病因
已知腺病毒有41個血清型別,其中很多與人類上、下呼吸道感染密切有關。3型和7型腺病毒為腺病毒肺炎的主要病原。
腺病毒是DNA病毒,主要在細胞核內繁殖,耐溫、耐酸、耐脂溶劑的能力較強,除了咽、結合膜及淋巴組織外,還在腸道繁殖。可根據其對特殊動物紅細胞的凝集能力分為3組,容易引起嬰幼兒肺炎的3、7、11、14、21這一組,均能凝集猴紅細胞。
臨床表現
1.起病
潛伏期3~8天。一般急驟發熱,往往自第1~2日起即發生39℃以上的高熱,至第3~4日多呈稽留或不規則的高熱;3/5以上的病例最高體溫超過40℃。
2.呼吸系統症狀
大多數病兒自起病時即有咳嗽,往往表現為頻咳或輕度陣咳,同時可見咽部充血。呼吸困難及發紺多數開始於第3~6日;重症病例出現鼻翼扇動、三凹征、喘憋及口唇指甲青紫。重症病兒可有胸膜反應或胸腔積液。
3.神經系統症狀
一般於發病3~4天以後出現嗜睡、萎靡等,有時煩躁與萎靡相交替。在嚴重病例中晚期出現半昏迷及驚厥。部分病兒頭向後仰,頸部強直。除中毒性腦病外,尚有一部腺病毒所致的腦炎,故有時需作腰穿鑑別。
4.循環系統症狀
面色蒼白較為常見,重者面色發灰。心率增快,輕症一般不超過每分鐘160次,重症多在160~180次/分鐘,有時達200次/分鐘以上。重症病例發病第6~14日出現心力衰竭。肝臟逐漸腫大,少數也有脾腫大。
5.消化系統症狀
半數以上有輕度腹瀉、嘔吐,嚴重者常有腹脹。腹瀉可能與腺病毒在腸道內繁殖有關,但在一部分病例也可能由於病情重、高熱而影響了消化功能。
6.其他症狀
可有卡他性結膜炎、紅色丘疹、斑丘疹、猩紅熱樣皮疹。
檢查
1.實驗室檢查
白細胞總數在早期(第1~5日)大都減少或正常,惟有繼發細菌感染時才升高。血塗片檢查,中性粒細胞鹼性磷酸酶,一般較正常小兒或細菌性肺炎患兒為低。部分病兒血清冷凝集試驗可為陽性。發熱期間部分病例尿檢查有少量蛋白。腦脊液檢查一般正常。
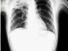
2.X線檢查
X線攝片檢查,肺紋理增厚、模糊為腺病毒肺炎的早期表現。肺部實變多在發病第3~5天開始出現,可有大小不等的片狀病灶或融合性病灶,以兩肺下野及右上肺多見。發病後6~11天,其病灶密度隨病情發展而增高,病變也增多,分布較廣,互相融合。病變吸收大多數在第8~14天以後。肺氣腫頗為多見,為雙側瀰漫性肺氣腫,可有胸膜改變,多在極期出現胸膜反應,或有積液。
併發症
可並發金黃色葡萄球菌、大腸桿菌、肺炎球菌、肺炎桿菌、綠膿桿菌等感染,以致病勢更為嚴重。
少數病例可並發瀰漫性血管內凝血(DIC),尤其易發生在有繼發細菌感染時,在DIC發生前均有微循環功能障礙,最初多僅限於呼吸道及胃腸道小量出血;以後可有肺、胃腸及皮膚廣泛出血。
治療
1.抗病毒藥物
以三氮唑核苷治療腺病毒肺炎,滴鼻效果不明顯;改用靜脈和/或肌注,在早期病例較對照組為優,晚期病例則效果不明顯;霧化吸入治療的研究有待進行。
2.繼發細菌感染的防治
如初步斷定有繼發感染即應積極治療,例如金黃色葡萄球菌感染用新型青黴素、先鋒黴素等;大腸桿菌用氨基苄青黴素等治療。
3.氯丙嗪、異丙嗪等鎮靜、解痙、止喘。
4.洋地黃劑控制心力衰竭。
5.輸血、輸血漿或套用丙種球蛋白
可能起到支持作用。
6.正確輸氧及輸液
如處理恰當,能幫助病兒渡過極期。
7.腎上腺皮質激素
遇明顯呼吸道梗阻、嚴重中毒症狀則宜靜脈套用暫短的激素療法。
預防
3、4、7型腺病毒口服減毒活疫苗經國外小規模套用已證明有預防效果,但尚未大規模生產和套用。流行期間,特別在病房,應儘量隔離,以預防交叉感染;做好地段和托幼機構的預防工作,減少傳播機會。

