專家
劉修莊 專家:劉修莊科室:神經內科
職務:長沙東協盛醫院神經內科主任
職稱:主任醫師、副教授
擅長治療:
從事醫療三十餘年,擅長腦血管病、心血管病的診斷與治療。神經疾病定位定性診斷及治療,對中風偏癱、脊髓病、肌無力症、眩暈頭痛、老年痴呆、癲癇、冠心病、心肌梗塞、心肌炎、嚴重心律失常等急危重症的救治。外語,通過日語A級考試能能翻譯、閱讀日文醫刊,掌握專業領域新進展。參加全國第11期腦出血微創錐顱培訓班並能熟練開展維創手術。並配合介入科開展腦血管造影及支架置入術。
學術任職:
陝西省急救醫學專業委員會委員陝西省醫療事故鑑定專家委員會委員
鹹陽市神經內科學會副主任委員。
從醫經歷:
畢業於第二軍醫大學,研修於中國醫科大學研究生部神經內科專業,解放軍301總院心內科專業,曾任解放軍243醫院內科主任。現坐診於長沙東協盛醫院概述
心肌炎病因
致病菌
細菌性白喉桿菌、溶血性鏈球菌、肺炎雙球菌、傷寒桿菌等。病毒如柯薩奇病毒,艾柯病毒、肝炎病毒、流行性出血熱病毒、流感病毒、腺病毒等,其他如真菌,原蟲等均可致心肌炎。但以病毒性心肌炎較常見。
病毒、細菌、真菌、寄生蟲、免疫反應,以及物理、化學因素等均可引起心肌炎。
柯薩奇病毒致病條件因素
①過度運動、運動可致病毒在心肌內繁殖複製加劇,加重心肌炎症和壞死。②細菌感染,細菌和病毒混合感染時,可能起協同致病作用。③妊娠:妊娠可以增強病毒在心肌內的繁殖,所謂圍產期心肌病可能是病毒感染所致。④其他:營養不良 ,高熱寒冷,缺氧 、過度飲酒等,均可誘發病毒性心肌炎。病理機理
發病機理
以病毒為例,病毒感染時,通過血液循環,病毒從血液穿過毛細血管及血管周圍間質而進入心肌纖維,在心肌細胞內膜繁殖複製,引起心肌細胞溶解,壞死、水腫及單核細胞浸潤等炎症反應。病變後期可能是由於病毒或心肌抗原所誘發的體液及細胞免疫所致。病理
輕重不一,可為局限性,亦可呈瀰漫性,輕者在肉眼及光學顯微鏡下看不見病變,但可分離到病毒。重者,心肌蒼白缺少彈性,心肌擴張。心肌間質及血管周圍有單核細胞浸潤等炎症反應。輕者可自愈而不留疤痕。重者心肌細胞水腫、溶解、壞死,病變可局限於心肌。亦可侵及心包膜而呈炎症滲出及粘連,或波及心內膜而呈全心炎。侵及竇房結、房室結等傳導系統可致各種心律失常,也可波及冠狀動脈而致心肌缺血性損害。慢性心肌炎心臟擴大,心肌間質炎症及心肌纖維化,可形成心肌病。臨床表現
1.症狀:疲乏、發熱、胸悶、心悸、氣短、頭暈,嚴重者可出現心功能不全或心源性休克。2.體徵:心率增快,與體溫升高不成比例,心界擴大,雜音改變,心律失常。
疾病分類
病毒性心肌炎
病毒性心肌炎可由多種病毒感染引起,其中以柯薩基病毒B最常見,水痘、EB病毒也可引起。據研究,約有5%病毒感染者感染後可累及心臟發生心肌炎。可為病毒感染後的直接侵襲心肌,也可為病毒感染後的自身免疫反應所致。前者以兒童多見,後者以青少年多見。而春季又是病毒性心肌炎的高發季節,應引起人們的警惕。
二、臨床症狀:
病初有上呼吸道感染或腸道感染症狀,7~10天后出現胸悶、心悸、極度乏力、易出汗等症狀。此時,如做心電圖,可能發現有早搏等心率失常和心肌損害表現。作血沉、心肌酶測定可能升高。2-4周后查柯薩基病毒抗體、抗心肌抗體可為陽性。
病毒性心肌炎的病變輕重不一,所以症狀也千差萬別。
(1)輕度、局限性病變者可毫無症狀,心電圖無異常表現,血沉、心肌酶也無升高。有些人是因為意外事故屍體解剖時才發現曾有心肌炎病變。
(2)重者則有明顯症狀,出現心臟瀰漫性擴大,心力衰竭,以致有顯著氣急,不能平臥;有的嚴重心率失常,以致發生反覆暈厥,甚至猝死。
研究表明,病毒感染後仍持續緊張、過度勞累、從事重體力勞動與劇烈運動,易發生病毒性心肌炎。此外,營養不良也是誘因。發生病毒性心肌炎後,必須絕對臥床休息,否則可使病情加重,引起嚴重併發症。
三、治療措施:
患病毒性心肌炎後,一般應休息3個月。以後如無症狀,可逐步恢復工作與正常學習,但仍應注意不要勞累,1年內不能從事體力勞動與運動。此外,要注意合理飲食,多食新鮮蔬菜、水果,保證營養平衡。要保證有足夠的睡眠與休息,避免感冒,否則易復發。反覆發作可轉變為慢性心肌炎、心肌病、危害終身。
心肌炎及心肌病的治療:目前西醫學對心肌炎及心肌病的治療效果還不理想。對病毒性心肌炎患者來說,沒有特效的抗病毒藥物.對慢性心肌炎患者的心律失常療效欠佳。心肌病的病因至今未明,也沒有什麼好的治療辦法.心肌炎和心肌病是一種危害人民健康且不易治療的疾病。從這些年來中醫治療這類心肌疾病的療效來看,形勢是喜人的.我們中醫中藥治療這類疾病可以提高有效率。降低死亡率.減少後遺症。提高病人生活質量有著明顯的優勢.
對於病毒性心肌炎目前尚無特殊的治療方法,主要採取綜合治療措施。作為患兒的家長,應積極配合大夫的治療,並注意生活上的護理。
對於任何疾病來說,預防重於治療。預防病毒性心肌炎,應當首先預防感冒、腸道病毒性感染,經常參加體育鍛鍊,提高身體抗病能力,住室經常開窗通風,保持空氣新鮮。在感冒發生季節,要儘量少去人多擁擠的場所,注意防止各種病毒感染。一旦發現病毒感染後要注意充分休息,避免過度疲勞。
小兒心肌炎
小兒心肌炎往往出現感冒症狀發病原因
病毒性心肌炎,是寶寶感冒後的又一大險情。近20餘年來醫學界越來越重視。由於感冒沒有得到及時治療,使一些寶寶在不經意中患了較為嚴重的心臟疾病,感冒大多源於病毒侵襲,比如流感病毒、柯薩奇病毒、埃可病毒、腺病毒、皰疹病毒、腮腺炎病毒等。這些病毒,特別是柯薩奇病毒和埃可病毒,對於心肌有特殊的親和力,在引起呼吸道炎症的同時可向心肌發難,病毒性心肌炎就是這樣形成的。
專家提醒
別把寶寶感冒不當一回事,在積極治療的同時,一定要嚴密觀察全身情況,一旦發現心臟異常的“蛛絲馬跡”,及時送醫確診、救治,以防發生不測。
肥大性心肌炎
心肌細胞肥大症狀
患肥大性心肌炎的患者易出現疲乏、胸痛、氣促及心悸等現象,應及時引起注意。
應對措施應去醫院做X光照像、心電圖,以及活組織檢查等診斷檢查。這種病無法治,但可以用某些調節心臟跳動的藥物,或用促使過多體液排出的利尿劑來緩解其症狀。有些患了肥大性心肌病引起的致命性心力衰竭症以及生命垂危的人,用心臟移植術來加以治療,其效果相當好。
中毒性心肌炎
中毒性心肌炎是指毒素或毒物所致的心肌炎症,除白喉、傷寒、菌痢等感染性疾病外毒素、內毒素對心肌損害外,某些生物毒素如蛇毒、毒蕈、河豚、烏頭等,以及某些藥物或化學物質如奎尼丁、奎寧、依米丁、銻劑、有機磷、有機汞、砷、一氧化碳、鉛、阿酶素等,均可引起心肌損害產生中毒性心肌炎。中毒性心肌炎往往是全身中毒的一部分重要表現,病情危重或並發嚴重心功能不全和心律失常者死亡率高,及時、有效地搶救往往能夠挽救病人生命。一、症狀體症
1.心功能不全的症狀,如心悸、氣短、體和肺循環瘀血徵象;
2.心律失常的表現。
二、診斷依據
1.毒素或毒物經皮膚黏膜、胃腸道或呼吸道等進入體內證據;
2.出現心功能不全、心律失常臨床表現,輔以實驗室檢查,即可作出診斷。
三、治療原則
1.立即終止毒物或毒素繼續進入體內,並促進其排泄;
2.使用解毒劑或對抗劑;
3.改善心肌代謝和營養;
4.防治心功能不全和心律失常;
5.對症治療。
四、專家提示
該病主要是由於毒素或毒物經皮膚黏膜、胃腸道、呼吸道等進入體內,引起了心肌損害。除白喉、傷寒、菌痢等傳染病的內外毒素對心肌損害外,蛇毒、毒蕈、有機磷等中毒常見於農村;銻、汞、砷、鉛劑等中毒易發生於工業污染區;河豚、一氧化碳等中毒在城鎮時有發生;還有某些藥物如奎寧、依米丁、阿酶素等引起的心肌損害。因此提高公眾對毒物的認識和防止毒物進入體內甚為重要。一旦發生中毒,應立即終止毒物或毒素繼續進入體內,脫離接觸毒物或毒素,採用清洗皮膚和黏膜、催吐、導瀉等辦法促進其排泄,迅速送往醫院搶救,及時有效的救治往往能夠挽救病人生命,否則後果嚴重。對於中毒性心肌炎,改善心肌代謝和營養,防治心功能不全和心律失常,是治療的主要內容.
擴張性心肌炎
擴張性心肌炎①充血性心力衰竭的病史。
②心臟體徵:心界擴大,第一心音減弱,心尖部收縮期雜音,心衰重雜音增強,心衰減輕雜音減弱或消失。常有病理性第三心音。
③X線,超聲心動圖、心臟造影及同位素掃描示心臟擴張,而無明顯肥厚。
④心電圖示異位節律,傳導阻滯,廣泛ST-T改變或有異常Q波。
⑤動脈栓塞現象。
⑥排除其他心臟病,或其他原因引起的繼發性心肌病。由於本病缺乏特異性診斷依據,仍以排除診斷為主,應與下列疾病進行鑑別。
實驗室及其他檢查
(一(X線檢查心臟擴大為突出表現,以左心室擴大主,伴以右心室擴大,也可有左心房及右心房擴大。心衰時擴大明顯,心衰控制後,心臟擴大減輕,心衰再次加重時,心臟再次擴大。呈“手風琴效應”。心臟搏動幅度普遍減弱,病變早期可出現節段性運動異常。主動脈正常,肺動脈輕度擴張,肺淤血較輕。
(二(心電圖可有各種心律失常,以室性期前收縮最多見,心房纖維顫動次之。不同程度的房室傳導阻滯,右束支傳導阻滯常見。廣泛ST-T改變,左心室肥厚,左房肥大,由於心肌纖維化可出現病理性Q,各導聯低電壓。
(三(超聲心動圖左心室明顯擴大,左心室流出道擴張,室間隔及左室後壁搏動幅度減弱,二者搏動幅度之和<13mm。病變早期可有節段性運動減弱,二尖瓣前後葉搏動幅度減弱。二尖瓣開口小,二尖瓣葉可有輕度增厚。右心室及雙心房均可擴大,心衰時,二尖瓣可呈類城牆樣改變,心衰控制後恢復雙峰。
(四(同位素檢查同位素心肌灌注顯影,主要表現有心腔擴大,尤其兩側心室擴大,心肌顯影呈稱漫性稀疏,但無局限性缺損區,心室壁搏動幅度減弱,射血分數降低,同位素心肌灌注顯影不但可用於診斷,也可用於同缺血性心肌病相鑑別。
(五(心內膜心肌活檢擴張性心肌炎臨床表現及輔助檢查,均缺乏特異性,近年來國內外開展了心內膜心肌活檢,診斷本病敏感性較高,特異性較低。
擴張性心肌炎的病理及病理生理
擴張性心肌炎心臟常增大,心臟擴張以雙側心室最明顯,因而稱擴張性心肌炎,心腔擴張較輕者,心室壁稍增厚,病變發展,擴張加重,心室壁相對變薄,心室壁厚度正常或稍增厚。由於心肌纖維化,心肌收縮無力,射血分值下降,半月瓣口可能出現功能狹窄,左右心室擴張,可致房室瓣口相對性關閉不全,血流反覆衝擊致房室瓣膜輕度增厚,心肌病變可擴及心內膜,以及心內局部壓力的升高局部供血不足,可致心內膜斑狀纖維性增厚,約60%的病例有附壁血栓形成。
冠狀動脈正常,或有與患者年齡相適應的動脈硬化性病變,光學顯微鏡下可見程度不等的心肌細胞肥大,排列不等,胞核增大,半數病例有灶性纖維化,電鏡下可見肥大的心肌細胞核增大,線粒體數目增多,核糖蛋白、糖元顆粒和肌原纖維增多,提示心肌細胞合成代謝旺盛。擴張性心肌炎心腔明顯擴張,而心室壁增厚不明顯,心室壁軟弱,收縮無力,射血分值下降,搏出量減少,心腔內殘餘血量增多,心室舒張末期壓力增高,肺血回流受阻,則肺淤血,左心衰竭。本病大約1/3先有左心衰竭,有的起始即為全心衰竭。擴大的心腔中,有附壁血栓形成,因而動脈栓塞常見,由於心肌纖維化可累及起搏及傳導系統,易引起心律失常。
寄生蟲性心肌炎
心肌炎1.弓形蟲性心肌炎此型心肌炎由鼠弓形蟲(Toxoplasmagondii(感染而引起。人類主要因食入含有包囊的未煮熟肉類而感染。弓形蟲進入人體後,經血流到達單核巨噬細胞系統及各種組織,並在細胞內繁殖。弓形蟲侵入心肌細胞後很快繁殖,形成集合體,亦稱假包囊。心肌細胞很快破裂,病原體進入周圍組織。被破壞的心肌細胞周圍有淋巴細胞、單核細胞浸潤。愈復後有瘢痕形成。約半數患者因心力衰竭致死。
2.Chagas心肌炎此種心肌炎由原蟲枯氏錐蟲(trypanosomacruzi(感染引起,流行於拉丁美洲各國。病情嚴重,死亡率高。可引起灶狀或彌散性心肌壞死,周圍有淋巴細胞、單核細胞浸潤。心腔擴張,心室壁(主要在心尖區(變薄,常形成室壁瘤,伴有心腔內附壁血栓形成。
心肌炎患者在下列情況下不宜運動:
1.急性心力衰竭搶救期間或畸形心力衰竭前3天。
2.患者在休息時仍有心前區不適或氣促。
3.持續存在充血性心力衰竭症狀和體徵,心力衰竭尚未控制者。
4.急性心肌炎、心包炎患者。
5.血壓≥180/100mmHg或≤90/60mmHg者。
6.新近出現體循環或肺循環栓塞者。
7.急性感染。
8.反覆出現下列心律失常者:Ⅱ度或Ⅲ房室傳導阻滯;竇性心律>100次/分鐘;頻發室早,活動後增加;短陣室速藥物控制不佳;室速持續;快室率房顫而藥物控制不佳者。
細菌感染性心肌炎
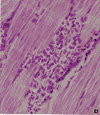
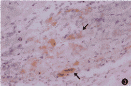
細菌感染性心肌炎心肌膿腫常由化膿菌引起,如葡萄球菌、鏈球菌、肺炎雙球菌、腦膜炎雙球菌等。化膿菌來源於膿毒敗血症時的轉移性細菌菌落,或來自細菌性心內膜炎時的化膿性血栓栓子。肉眼觀,心臟表面及切面可見多發性黃色小膿腫,周圍有充血帶。鏡下,膿腫內心肌細胞壞死液化,膿腔內有大量膿細胞及數量不等的細菌集落。膿腫周圍心肌有不同程度的變性、壞死,間質內有中性粒細胞及單核細胞浸潤。
白喉桿菌可產生外毒素,一方面可阻斷心肌細胞核蛋白體的蛋白質合成,另一方面可阻斷肉鹼介導的長鏈脂肪酸運入線粒體,導致心肌細胞脂肪變性和壞死。鏡下,可見灶狀心肌變性壞死,心肌細胞出現嗜酸性變、肌漿凝聚、脂肪變性及肌漿溶解。病灶內可見淋巴細胞、單核細胞及少數中性粒細胞浸潤。病灶多見於右心室壁,愈復後形成細網狀小瘢痕。有的病例出現瀰漫性心肌壞死,可導致心性猝死。
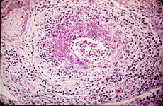
在上呼吸道鏈球菌感染(急性咽峽炎、扁桃體炎(及猩紅熱時,可並發急性非風濕性心肌炎。其發病機制尚未明了,可能是由鏈球菌毒素引起。病變是間質性心肌炎。鏡下,心肌間質結締組織內及小血管周圍有淋巴細胞、單核細胞浸潤,心肌細胞有程度不等的變性、壞死。
症狀
心肌炎青壯年發病較多,常先有原發感染的表現,如病毒性者常有發熱、咽痛、咳嗽、嘔吐、腹瀉、肌肉酸痛等。大多在病毒感染1-3周后,出現心肌炎的症狀,由於心律失常可致心悸因排血量降低而感無力。累及心包膜及胸膜時,胸悶、胸痛、亦可有類似心絞痛的表現。嚴重者心功能不全。常見體徵,竇性心動過速與體溫不相平行。也可有竇性心動過緩及各種心律失常 ,心界擴大者占1/3-1/2,見於重症心肌炎,因心臟擴大可致二尖瓣 或三尖瓣 關閉不全,心尖部或胸骨左下緣收縮期雜音。心肌損害嚴重或心力衰竭者,可聞舒張期奔馬律 ,第一心音減弱,合併心包炎者可聞心包摩擦音。輕者可完全無症狀,重者心力衰竭或猝死。表現懸殊。根據臨床表現可分為六個類型:①無症狀型:感染後1-4周心電圖出現S-T改變,無症狀。②心律失常型:表現各種類型的心律失常,心室性期前收縮最多見。③心力衰竭型:出現心力衰竭的症狀及體徵。④心肌壞死型:臨床表現類似心肌梗塞。⑤心臟增大型:心臟擴大,二尖瓣及三尖瓣區收縮期雜音。⑥猝死型:無先兆,突然死亡。
病初與上呼吸道感染或腸道感染症狀,7~10天后出現胸悶、心悸、極度乏力、易出汗等症狀。此時,如做心電圖,可能發現有早搏等心率失常和心肌損害表現。作血沉、心肌酶測定可能升高。2-4周后查柯薩基病毒抗體、抗心肌抗體可為陽性。病毒性心肌炎的病變輕重不一,所以症狀也千差萬別。
心肌炎特徵
1、
心肌炎不可小覷輕者心臟不擴大,一般有暫時性擴大,不久即恢復。心臟擴大顯著反映心肌炎廣泛而嚴重。
2、心率改變
心率增速與體溫不相稱,或心率異常緩慢,均為心肌炎的可疑徵象。
3、心音改變
心尖區第一音可減低或分裂。心音可呈胎心樣。心包摩擦音的出現反映有心包炎存在。
4、心律失常
極常見,各種心律失常都可出現,以房性與室性早搏最常見,其次為房室傳導阻滯,此外,心房顫動、病態竇房結綜合徵均可出現。心律失常是造成猝死的原因之一。
5、心力衰竭
重症瀰漫性心肌炎患者可出現急性心力衰竭,屬於心肌泵血功能衰竭,左右心同時發生衰竭,引起心排血量過低,故除一般心力衰竭表現外,易合併心源性休克。
6、雜音
心尖區可能有收縮期吹風樣雜音或舒張期雜音,前者為發熱、貧血、心腔擴大所致,後者因左室擴大造成的相對性二尖瓣狹窄。雜音響度都不超過三級。心肌炎好轉後即消失。
檢查診斷
血液檢查二、X線檢查:由於病變範圍及病變嚴重程度不同,放射線檢查亦有較大差別,大約1/3-1/2心臟擴大,多為輕中度擴大,明顯擴大者多伴有心包積液,心影呈球形或燒瓶狀,心搏動減弱,局限性心肌炎或病變較輕者,心界可完全正常。
三、血液檢查:白血球計數在病毒性心肌炎可正常,偏高或降低,血沉大多正常,亦可稍增快,C反應蛋白大多正常,GOT、GPT、LDH、CPK正常或升高,慢性心肌炎多在正常範圍。
四、有條件者可做病毒分離或抗體測定。
鑑別診斷
心肌炎(二)中毒性心肌炎:有嚴重感染或藥物中毒史。常並發於重症肺炎、傷寒、敗血症、白喉、猩紅熱等疾病,常隨原發病感染症狀好轉而逐淅恢復。使用吐根鹼、銻劑等可引起心肌炎,隨藥物的減量或停用而逐漸好轉或恢復。
(三)風濕性心臟炎:有反覆呼吸道感染史。風濕活動的症候如高熱,多發性遊走性大關節炎,環形紅斑及皮下小結等。有瓣膜病變時出現二尖瓣區收縮期和/或舒張期雜音。實驗室檢查可見血沉增快,C-反應蛋白陽性,粘蛋白增高及抗溶血性鏈球菌“O”,鏈球菌激酶效價增高與咽拭子培養陽性等鏈球菌感染的證據。
(四)克山病:相似點為心臟擴大、心律紊亂、出現心力衰竭或心源性休克。但克山病有地方性,發病常在某一流行地區,有多發季節(如東北冬春季,西南夏季為多)及年齡物點(如東北青年婦女,西南2-5歲患兒)。心電圖上以ST-T改變,右束支傳導阻滯、低電壓者為多見;心律失常心律多變、快變,心率明顯增快或減慢為特點。X線檢查心臟擴大較顯著,搏動顯著減弱,控制心力衰竭後不能回縮至正常。急性期過後多數變為慢性。有時可因心臟中附壁血栓脫落而引起腦栓塞,發生抽搐或偏癱。
併發症
大多數患者經過適當治療後痊癒,不遺留任何症狀或體徵。極少數患者在急性期因嚴重心律失常、急性心力衰竭和心源性休克而死亡。部分患者經過數周或數月後病情趨地穩定,但有一定程度的心臟擴大、心動能減退、心律失常或心電圖變化,此種情況歷久不變,大致為急性期後心肌疤痕形成,成為後遺症。還有部分患者由於急性期後炎症持續,轉為慢性心肌炎,逐漸出現進行性心臟擴大、心功能減退、心律失常,經過數年或一、二十年後死於上述各併發症。各階段的時間劃分比較難定,一般可以6個月以內為急性期,6月至1年為恢復期,1年以上為慢性期。急性期不明確的慢性患者與心肌病難區分,據已有證據,有一部分心肌病是由心肌炎演變而來。
治療
應臥床休息,以減輕組織損傷,病變加速恢復。伴有心律失常,應臥床休息2-4周,然後逐漸增加活動量,嚴重心肌炎伴有心臟擴大者,應休息6個月至一年,直到臨床症狀完全消失,心臟大小恢復正常。免疫抑制劑:激素的套用尚有爭論,但重症心肌炎伴有房室傳導阻滯,心原性休克心功能不全者均可套用激素。
常用強的松,40-60mg/日,病情好轉後逐漸減量,6周一個療程。必要時亦可用氫化可的松或地塞松,靜脈給藥。心力衰竭者可用強心、利尿、血管擴張劑。心律失常者同一般心律失常的治療。
對於心肌炎的長期治療要有充分認識。由於心臟損害的特殊性,其恢復期要遠遠長於損害期,一般為半年左右,甚至一年至二年,且極易復發和加重,因此必須堅持長期治療,正確進行生活護理。得了心肌炎,只要及時正確治療,絕大多數患者是可以治癒的。患者宜儘量臥床休息,吃易消化的食物;由於治療期較長,部分患者不願耽誤工作和學習,但也要注意限制體力活動,不要勞累,定期檢查。曾經有一位上海患者因感冒和過度疲勞發病,出現嚴重心律失常,經確診為病毒性心肌炎,三個月的治療中搶救兩次,進入大學後病情反覆發作,一直沒有得到有效控制,後經中藥玉丹榮心丸治療,很快病情得以穩定,室早消失,患者非常高興,以為痊癒,計畫停藥,經醫生詳細分析後認為,病情處於慢性期,客觀數據仍不穩定,必須堅持治療,患者短暫的停藥果然引起病情的波動,一度影響學習生活,在醫生的督促下,患者繼續不間斷治療,病情得以控制,並順利的完成了大學學業,未再復發。
絕大多數心肌炎的預後良好,只要治療得當,不會遺留任何後遺症。
預防
加強身體鍛鍊,提高機體抗病能力,避免勞累以預防病毒 、細菌感染 。發病後注意休息,進營養豐富之飲食,以利心臟恢復。由於抗生素的廣泛套用,因鏈球菌感染引起的風濕熱逐漸減少,風濕性心肌炎發病明顯減少,而病毒性心肌炎發病卻日益增多。病毒性心肌炎可由多種病毒感染引起,其中以柯薩基病毒B最常見,水痘、EB病毒也可引起。據研究,約有5%病毒感染者感染後可累及心臟心臟發生心肌炎。可為病毒感染後的直接侵襲心肌,也可為病毒感染後的自身免疫反應所致。前者以兒童多見,後者以青少年多見。春季是病毒性心肌炎的高發季節,應引起警惕。
感冒易引發
感冒後打球、跑步、游泳,出一些汗,感冒症狀當時的確會減輕一些。這是因為人在運動時,交感神經興奮,體內的白細胞和其他抗體所組成的防禦系統的機能得以提高,再加上出汗時體內的毒素排出體外較快,能使感冒症狀得到一些緩解。這種情況多見於少數體質較強、感冒初期、症狀較輕的人,但對於多數人來說,尤其是兒童、體弱者和老人,感冒時參加體育鍛鍊是有害無益的。感冒是由病毒或細菌引起的一種急性上呼吸道傳染病。人體為了抵禦入侵的病毒或細菌,會出現一些變化,如體溫升高、白細胞增多等。如果再進行體育鍛鍊,就會使體內產熱增加,這樣熱上加熱,勢必造成體溫過高,進而使體內調節功能失常,氧的消耗量大大增加,以致加重心、肺等系統的負擔,甚至引起急性心、肺功能不全等症狀。
因此,感冒時不要用參加體育鍛鍊的方法來治療,而應在醫生指導下服藥、休息。
微量元素鋅、硒對心臟的保護
鋅為人體必需的微量元素,對心臟影響頗大。鋅參與多種酶的合成,能保護細胞不受或者少受自由基的損害。鋅本身能直接抑制脂質過氧化物反應,穩定細胞膜結構,對心肌炎造成的心肌細胞的損害進行修復。硒為人體谷胱甘肽過氧化物酶的組成成分,缺乏此酶,細胞代謝受阻。缺硒導致心肌內線粒體氧自由基增加,細胞脂質過氧化物增加,谷胱甘肽過氧化物酶水平下降,機體抗氧能力差,心肌細胞進一步受到破壞。
由此可見,微量元素鋅、硒對心臟有極大的保護作用。經過臨床試驗證明,在保護心肌治療合併套用鋅硒寶片,與單純用保護心肌治療組想比,療效顯著。
鋅硒寶片為較好的保健用藥,對病毒性心肌炎能起到足夠的輔助治療作用。
心肌炎偏方
1、人參龍眼湯丸:
紅參片6克單獨煎3次,取煎液50毫升。龍眼肉12克與紅糖10克剁成湯圓心子;糯米粉100克水調做成湯圓面,將心子放入其中,煮熟後沖入人參液。早、晚當點心,1劑分數次食完,可連食1周以上。
功能補益心氣,安神定悸。主治心氣不足型心肌病;症見心悸易驚,氣短乏力,心神不安,少寐多夢,舌質淡苔薄,脈沉細無力或結代。
2、人參麥冬燉豬心:
人參5克,麥冬15克,大棗3顆,豬心75~100克,水1碗,放入瓦盅內燉熟,油鹽調味。
主治心氣陰兩虛型心功能不全。
3、三七燉瘦豬肉:
三七粉3克或三七2~4粒,瘦豬肉75~100克,大棗3顆,水1碗,用瓦盅燉熟,油鹽調味。
主治心肌病;症見心痛者。
心肌炎的護理
1)每日注意測量體溫、脈搏、呼吸等生命體徵。高熱的病人給予降溫、口腔護理及皮膚護理。由於心肌收縮無力,心排血量急劇下降,易導致心源性休克,應及時測血壓、脈搏。如病人出現脈搏微弱、血壓下降、煩躁不安、面色灰白等症狀時,應立即送往醫院進行救治。(2)飲食應給予高熱量、高蛋白、高維生素食物,尤其是含維生素C多的食物,如山楂、蘋果、桔子、西紅柿等。(3)心肌炎反覆發作的病人,要注意觀察副作用和毒性反應,如高血壓、胃腸道消化性潰瘍及穿孔、出血等,急性病人套用大量維生素C。靜脈滴注或靜脈推注時要注意保護血管,控制速度,以防肺水腫。

