病因
支氣管擴張感染是引起支氣管擴張的最常見原因。肺結核、百日咳、腺病毒肺炎可繼發支氣管擴張。麴黴菌和支原體以及可以引起慢性壞死性支氣管肺炎的病原體也可繼發支氣管擴張。
2.先天性和遺傳性疾病
引起支氣管擴張最常見的遺傳性疾病是囊性纖維化。另外,可能是由於結締組織發育較弱,馬方綜合徵也可引起支氣管擴張。
3.纖毛異常
纖毛結構和功能異常是支氣管擴張的重要原因。Kartagener綜合徵表現為三聯征,即內臟轉位、鼻竇炎和支氣管擴張。本病伴有異常的纖毛功能。
4.免疫缺陷
一種或多種免疫球蛋白的缺陷可引起支氣管擴張,一個或多個IgG亞類缺乏通常伴有反覆呼吸道感染,可造成支氣管擴張。IgA缺陷不常伴有支氣管擴張,但它可與IgG2亞類缺陷共存,引起肺部反覆化膿感染和支氣管擴張。
5.異物吸入
異物在氣道內長期存在可導致慢性阻塞和炎症,繼發支氣管擴張。
臨床表現
支氣管擴張病程多呈慢性經過,可發生於任何年齡。幼年患有麻疹、百日咳或流感後肺炎病史,或有肺結核、支氣管內膜結核、肺纖維化等病史。典型症狀為慢性咳嗽、咳大量膿痰和反覆咯血。咳痰在晨起、傍晚和就寢時最多,每天可達100~400ml。咳痰通暢時患者自感輕鬆;痰液引流不暢,則感胸悶、全身症狀亦明顯加重。痰液多呈黃綠色膿樣,合併厭氧菌感染時可臭味,收集全日痰靜置於玻璃瓶中,數小時後可分為3層:上層為泡沫,中層為黃綠色混濁膿液,下層為壞死組織沉澱物。90%患者常有咯血,程度不等。有些病人,咯血可能是其首發和惟一的主訴,臨床上稱為“乾性支氣管擴張”,常見於結核性支氣管擴張,病變多在上葉支氣管。若反覆繼發感染,病人時有發熱、盜汗、乏力、食慾減退、消瘦等。當支氣管擴張並發代償性或阻塞性肺氣腫時,患者可有呼吸困難、氣急或發紺,晚期可出現肺心病及心肺功能衰竭的表現。部分病人(1/3)可有杵狀指(趾),全身營養不良。
檢查
支氣管擴張感染明顯時血白細胞升高,核左移。痰有惡臭,培養可見致病菌。藥敏的細菌學檢查,針對囊性纖維化的sweat試驗、血清免疫球蛋白測定(B淋巴細胞)、淋巴細胞計數和皮膚試驗(T淋巴細胞)、白細胞計數和分類(吞噬細胞)、補體成分測定(CH50、C3、C4)。
2.肺功能檢查
一秒用力呼出量/用力肺活量比值肺功能損害為漸進性,表現為阻塞性通氣障礙,FEV1、FEV1/FVC、PEF降低。殘氣量/肺總量比值殘氣占肺總量百分比增高。後期可有低氧血症。
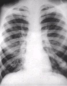
3.X線胸
可無異常(占10%)或肺紋理增多、增粗,排列紊亂。囊狀支氣管擴張在胸片上可見粗亂肺紋理中有多個不規則蜂窩狀(捲髮狀)陰影,或圓形、卵圓形透明區,甚至出現小液平,多見於肺底或肺門附近。柱狀支氣管擴張常表現為“軌道征”,即在增多紋理中出現2條平行的線狀陰影(中央透明的管狀影)。
4.胸部HRCT:CT檢查
對支氣管擴張顯示能力取決於CT掃描方法、擴張支氣管的級別及支氣管擴張的類型,CT診斷囊狀支氣管擴張較柱狀擴張可靠性更大。支氣管擴張的CT表現與支氣管擴張類型、有無感染及管腔內有無黏液栓有關。
5.支氣管鏡纖維支氣管鏡檢查
通過纖支鏡可明確擴張、出血和阻塞部位。可進行局部灌洗,取得灌洗液作塗片革蘭染色或細菌培養,對協助診斷及治療均有幫助;通過支氣管黏膜活檢可有助於纖毛功能障礙的診斷。
診斷
1.幼年有誘發支氣管擴張的呼吸道感染史,如麻疹、百日咳或流感後肺炎病史,或肺結核病史等。2.出現長期慢性咳嗽、咳膿痰或反覆咯血症狀。
3.體檢肺部聽診有固定性、持久不變的濕囉音,杵狀指(趾)。
4.X線檢查示肺紋理增多、增粗,排列紊亂,其中可見到捲髮狀陰影,並發感染出現小液平,CT典型表現為“軌道征”或“戒指征”或“葡萄征”。確診有賴於胸部HRCT。懷疑先天因素應作相關檢查,如血清Ig濃度測定、血清γ-球蛋白測定、胰腺功能檢查、鼻或支氣管黏膜活檢等。
鑑別診斷
1.慢性支氣管炎多見於中年以上的患者,冬春季節出現咳嗽、咳痰或伴有喘息,多為白色黏液痰,並發感染時可有膿痰。2.肺膿腫有急性起病過程,畏寒、高熱,當咳出大量膿痰後體溫下降,全身毒血症狀減輕。X線可見大片緻密炎症陰影,其間有空腔及液平面,急性期經有效抗生素治療後,可完全消退。
3.肺結核多有低熱、盜汗、全身乏力、消瘦等結核中毒症狀,伴咳嗽、咳痰、咯血,痰量一般較少。囉音一般位於肺尖,胸片多為肺上部斑片狀浸潤陰影,痰中可找到結核桿菌或PCK法結核桿菌DNA陽性。
4.先天性肺囊腫多於繼發感染後出現咳嗽、咳痰、咯血,病情控制後胸片表現為多個邊界清晰的圓形陰影,壁薄,周圍肺組織無浸潤。
5.與肺癌相鑑別。
併發症
支氣管擴張症常因並發化膿菌感染而引起肺炎、肺膿腫、肺壞疽、膿胸、膿氣胸。當肺組織發生廣泛性纖維化,肺毛細血管床遭到嚴重破壞時,可導致肺動脈循環阻力增加,肺動脈高壓,引起慢性肺源性心臟病。治療
1.清除過多的分泌物依病變區域不同進行體位引流,並配合霧化吸入。有條件的醫院可通過纖維支氣管鏡行局部灌洗。
2.抗感染
支氣管擴張患者感染的病原菌多為革蘭陰性桿菌,常見流感嗜血桿菌、肺炎克雷伯桿菌、銅綠假單胞菌等,可針對這些病原菌選用抗生素,應儘量做痰液細菌培養和藥敏實驗,以指導治療。伴有基礎疾病(如纖毛不動症)者,可根據病情,長期使用抗生素治療。
3.提高免疫力
低丙球蛋白血症、IgG亞類缺乏者,可用丙種球蛋白治療。
4.手術治療
病變部位肺不張長期不愈;病變部位不超過一葉或一側者;反覆感染藥物治療不易控制者。可考慮手術治療。

