢測試劑,方法和時間不同有關。
衣原體感染與相關疾病
1、致病機理衣原體能產生類似格蘭陰性菌內的內毒素,靜脈注射小白鼠,能迅速使動物死亡。體外試驗提示,衣原體表面脂多糖和蛋白促進其吸附於易感細胞,促進易感細胞對衣原體的內吞作用,並能阻止吞噬體和溶酶體的融合,從而使衣原體在吞噬體內繁殖並破壞細胞。受衣原體感染的細胞代謝被抑制,最終被破壞。
2、疾病舉例
(1)、沙眼:由衣原體沙眼生物變種A、B、Ba、C血清型引起。主要經直接或間接接觸傳播,即眼~眼或眼~手~眼的途經傳播。當沙眼衣原體感染眼結膜上皮細胞後,在其中增殖並在胞漿內形成散在型、帽型、桑椹型或填塞型包涵體。該病發病緩慢,早期出現眼瞼結膜急性或亞急性炎症,表現流淚、有粘液膿性分泌物、結膜充血等症狀與體徵。後期轉變成慢性,出現結膜瘢痕、眼瞼內翻、倒睫、角膜血管翳引起的角膜損害,以致影響視力,最後導致失明。據統計沙眼居致盲病因的首位。1956年我國學者湯飛凡等人用雞胚卵黃囊接種法,在世界上首次成功地分離出沙眼衣原體,從而促進了有關原體的研究。
(2)、包涵體包膜炎:由沙眼生物變種D~K血清型引起。包括嬰兒及成人兩種。前者系嬰兒經產道感染,引起急性化膿性結膜炎(包涵體膿漏眼),不侵犯角膜,能自愈。成人感染可因兩性接觸,經手至眼的的途徑或者來自污染的游泳池水,引起濾泡性結膜炎又稱游泳池結膜炎。病變類似沙眼,但不出現角膜血管翳,亦無結膜瘢痕形成,一般經數周或數月痊癒,無後遺症。
(3)、泌尿生殖道感染:經性接觸傳播,由沙眼生物變種D~K血清型引起。男性多表現為尿道炎,不經治療可緩解,但多數轉變成慢性,周期性加重,並可合併附睪炎、直腸炎等。女性能引起尿道炎、宮頸炎等,輸卵管炎是較嚴重併發症,導致女性不孕不育。該血清型有時也能引起沙眼衣原體性肺炎。
(4)、性病淋巴肉芽腫:由沙眼衣原體LGV生物變種引起。LGV要通過兩性接觸傳播,是一種性病。男性侵犯腹股溝淋巴結,引起化膿性淋巴結炎和慢性淋巴肉芽腫。女性可侵犯會陰、肛門、直腸,出現會陰~肛門~直腸組織狹窄
(5)、呼吸道感染:由肺炎衣原體及鸚鵡熱衣原體引起。肺炎衣原體引起急性呼吸道感染,以肺炎多見,也可致氣管炎、咽炎等。鸚鵡熱原為野生鳥類及家畜自然感染,也可經呼吸道傳然給人類,發生呼吸道感染和肺炎。
(6)、免疫性衣原體感染後能誘導產生異性細胞和體液免疫。但保護性不強,為時短暫,因此衣原體的感染常表現為持續感染,反覆感染或隱形感染。有些衣原體抗原注入人皮後內可造成免疫病理損傷。
預防措施
衣原體沙眼衣原體感染是近年來才發現的性玻因此,在生活中提高人們對沙眼衣原體的認識,自覺地進行自我防護,才會降低整個社會的發病率。
(1)杜絕性亂無論是對沙眼衣原體感染,還是對其他性病,都是最主要的預防措施。生活作風嚴謹,不參與淫亂嫖娼,不涉足婚外性行為,才能從根本上防患於未然。
(2)要注意個人衛生:個人的洗浴用品、毛巾獨自使用;不穿借別人的內衣、泳衣;外出期間不洗盆塘;儘量使用坐式馬桶,上廁所前洗手。這些做法可以減少接觸感染的機會。
(3)配偶患沙眼衣原體感染期間要禁止性生活。現代醫學有許多藥物可以治療沙眼衣原體感染,而且用藥方便,患者只需堅持治療就會很快恢復健康。治療應在夫妻之間同時進行,婦女患病可能沒有明顯症狀,不要因為沒有症狀就拒絕治療而成為隱性傳染者。
(4)孕婦如果感染沙眼衣原體可以用紅黴素治療。治療後複查,確認治好後才能從陰道分娩。

