疾病概述
原發性心肌病疾病病因
原發性心肌病(1)病毒感染免疫反應學說:認為心肌病是在病毒感染後發生的免疫性心肌損害所造成,是擴張型心肌病的主要發病學說。
(2)心肌內小冠狀動脈分支的病變,引起痙攣和阻塞所致。
(3)有些病例有心肌代謝過程中某些酶的缺乏也可能是其機理之一。
(4)部分病例與營養障礙有關,如食物中缺乏微量元素硒可能引起心肌改變。
2.肥厚型心肌病目前認為該病與遺傳有關。
3.限制性心肌病病因未明。
疾病體徵
原發性心肌病心尖搏動向左下移位,可有抬舉性搏動,心濁音界向左擴大,常可聽到第三、第四心音,心率快時呈奔馬律,二尖瓣或三尖瓣聽診區可聞及收縮期吹風樣雜音,該雜音在心功能改善後減輕,血壓多正常,但晚期患者血壓可下降,脈壓小,出現心力衰竭時舒張壓可輕度升高,心力衰竭時可出現交替脈,脈搏常減弱,兩肺底可聞及濕羅音,並可見肝臟腫大,浮腫,甚或胸、腹水,各種心律失常均可出現,為首見或主要的表現,並有多種心律失常合併存在而構成複雜心律失常,可以反覆發生。此外可有腦、腎、肺等處栓塞的體徵。
2.肥厚型心肌病常見體徵有心濁音界向左擴大、心尖搏動向左下移位,可見抬舉性衝動或心尖雙搏動;胸骨左緣下段心尖內側可聽到收縮中期或晚期噴射性雜音,向心尖部傳播,可伴有收縮期震顫,見於有左心室流出道梗阻的患者。凡增加心肌收縮力或減輕心臟負荷的措施(如給予洋地黃類、異丙腎上腺素,亞硝酸異戊酯、硝酸甘油、做Valsalva動作、體力勞動後或早搏後)均可使雜音增強;凡減弱心肌收縮力或增加心臟負荷的措施(如給予血管收縮藥、β受體阻滯劑、下蹲、緊握拳等)均可使雜音減弱,約半數患者同時可聞及二尖瓣關閉不全的雜音;第二心音可呈反常分裂,呼氣時明顯(由於左心室噴血受阻,主動脈瓣延遲關閉所致)。心律失常以心房纖顫為多。非梗阻肥厚型心肌病僅心臟輕度增大,肺動脈瓣第二音分裂,無反常的逆分裂,雜音較少且較輕。
3.限制型心肌病病變以左心室為主者可有左心衰竭和肺動脈高壓的表現,如兩肺底可聞及羅音,肺動脈瓣第二音亢進等;病變以右心室為主者有右心室回流受阻的表現,如頸靜脈怒張,吸氣時膨脹(庫氏征),肝大、下肢浮腫、腹水等,心尖搏動常減弱,心臟濁音界輕度增大,心音低鈍,心率快,可有舒張期奔馬律及心律失常,心包積液也可存在,可有內臟栓塞。
臨床症狀
原發性心肌病以充血性心力衰竭為主,其中以氣急和浮腫最為常見。最初在勞動或勞累後氣急,以後在輕度活動或休息時也有氣急,或有夜間陣發性氣急,並常見頭暈,心前區疼痛等症狀,少數患者有暈厥,各種心律失常均可見到,還可發生栓塞及猝死。
2.肥厚型心肌病
起病多緩慢。約1/3的患者有家族史,症狀大多開始於30歲以前,男女同樣罹患。主要症狀為:①呼吸困難,多於勞累後出現;②心前區疼痛,亦多在勞累後出現,似心絞痛,但可不典型;③乏力、頭暈與昏厥,多在活動時發生;④心悸;⑤心力衰竭,多見於晚期患者,常合併有心房纖顫。
3.限制型心肌病
較少見,多發生在南方,呈散發分布,起病比較緩慢。早期可有發熱,逐漸出現乏力、頭暈、氣急,氣急程度較擴張型心肌病為輕,以下肢水腫、腹水為突出表現。
疾病診斷
原發性心肌病鑑別診斷
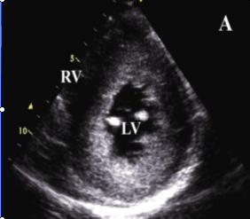
原發性心肌病心肌病亦可有二尖瓣或三尖瓣區的收縮期雜音,但一般不伴有舒張期雜音,且在發生心力衰竭時雜音較響,而心力衰竭控制後雜音減弱或消失,與風濕性心臟病者不同,此外,擴張型心肌病常多心腔同時增大,不似風濕性心臟病者以左房、左室或右室擴大為主。超聲心動圖檢查有助於區別。
2.心包積液
心肌病時心尖搏動向左下移位,與心濁音界的左外緣相符;心包積液時心尖搏動常不明顯或處於心濁音界左外緣的內側。超聲檢查心包積液者見心包內多量液體平段或暗區;而心肌病者主要為心臟的擴大,雖亦可有少量的心包積液,但不足以引起心臟壓塞,亦不致影響心臟的功能及體徵,此外心肌病者多可聞及心臟雜音,心電圖上見心室肥大、異常Q波及各種複雜心律失常,收縮時間間期(STI)在心肌病時明顯異常,而心包疾病則正常。
3.高血壓性心臟病心肌病者可有暫時性的血壓增高,但舒張壓多不超過14.67kPa(110mmHg),且出現於急性心力衰竭時,心力衰竭好轉後血壓下降,眼底、尿常規、腎功能檢查正常。
4.冠心病二者常較難鑑別,有高血壓、高血脂或糖尿病等易患因素,室壁活動呈節段性異常者有利於冠心病的診斷。明確區分有時須靠冠狀動脈造影。
5.先天性心臟病多數具有明顯的體徵,不難鑑別。三尖瓣下移畸形有三尖瓣區的雜音,並可有奔馬律、心音減弱、右心擴大及衰竭,應與心肌病鑑別,但前者出現於早年,左心室不大,紫紺明顯;超聲心動圖檢查可明確診斷。
6.繼發性心肌病全身性疾病如系統性紅斑狼瘡、硬皮病、血色病,澱粉樣變性、糖原累積症、神經肌肉疾病等都有其原發病的表現可資鑑別。尤其是與心肌炎的區別,急性心肌炎常發生於病毒感染的當時或其後不久,而慢性心肌炎與心肌病較難區分,心內膜心肌活檢有一定的幫助。其次實驗室檢查中和抗體、補體結合或血凝抑制試驗陽性,冠脈造影陰性有助於鑑別。
病理生理
原發性心肌病心臟重量增加,各心腔擴大,心肌灰白而鬆弛;室壁厚度近乎正常,心內膜也可增厚,可有心腔內附壁血栓,常有心肌纖維化,也可心壁成片受損,心臟起搏系統亦可受侵。
顯微鏡下可見心肌纖維肥大,細胞核固縮、變形或消失,胞漿內有空泡形成。纖維組織增多,心肌纖維可被條索狀纖維組織所分割,心內膜中膠原和彈性纖維也增多,可見有不同程度的退行性變,多為心肌細胞溶解,尤其是病程長的病例。電鏡下可見心肌細胞的線粒體腫脹,嵴斷裂或消失,肌漿膜間隙擴大,有纖維狀物質與顆粒狀脂褐素;肌原纖維可以消失。
2.肥厚型心肌病
①肥厚型梗阻性心肌病:室間隔高度肥厚向左心室腔內突出,收縮時引起左心室流出道梗阻。
②肥厚型非梗阻性心肌病:室間隔肥厚程度較輕,收縮期不引起左室流出道明顯梗阻。
3.限制型心肌病
在浸潤性病變所致的限制型心肌病中,有澱粉樣變性、類肉瘤、血色病、糖原累積症等種類。
疾病檢查
原發性心肌病1.擴張型心肌病以心臟擴大,心肌損害及心律失常為主。左心室肥大多見,常合併心肌勞損,晚期可有右心室肥大,也可有左或右心房肥大;常有ST段壓低,T波平坦、雙向或倒置,10%患者可有病理性Q波(部位多在前間隔V1、V2導聯),常見房性、室性早搏、心房纖顫、束支傳導阻滯、房室傳導阻滯等心律失常。
2.肥厚型心肌病80%以上的患者有ST一T改變,少數可見巨大的倒置T波;60%患者有左心室肥大徵象;可見異常Q波,在I、aVL、V5、V6導聯上出現深而不寬的Q波,有時在Ⅱ、Ⅲ、aVF、V1、V2導聯上也可有Q波;約25%的患者有左心房波型異常:部分患者合併有預激綜合徵。
3.限制型心肌病低電壓,心房或心室肥大,束支傳導阻滯,ST一T改變,心房顫動,亦可在V1、V2導聯上出現異常Q波。
X線檢查
1.擴張型心肌病
心臟普遍增大,呈球型,外形類似心包積液;少數以左心室、左心房或右心室增大為主,外觀類似二尖瓣病變。透視下可見心臟搏動較正常為弱,主動脈一般不擴張。病程較長者常有肺淤血和肺間質水腫,亦常見胸腔積液。
2.肥厚型心肌病
普通胸片見左心室增大,但也可在正常範圍,晚期可有左房增大、肺淤血。主動脈不擴大,X線或核素心血管造影可顯示室間隔增厚,左心室腔縮小。核素心肌掃描可顯示心肌肥厚的部位和程度。
3.限制型心肌病
可見心影擴大,心內膜心肌鈣化的陰影,心室造影可見心室腔縮小。
原發性心肌病1.擴張型心肌病
早期即可見心腔輕度擴大,尤其是左心室,室壁運動減弱,後期各心腔均擴大,室間隔及左室後壁運動也減弱,二尖瓣前葉雙峰可消失,而前後葉呈異向活動,左心室噴血指數常減至50%以下,心肌縮短比數也減小,可有少量心包積液。
2.肥厚型心肌病
可見不對稱性室間隔肥厚,室間隔厚度與左室後壁厚度之比大於1.3:1;二尖瓣前葉收縮期前移;左心室腔縮小,流出道狹窄;左心室舒張功能障礙,包括順應性降低,快速充盈時間延長,等容時間延長等。
3.限制型心肌病
可見心內膜增厚,心尖部心室腔閉塞,心肌心內膜結構超聲回聲密度異常,室壁運動減弱。心肌病早期心肌酶譜檢查活性增高,尤以磷酸肌酸激酶同功酶(CPK一MB)、乳酸脫氫酶同功酶(LDH1)增高有價值。
心導管檢查
1.擴張型心肌病
早期近乎正常,左右心室舒張末期壓可以稍增高,有心力衰竭時心排血指數減小,動靜脈血氧差大,肺動脈及左房壓增高。心室造影示心腔擴大,室壁運動減弱。
2.肥厚型心肌病
示心室舒張末期壓增高,有左室流出道梗阻者在心室腔與流出道間有收縮期壓力差。
3.限制型心肌病
示心室舒張末期壓逐漸上升,造成下陷後平台波型,在左室為主者肺動脈壓可增高,在右室為主者右房壓高,右房壓力曲線中顯著的v波取代a波。
治療方法
原發性心肌病1.擴張型心肌病
控制心力衰竭,防治心律失常,預防栓塞。
(1)一般治療:避免過勞,注意休息,心衰者應臥床休息,有感染者應積極控制感染,以免病情惡化。
(2)糾正心功能不全:
①強心甙:地戈辛0.125~0.25mg,口服,每日一次。注意本病由於心肌損害廣泛,洋地黃類藥易於中毒,應減量套用。
②非洋地黃類強心藥:多巴酚丁胺每分鐘以2.5μg~10μg/kg速度靜點,給藥後1~2分鐘起效。氨吡酮靜脈給藥負荷量1.5~3mg/kg,再以每分鐘10μ/kg靜滴維持,口服100mg,每日3次。
③血管擴張劑:消心痛5~10mg,每日3~4次,開搏通12.5mg~25mg,每日3次,嚴重病例可用硝普鈉25~50μg/分靜點。
④利尿劑:雙氫克尿噻25~50mg,每日1~3次;氨苯喋啶50~100mg,每日1~3次;水腫明顯或有急性左心衰時可用速尿口服或靜脈給藥。
(3)糾正心律失常:
①房早、房顫:擴張型心肌病可用地戈辛0.125mg,口服,每日1次,心室率過快時,可加服小劑量β受體阻滯劑,如氨醯心安6.25mg,每日2~3次。
②頻發或多源性室早或室性心動過速,可用慢心律100~200mg,每日3~4次;乙胺碘呋酮0.1~0.2g,每日3次。靜脈用藥可選利多卡因、普魯卡因醯胺、心律平、溴苄胺等。注意抗心律失常藥物對心肌的抑制作用。藥物治療無效,危及生命或意識喪失者可考慮電擊復律。
③緩慢性心律失常可考慮安裝人工心臟起搏器。
預後處理
原發性心肌病肥厚型心肌病病程發展較緩慢,預後不定,可以穩定多年不變,但一旦出現症狀可以逐漸惡化。猝死和心力衰竭為主要的死亡原因。少數患者有感染性心內膜炎或栓塞等並發。
限制型心肌病的病程發展快慢不一,左室病變為主者比右室病變為主者預後略好。近年來本型手術治療有一定希望。

