概述
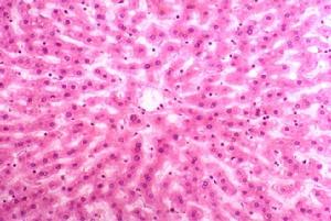
組織內有澱粉樣物質(amyloid)沉著稱為澱粉樣變性(amyloiddegeneration),亦稱澱粉樣物質沉著症(amyloidosis)。澱粉樣物質是蛋白樣物質,由於遇碘時,可被染成棕褐色,再加硫酸後呈藍色,與澱粉遇碘時的反應相似,故稱之為澱粉樣變性。澱粉樣物質常分布於細胞間或沉積在小血管的基底膜下,或者沿組織的網狀纖維支架分布。病變為灰白色,質地較硬,富有彈性,光鏡下HE切片中,澱粉樣物質呈淡伊紅染色、均勻一致、雲霧狀、無結構的物質。剛果紅染色為橘紅色,在偏光顯微鏡下呈黃綠色。電鏡下,澱粉樣物質為纖細的無分支的絲狀纖維構成。
病因
澱粉樣變性病理
根據生化分型,澱粉樣變性可分為三種主要類型和幾種非常見形式,Ⅰ型N-段序列和免疫球蛋白輕鏈的部分區域同源稱為AL。存在於原發性澱粉樣變性中,亦和多發性骨髓瘤的澱粉樣變性有關。Ⅱ型和稱為AA蛋白的非免疫性球蛋白有相同的N-末端序列,存在於繼發性澱粉樣變性病人中.Ⅲ型和家族性澱粉樣多發神經病有關,通常為轉甲狀腺蛋白(前清蛋白)的單個胺基酸置換產物。另外的遺傳性澱粉樣變性在一些家族中由突變的凝濁溶素組成。在另外的家族中由突變的載脂蛋白A-I組成。在遺傳性腦動脈澱粉樣變性中由其他突變蛋白組成。在和慢性血透有關的澱粉樣變性中,澱粉樣蛋白由B2微球蛋白組成,和皮膚老化及內分泌器官有關的澱粉樣變性代表澱粉樣變性的其他形式.在老年痴呆症中發現有組織病理損傷作用的澱粉樣物質由β-蛋白構成.對不同形式的化學分析會出現更多的精確分類。一種稱為AP(或血清AP)的特殊蛋白和澱粉樣變性的所有形式有關,是診斷試驗的基礎。
澱粉樣變性繼發性澱粉樣變性顯示脾,肝,腎,腎上腺和淋巴結受累,儘管少有心臟受累的臨床體徵,但心血管系統常廣泛受累,腎臟常有擴大,肝脾常腫大,質地變硬,呈橡皮樣。由於正常的脾小體被白色的澱粉樣變性所取代,脾增大,呈半透明狀蠟樣,稱為西米脾。遺傳性澱粉樣變性以周圍感覺和運動神經(常是自主神經)和心血管及腎臟澱粉樣變性為特徵。常存在腕管綜合徵和玻璃體不正常。 和某些惡性疾病(如多發性骨髓瘤)有關的澱粉樣變性與特發性的澱粉樣變性分布一樣;和另外一些惡性疾病有關的澱粉樣病變(如甲狀腺髓樣瘤)僅和腫瘤或它的轉移有關.成年期發作的糖尿病常在胰腺中發現有澱粉樣變性。
體徵
症狀和體徵是非特異性的,由所受累的器官和系統所決定,常被原發疾病所掩蓋,而原發疾病在澱粉樣變性疑及前已致命,腎臟系統是表現最強烈的,早期僅有輕度的蛋白尿,可發展至全身水腫,低蛋白血症和大量的蛋白尿.。肝澱粉樣變性有肝腫大但少有黃疸,有嚴重肝腫大(肝重量>7kg).儘管磺溴酞鈉排出增加(很少呈持久性)及鹼性磷酸酶增加,肝功能常正常,偶有門脈高壓存在,出現食管靜脈曲張和腹水。皮損引起蠟狀或半透明改變。小血管澱粉樣變性引起紫癜。心臟受累很常見,出現心臟擴大,難治性心衰及常見的心律失常。在幾個有血緣的家系中發現心房停搏。GI澱粉樣變性會引起食管動力異常,胃張力弛緩,大,小腸蠕動異常,吸收不良,出血或假性梗阻。舌肥大常見於原發性或骨髓瘤相關的澱粉樣變性。質地較硬,對稱性,非觸痛的如甲狀腺橋本病或里德爾甲狀腺病的甲狀腺因甲狀腺的澱粉樣變性所致,在多發性骨髓瘤的罕見病例中,澱粉樣變關節病和類風濕關節病相似,少有臨床表現的周圍性神經病並多有在家族性澱粉樣變性及原發性或與骨髓瘤相關的澱粉樣變性中常見。累及肺的澱粉樣變性(多為AL澱粉樣變性)以局限肺結節,氣管支氣管損傷或廣泛的肺泡沉積為特徵。

