流行病學
肺炎衣原體感染2.傳播途徑 經呼吸道傳播。
3.人群易感性及免疫力 人群普遍易感,隱性感染率高兒童血清抗肺炎衣原體IgG抗體陽性率較低大約10%,10歲以後迅速上升,且持續多年,許多國家統計成人半數以上血清中可檢出抗-肺炎衣原體IgG抗體,其陽性率男性高於女性,亦可有健康病原攜帶者。但感染後免疫力差,抗體滴度可迅速下降,以後再次感染又出現高滴度抗體,故認為本病不僅感染十分普遍,且再感染及反覆發作相當常見。
4.流行特徵 本病的發生及流行,熱帶國家地區高於北部已開發國家,有的地區5~14歲年齡組發病率高於成年人。發病可有散發和流行交替出現的周期性,散發發病3~4年後可有2~3年的流行期,此間可發生短期暴發。本病可在家庭、學校或軍隊中流行在美國英國、芬蘭挪威、丹麥及瑞典等國家均有本病流行或暴發流行的報導。我國1963年即有此病原體感染。本病感染的廣泛性及致病多樣性引起人們的極大關注。
病因
本病之病原體為肺炎衣原體。1965年Grayston首次在一中國台灣兒童之結膜分泌物中,分離出一株與其他衣原體不同的衣原體,當時命名為TW(Taiwan)-1831983年又在美國西雅圖1名急性呼吸道感染的大學生咽部分泌物中,分離出另一株衣原體而命名為AR-39(acute respiratory-39)後經研究鑑定,發現此兩株實為同一種衣原體,其包涵體形態與鸚鵡熱衣原體類似,但其網狀體超微結構、單克隆抗體反應及DNA同源性均有別於沙眼及鸚鵡熱衣原體,1989年正式命名為TWAR,又稱肺炎衣原體,為衣原體屬中之第三種衣原體。肺炎衣原體的形態與另兩種衣原體有不同但近似鸚鵡熱衣原體,包涵體為緻密卵圓形,不含糖原碘染色陰性電鏡下原體典型為梨形,亦可呈多形性,平均直徑380nm,周圍原漿區較大;始體為球形,平均直徑510nm。
肺炎衣原體的主要外膜蛋白(MOMP)為主要結構蛋白,其最重要的是熱休克蛋白(HSP),是其重要的致病物質尤其與血管內膜損傷及動脈粥樣硬化的形成密切相關。目前所知有兩個血清型。
組織培養較其他衣原體困難,可用Hela細胞、229細胞、HEP-2(人喉癌)細胞、Mc Coy細胞及MTED(人氣管上皮)細胞培養,其中HEP-2細胞最敏感。
發病機制
鑒於本病病原體發現時間不長,發病機制尚不清肺炎衣原體侵入人體後,主要引起單核巨噬細胞反應,肺泡巨噬細胞作為病原體貯存和傳播的載體造成其在宿主體內的持續感染。在非人哺乳動物如小鼠及猴的實驗動物研究中發現感染後多無症狀,大部分在2個月後出現肺部病變,主要表現為間質性肺炎,早期局部有多核細胞浸潤,以後則為巨噬細胞和淋巴細胞浸潤可從肺部及脾臟分離出肺炎衣原體。其感染多為慢性,故與許多慢性感染有關,如冠心病、動脈粥樣硬化、慢性阻塞性肺病(COPD)支氣管喘息、結節病及反應性關節炎等臨床表現
肺炎衣原體感染本病潛伏期10~65天。缺乏特異性臨床表現,無症狀感染和輕症患者常見。
1.急性呼吸系感染 是其主要表現,如咽炎、喉炎、鼻竇炎中耳炎、支氣管炎及肺炎,以肺炎最常見占50%以上,支氣管炎次之。老年人以肺炎多見,20歲以下的青少年,則多為支氣管炎及上呼吸道感染。常以發熱、全身不適咽痛及聲音嘶啞起病,數日後出現咳嗽,此時體溫多已正常。亦可引起支氣管炎、支氣管哮喘,原有支氣管哮喘的患者感染肺炎衣原體後,可加重病情。還可引起咽炎、鼻竇炎及中耳炎,此多與肺炎及支氣管炎同時存在病變一般均較輕,但即使套用抗生素治療病情恢復較慢咳嗽及全身不適等症狀可持續數星期至數月。病情嚴重者可因原基礎疾病加重或因發生併發症如細菌感染而死亡。
2.傷寒型 少數患者表現為高熱、頭痛、相對緩脈及肝脾大,易並發心肌炎、心內膜炎和腦膜炎,重症患者出現昏迷及急性腎衰竭,表現類似重型傷寒
3.肺炎衣原體感染與動脈硬化冠心病及急性心肌梗死之發病的相關性 據統計50%的慢性冠心病及68%急性心肌梗死患者血清中可檢出抗肺炎衣原體抗體(IgG和IgA)對照組僅17%。用肺炎衣原體單克隆抗體免疫組化染色或用PCR法在冠狀動脈或主動脈的硬化斑中可檢出肺炎衣原體抗原或其DNA證實在病灶記憶體在病原體,而在正常動脈組織中未檢出。在電鏡下觀察亦發現在硬化的冠狀動脈壁上,可見大小和形態與肺炎衣原體相似的梨狀物Gloria等報告用單克隆抗體免疫螢光法分別在主動脈和冠狀動脈硬化的標本中檢出肺炎衣原體抗原,陽性率分別為13%和79%,正常主動脈為4%。故認為肺炎衣原體感染與動脈硬化的發生相關,是發生冠心病的危險因素,對冠心病患者應注意除外肺炎衣原體感染,並認為防治肺炎衣原體感染有可能減少冠心病的發生。據報告動脈粥樣硬化、冠心病及外周動脈栓塞等心血管病患者,常合併肺炎衣原體感染,用羅紅黴素等大環內酯類抗生素治療,並經過2~7年的隨訪可明顯降低心血管病的進展。同時發現有腎衰竭的冠心病患者,其肺炎衣原體的感染率更高,且更易促進心血管病的進展。
4.其他 可引起虹膜炎、肝炎心內膜炎、腦膜炎及結節性紅斑等。是愛滋病、惡性腫瘤或白血病等疾病發生繼發感染的重要病原體之一另發現在一些疾病如惡性腫瘤、腦血管病、腎功能不全帕金森綜合徵、肝硬化及糖尿病患者均可檢出較高陽性率的肺炎衣原體抗體兩者間的確切關係尚不明確。近年來發現,肺炎衣原體感染在COPD中常見(65%)重症患者更高。且發現COPD患者肺炎衣原體特異性抗體陽性率明顯高於健康人群。尤其是>50歲的COPD患者4%以上的急性發作與肺炎衣原體感染有關。
併發症:
可並發上額竇炎、心內膜炎、心肌炎、腦膜炎等。
診斷
由於本病缺乏特異性臨床表現,故對有肺炎或上述臨床表現的患者,如疑及本病,可做病原學或免疫學檢測確診。
鑑別診斷:
本病須與其他病原引起的肺炎如支原體肺炎、病毒性肺炎、嚴重急性呼吸綜合徵(SARS)軍團病及其他細菌性肺炎鑑別其中SARS的特點是:①流行病學特點是與發病者有密切接觸史,或屬受傳染的群體發病者之一,或有明確傳染他人的證據。或發病前2周內曾到過或居住於報告有此病患者並出現繼發感染疫情的區域。②臨床表現是發病急,以發熱為首發症狀,體溫多>38℃,可伴有頭痛、關節、肌肉酸痛、咳嗽少痰、胸悶,嚴重者出現呼吸困難或呼吸窘迫,肺部體徵不明顯,可有少許濕囉音或肺實變。③外周血白細胞及淋巴細胞可降低④肺部有片狀、斑片狀或呈網狀改變。其他則主要是通過各自的病原學和(或)血清免疫學檢查確定。
檢查
實驗室檢查:
1.血象 血白細胞計數多正常,重症患者可升高。血沉多增快
2.病原學檢查 是確診本病的可靠方法。臨床診斷不常用。
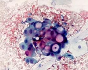
(1)直接塗片:塗片後用Giemsa或免疫螢光單克隆抗體染色檢測肺炎衣原體包涵體及原體,方法簡便但陽性率低。
(2)組織培養法:雞胚卵黃囊接種因檢出陽性率低已少用。可用細胞培養法,取咽拭子或採集下呼吸道標本,用HEP-2細胞(喉癌細胞)或Hela229細胞培養24 h,再用肺炎衣原體特異性單克隆抗體染色,檢測特異性包涵體方法較繁雜,且較其他衣原體檢出率低。
3.免疫學檢查 是常用的診斷方法。
(1)直接免疫螢光法:用肺炎衣原體單克隆抗體染色直接免疫螢光法檢測肺炎衣原體抗原方法特異敏感且快速簡便。
(2)微量免疫螢光(MIF)法:檢測肺炎衣原體抗體,特異性IgM滴度≥1∶16和(或)IgG≥l∶512或雙份血清滴度4倍以上升高者,均可診斷急性感染。如IgM≤1∶16或IgG≤1∶512,則為既往感染。本方法特異性敏感性均較高,且可用於區分原發感染和再感染,是目前最常用且最敏感的血清學方法。但要排除血循環中類風濕因子的影響。
(3)補體結合抗體檢測:滴度≥l∶64和(或)雙份血清滴度4倍以上升高者均可診斷急性感染但不能用於早期診斷,亦不能區分為哪種衣原體感染。
4.PCR法 檢測肺炎衣原體DNA,敏感性更高,且可和其他種衣原體區分,其特異性敏感性高於其他方法據統計PCR法檢出率為50%~55%,而直接免疫螢光法及塗片法分別為24%~27%和6%~10%。用連線聚合酶鏈反應(LCR)檢測,可進一步提高靈敏性及檢出率,但尚未在臨床套用據報告,PCR-EIA法是一種快速、簡便的酶免疫測定法能提高PCR對肺炎衣原體DNA的擴增檢測效率,優於PCR法,更優於培養法。
其它輔助檢查:
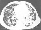
肺部X線檢查:呈非典型肺炎表現,常為單側階段性肺炎表現,嚴重者病變廣泛甚至波及雙肺,可伴有胸膜炎或胸腔積液。
治療
病原治療同另兩種衣原體感染,對四環素類、紅黴素及氟喹諾酮類藥物均極敏感,對磺胺耐藥,故常用四環素或紅黴素,2g/d,分4次口服。亦可用多西環素(doxycyc1ine)0.1g/次,2次/d療程>3周孕婦哺乳期婦女及兒童禁用四環素和喹諾酮類藥物。兒童(包括嬰幼兒)可用克拉黴素(克拉紅黴素)有較好的療效。部分病例停藥後可復發,尤其是用紅黴素治療者,再用四環素或多西環素治療仍有效。近年來發現新型大環內酯類抗生素的阿奇黴素(azithromycin),在體外藥敏試驗對肺炎衣原體呈高敏反應易進入細胞內細胞內濃度是血濃度的200%,半衰期長成人1g/次,1次/d,頓服,具高效和低胃腸道反應的優點。有報告認為阿奇黴素聯合利福平是本病最佳治療方法。另經多中心臨床試驗證實,對3~12歲兒童用克林黴素15mg/(kg·d)、紅黴素50mg/(kg·d)或阿奇黴素10mg/(kg·d)均有效。
預後預防
預後:
肺炎衣原體感染大多無症狀或輕微,隱性感染高達90%,無需住院治療。年大體弱多病者偶見死亡病歷。
預防:
1.合理地服用奏效的抗生素,務期儘快地達到根治,以防病程遷延,轉為慢性或長期帶菌。
2.講究集體和個人衛生,應強化對環境公共衛生的管理和監督。
3.目前尚無疫苗。

